DIAPHRAGM
INTRODUCTION
• DEFINITION
The diaphragm is a dome shaped muscle
forming the partition between the thoracic and
abdominal cavities.
- Diaphragm is a chief
muscle in respiration
STRUCTURES OF DIAPHRAGM
ORIGIN
The muscle fibers are grouped into three parts;
- The sternal part arises by two fleshy slips from the back of
the xiphoid process.
- The costal part arises from the inner surfaces of the
cartilages.
- The lumbar part arises from the medial and lateral
lumbocostal arches.
INSERTION
• The central tendon of the diaphragm lies below the
pericardium
• The tendon is trilobar in shape,made up of three
leaflets
- middle leaflets is triangular in shape and directed
towards xiphoid process
- right and left leaflets are tongue shaped and
curved laterally and backward
OPENINGS OF DIAPHRAGM
RELATIONS
• SUPERIORLY
- Pleurae, covering lungs
- Pericardium, covering heart
• INFERIORLY
-Peritonium , liver
- fundus of the stomach
- spleen , kidneys and suprarenals
NERVE SUPPLY
• MOTOR
- The phrenic nerves are the sole motor nerves to
the diaphragm
[ventral rami C3 C4 C5]
• SENSORY
- The phrenic nerves are sensory to the central part,
and the lower six thoracic nerves are sensory to the
peripheral part of diaphragm.
DEVELOPMENT of
diaphragm
• Diaphragm develops from the following sources-
- Septum transversum forms the central tendon
-Pleuroperitoneal membranes form the dorsal paired
portion
- Lateral thoracic wall contributes to circumferential
portion of the diaphragm
- Dorsal mesentery of esophagus forms the dorsal
unpaired portion
CLINICAL ANATOMY
 HICCOUGH OR HICCUP- This is due to the
spasmodic contraction of the diaphragm
a. peripheral, due to local irritation of diaphragm
or its nerve
b. central, due to irritation of the hiccough center in
medulla.
 SHOULDER TIP PAIN- This is because irritation of
the diaphragm may cause referred pain in the shoulder
because the phrenic nerve and supraclavicular nerves have
the same root values[C3,C4,C5]
 DIAPHRAGMATIC HERNIA
The types of hernia are
- congenital hernia
• Retrosternal hernia
• Posteriolateral hernia
• Posterior hernia
• Central hernia
-acquired hernia
• Traumatic hernia
• Hiatal hernia
Paralysis of the Diaphragm
• Diaphragmatic paralysis is due to an interruption in its
nervous supply. This can occur in the phrenic nerve,
cervical spinal cord, or the brainstem. It is most often
due to a lesion of the phrenic nerve:
• Mechanical trauma: ligation or damage to the nerve
during surgery.
• Compression: due to a tumour within the chest cavity.
• Myopathies: such as myasthenia gravis.
• Neuropathies: such diabetic neuropathy.
• Paralysis of the diaphragm produces a paradoxical
movement. The affected side of the diaphragm
moves upwards during inspiration, and downwards
during expiration.
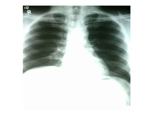
• A unilateral diaphragmatic paralysis is usually
asymptomatic and is most often an incidental
finding on x-ray. If both sides are paralysed, the
patient may experience poor exercise tolerance,
orthopnoea and fatigue.
• Lung function tests will show a restrictive deficit.
• Clinical Relevance: Subphrenic Abscesses
• The subphrenic recesses are potential spaces in the
supracolic compartment of the greater sac. They are
located between the diaphragm and the liver. There are
left and right subphrenic spaces, separated by the
falciform ligament of the liver.
• Subphrenic abscesses refer to an accumulation of pus
in the left or right subphrenic space. They are more
common on the right side due to the increased
frequency of appendicitis and ruptured duodenal
ulcers (pus from the appendix can track up to the
subphrenic space via the right paracolic gutter).
Diaphragm
Diaphragm
Diaphragm
Diaphragm
Diaphragm

Diaphragm

  • 1.
  • 2.
    INTRODUCTION • DEFINITION The diaphragmis a dome shaped muscle forming the partition between the thoracic and abdominal cavities. - Diaphragm is a chief muscle in respiration
  • 3.
  • 4.
    ORIGIN The muscle fibersare grouped into three parts; - The sternal part arises by two fleshy slips from the back of the xiphoid process. - The costal part arises from the inner surfaces of the cartilages. - The lumbar part arises from the medial and lateral lumbocostal arches.
  • 5.
    INSERTION • The centraltendon of the diaphragm lies below the pericardium • The tendon is trilobar in shape,made up of three leaflets - middle leaflets is triangular in shape and directed towards xiphoid process - right and left leaflets are tongue shaped and curved laterally and backward
  • 7.
  • 9.
    RELATIONS • SUPERIORLY - Pleurae,covering lungs - Pericardium, covering heart • INFERIORLY -Peritonium , liver - fundus of the stomach - spleen , kidneys and suprarenals
  • 10.
    NERVE SUPPLY • MOTOR -The phrenic nerves are the sole motor nerves to the diaphragm [ventral rami C3 C4 C5] • SENSORY - The phrenic nerves are sensory to the central part, and the lower six thoracic nerves are sensory to the peripheral part of diaphragm.
  • 12.
    DEVELOPMENT of diaphragm • Diaphragmdevelops from the following sources- - Septum transversum forms the central tendon -Pleuroperitoneal membranes form the dorsal paired portion - Lateral thoracic wall contributes to circumferential portion of the diaphragm - Dorsal mesentery of esophagus forms the dorsal unpaired portion
  • 14.
    CLINICAL ANATOMY  HICCOUGHOR HICCUP- This is due to the spasmodic contraction of the diaphragm a. peripheral, due to local irritation of diaphragm or its nerve b. central, due to irritation of the hiccough center in medulla.  SHOULDER TIP PAIN- This is because irritation of the diaphragm may cause referred pain in the shoulder because the phrenic nerve and supraclavicular nerves have the same root values[C3,C4,C5]
  • 15.
     DIAPHRAGMATIC HERNIA Thetypes of hernia are - congenital hernia • Retrosternal hernia • Posteriolateral hernia • Posterior hernia • Central hernia -acquired hernia • Traumatic hernia • Hiatal hernia
  • 17.
    Paralysis of theDiaphragm • Diaphragmatic paralysis is due to an interruption in its nervous supply. This can occur in the phrenic nerve, cervical spinal cord, or the brainstem. It is most often due to a lesion of the phrenic nerve: • Mechanical trauma: ligation or damage to the nerve during surgery. • Compression: due to a tumour within the chest cavity. • Myopathies: such as myasthenia gravis. • Neuropathies: such diabetic neuropathy.
  • 18.
    • Paralysis ofthe diaphragm produces a paradoxical movement. The affected side of the diaphragm moves upwards during inspiration, and downwards during expiration. • A unilateral diaphragmatic paralysis is usually asymptomatic and is most often an incidental finding on x-ray. If both sides are paralysed, the patient may experience poor exercise tolerance, orthopnoea and fatigue. • Lung function tests will show a restrictive deficit.
  • 20.
    • Clinical Relevance:Subphrenic Abscesses • The subphrenic recesses are potential spaces in the supracolic compartment of the greater sac. They are located between the diaphragm and the liver. There are left and right subphrenic spaces, separated by the falciform ligament of the liver. • Subphrenic abscesses refer to an accumulation of pus in the left or right subphrenic space. They are more common on the right side due to the increased frequency of appendicitis and ruptured duodenal ulcers (pus from the appendix can track up to the subphrenic space via the right paracolic gutter).