ANEMIA- Classification, C/F,
laboratory diagnosis
Dr. Sunita B. Patil
Department of Pathology
DYPMCK
Divide along diff
cell lineages
RBCs -
• Biconcave disc 7.2µ
• membrane – spectrin – flexibility
• No nucleus
• no centrioles – no cell division
• no mitochondria – energy obtained anerobically
90% protein in RBC is Hb – affinity to O₂
ANEMIA
• Anaemia is defined as a haemoglobin
concentration in blood below the lower
limit of the normal range for the age and sex
of the individual.
Anemia
A reduction in Hb Con & RBC count bellow the normal
level
Lower limit of Hb for M – 13.0 gm%
F - 11.5 gm%
child– 9.5 gm%
new born – 15 gm%
Hematocrit (<40% in M,<36% in F)
• haemoglobin value is the major parameter
for determining anaemia,
• the red cell counts, haematocrit (PCV) and
absolute values (MCV, MCH and MCHC)
provide alternate means of assessing
anaemia.
Body will try to compensate ANAEMIA by
Red cell mass - Erythropoietin – KIDNEY
erythroid hyperplasia
reticulocytes , normoblasts on PS
Expansion of marrow cavity
bone pain even bone deformity
Blood flow- cardiac output- heart rate & pulse
viscosity of blood - murmurs
By decreasing Hb affinity to O2 – BY 2-3 DPG
2 -3 diphosphoglycerate(DPG)
- metabolite in EMP
it forms bond between two beta chains by
replacing O2 2-3DPG - 02 affinity of Hb
(Tense Hb or deoxyHb)
more O2 is released at tissue level
2-3 DPG - 02 affinity of Hb (Relax Hb oxy Hb )
Pathophysiology of Anaemia
• Subnormal level of haemoglobin causes
lowered oxygen carrying capacity of the blood.
• This, in turn, initiates compensatory
physiologic adaptations such as follows:
increased release of oxygen from
haemoglobin;
increased blood flow to the tissues;
maintenance of the blood volume; and
redistribution of blood flow to maintain the
cerebral blood supply
Hb concentration
02 carrying capacity of blood
-Tissue hypoxia , anoxia – Normal functioning is affected
-The degree of functional impairment of individual
tissues is variable depending upon their oxygen
requirements.
-Tissues with high oxygen requirement such as the
heart, CNS and the skeletal muscle during exercise,
bear the brunt of clinical effects of anaemia.
S/S of anemia are according to the system involved
Clinical Features of Anaemia
• The haemoglobin level at which symptoms and
signs of anaemia develop depends upon 4 main
factors:
1. The speed of onset of anaemia:
Rapidly progressive anaemia causes more
symptoms than anaemia of slow-onset as there is
less time for physiologic adaptation.
2. The severity of anaemia:
Mild anaemia produces no symptoms or signs
but a rapidly developing severe anaemia
(haemoglobin below 6.0 g/dl) may produce
significant clinical features.
3. The age of the patient:
• The young patients due to good cardiovascular
compensation tolerate anaemia quite well as
compared to the elderly.
• The elderly patients develop cardiac and
cerebral symptoms more prominently due to
associated cardiovascular disease.
4. The haemoglobin dissociation curve:
In anaemia, the affinity of haemoglobin for oxygen is
depressed as 2,3-BPG in the red cells increases. As a
result, oxyhaemoglobin is dissociated more readily
release free oxygen for cellular use, causing a shift of
the oxyhaemoglobin dissociation curve to the right.
A
N – Sigmoid curve
Hypoxia – shift to R
shift to L –
Abnormal Hb
Hb F
MethaeHb/carboxy
SYMPTOMS.
• In symptomatic cases of anaemia, the presenting
features are:
• tiredness, easy fatiguability, generalised muscular
weakness, lethargy and headache.
• In older patients, there may be symptoms of
cardiac failure, angina pectoris, intermittent
claudication, confusion and visual disturbances.
SIGNS
1. Pallor.
Pallor is the most common and characteristic sign,
seen in the mucous membranes, conjunctivae and skin.
2. Cardiovascular system.
A hyperdynamic circulation may be present with tachycardia,
collapsing pulse, cardiomegaly, midsystolic flow murmur,
dyspnoea on exertion, and in the case of elderly, congestive
heart failure.
3. Central nervous system.
The older patients may develop attacks of faintness,
giddiness, headache, tinnitus, drowsiness, numbness and
tingling sensations of the hands and feet.
4. Ocular manifestations.
Retinal haemorrhages may occur if there is associated
vascular disease or diathesis.
5. Reproductive system.
Menstrual disturbances such as amenorrhoea and
menorrhagia and loss of libido
6. Renal system.
Mild proteinuria and impaired concentrating
capacity of the kidney may occur in severe anaemia.
7. Gastrointestinal system.
Anorexia, flatulence, nausea, constipation and weight
loss may occur.
How to investigate a case of Anemia
1) Detail Medical History
2 ) Physical examination
3) Laboratory Investigations
Detail medical History – to find underlying cause
•Onset - Acute or Insidious
• Family History – Hemorrhagic & coagulation
disorders, Hemoglobinopathies, Recurrent jaundice
•Occupation – Exposed to chemicals solvent , drugs
•Native place - geographical distribution
schistosomiasis, kala azar
Dietary history
Shoud be specific, meal by meal
Vegeterian /nonveg
Economical status – malnutrition
regarding dietary fads, cooking habits (folic acid & vit c
destroys with excess cooking )
Recent loss weight / poor dentures
• fever – infections, lymphoma, collagen
vascular diseases
• cough/ hemoptysis – lung neoplasms,
infections
• Pain in limbs, paraesthesia – Pernicious anemia
• H/O abdominal pain – ulcers, gastritis
•H/O passing worms in stool
Changes in bowel habbit– colonic neoplasms
Suspect upper GI bleed – if H/o Malena, Hematemesis
lower GI bleed - fresh rectal bleeding
Aspirin, NSAIDs, steroids – Peptic ulcer
Alcohol abuse – cirrhosis – oesophageal varices
•H/O recent surgery with blood loss.
• Any complications during the operation
H/O taking antibiotics - can reduce platelets
M/H – Menorrhagia - bleeding > 7day
no of pads used/cycle >12
passage of clots after 1st day
Obs/H – No of pregnancies, No of Abortions
physical examination
• pallor on mucous membrane, conjunctiva, yellow
( Icterus ) – Hemolytic Anemia
• nails – brittleness & concave in IDA
• Tongue- thick, red, beefy - Megaloblastic anemia
Burning sensation with atropic glossitis - IDA
HS megaly, LN pathy , bony tenderness – Leukemias
Suspect bleeding disorders when patechiae, bruises,
ecchymosis
Early greying of hair , angular stomatitis - IDA
physical examination -
pallor on conjunctival rim – most common
Nail – koilonychia Tongue – atropic glossitis
LAB Investigations –
complete blood counts (CBC) with reticulocyte count is
the basic test.
CBC
Hb
RBC count,
PCV (HCT)
RBC Indices (MCV, MCH, MCHC)
RDW
Platelet count
Hb - Men : 15.5±2.5 gm/dl
women : 14±2.5 gm/dl
RBC count –: men – 5.5±1 × 1012 /l
: women – 4.8± 1× 1012 /l
PCV (HCT) – Volume of erythrocytes/l of blood
N : 40-54 %.
From these values series of Indices derived
MCV – PCV/RBC – 77-93 femtolitre
MCH – HB/RBC – 27-32 pg
MCHC – HB/PCV – 30 -35gm%
RDW - 12 -15 %
A. HAEMOGLOBIN ESTIMATION
• most reliable and accurate is the
cyanmethaemoglobin (HiCN) method
employing Drabkin’s solution and a
spectrophotometer.
• If the haemoglobin value is below the lower
limit of the normal range for particular age
and sex, the patient is said to be anaemic.
• In pregnancy, there is haemodilution and,
therefore, the lower limit in normal
pregnant women is less (10.5 g/dl) than in
the non-pregnant state.
B. PERIPHERALBLOOD FILM EXAMINATION
The Hb estimation is invariably followed by
examination of a peripheral blood film for
morphologic features after staining it with the
Romanowsky dyes (e.g. Leishman’s stain, May-
Grünwald-Giemsa’s stain, Jenner- Giemsa’s stain,
Wright’s stain etc).
The following abnormalities in red blood cells
are looked for in a blood smear:
1. Variation in size (Anisocytosis).
2. Variation in shape (Poikilocytosis).
3. Inadequate haemoglobin formation
(Hypochromasia).
4. Compensatory erythropoiesis.
1. Variation in size (Anisocytosis).
• Microcytes
• Macrocytes
• Dimorphic
Microcytic hypochromic, Anisopoikilocytosis
Macrocytic RBCs – ovalocytes +
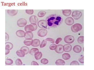
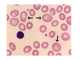
2. Variation in shape (Poikilocytosis).
See for abnormal forms of RBCs-
spherocytes / elliptocytes /stomatocytes– AHA
Scistocytes – HA ( MAHA )
sickle cells – Sickle cell Anaemia
Target cells – Thalasemia
Bur cells (Echinocytes – crenated RBC )
- uraemia .
Acanthocytes – Liver Diseases
Spherocytes – RBCs small, with no central pallor, & reticulocyte
hereditary spherocytosis, autoimmune haemolytic
anaemia and in ABO haemolytic disease of the newborn.
Elliptocytosis
stomatocytes
hereditary stomatocytosis, chronic alcoholism.
Target cells
Tear drop cells (Dacrocyte)
Schistocytes – irregular helmet shaped - MAHA
thalassaemia, hereditary elliptocytosis, megaloblastic anaemia, IDA,
microangiopathic haemolytic anaemia and in severe burns.
Sickle cells
Echinocytes – Crenated RBCs
Acanthocytes ( spur cells ) – severe liver D
splenectomised subjects, chronic liver disease.
3. Inadequate haemoglobin formation
(Hypochromasia).
• Increased central pallor is referred to as
hypochromasia.
• It may develop either from lowered haemoglobin
content (e.g. in iron deficiency anaemia, chronic
infections), or due to thinness of the red cells (e.g. in
thalassaemia, sideroblastic anaemia).
• Unusually deep pink staining of the red cells due to
increased haemoglobin concentration is termed
hyperchromasia and may be found in megaloblastic
anaemia, spherocytosis and in neonatal blood.
4. Compensatory erythropoiesis
i) Polychromasia
• is defined as the red cells having more than one type
of colour.
• Polychromatic red cells are slightly larger, generally
stained bluish-grey and represent reticulocytes
• thus, correlate well with reticulocyte count.
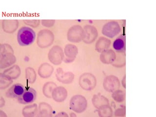
ii) Erythroblastaemia
• is the presence of nucleated red cells in the PBS.
• haemolytic disease of the newborn, other
haemolytic disorders and in extramedullary
erythropoiesis, severe anaemias except in aplastic
anaemia, splenectomy.
Polychromatic RBCs – Compensatory HA
Normoblasts
iii) Punctate basophilia or basophilic stippling
• is diffuse and uniform basophilic granularity in
the cell which does not stain positively with
Perls’ reaction
• Classical punctate basophilia is seen in aplastic
anaemia, thalassaemia, myelodysplasia,
infections and lead poisoning.
iv) Howell-Jolly bodies
• are purple nuclear remnants, usually found
singly, and are larger than basophilic stippling.
• They are present in megaloblastic anaemia and
after splenectomy.
RED CELL INDICES
• An alternative method to diagnose and detect the
severity of anaemia is by measuring the red cell
indices:
• In iron deficiency and thalassaemia, MCV, MCH and
MCHC are reduced.
• In anaemia due to acute blood loss and haemolytic
anaemias, MCV, MCH and MCHC are all within
normal limits.
• In megaloblastic anaemias, MCV is raised above the
normal range.
LEUCOCYTE AND PLATELET COUNT
• Measurement of leucocyte and platelet count
helps to distinguish pure anaemia from
pancytopenia in which red cells, granulocytes
and platelets are all reduced.
• In anaemias due to haemolysis or
haemorrhage, the neutrophil count and
platelet counts are often elevated.
• In infections and leukaemias, the leucocyte
counts are high and immature leucocytes
appear in the blood.
• RETICULOCYTE COUNT.
• Reticulocyte count (normal 0.5-2.5%) is done in each case
of anaemia to assess the marrow
• Haematology and Lymphoreticular Tissues erythropoietic
activity.
• In acute haemorrhage and in haemolysis, the reticulocyte
response is indicative of impaired marrow function.
• ERYTHROCYTE SEDIMENTATION RATE.
• The ESR is a non-specific test used as a screening test for
anaemia.
• It usually gives a clue to the underlying organic disease but
anaemia itself may also cause rise in the ESR.
• BONE MARROW EXAMINATION.
• Bone marrow aspiration is done in cases where the cause
for anaemia is not obvious.
Other investigations
Urine examination
Biochemistry Investigations - RFT /LFT
Stool Examination
Ultrasonography
Barium meal study
Cystoscopy / Endoscopy
Microcytic hypochromic (MCV<81)
iron deficiency, thalassemia, sideroblastic anemia, anemia of
chronic disease, lead poisoning
Normocytic normochromic (MCV 81-98)
anemia of chronic disease, aplastic anemia, acute blood loss.
bone marrow infiltration, kidney disease, liver diseases
Macrocytic normochromic(MCV >98):
alcohol, B12 deficiency, folate deficiency, myelodysplasia
Morphological classification of anaemia
Complete blood count with RBC Indices
MCV < 80 MCV 80 -100 MCV > 100
Microcytic A Normocytic A Macrocytic A
IDA Haemorrhage Megaloblastic
Thalassemia Hemolytic A Non megaloblastic
Sideroblastic A Aplastic A Alcohol abuse
Chronic diseases Leukemia Liver diseases, MDS
Lead poisoning
S Iron TIBC Retic count Macrocytes ++
Tra sat IDA RDW HA, Haemorrhage Hyperseg N ++
Ferritin aplastic A Leukemia Vit B12
Folic A assay
TIBC , CD Ferritin
Thalassemia
RDW - N
Hb A2 Hb F
Sid A -TSL, Ferritin
Iron stain
Lead pois -
Pathophysiological classification of Anaemia
A) Anaemia due to blood loss
B) Anaemia due to impaired RBC production
C) Anaemia due to increased RBC destruction
I. Anaemia due to blood loss.
A. Acute post-haemorrhagic anaemia
B. Anaemia of chronic blood loss
II. Anaemias due to impaired red cell production
a) Cytoplasmic maturation defects
1. Deficient haem synthesis: Iron deficiency anaemia
2. Deficient globin synthesis: Thalassaemic syndromes
b) Nuclear maturation defects
Vitamin B12 and/or folic acid deficiency:
Megaloblastic anaemia
c) Defect in stem cell proliferation and differentiation
1. Aplastic anaemia
2. Pure red cell aplasia
d) Anaemia of chronic disorders
e) Bone marrow infiltration
f) Congenital anaemia
A. Cytoplasmic maturation defects
B. Nuclear maturation defects
Vitamin B12 and/or folic acid deficiency:
C. Haematopoietic stem cell proliferation and differentiation
abnormality e.g. 1. Aplastic anaemia 2. Pure red cell aplasia
D. Bone marrow failure due to systemic diseases (anaemia of chronic
disorders) e.g.
1. Anaemia of inflammation/infections, disseminated malignancy
2. Anaemia in renal disease
3. Anaemia due to endocrine and nutritional deficiencies
(hypometabolic states)
4. Anaemia in liver disease
E. Bone marrow infiltration e.g.
1. Leukaemias 2. Lymphomas 3. Myelosclerosis 4. Multiple myeloma
F. Congenital anaemia e.g.
1. Sideroblastic anaemia 2. Congenital dyserythropoietic anaemia.
III. Anaemias due to increased red cell destruction
(Haemolytic anaemias)
A. Extrinsic (extracorpuscular) red cell abnormalities
B. Intrinsic (intracorpuscular) red cell abnormalities
Thank
you

Anemia classification, cf, lab diagnosis

  • 1.
    ANEMIA- Classification, C/F, laboratorydiagnosis Dr. Sunita B. Patil Department of Pathology DYPMCK
  • 2.
  • 3.
    RBCs - • Biconcavedisc 7.2µ • membrane – spectrin – flexibility • No nucleus • no centrioles – no cell division • no mitochondria – energy obtained anerobically 90% protein in RBC is Hb – affinity to O₂
  • 4.
    ANEMIA • Anaemia isdefined as a haemoglobin concentration in blood below the lower limit of the normal range for the age and sex of the individual.
  • 5.
    Anemia A reduction inHb Con & RBC count bellow the normal level Lower limit of Hb for M – 13.0 gm% F - 11.5 gm% child– 9.5 gm% new born – 15 gm% Hematocrit (<40% in M,<36% in F)
  • 6.
    • haemoglobin valueis the major parameter for determining anaemia, • the red cell counts, haematocrit (PCV) and absolute values (MCV, MCH and MCHC) provide alternate means of assessing anaemia.
  • 7.
    Body will tryto compensate ANAEMIA by Red cell mass - Erythropoietin – KIDNEY erythroid hyperplasia reticulocytes , normoblasts on PS Expansion of marrow cavity bone pain even bone deformity Blood flow- cardiac output- heart rate & pulse viscosity of blood - murmurs By decreasing Hb affinity to O2 – BY 2-3 DPG
  • 8.
    2 -3 diphosphoglycerate(DPG) -metabolite in EMP it forms bond between two beta chains by replacing O2 2-3DPG - 02 affinity of Hb (Tense Hb or deoxyHb) more O2 is released at tissue level 2-3 DPG - 02 affinity of Hb (Relax Hb oxy Hb )
  • 10.
    Pathophysiology of Anaemia •Subnormal level of haemoglobin causes lowered oxygen carrying capacity of the blood. • This, in turn, initiates compensatory physiologic adaptations such as follows: increased release of oxygen from haemoglobin; increased blood flow to the tissues; maintenance of the blood volume; and redistribution of blood flow to maintain the cerebral blood supply
  • 11.
    Hb concentration 02 carryingcapacity of blood -Tissue hypoxia , anoxia – Normal functioning is affected -The degree of functional impairment of individual tissues is variable depending upon their oxygen requirements. -Tissues with high oxygen requirement such as the heart, CNS and the skeletal muscle during exercise, bear the brunt of clinical effects of anaemia. S/S of anemia are according to the system involved
  • 12.
    Clinical Features ofAnaemia • The haemoglobin level at which symptoms and signs of anaemia develop depends upon 4 main factors: 1. The speed of onset of anaemia: Rapidly progressive anaemia causes more symptoms than anaemia of slow-onset as there is less time for physiologic adaptation.
  • 13.
    2. The severityof anaemia: Mild anaemia produces no symptoms or signs but a rapidly developing severe anaemia (haemoglobin below 6.0 g/dl) may produce significant clinical features.
  • 14.
    3. The ageof the patient: • The young patients due to good cardiovascular compensation tolerate anaemia quite well as compared to the elderly. • The elderly patients develop cardiac and cerebral symptoms more prominently due to associated cardiovascular disease.
  • 15.
    4. The haemoglobindissociation curve: In anaemia, the affinity of haemoglobin for oxygen is depressed as 2,3-BPG in the red cells increases. As a result, oxyhaemoglobin is dissociated more readily release free oxygen for cellular use, causing a shift of the oxyhaemoglobin dissociation curve to the right.
  • 16.
    A N – Sigmoidcurve Hypoxia – shift to R shift to L – Abnormal Hb Hb F MethaeHb/carboxy
  • 17.
    SYMPTOMS. • In symptomaticcases of anaemia, the presenting features are: • tiredness, easy fatiguability, generalised muscular weakness, lethargy and headache. • In older patients, there may be symptoms of cardiac failure, angina pectoris, intermittent claudication, confusion and visual disturbances.
  • 18.
    SIGNS 1. Pallor. Pallor isthe most common and characteristic sign, seen in the mucous membranes, conjunctivae and skin. 2. Cardiovascular system. A hyperdynamic circulation may be present with tachycardia, collapsing pulse, cardiomegaly, midsystolic flow murmur, dyspnoea on exertion, and in the case of elderly, congestive heart failure. 3. Central nervous system. The older patients may develop attacks of faintness, giddiness, headache, tinnitus, drowsiness, numbness and tingling sensations of the hands and feet.
  • 19.
    4. Ocular manifestations. Retinalhaemorrhages may occur if there is associated vascular disease or diathesis. 5. Reproductive system. Menstrual disturbances such as amenorrhoea and menorrhagia and loss of libido 6. Renal system. Mild proteinuria and impaired concentrating capacity of the kidney may occur in severe anaemia. 7. Gastrointestinal system. Anorexia, flatulence, nausea, constipation and weight loss may occur.
  • 21.
    How to investigatea case of Anemia 1) Detail Medical History 2 ) Physical examination 3) Laboratory Investigations
  • 22.
    Detail medical History– to find underlying cause •Onset - Acute or Insidious • Family History – Hemorrhagic & coagulation disorders, Hemoglobinopathies, Recurrent jaundice •Occupation – Exposed to chemicals solvent , drugs •Native place - geographical distribution schistosomiasis, kala azar
  • 23.
    Dietary history Shoud bespecific, meal by meal Vegeterian /nonveg Economical status – malnutrition regarding dietary fads, cooking habits (folic acid & vit c destroys with excess cooking ) Recent loss weight / poor dentures
  • 24.
    • fever –infections, lymphoma, collagen vascular diseases • cough/ hemoptysis – lung neoplasms, infections • Pain in limbs, paraesthesia – Pernicious anemia • H/O abdominal pain – ulcers, gastritis •H/O passing worms in stool
  • 25.
    Changes in bowelhabbit– colonic neoplasms Suspect upper GI bleed – if H/o Malena, Hematemesis lower GI bleed - fresh rectal bleeding Aspirin, NSAIDs, steroids – Peptic ulcer Alcohol abuse – cirrhosis – oesophageal varices •H/O recent surgery with blood loss. • Any complications during the operation
  • 26.
    H/O taking antibiotics- can reduce platelets M/H – Menorrhagia - bleeding > 7day no of pads used/cycle >12 passage of clots after 1st day Obs/H – No of pregnancies, No of Abortions
  • 27.
    physical examination • palloron mucous membrane, conjunctiva, yellow ( Icterus ) – Hemolytic Anemia • nails – brittleness & concave in IDA • Tongue- thick, red, beefy - Megaloblastic anemia Burning sensation with atropic glossitis - IDA HS megaly, LN pathy , bony tenderness – Leukemias Suspect bleeding disorders when patechiae, bruises, ecchymosis Early greying of hair , angular stomatitis - IDA
  • 28.
    physical examination - palloron conjunctival rim – most common
  • 29.
    Nail – koilonychiaTongue – atropic glossitis
  • 30.
    LAB Investigations – completeblood counts (CBC) with reticulocyte count is the basic test. CBC Hb RBC count, PCV (HCT) RBC Indices (MCV, MCH, MCHC) RDW Platelet count
  • 31.
    Hb - Men: 15.5±2.5 gm/dl women : 14±2.5 gm/dl RBC count –: men – 5.5±1 × 1012 /l : women – 4.8± 1× 1012 /l PCV (HCT) – Volume of erythrocytes/l of blood N : 40-54 %. From these values series of Indices derived MCV – PCV/RBC – 77-93 femtolitre MCH – HB/RBC – 27-32 pg MCHC – HB/PCV – 30 -35gm% RDW - 12 -15 %
  • 32.
    A. HAEMOGLOBIN ESTIMATION •most reliable and accurate is the cyanmethaemoglobin (HiCN) method employing Drabkin’s solution and a spectrophotometer. • If the haemoglobin value is below the lower limit of the normal range for particular age and sex, the patient is said to be anaemic. • In pregnancy, there is haemodilution and, therefore, the lower limit in normal pregnant women is less (10.5 g/dl) than in the non-pregnant state.
  • 33.
    B. PERIPHERALBLOOD FILMEXAMINATION The Hb estimation is invariably followed by examination of a peripheral blood film for morphologic features after staining it with the Romanowsky dyes (e.g. Leishman’s stain, May- Grünwald-Giemsa’s stain, Jenner- Giemsa’s stain, Wright’s stain etc).
  • 34.
    The following abnormalitiesin red blood cells are looked for in a blood smear: 1. Variation in size (Anisocytosis). 2. Variation in shape (Poikilocytosis). 3. Inadequate haemoglobin formation (Hypochromasia). 4. Compensatory erythropoiesis.
  • 35.
    1. Variation insize (Anisocytosis). • Microcytes • Macrocytes • Dimorphic
  • 36.
  • 38.
    Macrocytic RBCs –ovalocytes +
  • 39.
    2. Variation inshape (Poikilocytosis).
  • 40.
    See for abnormalforms of RBCs- spherocytes / elliptocytes /stomatocytes– AHA Scistocytes – HA ( MAHA ) sickle cells – Sickle cell Anaemia Target cells – Thalasemia Bur cells (Echinocytes – crenated RBC ) - uraemia . Acanthocytes – Liver Diseases
  • 41.
    Spherocytes – RBCssmall, with no central pallor, & reticulocyte hereditary spherocytosis, autoimmune haemolytic anaemia and in ABO haemolytic disease of the newborn.
  • 42.
  • 43.
  • 44.
  • 45.
    Tear drop cells(Dacrocyte)
  • 46.
    Schistocytes – irregularhelmet shaped - MAHA thalassaemia, hereditary elliptocytosis, megaloblastic anaemia, IDA, microangiopathic haemolytic anaemia and in severe burns.
  • 48.
  • 49.
  • 50.
    Acanthocytes ( spurcells ) – severe liver D splenectomised subjects, chronic liver disease.
  • 52.
    3. Inadequate haemoglobinformation (Hypochromasia). • Increased central pallor is referred to as hypochromasia. • It may develop either from lowered haemoglobin content (e.g. in iron deficiency anaemia, chronic infections), or due to thinness of the red cells (e.g. in thalassaemia, sideroblastic anaemia). • Unusually deep pink staining of the red cells due to increased haemoglobin concentration is termed hyperchromasia and may be found in megaloblastic anaemia, spherocytosis and in neonatal blood.
  • 54.
    4. Compensatory erythropoiesis i)Polychromasia • is defined as the red cells having more than one type of colour. • Polychromatic red cells are slightly larger, generally stained bluish-grey and represent reticulocytes • thus, correlate well with reticulocyte count. ii) Erythroblastaemia • is the presence of nucleated red cells in the PBS. • haemolytic disease of the newborn, other haemolytic disorders and in extramedullary erythropoiesis, severe anaemias except in aplastic anaemia, splenectomy.
  • 55.
    Polychromatic RBCs –Compensatory HA
  • 56.
  • 57.
    iii) Punctate basophiliaor basophilic stippling • is diffuse and uniform basophilic granularity in the cell which does not stain positively with Perls’ reaction • Classical punctate basophilia is seen in aplastic anaemia, thalassaemia, myelodysplasia, infections and lead poisoning. iv) Howell-Jolly bodies • are purple nuclear remnants, usually found singly, and are larger than basophilic stippling. • They are present in megaloblastic anaemia and after splenectomy.
  • 58.
    RED CELL INDICES •An alternative method to diagnose and detect the severity of anaemia is by measuring the red cell indices: • In iron deficiency and thalassaemia, MCV, MCH and MCHC are reduced. • In anaemia due to acute blood loss and haemolytic anaemias, MCV, MCH and MCHC are all within normal limits. • In megaloblastic anaemias, MCV is raised above the normal range.
  • 59.
    LEUCOCYTE AND PLATELETCOUNT • Measurement of leucocyte and platelet count helps to distinguish pure anaemia from pancytopenia in which red cells, granulocytes and platelets are all reduced. • In anaemias due to haemolysis or haemorrhage, the neutrophil count and platelet counts are often elevated. • In infections and leukaemias, the leucocyte counts are high and immature leucocytes appear in the blood.
  • 60.
    • RETICULOCYTE COUNT. •Reticulocyte count (normal 0.5-2.5%) is done in each case of anaemia to assess the marrow • Haematology and Lymphoreticular Tissues erythropoietic activity. • In acute haemorrhage and in haemolysis, the reticulocyte response is indicative of impaired marrow function. • ERYTHROCYTE SEDIMENTATION RATE. • The ESR is a non-specific test used as a screening test for anaemia. • It usually gives a clue to the underlying organic disease but anaemia itself may also cause rise in the ESR. • BONE MARROW EXAMINATION. • Bone marrow aspiration is done in cases where the cause for anaemia is not obvious.
  • 61.
    Other investigations Urine examination BiochemistryInvestigations - RFT /LFT Stool Examination Ultrasonography Barium meal study Cystoscopy / Endoscopy
  • 62.
    Microcytic hypochromic (MCV<81) irondeficiency, thalassemia, sideroblastic anemia, anemia of chronic disease, lead poisoning Normocytic normochromic (MCV 81-98) anemia of chronic disease, aplastic anemia, acute blood loss. bone marrow infiltration, kidney disease, liver diseases Macrocytic normochromic(MCV >98): alcohol, B12 deficiency, folate deficiency, myelodysplasia Morphological classification of anaemia
  • 63.
    Complete blood countwith RBC Indices MCV < 80 MCV 80 -100 MCV > 100 Microcytic A Normocytic A Macrocytic A IDA Haemorrhage Megaloblastic Thalassemia Hemolytic A Non megaloblastic Sideroblastic A Aplastic A Alcohol abuse Chronic diseases Leukemia Liver diseases, MDS Lead poisoning S Iron TIBC Retic count Macrocytes ++ Tra sat IDA RDW HA, Haemorrhage Hyperseg N ++ Ferritin aplastic A Leukemia Vit B12 Folic A assay TIBC , CD Ferritin Thalassemia RDW - N Hb A2 Hb F Sid A -TSL, Ferritin Iron stain Lead pois -
  • 64.
    Pathophysiological classification ofAnaemia A) Anaemia due to blood loss B) Anaemia due to impaired RBC production C) Anaemia due to increased RBC destruction
  • 65.
    I. Anaemia dueto blood loss. A. Acute post-haemorrhagic anaemia B. Anaemia of chronic blood loss
  • 66.
    II. Anaemias dueto impaired red cell production a) Cytoplasmic maturation defects 1. Deficient haem synthesis: Iron deficiency anaemia 2. Deficient globin synthesis: Thalassaemic syndromes b) Nuclear maturation defects Vitamin B12 and/or folic acid deficiency: Megaloblastic anaemia c) Defect in stem cell proliferation and differentiation 1. Aplastic anaemia 2. Pure red cell aplasia d) Anaemia of chronic disorders e) Bone marrow infiltration f) Congenital anaemia
  • 67.
    A. Cytoplasmic maturationdefects B. Nuclear maturation defects Vitamin B12 and/or folic acid deficiency: C. Haematopoietic stem cell proliferation and differentiation abnormality e.g. 1. Aplastic anaemia 2. Pure red cell aplasia D. Bone marrow failure due to systemic diseases (anaemia of chronic disorders) e.g. 1. Anaemia of inflammation/infections, disseminated malignancy 2. Anaemia in renal disease 3. Anaemia due to endocrine and nutritional deficiencies (hypometabolic states) 4. Anaemia in liver disease E. Bone marrow infiltration e.g. 1. Leukaemias 2. Lymphomas 3. Myelosclerosis 4. Multiple myeloma F. Congenital anaemia e.g. 1. Sideroblastic anaemia 2. Congenital dyserythropoietic anaemia.
  • 68.
    III. Anaemias dueto increased red cell destruction (Haemolytic anaemias) A. Extrinsic (extracorpuscular) red cell abnormalities B. Intrinsic (intracorpuscular) red cell abnormalities
  • 71.