Open bite treatment in the permanent dentition by vertical
elastics
Prof. Dr. Maher Abd El-Salam Fouda
“Orthodontic Department-faculty of dentistry-
Mansoura university”
Edition first published 2014 © 2014 by John Wiley & Sons, Inc.
DIFFERENTIAL DIAGNOSIS
 In the permanent dentition, because the open bite has been
established some years before, and the etiological factors are
acting for a reasonable period of time, there may be greater
involvement of the dentoalveolar skeletal structure and of the
whole facial skeleton.
 Consequently, treatment has to be directed to solve the open
bite and to address the associated problems presented.
 Therefore, first, it has to be determined whether the open bite is
predominantly dentoalveolar or skeletal in origin.
Reduced anterior dentoalveolar height characterizes a
dental anterior open bite.
A, Reduced incisal display as a result of restricted eruption of the maxillary incisors
from a thumb-sucking habit.
B, Anterior open bite from the finger habit.
C, Reduced distance from the apex of the maxillary central incisors to the palatal plane
Excessive vertical height of the buccal segments is a
common characteristic of skeletal anterior open-bite.
• A large interlabial gap (>3 mm) is the most significant soft
tissue characteristic of a skeletal open bite.
• A, Profile view. B, Frontal view with lips closed, showing the
mentalis strain resulting from a large interlabial gap.
A and B, Occlusal
planes generally diverge
from the first molar
anteriorly in skeletal
open bites.
C and D, Occlusal
planes generally diverge
from the first premolars
anteriorly in dental open
bites
Occlusal characteristics of skeletal and dental
open bites.
A predominantly dentoalveolar open bite will be less
severe and restricted to the anterior teeth, and the
growth pattern will usually be equilibrated or
horizontal.
Cephalometrically, a skeletal open bite usually present
increased gonial and mandibular plane angles, increased lower
anterior face height, decreased posterior face height, and anterior
upward inclination of the palatal plane .
Clinically, there is also
premolar involvement
in the deformity.
Consequently, the
severity of the open
bite will be
accentuated as well.
Bjork`s 7 structural features of posterior mandibular
growth rotation:
• Those are fundamental in predicting how patients will grow and
how they will respond to orthodontic treatment.
• Some cephalometric indicators were developed and can help in
detecting the predominance of dentoalveolar or skeletal
characteristics of the open bite . However, due to the diversity of
open-bite characteristics, they should be used in association
with other clinical factors
• As Nahoum stated, “cephalometrics, at best, is a descriptive
technique which helps to define or classify a condition but does
not necessarily provide us with the insight for the successful
treatment of an anomaly” .
 Usually, dentoalveolar open bites can be handled only orthodontically,
and skeletal open bites are best approached with combined orthodontic-
surgical treatment to correct the severe underlying skeletal discrepancy.
However, treatment decision is not only based on the malocclusion
characteristics, but also on patient needs and possibilities .
In orthodontic treatment planning of open-bite
malocclusions, it has to be established how the
open bite should be closed, whether by extrusion
of the anterior teeth or intrusion of the posterior
teeth.
The treatment options are:
• Intrusion of posteriors.
• Extrusion of anteriors.
• Combination.
This decision is based on the vertical positioning of the
maxillary incisors relative to the lip line and whether there
is a skeletal background (face height).
• Posterior teeth intrusion is indicated in cases with normal to
excessive incisor exposure upon smiling and increased face
height.
• Anterior teeth extrusion is indicated in cases where there is
insufficient incisor exposure at rest and upon smiling and
decreased face height(lower anteriors extrusion must be
experienced with caution in order not to increase curve of spee
more than recommended).
A, A Patient with posterior vertical maxillary excess and anterior open bite with
slightly increased incisor display at smile.
B, Correction of the anterior open bite by extrusion of the anterior teeth will
accentuate the anterior vertical maxillary excess in detriment of facial esthetics.
• Maxillary incisor extrusion is indicated in cases where there is
insufficient incisor exposure upon smiling. Posterior teeth
intrusion is indicated in cases with normal to excessive incisor
exposure upon smiling, and is more effectively obtained with the
use of mini-implants.
• If the decision is for extrusion of the anterior teeth, treatment may
be conducted without or with extractions and is presented
accordingly.
OPEN-BITE NONEXTRACTION TREATMENT
In the permanent dentition, the skeletal component is greater than in
the deciduous and mixed dentitions and can be restricted to the
alveolar bone or compromise the whole skeletal growth pattern.
• Due to the greater involvement of the skeletal structures in the
open bite in the permanent dentition, treatment is more difficult,
especially regarding stability, which is not as satisfactory as in
early correction .
 It is usually performed through the use of fixed orthodontic
appliances, during leveling and alignment, aided by the use of
vertical intermaxillary elastics in the anterior teeth, with the
objective of extruding these teeth.
 The patients have to use the elastics constantly, around 18–20
hours a day, removing them only during meals, to obtain
satisfactory results.
Vertical intermaxillary elastics
used in the anterior teeth to
correct anterior open bite.
• Open bite up to 2mm may be corrected with these elastics. They
may extend from the lower lateral incisor to the upper laterals or
central incisor teeth or from the lower cuspid to the upper
laterals, with force ranging from 1 to 2 oz.
Ant. Butterfly
• It can be carried out by a vertical, triangular, or box elastic.
• Box elastics have a box shape configuration and can be used in
variety of situations to promote tooth extrusion and improve
intercuspation.
• Triangular elastics aid in the improvement of CL I cuspid
intercuspation and increase the over bite relationship anteriorly
by closing open bite in the range of 0.5 to 1.5 mm.
• Main concentration of force is on the tooth at the apex of the
triangle. It is advised when a single tooth has to be brought to the
occlusion.
• Vertical Elastics (spaghetti) This is useful when there is difficulty
in closing the bite, whether anteriorly or posteriorly. This type of
elastic is contraindicated in malocclusions that were originally
characterized by a deep bite.
• Series of triangular elastics placed between both arches. The 3
arms of elastic include distal bracket wing of one max tooth,
mesial bracket wing of the posterior tooth and the entire bracket
of mandibular tooth closest to it. In central incisor region, two
elastics placed in midline.
Vertical intermaxillary elastics
used in the anterior teeth to
correct anterior open bite.
• A tongue crib or spur can also be used isolated or associated
with anterior vertical elastics, to correct tongue posture and
consequently close the bite .
• Concomitant use of the tongue crib or spur is important because
it contributes in correcting tongue posture and increases the
orthodontic mechanical efficiency .
• Two types of spurs can be used; banded or bonded. Bonded spurs
seem to be better tolerated by patients. Their disadvantage is that
they may occasionally fall and be aspirated.
• Banded spurs do not have this disadvantage but are less tolerated
by patients (Moore 2002). However, a study has reported good
tolerance of a mandibular lingual arch and spurs by patients
(Araujo et al. 2011).
• Acceptance is even more difficult in adults that usually are required to
speak frequently in their profession. Consequently, a complete
explanation of the advantages of the tongue spurs has to be provided to
the patient to obtain a good rapport between doctor and patient. He/she
must understand that the spurs are necessary to train the tongue not to
position forward, which is not possible through speech therapy, and
that this will significantly increase stability of the results (Justus
2001).
• Justus states that atypical anterior tongue posture is the primary
factor for open-bite relapse (Justus 2001). Therefore, the idea of the
spurs is to modify tongue posture to correct the open bite and increase
treatment stability.
• Myofuctional therapy can be effective to correct speech problems
because training can modify speech, which is the basis of “speech
therapy.” However, tongue posture is not constantly monitored; it is
unconscious and not easily modified by volition (Justus 2001).
• Therefore, it seems that with the use of cribs or spurs the tongue may
be able to “adapt” to the new teeth positions, especially during the
growth period, which could contribute to increase treatment stability
(Taslan et al. 2010).
Tongue crib and tongue spurs to
correct tongue posture.
• As with treatment in the deciduous and mixed dentition, the
functional tongue problem has also to be addressed. Contrarily
to the tongue behavior in those stages, it is very difficult to
obtain spontaneous correction of the tongue habits with
morphological correction of the malocclusion in the
permanent dentition. Therefore, speech therapy is more
important at this stage.
• Speech therapy should begin after the open bite is closed. If
no lingual appliance, such as a tongue crib or spur that
interferes with speech therapy exercises, is concurrently used
with fixed appliances, speech therapy may begin once the bite
is closed and the patients are under active retention. This will
save time and contribute to greater stability of the results
(Smithpeter and Covell 2010).
Tongue crib and tongue spurs to correct tongue posture
 Once fixed appliances are removed, a maxillary retention
plate should be installed to be used 20 hours a day, except
during meals.
 The maxillary retention plate may have the usual characteristics
of a Hawley plate with an, which is mostly usedorifice in the
region of the incisive papillae. The objective of the orifice is
to help modify tongue posture.
 A variation may include a tongue crib, to avoid tongue thrust
in the anterior teeth and anterior tongue posture, and a posterior
bite block, to restrict vertical development of the posterior teeth
in growing patients.
 More patient compliance is
required with the last variation
because the posterior bite block
and the tongue crib may not be
tolerated by some patients.
Usual clinical procedures
• Closing an open bite in nonextraction treatment requires planning,
beginning with bracket bonding. The anterior teeth should be
bonded more cervically because this procedure will allow
additional vertical movement of these teeth to extrude and
consequently will help in closing the bite (Alexander 1983).
• In particular, the mandibular anterior teeth have to be bonded
more cervically because this will allow a greater overbite of the
anterior maxillary teeth, working as an overcorrection.
Anterior teeth bonded more cervically
to aid in closing the anterior open bite.
Anterior teeth bonded more cervically
to aid in closing the anterior open bite.
Anterior teeth bonded more
cervically to aid in closing
the anterior open bite.
• Leveling and alignment can be obtained with different archwire
sequences, following the usual principle of proceeding from the
lightest to the heaviest archwire.
• It may begin with round nitinol wires, from the lightest to the
heaviest, until a 0.016-in stainless steel archwire can be inserted.
Vertical elastics are usually used when 0.018-in stainless steel
archwires are placed.
• Otherwise, one can also conduct leveling and alignment with
progressively increasing rectangular thermo-activated NiTi
archwires until a 0.019 × 0.025-in archwire is inserted.
Vertical elastics are then used with these archwires.
• All archwires should be flat, with no reversed or accentuated
curve of Spee.
• If there are transverse discrepancies, these should be corrected
before placing the vertical elastics to close the bite.
• Vertical elastics can be used when there are still some
anteroposterior discrepancies that are concurrently being
corrected.
• The objectives of using the elastics, besides extruding the
incisors, are also to correct the occlusal plane inclination, to
align the maxillary incisors in relation to lip line and upright the
posterior teeth that are usually mesially tipped.
• The elastics are recommended to be used as much as possible,
except during meals, which corresponds to approximately 18–20
hours of usage per day.
• If the patient complies with these guidelines, closure occurs at a
rate of 1 mm per month. If no change in overbite is observed
after 3 months, it is most likely that the patient is not correctly
complying in using the elastics.
 There are several ways to check this:
• Failure to show up at the appointments with the elastics in place
• inability to place the elastics
• no need for extra elastics are signs of lack of compliance.
 Other signs that assure the clinician that the patient is
complying with elastic use are
• extreme tooth mobility
• report of soreness in the teeth, as some patients may experience
high sensitivity in their teeth, and may be not able to chew hard
food when they begin using the elastics.
• This has to be explained to patients so
they can overcome the initial discomfort.
Usually, they may experience high
sensitivity during the initial 3 days;
thereafter, the discomfort is tolerable.
• If it is stated to the patient that the elastics will cause no pain
and they experience it, they might think that something is wrong
and will not use the elastics.
• The elastics are used until overcorrection is obtained,
whenever possible. Ideally, once the bite is closed, the elastics
still have to be used as recommended, for 4 months, which is the
necessary time for bone to form in the alveolus (alveolar bone
remodeling), because the anterior teeth extruded, coming off of
the alveolus, to close the bite.
• After this period daily use of the elastics, it should gradually
decrease during 8 months; thereafter, the appliances can be
removed. This is a period of active retention.
• These are averages times that can be decreased or increased
depending on the overbite response to the procedure.
• Clinically, it may be very difficult to follow these guidelines
because patients usually want to remove the appliances once the
bite is closed.
• However, the longer the active retention period, the greater
will be the tendency for stability. Therefore, overcorrection
and active retention are procedures to increase treatment
stability and should be used whenever possible.
 Mesial angulation of the attachments
• It has been observed that the posterior teeth in open-bite
malocclusion are usually mesially tipped (Bjork 1969; Skieller et
al. 1984).
• The attachments should be bonded with a slight mesial
angulation to correct the mesial angulation of the posterior teeth
and help in closing the anterior open bite.
Additional procedures during treatment
to aid in open-bite closure
• Vertical elastics should be used in the anterior teeth to close the
open bite. Action of the vertical elastics are transmitted to the
posterior teeth by the archwire, and this will upright them,
contributing in closing the open bite, due to intrusion of the distal
of these teeth.
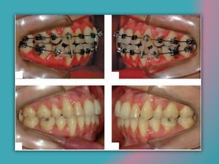
Elastics for open bite treatment
Elastics for open bite treatment

Elastics for open bite treatment

  • 1.
    Open bite treatmentin the permanent dentition by vertical elastics Prof. Dr. Maher Abd El-Salam Fouda “Orthodontic Department-faculty of dentistry- Mansoura university”
  • 2.
    Edition first published2014 © 2014 by John Wiley & Sons, Inc.
  • 3.
    DIFFERENTIAL DIAGNOSIS  Inthe permanent dentition, because the open bite has been established some years before, and the etiological factors are acting for a reasonable period of time, there may be greater involvement of the dentoalveolar skeletal structure and of the whole facial skeleton.
  • 4.
     Consequently, treatmenthas to be directed to solve the open bite and to address the associated problems presented.  Therefore, first, it has to be determined whether the open bite is predominantly dentoalveolar or skeletal in origin.
  • 5.
    Reduced anterior dentoalveolarheight characterizes a dental anterior open bite. A, Reduced incisal display as a result of restricted eruption of the maxillary incisors from a thumb-sucking habit. B, Anterior open bite from the finger habit. C, Reduced distance from the apex of the maxillary central incisors to the palatal plane
  • 6.
    Excessive vertical heightof the buccal segments is a common characteristic of skeletal anterior open-bite.
  • 7.
    • A largeinterlabial gap (>3 mm) is the most significant soft tissue characteristic of a skeletal open bite. • A, Profile view. B, Frontal view with lips closed, showing the mentalis strain resulting from a large interlabial gap.
  • 8.
    A and B,Occlusal planes generally diverge from the first molar anteriorly in skeletal open bites. C and D, Occlusal planes generally diverge from the first premolars anteriorly in dental open bites Occlusal characteristics of skeletal and dental open bites.
  • 10.
    A predominantly dentoalveolaropen bite will be less severe and restricted to the anterior teeth, and the growth pattern will usually be equilibrated or horizontal.
  • 11.
    Cephalometrically, a skeletalopen bite usually present increased gonial and mandibular plane angles, increased lower anterior face height, decreased posterior face height, and anterior upward inclination of the palatal plane . Clinically, there is also premolar involvement in the deformity. Consequently, the severity of the open bite will be accentuated as well.
  • 12.
    Bjork`s 7 structuralfeatures of posterior mandibular growth rotation: • Those are fundamental in predicting how patients will grow and how they will respond to orthodontic treatment.
  • 17.
    • Some cephalometricindicators were developed and can help in detecting the predominance of dentoalveolar or skeletal characteristics of the open bite . However, due to the diversity of open-bite characteristics, they should be used in association with other clinical factors • As Nahoum stated, “cephalometrics, at best, is a descriptive technique which helps to define or classify a condition but does not necessarily provide us with the insight for the successful treatment of an anomaly” .
  • 18.
     Usually, dentoalveolaropen bites can be handled only orthodontically, and skeletal open bites are best approached with combined orthodontic- surgical treatment to correct the severe underlying skeletal discrepancy. However, treatment decision is not only based on the malocclusion characteristics, but also on patient needs and possibilities .
  • 19.
    In orthodontic treatmentplanning of open-bite malocclusions, it has to be established how the open bite should be closed, whether by extrusion of the anterior teeth or intrusion of the posterior teeth.
  • 20.
    The treatment optionsare: • Intrusion of posteriors. • Extrusion of anteriors. • Combination. This decision is based on the vertical positioning of the maxillary incisors relative to the lip line and whether there is a skeletal background (face height). • Posterior teeth intrusion is indicated in cases with normal to excessive incisor exposure upon smiling and increased face height. • Anterior teeth extrusion is indicated in cases where there is insufficient incisor exposure at rest and upon smiling and decreased face height(lower anteriors extrusion must be experienced with caution in order not to increase curve of spee more than recommended).
  • 21.
    A, A Patientwith posterior vertical maxillary excess and anterior open bite with slightly increased incisor display at smile. B, Correction of the anterior open bite by extrusion of the anterior teeth will accentuate the anterior vertical maxillary excess in detriment of facial esthetics.
  • 22.
    • Maxillary incisorextrusion is indicated in cases where there is insufficient incisor exposure upon smiling. Posterior teeth intrusion is indicated in cases with normal to excessive incisor exposure upon smiling, and is more effectively obtained with the use of mini-implants. • If the decision is for extrusion of the anterior teeth, treatment may be conducted without or with extractions and is presented accordingly.
  • 23.
    OPEN-BITE NONEXTRACTION TREATMENT Inthe permanent dentition, the skeletal component is greater than in the deciduous and mixed dentitions and can be restricted to the alveolar bone or compromise the whole skeletal growth pattern.
  • 24.
    • Due tothe greater involvement of the skeletal structures in the open bite in the permanent dentition, treatment is more difficult, especially regarding stability, which is not as satisfactory as in early correction .
  • 25.
     It isusually performed through the use of fixed orthodontic appliances, during leveling and alignment, aided by the use of vertical intermaxillary elastics in the anterior teeth, with the objective of extruding these teeth.  The patients have to use the elastics constantly, around 18–20 hours a day, removing them only during meals, to obtain satisfactory results.
  • 26.
    Vertical intermaxillary elastics usedin the anterior teeth to correct anterior open bite.
  • 27.
    • Open biteup to 2mm may be corrected with these elastics. They may extend from the lower lateral incisor to the upper laterals or central incisor teeth or from the lower cuspid to the upper laterals, with force ranging from 1 to 2 oz. Ant. Butterfly
  • 28.
    • It canbe carried out by a vertical, triangular, or box elastic. • Box elastics have a box shape configuration and can be used in variety of situations to promote tooth extrusion and improve intercuspation.
  • 29.
    • Triangular elasticsaid in the improvement of CL I cuspid intercuspation and increase the over bite relationship anteriorly by closing open bite in the range of 0.5 to 1.5 mm. • Main concentration of force is on the tooth at the apex of the triangle. It is advised when a single tooth has to be brought to the occlusion.
  • 30.
    • Vertical Elastics(spaghetti) This is useful when there is difficulty in closing the bite, whether anteriorly or posteriorly. This type of elastic is contraindicated in malocclusions that were originally characterized by a deep bite. • Series of triangular elastics placed between both arches. The 3 arms of elastic include distal bracket wing of one max tooth, mesial bracket wing of the posterior tooth and the entire bracket of mandibular tooth closest to it. In central incisor region, two elastics placed in midline.
  • 31.
    Vertical intermaxillary elastics usedin the anterior teeth to correct anterior open bite.
  • 32.
    • A tonguecrib or spur can also be used isolated or associated with anterior vertical elastics, to correct tongue posture and consequently close the bite . • Concomitant use of the tongue crib or spur is important because it contributes in correcting tongue posture and increases the orthodontic mechanical efficiency .
  • 33.
    • Two typesof spurs can be used; banded or bonded. Bonded spurs seem to be better tolerated by patients. Their disadvantage is that they may occasionally fall and be aspirated. • Banded spurs do not have this disadvantage but are less tolerated by patients (Moore 2002). However, a study has reported good tolerance of a mandibular lingual arch and spurs by patients (Araujo et al. 2011).
  • 34.
    • Acceptance iseven more difficult in adults that usually are required to speak frequently in their profession. Consequently, a complete explanation of the advantages of the tongue spurs has to be provided to the patient to obtain a good rapport between doctor and patient. He/she must understand that the spurs are necessary to train the tongue not to position forward, which is not possible through speech therapy, and that this will significantly increase stability of the results (Justus 2001).
  • 35.
    • Justus statesthat atypical anterior tongue posture is the primary factor for open-bite relapse (Justus 2001). Therefore, the idea of the spurs is to modify tongue posture to correct the open bite and increase treatment stability. • Myofuctional therapy can be effective to correct speech problems because training can modify speech, which is the basis of “speech therapy.” However, tongue posture is not constantly monitored; it is unconscious and not easily modified by volition (Justus 2001). • Therefore, it seems that with the use of cribs or spurs the tongue may be able to “adapt” to the new teeth positions, especially during the growth period, which could contribute to increase treatment stability (Taslan et al. 2010).
  • 36.
    Tongue crib andtongue spurs to correct tongue posture. • As with treatment in the deciduous and mixed dentition, the functional tongue problem has also to be addressed. Contrarily to the tongue behavior in those stages, it is very difficult to obtain spontaneous correction of the tongue habits with morphological correction of the malocclusion in the permanent dentition. Therefore, speech therapy is more important at this stage.
  • 37.
    • Speech therapyshould begin after the open bite is closed. If no lingual appliance, such as a tongue crib or spur that interferes with speech therapy exercises, is concurrently used with fixed appliances, speech therapy may begin once the bite is closed and the patients are under active retention. This will save time and contribute to greater stability of the results (Smithpeter and Covell 2010). Tongue crib and tongue spurs to correct tongue posture
  • 38.
     Once fixedappliances are removed, a maxillary retention plate should be installed to be used 20 hours a day, except during meals.  The maxillary retention plate may have the usual characteristics of a Hawley plate with an, which is mostly usedorifice in the region of the incisive papillae. The objective of the orifice is to help modify tongue posture.
  • 39.
     A variationmay include a tongue crib, to avoid tongue thrust in the anterior teeth and anterior tongue posture, and a posterior bite block, to restrict vertical development of the posterior teeth in growing patients.  More patient compliance is required with the last variation because the posterior bite block and the tongue crib may not be tolerated by some patients.
  • 40.
    Usual clinical procedures •Closing an open bite in nonextraction treatment requires planning, beginning with bracket bonding. The anterior teeth should be bonded more cervically because this procedure will allow additional vertical movement of these teeth to extrude and consequently will help in closing the bite (Alexander 1983). • In particular, the mandibular anterior teeth have to be bonded more cervically because this will allow a greater overbite of the anterior maxillary teeth, working as an overcorrection.
  • 41.
    Anterior teeth bondedmore cervically to aid in closing the anterior open bite.
  • 42.
    Anterior teeth bondedmore cervically to aid in closing the anterior open bite.
  • 43.
    Anterior teeth bondedmore cervically to aid in closing the anterior open bite.
  • 44.
    • Leveling andalignment can be obtained with different archwire sequences, following the usual principle of proceeding from the lightest to the heaviest archwire. • It may begin with round nitinol wires, from the lightest to the heaviest, until a 0.016-in stainless steel archwire can be inserted. Vertical elastics are usually used when 0.018-in stainless steel archwires are placed. • Otherwise, one can also conduct leveling and alignment with progressively increasing rectangular thermo-activated NiTi archwires until a 0.019 × 0.025-in archwire is inserted. Vertical elastics are then used with these archwires.
  • 45.
    • All archwiresshould be flat, with no reversed or accentuated curve of Spee. • If there are transverse discrepancies, these should be corrected before placing the vertical elastics to close the bite.
  • 47.
    • Vertical elasticscan be used when there are still some anteroposterior discrepancies that are concurrently being corrected. • The objectives of using the elastics, besides extruding the incisors, are also to correct the occlusal plane inclination, to align the maxillary incisors in relation to lip line and upright the posterior teeth that are usually mesially tipped.
  • 48.
    • The elasticsare recommended to be used as much as possible, except during meals, which corresponds to approximately 18–20 hours of usage per day. • If the patient complies with these guidelines, closure occurs at a rate of 1 mm per month. If no change in overbite is observed after 3 months, it is most likely that the patient is not correctly complying in using the elastics.
  • 49.
     There areseveral ways to check this: • Failure to show up at the appointments with the elastics in place • inability to place the elastics • no need for extra elastics are signs of lack of compliance.  Other signs that assure the clinician that the patient is complying with elastic use are • extreme tooth mobility • report of soreness in the teeth, as some patients may experience high sensitivity in their teeth, and may be not able to chew hard food when they begin using the elastics.
  • 50.
    • This hasto be explained to patients so they can overcome the initial discomfort. Usually, they may experience high sensitivity during the initial 3 days; thereafter, the discomfort is tolerable. • If it is stated to the patient that the elastics will cause no pain and they experience it, they might think that something is wrong and will not use the elastics.
  • 51.
    • The elasticsare used until overcorrection is obtained, whenever possible. Ideally, once the bite is closed, the elastics still have to be used as recommended, for 4 months, which is the necessary time for bone to form in the alveolus (alveolar bone remodeling), because the anterior teeth extruded, coming off of the alveolus, to close the bite.
  • 53.
    • After thisperiod daily use of the elastics, it should gradually decrease during 8 months; thereafter, the appliances can be removed. This is a period of active retention. • These are averages times that can be decreased or increased depending on the overbite response to the procedure. • Clinically, it may be very difficult to follow these guidelines because patients usually want to remove the appliances once the bite is closed.
  • 54.
    • However, thelonger the active retention period, the greater will be the tendency for stability. Therefore, overcorrection and active retention are procedures to increase treatment stability and should be used whenever possible.
  • 55.
     Mesial angulationof the attachments • It has been observed that the posterior teeth in open-bite malocclusion are usually mesially tipped (Bjork 1969; Skieller et al. 1984). • The attachments should be bonded with a slight mesial angulation to correct the mesial angulation of the posterior teeth and help in closing the anterior open bite. Additional procedures during treatment to aid in open-bite closure
  • 57.
    • Vertical elasticsshould be used in the anterior teeth to close the open bite. Action of the vertical elastics are transmitted to the posterior teeth by the archwire, and this will upright them, contributing in closing the open bite, due to intrusion of the distal of these teeth.