Contraceptives
methods
Dr Deepak Upadhyay
MBBS, MD, MBA(HCSM)
Department of Community Medicine
Rohilkhand Medical College & Hospital
Case No. 1
A couple has come to the post partum unit for
family planning advice. The husband is 24 years
old & the wife is 20 years old. Their only child is
a 4 months old baby girl who is exclusively
breast fed. On questioning the wife gives a
history of ectopic pregnancy 2 years back.
Case no 2
Shyama has come to the sub centre for family
planning advice. She is aged 30 year and has a
daughter aged 8 months. Her husband Kanai is
an alcoholic beats her regularly and refuses to
come to sub centre for F.P. advice. Shyama has
suffered from jaundice twice in the last 1 year.
Her menstrual history is normal.
Case no 3
Jaya 35 yrs. mother of 2 children came to you
for contraception advice. She don’t want
further child, but is afraid of operative
procedures. She want to know any other options
to prevent pregnancy.
Case no. 4
Ram kumar aged 45 yrs came to you with her
wife shyama aged 40 yrs. The couple has 2
children and they don’t want further
pregnancies. What all methods are available for
them? Which method will be most suitable for
them?
Case no 5
A newly married couple came to you for
contraceptive advice. They don’t want any child
in near future. They are worried about
misconceptions about barrier methods. Husband
has history of latex sensitivity.
The Female Reproductive System
The Male Reproductive System
Classification of Contraceptive
methods
• Permanent Methods
• Male sterilization
• Female sterilization
• Spacing methods
• Natural methods
• Barrier methods
• Intra uterine devices
• Hormonal contraceptives
• Emergency contraception
• Post conception methods
Natural Contraceptive Methods
1. Fertility Awareness methods
Calendar based methods
Standard day method
Calendar rhythm method
Symptom based methods
Cervical secretion method
Basal body temperature method
2. Withdrawal or Coitus interruptus
3. Abstinence
4. Lactation Amenorrhea
Abstinence
• Abstinence is the avoidance of any sexual
activity that could cause pregnancy.
• Advantages
• Completely effective
• Also prevent STD & RTI
• No associated health risk
• Disadvantage
• Non compliance is a big problem
Widthrawal or Coitus interruptus
• Deliberate removal of the penis from the
vagina before ejaculation so that sperm is not
deposited in or near the vagina.
• Advantage
– Natural method (Non expensive)
– No delay in return of fertility after use
• Disadvantage
– High failure rate (Drops of fluid secreted
by the penis when it first becomes erect
can contain enough sperm to cause
pregnancy)
– Withdrawal does not protect against STIs.
Lactional Amenorrhea Method (LAM)
• Based on amenorrhea due to the natural
effect of breast feeding on fertility
• Mechanism of Action
– High prolactin prevent ovulation
• LAM require 3 criteria (All required)
– Mother’s monthly bleeding has not return
– Baby is fully or nearly fully breast fed
– Baby is < 6 months age
• Advantage
– Natural method (No side effects)
– Support optimal feeding of child
– Non expansive
• Disadvantage
– Variable time period
– Return of fertility delayed
• Time period for which LAM can be practiced
safely is 6 months
Fertility Awareness methods
 Calendar based methods
(Based upon the tracking of days of the
menstrual cycle to identify the fertile period)
Standard day method
Calendar rhythm method
 Symptom based methods
(depending upon the sign & symptoms associated
with fertility)
Cervical secretion method
Basal body temperature method
Standard Days Method
• Assumes menstrual cycles are between 26 –
32 days and regular
• Fertile period is from 8th day to 19th day
• First day of menstrual bleeding is counted as
day 1.
• Cycle beads can be used
Calendar Method
• Useful in women with irregular cycles
• Fertile period
– Last day = (Longest cycle – 10)th day
– Ist day = (Shortest cycle – 20)th day
• Ovulation occur 14 days before the starting
of menstrual bleeding
Cervical secretion method (Two days
Method)
• Check for cervical / vaginal secretions every
day
Fertile period
• During the period of secretion / change in
the consistency of secretion
• Less chances of pregnancy during dry days
Basal body temperature method
• The woman takes her body temperature at
the same time each morning before eating /
drinking anything
Fertile period
• Body temperature dips down during / just
before ovulation
• Just after Ovulation body temperature rises
0.4oF – 1oF
• Ovum remain viable for 4 days
• Sperm may live for 7 days
MOA fertility awareness methods
Reduce chances of fertilization of ovum during
period of viability of ovum
Advantages
Natural method
Non expensive
Disadvantages
Need client training
Does not prevent from STD / RTI
Barrier methods
• Three types
– Physical barriers method
• Male condoms, Female condoms, Diaphragm,
cervical cap
– Chemical barriers method
• Foams, Jelly, Creams, Suppositories
– Combined barriers method
Barrier contraception and
spermicides
Male
• Male condom
– Latex
– polyurethane
Female
• Female condom
• Diaphragm
• Cervical cap
• sponge
Male Condoms
• Worn on a man’s penis.
• Catches ejaculated
sperm.
• Better if used with
spermicide.
• Use with Water-Based
Lubes
• 2 types
– Latex based
– Polyurathran
Male Condoms
Non contraceptive benefits of condom
• Prevent STD / RTI
• Used during vaginal USG
• Can be used in vaginal examination
• Promote male involvement in fertility
regulation
Female Condoms
• Worn in the woman’s vagina.
• Prevents sperm from reaching the uterus.
• Made with polyurethane.
– It’s stronger than latex condoms.
• Two rings
– Smaller inner ring
– Larger outer ring
• Can be inserted up to 8 hours prior to
intercourse; can remain in place up to 8
hours
Diaphragms
• Is a circular, dome-
shaped piece of thin
rubber cup that covers
the cervix.
• Used with spermicide
• Female must get fitted
by a doctor.
Cervical Caps
• It is placed in the vagina
and it fits snugly on the
cervix.
• It can be retained in the
vagina for 48 hours.
• It’s only available by
prescription (Female
must get fitted by a
doctor)
The Cervical Shield
• The shield works just
like the diaphragm
and cervical cap for
preventing pregnancy.
• The shield is only
available with a
prescription.
The Sponge
• The sponge contains
the spermicide
nonoxynol-9.
• It is placed in the
vagina and sits below
the cervix.
• Self administration
Physical barrier methods
MOA
• Prevent contact of sperm with ovum
Advantage
• Safe , no hormonal side effects
• Easy to use, no need of specialist for use
• Prevent STD / RTI
Disadvantage
• Decrease sexual sensation
• Latex sensitivity
• Need user dedication
• Social stigma
Chemical barrier methods
(Spermicides)
Chemical barrier methods
(Spermicides)
• Consist of a base combined with either
nonoxynol-9 or octoxynol
• Surfactant that destroys the sperm cell
membrane / prevent motility
• Forms available : vaginal foams, suppositories,
jellies, films, foaming tablets, and creams.
Chemical barrier methods
(Spermicides)
• Failure rate is about 26% within the 1st year
of use.
• Advantages : ease of application , available
over the counter , inexpensive and it
augments the contraceptive efficacy of the
cervical cap and diaphragm .
• Disadvantages : minimal protection against
STDs , risk of vaginal irritation and allergic
reaction.
Intra Uterine Devices
• These are devices inserted in uterine cavity
and prevent pregnancy for the time of use.
• Three generations
– First generation / Non medicated IUDs
• Made of polyethylene
• No biologically active agent
– Second generation / Copper bearing
IUDs
• A small, flexible plastic frame with
copper sleeves / wire around sleeves
– Third generation / Hormone containing
IUDs
• A T shaped device that release
hormone every day
• Concept in early Mesopotamian civilization –
rounded stones in Female Camel uterus
• First person to successfully use IUD in
women – Prof. Ernst Von Grafenberg in 1929
• Gained popularity during Lippe’s loop
1st Generation IUDs
• Inert devices
• No biologically active agent
• Example – Lippe’s Loop
• Double “S” shaped
• Made of polyethylene and impregnated with
barium sulphate
• Duration of action – as long as used
• MOA – Foreign body reaction in
endometrium, thus making the uterine cavity
inappropriate for implantation
• Failure rate – 13/100 women year
2nd Generation IUDs
• Developed to decrease the removal rate /
complication (expulsion)
• Smaller in size and medicated (Copper)
• Some have ionic sliver in core (Cu T 380 A)
• Eg - Cu T 380 A, Multi-load devices
• Duration of action–depend upon type of Cu T
– Cu T 380 A – effective for 10 yrs.
• MOA – Non septic inflammatory changes in
endometrium + Cu affects sperm motility
• Failure rate < 1 / 100 women years
3rd generation IUDs
• Developed to decrease the menstrual blood loss
• Release hormone continuously
• MOA – Non septic inflammatory changes in
endometrium + progesterone suppress
endometrial growth
• Progestasert
– Hormone release(progesterone) - 65µg/day
– Max chances of ectopic pregnancy
– Effectiveness – 5 yrs
• Mirena
– Hormone release (Levonorgesterol) -
20µg/day
– Effectiveness – 5 yrs
– Minimal bleeding
Insertion of IUDs
Timing
• Normal non pregnant women
– Within 10 days of beginning of menstrual
bleeding
• After child birth
– Either within 48 hr or 4 weeks after the
delivery
• After miscarriage
– Either within 12 days or 4 weeks after the
miscarriage
• For emergency contraception
– Within 5 days after unprotected sex
Insertion of IUDs
• Technique
– First measure cavity with uterine sound
– No touch technique
– Pull technique
• Ideal candidate for IUD
– At least one children
– No h/o pelvic disease
– Normal menstrual periods
– Willing to check IUD tail
– Access to follow up
– Monogamous relationship
• Advantages
– Simplicity: no hospitalization required
– Inexpensive
– Long duration of effectiveness
– No systemic side effects
– No need of continuous motivation
Contraindications
– Absolute
• Suspected pregnancy
• PIDs
• Previous h/o ectopic pregnancy
• Undiagnosed vaginal bleeding
• Pelvic pathologies
– Relative
• Anemia
• Fibroid uterus or distorted uterine
cavity
Side effects
• Bleeding
– Menorrhagia – commonest side effect
– Metrorrhagia
– Irregular bleeding
• Pain
– Most common cause of IUD removal
– Mild – controlled with analgesics
– Generally disappear within 3 month
• Pelvic Infections
– Mainly due to unhygienic conditions
– Should be treat with antibiotics
– If not controlled – remove the IUD
• Uterine perforation
– Most commonly with
• Wrong technique
• Wrong timing (between 48 hrs to 6 wks
postpartum)
– Detected by
• USG – Ideal
• X-ray
– Treatment – Removal of IUD
• Ectopic pregnancy
– Second most common cause of ectopic
pregnancy
– More with Progestasert
• Pregnancy
• Expulsion
• Fertility after removal
Warning sign for IUD removal (PAINS)
• P – Period Late
• A – Abdominal pain
• I - Infection
• N – Not feeling well
• S – String missing
Follow up
• Post insertion follow up visit (3 to 6 wks)
• Look for
– Client satisfaction
– Bleeding changes
– Abdominal pain
– Vaginal discharge
– Position of thread and IUD
– Sign and symptom of pregnancy
• Educate about
– Warning signs
– Checking of thread routinely
Removal of IUD
• Indication
– Client wish
– Missing thread
– Pregnancy
– Uncontrolled side effects of IUDs
– Change of contraceptive methods
• Removal technique
– With alligator forceps or IUD hook
– Laparoscopic removal
Missing thread
Causes
• Torn thread – remove the IUD + advice on
contraception methods
• Expulsion
– Partial - remove the IUD + advice on
contraception methods
– Complete – check for pregnancy + advice on
contraception methods
• Pulled up – check for pregnancy
– Perforation - remove the IUD + advice on
different contraception methods
– Pregnancy - remove the IUD
Hormonal Contraceptives
Classification
• Oral pills
– Oral Combined pills (OCP)
– Progestogen only pills (POP)
– Post coital pills
– Once a month (Long acting) pills
– Male pills
• Depot (slow release) formulations
– Injectable
– Subcutaneous Implants
– Vaginal rings
– Skin Patch
Combined oral pills
• Contains two hormone
– Progestin – Artificial preparation of
natural hormone “Progesterone”
– Estrogen - Artificial preparation of natural
hormone “Estrogen”
• MOA
– Prevent ovulation by blocking secretion of
gonadotropins
– Progestin – Make cervical mucus thick &
also inhibit tube motility
Type of OCPs
Name Progestin Amount (mg)
EE = 0.05 mg
1. Norlestrin
2. Orgalutin
Norethisthisterone acetate
Lynestrenol
2.5
2.5
EE = 0.05 mg
1. Ovaral
2. Orlest
Levonorgestrel
Norethisthisterone acetate
0.25
1.0
EE = 0.03 mg
1. Mala – D
2. Yasmin
3. Choice
Levonorgestrel
Drospirenone
Norgestrel
0.15
3.0
0.3
EE = 0.02 mg
1. Familon Desgestrel 0.15
• When to start
– Start from the 5th day after menstrual
bleeding starts
• In post partum period –
– Avoid OCP during breast feeding
– From 5th day after starting menstrual
bleeding
• Duration of use
– As long as contraception needed
– Not recommended after 40 yrs of age
Advantages / Benefits
• Contraceptive use
• Protection from
– Endometrial CA
– Ovarian carcinoma
– Benign breast disorders
• Fibrocystic disease
• Fibro adenoma
– PID
– Iron deficiency anemia
– Ovarian cysts
• Also used in
– Menstrual bleeding
disorders
– Menstrual cramps
– Ovulation pain
– Hirsudism
– Symptoms of PCOD
– Symptoms of
Endometriosis
Side effects
Mostly due to estrogen component
• Changes in bleeding
patterns
– Irregular bleeding
– Lighter bleeding
– Infrequent bleeding
– Absent bleeding
• Headache and Migraine
• Dizziness and nausea
• Weight gain
• Breast tenderness
• Acne
• Increase risk of
– Venous thrombosis
– Cerebral
thrombosis
– Pulmonary
embolism
– Carcinoma cervix
– Hepatocellular
adenoma
– Hypertension
Contraindications
• Absolute
– Cancers of breast & genitals
– Liver diseases
– h/o thromboembolism
– Cardiac abnormalities
– Congenital hyperlipidemia
– Undiagnosed vaginal bleeding
• Relative
– Smoking & age > 35 yrs
– DM & Chr. Renal disease
– Migraine & epilepsy
– Gall bladder diseases
How to use OCP
• Start taking pill from 5th day from menstrual
bleeding starting
• Take one pill each day
• Take pill at the same time every day
• Follow the arrow at the back of pack
• Duration of use
– 28 pills pack – start new pack after
finishing the pack
– 21 pills pack – start new pack 7 days after
finishing the old pack
Missed pills
• For pills with 0.03 mg
• Delayed pill – take 1 pill as soon as possible
• Missed 1 or 2 pills - take 2 pills as soon as possible
• Missed 3 pills or more
– During 1st or 2nd week
• Take hormonal 2 pills as soon as possible
• Use alternate method for next 7 days
• Consider Emergency contraceptive, if had sex in
past 5 days
– During 3rd or 4th week
• Take hormonal 2 pills as soon as possible
• Use alternate method for next 7 days
• Consider Emergency contraceptive, if had sex in
past 5 days
• Use all hormonal pills then start new pack instead of
using non hormonal pills
Progestin only pills
• Also known as “Mini Pills”
• Contain very low doses of progestin
• Can be used during breastfeeding
• MOA
– Thickening cervical mucus
– Prevent ovulation
• Bleeding abnormalities are common side
effect
• Start any time & to be taken regularly
Once a month (long acting) pill
• Contain long acting estrogen “Quinestrol”
with short acting progestin
• Irregular bleeding tendencies major side
effects
Male Contraceptive pill
• Contain “Glossipol”
• Preventing spermatogenesis
• Interfering with sperm maturation
• Affect constitution of seminal fluid
Injectable hormonal contraceptives
• Two types
– Progestogen only injectables
• DMPA (Depot-medroxyprogesterone
acetate)
• NET -EN (Norethisterone enantate)
• DMPA-SC (DMPA depo-SubQ provera
104)
– Combined Injectable contraceptives
• (Medoxyprogesterone acetate + estradiol
cypionate) combinations
• (Norethisterone enantate + estradiol
valerate) combinations
DMPA
(Depot-medroxyprogesterone acetate)
• Dose - 150 mg intra muscular (I/M)
• Cycle – every 3months
• Can be used during Lactation
• Injection can be delayed up to 4 weeks
DMPA – SC
• Dose – 104 mg Subcutaneous (S/C)
• Site – Upper thigh / Abdomen
• Cycle – every 3months
• Side effects
– Irregular bleeding
– Weight gain
– Delayed return of fertility
• Advantages
– Long Contraceptive effect
– In endometrial Ca and Uterine fibroids
– PIDs & Iron deficiency Anemia
– Crisis in Sickle cell anemia
– Endometriosis
NET - EN
(Norethisterone enantate)
• Dose – 200mg intra muscular (I/M)
• Cycle – every 2 months
• Can be used during Lactation
• Injection can be delayed up to 2 weeks
• Side effects – same as DMPA with lesser
amount
• Advantages
– Long Contraceptive effect
– Iron deficiency Anemia
Combined Injectable contraceptives
• Contain 2 hormones
– Estrogen
– Progestin
• Cycle – 1 month
• Route – Intramuscular
Subcutaneous implants
• Small plastic rods containing progestin
hormone
• Placed subcutaneously in the upper arm
• Effectiveness – 5 yrs
• Example
– Jadelle – 2 rods for 5 yrs
– Norplant – 6 capsule for 5 yrs
Vaginal ring
• A flexible ring placed in the upper vagina
• Contain 2 hormones
• Placed in situ for 3 weeks followed by 1 week
gap before placing next ring
• Example - Nuvaring
Combined patch
• A small adhesive patch
• Replaced every week
• Contain 2 hormones
• Use 3 patch continuously followed by 1 week
gap before placing the patch again
• Example – Evra and Ortho Evra
Emergency Contraception
Emergency contraception
(EC)
Emergency contraception (EC) is any method
of contraception which is used after
intercourse and before the potential time of
implantation.
Also known as:
• Morning-After Pills
• Post coital Contraception
• Secondary Contraception
The History of EC
• 1960’s: first documented use, oral
contraceptive pills used off label
• 1997: FDA announces that oral
contraceptives are safe to use off label as EC
• 1998: The first product dedicated to EC is
marketed (Preven)
• 1999: Plan B (Single dose dedicated product)
is approved by the FDA
EC is Not a New Idea….
• “Traditional” methods for post coital
contraception have been used for decades
– High doses of vitamin C, aspirin or
chloroquine
– Douches of coca cola, tequila, baking soda,
urine
Women Who May Need Emergency
Contraception (Primary Users)
Women who:
– Have unplanned, unprotected intercourse
– Leaked or broken condom
– Missed multiple COC pills
– Waited > 16 weeks beyond last injection (DMPA)
– Failed in using withdrawal method of
contraception (ejaculation in vagina or external
genitalia)
– Failed to abstain when needed while using NFP
– Incorrectly used a diaphragm or the diaphragm
or cervical cap dislodged, broke or tore, or was
removed early
– Are rape victims
Other Situations When Emergency Contraception
May Be Used
(Secondary Users)
Although EC is intended for primary users, there may
be other situations or circumstances when other
users may need EC.
The other users may be women who:
– Are sexually active adolescents in need of
contraception
– Are currently not using a contraceptive
– Have intercourse infrequently
– Are postpartum (before menses returns)
– Are over age 35 (presumed decreased fertility)
– Are post abortion (before menses returns)
Emergency Contraception
Methods
Oral Pills (MORNING AFTER PILLS)
 Combined Oral Contraceptives (COCs): (Yuzpe’s
method)
 Very low dose (0.02 mg EE & 0.1 mg LNG)
 Low-dose (0.03 mg EE and 0.15 mg LNG)
 High-dose (0.05 mg EE and 0.25 mg LNG)
 Only Progestin containing Pills:
 Levonorgestrel only dedicated pill
1.5 mg LNG
0.75 mg LNG
 Minipills
0.03 mg LNG
0.0375 mg LNG
0.075 mg norgestrel
 Progesterone receptor modulator
 30 mg Ulipristal acetate
IUDs
Anti progestin (Mifepristone)
Emergency Contraception:
Morning After Pills
• Mechanisms of action
– May alter endometrium (mixed
proliferative /secretory pattern)
– May block ovulation
– May alter tubal motility
• Effectiveness
– 2% failure rate when used correctly
• Safety
– No long-term problems in nearly all women
– Nausea (and vomiting) most common short-
term side effect (due to estrogen)
Combined oral Contraceptive pills
Step III
If no menses within 3 weeks, consult the doctor
Step II
Take another dose after 12 hrs of first dose
Step I
Take recommended no of Tablets within 72 hrs
Dose and No. of tablets
Composition
Pills to take
First dose After 12 hours
Very low dose
(0.02 mg EE & 0.1 mg LNG
5 5
Low-dose
(0.03 mg EE and 0.15 mg LNG)
4 4
High-dose
(0.05 mg EE and 0.25 mg LNG)
2 2
Progesterone containing Pill
Step II
If no menses within 3 weeks, consult the doctor
Step I
Take recommended no of Tablets within 72 hrs
Dose and No. of tablets
Composition
Pills to take
First dose After 12 hours
Levonorgestrel only dedicated pill
1.5 mg LNG 1 -
0.75 mg LNG 2 -
Minipills
0.03 mg LNG 50 -
0.0375 mg LNG 40 -
0.075 mg norgestrel 40 -
Selective progesterone receptor
modulator
• Ulipristal Acetate
• MOA (By preventing progesterone from
occupying its receptor)
• Suppress maturation of the endometrium
necessary for implantation
• Inhibit or delay ovulation
• Dose
– 1 tablet (30 mg) within 72 hours of
unprotected sexual intercourse
Copper IUCD
• MOA
– Prevention of implantation by causing non
septic inflammation in endometrium
– Spermicidal and Blastocidal action of
copper
• Can be inserted within 5 days after the act
of unprotected coitus
• Can be removed when menses occur
• Failure rate <1%
• Main primary complications
– Uterine cramps/ bleeding
– Risk of infection
IUDs: Instructions for Use as
Emergency Contraception
• Step 1:
– Insert IUD within 5 days of unprotected
intercourse.
• Step 2:
– If no menses (vaginal bleeding) within 3
weeks, the client should consult the clinic
or service provider to check for possible
pregnancy.
• Step 3:
– If pregnancy not prevented, counsel client
regarding options.
ANTIPROGESTINS
• Different action from its use in medical
abortion, same dose
• A single 600 mg dose of Mifepristone (RU-
486) within 72 hrs after unprotected
intercourse is highly effective
• Fewer side-effects than Yuzpe
• May cause uncontrolled bleeding
Terminal Methods of
contraception
(STERILIZATION)
Sterilization
-intended to be permanent
• Male
– Vasectomy
• Traditional method
• Non scalpel vasectomy
Vasectomy
• Local anesthesia
whenever possible
• Involves division of the
vas deferens.
VASECTOMY
Vasectomy
• Men should be advised to use contraception until
azoospermia is confirmed
1. Testing should be done after 8 weeks of
vasectomy
2. 2 samples not less than 4 weeks apart should
be clear of sperm
or
1. At least 30 ejaculations are required to clear
sperm
2. At least 3 months after vasectomy
• Not associated with testicular cancer or heart
disease
• Nearly 75% of men who undergo vasectomy will
develop anti-sperm antibodies
Non Scalpel Vasectomy
Local Anaesthesia is
given
Vas deferens fixed
by a ring forceps so
that only minimal
amount of tissue is
present in the ring
• Skin directly
overlying the vas
in the ring forceps
is punctured
• Puncturing hole is
enlarged to about
twice the diameter
of vas deferens
Delivering the
vas out of the
puncture hole
• Ligaturing the
ends of vas &
excising a small
segment
• Tied ends are
pushed back into
scrotum
• Opposite vas is
also manipulated
At the end of the procedure a tiny
puncture hole results, which doesn’t
require any closure
POST OPERATIVE CARE
• Wear a T bandage for 15days
• Avoid bathing 24hrs after the operation
• Keep the site clean & dry
• Avoid cycling or lifting heavy weights for
15 days
• Use contraceptives until aspermia has
been established
• Have stitches removed on 5th day after
operation
ADVANTAGES OF NSV
• No incision, no stitch
• Minimal dissection using only 3 instruments
• Chance of complications reduced from 2%
to 0.3%
• Safer, convenient, acceptable method
• Cheaper compared to tubectomy
Complications
• Immediate
– Haematoma (1-2%)
– Wound infection
(up to 5%)
– Failure
• Late
– Anti sperm antibody (75%)
• Thought to be in response
to leakage of sperm
• Harmless unless
restoration of fertility is
desired
– Sperm granuloma
• Presumably also in
response to leaked sperm
• Painful and persistent
• Can be effectively excised
– Chronic testicular pain
• Unknown cause
FEMALE STERILIZATION
Tubectomy
• Female
– Laparoscopic
• Filshie clip
• Hulka clip
• Falope ring
– Mini Laparotomy
• The Pomeroy method
• The Parkland technique
• The Ushida method
• The Irving method
• Fimbriectomy
– Hysteroscopic
• Chemical method: quinacrine
• Mechanical method
TUBECTOMY: TYPES
Laparoscopic Sterilization
• Filshie clip
– Made of Titanium lined by silicone rubber
– Destroyed 4 mm of tube
– Failure rate 2-3/1000 procedures
• Hulka – Clemen clip
– A stainless steel spring with 2 plastic jaws made
of Lexan
– Destroyed about 3 mm of tube
– 1 year pregnancy rate of 2/1000 women
• Falope ring
– Made of silicon rubber and using special design
applicator
– Placed over the loop of tube
– It destroyed 2-3 cm tube and difficult to applied
if tube is thick / fibrotic
– Ischemia of loop give significant post op pain
MINI LAPAROTOMY
The Pomeroy method
• A loop of the isthmic portion of the tube is
elevated using babcock and ligated and cut at its
base.
• The cut ends of the tube are cauterized
1.The Pomeroy method
The Parkland technique
• A 2-3 cm fenestration is made beneath the
isthmic portion of the tube
• Tube is ligated at both sites, 3 cm apart.
• 3 cm portion of the tube is removed.
• Care must be taken not to pull on the suture
during ligation or during transection of the tube
because this can lead to shearing of the tube
from underling mesentery resulting in bleeding
2. The Parkland technique
The Uchida method
• Injection of vaso-constricting solution beneath
the serosa of the tube about 6 cm from the
utero-tubal junction.
• The tube is ligated proximally and distally about
3cm apart and cut.
• Ligated proximal stump is allowed to retract into
the mesosalphinx and the mesosalphinx is closed
with purse-string suture.
• Ligated distal stump remained exteriorized.
3.The Uchida method
The Irving method
• A fenestration is made beneath the tube about
4cm from the utero-tubal junction.
• The tube is ligated proximally and distally about
3cm apart and resected.
• A deep pocket is created in the myometrium on
the posterior surface of uterus.
• Ligated proximal end of the tube are sutured
deep into the myometrial tunnel.
• Ligated distal stump remained exteriorized.
4. The Irving method
HYSTEROSCOPIC
STERILISATION
1.Quinacrine
• Blind introduction of pellets of quinacrine into
the uterine cavity via an intrauterine device
inserter.
• The pellets dissolve near the both cornua,
with some solution entering the tubes and
causing a fibrotic reaction
• It involves the insertion of 252mg of
quinacrine on two occasions one month apart
• Quoted efficacy of 98% at 2 years
2.Ovabloc
intra-tubal device
• The procedures involves high pressure
injection of viscous silicone into the ostium via
a catheter.
• The silicone conforms to the shape of the
ampulla of the tube and cures in
approximately 5 minutes.
2.Ovabloc
intra-tubal device
• The silicone contains radio-opaque silver
powder which enables a radiological check for
correct placement
• Bilateral placement takes around 30 minutes
• The woman is asked to use contraception for
3 months, at which point a further plain X-ray
is performed to exclude migration and
expulsion
• Insertion failure rate at 17%
• Expelled in 5% of cases
Essure®
• The procedure involves
the hysteroscopic
application of a micro-
insert into the intramural
portion of the fallopion
tube
• Each device consists of a
4 cm long nickle-titanium
alloy outer coil within
which lie polyethylene
terephthalate(PET)
fibres
• The procedure time from
insertion to removal of
the hysteroscope is
around 9 minutes
• The PET fibres induce a fibrous
reaction in the tube whick peaks
at around 3 weeks.
• Patients are instructed to use
alternatives contraception for 3
months after the procedure.
• A plain X-ray or HSG is done at
this point to check continued
correct placement.
• 99.74% effectiveness with
usage over 5 years
Reversal of sterilisation
• Reversal of female sterilization
– Involves laparotomy
– Does not always work
– Microsurgical techniques are associated with
around 70% success
– Carries a significant risk of ectopic pregnancy
(up to 5%)
• Reversal of vasectomy
– Technically feasible in many cases with
patency rates of almost 90%
– Pregnancy rates are much less (up to 60%)
perhaps as a result of the presence of
antisperm antibodies

Contraceptives methods

  • 1.
    Contraceptives methods Dr Deepak Upadhyay MBBS,MD, MBA(HCSM) Department of Community Medicine Rohilkhand Medical College & Hospital
  • 2.
    Case No. 1 Acouple has come to the post partum unit for family planning advice. The husband is 24 years old & the wife is 20 years old. Their only child is a 4 months old baby girl who is exclusively breast fed. On questioning the wife gives a history of ectopic pregnancy 2 years back.
  • 3.
    Case no 2 Shyamahas come to the sub centre for family planning advice. She is aged 30 year and has a daughter aged 8 months. Her husband Kanai is an alcoholic beats her regularly and refuses to come to sub centre for F.P. advice. Shyama has suffered from jaundice twice in the last 1 year. Her menstrual history is normal.
  • 4.
    Case no 3 Jaya35 yrs. mother of 2 children came to you for contraception advice. She don’t want further child, but is afraid of operative procedures. She want to know any other options to prevent pregnancy.
  • 5.
    Case no. 4 Ramkumar aged 45 yrs came to you with her wife shyama aged 40 yrs. The couple has 2 children and they don’t want further pregnancies. What all methods are available for them? Which method will be most suitable for them?
  • 6.
    Case no 5 Anewly married couple came to you for contraceptive advice. They don’t want any child in near future. They are worried about misconceptions about barrier methods. Husband has history of latex sensitivity.
  • 7.
  • 8.
  • 9.
    Classification of Contraceptive methods •Permanent Methods • Male sterilization • Female sterilization • Spacing methods • Natural methods • Barrier methods • Intra uterine devices • Hormonal contraceptives • Emergency contraception • Post conception methods
  • 10.
    Natural Contraceptive Methods 1.Fertility Awareness methods Calendar based methods Standard day method Calendar rhythm method Symptom based methods Cervical secretion method Basal body temperature method 2. Withdrawal or Coitus interruptus 3. Abstinence 4. Lactation Amenorrhea
  • 11.
    Abstinence • Abstinence isthe avoidance of any sexual activity that could cause pregnancy. • Advantages • Completely effective • Also prevent STD & RTI • No associated health risk • Disadvantage • Non compliance is a big problem
  • 12.
    Widthrawal or Coitusinterruptus • Deliberate removal of the penis from the vagina before ejaculation so that sperm is not deposited in or near the vagina. • Advantage – Natural method (Non expensive) – No delay in return of fertility after use • Disadvantage – High failure rate (Drops of fluid secreted by the penis when it first becomes erect can contain enough sperm to cause pregnancy) – Withdrawal does not protect against STIs.
  • 13.
    Lactional Amenorrhea Method(LAM) • Based on amenorrhea due to the natural effect of breast feeding on fertility • Mechanism of Action – High prolactin prevent ovulation • LAM require 3 criteria (All required) – Mother’s monthly bleeding has not return – Baby is fully or nearly fully breast fed – Baby is < 6 months age
  • 14.
    • Advantage – Naturalmethod (No side effects) – Support optimal feeding of child – Non expansive • Disadvantage – Variable time period – Return of fertility delayed • Time period for which LAM can be practiced safely is 6 months
  • 15.
    Fertility Awareness methods Calendar based methods (Based upon the tracking of days of the menstrual cycle to identify the fertile period) Standard day method Calendar rhythm method  Symptom based methods (depending upon the sign & symptoms associated with fertility) Cervical secretion method Basal body temperature method
  • 16.
    Standard Days Method •Assumes menstrual cycles are between 26 – 32 days and regular • Fertile period is from 8th day to 19th day • First day of menstrual bleeding is counted as day 1. • Cycle beads can be used
  • 18.
    Calendar Method • Usefulin women with irregular cycles • Fertile period – Last day = (Longest cycle – 10)th day – Ist day = (Shortest cycle – 20)th day • Ovulation occur 14 days before the starting of menstrual bleeding
  • 19.
    Cervical secretion method(Two days Method) • Check for cervical / vaginal secretions every day Fertile period • During the period of secretion / change in the consistency of secretion • Less chances of pregnancy during dry days
  • 20.
    Basal body temperaturemethod • The woman takes her body temperature at the same time each morning before eating / drinking anything Fertile period • Body temperature dips down during / just before ovulation • Just after Ovulation body temperature rises 0.4oF – 1oF • Ovum remain viable for 4 days • Sperm may live for 7 days
  • 21.
    MOA fertility awarenessmethods Reduce chances of fertilization of ovum during period of viability of ovum Advantages Natural method Non expensive Disadvantages Need client training Does not prevent from STD / RTI
  • 22.
    Barrier methods • Threetypes – Physical barriers method • Male condoms, Female condoms, Diaphragm, cervical cap – Chemical barriers method • Foams, Jelly, Creams, Suppositories – Combined barriers method
  • 23.
    Barrier contraception and spermicides Male •Male condom – Latex – polyurethane Female • Female condom • Diaphragm • Cervical cap • sponge
  • 24.
    Male Condoms • Wornon a man’s penis. • Catches ejaculated sperm. • Better if used with spermicide. • Use with Water-Based Lubes • 2 types – Latex based – Polyurathran
  • 25.
    Male Condoms Non contraceptivebenefits of condom • Prevent STD / RTI • Used during vaginal USG • Can be used in vaginal examination • Promote male involvement in fertility regulation
  • 26.
    Female Condoms • Wornin the woman’s vagina. • Prevents sperm from reaching the uterus. • Made with polyurethane. – It’s stronger than latex condoms. • Two rings – Smaller inner ring – Larger outer ring • Can be inserted up to 8 hours prior to intercourse; can remain in place up to 8 hours
  • 28.
    Diaphragms • Is acircular, dome- shaped piece of thin rubber cup that covers the cervix. • Used with spermicide • Female must get fitted by a doctor.
  • 29.
    Cervical Caps • Itis placed in the vagina and it fits snugly on the cervix. • It can be retained in the vagina for 48 hours. • It’s only available by prescription (Female must get fitted by a doctor)
  • 31.
    The Cervical Shield •The shield works just like the diaphragm and cervical cap for preventing pregnancy. • The shield is only available with a prescription.
  • 32.
    The Sponge • Thesponge contains the spermicide nonoxynol-9. • It is placed in the vagina and sits below the cervix. • Self administration
  • 33.
    Physical barrier methods MOA •Prevent contact of sperm with ovum Advantage • Safe , no hormonal side effects • Easy to use, no need of specialist for use • Prevent STD / RTI Disadvantage • Decrease sexual sensation • Latex sensitivity • Need user dedication • Social stigma
  • 34.
  • 35.
    Chemical barrier methods (Spermicides) •Consist of a base combined with either nonoxynol-9 or octoxynol • Surfactant that destroys the sperm cell membrane / prevent motility • Forms available : vaginal foams, suppositories, jellies, films, foaming tablets, and creams.
  • 36.
    Chemical barrier methods (Spermicides) •Failure rate is about 26% within the 1st year of use. • Advantages : ease of application , available over the counter , inexpensive and it augments the contraceptive efficacy of the cervical cap and diaphragm . • Disadvantages : minimal protection against STDs , risk of vaginal irritation and allergic reaction.
  • 37.
  • 38.
    • These aredevices inserted in uterine cavity and prevent pregnancy for the time of use. • Three generations – First generation / Non medicated IUDs • Made of polyethylene • No biologically active agent – Second generation / Copper bearing IUDs • A small, flexible plastic frame with copper sleeves / wire around sleeves – Third generation / Hormone containing IUDs • A T shaped device that release hormone every day
  • 39.
    • Concept inearly Mesopotamian civilization – rounded stones in Female Camel uterus • First person to successfully use IUD in women – Prof. Ernst Von Grafenberg in 1929 • Gained popularity during Lippe’s loop
  • 40.
    1st Generation IUDs •Inert devices • No biologically active agent • Example – Lippe’s Loop • Double “S” shaped • Made of polyethylene and impregnated with barium sulphate • Duration of action – as long as used • MOA – Foreign body reaction in endometrium, thus making the uterine cavity inappropriate for implantation • Failure rate – 13/100 women year
  • 42.
    2nd Generation IUDs •Developed to decrease the removal rate / complication (expulsion) • Smaller in size and medicated (Copper) • Some have ionic sliver in core (Cu T 380 A) • Eg - Cu T 380 A, Multi-load devices • Duration of action–depend upon type of Cu T – Cu T 380 A – effective for 10 yrs. • MOA – Non septic inflammatory changes in endometrium + Cu affects sperm motility • Failure rate < 1 / 100 women years
  • 44.
    3rd generation IUDs •Developed to decrease the menstrual blood loss • Release hormone continuously • MOA – Non septic inflammatory changes in endometrium + progesterone suppress endometrial growth • Progestasert – Hormone release(progesterone) - 65µg/day – Max chances of ectopic pregnancy – Effectiveness – 5 yrs • Mirena – Hormone release (Levonorgesterol) - 20µg/day – Effectiveness – 5 yrs – Minimal bleeding
  • 46.
    Insertion of IUDs Timing •Normal non pregnant women – Within 10 days of beginning of menstrual bleeding • After child birth – Either within 48 hr or 4 weeks after the delivery • After miscarriage – Either within 12 days or 4 weeks after the miscarriage • For emergency contraception – Within 5 days after unprotected sex
  • 47.
    Insertion of IUDs •Technique – First measure cavity with uterine sound – No touch technique – Pull technique • Ideal candidate for IUD – At least one children – No h/o pelvic disease – Normal menstrual periods – Willing to check IUD tail – Access to follow up – Monogamous relationship
  • 48.
    • Advantages – Simplicity:no hospitalization required – Inexpensive – Long duration of effectiveness – No systemic side effects – No need of continuous motivation
  • 49.
    Contraindications – Absolute • Suspectedpregnancy • PIDs • Previous h/o ectopic pregnancy • Undiagnosed vaginal bleeding • Pelvic pathologies – Relative • Anemia • Fibroid uterus or distorted uterine cavity
  • 50.
    Side effects • Bleeding –Menorrhagia – commonest side effect – Metrorrhagia – Irregular bleeding • Pain – Most common cause of IUD removal – Mild – controlled with analgesics – Generally disappear within 3 month • Pelvic Infections – Mainly due to unhygienic conditions – Should be treat with antibiotics – If not controlled – remove the IUD
  • 51.
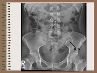
    • Uterine perforation –Most commonly with • Wrong technique • Wrong timing (between 48 hrs to 6 wks postpartum) – Detected by • USG – Ideal • X-ray – Treatment – Removal of IUD • Ectopic pregnancy – Second most common cause of ectopic pregnancy – More with Progestasert
  • 53.
    • Pregnancy • Expulsion •Fertility after removal Warning sign for IUD removal (PAINS) • P – Period Late • A – Abdominal pain • I - Infection • N – Not feeling well • S – String missing
  • 54.
    Follow up • Postinsertion follow up visit (3 to 6 wks) • Look for – Client satisfaction – Bleeding changes – Abdominal pain – Vaginal discharge – Position of thread and IUD – Sign and symptom of pregnancy • Educate about – Warning signs – Checking of thread routinely
  • 55.
    Removal of IUD •Indication – Client wish – Missing thread – Pregnancy – Uncontrolled side effects of IUDs – Change of contraceptive methods • Removal technique – With alligator forceps or IUD hook – Laparoscopic removal
  • 56.
    Missing thread Causes • Tornthread – remove the IUD + advice on contraception methods • Expulsion – Partial - remove the IUD + advice on contraception methods – Complete – check for pregnancy + advice on contraception methods • Pulled up – check for pregnancy – Perforation - remove the IUD + advice on different contraception methods – Pregnancy - remove the IUD
  • 58.
  • 59.
    Classification • Oral pills –Oral Combined pills (OCP) – Progestogen only pills (POP) – Post coital pills – Once a month (Long acting) pills – Male pills • Depot (slow release) formulations – Injectable – Subcutaneous Implants – Vaginal rings – Skin Patch
  • 60.
    Combined oral pills •Contains two hormone – Progestin – Artificial preparation of natural hormone “Progesterone” – Estrogen - Artificial preparation of natural hormone “Estrogen” • MOA – Prevent ovulation by blocking secretion of gonadotropins – Progestin – Make cervical mucus thick & also inhibit tube motility
  • 61.
    Type of OCPs NameProgestin Amount (mg) EE = 0.05 mg 1. Norlestrin 2. Orgalutin Norethisthisterone acetate Lynestrenol 2.5 2.5 EE = 0.05 mg 1. Ovaral 2. Orlest Levonorgestrel Norethisthisterone acetate 0.25 1.0 EE = 0.03 mg 1. Mala – D 2. Yasmin 3. Choice Levonorgestrel Drospirenone Norgestrel 0.15 3.0 0.3 EE = 0.02 mg 1. Familon Desgestrel 0.15
  • 62.
    • When tostart – Start from the 5th day after menstrual bleeding starts • In post partum period – – Avoid OCP during breast feeding – From 5th day after starting menstrual bleeding • Duration of use – As long as contraception needed – Not recommended after 40 yrs of age
  • 63.
    Advantages / Benefits •Contraceptive use • Protection from – Endometrial CA – Ovarian carcinoma – Benign breast disorders • Fibrocystic disease • Fibro adenoma – PID – Iron deficiency anemia – Ovarian cysts • Also used in – Menstrual bleeding disorders – Menstrual cramps – Ovulation pain – Hirsudism – Symptoms of PCOD – Symptoms of Endometriosis
  • 64.
    Side effects Mostly dueto estrogen component • Changes in bleeding patterns – Irregular bleeding – Lighter bleeding – Infrequent bleeding – Absent bleeding • Headache and Migraine • Dizziness and nausea • Weight gain • Breast tenderness • Acne • Increase risk of – Venous thrombosis – Cerebral thrombosis – Pulmonary embolism – Carcinoma cervix – Hepatocellular adenoma – Hypertension
  • 65.
    Contraindications • Absolute – Cancersof breast & genitals – Liver diseases – h/o thromboembolism – Cardiac abnormalities – Congenital hyperlipidemia – Undiagnosed vaginal bleeding • Relative – Smoking & age > 35 yrs – DM & Chr. Renal disease – Migraine & epilepsy – Gall bladder diseases
  • 66.
    How to useOCP • Start taking pill from 5th day from menstrual bleeding starting • Take one pill each day • Take pill at the same time every day • Follow the arrow at the back of pack • Duration of use – 28 pills pack – start new pack after finishing the pack – 21 pills pack – start new pack 7 days after finishing the old pack
  • 68.
    Missed pills • Forpills with 0.03 mg • Delayed pill – take 1 pill as soon as possible • Missed 1 or 2 pills - take 2 pills as soon as possible • Missed 3 pills or more – During 1st or 2nd week • Take hormonal 2 pills as soon as possible • Use alternate method for next 7 days • Consider Emergency contraceptive, if had sex in past 5 days – During 3rd or 4th week • Take hormonal 2 pills as soon as possible • Use alternate method for next 7 days • Consider Emergency contraceptive, if had sex in past 5 days • Use all hormonal pills then start new pack instead of using non hormonal pills
  • 69.
    Progestin only pills •Also known as “Mini Pills” • Contain very low doses of progestin • Can be used during breastfeeding • MOA – Thickening cervical mucus – Prevent ovulation • Bleeding abnormalities are common side effect • Start any time & to be taken regularly
  • 70.
    Once a month(long acting) pill • Contain long acting estrogen “Quinestrol” with short acting progestin • Irregular bleeding tendencies major side effects Male Contraceptive pill • Contain “Glossipol” • Preventing spermatogenesis • Interfering with sperm maturation • Affect constitution of seminal fluid
  • 71.
    Injectable hormonal contraceptives •Two types – Progestogen only injectables • DMPA (Depot-medroxyprogesterone acetate) • NET -EN (Norethisterone enantate) • DMPA-SC (DMPA depo-SubQ provera 104) – Combined Injectable contraceptives • (Medoxyprogesterone acetate + estradiol cypionate) combinations • (Norethisterone enantate + estradiol valerate) combinations
  • 72.
    DMPA (Depot-medroxyprogesterone acetate) • Dose- 150 mg intra muscular (I/M) • Cycle – every 3months • Can be used during Lactation • Injection can be delayed up to 4 weeks DMPA – SC • Dose – 104 mg Subcutaneous (S/C) • Site – Upper thigh / Abdomen • Cycle – every 3months
  • 73.
    • Side effects –Irregular bleeding – Weight gain – Delayed return of fertility • Advantages – Long Contraceptive effect – In endometrial Ca and Uterine fibroids – PIDs & Iron deficiency Anemia – Crisis in Sickle cell anemia – Endometriosis
  • 74.
    NET - EN (Norethisteroneenantate) • Dose – 200mg intra muscular (I/M) • Cycle – every 2 months • Can be used during Lactation • Injection can be delayed up to 2 weeks • Side effects – same as DMPA with lesser amount • Advantages – Long Contraceptive effect – Iron deficiency Anemia
  • 75.
    Combined Injectable contraceptives •Contain 2 hormones – Estrogen – Progestin • Cycle – 1 month • Route – Intramuscular
  • 76.
    Subcutaneous implants • Smallplastic rods containing progestin hormone • Placed subcutaneously in the upper arm • Effectiveness – 5 yrs • Example – Jadelle – 2 rods for 5 yrs – Norplant – 6 capsule for 5 yrs
  • 78.
    Vaginal ring • Aflexible ring placed in the upper vagina • Contain 2 hormones • Placed in situ for 3 weeks followed by 1 week gap before placing next ring • Example - Nuvaring
  • 79.
    Combined patch • Asmall adhesive patch • Replaced every week • Contain 2 hormones • Use 3 patch continuously followed by 1 week gap before placing the patch again • Example – Evra and Ortho Evra
  • 80.
  • 81.
    Emergency contraception (EC) Emergency contraception(EC) is any method of contraception which is used after intercourse and before the potential time of implantation. Also known as: • Morning-After Pills • Post coital Contraception • Secondary Contraception
  • 82.
    The History ofEC • 1960’s: first documented use, oral contraceptive pills used off label • 1997: FDA announces that oral contraceptives are safe to use off label as EC • 1998: The first product dedicated to EC is marketed (Preven) • 1999: Plan B (Single dose dedicated product) is approved by the FDA
  • 83.
    EC is Nota New Idea…. • “Traditional” methods for post coital contraception have been used for decades – High doses of vitamin C, aspirin or chloroquine – Douches of coca cola, tequila, baking soda, urine
  • 84.
    Women Who MayNeed Emergency Contraception (Primary Users) Women who: – Have unplanned, unprotected intercourse – Leaked or broken condom – Missed multiple COC pills – Waited > 16 weeks beyond last injection (DMPA) – Failed in using withdrawal method of contraception (ejaculation in vagina or external genitalia) – Failed to abstain when needed while using NFP – Incorrectly used a diaphragm or the diaphragm or cervical cap dislodged, broke or tore, or was removed early – Are rape victims
  • 85.
    Other Situations WhenEmergency Contraception May Be Used (Secondary Users) Although EC is intended for primary users, there may be other situations or circumstances when other users may need EC. The other users may be women who: – Are sexually active adolescents in need of contraception – Are currently not using a contraceptive – Have intercourse infrequently – Are postpartum (before menses returns) – Are over age 35 (presumed decreased fertility) – Are post abortion (before menses returns)
  • 86.
    Emergency Contraception Methods Oral Pills(MORNING AFTER PILLS)  Combined Oral Contraceptives (COCs): (Yuzpe’s method)  Very low dose (0.02 mg EE & 0.1 mg LNG)  Low-dose (0.03 mg EE and 0.15 mg LNG)  High-dose (0.05 mg EE and 0.25 mg LNG)
  • 87.
     Only Progestincontaining Pills:  Levonorgestrel only dedicated pill 1.5 mg LNG 0.75 mg LNG  Minipills 0.03 mg LNG 0.0375 mg LNG 0.075 mg norgestrel
  • 88.
     Progesterone receptormodulator  30 mg Ulipristal acetate IUDs Anti progestin (Mifepristone)
  • 89.
    Emergency Contraception: Morning AfterPills • Mechanisms of action – May alter endometrium (mixed proliferative /secretory pattern) – May block ovulation – May alter tubal motility • Effectiveness – 2% failure rate when used correctly • Safety – No long-term problems in nearly all women – Nausea (and vomiting) most common short- term side effect (due to estrogen)
  • 90.
    Combined oral Contraceptivepills Step III If no menses within 3 weeks, consult the doctor Step II Take another dose after 12 hrs of first dose Step I Take recommended no of Tablets within 72 hrs
  • 91.
    Dose and No.of tablets Composition Pills to take First dose After 12 hours Very low dose (0.02 mg EE & 0.1 mg LNG 5 5 Low-dose (0.03 mg EE and 0.15 mg LNG) 4 4 High-dose (0.05 mg EE and 0.25 mg LNG) 2 2
  • 92.
    Progesterone containing Pill StepII If no menses within 3 weeks, consult the doctor Step I Take recommended no of Tablets within 72 hrs
  • 93.
    Dose and No.of tablets Composition Pills to take First dose After 12 hours Levonorgestrel only dedicated pill 1.5 mg LNG 1 - 0.75 mg LNG 2 - Minipills 0.03 mg LNG 50 - 0.0375 mg LNG 40 - 0.075 mg norgestrel 40 -
  • 95.
    Selective progesterone receptor modulator •Ulipristal Acetate • MOA (By preventing progesterone from occupying its receptor) • Suppress maturation of the endometrium necessary for implantation • Inhibit or delay ovulation • Dose – 1 tablet (30 mg) within 72 hours of unprotected sexual intercourse
  • 96.
    Copper IUCD • MOA –Prevention of implantation by causing non septic inflammation in endometrium – Spermicidal and Blastocidal action of copper • Can be inserted within 5 days after the act of unprotected coitus • Can be removed when menses occur • Failure rate <1% • Main primary complications – Uterine cramps/ bleeding – Risk of infection
  • 97.
    IUDs: Instructions forUse as Emergency Contraception • Step 1: – Insert IUD within 5 days of unprotected intercourse. • Step 2: – If no menses (vaginal bleeding) within 3 weeks, the client should consult the clinic or service provider to check for possible pregnancy. • Step 3: – If pregnancy not prevented, counsel client regarding options.
  • 98.
    ANTIPROGESTINS • Different actionfrom its use in medical abortion, same dose • A single 600 mg dose of Mifepristone (RU- 486) within 72 hrs after unprotected intercourse is highly effective • Fewer side-effects than Yuzpe • May cause uncontrolled bleeding
  • 99.
  • 100.
    Sterilization -intended to bepermanent • Male – Vasectomy • Traditional method • Non scalpel vasectomy
  • 101.
    Vasectomy • Local anesthesia wheneverpossible • Involves division of the vas deferens.
  • 102.
  • 103.
    Vasectomy • Men shouldbe advised to use contraception until azoospermia is confirmed 1. Testing should be done after 8 weeks of vasectomy 2. 2 samples not less than 4 weeks apart should be clear of sperm or 1. At least 30 ejaculations are required to clear sperm 2. At least 3 months after vasectomy • Not associated with testicular cancer or heart disease • Nearly 75% of men who undergo vasectomy will develop anti-sperm antibodies
  • 104.
    Non Scalpel Vasectomy LocalAnaesthesia is given Vas deferens fixed by a ring forceps so that only minimal amount of tissue is present in the ring
  • 105.
    • Skin directly overlyingthe vas in the ring forceps is punctured • Puncturing hole is enlarged to about twice the diameter of vas deferens
  • 106.
    Delivering the vas outof the puncture hole
  • 107.
    • Ligaturing the endsof vas & excising a small segment • Tied ends are pushed back into scrotum • Opposite vas is also manipulated
  • 108.
    At the endof the procedure a tiny puncture hole results, which doesn’t require any closure
  • 110.
    POST OPERATIVE CARE •Wear a T bandage for 15days • Avoid bathing 24hrs after the operation • Keep the site clean & dry • Avoid cycling or lifting heavy weights for 15 days • Use contraceptives until aspermia has been established • Have stitches removed on 5th day after operation
  • 111.
    ADVANTAGES OF NSV •No incision, no stitch • Minimal dissection using only 3 instruments • Chance of complications reduced from 2% to 0.3% • Safer, convenient, acceptable method • Cheaper compared to tubectomy
  • 112.
    Complications • Immediate – Haematoma(1-2%) – Wound infection (up to 5%) – Failure • Late – Anti sperm antibody (75%) • Thought to be in response to leakage of sperm • Harmless unless restoration of fertility is desired – Sperm granuloma • Presumably also in response to leaked sperm • Painful and persistent • Can be effectively excised – Chronic testicular pain • Unknown cause
  • 113.
  • 114.
    • Female – Laparoscopic •Filshie clip • Hulka clip • Falope ring – Mini Laparotomy • The Pomeroy method • The Parkland technique • The Ushida method • The Irving method • Fimbriectomy – Hysteroscopic • Chemical method: quinacrine • Mechanical method
  • 115.
  • 116.
    Laparoscopic Sterilization • Filshieclip – Made of Titanium lined by silicone rubber – Destroyed 4 mm of tube – Failure rate 2-3/1000 procedures • Hulka – Clemen clip – A stainless steel spring with 2 plastic jaws made of Lexan – Destroyed about 3 mm of tube – 1 year pregnancy rate of 2/1000 women • Falope ring – Made of silicon rubber and using special design applicator – Placed over the loop of tube – It destroyed 2-3 cm tube and difficult to applied if tube is thick / fibrotic – Ischemia of loop give significant post op pain
  • 118.
  • 119.
    The Pomeroy method •A loop of the isthmic portion of the tube is elevated using babcock and ligated and cut at its base. • The cut ends of the tube are cauterized
  • 120.
  • 121.
    The Parkland technique •A 2-3 cm fenestration is made beneath the isthmic portion of the tube • Tube is ligated at both sites, 3 cm apart. • 3 cm portion of the tube is removed. • Care must be taken not to pull on the suture during ligation or during transection of the tube because this can lead to shearing of the tube from underling mesentery resulting in bleeding
  • 122.
    2. The Parklandtechnique
  • 123.
    The Uchida method •Injection of vaso-constricting solution beneath the serosa of the tube about 6 cm from the utero-tubal junction. • The tube is ligated proximally and distally about 3cm apart and cut. • Ligated proximal stump is allowed to retract into the mesosalphinx and the mesosalphinx is closed with purse-string suture. • Ligated distal stump remained exteriorized.
  • 124.
  • 125.
    The Irving method •A fenestration is made beneath the tube about 4cm from the utero-tubal junction. • The tube is ligated proximally and distally about 3cm apart and resected. • A deep pocket is created in the myometrium on the posterior surface of uterus. • Ligated proximal end of the tube are sutured deep into the myometrial tunnel. • Ligated distal stump remained exteriorized.
  • 126.
  • 127.
  • 128.
    1.Quinacrine • Blind introductionof pellets of quinacrine into the uterine cavity via an intrauterine device inserter. • The pellets dissolve near the both cornua, with some solution entering the tubes and causing a fibrotic reaction • It involves the insertion of 252mg of quinacrine on two occasions one month apart • Quoted efficacy of 98% at 2 years
  • 129.
    2.Ovabloc intra-tubal device • Theprocedures involves high pressure injection of viscous silicone into the ostium via a catheter. • The silicone conforms to the shape of the ampulla of the tube and cures in approximately 5 minutes.
  • 130.
    2.Ovabloc intra-tubal device • Thesilicone contains radio-opaque silver powder which enables a radiological check for correct placement • Bilateral placement takes around 30 minutes • The woman is asked to use contraception for 3 months, at which point a further plain X-ray is performed to exclude migration and expulsion • Insertion failure rate at 17% • Expelled in 5% of cases
  • 132.
    Essure® • The procedureinvolves the hysteroscopic application of a micro- insert into the intramural portion of the fallopion tube • Each device consists of a 4 cm long nickle-titanium alloy outer coil within which lie polyethylene terephthalate(PET) fibres • The procedure time from insertion to removal of the hysteroscope is around 9 minutes
  • 133.
    • The PETfibres induce a fibrous reaction in the tube whick peaks at around 3 weeks. • Patients are instructed to use alternatives contraception for 3 months after the procedure. • A plain X-ray or HSG is done at this point to check continued correct placement. • 99.74% effectiveness with usage over 5 years
  • 135.
    Reversal of sterilisation •Reversal of female sterilization – Involves laparotomy – Does not always work – Microsurgical techniques are associated with around 70% success – Carries a significant risk of ectopic pregnancy (up to 5%) • Reversal of vasectomy – Technically feasible in many cases with patency rates of almost 90% – Pregnancy rates are much less (up to 60%) perhaps as a result of the presence of antisperm antibodies