13
Dr mustafa ali
Define
Etiology
Classification
Diagnosis
A myeloproliferative disorder originates
from stem cell , characterized by
Leucocytosis with granulocytic
immaturity, basophilia, splenomegaly
and distinct chromosomal abnormality
–Philadelphia (Ph).
 Ionizing radiation
Survivors of Hiroshima and Nagasaki
Patients of ankylosing spondylitis
 HLA, CW3, CW4
 ABL proto oncogenes from chromosome 9
is translocated to chromosome 22 where
BCR is present and result in formation of
BCR-ABL fusion chimeric gene
BCR-ABL fusion gene
Impedes apoptosis Encodes for tyrosine kinase activity
↑ Tyrosinase kinase of stem cell
Uncontrolled proliferation of myeloid cells
Chronic myeloid leukemia
3 Phases
(1) Chronic Phase
(2) Accelerated Phase
(3) Blastic Phase
Stable phase
Lasts for 2-6 years
Blast cells 2-5% in blood / marrow
Gradually transformed into accelerated
phase
Abruptly may transformed in to blastic
phase
More aggressive phase
Lasts for few months
Usually transformed in to blastic phase
Blast cells 10-20% blood / marrow
Spleen fail to regress with treatment or
size starts increasing
Blast cells >20% blood / marrow
Lymphadenopathy may present
Lasts for few weeks to month
Marrow fibrosis may develop
Granulocytic sarcoma may develop
Basophile >20%
Thrombocytopenia leads to bleeding
Juvenile myelomonocytic leukemia
 Chronic myelomonocytic leukemia

Eosinophilic leukemia

Granulocytic sarcoma
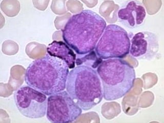
Peripheral blood examination
Bone marrow examination
Biochemical parameter
 Hb decreased
 Leucocytosis (1-5 lack)
 Immature myeloid cells
Blast cells 1-5%
Promyelocytes 4-10%
Myelocytes 30-40%
Metamyelocytes 20-30%
Neutrophils 30-50%
 Basophilia
 Eosinophilia
 Platlets count :- normal or increased
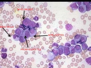
MYELOBLAST
BAND CELLS
PROMYELOCYTES
MYELOCYTES
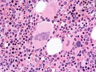
 Marked hyper cellular
 Marked myeloid hyperplasia
 Presence of basophiles and eosinophil and their
precursor
 Erythroid precursor decrease
 Megakaryocyte normal or increased
 Gaucher like cells :- large histiocytes (Pseudo Gaucher
cells) , sometimes with blue granules (Acquired Sea
Blue Histiocytes)
 Variable degree of marrow fibrosis
NAP score :- decreased 0-20 (Normal
40-100)
Serum uric acid :- increased due to
high turnover of whites cells
Serum LDH :- increased
Serum Alkaline Phosphatase :-
increased
Transcobalamine-1 level :- increased
3 sub types
(1.) classical chronic granulocytic
leukemia (CGL) Ph+ BCR+ / PH- BCR+
(2.) chronic myelomonocytic leukemia
(CMML)
(3.) atypical CML (aCML) resemble
classical CGL but are PH- BCR-
CGL aCML CMML
Basophils ≥ 2% < 2% < 2%
Monocytes < 3% ≥3-10% ≥ 3-10%
Granulocytes
dysplasia
- ++ +
Immature
granulocytes
>20% 10-20% ≤ 10-%
Blasts < 2% > 2% < 2%
FEATURE LEUKEMOID
REACTION
CML
Nature of disease Reactive Stem cell MPD
Causes of leukemoid
reaction
+ve -ve
Splenomegaly -ve +ve
TLC 10,000-50,000/l 1-5 lacks/l
Toxic granules in
neutrophils
+ve -ve
Basophilia -ve +ve
Eosinophilia -ve +ve
NAP score (150-350) (0-40)
Ph chromosomes -ve +ve
FEATURE CML MF
Stem cell Stem cell disease Not a stem cell
disorder
Ph chrosome +ve -ve
TLC 1-5 lacks/l <50 ,000/l
Blood picture Blasts,promyelocytes
,myelos ,Metas
present
Leuoerythroblastic
blood picture
Basophilia &
Eosinophilia
+ve -ve
Tear drop cells -ve +++
Myeloid hyperplasia
BM
+++ ±
NAP score < 40 > 100
Fate (transform to) blastic phase extensive fibrosis
with marrow failure
CHRONIC MYELOBLASTIC LEUKEMIA.ppt

CHRONIC MYELOBLASTIC LEUKEMIA.ppt

  • 1.
  • 2.
  • 3.
    A myeloproliferative disorderoriginates from stem cell , characterized by Leucocytosis with granulocytic immaturity, basophilia, splenomegaly and distinct chromosomal abnormality –Philadelphia (Ph).
  • 4.
     Ionizing radiation Survivorsof Hiroshima and Nagasaki Patients of ankylosing spondylitis  HLA, CW3, CW4  ABL proto oncogenes from chromosome 9 is translocated to chromosome 22 where BCR is present and result in formation of BCR-ABL fusion chimeric gene
  • 6.
    BCR-ABL fusion gene Impedesapoptosis Encodes for tyrosine kinase activity ↑ Tyrosinase kinase of stem cell Uncontrolled proliferation of myeloid cells Chronic myeloid leukemia
  • 9.
    3 Phases (1) ChronicPhase (2) Accelerated Phase (3) Blastic Phase
  • 10.
    Stable phase Lasts for2-6 years Blast cells 2-5% in blood / marrow Gradually transformed into accelerated phase Abruptly may transformed in to blastic phase
  • 11.
    More aggressive phase Lastsfor few months Usually transformed in to blastic phase Blast cells 10-20% blood / marrow Spleen fail to regress with treatment or size starts increasing
  • 12.
    Blast cells >20%blood / marrow Lymphadenopathy may present Lasts for few weeks to month Marrow fibrosis may develop Granulocytic sarcoma may develop Basophile >20% Thrombocytopenia leads to bleeding
  • 13.
    Juvenile myelomonocytic leukemia Chronic myelomonocytic leukemia  Eosinophilic leukemia  Granulocytic sarcoma
  • 14.
    Peripheral blood examination Bonemarrow examination Biochemical parameter
  • 15.
     Hb decreased Leucocytosis (1-5 lack)  Immature myeloid cells Blast cells 1-5% Promyelocytes 4-10% Myelocytes 30-40% Metamyelocytes 20-30% Neutrophils 30-50%  Basophilia  Eosinophilia  Platlets count :- normal or increased
  • 17.
  • 19.
     Marked hypercellular  Marked myeloid hyperplasia  Presence of basophiles and eosinophil and their precursor  Erythroid precursor decrease  Megakaryocyte normal or increased  Gaucher like cells :- large histiocytes (Pseudo Gaucher cells) , sometimes with blue granules (Acquired Sea Blue Histiocytes)  Variable degree of marrow fibrosis
  • 21.
    NAP score :-decreased 0-20 (Normal 40-100) Serum uric acid :- increased due to high turnover of whites cells Serum LDH :- increased Serum Alkaline Phosphatase :- increased Transcobalamine-1 level :- increased
  • 22.
    3 sub types (1.)classical chronic granulocytic leukemia (CGL) Ph+ BCR+ / PH- BCR+ (2.) chronic myelomonocytic leukemia (CMML) (3.) atypical CML (aCML) resemble classical CGL but are PH- BCR-
  • 23.
    CGL aCML CMML Basophils≥ 2% < 2% < 2% Monocytes < 3% ≥3-10% ≥ 3-10% Granulocytes dysplasia - ++ + Immature granulocytes >20% 10-20% ≤ 10-% Blasts < 2% > 2% < 2%
  • 24.
    FEATURE LEUKEMOID REACTION CML Nature ofdisease Reactive Stem cell MPD Causes of leukemoid reaction +ve -ve Splenomegaly -ve +ve TLC 10,000-50,000/l 1-5 lacks/l Toxic granules in neutrophils +ve -ve Basophilia -ve +ve Eosinophilia -ve +ve NAP score (150-350) (0-40) Ph chromosomes -ve +ve
  • 25.
    FEATURE CML MF Stemcell Stem cell disease Not a stem cell disorder Ph chrosome +ve -ve TLC 1-5 lacks/l <50 ,000/l Blood picture Blasts,promyelocytes ,myelos ,Metas present Leuoerythroblastic blood picture Basophilia & Eosinophilia +ve -ve Tear drop cells -ve +++ Myeloid hyperplasia BM +++ ± NAP score < 40 > 100 Fate (transform to) blastic phase extensive fibrosis with marrow failure