Tæn th¬ng c¬ b¶n cña cÇu thËn
vµ mét sè bÖnh viªm cÇu thËn
nguyªn ph¸t
THS.BS-TRẦN NGỌC MINH
Môc tiªu
1. Tr×nh bµy mét sè kh¸i niÖm thuËt ng÷
vµ 4 tæn th¬ng c¬ b¶n cña viªm cÇu
thËn.
2. M« t¶ ®Æc ®iÓm vi thÓ, MDHQ vµ siªu
cÊu tróc cña 8 lo¹i viªm cÇu thËn
nguyªn ph¸t.
A – Tiểu cầu thận
B - Ống lượn gần
C - Ống lượn xae
D - Juxtaglomerular apparatus
1. Màng đáy
2. Vỏ của Bowman – lá thành
3. là tạng
3a. Chân của tế bào có chân
3b. Tế bào có chân
4. khoang Bowman (khoang
niệu)
5a. Tế bào trung mô trong cầu
thậnl
5b. Tế bào trung mô ngoài cầu
thậnl
6. Tế bào hạt(Juxtaglomerular
cells)
7. vết đặc
8. Cơ nhẵn
9. Động mạch đến
10. Mao mạch cầu thận
11. Động mạch đi
C¸c tÕ bµo
1. TÕ bµo biÓu m«:
- L¸ thµnh
- L¸ t¹ng (podocyte)
2. TÕ bµo néi m«
3. TÕ bµo trung m«
4. T¨ng tb néi m¹ch
(tÕ bµo néi m«).
5. T¨ng tb ngo¹i m¹ch
(biÓu m« vµ trung
m«)
TB trụ thấp, B/tg ưa eozin,
Có bờ bàn chải rộng, dài,
Đk gấp 2 ống lượn xa.
Biểu mô dẹt, đk bằng ½ ống
lượn xa, không bờ bàn chải.
Đk bằng ½ ống lượn gần, biểu
mô trụ thấp, khó thấy bở
bàn chải (do quá ngắn, ít).
Đk thường lớn hơn ống lượn
Gần.TB hình lập phương
hoặc trụ, giới hạn TB rõ, bào
tương bắt màu yếu hoặc
không nhuộm màu.
Mét sè kh¸i niÖm thuËt ng÷
• Lan to¶: tæn th¬ng toµn bé c¸c cÇu thËn
cña thËn.
• æ: chØ mét sè cÇu thËn bÞ tæn th¬ng.
• Toµn bé: toµn bé cuén mao m¹ch cña mét
cÇu thËn bÞ tæn th¬ng.
• Côc bé: tæn th¬ng chØ ë phÇn (vïng) nµo
®ã cña mét cÇu thËn.
• T¨ng sinh.
• Thay ®æi mµng
• Viªm cÇu thËn mµng t¨ng sinh (võa cã tæn
th¬ng t¨ng sinh võa cã thay ®æi mµng)
• H×nh liÒm tÕ bµo
Tæn th¬ng c¬ b¶n
• Các tổn thương tế bào
• Những bất thường về số lượng tế bào
cầu thận (nghĩa là có tăng sinh tế bào)
• Những bất thường của chất gian bào
(màng đáy ngoại vi và trung mô).
• Những chất lắng đọng bất thường.
Các tổn thương tế bào
• Sưng phồng các tế bào cầu thận
- Sưng phồng TB nội mô => hẹp lòng mm
- Sưng phồng TB có chân => P niệu
• Tổn thương cầu thận tối thiểu:
do mất chân của TB có chân
Những bất thường về số lượng tế bào cầu thận
(nghĩa là có tăng sinh tế bào)
• Tăng sinh tế bào nội mạch đơn thuần
(tb mặt trong mm)
• Tăng sinh ngoại mạch hoặc “hình liềm”
• Tăng sinh tế bào nội-ngoại mạch
(tăng sinh nội mạch dạng lan toả, hình liềm dạng từng ổ)
Typ I: < 30% cầu thận có hình liềm
Typ II: 30 – 60% cầu thận có hình liềm
Typ III: > 60% cầu thận có hình liềm
Những bất thường của chất gian bào
(màng đáy ngoại vi và trung mô).
•Những bất thường về vách mm cầu thận
- Gấp nếp
- Hình chùy và dây xích
- Hình gấp đôi đường viền (Chất mầm
trung mô tăng sinh xen vào giữa màng đáy và các
TB nội mô.
•Những bất thường của trung mô (chất
căn bản trung mô dày lan tỏa hoặc nốt) tổn
thương khá thường gặp, tăng tổng hợp
thường kéo theo xơ hóa
Những chất lắng đọng bất thường
• Chất lắng đọng (phía) ngoài màng: Nhỏ, lan toả,
đều.Thành phần: IgG, phối hợp hoặc không với một
số yếu tố bổ thể.
• Chất lắng đọng (phía) trong màng (nằm trong chất
căn bản trung mô, đẩy lồi màng đáy tiếp xúc trực tiếp
với chất căn bản trung mô. Thành phần (IgA + C3 =>
Berger. IgG + C3 +C1 + C1q => lupus.
• Chất lắng đọng “đặc” ở giữa màng. vách mm cầu
thận dày lên, chiết quang lan toả hoặc khu trú và bị
một chất lắng đọng hình dải ưa màu thâm nhập.
Chất lắng đọng ở vị trí lá đặc màng đáy..
L¾ng ®äng díi
biÓu m«
(ngoµi mµng)
(trong mµng)
Mét sè typ viªm cÇu thËn nguyªn ph¸t
BÖnh cÇu thËn cã H/c
thËn h
• BÖnh thay ®æi tèi
thiÓu
• Viªm cÇu thËn mµng
• X¬ cÇu thËn æ – côc
bé
• Viªm cÇu thËn t¨ng
sinh gian m¹ch
BÖnh cÇu thËn cã H/c
viªm cÇu thËn cÊp
• Viªm cÇu thËn cÊp
• Viªm cÇu thËn tiÕn
triÓn nhanh (viªm
cÇu thËn h×nh liÒm)
• Viªm cÇu thËn mµng
t¨ng sinh
• Viªm cÇu thËn IgA
SINH BỆNH HỌC CỦA VCT
• Hình thành PHMD tại chỗ
- KT tuần hoàn + KN nội tại hoặc KN ngoại lai lắng đọng trong cầu thận.
Ví dụ: Tự KT chống màng đáy + collagen typ IV => PHMD=> hoạt hoá bổ
thể, hệ thống trung gian viêm khác =>VCT.
• Lắng đọng PHMD tuần hoàn
- PHMD hình thành trong máu (không bị thực bào)=> lắng đọng =>VCT.
- PHMD: dạng hạt trong vách mm, trung mô
+ KT chống màng đáy:đường viền hoặc dạng vạch.
• Tự KT kháng bào tương BCĐNTT
- Gây VCT rất nặng.
- MDHQ không phát hiện thấy globulin MD.
- Trong máu tuần hoàn có nồng độ cao tự KT đặc hiệu chống KN bào
tương của BCĐNTT.
ANCA:
Kh¸ng thÓ chèng
bµo t¬ng cña b¹ch
cÇu ®a nh©n trung
tÝnh
TIÊU CHUẨN HÌNH THÁI CHUNG CHẨN ĐOÁN
BỆNH VCT
• Đặc điểm HVQH
+ Mật độ tế bào tăng
* Thâm nhiễm BC (ĐNTT, đơn nhân, ĐTB)
* Tăng sinh TB nội mạch (TB nội mô, trung mô)
* Tăng sinh TB ngoại mạch (TBBM => hình liềm TB
+ Chất gian bào tăng
* Lắng đọng PHMD
* Dày hoặc gấp đôi màng đáy cầu thận
* Tăng chất căn bản collagen (xơ hoá)
* Không tiết protein huyết tương ( kính hoá)
* Hoại tử dạng tơ huyết
* Lắng đọng chất dạng bột
• Đặc điểm MDHQ
+ Nhuộm màng đáy cầu thận dưới dạng đường viền
* KT chống màng đáy
* Quá nhiều protein huyết tương (bệnh xơ cầu
thận tiểu đường)
+ Nhuộm PHMD dưới dạng hạt
* Trung mô (bệnh thận IgA)
* Vách mao mạch (bệnh cầu thận màng)
* Cả trung mô và vách mao mạch (VCT lupus)
+ Nhuộm cầu thận không đều
* Chuỗi nhẹ đơn dòng (bệnh nhiễm bột –
amyloidosis)
• Đặc điểm siêu cấu trúc (HVĐT)
+ Lắng đọng phức hợp miễn dịch đặc điện tử
* Trung mô (bệnh thận IgA)
* Dưới nội mô (bệnh viêm cầu thận lupus)
* Dưới biểu mô (bệnh cầu thận màng)
+ Dày màng đáy cầu thận (xơ cầu thận tiểu
đường)
+ Gấp đôi màng đáy cầu thận (viêm cầu thận
màng tăng sinh)
+ Mở rộng chất căn bản collagen (viêm cầu thận ổ
cục bộ)
+ Lắng đọng dạng sợi (bệnh nhiễm bột).
BÖNH CÇU THËN Cã HéI CHøNG THËN H¦
BIÓU HIÖN L¢M SµNG
TRONG BÖNH CÇU THËN Cã HéI CHøNG THËN H¦
• Phï toµn th©n
• Protein niệu trên 3,5g/ 24giờ.
• Protein máu dưới 60 g/lít, albumin máu
dưới 30 g/lít.
• Cholesterol máu tăng trên 6,5 mmol/l
• Có hạt mỡ lưỡng chiết, trụ mỡ trong nước
tiểu.
Bệnh thay đổi tối thiểu (hư thận mỡ)
Tương đối lành, nguyên nhân phổ biến nhất
của HCTH ở T.E. T/L mắc cao nhất 2 - 6 tuổi. Đáp
ứng tốt với corticoid.
- HVQH: Cầu thận bình thường hoặc thay đổi tối
thiểu (tăng sinh rất nhẹ TB gian mạch).
- HVĐT: màng đáy BT, không có các vật liệu đặc
điện tử lắng đọng. Tổn thương chính là mất chân
của tế bào có chân một cách lan toả. Trước đây là
"hợp nhất" chân. Hiện nay,coi là hiện tượng "đơn
giản hoá cấu trúc" của TBBM.
Viªm cÇu thËn tèi thiÓu (bÖnh thËn h nhiÔm mì)
MDHQ
Tuy liªn quan ®Õn miÔn
dÞch nhng cha ph¸t hiÖn ®-
îc c¸c l¾ng ®äng MD
HVQH: cÇu thËn gÇn nh b×nh thêng
Viêm cầu thận màng
- Là nguyên nhân chính của HCTH ở người lớn.
Bệnh thực sự "vô căn" ở khoảng 85% BN.
- Là một bệnh trung gian KN-KT mạn tính.lắng đọng
globulin MD dưới BM, dọc theo mặt ngoài màng đáy.
•HVQH: cầu thận bình thường ở giai đoạn sớm hoặc
có dày lan toả, đồng đều, màng đáy.
•MDHQ: lắng đọng globulin MD dạng hạt xếp thành
chuỗi. Thành phần phổ biến nhất là IgG, IgM, IgA or
C3 và các thành phần khác của bổ thể. Một số
trường hợp có thể lắng đọng gian mạch.
•HVĐT: lắng đọng đặc điện tử không đều nằm giữa
màng đáy và tế bào biểu mô (có thể bị mất chân).
+ Giai đoạn I: lắng đọng giữa BM và màng đáy, tụ tập ở
những đoạn khác nhau của quai mao mạch.
+ Giai đoạn II: Lắng đọng dưới BM nhiều hơn và có lắng
đọng của một chất giống màng đáy, giống những gai
chồi lên từ màng đáy. Nhuộm bạc, các gai thấy rõ
+ Giai đoạn III: các gai dày hơn, vật liệu giống màng đáy
phủ kín các lắng đọng => các khối lắng đọng trở thành
nằm giữa màng đáy chứ không phải nằm trên màng đáy.
+ Giai đoạn IV: Chất lắng đọng tiêu đi, màng đáy được
sửa chữa dày hơn, không đều.
Viªm cÇu thËn mµng I, II
HVQH:
-G/đ sớm CT gần như bình thường
-Muộn hơn: màng đáy dày đều
và lan tỏa.
-G/đ cuối (tổn thương lặp lại nhiều lần)
màng đáy xơ dày, hẹp lòng mạch, kính
hóa hoàn toàn cầu thận.
Chất lắng đọng
giống màng đáy
Viªm cÇu thËn mµng III, IV
Chất lắng đọng
giống màng đáy
Quá trình này lặp đi lặp lại => màng đáy dày hơn. Bệnh càng nặng, màng đáy càng dày => hẹp lòng mạch.
Có thể xơ cứng gian mạch =>kính hoá hoàn toàn cầu thận.
Viªm cÇu thËn mµng (H&E)-giai đoạn muộn
T¨ng sè lîng quai mao m¹ch víi v¸ch dµy, kh«ng t¨ng mËt ®é tÕ bµo. Mét sè nguyªn nh©n:
nhiÔm khuÈn m¹n (viªm gan B), UT biÓu m«, Lupus ban ®á hÖ thèng, cã thÓ bÖnh tù ph¸t
Viªm cÇu thËn mµng (nhuém b¹c)
ChÊt l¾ng ®äng gièng mµng d¸y nh nh÷ng “gai” mäc ra quanh c¸c quai mao m¹ch
Viªm cÇu thËn mµng (MDHQ)
ChÊt l¾ng ®äng chñ yÕu lµ IgG, IgM vµ C3 tËp trung ë mµng ®¸y quai mao m¹ch
díi d¹ng h¹t lan táa.
Viªm cÇu thËn mµng (HV§T)
ChÊt l¾ng ®äng ®Æc ®iÖn tö r¶i r¸c trong chiÒu dµy mµng ®¸y. ChÊt c¨n b¶n mµng ®¸y (b)
n»m xen gi÷a c¸c l¾ng ®äng d¹ng gai (a) (nh×n thÊy khi nhuém b¹c)
a
b
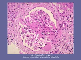
Xơ cầu thận ổ - cục bộ
Tự phát hoặc thứ phát: béo phì, teo thận mắc phải, bệnh
HC hình liềm..
• HVQH: Gđ đầu, tổn thương gần vùng tuỷ, sau đó lan rộng.
Xẹp màng đáy, tăng chất mầm gian mạch, lắng đọng chất
kính cùng các giọt mỡ nhỏ kèm theo, dầy, kính hoá tiểu ĐM
đến. Bệnh tiến triển=> slượng cầu thận tổn thương tăng, xơ
cứng lan rộng trong mỗi cầu thận và tăng sinh chất mầm
gian mạch => xơ cứng toàn bộ cầu thận, teo ống thận và
xơ hoá kẽ.
• HVĐT: mất chân của TB có chân, bong từng ổ TBBM =>
bóc trần màng đáy
• HQMD: lắng đọng IgM, C3 ở đám chất kính vùng xơ cứng.
X¬ cÇu thËn æ – côc bé
(l¾ng ®äng chÊt kÝnh), g/® muén: x¬ hãa ®i kÌm
X¬ cÇu thËn æ – côc bé (Nhuém trichrome)
chÊt l¾ng ®äng collagen mµu xanh
X¬ cÇu thËn æ – côc bé (HV§T)
Lắng đọng
dưới nội mô
X¬ cÇu thËn æ – côc bé (MDHQ)
Lắng đọng lan tỏa IgM và C3 tại vùng gian mạch và dưới nội mô
•VCT tăng sinh gian mạch lan toả có
HCTH
Tăng sinh gian mạch lan toả + HCTH trên l/s.
•HVQH: giãn rộng gian mạch, ít hoặc không tổn
thương lòng mạch. Với 4 TB hoặc nhiều hơn trong
một khoang gian mạch (TB gian mạch, BC đơn
nhân) .
•HQMD: thường có lắng đọng IgM, có hoặc không
có lắng đọng C3.
•HVĐT: lắng đọng gian mạch
Viªm cÇu thËn t¨ng sinh gian m¹ch
- Khoang gian m¹ch gi·n réng do
t¨ng sè lîng TB gian m¹ch.
-L¾ng ®äng IgM ë gian m¹ch.
-ChÊt ®Æc ®iÖn tö ë vïng gian m¹ch
BÖNH CÇU THËN Cã HéI CHøNG VCTC
BIÓU HIÖN L¢M SµNG
TRONG BÖNH CÇU THËN Cã HéI CHøNG VCTC
Khởi phát cấp tính, đột ngột với các biểu
hiện:
- Đái máu: thường đái máu đại thể.
- Thiểu niệu: đái ít < 500 ml/24giờ.
- Tăng huyết áp: nhẹ, vừa và nặng.
- Protein niệu < 3,5 g/24giờ.
- Hồng cầu niệu: trụ hồng cầu, trụ hạt.
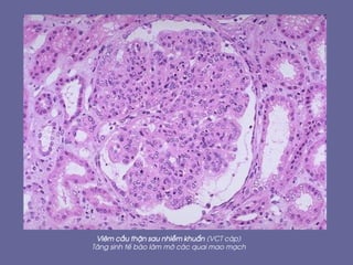
VCTC (tăng sinh nội mao mạch) sau nhiễm liên
cầu
Xuất hiện từ 1- 4 tuần sau nhiễm liên cầu ở họng hoặc da. Trẻ 6-
10 tuổi, có thể gặp ở người lớn.
Liên cầu tan huyết  nhóm A (90% típ 12, 4, 1 (xác định bằng định loại
protein M màng tế bào). Là bệnh trung gian MD, KN của liên cầu là
nguyên nhân gây ra PHMD này.
+ HVQH: cầu thận nở to, tăng sinh TB.
* Tăng sinh TB nội mô, TB gian mạch, tăng sinh BM
* Xâm nhập BC (ĐNTT, đơn nhân) gây biến đổi cấu trúc cầu thận dưới
dạng các tiểu thuỳ
+ HQMD: lắng đọng dạng hạt của IgG, IgM và C3 ở gian mạch và dọc
theo màng đáy.
+ HVĐT: lắng đọng đặc điện tử dạng "bướu lạc đà" ở dưới BM, có thể
gặp các lắng đọng dưới nội mô và giữa màng đáy.
VCTC không do liên cầu
Một thể tương tự của VCTC xảy ra đơn phát
phối hợp với các nhiễm khuẩn khác (ví dụ viêm
nội tâm mạc do tụ cầu, phế viêm do phế cầu,
nhiễm khuẩn huyết não mô cầu, các bệnh virus -
viêm gan B, quai bị, sởi, tăng bạch cầu đơn nhân
nhiễm khuẩn và nhiễm ký sinh trùng sốt rét,
toxoplasma). Ở tất cả các trường hợp này, có các
lắng đọng miễn dịch huỳnh quang dạng hạt và
lắng đọng dạng bướu lạc đà dưới biểu mô.
Viªm cÇu thËn sau nhiÔm khuÈn (t¨ng sinh néi – ngo¹i m¹ch)
(viªm cÇu thËn cÊp)
Viªm cÇu thËn sau nhiÔm khuÈn (VCT c¸p)
T¨ng sinh tÕ bµo lµm mê c¸c quai mao m¹ch
Viªm cÇu thËn sau nhiÔm khuÈn (VCT c¸p)
T¨ng sè lîng c¸c tÕ bµo biÓu m«, néi m«, trung m« vµ cµ b¹ch cÇu ®a nh©n trung tÝnh.
BÖnh xuÊt hiÖn vµi tuÇn sau nhiÔm liªn cÇu trïng tan m¸u nhãm A typ β.
Viªm cÇu thËn sau nhiÔm khuÈn (VCT c¸p)
L¾ng ®äng IgG, C3 ë d¹ng h¹t, u (bíu) b¸m däc theo mµng ®¸y quai mao m¹ch
By Viªm cÇu thËn sau nhiÔm khuÈn (VCT c¸p)
ChÊt l¾ng ®äng miÔn dÞch chñ yÕu n»m díi biÓu m« tr«ng nh nh÷ng u (bíu) ®Æc ®iÖn tö
Viêm cầu thận màng tăng sinh
Là những thay đổi của màng đáy và tăng
sinh tế bào cầu thận. (5-10% các trường hợp
HCTH vô căn ở trẻ em và người lớn).
+ HVQH, cầu thận nở to, tăng sinh TB gian
mạch, xâm nhập BC kèm hình liềm TBBM.
Cầu thận có dạng tiểu thuỳ rõ rệt. Màng đáy
dầy lên và thành ổ, rõ nhất ở các quai mm
ngoại vi. Vách mm cầu thận thường có hình
ảnh đường viền đôi hoặc "đường ray tầu hoả“
Đặc điểm siêu cấu trúc và MDHQ khác nhau giữa 2 typ:
•Typ I (chiếm 2/3) lắng đọng đặc điện tử dưới nội mô, đôi
khi ở gian mạch. PHMD: C3 ở dạng hạt, có thể cả các
thành phần sớm của bổ thể (C1q và C4) và IgG.
•Typ II: lá đặc của màng đáy chuyển thành cấu trúc rất đặc
điện tử (do lắng đọng một loại vật liệu đặc chưa rõ bản
chất); C3 lắng đọng dạng hạt không đều ở các mặt màng
đáy nhưng không có trong các lắng đọng đặc. C3 có trong
gian mạch lắng đọng hình vòng (vòng gian mạch). Thường
không có IgG cũng như các thành phần sớm của bổ thể.
•Thể hiếm gặp (typ III) được phân biệt vì có cả lắng đọng
dưới nội mô và lắng đọng dưới biểu mô kết hợp với gián
đoạn và tách đôi màng đáy.
Viªm cÇu thËn mµng t¨ng sinh
Viªm cÇu thËn mµng t¨ng sinh
T¨ng mËt ®é tÕ bµo (chñ yÕu lµ tÕ bµo trung m«) trong cÇu thËn
Viªm cÇu thËn mµng t¨ng sinh (nhuém b¹c)
Mµng ®¸y quai mao m¹ch cã d¹ng ®êng viÒn ®«i hoÆc “®êng ray xe löa”
Viªm cÇu thËn mµng t¨ng sinh
ChÊt l¾ng ®äng miÔn dÞch (IgG vµ C3) n»m r¶i r¸c däc theo v¸ch mao m¹ch
vµ trong vïng trung m«.
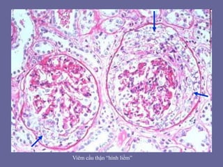
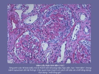
VCT tiến triển nhanh (viêm cầu thận liềm tế bào)
Là một dạng tổn thương cầu thận kèm theo
suy giảm nhanh, nặng chức năng thận, thường có
thiểu niệu nặng hoặc vô niệu gây nên suy thận
không hồi phục trong vài tuần hoặc vài tháng.
- HVQH: Tuỳ nguyên nhân, tổn thương là ổ hoại
tử, tăng sinh TB gian mạch và nội mô lan toả hoặc
khu trú. Điển hình là những liềm tế bào. Liềm TB
thường làm tắc khoang Bowman và chèn ép mớ
mm cầu thận. Theo thời gian, phần lớn các liềm
TB bị xơ hoá.
- HVĐT: gãy (vỡ) màng đáy cầu thận, và có lắng
đọng dưới BM ở một số trường hợp.
- HVHQ: lắng đọng dạng hạt gặp trong trường hợp
VCT (liềm tế bào) tiến triển nhanh đến sau một
nhiễm khuẩn. Trong hội chứng Goodpasture, lắng
đọng miễn dịch lại có dạng đường viền.
Viªm cÇu thËn h×nh liÒm (viªm cÇu thËn tiÕn triÓn nhanh)
Viêm cầu thận “hình liềm”
Viªm cÇu thËn h×nh liÒm (H&E)
T¨ng sinh c¸c tÕ bµo biÓu m« l¸ thµnh lµm khoang niÖu hÑp dÇn, t¹o “h×nh liÒm” (trong
bÖnh lupus ban ®á hÖ thèng). C¸c quai mao m¹ch cã v¸ch rÊt dµy do chÊt l¾ng ®äng,
Gîi d¹ng “m¾t lång gµ”.
Viªm cÇu thËn :h×nh liÒm” (MDHQ)
Bệnh thận IgA (bệnh Berger)
Lắng đọng IgA chiếm ưu thế ở vùng gian mạch; HVQH
không có các tiêu chuẩn đặc trưng thì các xét nghiệm về
HQMD và HVĐT lại giúp ích nhiều cho chẩn đoán.
•HVQH: Cầu thận bình thường hoặc giãn rộng gian mạch
và tăng sinh cục bộ. Khi khỏi, tổn thương tăng sinh ổ có
thể gây xơ cứng khu trú.
•HQMD: lắng đọng gian mạch lan toả và rất mạnh. Hiếm
gặp các thành phần bổ thể: C3, C1q và C4. Ngoài ra, vách
mao mạch cũng có phản ứng HQMD với IgA.
•HVĐT: lắng đọng đặc điện tử khá kín đáo, khu trú phía
trong màng đáy. Đôi khi lắng đọng ở vách mm cầu thận.
Những lắng đọng này thường khá nhỏ và thưa hơn so với
lắng đọng trong bệnh lupus ban đỏ hệ thống.
Viªm cÇu thËn IgA (bÖnh thËn IgA, bÖnh Berger)
BÖnh thËn IgA (bÖnh Berger)
IgA l¾ng ®äng trong vïng trung m« kÌm t¨ng sinh tÕ bµo trung m«.
BÖnh nh©n thêng ®¸i m¸u
BÖnh thËn IgA
Kh¸ng thÓ IgA n»m trong vïng trung m«

Bệnh cầu thận

  • 1.
    Tæn th¬ng c¬b¶n cña cÇu thËn vµ mét sè bÖnh viªm cÇu thËn nguyªn ph¸t THS.BS-TRẦN NGỌC MINH
  • 2.
    Môc tiªu 1. Tr×nhbµy mét sè kh¸i niÖm thuËt ng÷ vµ 4 tæn th¬ng c¬ b¶n cña viªm cÇu thËn. 2. M« t¶ ®Æc ®iÓm vi thÓ, MDHQ vµ siªu cÊu tróc cña 8 lo¹i viªm cÇu thËn nguyªn ph¸t.
  • 3.
    A – Tiểucầu thận B - Ống lượn gần C - Ống lượn xae D - Juxtaglomerular apparatus 1. Màng đáy 2. Vỏ của Bowman – lá thành 3. là tạng 3a. Chân của tế bào có chân 3b. Tế bào có chân 4. khoang Bowman (khoang niệu) 5a. Tế bào trung mô trong cầu thậnl 5b. Tế bào trung mô ngoài cầu thậnl 6. Tế bào hạt(Juxtaglomerular cells) 7. vết đặc 8. Cơ nhẵn 9. Động mạch đến 10. Mao mạch cầu thận 11. Động mạch đi
  • 5.
    C¸c tÕ bµo 1.TÕ bµo biÓu m«: - L¸ thµnh - L¸ t¹ng (podocyte) 2. TÕ bµo néi m« 3. TÕ bµo trung m« 4. T¨ng tb néi m¹ch (tÕ bµo néi m«). 5. T¨ng tb ngo¹i m¹ch (biÓu m« vµ trung m«)
  • 7.
    TB trụ thấp,B/tg ưa eozin, Có bờ bàn chải rộng, dài, Đk gấp 2 ống lượn xa. Biểu mô dẹt, đk bằng ½ ống lượn xa, không bờ bàn chải. Đk bằng ½ ống lượn gần, biểu mô trụ thấp, khó thấy bở bàn chải (do quá ngắn, ít). Đk thường lớn hơn ống lượn Gần.TB hình lập phương hoặc trụ, giới hạn TB rõ, bào tương bắt màu yếu hoặc không nhuộm màu.
  • 8.
    Mét sè kh¸iniÖm thuËt ng÷ • Lan to¶: tæn th¬ng toµn bé c¸c cÇu thËn cña thËn. • æ: chØ mét sè cÇu thËn bÞ tæn th¬ng. • Toµn bé: toµn bé cuén mao m¹ch cña mét cÇu thËn bÞ tæn th¬ng. • Côc bé: tæn th¬ng chØ ë phÇn (vïng) nµo ®ã cña mét cÇu thËn. • T¨ng sinh. • Thay ®æi mµng • Viªm cÇu thËn mµng t¨ng sinh (võa cã tæn th¬ng t¨ng sinh võa cã thay ®æi mµng) • H×nh liÒm tÕ bµo
  • 9.
    Tæn th¬ng c¬b¶n • Các tổn thương tế bào • Những bất thường về số lượng tế bào cầu thận (nghĩa là có tăng sinh tế bào) • Những bất thường của chất gian bào (màng đáy ngoại vi và trung mô). • Những chất lắng đọng bất thường.
  • 10.
    Các tổn thươngtế bào • Sưng phồng các tế bào cầu thận - Sưng phồng TB nội mô => hẹp lòng mm - Sưng phồng TB có chân => P niệu • Tổn thương cầu thận tối thiểu: do mất chân của TB có chân
  • 11.
    Những bất thườngvề số lượng tế bào cầu thận (nghĩa là có tăng sinh tế bào) • Tăng sinh tế bào nội mạch đơn thuần (tb mặt trong mm) • Tăng sinh ngoại mạch hoặc “hình liềm” • Tăng sinh tế bào nội-ngoại mạch (tăng sinh nội mạch dạng lan toả, hình liềm dạng từng ổ) Typ I: < 30% cầu thận có hình liềm Typ II: 30 – 60% cầu thận có hình liềm Typ III: > 60% cầu thận có hình liềm
  • 12.
    Những bất thườngcủa chất gian bào (màng đáy ngoại vi và trung mô). •Những bất thường về vách mm cầu thận - Gấp nếp - Hình chùy và dây xích - Hình gấp đôi đường viền (Chất mầm trung mô tăng sinh xen vào giữa màng đáy và các TB nội mô. •Những bất thường của trung mô (chất căn bản trung mô dày lan tỏa hoặc nốt) tổn thương khá thường gặp, tăng tổng hợp thường kéo theo xơ hóa
  • 13.
    Những chất lắngđọng bất thường • Chất lắng đọng (phía) ngoài màng: Nhỏ, lan toả, đều.Thành phần: IgG, phối hợp hoặc không với một số yếu tố bổ thể. • Chất lắng đọng (phía) trong màng (nằm trong chất căn bản trung mô, đẩy lồi màng đáy tiếp xúc trực tiếp với chất căn bản trung mô. Thành phần (IgA + C3 => Berger. IgG + C3 +C1 + C1q => lupus. • Chất lắng đọng “đặc” ở giữa màng. vách mm cầu thận dày lên, chiết quang lan toả hoặc khu trú và bị một chất lắng đọng hình dải ưa màu thâm nhập. Chất lắng đọng ở vị trí lá đặc màng đáy..
  • 14.
    L¾ng ®äng díi biÓum« (ngoµi mµng) (trong mµng)
  • 15.
    Mét sè typviªm cÇu thËn nguyªn ph¸t BÖnh cÇu thËn cã H/c thËn h • BÖnh thay ®æi tèi thiÓu • Viªm cÇu thËn mµng • X¬ cÇu thËn æ – côc bé • Viªm cÇu thËn t¨ng sinh gian m¹ch BÖnh cÇu thËn cã H/c viªm cÇu thËn cÊp • Viªm cÇu thËn cÊp • Viªm cÇu thËn tiÕn triÓn nhanh (viªm cÇu thËn h×nh liÒm) • Viªm cÇu thËn mµng t¨ng sinh • Viªm cÇu thËn IgA
  • 16.
    SINH BỆNH HỌCCỦA VCT • Hình thành PHMD tại chỗ - KT tuần hoàn + KN nội tại hoặc KN ngoại lai lắng đọng trong cầu thận. Ví dụ: Tự KT chống màng đáy + collagen typ IV => PHMD=> hoạt hoá bổ thể, hệ thống trung gian viêm khác =>VCT. • Lắng đọng PHMD tuần hoàn - PHMD hình thành trong máu (không bị thực bào)=> lắng đọng =>VCT. - PHMD: dạng hạt trong vách mm, trung mô + KT chống màng đáy:đường viền hoặc dạng vạch. • Tự KT kháng bào tương BCĐNTT - Gây VCT rất nặng. - MDHQ không phát hiện thấy globulin MD. - Trong máu tuần hoàn có nồng độ cao tự KT đặc hiệu chống KN bào tương của BCĐNTT.
  • 17.
    ANCA: Kh¸ng thÓ chèng bµot¬ng cña b¹ch cÇu ®a nh©n trung tÝnh
  • 18.
    TIÊU CHUẨN HÌNHTHÁI CHUNG CHẨN ĐOÁN BỆNH VCT • Đặc điểm HVQH + Mật độ tế bào tăng * Thâm nhiễm BC (ĐNTT, đơn nhân, ĐTB) * Tăng sinh TB nội mạch (TB nội mô, trung mô) * Tăng sinh TB ngoại mạch (TBBM => hình liềm TB + Chất gian bào tăng * Lắng đọng PHMD * Dày hoặc gấp đôi màng đáy cầu thận * Tăng chất căn bản collagen (xơ hoá) * Không tiết protein huyết tương ( kính hoá) * Hoại tử dạng tơ huyết * Lắng đọng chất dạng bột
  • 19.
    • Đặc điểmMDHQ + Nhuộm màng đáy cầu thận dưới dạng đường viền * KT chống màng đáy * Quá nhiều protein huyết tương (bệnh xơ cầu thận tiểu đường) + Nhuộm PHMD dưới dạng hạt * Trung mô (bệnh thận IgA) * Vách mao mạch (bệnh cầu thận màng) * Cả trung mô và vách mao mạch (VCT lupus) + Nhuộm cầu thận không đều * Chuỗi nhẹ đơn dòng (bệnh nhiễm bột – amyloidosis)
  • 20.
    • Đặc điểmsiêu cấu trúc (HVĐT) + Lắng đọng phức hợp miễn dịch đặc điện tử * Trung mô (bệnh thận IgA) * Dưới nội mô (bệnh viêm cầu thận lupus) * Dưới biểu mô (bệnh cầu thận màng) + Dày màng đáy cầu thận (xơ cầu thận tiểu đường) + Gấp đôi màng đáy cầu thận (viêm cầu thận màng tăng sinh) + Mở rộng chất căn bản collagen (viêm cầu thận ổ cục bộ) + Lắng đọng dạng sợi (bệnh nhiễm bột).
  • 21.
    BÖNH CÇU THËNCã HéI CHøNG THËN H¦
  • 22.
    BIÓU HIÖN L¢MSµNG TRONG BÖNH CÇU THËN Cã HéI CHøNG THËN H¦ • Phï toµn th©n • Protein niệu trên 3,5g/ 24giờ. • Protein máu dưới 60 g/lít, albumin máu dưới 30 g/lít. • Cholesterol máu tăng trên 6,5 mmol/l • Có hạt mỡ lưỡng chiết, trụ mỡ trong nước tiểu.
  • 23.
    Bệnh thay đổitối thiểu (hư thận mỡ) Tương đối lành, nguyên nhân phổ biến nhất của HCTH ở T.E. T/L mắc cao nhất 2 - 6 tuổi. Đáp ứng tốt với corticoid. - HVQH: Cầu thận bình thường hoặc thay đổi tối thiểu (tăng sinh rất nhẹ TB gian mạch). - HVĐT: màng đáy BT, không có các vật liệu đặc điện tử lắng đọng. Tổn thương chính là mất chân của tế bào có chân một cách lan toả. Trước đây là "hợp nhất" chân. Hiện nay,coi là hiện tượng "đơn giản hoá cấu trúc" của TBBM.
  • 24.
    Viªm cÇu thËntèi thiÓu (bÖnh thËn h nhiÔm mì) MDHQ Tuy liªn quan ®Õn miÔn dÞch nhng cha ph¸t hiÖn ®- îc c¸c l¾ng ®äng MD
  • 25.
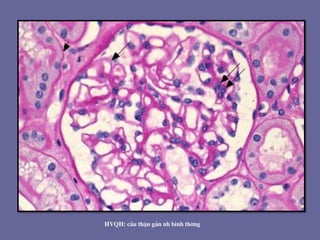
    HVQH: cÇu thËngÇn nh b×nh thêng
  • 26.
    Viêm cầu thậnmàng - Là nguyên nhân chính của HCTH ở người lớn. Bệnh thực sự "vô căn" ở khoảng 85% BN. - Là một bệnh trung gian KN-KT mạn tính.lắng đọng globulin MD dưới BM, dọc theo mặt ngoài màng đáy. •HVQH: cầu thận bình thường ở giai đoạn sớm hoặc có dày lan toả, đồng đều, màng đáy. •MDHQ: lắng đọng globulin MD dạng hạt xếp thành chuỗi. Thành phần phổ biến nhất là IgG, IgM, IgA or C3 và các thành phần khác của bổ thể. Một số trường hợp có thể lắng đọng gian mạch. •HVĐT: lắng đọng đặc điện tử không đều nằm giữa màng đáy và tế bào biểu mô (có thể bị mất chân).
  • 27.
    + Giai đoạnI: lắng đọng giữa BM và màng đáy, tụ tập ở những đoạn khác nhau của quai mao mạch. + Giai đoạn II: Lắng đọng dưới BM nhiều hơn và có lắng đọng của một chất giống màng đáy, giống những gai chồi lên từ màng đáy. Nhuộm bạc, các gai thấy rõ + Giai đoạn III: các gai dày hơn, vật liệu giống màng đáy phủ kín các lắng đọng => các khối lắng đọng trở thành nằm giữa màng đáy chứ không phải nằm trên màng đáy. + Giai đoạn IV: Chất lắng đọng tiêu đi, màng đáy được sửa chữa dày hơn, không đều.
  • 28.
    Viªm cÇu thËnmµng I, II HVQH: -G/đ sớm CT gần như bình thường -Muộn hơn: màng đáy dày đều và lan tỏa. -G/đ cuối (tổn thương lặp lại nhiều lần) màng đáy xơ dày, hẹp lòng mạch, kính hóa hoàn toàn cầu thận. Chất lắng đọng giống màng đáy
  • 29.
    Viªm cÇu thËnmµng III, IV Chất lắng đọng giống màng đáy Quá trình này lặp đi lặp lại => màng đáy dày hơn. Bệnh càng nặng, màng đáy càng dày => hẹp lòng mạch. Có thể xơ cứng gian mạch =>kính hoá hoàn toàn cầu thận.
  • 30.
    Viªm cÇu thËnmµng (H&E)-giai đoạn muộn T¨ng sè lîng quai mao m¹ch víi v¸ch dµy, kh«ng t¨ng mËt ®é tÕ bµo. Mét sè nguyªn nh©n: nhiÔm khuÈn m¹n (viªm gan B), UT biÓu m«, Lupus ban ®á hÖ thèng, cã thÓ bÖnh tù ph¸t
  • 31.
    Viªm cÇu thËnmµng (nhuém b¹c) ChÊt l¾ng ®äng gièng mµng d¸y nh nh÷ng “gai” mäc ra quanh c¸c quai mao m¹ch
  • 32.
    Viªm cÇu thËnmµng (MDHQ) ChÊt l¾ng ®äng chñ yÕu lµ IgG, IgM vµ C3 tËp trung ë mµng ®¸y quai mao m¹ch díi d¹ng h¹t lan táa.
  • 33.
    Viªm cÇu thËnmµng (HV§T) ChÊt l¾ng ®äng ®Æc ®iÖn tö r¶i r¸c trong chiÒu dµy mµng ®¸y. ChÊt c¨n b¶n mµng ®¸y (b) n»m xen gi÷a c¸c l¾ng ®äng d¹ng gai (a) (nh×n thÊy khi nhuém b¹c) a b
  • 34.
    Xơ cầu thậnổ - cục bộ Tự phát hoặc thứ phát: béo phì, teo thận mắc phải, bệnh HC hình liềm.. • HVQH: Gđ đầu, tổn thương gần vùng tuỷ, sau đó lan rộng. Xẹp màng đáy, tăng chất mầm gian mạch, lắng đọng chất kính cùng các giọt mỡ nhỏ kèm theo, dầy, kính hoá tiểu ĐM đến. Bệnh tiến triển=> slượng cầu thận tổn thương tăng, xơ cứng lan rộng trong mỗi cầu thận và tăng sinh chất mầm gian mạch => xơ cứng toàn bộ cầu thận, teo ống thận và xơ hoá kẽ. • HVĐT: mất chân của TB có chân, bong từng ổ TBBM => bóc trần màng đáy • HQMD: lắng đọng IgM, C3 ở đám chất kính vùng xơ cứng.
  • 35.
    X¬ cÇu thËnæ – côc bé (l¾ng ®äng chÊt kÝnh), g/® muén: x¬ hãa ®i kÌm
  • 36.
    X¬ cÇu thËnæ – côc bé (Nhuém trichrome) chÊt l¾ng ®äng collagen mµu xanh
  • 37.
    X¬ cÇu thËnæ – côc bé (HV§T) Lắng đọng dưới nội mô
  • 38.
    X¬ cÇu thËnæ – côc bé (MDHQ) Lắng đọng lan tỏa IgM và C3 tại vùng gian mạch và dưới nội mô
  • 39.
    •VCT tăng sinhgian mạch lan toả có HCTH Tăng sinh gian mạch lan toả + HCTH trên l/s. •HVQH: giãn rộng gian mạch, ít hoặc không tổn thương lòng mạch. Với 4 TB hoặc nhiều hơn trong một khoang gian mạch (TB gian mạch, BC đơn nhân) . •HQMD: thường có lắng đọng IgM, có hoặc không có lắng đọng C3. •HVĐT: lắng đọng gian mạch
  • 40.
    Viªm cÇu thËnt¨ng sinh gian m¹ch - Khoang gian m¹ch gi·n réng do t¨ng sè lîng TB gian m¹ch. -L¾ng ®äng IgM ë gian m¹ch. -ChÊt ®Æc ®iÖn tö ë vïng gian m¹ch
  • 41.
    BÖNH CÇU THËNCã HéI CHøNG VCTC
  • 42.
    BIÓU HIÖN L¢MSµNG TRONG BÖNH CÇU THËN Cã HéI CHøNG VCTC Khởi phát cấp tính, đột ngột với các biểu hiện: - Đái máu: thường đái máu đại thể. - Thiểu niệu: đái ít < 500 ml/24giờ. - Tăng huyết áp: nhẹ, vừa và nặng. - Protein niệu < 3,5 g/24giờ. - Hồng cầu niệu: trụ hồng cầu, trụ hạt.
  • 43.
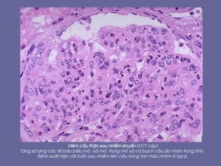
    VCTC (tăng sinhnội mao mạch) sau nhiễm liên cầu Xuất hiện từ 1- 4 tuần sau nhiễm liên cầu ở họng hoặc da. Trẻ 6- 10 tuổi, có thể gặp ở người lớn. Liên cầu tan huyết  nhóm A (90% típ 12, 4, 1 (xác định bằng định loại protein M màng tế bào). Là bệnh trung gian MD, KN của liên cầu là nguyên nhân gây ra PHMD này. + HVQH: cầu thận nở to, tăng sinh TB. * Tăng sinh TB nội mô, TB gian mạch, tăng sinh BM * Xâm nhập BC (ĐNTT, đơn nhân) gây biến đổi cấu trúc cầu thận dưới dạng các tiểu thuỳ + HQMD: lắng đọng dạng hạt của IgG, IgM và C3 ở gian mạch và dọc theo màng đáy. + HVĐT: lắng đọng đặc điện tử dạng "bướu lạc đà" ở dưới BM, có thể gặp các lắng đọng dưới nội mô và giữa màng đáy.
  • 44.
    VCTC không doliên cầu Một thể tương tự của VCTC xảy ra đơn phát phối hợp với các nhiễm khuẩn khác (ví dụ viêm nội tâm mạc do tụ cầu, phế viêm do phế cầu, nhiễm khuẩn huyết não mô cầu, các bệnh virus - viêm gan B, quai bị, sởi, tăng bạch cầu đơn nhân nhiễm khuẩn và nhiễm ký sinh trùng sốt rét, toxoplasma). Ở tất cả các trường hợp này, có các lắng đọng miễn dịch huỳnh quang dạng hạt và lắng đọng dạng bướu lạc đà dưới biểu mô.
  • 45.
    Viªm cÇu thËnsau nhiÔm khuÈn (t¨ng sinh néi – ngo¹i m¹ch) (viªm cÇu thËn cÊp)
  • 46.
    Viªm cÇu thËnsau nhiÔm khuÈn (VCT c¸p) T¨ng sinh tÕ bµo lµm mê c¸c quai mao m¹ch
  • 47.
    Viªm cÇu thËnsau nhiÔm khuÈn (VCT c¸p) T¨ng sè lîng c¸c tÕ bµo biÓu m«, néi m«, trung m« vµ cµ b¹ch cÇu ®a nh©n trung tÝnh. BÖnh xuÊt hiÖn vµi tuÇn sau nhiÔm liªn cÇu trïng tan m¸u nhãm A typ β.
  • 48.
    Viªm cÇu thËnsau nhiÔm khuÈn (VCT c¸p) L¾ng ®äng IgG, C3 ë d¹ng h¹t, u (bíu) b¸m däc theo mµng ®¸y quai mao m¹ch
  • 49.
    By Viªm cÇuthËn sau nhiÔm khuÈn (VCT c¸p) ChÊt l¾ng ®äng miÔn dÞch chñ yÕu n»m díi biÓu m« tr«ng nh nh÷ng u (bíu) ®Æc ®iÖn tö
  • 50.
    Viêm cầu thậnmàng tăng sinh Là những thay đổi của màng đáy và tăng sinh tế bào cầu thận. (5-10% các trường hợp HCTH vô căn ở trẻ em và người lớn). + HVQH, cầu thận nở to, tăng sinh TB gian mạch, xâm nhập BC kèm hình liềm TBBM. Cầu thận có dạng tiểu thuỳ rõ rệt. Màng đáy dầy lên và thành ổ, rõ nhất ở các quai mm ngoại vi. Vách mm cầu thận thường có hình ảnh đường viền đôi hoặc "đường ray tầu hoả“
  • 51.
    Đặc điểm siêucấu trúc và MDHQ khác nhau giữa 2 typ: •Typ I (chiếm 2/3) lắng đọng đặc điện tử dưới nội mô, đôi khi ở gian mạch. PHMD: C3 ở dạng hạt, có thể cả các thành phần sớm của bổ thể (C1q và C4) và IgG. •Typ II: lá đặc của màng đáy chuyển thành cấu trúc rất đặc điện tử (do lắng đọng một loại vật liệu đặc chưa rõ bản chất); C3 lắng đọng dạng hạt không đều ở các mặt màng đáy nhưng không có trong các lắng đọng đặc. C3 có trong gian mạch lắng đọng hình vòng (vòng gian mạch). Thường không có IgG cũng như các thành phần sớm của bổ thể. •Thể hiếm gặp (typ III) được phân biệt vì có cả lắng đọng dưới nội mô và lắng đọng dưới biểu mô kết hợp với gián đoạn và tách đôi màng đáy.
  • 52.
    Viªm cÇu thËnmµng t¨ng sinh
  • 54.
    Viªm cÇu thËnmµng t¨ng sinh T¨ng mËt ®é tÕ bµo (chñ yÕu lµ tÕ bµo trung m«) trong cÇu thËn
  • 55.
    Viªm cÇu thËnmµng t¨ng sinh (nhuém b¹c) Mµng ®¸y quai mao m¹ch cã d¹ng ®êng viÒn ®«i hoÆc “®êng ray xe löa”
  • 56.
    Viªm cÇu thËnmµng t¨ng sinh ChÊt l¾ng ®äng miÔn dÞch (IgG vµ C3) n»m r¶i r¸c däc theo v¸ch mao m¹ch vµ trong vïng trung m«.
  • 57.
    VCT tiến triểnnhanh (viêm cầu thận liềm tế bào) Là một dạng tổn thương cầu thận kèm theo suy giảm nhanh, nặng chức năng thận, thường có thiểu niệu nặng hoặc vô niệu gây nên suy thận không hồi phục trong vài tuần hoặc vài tháng. - HVQH: Tuỳ nguyên nhân, tổn thương là ổ hoại tử, tăng sinh TB gian mạch và nội mô lan toả hoặc khu trú. Điển hình là những liềm tế bào. Liềm TB thường làm tắc khoang Bowman và chèn ép mớ mm cầu thận. Theo thời gian, phần lớn các liềm TB bị xơ hoá. - HVĐT: gãy (vỡ) màng đáy cầu thận, và có lắng đọng dưới BM ở một số trường hợp. - HVHQ: lắng đọng dạng hạt gặp trong trường hợp VCT (liềm tế bào) tiến triển nhanh đến sau một nhiễm khuẩn. Trong hội chứng Goodpasture, lắng đọng miễn dịch lại có dạng đường viền.
  • 58.
    Viªm cÇu thËnh×nh liÒm (viªm cÇu thËn tiÕn triÓn nhanh)
  • 59.
    Viêm cầu thận“hình liềm”
  • 60.
    Viªm cÇu thËnh×nh liÒm (H&E) T¨ng sinh c¸c tÕ bµo biÓu m« l¸ thµnh lµm khoang niÖu hÑp dÇn, t¹o “h×nh liÒm” (trong bÖnh lupus ban ®á hÖ thèng). C¸c quai mao m¹ch cã v¸ch rÊt dµy do chÊt l¾ng ®äng, Gîi d¹ng “m¾t lång gµ”.
  • 61.
    Viªm cÇu thËn:h×nh liÒm” (MDHQ)
  • 62.
    Bệnh thận IgA(bệnh Berger) Lắng đọng IgA chiếm ưu thế ở vùng gian mạch; HVQH không có các tiêu chuẩn đặc trưng thì các xét nghiệm về HQMD và HVĐT lại giúp ích nhiều cho chẩn đoán. •HVQH: Cầu thận bình thường hoặc giãn rộng gian mạch và tăng sinh cục bộ. Khi khỏi, tổn thương tăng sinh ổ có thể gây xơ cứng khu trú. •HQMD: lắng đọng gian mạch lan toả và rất mạnh. Hiếm gặp các thành phần bổ thể: C3, C1q và C4. Ngoài ra, vách mao mạch cũng có phản ứng HQMD với IgA. •HVĐT: lắng đọng đặc điện tử khá kín đáo, khu trú phía trong màng đáy. Đôi khi lắng đọng ở vách mm cầu thận. Những lắng đọng này thường khá nhỏ và thưa hơn so với lắng đọng trong bệnh lupus ban đỏ hệ thống.
  • 63.
    Viªm cÇu thËnIgA (bÖnh thËn IgA, bÖnh Berger)
  • 64.
    BÖnh thËn IgA(bÖnh Berger) IgA l¾ng ®äng trong vïng trung m« kÌm t¨ng sinh tÕ bµo trung m«. BÖnh nh©n thêng ®¸i m¸u
  • 65.
    BÖnh thËn IgA Kh¸ngthÓ IgA n»m trong vïng trung m«