TAJ MAHAL
INDIA
Dr.Abdul Kareem Abdul Rasheed
drabdulkareemortho@gmail.com
ANTERIOR CROSSBITE
Presented by
Dr. Abdul Kareem Abdul Rasheed
CONTENTS
 Introduction
 Etiology
 Classification
 Diagnosis
 Management
 Conclusion
Introduction
overjet
Negative
overjet
Introduction
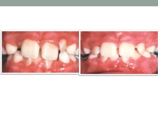
• Anterior crossbite is defined as the malocclusion that results
from maxillary anterior teeth being positioned behind the
mandibular anterior teeth
• This condition is also referred to as
 “Reversed Overjet”.
 “Reverse articulation”
 “Under-bite”
• Prevalence 4.8 - 12.6%
Meer Z, Sadatullah S, Wahab MA, Mustafa AB, Odusanya SA, Razak PA. Prevalence of
malocclusion and its common traits in Saudi males of Aseer region. J Dent Res Rev
2016;3:99-102
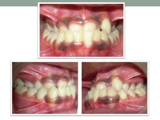
Complications
• Aesthetics
• Speech is often disturbed
• Occlusal trauma and TMJ dysfunctions
• Gingivitis and recessions and eventually losing these teeth
• Affects the development of Maxiila -leads to true skeletal Class
III malocclusion
ETIOLOGY
Etiology
Dental Functional Skeletal
Dental causes
• Dentally related factors are responsible for deflection of the
normal eruption path of the permanent successor tooth/teeth
Trauma of the primary teeth, which affects the position of the
germ and moves it palatal
Retained primary teeth that leads to palatal eruption
Hereditary palatal eruption
Lack of space in the dental arch which leads to crowding and
palatal movement of the incisors
Supernumerary teeth in the frontal area or odontoma collection
Anomalies in tooth shape
 Bad habits lip biting and chewing
Dental causes
Functional causes : Pesudo Class III
Anterior displacement of mandible during jaw closure.
o Occlusal Interferences / Incisal Interference
o Early Loss Of Deciduous Teeth
o Decayed Teeth
o Ectopically Erupted Teeth
o Habitual Forward Positioning Of The Mandible
Skeletal Causes
1. Hereditary
2. Surgically treated cleft lip and palate
3. Defective embryological development
• Maxillary retrognathism.
• Mandibular prognathism.
• Combination of both
Classification
According to the number of teeth involved
I. Single tooth
II. Segmental
Based on the Etiologic Factor
I. Dental Anterior Cross-bite
II. Functional Anterior Cross-bite (Pseudo
Class III)
III.Skeletal Anterior Cross-bite
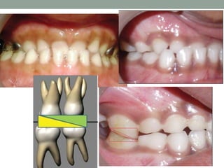
DentalAnterior Cross-bite
• Dental anterior cross-bites are generally the result of an
abnormal eruption of the permanent incisors.
• Dentoalveolar malrelationship
• Normal anterior-posterior skeletal relationship
The FunctionalAnterior Cross-bite
(Pseudo Class III)
The SkeletalAnterior Cross-bite
.
Signs Pseudo class III True class III
Anterior shift in centric
occlusion
Anterior shift in CO No anterior shift
Incisal contact in centric
relation
Edge to edge bite in CR Inability incisors to make
incisal contact CR
Maxillary incisors Retrocline Procline
Mandibular incisors Procline Retrocline
Skeletal relationship Well proportion Maxilla
and Mandible
Mandibular protrusion or
Maxillary retrusion
Combination of both
Treatment Easy
Relatively short time
Difficult to treat
Lengthy treatment
orthopaedics and need
maxillofacial surgery to finish
Diagnosis
Anterior Cross bite
in
Centric Occlusion
Class I molar
canine one /more
incisor in crossbite
Class I molar
canine incisal
interference
0mm=overjet
Class III molar
canine & negative
overjet ?
Asses occlusion
In
Centric Relation
Class I MO treat
max n mand
incisors to
eliminate crossbite
Pseudo ClassIII MO
treat max n mand
incisors to eliminate
interference
True Class III MO
Required complex
management
MANAGEMENT OFANTERIOR
CROSSBITE
• Appropriate method to treat anterior crossbite will depend on the
 Aetiology Of The Crossbite
 Number Of Teeth To Be Repositioned
 Eruption Status Of The Teeth
 Space Availability
 The Patient’s Age And Compliance,
 Treatment Affordability.
“The best time to treat a crossbite is the
first time it is seen”
Or else it may grow into Skeletal
Malocclusion
MANAGEMENT OFANTERIOR
CROSSBITE
Management
Preventive Interceptive Corrective Surgical
Severe MO
Adult
Primary &
Mixed Dentition
Primary &
Mixed Dentition
Permanent
Dentition
Preventive Management
• Preventive procedures are undertaken in anticipation of
development of anterior crossbite
• Elimination of the factors that may lead to the anterior cross
bite
 Extraction of supernumerary tooth
 Extraction Retained primary tooth
 Prevent early loss of deciduous teeth
 Removal of occlusal prematurities
 Habit breaking appliance
.
Interceptive Management
Treated at an early stage to prevent a minor orthodontic problem
from progressing into a major dento-facial anomaly.
Deciduous Dentition
Planas Direct Tracks
• Planas Direct Tracks (PDTs) to correct more complex cases of
crossbite in the deciduous dentition
MesialDistal
Mixed dentition
Tongue Blades
Catalan’s appliance
Bonded composite slopes
RemovableApplaince
FixedAppliance
Skeletal anterior cross-bite
• Treated by myofunctinal or orthopaedic appliances
Different treatment options
Frankel functional
regulator
Tandem traction
bow appliance
Reverse twin block
Protraction
facemask
Chin cup
Face mask
Face mask
Chin cup
Corrective Orthodontics
IN PERMANENT DENTITION (In Adolescent & Adult)
Dental anterior crosbite
(1) Removable
(2) Fixed Appliance
Mild Skeletal Classs III - Crossbite
SURGICALMANAGEMENT
Conclusion
Diagnosis is the golden key to success.
“The best time to treat a crossbite is the first time it is
seen”
Or else it may grow into skeletal malocclusion
Treating the dental problems we assure proper skeletal
growth and extra oral appearances
Early crossbite treatment is important not only to achieve
normal growth and development, but also to help prevent
TMD.
REFERENCES:
• T. M. Graber, Orthodontics: Principles and Practice, W. B.
Saunders, Philadelphia, Pa, USA, 3rd edition, 1988.
• W . R. Proffit, H. W. Fields, and D. M. Sarve, Contemporary
Orthodontics, Mosby, St. Louis, Mo, USA, 3rd edition, 1999.
• Angle EH. The latest and best in orthodonticmechanisms. Dent
Cosmos 1928; 70: 1143-58.
• Graber TM, Neuman B. Removable orthodonticappliances.2nd ed.
Saunders; 1984:57-9.
• Adams P. The design, construction and use ofremovable
orthodontic appliances. 5th ed. Bristol;1984: 111-112
• Bell :maxillary expansion in relation to rate of expansion and
patients age.Am j orthod 1982;32-37
• Moyers: Handbook of Orthodontics, Third Ed, Y e a r book
Publishers Inc.Chicago.1973; 15: 564-577.
• Judicial use of expansion screws in removable appliances for
anterior crossbite correction - case reports.
• G.J. Anbuselvan , M. Karthi
• Principles of cross-bite treatment Columbia university school of
dental and oral surgery Ülkü Z. Ersoy DDS, dmsc; dr. Gliedman
June 8th, 2004
• ISRN dentistryvolume 2011 (2011), article ID 298931, 5 pages
doi:10.5402/2011/298931 case report
• Anterior crossbite correction in early mixed dentition period
using catlan's appliance: A case report
Mysore Palace
Karnataka India

Anterior crossbite

  • 1.
    TAJ MAHAL INDIA Dr.Abdul KareemAbdul Rasheed drabdulkareemortho@gmail.com
  • 2.
    ANTERIOR CROSSBITE Presented by Dr.Abdul Kareem Abdul Rasheed
  • 3.
    CONTENTS  Introduction  Etiology Classification  Diagnosis  Management  Conclusion
  • 4.
  • 5.
    Introduction • Anterior crossbiteis defined as the malocclusion that results from maxillary anterior teeth being positioned behind the mandibular anterior teeth
  • 6.
    • This conditionis also referred to as  “Reversed Overjet”.  “Reverse articulation”  “Under-bite” • Prevalence 4.8 - 12.6% Meer Z, Sadatullah S, Wahab MA, Mustafa AB, Odusanya SA, Razak PA. Prevalence of malocclusion and its common traits in Saudi males of Aseer region. J Dent Res Rev 2016;3:99-102
  • 7.
    Complications • Aesthetics • Speechis often disturbed • Occlusal trauma and TMJ dysfunctions • Gingivitis and recessions and eventually losing these teeth • Affects the development of Maxiila -leads to true skeletal Class III malocclusion
  • 8.
  • 9.
  • 10.
    • Dentally relatedfactors are responsible for deflection of the normal eruption path of the permanent successor tooth/teeth Trauma of the primary teeth, which affects the position of the germ and moves it palatal Retained primary teeth that leads to palatal eruption Hereditary palatal eruption Lack of space in the dental arch which leads to crowding and palatal movement of the incisors Supernumerary teeth in the frontal area or odontoma collection Anomalies in tooth shape  Bad habits lip biting and chewing Dental causes
  • 11.
    Functional causes :Pesudo Class III Anterior displacement of mandible during jaw closure. o Occlusal Interferences / Incisal Interference o Early Loss Of Deciduous Teeth o Decayed Teeth o Ectopically Erupted Teeth o Habitual Forward Positioning Of The Mandible
  • 12.
    Skeletal Causes 1. Hereditary 2.Surgically treated cleft lip and palate 3. Defective embryological development • Maxillary retrognathism. • Mandibular prognathism. • Combination of both
  • 13.
    Classification According to thenumber of teeth involved I. Single tooth II. Segmental
  • 14.
    Based on theEtiologic Factor I. Dental Anterior Cross-bite II. Functional Anterior Cross-bite (Pseudo Class III) III.Skeletal Anterior Cross-bite
  • 15.
    DentalAnterior Cross-bite • Dentalanterior cross-bites are generally the result of an abnormal eruption of the permanent incisors. • Dentoalveolar malrelationship • Normal anterior-posterior skeletal relationship
  • 16.
  • 17.
  • 19.
    Signs Pseudo classIII True class III Anterior shift in centric occlusion Anterior shift in CO No anterior shift Incisal contact in centric relation Edge to edge bite in CR Inability incisors to make incisal contact CR Maxillary incisors Retrocline Procline Mandibular incisors Procline Retrocline Skeletal relationship Well proportion Maxilla and Mandible Mandibular protrusion or Maxillary retrusion Combination of both Treatment Easy Relatively short time Difficult to treat Lengthy treatment orthopaedics and need maxillofacial surgery to finish
  • 20.
    Diagnosis Anterior Cross bite in CentricOcclusion Class I molar canine one /more incisor in crossbite Class I molar canine incisal interference 0mm=overjet Class III molar canine & negative overjet ? Asses occlusion In Centric Relation Class I MO treat max n mand incisors to eliminate crossbite Pseudo ClassIII MO treat max n mand incisors to eliminate interference True Class III MO Required complex management
  • 21.
    MANAGEMENT OFANTERIOR CROSSBITE • Appropriatemethod to treat anterior crossbite will depend on the  Aetiology Of The Crossbite  Number Of Teeth To Be Repositioned  Eruption Status Of The Teeth  Space Availability  The Patient’s Age And Compliance,  Treatment Affordability. “The best time to treat a crossbite is the first time it is seen” Or else it may grow into Skeletal Malocclusion
  • 22.
    MANAGEMENT OFANTERIOR CROSSBITE Management Preventive InterceptiveCorrective Surgical Severe MO Adult Primary & Mixed Dentition Primary & Mixed Dentition Permanent Dentition
  • 23.
    Preventive Management • Preventiveprocedures are undertaken in anticipation of development of anterior crossbite • Elimination of the factors that may lead to the anterior cross bite  Extraction of supernumerary tooth  Extraction Retained primary tooth  Prevent early loss of deciduous teeth  Removal of occlusal prematurities  Habit breaking appliance
  • 24.
  • 26.
    Interceptive Management Treated atan early stage to prevent a minor orthodontic problem from progressing into a major dento-facial anomaly. Deciduous Dentition
  • 27.
    Planas Direct Tracks •Planas Direct Tracks (PDTs) to correct more complex cases of crossbite in the deciduous dentition MesialDistal
  • 29.
  • 30.
  • 31.
  • 32.
  • 33.
  • 34.
  • 35.
    Skeletal anterior cross-bite •Treated by myofunctinal or orthopaedic appliances
  • 36.
    Different treatment options Frankelfunctional regulator Tandem traction bow appliance Reverse twin block Protraction facemask Chin cup
  • 37.
  • 38.
  • 39.
  • 40.
    Corrective Orthodontics IN PERMANENTDENTITION (In Adolescent & Adult) Dental anterior crosbite (1) Removable (2) Fixed Appliance
  • 41.
    Mild Skeletal ClasssIII - Crossbite
  • 44.
  • 45.
    Conclusion Diagnosis is thegolden key to success. “The best time to treat a crossbite is the first time it is seen” Or else it may grow into skeletal malocclusion Treating the dental problems we assure proper skeletal growth and extra oral appearances Early crossbite treatment is important not only to achieve normal growth and development, but also to help prevent TMD.
  • 46.
    REFERENCES: • T. M.Graber, Orthodontics: Principles and Practice, W. B. Saunders, Philadelphia, Pa, USA, 3rd edition, 1988. • W . R. Proffit, H. W. Fields, and D. M. Sarve, Contemporary Orthodontics, Mosby, St. Louis, Mo, USA, 3rd edition, 1999. • Angle EH. The latest and best in orthodonticmechanisms. Dent Cosmos 1928; 70: 1143-58. • Graber TM, Neuman B. Removable orthodonticappliances.2nd ed. Saunders; 1984:57-9. • Adams P. The design, construction and use ofremovable orthodontic appliances. 5th ed. Bristol;1984: 111-112 • Bell :maxillary expansion in relation to rate of expansion and patients age.Am j orthod 1982;32-37 • Moyers: Handbook of Orthodontics, Third Ed, Y e a r book Publishers Inc.Chicago.1973; 15: 564-577.
  • 47.
    • Judicial useof expansion screws in removable appliances for anterior crossbite correction - case reports. • G.J. Anbuselvan , M. Karthi • Principles of cross-bite treatment Columbia university school of dental and oral surgery Ülkü Z. Ersoy DDS, dmsc; dr. Gliedman June 8th, 2004 • ISRN dentistryvolume 2011 (2011), article ID 298931, 5 pages doi:10.5402/2011/298931 case report • Anterior crossbite correction in early mixed dentition period using catlan's appliance: A case report
  • 48.

Editor's Notes

  • #3 The patients usually see the cross-bite as a severe aesthetical problem. The orthodontists see the problem as a severe functional and anatomical disturbance. The problem “cross-bite” is a result of an anatomical or functional disturbance in the occlusion. “The best time to treat a crossbite is the first time it is seen” Or else it may grow into Skeletal Malocclusion Many treatment modalities ranging from simple to complex means are available to correct anterior crossbite ; some use removable appliances and others use fixed appliances
  • #8 Because of the retrusion of the lower frontal teeth and the reduced dimensions for tongue articulation, the speech is often disturbed, but for the patient the most dramatic problem is the aesthetics An improper masticatory function is observed which resulted in the occlusal trauma and TMJ dysfunctions. The thicker vestibular crest in lower frontal teeth and their labial torque will lead to gingivitis and recessions Worsens the growth pattern - develop into true skeletal Class III malocclusion
  • #9 Many factors may contribute toward the development of anterior crossbite, and the contributory factors can be categorised based on the nature of the crossbite into
  • #10 1 .Trauma of the primary teeth, which affects the position of the germ and moves it palatal 2 ectopic position of permanent tooth germ,retained primary predecessor, 3 anomalies in tooth shape 4 presence of supernumerary tooth/teeth, odontomas 5.upper lip biting habit and size, arch length inadequacy, and
  • #11 We can observe the palatal eruption of the permanent teeth in the following conditions:
  • #12 Anterior displacement of mandible due to the presence of occlusal interference during the act of bringing the jaw into occlusion (pseudo Cl III ). These cross bites are usually caused due to presence of occlusal interferences during the act of bringing the jaws into occlusion These can be caused by the early loss of deciduous teeth, decayed teeth or ectopically erupted teeth 
  • #13 Aetiology of skeletal crossbite areAetiology of skeletal crossbite are – Hereditary Hereditary ( Class III skeletal structure )( Class III skeletal structure ) – Surgically treated cleft lip and palateSurgically treated cleft lip and palat Usually result of retarded maxillary growth or maxilla that is backwardly positioned Skeletal cross bite Discrepancy in the size of maxilla & mandible.Causes :-1. Inherited 2. Defective embryological development. Anterior crossbite due tomaxillary retrognathism.Anterior crossbite due tomandibular prognathism.Anterior crossbite due tomaxillary retrognathism andmandibular prognathism.
  • #15 Based on the Etiologic Factor Cross bite Skeletal Dental FunctionalCrossbite Crossbite Crossbite
  • #16 Simple anterior cross-bites are generally the result of an abnormal eruption of the permanent incisors. Abnormal eruption of the permanent incisors Dentoalveolar malrelationship Maxillary incisors tipped lingually Mandibular incisors tipped labially Angle Class I relationship Coincident centric occlusion and centric relation May or May not be associated with forced bite. No basal discrepancy Normal anterior-posterior skeletal relationship with a smooth path of mandibular closure. Treated as early as possible in growing patients since it can have activator like functional effect (particularly in forced bite category) leading to basal discrepancy. Most of the cases require only correction of incisal Malrelationship which can be done at any age. It is easy to treat
  • #17 Patients who have a functional anterior crossbite exhibit the following characteristics: In centric relation or in a relaxed postural position, the patient presents with a normal facial profile convexity. In centric relation the opposing incisors generally contact edge to edge with the molars separated but in an Angle Class I relation During closing an early occlusal interference causes an anterior shift of the mandible. As the mandible shifts forward into centric occlusion, the incisors are placed into cross-bite and the molars into a Class III relationship.( pseudo Class III )
  • #18 Usually result of retarded maxillary growth or maxilla that is backwardly positioned Some of the characteristics they will exhibit are: In centric relation, their facial profile will be concave
  • #19 In centric relation, there will be a Class III molar relationship and an anterior cross-bite. In centric occlusion, there will be a Class III molar relationship and an anterior cross-bite. The arc of mandibular closure remains smooth without any occlusal interference. In an attempt to compensate for the skeletal discrepancy during growth, the maxillary incisors usually become proclined and the mandibular incisors become retroclined
  • #22 Many treatment modalities ranging from simple to complex means are available to correct anterior crossbite ; some use removable appliances and others use fixed appliances For a proper early orthodontic treatment, we must know the factors that have led for this malocclusion. The pure form of anterior cross-bite is due to abnormal position of the upper (retro inclined) or lowers (proclined) teeth or combinitation between the two ones. There is no presence of discrepancy between the jaws but only between the positions If the anterior is due to skeletal malformation, it is a part of a bigger problem most often class III malocclusion .
  • #23 MANAGEMENT OF ANTERIOR CROSSBITE In 4 stages[I] In primary [II] In mixed [III] In permanent [IV] In post dentition dentition dentition permanent dentition :IN PRIMARY DENTITION (Preventive orthodontic)Elimination of the factors that may lead to the anterior cross bite Eg – Removal of occlusal prematurities Extraction of supernumerary tooth before they cause displacement of other tooth. Habit breaking appliance.
  • #24 orthodontic)Elimination of the factors that may lead to the anterior cross bite Eg – Removal of occlusal prematurities Extraction of supernumerary tooth before they cause displacement of other tooth. Habit breaking appliance The deciduous teeth are excellent natural space maintainers until the developing permanent teeth are ready to erupt into the oral cavity. All efforts are taken to prevent early loss of deciduous teeth. Prevention and timely restoration of carious teeth Simple preventive procedures like: Application of topical fluoride,Pit & fissure sealents etc.
  • #25 Occlusal equilibration or occlusal adjustment is the systemic reshaping of the occlusal anatomy of teeth to minimize the role of occlusal interference in These lead to deviations in mandibular path of closure and also predispose bruxism. Detected by using articulating paper and premature contact removed by selective grinding is carried out
  • #27 Thus interceptive orthodontics basically refers to measures undertaken to prevent a potential malocclusion from progressing into a more severe one Treated at an early stage to prevent a minor orthodontic problem from progressing into a major dento-facial anomaly. Interceptive orthodontics (In pre-adolescent age group) Anterior cross bite should be treated at an early stage. Because(i) If a cross bite present in the deciduous dentition, it may manifest in the mixed & permanent dentition as well.(ii) If a simple anterior cross bite is not treated in early stage It may progress into skeleton malocclusion that later need complicated orthodontic treatment or surgical treatment. 21. (1)
  • #28 PDT are prism shaped blocks incorporating inclined planes made up of composite resin directly built or cemented on the occlusal surfaces of deciduous molars. The PDT are designed such that the distal incline of the upper block occlude with the mesial incline of the lower block such that the mandible will have a posterior path of closure with condyles in CR Planas Direct Tracks work by repositioning the mandible, thus preventing the establishment of morphological and positional asymmetries in young children and allowing a more symmetrical craniofacial development. PDTs can be used to correct either posterior or anterior crossbite in the deciduous dentition, regardless of the severity of the malocclusion.31 Nevertheless, a higher rate of success can be expected in young patients in whom a skeletal discrepancy has not yet been established. Even if a second phase of treatment becomes necessary, it will probably be simpler and shorter if permanent asymmetries have been prevented during prepubertal growth.
  • #30 IN MIXED DENTITION: Interceptive orthodontics (In pre-adolescent age group) Anterior cross bite should be treated at an early stage. Because(i) If a cross bite present in the deciduous dentition, it may manifest in the mixed & permanent dentition as well.(ii) If a simple anterior cross bite is not treated in early stage It may progress into skeleton malocclusion that later need complicated orthodontic treatment or surgical treatment. 21. (1)
  • #31 Tongue blade correction – In early ages , when a cross bite is seen at the time the permanent teeth are making an appearance in the oral cavity when maxillary incisor is still erupting, with no major overbite and adequate space in the arch for the misaligned tooth , a tongue blade may be sufficient for crossbite correction. – The patient is instructed to insert the tongue blade at an angle between the teeth and bite firmly, maintaining the pressure for 5 seconds, then interrupt and repeat for 25 times, 3 times a day. 18.  Tongue blade correction cont'd – If the tongue blade exercise is not successful after two weeks or if tooth eruption is too advanced, a bite plane is more satisfactory. Use of tongue blade Indications Used when a cross bite is seen at the time the permanent teeth are making an appearance in the oral cavity. It is placed inside the mouth contacting the palatal aspect of the maxillary teeth. Upon slight closure of jaw the opposing side of the stick come in contact with the labial aspect of the opposing mandibular tooth acts as a fulcrum.This is continued for 1-2 hours for about 2 weeks. 22. Drawbacks of using tongue blade Only effective till the clinical crown not completely erupted in the oral cavity. Used only if sufficient space is available for the correction. Patients cooperation is required Usually employed as a follow up to treatment with inclined plane Simplest but least successful approach Works best if the bite is normal and the involved tooth is newly erupted Patient is instructed to bite on the wood incline with a constant pressure and simultaneously exert a slight but constant pressure with his or her hand on the blade Must be done for one to two hours a day for a period of one to two weeks Highly unpredictable results because requires patient compliance
  • #32 The bite plane should have sufficient inclination to produce a definite forward sliding motion of the maxillary incisor on closure. – It may be constructed for a simple tooth on a group of teeth can be made of acrylic or cast metal Placed onto the mandibular incisors Treat lingually locked maxillary incisors Do not require patient compliance May open the bite, create a temporary speech defect ,or traumatize the dentition No significant long-term side effects Lower anterior inclined plane. – The appliance is cemented with temporary cement. – the posterior teeth will be slightly out of the occlusion but the discomfort is in the maxillary arch to align the tooth / teeth. .(2) Catlan’s appliance or lower anterior inclined plane Indications- Used only in those cases where the cross bite is due to a palataly placed max incisors. (Constructed at 450 angulations on the lower anterior teeth by acrylic or cast metal). 23. Disadvantages of Catlan’s Appliance1) Difficulty in speech & chewing2) Patient cooperation required3) Require frequent recementation4) Catlance appliance also as a anterior bite plane Prevent the posterior teeth from coming into contact If prolonged use Supra eruption of posterior teeth Anterior open bite5) Can not be given if Mandibular incisors are malaligned Mandibular incisors are periodontally compromised 24. [)
  • #33 Select a shade that is different from that of the tooth being treated Utilized to successfully correct single-tooth anterior crossbites
  • #34 enough space for aligning the teeth Patient compliance is key to successful Treatment The removable appliances have the advantages to easier maintenance and oral hygiene care for young patients Removable appliances work by simple tipping movements of the crowns of the teeth about a fulcrum close to the middle of the tooth. They also allow differential eruption of the teeth, for example by using bite planes The acrylic can be extended to create posterior bite plates to reduce the overbite and raise the bite. Patient compliance is key to successful Treatment The most frequently used appliance for minor anterior crossbite treatment Double cantilever spring / z-spring Indication Used when anterior cross bite involving 1 or 2 max. anterior teeth. Pre-treatment Disadvantage Effective only when there is During treatment enough space for aligning the teeth Acrylic palatal coverage and wire clasps The auxilliary or finger springs activated to exert labial forces on and move the maxillary incisors
  • #37 Retrognathic maxilla and prognathic mandible
  • #40 Designed to reduce a prognathic mandible by redirecting the growth of the mandible downward and backward Shows mixed results  A chin cup can be used to redirect the growth of mandible to prevent or correct the anterior crossbite due to a prominent mandible  Chin cup tends to rotate the mandible downward and backward
  • #41 IN PERMANENT DENTITION (In Adolescent & Adult)(1) Screw appliance Mini screw May be used to correct single Medium screw tooth or segmental cross bite. Adequate space is required to correct the anterior cross bite Otherwise results will be compromised(2) Fixed ApplianceUsed to correct single tooth or multiple tooth[IV]
  • #42 Camouflage treatment for patients with mild skeletal Classl III malocclusion involves some combination of proclining the upper incisors and retracting the lower incisors.This must be approached carefully because excessive retraction of lower incisors can produce the reverse of camouflage by making the chin more, not less prominent Camouflage also can be used in patients with mild skeletal Class III problems, in whom adjustment of incisor position can achieve acceptable Occlusion and reasonable facial esthetics (Figure 8-37). Unfortunately, in even moderately severe skeletal Class III problems, camouflage is much less successful extraction of lower premolars combined with Class III elastics and extraoral force can improve the dental occlusion for many Class III patients, but the treatment rarely produces successful camouflage and frequently makest the facial appearance worse. Even minimal retraction of the lower incisors often magnifies the chin prominence that was a major reason for seeking treatment initially (Figure 8-38).
  • #45 Surgical Orthodontics is an option for treatment when the skeletal discrepancy is so severe that orthodontic treatment is not enough to correct the problem, or where orthodontics alone would leave you with a compromised facial appearance. Orthognathic surgery, or orthodontic treatment in combination with jaw surgery, can be used.
  • #46 Treating the dental problems we assure proper skeletal growth and extra oral appearances. When the cross-bite is not treated early, its negative effect is multiplied on the skeletal growth till the end of the growth period The time for developing of the primary and permanent dentition matches to the most intense growth of the facial skeleton The disturbed functions in the maxillofacial complex and the malocclusions result in improper growth processes