Avasküler
 nekrozlar



Doç.Dr.Mithat Öner
   İNFEKTİF
    OLMAYAN,
    İSKEMİK OLAY
    SONUCU EPİFİZİAL
    VE SUBARTİKÜLER
    KEMİK
    DEĞİŞİKLİKLERİ:

    AVASKÜLER
    NEKROZ,
    OSTEOKONDROZ,
    ASEPTİK NEKROZ
 METAFİZ&
 DİAFİZDE
 YERLEŞİRSE 
 KEMİK İNFARKTI
LEGG-CALVE –PERTHES
 LCP,20. yüzyılın ilk yarısında Arthur
 Legg (ABD), Jacques Calve
 (Fransa),George Clemens Perthes
 (Almanya) ve Henning Waldenström
 ( İsveç) tarafınca birbirlerinden
 bağımsız olarak tanımlanmıştır
 Legg-Calvé    -Perthes (LCP) hastalığı
  çocukluk döneminde görülen,
  proksimal femoral epifizin idiopatik
  avasküler nekrozudur.
 Sık görülen bir pediatrik kalça hastalığı
  olup, maalesef hala iyi anlaşılamamış,
  tartışmalı bir konudur.
 Hastalığın klinik gidişi çok çeşitli
  olabilmekte ve önceden tahmin
  edilememektedir.
 En sık 4-8 yaşlarında görülür
 erkek / kız = 4 / 1.
 Bilateral görülme sıklığı ise
 %10-20’dir.
 Legg-Calvé -Perthes hastalığının
 görülme sıklığını tam olarak bilmek
 çok güçtür, çünkü vakaların çoğu
 teşhis edilememekte ve
 bilinmemektedir..
  pozitif aile hikayesi %10 olduğu
  bildirilmektedir.
 Bazı etnik faktörler tespit edilmiştir;
  Japonlar’da Eskimolar’da ve Orta
  Avrupa toplumlarında fazla
 siyah ırkta, Avustralyalılar’da daha az
  görülmektedir.
 LCP’li çocukların boyları yaşıtlarından
  kısadır.
 Legg-Calvé -Perthes’li çocuklarda
  herni, inmemiş testis ve böbrek
  anomalileri sık görülür.
Etyoloji
 Etyolojisibilinmemektedir;
 Multifaktoryel.....

.
   Arteryal tıkanma teorisi.......
 Buteori hayvan deneylerinde
 gösterilmiş
LCP’li insan patolojik materyallerinde
 teyit edilmiştir.
   Medial
    sirkumfleks
    arterin
    terminal dalı
    femur başı
    beslenmesin
    i sağlar. Kan
    akamının
    azalması
    infarkta ve

    avasküler
    nekroza
    sebep olur.
 Venöz   Konjesyon teorisi.....
 Son çalışmalar vasküler bozukluğun
 nedeninin venöz drenaj bozukluğuna,
 intraosseöz venöz hipertansiyona
 veya artmış kan viskozitesine bağlı
 kan akımı azalmasına bağlı
 olabileceği üzerinedir.
 Protein C – S Eksikliği
 Trombofili

 Hipofibrinoliz

 Travma Teorisi
Perthes için riskli çocuk:
 4-8 yaş
 Erkek çocuk

 Hiperaktif çocuk

 Kısa boylu çocuk

 Kemik yaşı geri olan çocuk

 Travma geçiren çocuk

 Pasif sigara içicisi çocuk.....
Klinik
 Legg-Calvé    -Perthes hastaları
  genellikle sinsi bir topallama atağı
  hikayesi verirler.
 Ağrı genellikle aktivite sırasında
  vardır ve dinlenme ile geçer. Ağrı
  hafiftir ve ilk klinik ataktan sonra
  analjeziğe ihtiyaç göstermez.
 Ağrı genellikle kasık bölgesinde veya
  uyluğun anteromedialinde veya diz
  bölgesindedir.
 Hastalığın başlangıcında abduksiyon
  ve iç rotasyon hareketleri ilk olmak
  üzere kalça hareketleri kısıtlanır.
 Başlangıçta adduktor spazmına bağlı
  abduksiyon kısıtlılığı zamanla
  sekonder deformiteler gelişir ve
  inatçı ve kalıcı hale gelir.
 Trendelenburg  testi pozitif olur.
 Bu çocuklarda gluteal bölgede,
  uylukta ve bacakta atrofi gelişir.
 Ekstremite uzunluğu ölçülünce
  normal taraftan kısa çıkarsa bu
  önemli derecede baş kollapsı
  olduğunu ve kötü prognozu gösterir
 Hastalıklı
           kalçaya
 bastığında normal
 kalça aşağı düşer.
Ayırıcı tanı:
 toksik sinovit,
 septik artrit,

 multipl epifiziel displazi,

 sickle cell anemi,

 tüberküloz,

 juvenil romatoid artrit

 romatizmal ateş
RADYOLOJİ:
 Crescent  sign,
  en iyi frog leg
  lateral
  pozisyonda
  görülür.
 Perthesin en
  erken X-Ray
  bulgusudur.
 (Femur
  başında
  radyolusen
  çizgi- yarık)
WALDENSTRÖM’ÜN HASTALIK
 DEVRELERI SINIFLAMASI:
                 1. Sinovit
                  Dönemi: Eklem
                  kapsülü
                  bombeleşmiş ve
                  ödemlidir. Medial
                  eklem mesafesi
                  artiküler
                  kıkırdağın
                  hipertrofisine
                  bağlı
                  genişlemiştir. 1-3
                  hafta sürer.
 2.Aseptik
 Nekroz Dönemi:
 Bu dönemde
 femur başında
 radyoopasite
 artımı görülür.
 Femur başında
 çeşitli
 derecelerde
 yassılaşma olur.
 Birkaç aydan bir
 yıla kadar sürer.
 3. Rejenerasyon
  veya Fragmantasyon
  Dönemi: fibröz
  vasküler dokunun
  rezorbe ettiği
  radyolüsen alanlar
 Femur boynunda
  genişleme olur,
  baştaki düzleşme
  artar (coxa plana).
 Femur başında
  çeşitli derecelerde
  anterolateral dışa
  taşma olur.
 4. Rezidüel Devre: Bu
  dönemde radyolüsen
  (rarefaction) alanları ortadan
  kalkar; yeni normal kemik
  trabekulaları oluşur.
 Baştaki sferiklik çeşitli
  derecelerde bozulmuş.
 Baş normale göre
  büyümüştür (coxa magna).
 Baştaki asetabuluma uygun
  olmayan düzleşme ile bu
  hastalar ileride dejeneratif
  artrite adaydırlar.
 COXA MAGNA
 COXA BRAVA

 COXA PLANA

 ROUND HEAD
CATTERALL SINIFLANDIRMASI :
   Grup I : Başın anterosentralinde %25’i
    tutulmuştur. Sekestr, subkondral kırık,
    metafiziel reaksiyon yoktur.

   Grup II: Femur başının anterolateralinde
    %50’lik bir kısım tutulmuştur. Medial ve lateral
    kolonlar normaldir.

   Grup III: Başın yaklaşık %75’i tutulmuştur.
    Büyük bir sekestr formasyonu vardır.

   Grup IV: Femur başının tamamı tutulmuştur.
    Geniş bir kollaps ile sekestr formasyonu vardır.
SALTER-THOMPSON
          SINIFLANDIRMASI :

 Grup A: Başın %50’sinden azı
 tutulmuştur. Bu grup Catterall I ve
 II’ye karşılık gelir.

 Grup B: Başın %50’sinden fazlası
 tutulmuştur. Bu grup Catterall III ve
 IV’e karşılık gelir.
HARRİNG LATERAL PİLLAR:
Manyetik Rezonans Görüntüleme
 MR  osteonekrozu erken devresinde
  görüntüleyerek tanıyı kolaylaştırır ve
  artiküler kıkırdağın sınırlarını net bir
  şekilde gösterir.
 Infarktı göstermede çok sensitiftir,
  ama iyileşme devrelerini doğru
  sınırlar ile ayırmada henüz yeterli
  değildir.
 Hastalığın tedavi takibindeki yeri
  henüz netleşmemiştir.
Prognozu Etkileyen Faktörler
             (Klinik):
 1. Hastalığın Başlama Yaşı: En çok kabul
  gören prognostik faktör budur.
 2. Cinsiyet

 3. Kalça Hareket Kısıtlılığı
Prognozu Etkileyen Faktörler
              (Rady):
   Femur Başının Tutulum Miktarı: Catterall’e
    göre baş tutulumu artınca prognoz
    kötüleşmektedir.

   Riskli Baş Bulgusu:
    –a- Epifizde lateral kalsifikasyon
    –b- Lateral subluksasyon
    –c- Gage belirtisi (lateral epifiz ve komşu
     metafizde defektif V ossifikasyon bölgesi)
    – d- Diffüz metafizyel reaksiyon (kistler)
    – e- Horizantal büyüme plağı.
Tedavi
 Temel tedavi prensipleri:
 1- Kalça irritabilitesinin önlenmesi

 2- Iyi bir kalça hareket sınırının
  restorasyonu ve korunması
 3- Femur başının dışarıya taşması veya
  subluksasyonunun önlenmesi
 4- Hastalık sürecinin sonlanmasından
  sonra küresel bir femur başının elde
  edilmesi
    Tedavi yöntemlerinin hepsi femur
    başı asetabulum ilişkisi
    (containment) bozulmadan, hareket
    kısıtlılığı olmadan, ağrısız bir kalça ile
    yürütmeyi amaçlar.
 Ağrılı bir kalça (irritabil kalça) ile
  gelen bir çocukta ilk yapılması
  gereken bu ağrılı dönemin
  geçirilmesidir. Bu 1-2 haftalık mutlak
  yatak istirahati ile sağlanabilir.
 Irritabil kalça döneminden sonra
  hastaların tedavisinde iki temel
  tedavi yöntemi vardır: 1-Konservatif
  tedavi, 2- Cerrahi tedavi.
 Klinikve radyolojik olarak riskli baş
 bulgusu olmayan Catterall Grup 1 ve
 2 (Salter-Thompson A) hastalar
 tedavi gerektirmezler. Sadece
 periyodik takiplere çağrılırlar.
 Riskli baş bulguları oluştuğu zaman
 tedavi gerektirirler.
 Riskli  baş bulguları olan Catterall
  Grup 1-2 (Salter-Thompson A)
  hastalar ile Catterall Grup 3-4
  (Salter-Thompson B) hastalar femur
  başı asetabulumun içinde normal
  ilişkisini sağlayacak (containment) ve
  koruyacak tedavi yöntemleri ile
  tedavi edilirler.
 Femur başı asetabulum ilişkisini
  koruyan ve düzelten üç yöntem
  vardır: 1- Abduksiyon cihazları, 2-
  Femoral osteotomi, 3- Innominate
  osteotomi.
1- Abduksiyon Cihazları:
 Yıllardan beri çok çeşitli abduksiyon
  cihazları kullanılmaktadır. Çocuk bu
  cihazlarla yürüyebilmekte, okuluna
  gidebilmektedir. Ancak iki taraflı
  olanlarda yürüme biraz zorluk
  yaratmaktadır. Uzun sürmesi
  hastanın şikayetine neden
  olmaktadır.
 Ortalama 6-14 ay kullanılmaktadır.
  Bugün bu cihazlar ile tedavideki
  sonuçlar tartışmalıdır.
2- Femoral Osteotomi
                  Grafide sadece
                   abduksiyon ile
                   femur başı
                   asetabulum
                   ilişkisi
                   (conainment)
                   yeterli ve
                   tatminkar
                   oluyor ise
                   femoral varus
                   osteotomisi
                   endikasyonu
                   vardır
3- Innominate Osteotomi
              Asetabular
              çatının yeniden
              yönlendirilmesi
              ile femur
              başının
              anterolaterali
              daha iyi
              örtülebilir.
A. Alt ekstremite
   Femur başı               Legg-Calvé-Perthes

   Büyük trokanter          Hall

   Patella                  Sinding-Larsen

   Tibia proksimal fizisi   Blount

   Tüberasitas tibia        Osgood-Schlatter

   Navikula                  Köhler

   Metatars başı            Freiberg

   5. metatars epifizi       Iselin
Üst ekstremite
   Kapitellum                    Panner

   Radius distal epifizi         Madelung

   Lunatum                        Kienbock

   Skafoid                         Preiser

   Falanks epifizi                Thiemann

   Vertebra uç plakları      scheuermann
Osgood-Schlatter Hastalığı:
 Tüberasitas tibianın osteokondrozudur.
  Hastalığın, tüberositas tibiaya kuadriseps
  kasıyla gelen tekrarlayıcı kuvvetler
  sonucu geliştiği düşünülür.
 Erkeklerde ve adolesan çağda daha sıktır.
  Bilateral olabilir. Dizin ön tarafında ağrı
  olur. Yakınmalar koşma, zıplama,
  merdiven çıkma ile artar, Dinlenmekle
  geçer.
 Muayenede tüberasitas tibia genişlemiş ve
  duyarlıdır.
Köhler Hastalığı:
  Naviküler kemiğin osteokondrozudur.
  Kemik üzerine gelen tekrarlayıcı
  kompresyon güçlerinin rolü olduğu
  düşünülür.
 Olguların %75’i erkek çocuklarda ve en
  sık olarak beş yaş çevresinde görülür.
  Bilateral olabilir.
 Naviküler kemik üzerinde ağrı ve
  duyarlılık ve şişlik olur. Radyolojik olarak
  naviküler kemikte düzleşme, düzensizlik
  ve skleroz görülür. Tedavide, ağrılı
  dönemde alçı yapılabilir, daha sonra
  tabanlık verilir. Yaklaşık altı ayda hastalık
  kendiliğinden geçer.
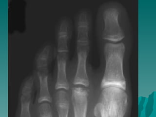
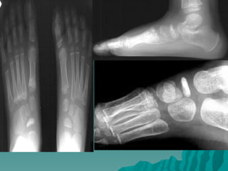
Freiberg Hastalığı:
 Metatars başlarının osteokondrozudur. En
  çok ikinci metatars başında görülür.
  Bilateral olabilir. %75 oranında kızlarda ve
  adolesan çağda görülür.
 Hastalık metatarsaljiye neden olur.
  hareket kısıtlılığı olur.
 Radyolojik olarak metatars başında
  yassılaşma, düzensizlik ve skleroz görülür.
 Ağrılı dönemde alçı yapılır daha sonra
  ayakkabının içine metatars yastığı
  uygulanır.
 yakınmalar sürüyorsa, metatars başı
  rezeke edilebilir.
Blount hastalığı
   Blount tibia vara’yı tibia proksimal medial
    epifizinin osteokondrozu olarak tarif etmiş

    metafizin enkondral ossifikasyonunda
    bozukluk

Neden?: kalıtımsal + gelişimsel
 Enfeksiyon,Travma,AVN,Riketsin latent
 formu
 Erken yürüme + obesite ile ilişkisi var


   Tibiada varus + internal torsiyon + genu
    rekuvatum
Sinding- larsen
Keinböck hastalığı
                               Genellikle
                                yetişkinlerde ve
                                unilateral
                               El bileğinde ağrı ve
                                hassasiyet
                    r          Travmalar ve
                                tekrarlayan
                                mikrotravmalar
Rober Kienböck (1871 -1953)     suçlanır.
                               X-Ray: lunat kemikte
                                yaygın opasite
                                kemikte yassılaşma,
                                fregmantasyon
Preiser hastalığı
Panner Hastalığı
HASS’S HASTALIĞI
 HUMERUS  BAŞININ OSTEONEKROZU
 3 MAJOR BESLEYICI ARTER :

 ARKUAT ARTER
 POSTERİOR SİRKUMFLEKS DALI
 ROTATOR KILIF DALLARI
Madelung deformitesi
Theimann hastalığı
Scheuermann kifoz
Avasküler nekrozlar (fazlası için www.tipfakultesi.org )
Avasküler nekrozlar (fazlası için www.tipfakultesi.org )

Avasküler nekrozlar (fazlası için www.tipfakultesi.org )

  • 1.
  • 2.
    İNFEKTİF OLMAYAN, İSKEMİK OLAY SONUCU EPİFİZİAL VE SUBARTİKÜLER KEMİK DEĞİŞİKLİKLERİ: AVASKÜLER NEKROZ, OSTEOKONDROZ, ASEPTİK NEKROZ
  • 3.
     METAFİZ& DİAFİZDE YERLEŞİRSE  KEMİK İNFARKTI
  • 4.
    LEGG-CALVE –PERTHES  LCP,20.yüzyılın ilk yarısında Arthur Legg (ABD), Jacques Calve (Fransa),George Clemens Perthes (Almanya) ve Henning Waldenström ( İsveç) tarafınca birbirlerinden bağımsız olarak tanımlanmıştır
  • 5.
     Legg-Calvé -Perthes (LCP) hastalığı çocukluk döneminde görülen, proksimal femoral epifizin idiopatik avasküler nekrozudur.  Sık görülen bir pediatrik kalça hastalığı olup, maalesef hala iyi anlaşılamamış, tartışmalı bir konudur.  Hastalığın klinik gidişi çok çeşitli olabilmekte ve önceden tahmin edilememektedir.
  • 6.
     En sık4-8 yaşlarında görülür  erkek / kız = 4 / 1.  Bilateral görülme sıklığı ise %10-20’dir.  Legg-Calvé -Perthes hastalığının görülme sıklığını tam olarak bilmek çok güçtür, çünkü vakaların çoğu teşhis edilememekte ve bilinmemektedir..
  • 7.
     pozitifaile hikayesi %10 olduğu bildirilmektedir.  Bazı etnik faktörler tespit edilmiştir; Japonlar’da Eskimolar’da ve Orta Avrupa toplumlarında fazla  siyah ırkta, Avustralyalılar’da daha az görülmektedir.  LCP’li çocukların boyları yaşıtlarından kısadır.  Legg-Calvé -Perthes’li çocuklarda herni, inmemiş testis ve böbrek anomalileri sık görülür.
  • 8.
  • 9.
    Arteryal tıkanma teorisi.......
  • 10.
     Buteori hayvandeneylerinde gösterilmiş LCP’li insan patolojik materyallerinde teyit edilmiştir.
  • 12.
    Medial sirkumfleks arterin terminal dalı femur başı beslenmesin i sağlar. Kan akamının azalması infarkta ve avasküler nekroza sebep olur.
  • 13.
     Venöz Konjesyon teorisi.....
  • 14.
     Son çalışmalarvasküler bozukluğun nedeninin venöz drenaj bozukluğuna, intraosseöz venöz hipertansiyona veya artmış kan viskozitesine bağlı kan akımı azalmasına bağlı olabileceği üzerinedir.
  • 15.
     Protein C– S Eksikliği  Trombofili  Hipofibrinoliz  Travma Teorisi
  • 16.
    Perthes için riskliçocuk:  4-8 yaş  Erkek çocuk  Hiperaktif çocuk  Kısa boylu çocuk  Kemik yaşı geri olan çocuk  Travma geçiren çocuk  Pasif sigara içicisi çocuk.....
  • 17.
    Klinik  Legg-Calvé -Perthes hastaları genellikle sinsi bir topallama atağı hikayesi verirler.  Ağrı genellikle aktivite sırasında vardır ve dinlenme ile geçer. Ağrı hafiftir ve ilk klinik ataktan sonra analjeziğe ihtiyaç göstermez.  Ağrı genellikle kasık bölgesinde veya uyluğun anteromedialinde veya diz bölgesindedir.
  • 18.
     Hastalığın başlangıcındaabduksiyon ve iç rotasyon hareketleri ilk olmak üzere kalça hareketleri kısıtlanır.  Başlangıçta adduktor spazmına bağlı abduksiyon kısıtlılığı zamanla sekonder deformiteler gelişir ve inatçı ve kalıcı hale gelir.
  • 21.
     Trendelenburg testi pozitif olur.  Bu çocuklarda gluteal bölgede, uylukta ve bacakta atrofi gelişir.  Ekstremite uzunluğu ölçülünce normal taraftan kısa çıkarsa bu önemli derecede baş kollapsı olduğunu ve kötü prognozu gösterir
  • 22.
     Hastalıklı kalçaya bastığında normal kalça aşağı düşer.
  • 23.
    Ayırıcı tanı:  toksiksinovit,  septik artrit,  multipl epifiziel displazi,  sickle cell anemi,  tüberküloz,  juvenil romatoid artrit  romatizmal ateş
  • 24.
  • 25.
     Crescent sign, en iyi frog leg lateral pozisyonda görülür.  Perthesin en erken X-Ray bulgusudur.  (Femur başında radyolusen çizgi- yarık)
  • 26.
    WALDENSTRÖM’ÜN HASTALIK DEVRELERISINIFLAMASI:  1. Sinovit Dönemi: Eklem kapsülü bombeleşmiş ve ödemlidir. Medial eklem mesafesi artiküler kıkırdağın hipertrofisine bağlı genişlemiştir. 1-3 hafta sürer.
  • 27.
     2.Aseptik NekrozDönemi: Bu dönemde femur başında radyoopasite artımı görülür. Femur başında çeşitli derecelerde yassılaşma olur. Birkaç aydan bir yıla kadar sürer.
  • 28.
     3. Rejenerasyon veya Fragmantasyon Dönemi: fibröz vasküler dokunun rezorbe ettiği radyolüsen alanlar  Femur boynunda genişleme olur, baştaki düzleşme artar (coxa plana).  Femur başında çeşitli derecelerde anterolateral dışa taşma olur.
  • 29.
     4. RezidüelDevre: Bu dönemde radyolüsen (rarefaction) alanları ortadan kalkar; yeni normal kemik trabekulaları oluşur.  Baştaki sferiklik çeşitli derecelerde bozulmuş.  Baş normale göre büyümüştür (coxa magna).  Baştaki asetabuluma uygun olmayan düzleşme ile bu hastalar ileride dejeneratif artrite adaydırlar.
  • 30.
     COXA MAGNA COXA BRAVA  COXA PLANA  ROUND HEAD
  • 32.
    CATTERALL SINIFLANDIRMASI :  Grup I : Başın anterosentralinde %25’i tutulmuştur. Sekestr, subkondral kırık, metafiziel reaksiyon yoktur.  Grup II: Femur başının anterolateralinde %50’lik bir kısım tutulmuştur. Medial ve lateral kolonlar normaldir.  Grup III: Başın yaklaşık %75’i tutulmuştur. Büyük bir sekestr formasyonu vardır.  Grup IV: Femur başının tamamı tutulmuştur. Geniş bir kollaps ile sekestr formasyonu vardır.
  • 33.
    SALTER-THOMPSON SINIFLANDIRMASI :  Grup A: Başın %50’sinden azı tutulmuştur. Bu grup Catterall I ve II’ye karşılık gelir.  Grup B: Başın %50’sinden fazlası tutulmuştur. Bu grup Catterall III ve IV’e karşılık gelir.
  • 34.
  • 35.
    Manyetik Rezonans Görüntüleme MR osteonekrozu erken devresinde görüntüleyerek tanıyı kolaylaştırır ve artiküler kıkırdağın sınırlarını net bir şekilde gösterir.  Infarktı göstermede çok sensitiftir, ama iyileşme devrelerini doğru sınırlar ile ayırmada henüz yeterli değildir.  Hastalığın tedavi takibindeki yeri henüz netleşmemiştir.
  • 37.
    Prognozu Etkileyen Faktörler (Klinik):  1. Hastalığın Başlama Yaşı: En çok kabul gören prognostik faktör budur.  2. Cinsiyet  3. Kalça Hareket Kısıtlılığı
  • 38.
    Prognozu Etkileyen Faktörler (Rady):  Femur Başının Tutulum Miktarı: Catterall’e göre baş tutulumu artınca prognoz kötüleşmektedir.  Riskli Baş Bulgusu: –a- Epifizde lateral kalsifikasyon –b- Lateral subluksasyon –c- Gage belirtisi (lateral epifiz ve komşu metafizde defektif V ossifikasyon bölgesi) – d- Diffüz metafizyel reaksiyon (kistler) – e- Horizantal büyüme plağı.
  • 39.
    Tedavi  Temel tedaviprensipleri:  1- Kalça irritabilitesinin önlenmesi  2- Iyi bir kalça hareket sınırının restorasyonu ve korunması  3- Femur başının dışarıya taşması veya subluksasyonunun önlenmesi  4- Hastalık sürecinin sonlanmasından sonra küresel bir femur başının elde edilmesi
  • 40.
    Tedavi yöntemlerinin hepsi femur başı asetabulum ilişkisi (containment) bozulmadan, hareket kısıtlılığı olmadan, ağrısız bir kalça ile yürütmeyi amaçlar.
  • 42.
     Ağrılı birkalça (irritabil kalça) ile gelen bir çocukta ilk yapılması gereken bu ağrılı dönemin geçirilmesidir. Bu 1-2 haftalık mutlak yatak istirahati ile sağlanabilir.  Irritabil kalça döneminden sonra hastaların tedavisinde iki temel tedavi yöntemi vardır: 1-Konservatif tedavi, 2- Cerrahi tedavi.
  • 43.
     Klinikve radyolojikolarak riskli baş bulgusu olmayan Catterall Grup 1 ve 2 (Salter-Thompson A) hastalar tedavi gerektirmezler. Sadece periyodik takiplere çağrılırlar.  Riskli baş bulguları oluştuğu zaman tedavi gerektirirler.
  • 44.
     Riskli baş bulguları olan Catterall Grup 1-2 (Salter-Thompson A) hastalar ile Catterall Grup 3-4 (Salter-Thompson B) hastalar femur başı asetabulumun içinde normal ilişkisini sağlayacak (containment) ve koruyacak tedavi yöntemleri ile tedavi edilirler.  Femur başı asetabulum ilişkisini koruyan ve düzelten üç yöntem vardır: 1- Abduksiyon cihazları, 2- Femoral osteotomi, 3- Innominate osteotomi.
  • 45.
    1- Abduksiyon Cihazları: Yıllardan beri çok çeşitli abduksiyon cihazları kullanılmaktadır. Çocuk bu cihazlarla yürüyebilmekte, okuluna gidebilmektedir. Ancak iki taraflı olanlarda yürüme biraz zorluk yaratmaktadır. Uzun sürmesi hastanın şikayetine neden olmaktadır.  Ortalama 6-14 ay kullanılmaktadır. Bugün bu cihazlar ile tedavideki sonuçlar tartışmalıdır.
  • 48.
    2- Femoral Osteotomi  Grafide sadece abduksiyon ile femur başı asetabulum ilişkisi (conainment) yeterli ve tatminkar oluyor ise femoral varus osteotomisi endikasyonu vardır
  • 49.
    3- Innominate Osteotomi  Asetabular çatının yeniden yönlendirilmesi ile femur başının anterolaterali daha iyi örtülebilir.
  • 52.
    A. Alt ekstremite  Femur başı Legg-Calvé-Perthes  Büyük trokanter Hall  Patella Sinding-Larsen  Tibia proksimal fizisi Blount  Tüberasitas tibia Osgood-Schlatter  Navikula Köhler  Metatars başı Freiberg  5. metatars epifizi Iselin
  • 53.
    Üst ekstremite  Kapitellum Panner  Radius distal epifizi Madelung  Lunatum Kienbock  Skafoid Preiser  Falanks epifizi Thiemann  Vertebra uç plakları scheuermann
  • 54.
    Osgood-Schlatter Hastalığı:  Tüberasitastibianın osteokondrozudur. Hastalığın, tüberositas tibiaya kuadriseps kasıyla gelen tekrarlayıcı kuvvetler sonucu geliştiği düşünülür.  Erkeklerde ve adolesan çağda daha sıktır. Bilateral olabilir. Dizin ön tarafında ağrı olur. Yakınmalar koşma, zıplama, merdiven çıkma ile artar, Dinlenmekle geçer.  Muayenede tüberasitas tibia genişlemiş ve duyarlıdır.
  • 57.
    Köhler Hastalığı:  Naviküler kemiğin osteokondrozudur. Kemik üzerine gelen tekrarlayıcı kompresyon güçlerinin rolü olduğu düşünülür.  Olguların %75’i erkek çocuklarda ve en sık olarak beş yaş çevresinde görülür. Bilateral olabilir.  Naviküler kemik üzerinde ağrı ve duyarlılık ve şişlik olur. Radyolojik olarak naviküler kemikte düzleşme, düzensizlik ve skleroz görülür. Tedavide, ağrılı dönemde alçı yapılabilir, daha sonra tabanlık verilir. Yaklaşık altı ayda hastalık kendiliğinden geçer.
  • 59.
    Freiberg Hastalığı:  Metatarsbaşlarının osteokondrozudur. En çok ikinci metatars başında görülür. Bilateral olabilir. %75 oranında kızlarda ve adolesan çağda görülür.  Hastalık metatarsaljiye neden olur. hareket kısıtlılığı olur.  Radyolojik olarak metatars başında yassılaşma, düzensizlik ve skleroz görülür.  Ağrılı dönemde alçı yapılır daha sonra ayakkabının içine metatars yastığı uygulanır.  yakınmalar sürüyorsa, metatars başı rezeke edilebilir.
  • 62.
    Blount hastalığı  Blount tibia vara’yı tibia proksimal medial epifizinin osteokondrozu olarak tarif etmiş  metafizin enkondral ossifikasyonunda bozukluk Neden?: kalıtımsal + gelişimsel Enfeksiyon,Travma,AVN,Riketsin latent formu  Erken yürüme + obesite ile ilişkisi var  Tibiada varus + internal torsiyon + genu rekuvatum
  • 64.
  • 65.
    Keinböck hastalığı  Genellikle yetişkinlerde ve unilateral  El bileğinde ağrı ve hassasiyet r  Travmalar ve tekrarlayan mikrotravmalar Rober Kienböck (1871 -1953) suçlanır.  X-Ray: lunat kemikte yaygın opasite kemikte yassılaşma, fregmantasyon
  • 69.
  • 70.
  • 72.
    HASS’S HASTALIĞI  HUMERUS BAŞININ OSTEONEKROZU  3 MAJOR BESLEYICI ARTER : ARKUAT ARTER POSTERİOR SİRKUMFLEKS DALI ROTATOR KILIF DALLARI
  • 75.
  • 76.
  • 77.