Bài thực tập 5
1. U keo tuyến giáp
• ĐN: Là giả u, hiện tượng tuyến giáp to do các
nang tuyến giáp giãn rộng vì ứ đọng chất keo đặc.
• Nguyên nhân: Thiếu Iod
• Tên gọi: Bướu cổ đơn thuần/ Bình năng tuyến giáp
• Vi thể: - Nang tuyến giãn rộng ứ chất keo đặc
- Biểu mô thấp dẹt
- Mô đệm: mạch máu co kéo biến dạng,
xâm nhập viêm, ít tế bào “đợi”.
2. Basedow (bệnh Grave)
• ĐN: Bệnh tăng năng tuyến giáp do tự miễn, biểu
hiện LS tăng CHCB và lồi mắt.
• “Lành tính về hình thái, ác tính về chức năng”
 Nang tuyến tăng sinh, kích thước nhỏ
 Biểu mô trụ cao, có thể tạo nhú
 Nhiều lỗ hút, ít keo, keo loãng
 Nhiều mạch máu, nhiều tế bào “đợi”.
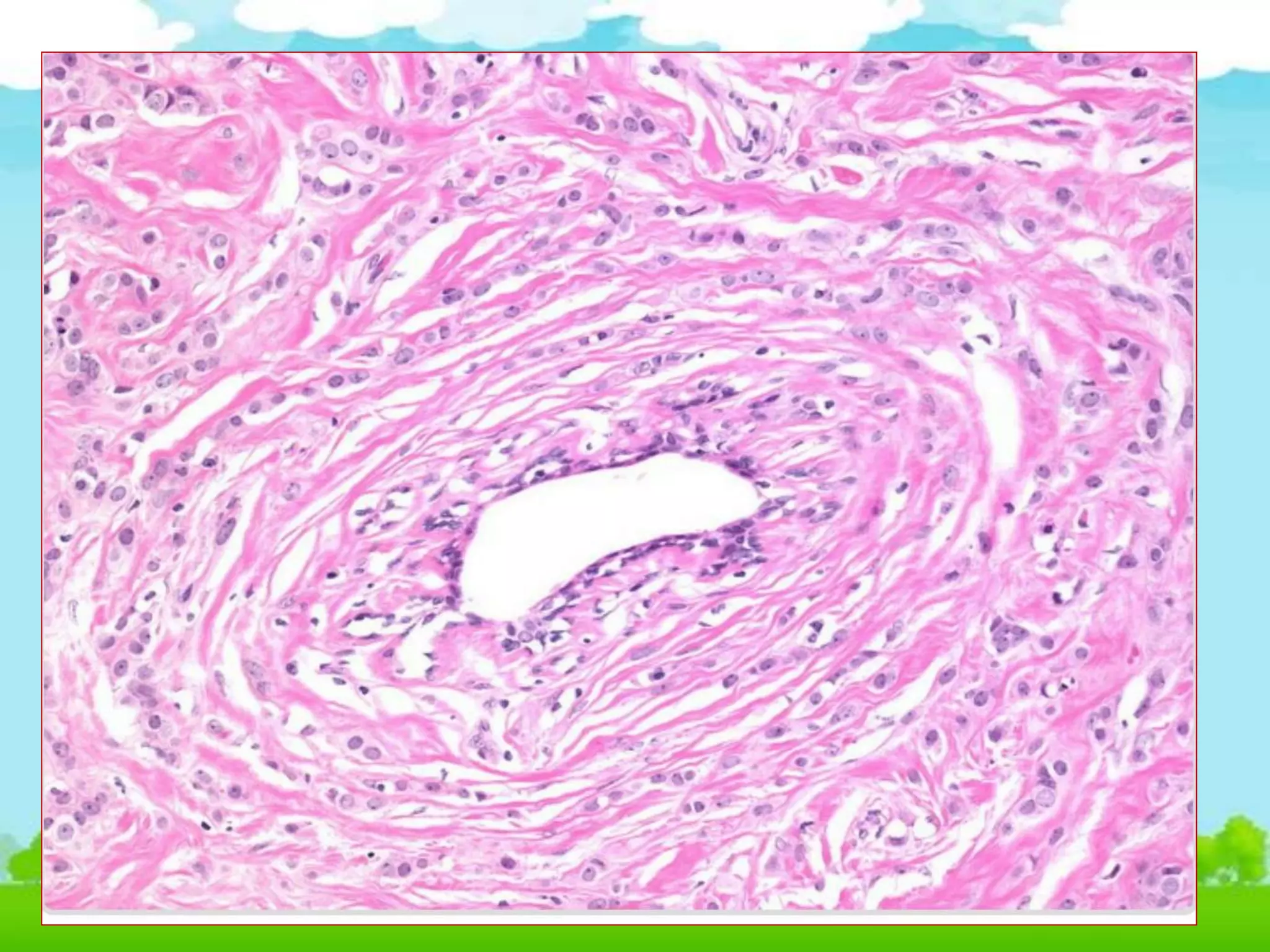
3. Carcinoma tuyến nhú tuyến giáp
• ĐN: U ác tính từ biểu mô nang giáp, tế bào u
gợi hình trụ, sắp xếp dạng tuyến với nhiều nhú
ngắn hoặc dài có trục liên kết.
 Tế bào u: Trụ, to nhỏ không đều, nhân khía
hoặc nhân “thủy tinh mờ”, ± thể giả vùi.
 Mô u: Tuyến nhú chia nhánh phức tạp
(hình cành cây /san hô)
 Mô đệm: Xơ hóa mạnh, xâm nhập viêm
4. Carcinoma ống xâm nhập tuyến vú
• ĐN: là u ác tính phát sinh từ tế bào biểu mô ống
dẫn của tuyến vú, xếp thành ống, tuyến hoặc
thành bè, dải.
 Tế bào u: đa dạng hình thái (trụ, vuông, đa
diện...), to nhỏ không đều, hạt nhân rõ.
 Mô u: đa dạng: Ống nhỏ, tuyến, bè, dây dải,...,
xâm nhập mô lân cận (mô mỡ, cơ)
 Mô đệm: Tăng sinh xơ, viêm mạn.
Ung thư biểu mô ống tại chỗ
19
Illustration © Mary K. Bryson
Tế bào
ung thư
Tế bào biểu
mô ống dẫn
bình thường
Ung thư biểu mô ống xâm nhập
20Illustration © Mary K. Bryson
Tế bào ung thư phá
vỡ cấu trúc ống
5. Carcinoma tiểu thùy xâm nhập tuyến vú
• ĐN: u ác tính từ biểu mô tiểu thùy tuyến vú, tế bào
u nhỏ, khá đều nhau, sắp xếp thành dây tế bào xâm
nhập mô đệm xơ.
• Thể điển hình:
 Tế bào u: nhỏ, kt khá đồng đều, không rõ hạt nhân.
 Mô u: dây dải, kém kết dính. Xếp quanh tuyến
hoặc song song, xâm nhập mô lân cận.
 Mô đệm: Xơ phát triển, viêm lympho
Invasive Lobular Carcinoma
(ILC)
26Illustration © Mary K. Bryson
Tế bào ung thư
phá vỡ vách
tiểu thùy
Bai 5 TH GPB
Bai 5 TH GPB
Bai 5 TH GPB
Bai 5 TH GPB
Bai 5 TH GPB

Bai 5 TH GPB

  • 1.
  • 4.
    1. U keotuyến giáp • ĐN: Là giả u, hiện tượng tuyến giáp to do các nang tuyến giáp giãn rộng vì ứ đọng chất keo đặc. • Nguyên nhân: Thiếu Iod • Tên gọi: Bướu cổ đơn thuần/ Bình năng tuyến giáp • Vi thể: - Nang tuyến giãn rộng ứ chất keo đặc - Biểu mô thấp dẹt - Mô đệm: mạch máu co kéo biến dạng, xâm nhập viêm, ít tế bào “đợi”.
  • 7.
    2. Basedow (bệnhGrave) • ĐN: Bệnh tăng năng tuyến giáp do tự miễn, biểu hiện LS tăng CHCB và lồi mắt. • “Lành tính về hình thái, ác tính về chức năng”  Nang tuyến tăng sinh, kích thước nhỏ  Biểu mô trụ cao, có thể tạo nhú  Nhiều lỗ hút, ít keo, keo loãng  Nhiều mạch máu, nhiều tế bào “đợi”.
  • 11.
    3. Carcinoma tuyếnnhú tuyến giáp
  • 12.
    • ĐN: Uác tính từ biểu mô nang giáp, tế bào u gợi hình trụ, sắp xếp dạng tuyến với nhiều nhú ngắn hoặc dài có trục liên kết.  Tế bào u: Trụ, to nhỏ không đều, nhân khía hoặc nhân “thủy tinh mờ”, ± thể giả vùi.  Mô u: Tuyến nhú chia nhánh phức tạp (hình cành cây /san hô)  Mô đệm: Xơ hóa mạnh, xâm nhập viêm
  • 18.
    4. Carcinoma ốngxâm nhập tuyến vú • ĐN: là u ác tính phát sinh từ tế bào biểu mô ống dẫn của tuyến vú, xếp thành ống, tuyến hoặc thành bè, dải.  Tế bào u: đa dạng hình thái (trụ, vuông, đa diện...), to nhỏ không đều, hạt nhân rõ.  Mô u: đa dạng: Ống nhỏ, tuyến, bè, dây dải,..., xâm nhập mô lân cận (mô mỡ, cơ)  Mô đệm: Tăng sinh xơ, viêm mạn.
  • 19.
    Ung thư biểumô ống tại chỗ 19 Illustration © Mary K. Bryson Tế bào ung thư Tế bào biểu mô ống dẫn bình thường
  • 20.
    Ung thư biểumô ống xâm nhập 20Illustration © Mary K. Bryson Tế bào ung thư phá vỡ cấu trúc ống
  • 25.
    5. Carcinoma tiểuthùy xâm nhập tuyến vú • ĐN: u ác tính từ biểu mô tiểu thùy tuyến vú, tế bào u nhỏ, khá đều nhau, sắp xếp thành dây tế bào xâm nhập mô đệm xơ. • Thể điển hình:  Tế bào u: nhỏ, kt khá đồng đều, không rõ hạt nhân.  Mô u: dây dải, kém kết dính. Xếp quanh tuyến hoặc song song, xâm nhập mô lân cận.  Mô đệm: Xơ phát triển, viêm lympho
  • 26.
    Invasive Lobular Carcinoma (ILC) 26Illustration© Mary K. Bryson Tế bào ung thư phá vỡ vách tiểu thùy