Post	trauma*c	and	post	surgical	
bone	infec*on	
By	
Ahmed	Hashim	Ali	
4th	year	ICMS	ortho
Contents	
•  Infected	fractures:	
– Open	fractures.	
– Post-Opera*ve	Infec*on	in	Closed	Fractures	
Treated	with	Internal	Fixa*on		
•  Prosthe*c	Joint	Infec*on	(PJI).
Infected	fracture	
•  Open	fractures	
– Gus*lo	and	Anderson	in	1976.*	
– Gus*lo	Modifica*on	in	1984.**	
*	Gus*lo	RB,	Anderson	JT.	Preven*on	of	infec*on	in	the	treatment	of	one	thousand	and	twenty-five	open	fractures	of	long	bones:	retrospec*ve	and	prospec-	*ve	analyses.	J	Bone	Joint	Surg	Am.	1976;	58(4):453–8.	
**	Gus*lo	RB,	Mendoza	RM,	Williams	DN.	Problems	in	the	management	of	type	III	(severe)	open	frac-	tures:	a	new	classifica*on	of	type	III	open	fractures.	J	Trauma.	1984;24(8):742–6.
•  Gus*lo	type	I	and	II,	is	a	low	energy	fractures.		
•  type	IIIA:	a	considerable	degree	of	so^-*ssue	
damage.	
•  type	IIIB:	local	or	a	free	*ssue	transfer.	
•  type	IIIC:	vascular	surgery	is	mandatory	for	
salvage	of	the	extremity.
Open	fractures	and	rate	of	infec*on		
	
•  less	than	5	%	infec*on	in	type	I	and	II	
•  less	than	10	%	infec*on	in	type	IIIA	
•  30–50	%	infec*on	in	type	IIIB	and	IIIC	
Bowen	TR,	Widmaier	JC.	Host	classifica*on	predicts	infec*on	a^er	open	fractures.	Clin	Orthop	Relat	Res.	2005;433:205–11.
Controversies		
•  objec*ons	to	the	Gus*lo	classifica*on		
Brumback	RJ,	Jones	AL.	Interobserver	agreement	in	the	classifica*on	of	open	fractures	of	the	*bia.	J	Bone	Joint	Surg	Am.	
1994;76(8):1162–6.		
	
Templeman	DC,	Gulli	B,	Tsukayama	DT,	Gus*lo	RB.	Update	on	the	management	of	open	fractures	of	the	*bial	sha^.	Clin	Orthop	
Relat	Res.	1998;	350:18–25.
Other	factors	influencing	the	rate	of	
infec*on	
•  The	Time	Factor		
•  The	Loca*on	of	the	Fracture		
•  The	Host
The	Time	Factor	
•  Debridement	as	soon	as	possible	*	
•  Tissue	coverage	as	soon	as	possible.	
•  IIIB1	
•  IIIB2	
•  infec*on	and	non-union	rates	of	more	than	50	
%	**.	
*	Crowley	DJ,	Kanakaris	NK,	Giannoudis	PV.	Debridement	and	wound	closure	of	open	fractures:	the	impact	of	the	*me	factor	on	infec*on	
rates.	Injury.	2007;38(8):879–89.	
**	Choudry	U,	Moran	S,	Karacor	Z.	So^-*ssue	cover-	age	and	outcome	of	Gus*lo	grade	IIIB	midsha^	*bia	fractures:	a	15-year	experience.	
Plast	Reconstr	Surg.	2008;122(2):479–85.		
**	Gopal	S,	Majumder	S,	Batchelor	AGB,	Knight	SL,	De	Boer	P,	Smith	RM.	Fix	and	flap:	the	radical	orthopaedic	and	plas*c	treatment	of	severe	
open	fractures	of	the	*bia.	J	Bone	Joint	Surg	Br.	2000;82(7):959–66.
The	Loca*on	of	the	Fracture		
	
•  open	fractures	of	the	distal	one-third	of	the	
*bia	have	a	higher	rate	of	infec*on	compared		
*	Bowen	TR,	Widmaier	JC.	Host	classifica*on	predicts	infec*on	a^er	open	fractures.	Clin	Orthop	Relat	Res.	2005;433:205–11.		
*	Patzakis	MJ,	Wilkins	J.	Factors	influencing	infec*on	rate	in	open	fracture	wound.	Clin	Orthop	Relat	Res.	1989;243:36–40.
The	Host	
•  Waldvogel	classifica*on	1970	
•  Cierny-Mader	classifica*on
Treatment	of	Open	Fractures		
	
1.  Immediate	debridement	and	irriga*on,	
including	repeated	debridement	and	irriga*on	
of	type	III	fractures	at	24–48	h	intervals	
2.  An*bio*c	therapy	
3.  Secure	fracture	stability	
4.  Wound	coverage,	either	by	delayed	primary	
closure	or	by	local	or	free	flaps	
5.  Early	cancellous	bone	gra^ing	
6.  Make	an	early	decision	on	amputa*on.
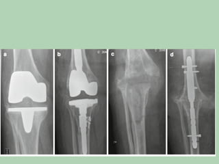
Post-Opera*ve	Infec*on	in	Closed	
Fractures	Treated	with	Internal	
Fixa*on		
	•  The	aim:	
– avoid	a	chronic	infec*on.		
– avoid	infected	pseudarthrosis.		
•  Early	and	late.	
– 4	weeks.
•  Within	4	weeks:	
– radical	so^-*ssue	debridement,	harves*ng	of	
*ssue	biopsies	for	culture	and	wound	closure.		
– Stable??.		
•  A^er	4	weeks:	
– The	implant	should	be	removed.	
– Ext	fixa*on.	
– staph.	*
•  a	large	dead	space	that	needs	to	be	managed	
effec*vely	to	prevent	recurrence	of	infec*on.		
•  The	management	of	the	dead	space	in	this	
selng	includes		
– closed	irriga*on	systems,	
– 	local	so^	*ssue	flaps,	
– 	vascularized	free	flaps,	
– 	a	variety	of	methods	for	local	an*bio*c	delivery
Prosthe*c	Joint	Infec*ons		
•  A	prosthe*c	joint	infec*on	(PJI)	is	any	
infec*on	due	to	bacteria	or	fungi	in	a	total	or	
hemi-arthroplasty.		
•  Classifica*on:		
– Stage	I	infec*on	(acute	infec*on)		
– Stage	II	(delayed	infec*on)		
– Stage	III	presents	as	a	haematogenous		
*	Coventry	MB.	Treatment	of	infec*ons	occurring	in	total	hip	surgery.	Orthop	Clin	North	Am.	1975;10(4):991–1003.		
*	Fitzgerald	RH,	Nolan	DR,	Ilstrup	DM,	Van	Scoy	RE,	Washington	JA,	Coventry	MB.	Deep	wound	sepsis	following	total	hip	arthroplasty.	J	
Bone	Joint	Surg	Am.	1977;59:847–55.
•  acute	PJI	becomes	chronic	a^er	few	weeks		
– Stage	I	PJI:	An	acute	post-opera*ve	infec*on	that	
occurs	<4	weeks	a^er	implanta*on.	
	
– Stage	II	PJI:	A	chronic	infec*on	that	occurs	>4	
weeks	a^er	implanta*on.	
	
– Stage	III	PJI:	A	haematogenous	infec*on.
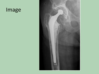
Diagnosis:
Clinical
Image
Management:	
•  The	different	op*ons	for	treatment	of	a	PJI	is:	
– so^	*ssue	debridement,		
– one-stage	or	two-stage	prosthe*c	revision,		
– permanent	resec*on	arthroplasty	(Girdlestone)	or	
arthrodesis,		
– an*microbial	suppression	therapy,		
– amputa*on.
Take	home	message	
•  Treat	early.	
•  Don’t	fix	suspicious	bone.	
•  Early	loosening	means	infec*on.	
Good	luck

Bone infection