Anaemia(IDA) in children
Dr.K.V.Giridhar
Associate Prof. of Pediatrics
GMC. Ananthapuramu, A.P.,
India.
• It is greek word
• “Ana” = absent/ decresed
• „emia‟ = blood
Definition
• Reduction of Hb con. Or Hematocrit
below the level of normal for that Age &
Sex.
• Aprox. normal level of Hb in child hood –
11gm/dl
• Physiological anaemia of infancy.
WHO's Hb thresholds used to
define anemia
Age or gender group Hb threshold (g/dl) Hb threshold (mmol/l)
Children (0.5–5.0 yrs) 11.0 6.8
Children (5–12 yrs) 11.5 7.1
Teens (12–15 yrs) 12.0 7.4
Women, non-
pregnant (>15yrs)
12.0 7.4
Women, pregnant 11.0 6.8
Men (>15yrs) 13.0 8.1
classification of Anaemia
Anemia
Etiological
Morphologi
cal
Patho
physiological
severity
Etiological classification of
Anaemia
Anaemia
Decreased
production
IDA
Bone marrow
suppression
Increased
loss
Haemorrhage
Increased
destruction
17 March 2014 6
Clinical
importance
A) Aetiological classification:
(Classification according to cause)
1. Anemia due to blood loss:
a. Acute post hemorrhagic: It occurs due
to any accident, which cause large amount of
blood loss. Anemia is normocytic normochromic
anemia
b. Chronic post hemorrhagic: When small
amount of blood is lost continuously from our
body.E.g. in Hookworm infestation, chronic
duodenal ulcer, bleed piles
Anemia is initially normochromic normocytic
but later changes to Hypochromic microcytic
anemia.
7
17 March 2014 7
2.Anemia due to impaired red cell formation:
a. due to disturbance of bone marrow function due
to deficiency of factors necessary for erythropoiesis
I.Iron deficiency anemia
II.Megaloblastic anemia
b.due to disturbance of bone marrow function not
due to deficiency of factor required for erythropoiesis
1.Anemia associated with chronic infection like renal
failure, liver disease, disseminated malignancy
2. Bone marrow infiltration
3. Aplastic anemia
4. Anemia associated with myxedema,Hypopituitarism
8
17 March 2014 8
3.Anemia caused by excessive red cell
destruction: (Hemolytic anemias)
i.Intracorpuscular causes
- production of Hb (Thalassemia)
- abnormal production of Hb
(hemoglobinopathies) – sickle cell
anemia.
ii. extracorpuscular causes
mechanical, antibodies X RBCs etc.
Morphological classification
Size&color of RBCs
Normocytic
normochromic
Microcytic
hypochromic
Macrocytic
anemia
Laboratory
importance
B Morphological classification:
Based on characteristics of red cell as determined by
blood examination (MCV, MCH, MCHC)
1. Normocytic normochromic anemia:
Here MCV, MCH, MCHC are normal.
E.g. aplastic anemia, acute post hemorrhagic anemia.
2. Microcytic hypochromic anemia:
MCV: Decreased
MCHC: Decreased
MCH: Decreased
E.g. iron deficiency anemia
3. Macrocytic anemia:
MCV: Raised.
E.g. megaloblastic anemia 11
17 March 2014 11
Patho-Physiological
Increased
demand
Decreased
production
Increased
loss
• C. Patho physiological
classification(how anaemia
occurs)
• i. Increased demand. eg. infancy and
childhood. Reproductive age and
pregnacy in female.
• iii. Decrease production.
• iii. Increased loss
Severity
WHO
Moderate
7-10.9 g/dl
Severe
4-6.9 g/dl
Very severe
<4 g/dl
-The primary function is oxygen transport.
-Average total body iron content 3.5-4 g.
-Approximately 2/3 found in hemoglobin,
-Iron is also stored in RE cells (BM, Spleen and
liver) as hemosiderin and ferratin.
-Also iron found in myglobin and
myeloperoxidase and in certain electron
transfer.
-Iron is more stable in ferric state (Fe+++) than
in ferrous state (Fe++).
Normal iron metabolism:
Distribution of iron in body
1. 65% in the form of Hb
2. 4% in the form of myoglobin in muscle
3. 1% in various heme compounds that
promote intracellular oxidation (cytochrome,
catalase, and peroxidase)
4. 0.1% in combination form with protein
transferrin in blood plasma
5. 30% is stored mainly in R.E. system and
liver cell as ferritin 16
17 March 2014 16
Forms of iron
A) Hemoglobin iron
B) Plasma (transport) iron: Those bound with
transferrin
C) Tissue iron:
a. Available iron: In the form of ferritin and
hemosiderin
b. Non-available iron:In the form ofmyoglobin.
In enzymes of cellular respiration
Iron present as a constituent of cell
17
17 March 2014 17
Sources of iron: Meat, liver, egg
yolk, peas, beans, lentils & green leafy vegetables.
Daily requirement(RDA):
Male: 0.5-1 mg
Female during reproductive life : 1.5-2 mg
Pregnant women: 1.5-2.5 mg
Children : 0.5 mg/day
Daily dietary requirement:
Male: 5-10 mg
Female: 15-20 mg
Children : 5-10 mg
Pregnant women = 20-30 mg
Only 10% of dietary iron is absorbed from gut, so
dietary requirement is greater than body requirement18
17 March 2014 18
Daily loss
Male: 0.5-1 mg
Menstruating female: 1.5-2 mg
Absorption of iron: Iron absorption
occurs mainly in duodenum and proximal jejunum.
Form of absorption: Ferrous (Fe++)
(Iron found in food is in ferric form, so all
ferric iron must be converted to ferrous iron for
absorption in GIT)
Mechanism of absorption:
Active transport (pinocytosis)
19
17 March 2014 19
clinical features of IDA
Symptoms
• Easy fatigability
• SOB
• Lethargy
• Drowsy
• Dizziness
• Head ache
• De. Alertness
• Palpitation
• Pica
Signs
• Pallor
• Angular cheilosis
• Beefy tongue
• Koilonychia
• Tachycardia
• RD
• CCF
• Pharyngeal webs
Pallor
Koilonychia
Angular chelosis& tongue changes
Laboratory diagnosis:
•Red cell indices:
Low Hb conc.
MCV, MCH, MCHC*
•Blood film:
Hypochromic microcytic Picture.
Occasional Target cells.
Pencil shaped poikilocytes.
Normal reticulocyte count.
•Bone marrow iron:
Normal to hypercellular.
RBC precursors are increased in number.
Iron stain negative.
•Chemical testing on serum:
Serum iron : Decreased
Transferrin/TIBC : Normal to High
Serum ferritin : Decreased (Very low)
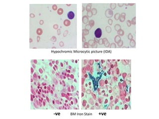
Hypochromic Microcytic picture (IDA)
-ve BM Iron Stain +ve
Labo. Approach (work-up)
M: Hb <13.5 Hct <41
F:Hb <12 Hct <36 : Child ; Hb <11
[check MCV]
MCV <80 = microcytic
• Fe deficiency
• thalassemia
• anemia of chronic disease
• sideroblastic anemia
www.freelivedoctor.com
MCV >100 = macrocytic
• megaloblastic anemia
• VitB12 deficiency
• folate deficiency
• alcoholic liver disease
MCV 80-100 = normocytic
[chech reticulocyte count]
www.freelivedoctor.com
low reticulocyte:
- marrow failure - leukemia/metastasis
- aplastic anemia - renal failure
- Myelofibrosis - anemia of chronic disease
high reticulocyte:
- sickle cell anemia - autoimmune hemolytic
anemia
- G6PD deficiency - hereditary spherocytosis
- paroxysmal nocturnal hemoglobiuria
www.freelivedoctor.com
Treatment
Rx of ID anaemia
Supportive
Nutritional
O2, rest
Vit.c, Folate
Therapeutic
Elemental Iron
oral
parenteral
Blood transfusion
PCV
Whole
blood
Complications of IDA
• Feeding problems
• Delay in growth & Developement
• Low IQ
• Decreased scholastic performance
• Rarely CCF *(if untreated death)
Prevention of IDA
• Promotion of exclusive breast feeding
• Provision of iron rich foods (green leafy
veg. Red meat)
• Nutritional anaemia Control programme
in children
• Iron def. Anamia Control programme for
adolescent girls
• Hook worm control programme
(Albendazole)
Thank you

Anaemia in children

  • 1.
    Anaemia(IDA) in children Dr.K.V.Giridhar AssociateProf. of Pediatrics GMC. Ananthapuramu, A.P., India.
  • 2.
    • It isgreek word • “Ana” = absent/ decresed • „emia‟ = blood
  • 3.
    Definition • Reduction ofHb con. Or Hematocrit below the level of normal for that Age & Sex. • Aprox. normal level of Hb in child hood – 11gm/dl • Physiological anaemia of infancy.
  • 4.
    WHO's Hb thresholdsused to define anemia Age or gender group Hb threshold (g/dl) Hb threshold (mmol/l) Children (0.5–5.0 yrs) 11.0 6.8 Children (5–12 yrs) 11.5 7.1 Teens (12–15 yrs) 12.0 7.4 Women, non- pregnant (>15yrs) 12.0 7.4 Women, pregnant 11.0 6.8 Men (>15yrs) 13.0 8.1
  • 5.
  • 6.
    Etiological classification of Anaemia Anaemia Decreased production IDA Bonemarrow suppression Increased loss Haemorrhage Increased destruction 17 March 2014 6 Clinical importance
  • 7.
    A) Aetiological classification: (Classificationaccording to cause) 1. Anemia due to blood loss: a. Acute post hemorrhagic: It occurs due to any accident, which cause large amount of blood loss. Anemia is normocytic normochromic anemia b. Chronic post hemorrhagic: When small amount of blood is lost continuously from our body.E.g. in Hookworm infestation, chronic duodenal ulcer, bleed piles Anemia is initially normochromic normocytic but later changes to Hypochromic microcytic anemia. 7 17 March 2014 7
  • 8.
    2.Anemia due toimpaired red cell formation: a. due to disturbance of bone marrow function due to deficiency of factors necessary for erythropoiesis I.Iron deficiency anemia II.Megaloblastic anemia b.due to disturbance of bone marrow function not due to deficiency of factor required for erythropoiesis 1.Anemia associated with chronic infection like renal failure, liver disease, disseminated malignancy 2. Bone marrow infiltration 3. Aplastic anemia 4. Anemia associated with myxedema,Hypopituitarism 8 17 March 2014 8
  • 9.
    3.Anemia caused byexcessive red cell destruction: (Hemolytic anemias) i.Intracorpuscular causes - production of Hb (Thalassemia) - abnormal production of Hb (hemoglobinopathies) – sickle cell anemia. ii. extracorpuscular causes mechanical, antibodies X RBCs etc.
  • 10.
    Morphological classification Size&color ofRBCs Normocytic normochromic Microcytic hypochromic Macrocytic anemia Laboratory importance
  • 11.
    B Morphological classification: Basedon characteristics of red cell as determined by blood examination (MCV, MCH, MCHC) 1. Normocytic normochromic anemia: Here MCV, MCH, MCHC are normal. E.g. aplastic anemia, acute post hemorrhagic anemia. 2. Microcytic hypochromic anemia: MCV: Decreased MCHC: Decreased MCH: Decreased E.g. iron deficiency anemia 3. Macrocytic anemia: MCV: Raised. E.g. megaloblastic anemia 11 17 March 2014 11
  • 12.
  • 13.
    • C. Pathophysiological classification(how anaemia occurs) • i. Increased demand. eg. infancy and childhood. Reproductive age and pregnacy in female. • iii. Decrease production. • iii. Increased loss
  • 14.
  • 15.
    -The primary functionis oxygen transport. -Average total body iron content 3.5-4 g. -Approximately 2/3 found in hemoglobin, -Iron is also stored in RE cells (BM, Spleen and liver) as hemosiderin and ferratin. -Also iron found in myglobin and myeloperoxidase and in certain electron transfer. -Iron is more stable in ferric state (Fe+++) than in ferrous state (Fe++). Normal iron metabolism:
  • 16.
    Distribution of ironin body 1. 65% in the form of Hb 2. 4% in the form of myoglobin in muscle 3. 1% in various heme compounds that promote intracellular oxidation (cytochrome, catalase, and peroxidase) 4. 0.1% in combination form with protein transferrin in blood plasma 5. 30% is stored mainly in R.E. system and liver cell as ferritin 16 17 March 2014 16
  • 17.
    Forms of iron A)Hemoglobin iron B) Plasma (transport) iron: Those bound with transferrin C) Tissue iron: a. Available iron: In the form of ferritin and hemosiderin b. Non-available iron:In the form ofmyoglobin. In enzymes of cellular respiration Iron present as a constituent of cell 17 17 March 2014 17
  • 18.
    Sources of iron:Meat, liver, egg yolk, peas, beans, lentils & green leafy vegetables. Daily requirement(RDA): Male: 0.5-1 mg Female during reproductive life : 1.5-2 mg Pregnant women: 1.5-2.5 mg Children : 0.5 mg/day Daily dietary requirement: Male: 5-10 mg Female: 15-20 mg Children : 5-10 mg Pregnant women = 20-30 mg Only 10% of dietary iron is absorbed from gut, so dietary requirement is greater than body requirement18 17 March 2014 18
  • 19.
    Daily loss Male: 0.5-1mg Menstruating female: 1.5-2 mg Absorption of iron: Iron absorption occurs mainly in duodenum and proximal jejunum. Form of absorption: Ferrous (Fe++) (Iron found in food is in ferric form, so all ferric iron must be converted to ferrous iron for absorption in GIT) Mechanism of absorption: Active transport (pinocytosis) 19 17 March 2014 19
  • 21.
    clinical features ofIDA Symptoms • Easy fatigability • SOB • Lethargy • Drowsy • Dizziness • Head ache • De. Alertness • Palpitation • Pica Signs • Pallor • Angular cheilosis • Beefy tongue • Koilonychia • Tachycardia • RD • CCF • Pharyngeal webs
  • 22.
  • 23.
  • 24.
  • 25.
    Laboratory diagnosis: •Red cellindices: Low Hb conc. MCV, MCH, MCHC* •Blood film: Hypochromic microcytic Picture. Occasional Target cells. Pencil shaped poikilocytes. Normal reticulocyte count. •Bone marrow iron: Normal to hypercellular. RBC precursors are increased in number. Iron stain negative. •Chemical testing on serum: Serum iron : Decreased Transferrin/TIBC : Normal to High Serum ferritin : Decreased (Very low)
  • 26.
    Hypochromic Microcytic picture(IDA) -ve BM Iron Stain +ve
  • 27.
    Labo. Approach (work-up) M:Hb <13.5 Hct <41 F:Hb <12 Hct <36 : Child ; Hb <11 [check MCV] MCV <80 = microcytic • Fe deficiency • thalassemia • anemia of chronic disease • sideroblastic anemia www.freelivedoctor.com
  • 28.
    MCV >100 =macrocytic • megaloblastic anemia • VitB12 deficiency • folate deficiency • alcoholic liver disease MCV 80-100 = normocytic [chech reticulocyte count] www.freelivedoctor.com
  • 29.
    low reticulocyte: - marrowfailure - leukemia/metastasis - aplastic anemia - renal failure - Myelofibrosis - anemia of chronic disease high reticulocyte: - sickle cell anemia - autoimmune hemolytic anemia - G6PD deficiency - hereditary spherocytosis - paroxysmal nocturnal hemoglobiuria www.freelivedoctor.com
  • 30.
    Treatment Rx of IDanaemia Supportive Nutritional O2, rest Vit.c, Folate Therapeutic Elemental Iron oral parenteral Blood transfusion PCV Whole blood
  • 31.
    Complications of IDA •Feeding problems • Delay in growth & Developement • Low IQ • Decreased scholastic performance • Rarely CCF *(if untreated death)
  • 32.
    Prevention of IDA •Promotion of exclusive breast feeding • Provision of iron rich foods (green leafy veg. Red meat) • Nutritional anaemia Control programme in children • Iron def. Anamia Control programme for adolescent girls • Hook worm control programme (Albendazole)
  • 33.