CANINE DISTEMPER
ABHIJITH SP
CVAS POOKODE
INTRODUCTION
 Contagious and acute febrile viral disease of
dogs.
 Characterized by biphasic fever, severe immune
suppression, catarrh of mucous membranes of
respiratory, GI, urogenital tracts, skin lesions and
nervous symptoms.
 Synonyms – Carre’s disease, Hard pad disease,
old dog encephalitis.
24-09-2020ABHIJITH SP CVAS POOKODE 2
AETIOLOGY
 Agent—Paramyxoviridae—Morbilivirus—CDV
 SS RNA virus.
 The virus is pantropic virus.
 Pantropic with peculiar affinity for lymphoid tissues,
epithelial tissue (respiratory, gastrointestinal and
urogenital tracts, skin) and nervous tissue.
 Antigenically related to PPR virus of goats, RP virus
of cattle and measles virus of humans.
24-09-2020ABHIJITH SP CVAS POOKODE 3
Susceptible Hosts
 Primarily affects dogs.
 Small pups with less developed immune system more
susceptible than adult dogs with fully developed immune
system.
 Pups are mostly affected.
 Also affects wild animals like lion tiger leopard.
24-09-2020ABHIJITH SP CVAS POOKODE 4
Incubation Period
• The incubation period is 3–7 days: usually 5 days.
• Pups with weak immune system will have lesser
incubation period.
• Duration of disease depends on intensity of
infection, health status and secondary infection.
24-09-2020ABHIJITH SP CVAS POOKODE 5
TRANSMISSION
 All secretions and excretions contain viruses.
 Usual route of infection is aerosol infection-Inhalation of
infected droplets.
 Respiratory signs and lesions are constant, Lung is central to
pathogenesis of CD.
 Lung lesions varies in severity.
 Infection can also occur through ingestion.
 Chance of Bordetella infection as secondary bacterial infection
is high.
 Salmonella infection can also occur.
24-09-2020ABHIJITH SP CVAS POOKODE 6
PATHOGENESIS
 Virus gain access into body through ingestion or
inhalation.
 Following entry virus is taken up by macrophages of
tonsils and bronchial lymph nodes.
 Lymphatic & hematogenous spread occurs to other
lymphoid organs.
 Stage of viremia (presence of virus in blood) 4-5DPI.So
first fever appears.
 Spread beyond lymphoid tissues depends on the immune
status of host.
24-09-2020ABHIJITH SP CVAS POOKODE 7
PATHOGENESIS
• In immunocompromised animals, virus spreads to
the epithelia of respiratory, GI, urogenital tracts and
ultimately reaches skin, brain and optic nerves.
• Viral replication in the target tissues bring about the
characteristic pathological changes.
• Second Fever appears due to localization of virus in
different tissues and also maybe due to secondary
bacterial infection. 12dpi.
24-09-2020ABHIJITH SP CVAS POOKODE 8
CLINICAL SIGNS
 Characterized by two phases esp. in young pups
Visceral Phase
Encephalitic Phase
24-09-2020ABHIJITH SP CVAS POOKODE 9
CLINICAL SIGNS
 Visceral phase – Diphasic/ Biphasic fever-fever for 3/4 days, drops &
remain normal till 11th or 12th day- again rises due to secondary bacterial
infection.
 Conjunctivitis, nasal and ocular discharges initially catarrhal, later
become purulent due to secondary bacterial infection, signs of
pneumonia.
 Diarrhea with blood streaks.
 Vesicles/pustules esp. on the skin of ventral abdomen.
 Marked lymphopenia.
24-09-2020ABHIJITH SP CVAS POOKODE 10
CLINICAL SIGNS
 Encephalitic phase.
 Nervous signs- chewing movements & excess
salivation, epileptic seizures and temporal
twitches – Chorea.
 Blindness, paralysis.
 Nasodigital hyperkeratosis (Hard pad disease)
24-09-2020ABHIJITH SP CVAS POOKODE 11
Hard pad Abdominal pustules
24-09-2020ABHIJITH SP CVAS POOKODE 12
Macroscopic Lesions
• Respiratory tract
Catarrhal exudate which turns purulent in the nasal
and pharyngeal mucosa
Bronchi show serous/ purulent exudate
Broncho interstitial pneumonia – Suppurative
(secondary bacterial infection)
24-09-2020ABHIJITH SP CVAS POOKODE 13
Macroscopic Lesions
• GI tract
Catarrhal to necrotizing gastroenteritis
Swollen mesenteric lymph nodes
24-09-2020ABHIJITH SP CVAS POOKODE 14
Gross lesions
 Other lesions.
Thymic atrophy, Hydropericardium, Nutmeg
appearance of liver, catarrhal conjunctivitis,
corneal ulceration, pan ophthalmitis, meningeal
congestion and edema.
24-09-2020ABHIJITH SP CVAS POOKODE 15
Microscopic lesions
• Respiratory tract – catarrhal rhino tracheitis, bronchitis with ,
bronchiolitis with small purulent plugs- bronchiolitis capillaris.
• Proliferation of type II pneumonocytes and formation of
multinucleated syncytial cells with intracytoplasmic inclusion
bodies and less often intranuclear inclusions.
• In some areas, collection of cells resembling epithelioid cells,
some of which may fuse giving the appearance of giant cell
pneumonia.
24-09-2020ABHIJITH SP CVAS POOKODE 16
Microscopic lesions
• Gastro intestinal tract
Catarrhal to necrotizing inflammation
Formation of intracytoplasmic and intranuclear inclusions in the
epithelia of GI tract
• Urinary tract
Desquamation of epithelium in renal pelvis, Intracytoplasmic &
Intranuclear and inclusions in the epithelia of renal pelvis,
collecting tubules and transitional epithelium of urinary bladder
24-09-2020ABHIJITH SP CVAS POOKODE 17
Microscopic lesions
• Skin- Dermatitis confined to deeper epidermis
(Malpighian layer). Formation of Intracytoplasmic and
intranuclear inclusions. Extensive proliferation of keratin
layer leads to hard pad condition.
Lymphoid tissues – T cell & B cell necrosis of spleen, lymph
nodes. Atrophy of thymus ( Lymphopenia).
• Retina- Congestion, edema, neuritis of optic nerve,
demyelination, gliosis and formation of inclusion bodies.
24-09-2020ABHIJITH SP CVAS POOKODE 18
Microscopic lesions
• Nervous system- Extensive demyelination, vacuolation of white
matter. Myelinated tracts of cerebellum and white columns of
spinal cord are most affected.
• Non suppurative viral encephalitis and perivascular lymphocytic
cuffing.
• Neuronal degeneration, pyknosis, chromatolysis, necrosis
followed by neuronophagia, satellitosis, appearance of Gitter
cells and gemistocytes.
• Intracytoplasmic & intranuclear inclusions mainly in the
astrocytes (targeted cells), ependymal cells and a few neurons.
24-09-2020ABHIJITH SP CVAS POOKODE 19
A. Bronchiole occluded by inflammatory cells,
exudate and cell debris. B. Multiple eosinophilic
intracytoplasmic viral inclusions (arrows) in
bronchiolar epithelium.
24-09-2020ABHIJITH SP CVAS POOKODE 20
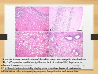
(A ) Acute lesions - vacuolization of the white matter due to myelin sheath edema
( B , C ) Progressive myelin loss (pallor and lack of eosinophilia) is present in
subacute lesions.
( D ) Chronic lesions invariably display more than three layers of perivascular
inflammatory cells, accompanying ongoing demyelination and axonal loss.
24-09-2020ABHIJITH SP CVAS POOKODE 21
OLD DOG ENCEPHALITIS
• In mature adult dogs that have survived the acute
infection.
• Persistence of a defective form of virus in the nervous
system.
• Severe lymphocytic encephalitis, perivascular cuffing,
neuronal degeneration affecting gray matter of cerebrum
and brain stem.
• Demyelination is less.
• Only intranuclear inclusions.
24-09-2020ABHIJITH SP CVAS POOKODE 22
DIAGNOSIS
• Finding of Gitter Cells and Gemistocytes
• Clinical signs and post-mortem lesions.
• Demonstration of inclusion bodies.
• Immunological staining.
• Virus isolation and identification.
• CDV antigen – green fluorescence
24-09-2020ABHIJITH SP CVAS POOKODE 23
24-09-2020ABHIJITH SP CVAS POOKODE 24

Canine distemper abhijith

  • 1.
  • 2.
    INTRODUCTION  Contagious andacute febrile viral disease of dogs.  Characterized by biphasic fever, severe immune suppression, catarrh of mucous membranes of respiratory, GI, urogenital tracts, skin lesions and nervous symptoms.  Synonyms – Carre’s disease, Hard pad disease, old dog encephalitis. 24-09-2020ABHIJITH SP CVAS POOKODE 2
  • 3.
    AETIOLOGY  Agent—Paramyxoviridae—Morbilivirus—CDV  SSRNA virus.  The virus is pantropic virus.  Pantropic with peculiar affinity for lymphoid tissues, epithelial tissue (respiratory, gastrointestinal and urogenital tracts, skin) and nervous tissue.  Antigenically related to PPR virus of goats, RP virus of cattle and measles virus of humans. 24-09-2020ABHIJITH SP CVAS POOKODE 3
  • 4.
    Susceptible Hosts  Primarilyaffects dogs.  Small pups with less developed immune system more susceptible than adult dogs with fully developed immune system.  Pups are mostly affected.  Also affects wild animals like lion tiger leopard. 24-09-2020ABHIJITH SP CVAS POOKODE 4
  • 5.
    Incubation Period • Theincubation period is 3–7 days: usually 5 days. • Pups with weak immune system will have lesser incubation period. • Duration of disease depends on intensity of infection, health status and secondary infection. 24-09-2020ABHIJITH SP CVAS POOKODE 5
  • 6.
    TRANSMISSION  All secretionsand excretions contain viruses.  Usual route of infection is aerosol infection-Inhalation of infected droplets.  Respiratory signs and lesions are constant, Lung is central to pathogenesis of CD.  Lung lesions varies in severity.  Infection can also occur through ingestion.  Chance of Bordetella infection as secondary bacterial infection is high.  Salmonella infection can also occur. 24-09-2020ABHIJITH SP CVAS POOKODE 6
  • 7.
    PATHOGENESIS  Virus gainaccess into body through ingestion or inhalation.  Following entry virus is taken up by macrophages of tonsils and bronchial lymph nodes.  Lymphatic & hematogenous spread occurs to other lymphoid organs.  Stage of viremia (presence of virus in blood) 4-5DPI.So first fever appears.  Spread beyond lymphoid tissues depends on the immune status of host. 24-09-2020ABHIJITH SP CVAS POOKODE 7
  • 8.
    PATHOGENESIS • In immunocompromisedanimals, virus spreads to the epithelia of respiratory, GI, urogenital tracts and ultimately reaches skin, brain and optic nerves. • Viral replication in the target tissues bring about the characteristic pathological changes. • Second Fever appears due to localization of virus in different tissues and also maybe due to secondary bacterial infection. 12dpi. 24-09-2020ABHIJITH SP CVAS POOKODE 8
  • 9.
    CLINICAL SIGNS  Characterizedby two phases esp. in young pups Visceral Phase Encephalitic Phase 24-09-2020ABHIJITH SP CVAS POOKODE 9
  • 10.
    CLINICAL SIGNS  Visceralphase – Diphasic/ Biphasic fever-fever for 3/4 days, drops & remain normal till 11th or 12th day- again rises due to secondary bacterial infection.  Conjunctivitis, nasal and ocular discharges initially catarrhal, later become purulent due to secondary bacterial infection, signs of pneumonia.  Diarrhea with blood streaks.  Vesicles/pustules esp. on the skin of ventral abdomen.  Marked lymphopenia. 24-09-2020ABHIJITH SP CVAS POOKODE 10
  • 11.
    CLINICAL SIGNS  Encephaliticphase.  Nervous signs- chewing movements & excess salivation, epileptic seizures and temporal twitches – Chorea.  Blindness, paralysis.  Nasodigital hyperkeratosis (Hard pad disease) 24-09-2020ABHIJITH SP CVAS POOKODE 11
  • 12.
    Hard pad Abdominalpustules 24-09-2020ABHIJITH SP CVAS POOKODE 12
  • 13.
    Macroscopic Lesions • Respiratorytract Catarrhal exudate which turns purulent in the nasal and pharyngeal mucosa Bronchi show serous/ purulent exudate Broncho interstitial pneumonia – Suppurative (secondary bacterial infection) 24-09-2020ABHIJITH SP CVAS POOKODE 13
  • 14.
    Macroscopic Lesions • GItract Catarrhal to necrotizing gastroenteritis Swollen mesenteric lymph nodes 24-09-2020ABHIJITH SP CVAS POOKODE 14
  • 15.
    Gross lesions  Otherlesions. Thymic atrophy, Hydropericardium, Nutmeg appearance of liver, catarrhal conjunctivitis, corneal ulceration, pan ophthalmitis, meningeal congestion and edema. 24-09-2020ABHIJITH SP CVAS POOKODE 15
  • 16.
    Microscopic lesions • Respiratorytract – catarrhal rhino tracheitis, bronchitis with , bronchiolitis with small purulent plugs- bronchiolitis capillaris. • Proliferation of type II pneumonocytes and formation of multinucleated syncytial cells with intracytoplasmic inclusion bodies and less often intranuclear inclusions. • In some areas, collection of cells resembling epithelioid cells, some of which may fuse giving the appearance of giant cell pneumonia. 24-09-2020ABHIJITH SP CVAS POOKODE 16
  • 17.
    Microscopic lesions • Gastrointestinal tract Catarrhal to necrotizing inflammation Formation of intracytoplasmic and intranuclear inclusions in the epithelia of GI tract • Urinary tract Desquamation of epithelium in renal pelvis, Intracytoplasmic & Intranuclear and inclusions in the epithelia of renal pelvis, collecting tubules and transitional epithelium of urinary bladder 24-09-2020ABHIJITH SP CVAS POOKODE 17
  • 18.
    Microscopic lesions • Skin-Dermatitis confined to deeper epidermis (Malpighian layer). Formation of Intracytoplasmic and intranuclear inclusions. Extensive proliferation of keratin layer leads to hard pad condition. Lymphoid tissues – T cell & B cell necrosis of spleen, lymph nodes. Atrophy of thymus ( Lymphopenia). • Retina- Congestion, edema, neuritis of optic nerve, demyelination, gliosis and formation of inclusion bodies. 24-09-2020ABHIJITH SP CVAS POOKODE 18
  • 19.
    Microscopic lesions • Nervoussystem- Extensive demyelination, vacuolation of white matter. Myelinated tracts of cerebellum and white columns of spinal cord are most affected. • Non suppurative viral encephalitis and perivascular lymphocytic cuffing. • Neuronal degeneration, pyknosis, chromatolysis, necrosis followed by neuronophagia, satellitosis, appearance of Gitter cells and gemistocytes. • Intracytoplasmic & intranuclear inclusions mainly in the astrocytes (targeted cells), ependymal cells and a few neurons. 24-09-2020ABHIJITH SP CVAS POOKODE 19
  • 20.
    A. Bronchiole occludedby inflammatory cells, exudate and cell debris. B. Multiple eosinophilic intracytoplasmic viral inclusions (arrows) in bronchiolar epithelium. 24-09-2020ABHIJITH SP CVAS POOKODE 20
  • 21.
    (A ) Acutelesions - vacuolization of the white matter due to myelin sheath edema ( B , C ) Progressive myelin loss (pallor and lack of eosinophilia) is present in subacute lesions. ( D ) Chronic lesions invariably display more than three layers of perivascular inflammatory cells, accompanying ongoing demyelination and axonal loss. 24-09-2020ABHIJITH SP CVAS POOKODE 21
  • 22.
    OLD DOG ENCEPHALITIS •In mature adult dogs that have survived the acute infection. • Persistence of a defective form of virus in the nervous system. • Severe lymphocytic encephalitis, perivascular cuffing, neuronal degeneration affecting gray matter of cerebrum and brain stem. • Demyelination is less. • Only intranuclear inclusions. 24-09-2020ABHIJITH SP CVAS POOKODE 22
  • 23.
    DIAGNOSIS • Finding ofGitter Cells and Gemistocytes • Clinical signs and post-mortem lesions. • Demonstration of inclusion bodies. • Immunological staining. • Virus isolation and identification. • CDV antigen – green fluorescence 24-09-2020ABHIJITH SP CVAS POOKODE 23
  • 24.