Cross bite
Mustafa ali
Ahmed saad
Group A2
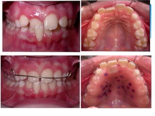
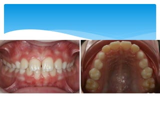
 Crossbite: is a discrepancy in buccolingual relationship
of upper and lower teeth. Changing in transverse
relationship.
 Buccal crossbite: buccal cusp of lower teeth occlude
buccal to the buccal cusp of upper teeth.
Types of crossbite:
 Lingual crossbite: buccal cusp of lower teeth occlude
lingual to the lingual cusps of upper teeth. Also called
scissors bite.
i . According to location in arch:
• Anterior crossbite
• Posterior crossbite:
:Classification of crossbite
ii. According to side:
• Unilateral posterior crosspite
• Bilateral posterior crossbite
iii. According to structure involved
• Dental crossbite
• Skeletal crossbite
• Functional crossbite
iiii. According side involved:
• Buccal crossbite
• Lingual crossbite
The width of the maxillary skeletal base can be seen by
The width of the palatal vault on the cast. If the base of
palatal vault is wide , but the dentoalveolar processes
lean in ward, the crossbite is dental in the sense that it
is caused by a distortion of the dental arch .
If the palatal vault is narrow and the maxillary teeth
lean outward but nevertheless are in crossbite, the
problem is skeletal in that it basically results from the
narrow width of the maxilla.
How to differentiate between dental and
skeletal crossbite ?
i. Dental crossbite:
1. Arch length discrepancy.
2. Anomalies of number either supernumerary or missing teeth.
3. Anomalies of tooth size.
4. Anomalies of tooth shape.
5. Premature loss of deciduous and permanent teeth.
6. Prolonged retention of deciduous teeth.
7. Delayed eruption of permanent teeth.
8. Abnormal eruptive path.
9. Ankylosis.
Etiology of crossbite:
ii. Soft tissues:
Poterior crossbite is often associated with hapits such
as a digit sucking hapit, as the position of the tongue is
lowered and a negative pressure is generated intra
orally.
iii. Skeletal crossbite:
1. Hereditary (class III  II ).
2. Congenital ( cleft lip and palate).
3. Trauma at birth .
4. Trauma during growth.
5. Trauma after completion of growth.
6. Habits.
mouth breathing
Treatment of crossbite is urgent >>>>>
why?????
1. TMJ dysfunction syndrome
2. Asymmetric mandibular growth
3. Gingival recession
4. Esthetic
Treatment of crossbite
Single tooth anterior crossbite
 Placing the wooden tongue blade
behind the tooth at angel 60 degree
 Force by biting on it using the lower
teeth as a fulcrum 5-10 min
 The method is effective when the
clinical crown is not completely visible in
the oral cavity , when sufficient space is
available
Bonded composite resin slopes
1. Composite resin was formed into an inclined slope
and applied to the labial surface
2. 3-4mm in thickness at 45 angle to the axis of the
tooth
3. The composite was cured and polished
 It is an inclined plane cemented to lower incisor with
the use of acrylic resin to fabricate it.
 The lower inclined plane should be 45 degree to the
maxillary occlusal plane
 Catalans appliance could be used for single tooth or
whole anterior segment correction
Catalan’s Appliance
 1) Difficulty in speech & chewing
 2) Patient cooperation required
 3) Require frequent recementation
 4) Can not be given if
 Mandibular incisors are malaligned
 Mandibular incisors are periodontally compromised
Disadvantages of Catlan’s Appliance
1. Effective appliance in treating crossbite
2. Contain z-spring for single tooth anterior crossbite
3. Adam clasp
4. Hawley arch
5. Posterior bite plane
6. And acrylic base plate.
Use two z-spring or recurved z-spring if we have
multiple anterior crossbites
Removable orthodontic appliance
Removable orthodontic appliance
1. T-spring or screw on the affected tooth
2. Adam's on 6 and 4
3. Hawley arch
4. Posterior bite plane ??????
5. Acrylic base plate
Treatment of single tooth posterior
crossbite with T-spring or screw
While the screw can correct two teeth or
expand the maxillary teeth bi-laterally in case
of bilateral posterior cross bite.
 Used to control/gide growth of mandible to prevent
anterior crossbite caused by excessive mandibular
growth
 It rotate the mandible and sometimes used with
removable orthodontic appliance
Chin cup
 Its use to correct a developing class lll skeletal jaw
relation with anterior crosssbite
Frankel III myofunctional appliance
 Its use to give more expansion anteriorly or
posteriorly.
 To de-rotate molar teeth.
 Use as passive to aid retention of expansion.
The quadhelix appliance
 The screw turned twice daily, resulting in expansion
of the order of 0.2-0.5mm/day.
 Over an active treatment period of 2 weeks.
 The large force generated to open the midline suture
by skeletal expansion so it is limited to patients in
early teens before suture closure or cleft palate
patients by stretching the scar tissue
Rapid maxillary expansion
1. Use to correct anterior crossbite involving single
tooth or group by multi-looped archwires
2. Cross-elastics can to correction of individual tooth or
two teeth cross bites in the posterior segment by
buccal movement of maxillary posterior teeth
3. Lingual movement of mandibular teeth
Fix orthodontic appliances with cross
elastics
cross bite orthodontic
cross bite orthodontic

cross bite orthodontic

  • 1.
  • 2.
     Crossbite: isa discrepancy in buccolingual relationship of upper and lower teeth. Changing in transverse relationship.
  • 3.
     Buccal crossbite:buccal cusp of lower teeth occlude buccal to the buccal cusp of upper teeth. Types of crossbite:
  • 4.
     Lingual crossbite:buccal cusp of lower teeth occlude lingual to the lingual cusps of upper teeth. Also called scissors bite.
  • 5.
    i . Accordingto location in arch: • Anterior crossbite • Posterior crossbite: :Classification of crossbite
  • 6.
    ii. According toside: • Unilateral posterior crosspite • Bilateral posterior crossbite
  • 7.
    iii. According tostructure involved • Dental crossbite • Skeletal crossbite • Functional crossbite iiii. According side involved: • Buccal crossbite • Lingual crossbite
  • 8.
    The width ofthe maxillary skeletal base can be seen by The width of the palatal vault on the cast. If the base of palatal vault is wide , but the dentoalveolar processes lean in ward, the crossbite is dental in the sense that it is caused by a distortion of the dental arch . If the palatal vault is narrow and the maxillary teeth lean outward but nevertheless are in crossbite, the problem is skeletal in that it basically results from the narrow width of the maxilla. How to differentiate between dental and skeletal crossbite ?
  • 10.
    i. Dental crossbite: 1.Arch length discrepancy. 2. Anomalies of number either supernumerary or missing teeth. 3. Anomalies of tooth size. 4. Anomalies of tooth shape. 5. Premature loss of deciduous and permanent teeth. 6. Prolonged retention of deciduous teeth. 7. Delayed eruption of permanent teeth. 8. Abnormal eruptive path. 9. Ankylosis. Etiology of crossbite:
  • 11.
    ii. Soft tissues: Poteriorcrossbite is often associated with hapits such as a digit sucking hapit, as the position of the tongue is lowered and a negative pressure is generated intra orally.
  • 13.
    iii. Skeletal crossbite: 1.Hereditary (class III II ). 2. Congenital ( cleft lip and palate). 3. Trauma at birth . 4. Trauma during growth. 5. Trauma after completion of growth. 6. Habits.
  • 15.
  • 17.
    Treatment of crossbiteis urgent >>>>> why????? 1. TMJ dysfunction syndrome 2. Asymmetric mandibular growth 3. Gingival recession 4. Esthetic Treatment of crossbite
  • 18.
  • 19.
     Placing thewooden tongue blade behind the tooth at angel 60 degree  Force by biting on it using the lower teeth as a fulcrum 5-10 min  The method is effective when the clinical crown is not completely visible in the oral cavity , when sufficient space is available
  • 20.
    Bonded composite resinslopes 1. Composite resin was formed into an inclined slope and applied to the labial surface 2. 3-4mm in thickness at 45 angle to the axis of the tooth 3. The composite was cured and polished
  • 21.
     It isan inclined plane cemented to lower incisor with the use of acrylic resin to fabricate it.  The lower inclined plane should be 45 degree to the maxillary occlusal plane  Catalans appliance could be used for single tooth or whole anterior segment correction Catalan’s Appliance
  • 22.
     1) Difficultyin speech & chewing  2) Patient cooperation required  3) Require frequent recementation  4) Can not be given if  Mandibular incisors are malaligned  Mandibular incisors are periodontally compromised Disadvantages of Catlan’s Appliance
  • 23.
    1. Effective appliancein treating crossbite 2. Contain z-spring for single tooth anterior crossbite 3. Adam clasp 4. Hawley arch 5. Posterior bite plane 6. And acrylic base plate. Use two z-spring or recurved z-spring if we have multiple anterior crossbites Removable orthodontic appliance
  • 26.
  • 27.
    1. T-spring orscrew on the affected tooth 2. Adam's on 6 and 4 3. Hawley arch 4. Posterior bite plane ?????? 5. Acrylic base plate Treatment of single tooth posterior crossbite with T-spring or screw
  • 28.
    While the screwcan correct two teeth or expand the maxillary teeth bi-laterally in case of bilateral posterior cross bite.
  • 30.
     Used tocontrol/gide growth of mandible to prevent anterior crossbite caused by excessive mandibular growth  It rotate the mandible and sometimes used with removable orthodontic appliance Chin cup
  • 31.
     Its useto correct a developing class lll skeletal jaw relation with anterior crosssbite Frankel III myofunctional appliance
  • 32.
     Its useto give more expansion anteriorly or posteriorly.  To de-rotate molar teeth.  Use as passive to aid retention of expansion. The quadhelix appliance
  • 33.
     The screwturned twice daily, resulting in expansion of the order of 0.2-0.5mm/day.  Over an active treatment period of 2 weeks.  The large force generated to open the midline suture by skeletal expansion so it is limited to patients in early teens before suture closure or cleft palate patients by stretching the scar tissue Rapid maxillary expansion
  • 36.
    1. Use tocorrect anterior crossbite involving single tooth or group by multi-looped archwires 2. Cross-elastics can to correction of individual tooth or two teeth cross bites in the posterior segment by buccal movement of maxillary posterior teeth 3. Lingual movement of mandibular teeth Fix orthodontic appliances with cross elastics