1
Dental Emergencies
Cecilia Young Yau Yau
楊幽幽醫生
Independent Researcher
https://publons.com/author/395765/cecilia-young#profile
https://www.slideshare.net/CeciliaYoung2
https://www.linkedin.com/in/cecilia-young-%E6%A5%8A%E5%B9%BD%E5%B9%BD-47166242/
2
Common Dental Emergencies
3
London
Hospital
4
If there is a dental injury, the impact site is the teeth, only the teeth and surrounding part
seemed to be injured, what should the patient do?
Go to the casualty in the nearest hospital on foot or by any transport 30.14%
Call an ambulance; go to the casualty in the nearest hospital 25.25%
Go to the nearest private doctor 7.74%
Go to the patient’s family doctor 5.22%
Go to a dentist 43.27%
Treat it by self 1.68%
Others 1.85%
Don’t Know 4.05%
The sum is more than 100% as teachers chose more than 1 option though it was supposed to choose 1.
Survey for HK Primary and Secondary school teachers. Cecilia Young et al
5
If there is a dental injury, the impact site is the teeth, only the teeth and
surrounding part seemed to be injured, what should the patient do?
Proportion (%)*
Go to the casualty in the nearest hospital on foot or by any transport 25.39
Call an ambulance; go to the casualty in the nearest hospital 15.59
Go to the nearest private doctor 5.25
Go to the patient’s family doctor 2.45
Go to a dentist 44.66
Treat it by self 4.20
Others 0.35
Don’t Know 14.71
The sum is more than 100% as students chose more than 1 option though it was supposed to choose 1.
Survey for HK secondary students Cecilia Young et al
6
Dental Trauma
7
Dental Trauma
1. Home
2. School
8
• Falls
• Sports
• Collisions
• Games
• Traffic accident
causes
9
Dental Trauma
• Fracture
• Luxation (moved but still in the
socket)
• Avulsion (out of the socket)
10
Keep the periodontal
cells on the root moist
and alive, ankylosis if
periodontal cells died
11
fracture
12
JO Andreasen et al. Textbook and Color Atlas of
]Traumatic Injuries to the Teeth 4th edition
13
Fracture and avulsion
14
Management of fracture
• milk
• Physiological saline
• saliva
• Keep the periodontal
cells moist and alive
otherwise dry out
• Refer to dentists
immediately
15
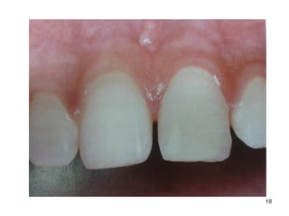
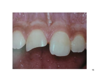
16
17
Part of fracture tooth, put in water otherwise whiter than the other part
18
19
20
fracture
• Some dentists choose filling (composite,
veneer or crown)
• Since you may not distinguish from a part
of root or a part of crown, put in milk,
physiological saline or saliva
• Refer to dentist immediately
21
luxation
22
Luxation (moved but still in the socket)
1. reposition
2. close the month and clenching of
upper and lower teeth
• if interfere, stop
• since it is still inside the mouth, root surface
periodontal cells still moist with saliva
• refer to dentist immediately
23
Avulsion (totally dislodged)
24
Disloged tooth (Avulsion)
• Find the tooth
• Hold the crown, not the root
• Do not damage the
periodontal cells on the root
25
If periodontal cells dies, ankylosis, replacement resorption.
Root will later disappear.
26
Left picture - replantation of upper right central incisor at age of 7
Right - since periodontal cells were dead,
ankylosis cause the surrounding bone not grow downward like other teeth,
therefore the caused infraocclusion of the upper right central incisor
JO Andreasen et al. Textbook and Color Atlas of Traumatic Injuries
the Teeth 4th edition P473
27
Very severe infraocclusion due to
ankylosis
JO Andreasen et al. Textbook and Color Atlas of Traumatic Injuries to the Teeth 4th edition
28
JO Andreasen et al. Textbook and Color Atlas of Traumatic Injuries to the Teeth 4th edition
29
-Ankylosis of the upper right cental
incisor
- therefore, the bone around will not
grow like the others downward
for 4 years
- surgery put it down with ankylosis
bone for function and esthetics
- later the root will completely
replaced by bone, then it will
dislodged and an implant is
indicated ankylosis
prevented by immediate replantation
on site or prompt replantation
JO Andreasen et al. Textbook and Color Atlas of
Traumatic Injuries to the Teeth 4th
edition P.786
30
JO Andreasen et al. Textbook and Color
Atlas of Traumatic Injuries to the Teeth 4th
edition
31
JO Andreasen et al. Textbook and Color Atlas of Traumatic Injuries to the Teeth 4th edition
32
Permanent teeth are lying under the
baby teeth
Baby teeth should not be put back, it
damages the permanent teeth
Permanent teeth should be replanted
33
Avulsion (dislodged)
• Reposition at the spot
• Or put in milk, physiological saline,
saliva, not other liquids
34
others
Cotton roll or gauze to stop bleeding
Put back the tooth is the best method to stop the
bleeding
Consider the airway
Put the tooth in milk, physiological saline or
saliva to treat
other problems.
35
Avulsion (dislodged)
Reposition/ replantation
1. Confirm permanent tooth
2. confident
3. Calm patient
4. Plug the sink
5. Rinse with tap water for 10 seconds
(better with physiological saline)
6. Reposition immediately
36
37
Use a piece of wet gauze to wrap from buccal to palatal
/ lingual, bite on it
38
Splinting – composite with/without wire or
bracket
39
40
Leif Blomlof. Effect of storage in media with different ion strengths
and
osmolalities on human periodontal ligaments cells
Scand.J.Dent.Res.1981:89:180-187
41
42
43
44
Dental abscess (Odontogenic – tooth)
- Pulpal origin – from apex (Endodontic origin 牙髓 )
- alveolar bone and gingival origin – (Periodontal 牙周 )
- Cysts that become infected
- Postoperative infections
- Root fracture that becomes infected
45
abscess from pulp (endodontic
origin)
http://monicaalegre.ifunnyblog.com/abscessafterapicoectomy/
46
Periodontal abscess (gum
origin)
http://www.intelligentdental.com/2009/09/10/all-about-gum-disease-part-2/
/
http://midcitysecuritydistrict.org/baptism-important-facts-about-hinduism-in-the-classical-period
47
6 years old - 3rd time of dental trauma
- upper right Central incisor died
48
The pulp died (at 6) before the root completion (the root
completion at around aged 9 if the pulp was not died).
49
Male 34, trauma at aged 28,remain untreated for 6 years, c/o swelling
1st visit - swelling – pulp died, Root canal tx, pus coming out from drilled hole
- antibiotics - amoxycillin and metronidazole - abscess not fluctuant
- signed to come for review / Incision and drainage next day
2nd day, review/ incision and drainage for the abscess – pulpal origin
50
Radiolucency – abscess, needle (file) for root canal
treatment – pus drainage from the tooth cavity.
51
F/25 Pain, swelling, lower second molar grossly caries, extraction, drainage at
gum, but still needed incision and drainage. Oral antibiotics-amoxycillin and
metronidazole.
signed – will call the clinic if not decreasing/ information academic use.
failed to appear the review next day. Replied to assistant much better.
52
Carious lower left first molar extracted, pus come out from
the socket, incision and drainage at buccal
53
Buccal space infection
Perforate outer cortical plate of jaw to buccinator
Buccal space connects – infraorbital space, periorbital tissue, facilitate spread of infection
54
55
Infraorbital space infection
Medial – near the inner canthus of the eye
Lateral – lateral canthus of the eye
Complicated by septic thrombophlibitis enters angular vein and cavernous sinus
– resulting cavernous sinus thrombosis
56
http://ermabexow.livejournal.com/2893.html
57
Orbital space infections
- Rare due to antimicrobial therapy
- Extension of dental infections from the
maxillary teeth or other nearby structures
to orbital space and tissue of the eyes
(rare but serious)
- Direct extension by way of fascial spaces
58
Orbital abscess
- Buccal cortical plate is very thin
- Infection from upper premolars and molars
penetrate the buccal plate above or below the origin of buccinator
attachment then through vein to orbit
- Infection from upper teeth roots to sinus ─﹥ sinusitis
- Upper anterior teeth spread through facial, angular or opthalmic
veins or by direct spread produce orbital cellulitis
59
Signs of orbital infection
• Swelling, chemosis (oedema of conjunciva), displacement of the
globe, decreasing visual acuity
• influencing extra-ocular movement, proptosis (forward displacement
of the eye), congestion, compression and constriction of the
diameter or infarction of the optic nerve, the retina and the choroids
causing optic neritis, optic atrophy and blindness
• If infection continues to spread along the optic canal and optic nerve
or the opthalmic vein, superior orbital fissure syndrome, orbital
apex syndrome, epidural and subdural empyema, meningitis,
cerebritis, cavernous sinus thrombosis, brain abscess and
death
60
Orbital abscess
Vision loss – case report M/38
(paper available, given to Dr Kam)
61
Major complications of severe
dental infection
• Cause septic thrombophlebitis
• Ascend into the cavernous sinus through
valveless veins coursing through the infraorbital
space
• Patient – with severe periobital and orbital
swelling, high fever, altered consciouness
• Involvement of optic foramen by infected
swelling can also resulted with pressure necrosis
of optic nerve and loss of vision
62
Treatment of dental cavernous
sinus thrombosis
• Extraction (removal of the source)
• Incision and drainage
• Parenteral antibiotic therapy
- cross blood brain barrier,
- effective against oral streptococci and anerobes,
- penicillin and metronidazole
- ceftazidime and metronidazole if penicillin allergy
- clindamycin does not cross the blood brain barrier and
is not a first line choice for cavernous sinus thrombosis
• anticoagulation
63
History taking
• Any recent toothache, erupting wisdom teeth or
recent dental procedure
• Trismus (limited opening of the mouth)
misdiagnosed as jaw problem
• All trismus patient should be assumed to have a
potential upper airway problem
• Inter- incisal less than 30mm – difficulties in
tubing
• Extra-oral examination - swelling
• Intra-oral examination – caries, pericoronitis
(most wisdom tooth), periodontal (gum) problem
64
65
Septic Cavernous sinus thrombosis
M49, chronic alcoholism, severe right lower molar dental pain for 7
days ( ? or upper). High graded fever 5 days before, difficulty of
opening his mouth, and swelling of the right buccal area. progressed to
be right-sided temporofrontal area swelling and pain.
2 days later, he developed periorbital swelling, marked right-sided
visual loss. proptosis, chemosis, and progressive total ophthalmoplegia
in both eyes
66
Septic Cavernous sinus thrombosis
67
Emergency tx and dx (Septic Cavernous sinus thrombosis)
1. Emergency abscess drainage
2. Cetriazone and clindamycin
3. the pus culture showed Pseudomonas aeruginosa. changed to
ceftazidime and clindamycin
(better plus metronidazole – anaerobes)
4 After dental examination – upper right molar (no 16)
5. The infection spread upward to the vestibular space, the infratemporal
space, finally to the orbit and from here, bilaterally to the cavernous
sinuses. It has also been associated with the right pterygomandibular
space infection leading to the parapharyngeal space involvement.
6. His six teeth were extracted to get rid of the infection
Bilateral Septic Cavernous Sinus Thrombosis Following
the Masticator and Parapharyngeal Space Infection
from the Odontogenic Origin: A Case Report†
Weerawat Kiddee MD J Med Assoc Thai 2010; 93 (9): 1107-11
68
Brain abscess (pyogenic)
Causes
- Rare (1 - 2% of all intra-cranial mass in western
countries, 8% in developing countries)1,2
- from blood or contiguity
- trauma, neurosurgical complication, dental, ear
infection,paranasal sinuses infection
- Nerologist, neuroradiologist, infectios disease
specialist
1. Loftus CM, Osenbach RK, Biller J. Diagnosis and management of brain abscess. In: Wilkins RH, Rengachary SS, editors. Neurosurgery. 2nd ed.,
vol 3. New York:McGraw-Hill; 1996. p. 3285e98.
2. Sharma BS, Gupta SK, Khosla VK. Current concepts in the management ofpyogenic brain abscess. Neurol India 2000;48:105e11.
69
Brain abscess (pyogenic)
- CT (with contrast), MRI (recognize pyogenic abscesses fairly accurately)
• Radiological features alone are inadequate to differentiate pyogenic
brain abscess from fungal, nocardial or tuberculous abscess, inflammatory
granuloma (tuberculoma), neurocysticercosis, toxoplasmosis,metastasis,
glioma, resolving haematoma, infarct, hydatid cyst lymphoma and
radionecrosis.
• However, fever, meningism, raised ESR, multilocularity, leptomeningeal or
ependymal enhancement, reduction of ring enhancement in delayed scan
and finding of gas within the lesion favor a diagnosis of abscess.
- Most important the history – in case of dental origin – dental infection signs
and symptoms
point 1-3
Dattatraya Muzumdar
Brain abscess: An overview
International Journal of Surgery 9 (2011)
136e144
70
Brain abscess (pyogenic)
Treatment
- remove the cause
- Drainage
- Resection of the abscess following
craniotomy
- Antibiotics
- +/- Anticonvulsant therapy (Legg advocate).
71
Brain abscess – rare - dental origin (odontogenic)
72
73
Brain abscess M/54
Presentation: right hemiparesis and epileptic fits.
After the clinical, laboratory and imaging examination a
diagnosis of cerebral abscess of the left parietal lobe
was made (Figs. 1 and 2).
74
Brain abscess M/54
search for source of infection, after examining the whole
body for possible ‘septic’ foci with the corresponding
clinical,imaging and laboratory investigations, the head and
neck area was found more suspicious.
thus opinions were requested. ENT colleagues could find
no cause for the infection.
Intraoral clinical and radiological examination, including a
panoramic radiograph and a Dentascan, confirmed the
presence of generalized periodontal (gum) disease,
multiple dental caries and periapical pathology (Fig. 3).
75
Brain abscess M/54
76
Brain abscess M/54
Treatment included
(i) Immediate administration of high dose intravenous antibiotics
(ii) Craniotomy and resection of the abscess cavity (Fig. 4)
(iii) removal of the periodontally diseased and decayed teeth,
alveoloplasty, and construction of immediate upper and lower complete
dentures
Muscular power on the right side slowly improved
over the following weeks, and on the day of discharge
the patient presented with a slight improvement of
mobility and no more epileptic fits. Twenty-nine
months postoperatively, the patient had almost
recovered from the hemiparesis, although he complains
of slightly sub-optimal speechediate
77
Mandibular dental infection
78
Mandibular dental infection
-Anterior to submandibular,
sublingual and submental
spaces
-Posterior to the tooth bearing
portion of the mandible in the
angle-ramus areas such as
messeteric and
pterygomandibular spaces
called masticator space
caused severe trismus
79
Submandibular space infection
- Arises from mandibular molar teeth
- Presents as an inverted triangular
swelling, extended from the inferior
border of the mandible to the hyoid bone
and posterior belly of the digastric
muscles
80
Infection can spread rapidly to
the contralateral side
-and to the sublingual space
superiorly, and submental space
anterioly.
-Lugwig’s angina – rapidly
progressive cellulitis involving
bilateral submandibular,
sublingual spaces and the
submental space
81
Ludwig angina
Rapidly progressive cellulitis of the floor of
the mouth, involves the submandibular,
submaxillary and sublingual spaces
82
General presentation
Swelling
Pain
elevation of the tongue
Malaise
Fever
neck swelling and dysphagia
83
Ludwig angina
- Potential life threatening infection
- Associated with potential airway
compromise
- May be very rapid
- Submandibular, sublingual, submental
spaces to styloid muscles through the
buccopharynegeal gap into the lateral
pharyngeal and retropharyngeal spaces
84
Causes of masticator space
infection
- Infection of mandibular molar teeth
- Especially the third molar (wisdom tooth)
- Depress the tongue, open the mouth to
maximum, redden anterior tonsillar pillar,
edematous uvula.
85
Major complications of severe
dental infection
• Airway obstruction
• Asphyxiation
• Infection can encircle the airway by
spreading rapidly to involve the lateral
pharyngeal and retropharyngeal spaces
• Rupture of an abscess causes aspiration
of pus
86
87
diagnosis- Airway compromise – trismus, tongue elevation, difficulty in
swallowing, stridor and respiratory compromise, Spaces involved,
Precise etiology of infection
- Significant sublingual space infection/swelling – cannot elevate the
tongue to the vermilion border of the upper lip
- A retropharyngeal or lateral pharyngeal space abscess can result in
muffling (low, dull) of the voice
- Deviation of the head toward the opposite side could indicate a
lateral pharyngeal space swelling
- A retropharyngeal space abscess can cause patient to assume the
“sniffing position”, serves to straighten the upper airway
- An impending airway collapse should be suspected if patient is
sitting in a sniffing position, drooling and the use of accessory
muscle of respiration – should not place supine position
- senior anesthetic expertise is required immeditately
88
review clinical records of patients diagnosed with Ludwig angina, Khon
Kaen Thailand 1996-2002
Be careful, no anaerobe culture is done. (anaerobe is
very common in periodontal - gum origin) – should
give metronidazole
89
review clinical records of patients diagnosed with Ludwig angina, Khon Kaen Thailand 1996-2002
Dysphagia – painful swallowing
90
1978-2003
91
Review 1978-2003
92
1997-2006
93
conclusion
1. Maintaining a secure airway
2. Early surgical drainage and removal of the
source of infection – in severe case, cellulitis
and abscess should be drained.
3. Antibiotics in high IV dose are an adjunct
not primary treatment – gram+ve, gram-ve and
anaerobes – penicillin, clindamycin and
metronidazole
94
Descending necrotizing
mediastinitis
95
• Caused by dental or deep cervical
infection such as tonsillitis or pharyngitis
• Spread through the cervical fascial planes
Descending necrotizing mediastinitis
96
Descending necrotizing
mediastinitis
• Airway management is most important
• Involvement of cardiothoracic surgeon
• 1. Gram positive such as B- lactam or
vancomycin
• 2. and anaerobic coverage with clindamycin or
metronidazole
• 3. Third antibiotics for enteric gram –ve rods,
such as ticarcillin- clavulanate or gentamicin
97
1998 and 2006, 10 patients with odontogenic origin, Deep neck infection, Department of ENT, U of Freiburg Germany
98
1998 and 2006, 10 patients with odontogenic origin, Deep neck infection, Department of ENT, U of Freiburg Germany
99
April 2007 – Feb 2009 Bulgaria
100
Dental needle 1.5 inches longer to
compare with 1.7 ml solution
101
Dental needle 1 inch longer after
injection of all solution
102
http://
www.nature.com/gimo/contents/pt1/fig_
103
a
104
Emergency Medicine Procedures
Chp 154
105
Indications
• a pulpal or periodontal abscess
• with clinical evidence of alveolar
penetration and soft tissue spread
• cellulitic processes (refer to OM Surgeon)
• Extraoral incision and drainage is
indicated for dental infections progressing
toward inevitable spontaneous extraoral
drainage (refer to OM surgeon)
106
Local infiltration
Upper teeth
Buccal abscess
- Inject more apical to the abscess by infiltration (near root
apex)
- cut coronal to the mucobuccal fold (near crown)
- Cut near coronal part of the abscess
Palatal abscess
- Inject 1 cm medial to the tooth
- Cut the most coronal part of the abscess
107
Local infiltration
Lower teeth
Buccal abscess
- Inject more apical/posterior to the abscess by infiltration (near
root apex)
- cut coronal to the mucobuccal fold (near crown)
- Cut near coronal part of the abscess
Lingual abscess
- Inject more apical/posterior to the abscess by infiltration
- Cut coronal to the lingual fold
- Never cut more than 1 cm from the cemento- enamel junction
108
Buccal injection – more apical/
posterior to the abscess
109
Palatal injection – posterior to the
abscess
110
Buccal injection – more
apical/posterior to the abscess
111
More apical to the abscess
112
greatest fluctuance
Figure A is suggested
- safe for physicians
113
Should not cut to the floor of the mouth
114
The gingiva under the calculus is inflammed, damaged,
bleeding
牙石下的牙肉被細菌侵害,發炎但看
不見
115
Ultrasonic vibration to loosen the calculus without any
damage to gums
洗牙器不是鑽,只是震鬆牙石,圖中牙
石已被震鬆,過程沒有傷害牙肉
116
gums damaged by plaque exposed not by
scaling process
取走牙石後,露出本來發炎的牙肉,
流血的問題才被發現
117
Bleeding after scaling
• No treatment is needed but explanation
• Should brush along the gum line to
remove the plaque accumulation
• Bleeding disappear 7-10 days if proper
brushing
• Chlorhexidine mouthrinse help to
decrease bacteria, decrease inflammation
faster, therefore decrease bleeding faster
118
Normal wound - a hole filled with
blood clot, some blood can be seen
due to moving/tearing of wound
and saliva
119
Normal wound – pressure - there is a
clot forms in 4 minutes
– can use surgicel
120
The wound is exactly the same size
of the original exposed crown
121
For surgical removal of an
impacted tooth or a retained root
122
The hole is exactly the same before
the surgery
123
Instruction after extraction
1. No food, No chewing for 4 hours due to injection, otherwise you bite and burn
yourself. You can DRINK cold drink if hungry
2. No hot food and hot drink for 1 whole day after extraction, otherwise it dissolves
the blood clot and causes bleeding. You can eat and drink room temperature food
and drink after the injection is gone.
3. No vigorous exercise, alcohol and heavy physical work, otherwise it causes
bleeding.
4. Absolutely no spitting and no rinsing after extraction for 1 whole day, otherwise it
tears the wound and the blood clot.
5. Please swallow or wipe off the saliva, otherwise it dissolves/mixes the blood clot
and bleeds again.
6. In bleeding occurs (not the saliva mixed with the blood clot), place cotton wool
rolls or cotton pads above the wound and bite hard for 15 minutes. Redo if
necessary. Make sure there is direct pressure on the wound.
Correct: gauzepresson wound, Incorrect: gauzeon teeth, no pressureon wound
pressurestopsbleeding
7. In pain occurs, take the painkillers 1-2 tablets.
8. Swelling is very normal after surgical removal of teeth, especially it starts next
morning after extraction. Keep calm; it will subside in 3-4 days in a normal
healing procedure.
9. Take soft food or fluid food until feel comfortable.
10. Brush and floss the teeth on the second day, especially the teeth adjacent to the
wound.
11. Absorbable suture is not suitable in mouth, you should come back for suture
124
To stop bleeding
• Mechanical – pressure
• Absorbable dressing – gelfoam and surgicel
• Local Anesthesia with adrenaline
• Re-examine
1. granulation tissue – removal / Cauterization with silver
nitrate/ electrocautery
2. gingival tears – suture
3. a bone spur – blunt it or removal the sharp part with
rongeur or cover it with bone wax
4. partially transected vessel - An exposed and bleeding arteriole or
venule can be controlled with
cauterization (silver nitrate or
electrocautery) or the application of a
plain gut suture through the vessel.
125
References
• 1. Editorial - Ludwig angina - the longest distance in the planet
• https://bit.ly/2N6fpeZ
• 2. 香港教師急需學習牙齒急救 2013 年 08 月 07 日
• https://bit.ly/2L7SKP9
• 3. 牙愈洗愈傷 純屬謬誤 2018 年 3 月 1 日 東方日報
• https://bit.ly/2zslbWs
• 4. 醫知健:撞 甩牙 應放回原位 – 2014 年 1 月 11 日 太陽報
• https://bit.ly/2JcU4y8
• 5. 恆齒 受創甩脫 救牙有法 – 2014 年 1 月 11 日 東方日報
• https://bit.ly/2uoG0My
• 6. 口腔臉頰創傷護理 - 香港大學牙醫學院
• https://bit.ly/2mewAQt
• 7. Ludwig Angina – To tell or not to tell?
• https://bit.ly/2JeoDUf
• 8. Maxillofacial trauma and Psychological Stress
• https://bit.ly/2NGTTPd
• 9. Effectiveness of educational poster on knowledge of emergency management of dental trauma-part 1.RCT
• https://bit.ly/2NIIPRR
• 10. Effectiveness of educational poster on knowledge of emergency management of dental trauma-part 2. RCT
• https://bit.ly/2ubv0D5
• 11. Emergency management of dental trauma knowledge of Hong Kong primary and secondary school teachers
• https://bit.ly/2KZzV3v
• 12. 不足兩成教師懂搶救飛脫牙
• https://bit.ly/2zrIXll
• 13. Extraction experience - 朱祖恩 : 事前詳細解釋 過程不到半小時
• https://bit.ly/2LaXhjS
• 14. 口腔臉頰創傷護理 - 香港大學牙醫學院
• https://bit.ly/2umSBjH
126
References
127
www.nature.com/gimo/contents/pt1/fig_tab/gimo2_F5.html
References
128
JO Andreasen et al. Textbook and Color Atlas of
]Traumatic Injuries to the Teeth 4th edition
JO Andreasen et al. Textbook and Color Atlas of Traumatic Injuries to the Teeth 4th edition P473
JO Andreasen et al. Textbook and Color Atlas of Traumatic Injuries to the Teeth 4th edition
http://midcitysecuritydistrict.org/baptism-important-facts-about-hinduism-in-the-classical-period
• The whole content of this Powerpoint
slides were a seminar in 2012, and cited in
a paper.
• Please contact us
ceciliatyp@yahoo.com.hk if there is any
copyright issue.
129
130
Thank You

Dental Emergencies

  • 1.
    1 Dental Emergencies Cecilia YoungYau Yau 楊幽幽醫生 Independent Researcher https://publons.com/author/395765/cecilia-young#profile https://www.slideshare.net/CeciliaYoung2 https://www.linkedin.com/in/cecilia-young-%E6%A5%8A%E5%B9%BD%E5%B9%BD-47166242/
  • 2.
  • 3.
  • 4.
    4 If there isa dental injury, the impact site is the teeth, only the teeth and surrounding part seemed to be injured, what should the patient do? Go to the casualty in the nearest hospital on foot or by any transport 30.14% Call an ambulance; go to the casualty in the nearest hospital 25.25% Go to the nearest private doctor 7.74% Go to the patient’s family doctor 5.22% Go to a dentist 43.27% Treat it by self 1.68% Others 1.85% Don’t Know 4.05% The sum is more than 100% as teachers chose more than 1 option though it was supposed to choose 1. Survey for HK Primary and Secondary school teachers. Cecilia Young et al
  • 5.
    5 If there isa dental injury, the impact site is the teeth, only the teeth and surrounding part seemed to be injured, what should the patient do? Proportion (%)* Go to the casualty in the nearest hospital on foot or by any transport 25.39 Call an ambulance; go to the casualty in the nearest hospital 15.59 Go to the nearest private doctor 5.25 Go to the patient’s family doctor 2.45 Go to a dentist 44.66 Treat it by self 4.20 Others 0.35 Don’t Know 14.71 The sum is more than 100% as students chose more than 1 option though it was supposed to choose 1. Survey for HK secondary students Cecilia Young et al
  • 6.
  • 7.
  • 8.
    8 • Falls • Sports •Collisions • Games • Traffic accident causes
  • 9.
    9 Dental Trauma • Fracture •Luxation (moved but still in the socket) • Avulsion (out of the socket)
  • 10.
    10 Keep the periodontal cellson the root moist and alive, ankylosis if periodontal cells died
  • 11.
  • 12.
    12 JO Andreasen etal. Textbook and Color Atlas of ]Traumatic Injuries to the Teeth 4th edition
  • 13.
  • 14.
    14 Management of fracture •milk • Physiological saline • saliva • Keep the periodontal cells moist and alive otherwise dry out • Refer to dentists immediately
  • 15.
  • 16.
  • 17.
    17 Part of fracturetooth, put in water otherwise whiter than the other part
  • 18.
  • 19.
  • 20.
    20 fracture • Some dentistschoose filling (composite, veneer or crown) • Since you may not distinguish from a part of root or a part of crown, put in milk, physiological saline or saliva • Refer to dentist immediately
  • 21.
  • 22.
    22 Luxation (moved butstill in the socket) 1. reposition 2. close the month and clenching of upper and lower teeth • if interfere, stop • since it is still inside the mouth, root surface periodontal cells still moist with saliva • refer to dentist immediately
  • 23.
  • 24.
    24 Disloged tooth (Avulsion) •Find the tooth • Hold the crown, not the root • Do not damage the periodontal cells on the root
  • 25.
    25 If periodontal cellsdies, ankylosis, replacement resorption. Root will later disappear.
  • 26.
    26 Left picture -replantation of upper right central incisor at age of 7 Right - since periodontal cells were dead, ankylosis cause the surrounding bone not grow downward like other teeth, therefore the caused infraocclusion of the upper right central incisor JO Andreasen et al. Textbook and Color Atlas of Traumatic Injuries the Teeth 4th edition P473
  • 27.
    27 Very severe infraocclusiondue to ankylosis JO Andreasen et al. Textbook and Color Atlas of Traumatic Injuries to the Teeth 4th edition
  • 28.
    28 JO Andreasen etal. Textbook and Color Atlas of Traumatic Injuries to the Teeth 4th edition
  • 29.
    29 -Ankylosis of theupper right cental incisor - therefore, the bone around will not grow like the others downward for 4 years - surgery put it down with ankylosis bone for function and esthetics - later the root will completely replaced by bone, then it will dislodged and an implant is indicated ankylosis prevented by immediate replantation on site or prompt replantation JO Andreasen et al. Textbook and Color Atlas of Traumatic Injuries to the Teeth 4th edition P.786
  • 30.
    30 JO Andreasen etal. Textbook and Color Atlas of Traumatic Injuries to the Teeth 4th edition
  • 31.
    31 JO Andreasen etal. Textbook and Color Atlas of Traumatic Injuries to the Teeth 4th edition
  • 32.
    32 Permanent teeth arelying under the baby teeth Baby teeth should not be put back, it damages the permanent teeth Permanent teeth should be replanted
  • 33.
    33 Avulsion (dislodged) • Repositionat the spot • Or put in milk, physiological saline, saliva, not other liquids
  • 34.
    34 others Cotton roll orgauze to stop bleeding Put back the tooth is the best method to stop the bleeding Consider the airway Put the tooth in milk, physiological saline or saliva to treat other problems.
  • 35.
    35 Avulsion (dislodged) Reposition/ replantation 1.Confirm permanent tooth 2. confident 3. Calm patient 4. Plug the sink 5. Rinse with tap water for 10 seconds (better with physiological saline) 6. Reposition immediately
  • 36.
  • 37.
    37 Use a pieceof wet gauze to wrap from buccal to palatal / lingual, bite on it
  • 38.
    38 Splinting – compositewith/without wire or bracket
  • 39.
  • 40.
    40 Leif Blomlof. Effectof storage in media with different ion strengths and osmolalities on human periodontal ligaments cells Scand.J.Dent.Res.1981:89:180-187
  • 41.
  • 42.
  • 43.
  • 44.
    44 Dental abscess (Odontogenic– tooth) - Pulpal origin – from apex (Endodontic origin 牙髓 ) - alveolar bone and gingival origin – (Periodontal 牙周 ) - Cysts that become infected - Postoperative infections - Root fracture that becomes infected
  • 45.
    45 abscess from pulp(endodontic origin) http://monicaalegre.ifunnyblog.com/abscessafterapicoectomy/
  • 46.
  • 47.
    47 6 years old- 3rd time of dental trauma - upper right Central incisor died
  • 48.
    48 The pulp died(at 6) before the root completion (the root completion at around aged 9 if the pulp was not died).
  • 49.
    49 Male 34, traumaat aged 28,remain untreated for 6 years, c/o swelling 1st visit - swelling – pulp died, Root canal tx, pus coming out from drilled hole - antibiotics - amoxycillin and metronidazole - abscess not fluctuant - signed to come for review / Incision and drainage next day 2nd day, review/ incision and drainage for the abscess – pulpal origin
  • 50.
    50 Radiolucency – abscess,needle (file) for root canal treatment – pus drainage from the tooth cavity.
  • 51.
    51 F/25 Pain, swelling,lower second molar grossly caries, extraction, drainage at gum, but still needed incision and drainage. Oral antibiotics-amoxycillin and metronidazole. signed – will call the clinic if not decreasing/ information academic use. failed to appear the review next day. Replied to assistant much better.
  • 52.
    52 Carious lower leftfirst molar extracted, pus come out from the socket, incision and drainage at buccal
  • 53.
    53 Buccal space infection Perforateouter cortical plate of jaw to buccinator Buccal space connects – infraorbital space, periorbital tissue, facilitate spread of infection
  • 54.
  • 55.
    55 Infraorbital space infection Medial– near the inner canthus of the eye Lateral – lateral canthus of the eye Complicated by septic thrombophlibitis enters angular vein and cavernous sinus – resulting cavernous sinus thrombosis
  • 56.
  • 57.
    57 Orbital space infections -Rare due to antimicrobial therapy - Extension of dental infections from the maxillary teeth or other nearby structures to orbital space and tissue of the eyes (rare but serious) - Direct extension by way of fascial spaces
  • 58.
    58 Orbital abscess - Buccalcortical plate is very thin - Infection from upper premolars and molars penetrate the buccal plate above or below the origin of buccinator attachment then through vein to orbit - Infection from upper teeth roots to sinus ─﹥ sinusitis - Upper anterior teeth spread through facial, angular or opthalmic veins or by direct spread produce orbital cellulitis
  • 59.
    59 Signs of orbitalinfection • Swelling, chemosis (oedema of conjunciva), displacement of the globe, decreasing visual acuity • influencing extra-ocular movement, proptosis (forward displacement of the eye), congestion, compression and constriction of the diameter or infarction of the optic nerve, the retina and the choroids causing optic neritis, optic atrophy and blindness • If infection continues to spread along the optic canal and optic nerve or the opthalmic vein, superior orbital fissure syndrome, orbital apex syndrome, epidural and subdural empyema, meningitis, cerebritis, cavernous sinus thrombosis, brain abscess and death
  • 60.
    60 Orbital abscess Vision loss– case report M/38 (paper available, given to Dr Kam)
  • 61.
    61 Major complications ofsevere dental infection • Cause septic thrombophlebitis • Ascend into the cavernous sinus through valveless veins coursing through the infraorbital space • Patient – with severe periobital and orbital swelling, high fever, altered consciouness • Involvement of optic foramen by infected swelling can also resulted with pressure necrosis of optic nerve and loss of vision
  • 62.
    62 Treatment of dentalcavernous sinus thrombosis • Extraction (removal of the source) • Incision and drainage • Parenteral antibiotic therapy - cross blood brain barrier, - effective against oral streptococci and anerobes, - penicillin and metronidazole - ceftazidime and metronidazole if penicillin allergy - clindamycin does not cross the blood brain barrier and is not a first line choice for cavernous sinus thrombosis • anticoagulation
  • 63.
    63 History taking • Anyrecent toothache, erupting wisdom teeth or recent dental procedure • Trismus (limited opening of the mouth) misdiagnosed as jaw problem • All trismus patient should be assumed to have a potential upper airway problem • Inter- incisal less than 30mm – difficulties in tubing • Extra-oral examination - swelling • Intra-oral examination – caries, pericoronitis (most wisdom tooth), periodontal (gum) problem
  • 64.
  • 65.
    65 Septic Cavernous sinusthrombosis M49, chronic alcoholism, severe right lower molar dental pain for 7 days ( ? or upper). High graded fever 5 days before, difficulty of opening his mouth, and swelling of the right buccal area. progressed to be right-sided temporofrontal area swelling and pain. 2 days later, he developed periorbital swelling, marked right-sided visual loss. proptosis, chemosis, and progressive total ophthalmoplegia in both eyes
  • 66.
  • 67.
    67 Emergency tx anddx (Septic Cavernous sinus thrombosis) 1. Emergency abscess drainage 2. Cetriazone and clindamycin 3. the pus culture showed Pseudomonas aeruginosa. changed to ceftazidime and clindamycin (better plus metronidazole – anaerobes) 4 After dental examination – upper right molar (no 16) 5. The infection spread upward to the vestibular space, the infratemporal space, finally to the orbit and from here, bilaterally to the cavernous sinuses. It has also been associated with the right pterygomandibular space infection leading to the parapharyngeal space involvement. 6. His six teeth were extracted to get rid of the infection Bilateral Septic Cavernous Sinus Thrombosis Following the Masticator and Parapharyngeal Space Infection from the Odontogenic Origin: A Case Report† Weerawat Kiddee MD J Med Assoc Thai 2010; 93 (9): 1107-11
  • 68.
    68 Brain abscess (pyogenic) Causes -Rare (1 - 2% of all intra-cranial mass in western countries, 8% in developing countries)1,2 - from blood or contiguity - trauma, neurosurgical complication, dental, ear infection,paranasal sinuses infection - Nerologist, neuroradiologist, infectios disease specialist 1. Loftus CM, Osenbach RK, Biller J. Diagnosis and management of brain abscess. In: Wilkins RH, Rengachary SS, editors. Neurosurgery. 2nd ed., vol 3. New York:McGraw-Hill; 1996. p. 3285e98. 2. Sharma BS, Gupta SK, Khosla VK. Current concepts in the management ofpyogenic brain abscess. Neurol India 2000;48:105e11.
  • 69.
    69 Brain abscess (pyogenic) -CT (with contrast), MRI (recognize pyogenic abscesses fairly accurately) • Radiological features alone are inadequate to differentiate pyogenic brain abscess from fungal, nocardial or tuberculous abscess, inflammatory granuloma (tuberculoma), neurocysticercosis, toxoplasmosis,metastasis, glioma, resolving haematoma, infarct, hydatid cyst lymphoma and radionecrosis. • However, fever, meningism, raised ESR, multilocularity, leptomeningeal or ependymal enhancement, reduction of ring enhancement in delayed scan and finding of gas within the lesion favor a diagnosis of abscess. - Most important the history – in case of dental origin – dental infection signs and symptoms point 1-3 Dattatraya Muzumdar Brain abscess: An overview International Journal of Surgery 9 (2011) 136e144
  • 70.
    70 Brain abscess (pyogenic) Treatment -remove the cause - Drainage - Resection of the abscess following craniotomy - Antibiotics - +/- Anticonvulsant therapy (Legg advocate).
  • 71.
    71 Brain abscess –rare - dental origin (odontogenic)
  • 72.
  • 73.
    73 Brain abscess M/54 Presentation:right hemiparesis and epileptic fits. After the clinical, laboratory and imaging examination a diagnosis of cerebral abscess of the left parietal lobe was made (Figs. 1 and 2).
  • 74.
    74 Brain abscess M/54 searchfor source of infection, after examining the whole body for possible ‘septic’ foci with the corresponding clinical,imaging and laboratory investigations, the head and neck area was found more suspicious. thus opinions were requested. ENT colleagues could find no cause for the infection. Intraoral clinical and radiological examination, including a panoramic radiograph and a Dentascan, confirmed the presence of generalized periodontal (gum) disease, multiple dental caries and periapical pathology (Fig. 3).
  • 75.
  • 76.
    76 Brain abscess M/54 Treatmentincluded (i) Immediate administration of high dose intravenous antibiotics (ii) Craniotomy and resection of the abscess cavity (Fig. 4) (iii) removal of the periodontally diseased and decayed teeth, alveoloplasty, and construction of immediate upper and lower complete dentures Muscular power on the right side slowly improved over the following weeks, and on the day of discharge the patient presented with a slight improvement of mobility and no more epileptic fits. Twenty-nine months postoperatively, the patient had almost recovered from the hemiparesis, although he complains of slightly sub-optimal speechediate
  • 77.
  • 78.
    78 Mandibular dental infection -Anteriorto submandibular, sublingual and submental spaces -Posterior to the tooth bearing portion of the mandible in the angle-ramus areas such as messeteric and pterygomandibular spaces called masticator space caused severe trismus
  • 79.
    79 Submandibular space infection -Arises from mandibular molar teeth - Presents as an inverted triangular swelling, extended from the inferior border of the mandible to the hyoid bone and posterior belly of the digastric muscles
  • 80.
    80 Infection can spreadrapidly to the contralateral side -and to the sublingual space superiorly, and submental space anterioly. -Lugwig’s angina – rapidly progressive cellulitis involving bilateral submandibular, sublingual spaces and the submental space
  • 81.
    81 Ludwig angina Rapidly progressivecellulitis of the floor of the mouth, involves the submandibular, submaxillary and sublingual spaces
  • 82.
    82 General presentation Swelling Pain elevation ofthe tongue Malaise Fever neck swelling and dysphagia
  • 83.
    83 Ludwig angina - Potentiallife threatening infection - Associated with potential airway compromise - May be very rapid - Submandibular, sublingual, submental spaces to styloid muscles through the buccopharynegeal gap into the lateral pharyngeal and retropharyngeal spaces
  • 84.
    84 Causes of masticatorspace infection - Infection of mandibular molar teeth - Especially the third molar (wisdom tooth) - Depress the tongue, open the mouth to maximum, redden anterior tonsillar pillar, edematous uvula.
  • 85.
    85 Major complications ofsevere dental infection • Airway obstruction • Asphyxiation • Infection can encircle the airway by spreading rapidly to involve the lateral pharyngeal and retropharyngeal spaces • Rupture of an abscess causes aspiration of pus
  • 86.
  • 87.
    87 diagnosis- Airway compromise– trismus, tongue elevation, difficulty in swallowing, stridor and respiratory compromise, Spaces involved, Precise etiology of infection - Significant sublingual space infection/swelling – cannot elevate the tongue to the vermilion border of the upper lip - A retropharyngeal or lateral pharyngeal space abscess can result in muffling (low, dull) of the voice - Deviation of the head toward the opposite side could indicate a lateral pharyngeal space swelling - A retropharyngeal space abscess can cause patient to assume the “sniffing position”, serves to straighten the upper airway - An impending airway collapse should be suspected if patient is sitting in a sniffing position, drooling and the use of accessory muscle of respiration – should not place supine position - senior anesthetic expertise is required immeditately
  • 88.
    88 review clinical recordsof patients diagnosed with Ludwig angina, Khon Kaen Thailand 1996-2002 Be careful, no anaerobe culture is done. (anaerobe is very common in periodontal - gum origin) – should give metronidazole
  • 89.
    89 review clinical recordsof patients diagnosed with Ludwig angina, Khon Kaen Thailand 1996-2002 Dysphagia – painful swallowing
  • 90.
  • 91.
  • 92.
  • 93.
    93 conclusion 1. Maintaining asecure airway 2. Early surgical drainage and removal of the source of infection – in severe case, cellulitis and abscess should be drained. 3. Antibiotics in high IV dose are an adjunct not primary treatment – gram+ve, gram-ve and anaerobes – penicillin, clindamycin and metronidazole
  • 94.
  • 95.
    95 • Caused bydental or deep cervical infection such as tonsillitis or pharyngitis • Spread through the cervical fascial planes Descending necrotizing mediastinitis
  • 96.
    96 Descending necrotizing mediastinitis • Airwaymanagement is most important • Involvement of cardiothoracic surgeon • 1. Gram positive such as B- lactam or vancomycin • 2. and anaerobic coverage with clindamycin or metronidazole • 3. Third antibiotics for enteric gram –ve rods, such as ticarcillin- clavulanate or gentamicin
  • 97.
    97 1998 and 2006,10 patients with odontogenic origin, Deep neck infection, Department of ENT, U of Freiburg Germany
  • 98.
    98 1998 and 2006,10 patients with odontogenic origin, Deep neck infection, Department of ENT, U of Freiburg Germany
  • 99.
    99 April 2007 –Feb 2009 Bulgaria
  • 100.
    100 Dental needle 1.5inches longer to compare with 1.7 ml solution
  • 101.
    101 Dental needle 1inch longer after injection of all solution
  • 102.
  • 103.
  • 104.
  • 105.
    105 Indications • a pulpalor periodontal abscess • with clinical evidence of alveolar penetration and soft tissue spread • cellulitic processes (refer to OM Surgeon) • Extraoral incision and drainage is indicated for dental infections progressing toward inevitable spontaneous extraoral drainage (refer to OM surgeon)
  • 106.
    106 Local infiltration Upper teeth Buccalabscess - Inject more apical to the abscess by infiltration (near root apex) - cut coronal to the mucobuccal fold (near crown) - Cut near coronal part of the abscess Palatal abscess - Inject 1 cm medial to the tooth - Cut the most coronal part of the abscess
  • 107.
    107 Local infiltration Lower teeth Buccalabscess - Inject more apical/posterior to the abscess by infiltration (near root apex) - cut coronal to the mucobuccal fold (near crown) - Cut near coronal part of the abscess Lingual abscess - Inject more apical/posterior to the abscess by infiltration - Cut coronal to the lingual fold - Never cut more than 1 cm from the cemento- enamel junction
  • 108.
    108 Buccal injection –more apical/ posterior to the abscess
  • 109.
    109 Palatal injection –posterior to the abscess
  • 110.
    110 Buccal injection –more apical/posterior to the abscess
  • 111.
    111 More apical tothe abscess
  • 112.
    112 greatest fluctuance Figure Ais suggested - safe for physicians
  • 113.
    113 Should not cutto the floor of the mouth
  • 114.
    114 The gingiva underthe calculus is inflammed, damaged, bleeding 牙石下的牙肉被細菌侵害,發炎但看 不見
  • 115.
    115 Ultrasonic vibration toloosen the calculus without any damage to gums 洗牙器不是鑽,只是震鬆牙石,圖中牙 石已被震鬆,過程沒有傷害牙肉
  • 116.
    116 gums damaged byplaque exposed not by scaling process 取走牙石後,露出本來發炎的牙肉, 流血的問題才被發現
  • 117.
    117 Bleeding after scaling •No treatment is needed but explanation • Should brush along the gum line to remove the plaque accumulation • Bleeding disappear 7-10 days if proper brushing • Chlorhexidine mouthrinse help to decrease bacteria, decrease inflammation faster, therefore decrease bleeding faster
  • 118.
    118 Normal wound -a hole filled with blood clot, some blood can be seen due to moving/tearing of wound and saliva
  • 119.
    119 Normal wound –pressure - there is a clot forms in 4 minutes – can use surgicel
  • 120.
    120 The wound isexactly the same size of the original exposed crown
  • 121.
    121 For surgical removalof an impacted tooth or a retained root
  • 122.
    122 The hole isexactly the same before the surgery
  • 123.
    123 Instruction after extraction 1.No food, No chewing for 4 hours due to injection, otherwise you bite and burn yourself. You can DRINK cold drink if hungry 2. No hot food and hot drink for 1 whole day after extraction, otherwise it dissolves the blood clot and causes bleeding. You can eat and drink room temperature food and drink after the injection is gone. 3. No vigorous exercise, alcohol and heavy physical work, otherwise it causes bleeding. 4. Absolutely no spitting and no rinsing after extraction for 1 whole day, otherwise it tears the wound and the blood clot. 5. Please swallow or wipe off the saliva, otherwise it dissolves/mixes the blood clot and bleeds again. 6. In bleeding occurs (not the saliva mixed with the blood clot), place cotton wool rolls or cotton pads above the wound and bite hard for 15 minutes. Redo if necessary. Make sure there is direct pressure on the wound. Correct: gauzepresson wound, Incorrect: gauzeon teeth, no pressureon wound pressurestopsbleeding 7. In pain occurs, take the painkillers 1-2 tablets. 8. Swelling is very normal after surgical removal of teeth, especially it starts next morning after extraction. Keep calm; it will subside in 3-4 days in a normal healing procedure. 9. Take soft food or fluid food until feel comfortable. 10. Brush and floss the teeth on the second day, especially the teeth adjacent to the wound. 11. Absorbable suture is not suitable in mouth, you should come back for suture
  • 124.
    124 To stop bleeding •Mechanical – pressure • Absorbable dressing – gelfoam and surgicel • Local Anesthesia with adrenaline • Re-examine 1. granulation tissue – removal / Cauterization with silver nitrate/ electrocautery 2. gingival tears – suture 3. a bone spur – blunt it or removal the sharp part with rongeur or cover it with bone wax 4. partially transected vessel - An exposed and bleeding arteriole or venule can be controlled with cauterization (silver nitrate or electrocautery) or the application of a plain gut suture through the vessel.
  • 125.
  • 126.
    References • 1. Editorial- Ludwig angina - the longest distance in the planet • https://bit.ly/2N6fpeZ • 2. 香港教師急需學習牙齒急救 2013 年 08 月 07 日 • https://bit.ly/2L7SKP9 • 3. 牙愈洗愈傷 純屬謬誤 2018 年 3 月 1 日 東方日報 • https://bit.ly/2zslbWs • 4. 醫知健:撞 甩牙 應放回原位 – 2014 年 1 月 11 日 太陽報 • https://bit.ly/2JcU4y8 • 5. 恆齒 受創甩脫 救牙有法 – 2014 年 1 月 11 日 東方日報 • https://bit.ly/2uoG0My • 6. 口腔臉頰創傷護理 - 香港大學牙醫學院 • https://bit.ly/2mewAQt • 7. Ludwig Angina – To tell or not to tell? • https://bit.ly/2JeoDUf • 8. Maxillofacial trauma and Psychological Stress • https://bit.ly/2NGTTPd • 9. Effectiveness of educational poster on knowledge of emergency management of dental trauma-part 1.RCT • https://bit.ly/2NIIPRR • 10. Effectiveness of educational poster on knowledge of emergency management of dental trauma-part 2. RCT • https://bit.ly/2ubv0D5 • 11. Emergency management of dental trauma knowledge of Hong Kong primary and secondary school teachers • https://bit.ly/2KZzV3v • 12. 不足兩成教師懂搶救飛脫牙 • https://bit.ly/2zrIXll • 13. Extraction experience - 朱祖恩 : 事前詳細解釋 過程不到半小時 • https://bit.ly/2LaXhjS • 14. 口腔臉頰創傷護理 - 香港大學牙醫學院 • https://bit.ly/2umSBjH 126
  • 127.
  • 128.
    References 128 JO Andreasen etal. Textbook and Color Atlas of ]Traumatic Injuries to the Teeth 4th edition JO Andreasen et al. Textbook and Color Atlas of Traumatic Injuries to the Teeth 4th edition P473 JO Andreasen et al. Textbook and Color Atlas of Traumatic Injuries to the Teeth 4th edition http://midcitysecuritydistrict.org/baptism-important-facts-about-hinduism-in-the-classical-period
  • 129.
    • The wholecontent of this Powerpoint slides were a seminar in 2012, and cited in a paper. • Please contact us ceciliatyp@yahoo.com.hk if there is any copyright issue. 129
  • 130.