Blood in stool in the Neonate:
Dr Varsha Atul Shah,
Senior Consultant, SGH
1
Objective
• Review the causes of upper and lower
gastrointestinal bleeding in the neonatal
population.
• Provide some diagnostic tools and
management strategies for the most common
offenders.
2
Introduction
• Bloody emesis or bloody stools are very anxiety
provoking for parents and neonatologists!
• Gastrointestinal (GI) bleeding in infants and children
is a fairly common problem, accounting for 10%-20%
of referrals to pediatric gastroenterologists.
• Fortunately, most are from non-serious causes
– Anal fissures, infectious, milk protein allergy, oral trauma,
prolapse gastropathy or esophagitis/gastritis
• Hemodynamically significant bleeding is uncommon.
3
Definitions
• Melena is the passage of black, tarry stools;
suggests bleeding proximal to the ileocecal
valve
• Hematochezia is passage of bright or dark red
blood per rectum; indicates colonic source or
massive upper GI bleeding
4
Upper GI bleed
• Bleeding proximal to the ligament of Treitz
– Presents with:
• Hematemesis – vomiting bright red blood or coffee-
ground material.
• Melena – black, tarry stools.
– Time for gastric juices and bacteria degradation.
• If massive then hematochezia.
– Shorter transit time.
– More blood loss than lower GI bleeding.
5
Ligament of Treitz
6
Source undetermined
Lower GI bleed
• Bleeding distal to the ligament of Treitz
– Presents with:
• Hematochezia – bright red blood per rectum
• Maroon stools – profuse bleed from distal small bowel
– The higher the bleed, the darker the stool
7
Is it really blood?
• Hemoccult kits: Stool for occult blood
– Used to test stool for blood.
– Employs a peroxidase-like activity in hemoglobin
to oxidize with the reagent changing the color to
blue.
8
Clinical Evaluation
• Hemodynamic stability
– Vitals
• Tachycardia, tachypnea, blood pressure, apnea, shallow
– Perfusion
• cutis marmorata, urine output, capillary refill…
• Blood in the oropharynx/upper GI?
• Skin exam: bruises, petechia, telangiectasia ,
jaundice?
• Blood/fissures at the anus?
9
Causes: Neonates
10
Causes: Neonates
Neonates (less than 1 month):
– Upper
• Hemorrhagic disease of the newborn
• Swallowed maternal blood
• Stress gastritis
– Lower
• Anal fissure
• Allergic colitis
• Hirschsprung's with enterocolitis
• Malrotation with volvulus
• Necrotizing enterocolitis
11
Case #1
• 5 day old , 38-week breastfed neonate with
hematemesis.
Vitals:
• Temp: 36.5
• HR: 150
• RR:35
• BP: 70/45
Sick or Not sick
12
Upper GI bleed: not sick
• Swallowed maternal blood from delivery or
breast feeding
• Check perinatal history, any APH?
– Apt test (don’t do at UM)
• APT (alum-precipitated toxoid) test
• gastric contents of neonate mixed with 1% sodium hydroxide
• maternal hemoglobin turns rusty brown
– Kleihauer-Betke: sample exposed to acid to eliminate
adult hemoglobin (quantitative test)
– Mom usually gives great history of painful nursing
• Gastritis from stressful birth
13
Upper or Lower GI bleed
• If the baby was born at home or mom refused
Vitamin K shot Hemorrhagic disease of the
newborn.
– Check if Vit k was given
– Vitamin K deficiency
– Peaks 48 to 72 hours
• Other coagulopathies
– Liver disease
– Metabolic disease
14
Upper GI bleed
• If the history is unclear it is reasonable to
check:
– CBC
– Coagulation profile
– Chemistry with liver enzymes
15
Case #2
• 5-day old ex) 36-week neonate presents with
bloody stool.
• Vitals:
– Temp:37
– Heart rate: 190
– Respiratory rate: 72
– Blood pressure 76/45
– Pulse ox: 97% on room air
Sick or Not sick?
16
17
Source undetermined
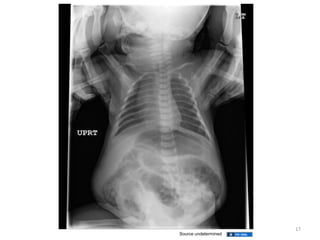
Necrotizing enterocolitis (NEC)
• Overall rate of NEC in full term infants is
approximately 0.7 per 1000 live births, which
is almost 10% of all cases
• Mean age to presentation for full term is 4-5
days
• Mean age to presentation for premature is 10
days
18
Necrotizing enterocolitis (NEC)
• Most common acquired gastrointestinal
disorder
• Small (most often distal) and/or large bowel
becomes injured
• Intramural air, and may progress to frank
necrosis with perforation Sepsis/Death
19
Necrotizing enterocolitis (NEC)
• Cause is unknown
– Intestinal ischemia
– Colonization by pathogenic bacteria
– Excess protein substrate in the intestinal lumen
1. Santulli TV, Schullinger JN, Heird WC, et al. Acute necrotizing enterocolitis in infancy:a review
of 64 cases. Pediatrics 1975;55(3):376–87.
2. Kosloske AM. Pathogenesis and prevention of necrotizing enterocolitis: a hypothesis basedon
personal observation and a review of the literature. Pediatrics 1984;74(6):1086–92.
20
Necrotizing enterocolitis (NEC)
• Bowel rest
• Nasogastric tube decompression
• Fluid resuscitation
• Blood and platelet transfusion if needed
• Broad-spectrum antibiotics
• Pediatric Surgery Consult
21
Case #3
• 4 week old male with poor feeding today
presented with black stool
• Vitals:
– Temp: 37.5
– HR: 170
– RR: 45
– BP: 85/47
– Pulse ox: 97%
22
Case #3
In the emergency department, patient’s vomit
was green
23
Malrotation with volvulus
24
Source undetermined
25
Source undetermined
Malrotation
• 14 year old
boy with recurrent
abdominal pain and
bilious emesis
26
Source undetermined
Malrotation
• Incidence of malrotation is 1 in 500 live births
• 60% of volvulus cases occur in the first month of
life; 75% by 1 year of age
• Volvulus occurs in 70% of neonatal malrotation
cases
• No race predilection; male:female is 3:2
• Morbidity: short-gut, TPN, SBO, recurrent
volvulus
• Mortality: 3-9%
27
Malrotation
• Malrotation with midgut volvulus is the most
critical surgical emergency in the newborn
period
• Usually presents within the first weeks of life
• Presents with the sudden onset of melena and
bilious vomiting in a previously health infant
28
Normal
• 4th and 5th week of gestation
– Duodenal intestinal loop comes out and twists 90
degrees. Counterclockwise.
– Cecal loop rotates 180 degrees.
– Total of 270 degrees
– Ileocecal valve in right lower quadrant
– Ligament of Treitz in the left upper quadrant.
– Long and strong mesenteric base
29
Malrotation
• Duodenal intestinal loop comes out but does
not rotate.
• Cecal loop rotates 90 degrees instead of 180
degrees.
• Cecum ends up in the mid-upper abdomen.
– Fixed by Ladd’s bands to the right lateral
abdominal wall.
• Causes obstruction to duodenum.
30
Lower GI bleed
• Anal fissure
• Gastroenteritis
• Intussusception
• Milk protein allergy
• Meckel’s diverticulum
• Malrotation
31
Case # 6
• A four week old formula fed infant presents
with two stools with a small amount of blood
mixed with mucous
Vitals:
• Temp: 37
• HR: 130
• RR: 32
• BP: 72/49
Sick or not sick
32
Cows milk protein allergy
• Immunologic hypersensitivity reaction to milk
proteins
• 2-6% formula fed
• 0.5% breast fed infants
• 50-60% present with gastrointestinal/skin
symptoms
• 30% respiratory symptoms
33
Management
• Removal of cow’s milk from the diet
• 30% also allergic to soy
• Need hydrolyzed protein formula
34
Finish Study
The study involved 40 consecutive infants (mean age: 2.7 months)
with visible rectal bleeding during a 2-year period at the Tampere
University Hospital Department of Pediatrics
•18% turned out to be allergic colitis otherwise no cause was found
•Suggested virus played a role
Rectal bleeding in infancy: clinical, allergological, and microbiological examination.
Arvola T, Ruuska T, Keränen J, Hyöty H, Salminen S, Isolauri E. Department of Paediatrics, Tampere University Hospital, Tampere, Finland.
taina.arvola@uta.fi
35
A newborn infant has passed a bloody stool. This is generally a benign and
self-limiting disorder. In a large majority of patients, the cause is unknown,
but it is important to detect the cases that have significant underlying
pathology.
II. IMMEDIATE QUESTIONS
Is the stool grossly bloody? Hematochezia (bright red or maroon colored stool) is
usually an ominous sign; an exception is a bloody stool as a result of swallowed
maternal blood, which is a benign condition. A grossly bloody stool usually signifies
lower gastrointestinal (GI) bleeding (typically below the ligament of Treitz, which is the
anatomic landmark of the duodenojejunal junction): it includes the jejunum, ileum,
cecum, colon, rectum, and anus. Hematochezia can occur rarely with massive upper
gastrointestinal tract bleeding. Necrotizing enterocolitis (NEC) is the most common
cause of bloody stool in premature infants and should be strongly suspected.
36
• Is the stool otherwise normal in color but with streaks of blood? What is the consistency of the stool? This
is more characteristic of a lesion in the anal canal, such as anal fissure. Anal fissure is the most common
cause of bleeding in well infants. A hard stool usually signifies a fissure; a loose or diarrheal stool signifies
colitis.
• Is the stool black and tarry looking? Melena (black or tarry stools) suggests blood in the stool from the
upper gastrointestinal tract (proximal to the ligament of Treitz: esophagus, stomach, or duodenum). It can
also be from bleeding from the small bowel or proximal ascending colon if transit is slow enough to allow
bacteria to denature the hemoglobin. Nasogastric trauma and swallowed maternal blood are common
causes.
• Is it occult blood (fecal occult blood testing/hemoccult) positive only? Microscopic blood as an isolated
finding is usually not significant. Tests for occult blood are very sensitive and can be positive with repeated
rectal temperatures or any perianal dermatitis.
• Was the infant given vitamin K at birth? Hemorrhagic disease of the newborn or any coagulopathy may
present with bloody stools.
• What medications are the mother and infant on? Certain medications can cause bleeding. If the mother
was on thiazides, phenobarbital, oral anticoagulants, or anticonvulsants, these can cross the placenta and
cause coagulation abnormalities in the infant. If the infant has been given nonsteroidal anti-inflammatory
drugs, heparin, tolazoline, indomethacin, or dexamethasone, these are all associated with bleeding.
• Is the infant well or is the infant ill? Infants with NEC, Hirschsprung enterocolitis, or volvulus are ill; infants
with an anal fissure, a milk protein allergy, or nodular lymphoid hyperplasia can appear well
37
Quiz: Q 1:
A 4-week-old girl has had three, blood-streaked stools over the past 2 days. She has
not been vomiting and has been appeared otherwise well. She is formula-fed, has
been gaining weight appropriately, and has no recent changes in her oral intake. She
is afebrile with normal vital signs, and her physical examination is unremarkable.
All these steps are appropriate in the INITIAL management of this child
EXCEPT:
A. Complete blood count with differential
B. Stool for white blood cell count and culture
C. Change in formula
D. Barium or air-contrast enema
38
Quiz: Ans 1:
A 4-week-old girl has had three, blood-streaked stools over the past 2 days. She has
not been vomiting and has been appeared otherwise well. She is formula-fed, has
been gaining weight appropriately, and has no recent changes in her oral intake. She
is afebrile with normal vital signs, and her physical examination is unremarkable.
All these steps are appropriate in the INITIAL management of this child
EXCEPT:
A. Complete blood count with differential
B. Stool for white blood cell count and culture
C. Change in formula
D. Barium or air-contrast enema
39
Q 2: A one week old male infant has crying after feeds that last 2
hours. He spits up and often calms down after passing gas. He
stools after each feed. He takes a standard cows’ milk formula.
Mother recently noted small flecks of blood in the stools. The most
likely etiology is
A. Malrotation
B. Pyloric stenosis
C. Hirschsprung’s Disease
D. Milk-protein intolerance
E. Mild ulcerative colitis
40
ANS 2: A one week old male infant has crying after feeds that last 2
hours. He spits up and often calms down after passing gas. He
stools after each feed. He takes a standard cows’ milk formula.
Mother recently noted small flecks of blood in the stools. The most
likely etiology is
A. Malrotation
B. Pyloric stenosis
C. Hirschsprung’s Disease
D. Milk-protein intolerance
E. Mild ulcerative colitis
41
Q:3: A 10 day old, ex- 28-week premature female is
confirmed to have Stage IIB NEC. You would expect
this infant to display all the following signs and symptoms
except:
A. Temperature instability, lethargy and
abdominal distension
B. Pneumatosis intestinalis on abdominal
radiograph
C. Severely perforated bowel
D. Thrombocytopenia, diminished bowel sounds
and grossly bloody stool
42
ANS:3: A 10 day old, ex- 28-week premature female is
confirmed to have Stage IIB NEC. You would expect
this infant to display all the following signs and symptoms
except:
A. Temperature instability, lethargy and
abdominal distension
B. Pneumatosis intestinalis on abdominal
radiograph
C. Severely perforated bowel
D. Thrombocytopenia, diminished bowel sounds
and grossly bloody stool
43
Q.4: An infant boy born at term is delivered at home without medical
supervision. At 48 hours of age, he is brought to the emergency room because
of a bloody discharge from the umbilical cord and bloody stools. Until the
results of laboratory studies are available, the BEST initial management is to
administer intravenous:
A. Ampicillin and gentamicin
B. Cryoprecipitate
C. Factor VIII concentrate
D. Fresh frozen plasma
E. Vitamin K
44
Q. 5: 33-weeks old, day 3 old, baby presented with
lethargy, bilious vomiting and abdominal distension and
blood-stained stool. Most important 1st investigations
will be:
A. AXR
B. Ape test
C. Stool C/S
D. PT,PTT
E. Stool for CD toxin
45
Q. 5: 33-weeks old, day 3 old, baby presented with
lethargy, bilious vomiting and abdominal distension and
blood-stained stool. Most important 1st investigations
will be:
A. AXR
B. Ape test
C. Stool C/S
D. PT,PTT
E. Stool for CD toxin
46
Q 6: Term, well, newborn born to mother with APH,
passed bloody stool at 10 hours of life. Most important
test is to:
1. Abdominal Xray
2. PT PTT
3. FBC
4. Apt test
47
Ans 6: Term, well, newborn born to mother with APH,
passed bloody stool at 10 hours of life. Most important
test is to:
1. Abdominal Xray
2. PT PTT
3. FBC
4. Apt test
48
Q.7:The most common causes of
blood in stool of newborn infant is
A-Vit-k deficiency
B-Ingested maternal blood
C-Infectious diarrhea
D-NEC E-Hischsprung enterocolitis
49
50

Blood in stool in neonates

  • 1.
    Blood in stoolin the Neonate: Dr Varsha Atul Shah, Senior Consultant, SGH 1
  • 2.
    Objective • Review thecauses of upper and lower gastrointestinal bleeding in the neonatal population. • Provide some diagnostic tools and management strategies for the most common offenders. 2
  • 3.
    Introduction • Bloody emesisor bloody stools are very anxiety provoking for parents and neonatologists! • Gastrointestinal (GI) bleeding in infants and children is a fairly common problem, accounting for 10%-20% of referrals to pediatric gastroenterologists. • Fortunately, most are from non-serious causes – Anal fissures, infectious, milk protein allergy, oral trauma, prolapse gastropathy or esophagitis/gastritis • Hemodynamically significant bleeding is uncommon. 3
  • 4.
    Definitions • Melena isthe passage of black, tarry stools; suggests bleeding proximal to the ileocecal valve • Hematochezia is passage of bright or dark red blood per rectum; indicates colonic source or massive upper GI bleeding 4
  • 5.
    Upper GI bleed •Bleeding proximal to the ligament of Treitz – Presents with: • Hematemesis – vomiting bright red blood or coffee- ground material. • Melena – black, tarry stools. – Time for gastric juices and bacteria degradation. • If massive then hematochezia. – Shorter transit time. – More blood loss than lower GI bleeding. 5
  • 6.
  • 7.
    Lower GI bleed •Bleeding distal to the ligament of Treitz – Presents with: • Hematochezia – bright red blood per rectum • Maroon stools – profuse bleed from distal small bowel – The higher the bleed, the darker the stool 7
  • 8.
    Is it reallyblood? • Hemoccult kits: Stool for occult blood – Used to test stool for blood. – Employs a peroxidase-like activity in hemoglobin to oxidize with the reagent changing the color to blue. 8
  • 9.
    Clinical Evaluation • Hemodynamicstability – Vitals • Tachycardia, tachypnea, blood pressure, apnea, shallow – Perfusion • cutis marmorata, urine output, capillary refill… • Blood in the oropharynx/upper GI? • Skin exam: bruises, petechia, telangiectasia , jaundice? • Blood/fissures at the anus? 9
  • 10.
  • 11.
    Causes: Neonates Neonates (lessthan 1 month): – Upper • Hemorrhagic disease of the newborn • Swallowed maternal blood • Stress gastritis – Lower • Anal fissure • Allergic colitis • Hirschsprung's with enterocolitis • Malrotation with volvulus • Necrotizing enterocolitis 11
  • 12.
    Case #1 • 5day old , 38-week breastfed neonate with hematemesis. Vitals: • Temp: 36.5 • HR: 150 • RR:35 • BP: 70/45 Sick or Not sick 12
  • 13.
    Upper GI bleed:not sick • Swallowed maternal blood from delivery or breast feeding • Check perinatal history, any APH? – Apt test (don’t do at UM) • APT (alum-precipitated toxoid) test • gastric contents of neonate mixed with 1% sodium hydroxide • maternal hemoglobin turns rusty brown – Kleihauer-Betke: sample exposed to acid to eliminate adult hemoglobin (quantitative test) – Mom usually gives great history of painful nursing • Gastritis from stressful birth 13
  • 14.
    Upper or LowerGI bleed • If the baby was born at home or mom refused Vitamin K shot Hemorrhagic disease of the newborn. – Check if Vit k was given – Vitamin K deficiency – Peaks 48 to 72 hours • Other coagulopathies – Liver disease – Metabolic disease 14
  • 15.
    Upper GI bleed •If the history is unclear it is reasonable to check: – CBC – Coagulation profile – Chemistry with liver enzymes 15
  • 16.
    Case #2 • 5-dayold ex) 36-week neonate presents with bloody stool. • Vitals: – Temp:37 – Heart rate: 190 – Respiratory rate: 72 – Blood pressure 76/45 – Pulse ox: 97% on room air Sick or Not sick? 16
  • 17.
  • 18.
    Necrotizing enterocolitis (NEC) •Overall rate of NEC in full term infants is approximately 0.7 per 1000 live births, which is almost 10% of all cases • Mean age to presentation for full term is 4-5 days • Mean age to presentation for premature is 10 days 18
  • 19.
    Necrotizing enterocolitis (NEC) •Most common acquired gastrointestinal disorder • Small (most often distal) and/or large bowel becomes injured • Intramural air, and may progress to frank necrosis with perforation Sepsis/Death 19
  • 20.
    Necrotizing enterocolitis (NEC) •Cause is unknown – Intestinal ischemia – Colonization by pathogenic bacteria – Excess protein substrate in the intestinal lumen 1. Santulli TV, Schullinger JN, Heird WC, et al. Acute necrotizing enterocolitis in infancy:a review of 64 cases. Pediatrics 1975;55(3):376–87. 2. Kosloske AM. Pathogenesis and prevention of necrotizing enterocolitis: a hypothesis basedon personal observation and a review of the literature. Pediatrics 1984;74(6):1086–92. 20
  • 21.
    Necrotizing enterocolitis (NEC) •Bowel rest • Nasogastric tube decompression • Fluid resuscitation • Blood and platelet transfusion if needed • Broad-spectrum antibiotics • Pediatric Surgery Consult 21
  • 22.
    Case #3 • 4week old male with poor feeding today presented with black stool • Vitals: – Temp: 37.5 – HR: 170 – RR: 45 – BP: 85/47 – Pulse ox: 97% 22
  • 23.
    Case #3 In theemergency department, patient’s vomit was green 23
  • 24.
  • 25.
  • 26.
    Malrotation • 14 yearold boy with recurrent abdominal pain and bilious emesis 26 Source undetermined
  • 27.
    Malrotation • Incidence ofmalrotation is 1 in 500 live births • 60% of volvulus cases occur in the first month of life; 75% by 1 year of age • Volvulus occurs in 70% of neonatal malrotation cases • No race predilection; male:female is 3:2 • Morbidity: short-gut, TPN, SBO, recurrent volvulus • Mortality: 3-9% 27
  • 28.
    Malrotation • Malrotation withmidgut volvulus is the most critical surgical emergency in the newborn period • Usually presents within the first weeks of life • Presents with the sudden onset of melena and bilious vomiting in a previously health infant 28
  • 29.
    Normal • 4th and5th week of gestation – Duodenal intestinal loop comes out and twists 90 degrees. Counterclockwise. – Cecal loop rotates 180 degrees. – Total of 270 degrees – Ileocecal valve in right lower quadrant – Ligament of Treitz in the left upper quadrant. – Long and strong mesenteric base 29
  • 30.
    Malrotation • Duodenal intestinalloop comes out but does not rotate. • Cecal loop rotates 90 degrees instead of 180 degrees. • Cecum ends up in the mid-upper abdomen. – Fixed by Ladd’s bands to the right lateral abdominal wall. • Causes obstruction to duodenum. 30
  • 31.
    Lower GI bleed •Anal fissure • Gastroenteritis • Intussusception • Milk protein allergy • Meckel’s diverticulum • Malrotation 31
  • 32.
    Case # 6 •A four week old formula fed infant presents with two stools with a small amount of blood mixed with mucous Vitals: • Temp: 37 • HR: 130 • RR: 32 • BP: 72/49 Sick or not sick 32
  • 33.
    Cows milk proteinallergy • Immunologic hypersensitivity reaction to milk proteins • 2-6% formula fed • 0.5% breast fed infants • 50-60% present with gastrointestinal/skin symptoms • 30% respiratory symptoms 33
  • 34.
    Management • Removal ofcow’s milk from the diet • 30% also allergic to soy • Need hydrolyzed protein formula 34
  • 35.
    Finish Study The studyinvolved 40 consecutive infants (mean age: 2.7 months) with visible rectal bleeding during a 2-year period at the Tampere University Hospital Department of Pediatrics •18% turned out to be allergic colitis otherwise no cause was found •Suggested virus played a role Rectal bleeding in infancy: clinical, allergological, and microbiological examination. Arvola T, Ruuska T, Keränen J, Hyöty H, Salminen S, Isolauri E. Department of Paediatrics, Tampere University Hospital, Tampere, Finland. taina.arvola@uta.fi 35
  • 36.
    A newborn infanthas passed a bloody stool. This is generally a benign and self-limiting disorder. In a large majority of patients, the cause is unknown, but it is important to detect the cases that have significant underlying pathology. II. IMMEDIATE QUESTIONS Is the stool grossly bloody? Hematochezia (bright red or maroon colored stool) is usually an ominous sign; an exception is a bloody stool as a result of swallowed maternal blood, which is a benign condition. A grossly bloody stool usually signifies lower gastrointestinal (GI) bleeding (typically below the ligament of Treitz, which is the anatomic landmark of the duodenojejunal junction): it includes the jejunum, ileum, cecum, colon, rectum, and anus. Hematochezia can occur rarely with massive upper gastrointestinal tract bleeding. Necrotizing enterocolitis (NEC) is the most common cause of bloody stool in premature infants and should be strongly suspected. 36
  • 37.
    • Is thestool otherwise normal in color but with streaks of blood? What is the consistency of the stool? This is more characteristic of a lesion in the anal canal, such as anal fissure. Anal fissure is the most common cause of bleeding in well infants. A hard stool usually signifies a fissure; a loose or diarrheal stool signifies colitis. • Is the stool black and tarry looking? Melena (black or tarry stools) suggests blood in the stool from the upper gastrointestinal tract (proximal to the ligament of Treitz: esophagus, stomach, or duodenum). It can also be from bleeding from the small bowel or proximal ascending colon if transit is slow enough to allow bacteria to denature the hemoglobin. Nasogastric trauma and swallowed maternal blood are common causes. • Is it occult blood (fecal occult blood testing/hemoccult) positive only? Microscopic blood as an isolated finding is usually not significant. Tests for occult blood are very sensitive and can be positive with repeated rectal temperatures or any perianal dermatitis. • Was the infant given vitamin K at birth? Hemorrhagic disease of the newborn or any coagulopathy may present with bloody stools. • What medications are the mother and infant on? Certain medications can cause bleeding. If the mother was on thiazides, phenobarbital, oral anticoagulants, or anticonvulsants, these can cross the placenta and cause coagulation abnormalities in the infant. If the infant has been given nonsteroidal anti-inflammatory drugs, heparin, tolazoline, indomethacin, or dexamethasone, these are all associated with bleeding. • Is the infant well or is the infant ill? Infants with NEC, Hirschsprung enterocolitis, or volvulus are ill; infants with an anal fissure, a milk protein allergy, or nodular lymphoid hyperplasia can appear well 37
  • 38.
    Quiz: Q 1: A4-week-old girl has had three, blood-streaked stools over the past 2 days. She has not been vomiting and has been appeared otherwise well. She is formula-fed, has been gaining weight appropriately, and has no recent changes in her oral intake. She is afebrile with normal vital signs, and her physical examination is unremarkable. All these steps are appropriate in the INITIAL management of this child EXCEPT: A. Complete blood count with differential B. Stool for white blood cell count and culture C. Change in formula D. Barium or air-contrast enema 38
  • 39.
    Quiz: Ans 1: A4-week-old girl has had three, blood-streaked stools over the past 2 days. She has not been vomiting and has been appeared otherwise well. She is formula-fed, has been gaining weight appropriately, and has no recent changes in her oral intake. She is afebrile with normal vital signs, and her physical examination is unremarkable. All these steps are appropriate in the INITIAL management of this child EXCEPT: A. Complete blood count with differential B. Stool for white blood cell count and culture C. Change in formula D. Barium or air-contrast enema 39
  • 40.
    Q 2: Aone week old male infant has crying after feeds that last 2 hours. He spits up and often calms down after passing gas. He stools after each feed. He takes a standard cows’ milk formula. Mother recently noted small flecks of blood in the stools. The most likely etiology is A. Malrotation B. Pyloric stenosis C. Hirschsprung’s Disease D. Milk-protein intolerance E. Mild ulcerative colitis 40
  • 41.
    ANS 2: Aone week old male infant has crying after feeds that last 2 hours. He spits up and often calms down after passing gas. He stools after each feed. He takes a standard cows’ milk formula. Mother recently noted small flecks of blood in the stools. The most likely etiology is A. Malrotation B. Pyloric stenosis C. Hirschsprung’s Disease D. Milk-protein intolerance E. Mild ulcerative colitis 41
  • 42.
    Q:3: A 10day old, ex- 28-week premature female is confirmed to have Stage IIB NEC. You would expect this infant to display all the following signs and symptoms except: A. Temperature instability, lethargy and abdominal distension B. Pneumatosis intestinalis on abdominal radiograph C. Severely perforated bowel D. Thrombocytopenia, diminished bowel sounds and grossly bloody stool 42
  • 43.
    ANS:3: A 10day old, ex- 28-week premature female is confirmed to have Stage IIB NEC. You would expect this infant to display all the following signs and symptoms except: A. Temperature instability, lethargy and abdominal distension B. Pneumatosis intestinalis on abdominal radiograph C. Severely perforated bowel D. Thrombocytopenia, diminished bowel sounds and grossly bloody stool 43
  • 44.
    Q.4: An infantboy born at term is delivered at home without medical supervision. At 48 hours of age, he is brought to the emergency room because of a bloody discharge from the umbilical cord and bloody stools. Until the results of laboratory studies are available, the BEST initial management is to administer intravenous: A. Ampicillin and gentamicin B. Cryoprecipitate C. Factor VIII concentrate D. Fresh frozen plasma E. Vitamin K 44
  • 45.
    Q. 5: 33-weeksold, day 3 old, baby presented with lethargy, bilious vomiting and abdominal distension and blood-stained stool. Most important 1st investigations will be: A. AXR B. Ape test C. Stool C/S D. PT,PTT E. Stool for CD toxin 45
  • 46.
    Q. 5: 33-weeksold, day 3 old, baby presented with lethargy, bilious vomiting and abdominal distension and blood-stained stool. Most important 1st investigations will be: A. AXR B. Ape test C. Stool C/S D. PT,PTT E. Stool for CD toxin 46
  • 47.
    Q 6: Term,well, newborn born to mother with APH, passed bloody stool at 10 hours of life. Most important test is to: 1. Abdominal Xray 2. PT PTT 3. FBC 4. Apt test 47
  • 48.
    Ans 6: Term,well, newborn born to mother with APH, passed bloody stool at 10 hours of life. Most important test is to: 1. Abdominal Xray 2. PT PTT 3. FBC 4. Apt test 48
  • 49.
    Q.7:The most commoncauses of blood in stool of newborn infant is A-Vit-k deficiency B-Ingested maternal blood C-Infectious diarrhea D-NEC E-Hischsprung enterocolitis 49
  • 50.

Editor's Notes