Presented by-1166
1167
1168
1169
1170
ANAEMIA
Definition and Classification ofanaemia andiron
deficiency anaemia
Definition
 Anaemia is present when the hemoglobin PCV
hematocrit RBC count level is more than 2SD below
the mean
for child’s age and sex.
 Cut offs for hemoglobin and hematocrit proposed by the
WHO to define anaemia-----Age group Hemoglobin(g/dl) Hematocrit %
Children,6 mo to 5 yr <11.0 <33
Children, 5-11 yr <11.5 <34
Children,12-13 yr <12.0 <36
Non pregnant
women
<12.0 <36
Men <13.0 <39
Acc. To National family health survey(NFHS3) 79%
of Indian children have anaemia including 71% of
urban children and 84% those in rural areas
 Clinical disturbances occur until the Hb level falls
below 7-8 g/dl below this level pallor becomes
evident in the skin and mucous membrane.
 PHYSIOLOGICAL ADAPTATIONS—
 Increased cardiac output
 Shunting of blood towards vital organs and tissue
 The conc. Of 2,3 diphosphoglycerate increases
Classification Of Anaemia--
 Pathophysiological
 Due to increased blood loss – Acute and chronic
Anaemia due to impaired red cell production– Cytoplasmic maturation
defects (deficient haem and globin synthesis)
-- Nuclear maturation defects (Vitamin B12 and folic acid deficiency)
 Defect in stem cell proliferation and differentiation
--Aplastic anaemia
--Pure red cell aplasia
 Anaemia of chronic disorders
 Bone marrow infiltration.
 Congenital anaemia
 Anaemia due to increased red cell destruction– Intra corpuscular &
Extra corpuscular
 Morphological
 Microcytic hypochromic
 Normocytic normochromic
 Macrocytic normochromic
Iron Deficiency anaemia
 Iron is essential for multiple metabolic processes.
 Iron deficiency occurs when decrease in total iron
body content is severe enough to diminish
erythropoiesis and cause anaemia
 The body of new born infant contains about 0.5g of
iron whereas adult content is 5g to make up for this
discrepancy the average of 0.8mg of iron must be
absorbed each day during the first 15 years of life .
Iron metabolism
 Most of the iron in the food is in the form of ferric ion
but it is ferrous form that is absorbed in the proximal
small intestine.To maintain positive iron balance in
childhood about 1mg of iron must be absorbed .About
20% of iron is absorbed from the diet so a diet
containin 8-10mg of iron must be absorbed each day.
 Ferric ion coverts into ferrous by ferric reductase.
 All the iron absorption occur in the
duodenum,transport of ferrous into enterocytes by
divalent metal transporter(DMT1)
 Some of iron is stored in ferritin and remaining is
transported out of the enterocytes by ferroprotien1, a
protien called hephaesitin is associated with it present
on the basolateral side.
 In plasma ferrous is converted to ferric and
transported by transferrin protien.
Source of Iron
 Healthy new born have body iron stores of250mg
or app.80parts per million..
 Human milk is a best source of iron than cow
milk.
 Infant consuming cow milk are more likely to have
iron deficiency anaemia because---- cow milk has
a higher concentration of calcium that competes
with absorption,lower bioavailability of iron and
due to GI blood loss with cow milk allergy..
 Infants breast fed exclusively should receive iron
supplementation at the age of 4months.
ETIOLOGY
 Low birth weight and perinatal haemorrhage
 Causes of chronic iron deficiency anaemia are:
 Lesions of GI tract(peptic ulcer,Meckel diverticulum,polyps,
hemangioma,inflammatory bowel diseases..
 Hookworm infestations.
 Pulmonary hemosiderosis
 MILK ALLERGY-due to lactase deficiency.
 Histological abnormalities of mucosa of GI tract.
CLINICAL MANIFESTATIONS
 Clinical findings are related to severity and rate of
development of anaemia.
 Pallor is the most important sign of iron deficiency.
 Irritability and anorexia usually precede
weakness,fatigue,lag cramps,breathlessness and
tachycardia.it occures when Hb level falls below 5g/dl
 Congestive cardiac failure,splenomegaly may occure
with severe untreated anaemia.
 Angular stomatitis.glossitis,koilonychiaand platynychia
are noted in severe cases.
 In some children ingestion of lead leads to
PLUMBISM.
 Iron def.anaemia may have effects on neurological
and intellectual function
MANAGEMENT
 INVESTIGATION-
 Acareful dietary history is important,including the type of
milk and weaning foods in infants and the use of
supplements.
 Peripheral blood smear reveals microcytic hypochromic
red cells,with anisocytosis and poikilocytosis and
increased red cell distribution width..
 MCV and MCH are reduced.total serum iron and ferritin
are reduced while the total iron binding capacity is
increased.
 Saturation of transferrin is reduced to less than16%..
Red cell
indices
birth 0.5-2yr 6-12yr 12-
18yr(girl
s)
12-18
yr(boys)
MCV 108 78 86 90 88
MCH 34 27 29 30 30
MCHC 33 33 34 34 34
RDW 12.8+_1.
2%
- - - -
SERUM
IRON
10-
30umol/l
- - - -
SERUM
FERRITI
N
15-
300ng/m
l(boys)1
5-
200ng/m
l(girls)
-
- - -
TOTAL
IRON
BINDIN
G
CAPACI
TY
250-
400ug/m
l
- - - -
 High free erythroprotoporphyrin…
 Reticulocyte count can be increased or
decreased,normal RC is 2-6%in newborns and
0.5-2% in children.RC should be corrected for
degree of anaemia..
 Corrected RC=RC X Actual hematocrit/normal
hematocrit
 LOWRC
 -Congenital or acquired anaemia,aplastic or
hypoplastic anaemia.
 Pure red cell aplasia
 Parvovirus B19 infection
 HIGH RC
 Hemolysis, hemorrhage,iron def. sepsis
 Peripheral smear
TREATMENT
 Oral therapy-
 Patients with iron def. anaemia should receive 3-
6mg/kg per day of elemental iron in 3 divided
doses. Ferrous salts (sulphates
,fumarates,gluconate)
 Absorption is better when taken on an empty
stomach or in between meals
 About 10-20 % patients develop gastrointestinal
side effects such as nausea,epigastric
discomfort,vomiting,constipation and diarrhea.
 Enteric –coated preparations have fewer side
effects but are less efficacious and more
expensive
 Parenteral therapy—
 Indications–
 Intolerance to oral iron
 Malabsorption on going blood loss at a rate
where oral replacement cannot match iron loss.
 IV Iron sucrose is safe and effective and is
commonly used for children IBD and end stage
renal disease
 The dose is 1-3mg/kg diluted in 150ml of NS and
given as slow infusion over 30-90 min.
 Total dose of parenteral iron can be calculated as
–
iron required(mg)=wt./kg x 2.3x(15-hb in g/dl) +
500-100mg
 Blood transfusions—
 Red cell transfusions are needed in emergency
situations such as acute severe
hemorrhage,severe anaemia and cogestive
cardiac failure but should be given at a very slow
rate with hemodynamic monitoring
 Differential diagnosis—
 Iron deficiency anaemia must be differentiated
from other causes of microcytic hypochromic
anaemia—
 Thalassemia (α&β)
 Other Hb pathies
 Anaemia of chronic disorders
 Lead poisoning
Thank you
MEGALOBLASTIC
ANAEMIA
Definition: Macrocytic Anemia
 MCV>100fL
 Impaired DNA formation due to lack of:
 B12 or folate in ultimately active form
 use of antimetabolite drugs
 Macrocytosis also caused by
 Liver disease with inadequate cholesterol esterification
 Alcohol abuse independent of folate (MCV 100-105)
 Myelodysplasia
 Post-splenectomy
 HIV drugs
 Dilantin
Vitamin B12: Cobalamin
 Meat and dairy products only
 Minimum daily requirement 6-9 mcg/d
 Total body store 2-5 mg (half in liver)
 Helps to synthesize thiamine, thus deficiency leads
to problems with DNA replication
B12: Cobalamin absorption
 Initially bound to protein in
diet, liberated by acid and
pepsin, then binds to R factors
in saliva and gastric acids
 Freed from R factors by
pancreatic proteases them
binds to Intrinsic Factor
secreted by gastric parietal cells
 Absorbed together (Cbl + IF) in
ileum
 Released from IF in ileal cell
then exocytosed bound to
trans-Cbl II
 Cbl bound to transcobalamin II
binds to cell surface receptors
and is endocytosed
Actions of Cobalamin & Folate
Causes of B12 Deficiency:
Pernicious Anemia
 Autoantibody to Intrinsic Factor detectable in <70%
 Highly specific, but insensitive
 2 types of anti-IF antibody
 Blocks attachment of Cbl to IF
 Blocks attachment of Cbl-IF complex to ileal receptors
 Chronic atrophic gastritis
 Autoantibody against parietal cells (H-K-ATPase) though
pathology indicates destruction by CD4+ T cells
 Increased risk of gastric cancer (carcinoid and intestinal-
type)
Causes of B12 Deficiency:
Growing Older
 Usually mild and subclinical
 Age >65 approx 5%
 Age >75 approx 10%+, up to 40% in institutionalized
patients
 Unclear mechanism
 gastric atrophy
 inadequate intake
 Achlorhydria
Causes of B12 Deficiency:
Surgery, Medication, Worms, Etc.
 Gastrectomy/Bariatric surgery
 Ileal resection or bypass
 Ileal disease (TB, lymphoma, amyloid, post-radiation, Crohn’s)
 Enteropathies (protein losing, chronic diarrhea, celiac sprue)
 Fish tapeworm (Diphyllobothrium latum) infection
 Bacterial overgrowth
 HIV infection
 Chronic alcoholism
 Sjogren’s syndrome
 Pancreatic Exocrine Insufficiency
 Strict vegetarian diet
 Inherited
 Trans-Cbl II or IF deficiency
 decreased uptake of IF-Cbl (Imerslun-Grasbeck’s or juvenile megaloblastic anemia) - also presents
with proteinuria
 Homocysteinuria, severe abnormalities of methionone synthesis, abnormal lysosomal exporter
 Decreased absorption from medication
 Neomycin
 Metformin (biguanides) up to 10-25%
 PPI
 Nitric oxide (inhibits methionine synthase)
B12 Deficiency Symptoms
 Atrophic glossitis (shiny
tongue)
 Shuffling broad gait
 Anemia and related sx
 Vaginal atrophy
 Malabsorption
 Jaundice
 Personality changes
 Hyperhomocysteinemia
 Neurologic symptoms (next
slide)
 Copper deficiency can
cause similar neurologic
symptoms
B12 Symptoms: Neurologic
 Paresthesias
 Memory loss
 Numbness
 Weakness
 Loss of dexterity due to loss
of vibration and position
sense
 Symmetric neuropathy
legs>arms
 Severe weakness, spasticity,
clonus, paraplegia and
incontinence
 Subacute combined
degeneration of the dorsal
(posterior) and lateral spinal
columns
 Due to a defect in
myelination
 NOT ALL PATIENTS WITH B12
DEFICIENCY RELATED
NEUROLOGIC
ABNORMALITIES ARE
ANEMIA OR MACROCYTOSIS
Subacute
Combined
Degeneration
Degeneration and demyelination of the
dorsal (posterior) and lateral spinal
columns
B12 Lab findings
 Macroovalocytic anemia
with elevated serum bili
and LDH
 Increased red cell
breakdown due to
ineffective hematopoiesis
 Reticulocytes, WBC &
platelets normal to low
 Hypersegmented
neurophils
 Also occur in renal failure,
iron deficiency, inherited
Bone Marrow
 Hypercellular marrow
 Megaloblastic erythroid
hyperplasia
 Giant metamyelocytes
Due to slowing of DNA
synthesis and delayed
nuclear maturation
Methionine deficiency may
play a central role
Folate
 SOURCE:Animal products (liver), yeast and leafy
vegetables
 Normal requirement 400mcg/day
 Pregnancy/Lactation: 500-800mcg/day
 Increased requirement in hemolytic anemia and
exfoliateive skin disease
 Body stores: 5-10mg
Folate Metabolism
 Binds to folate
receptor, becomes
polyglutamated
intracellularly
 Many drugs
(trimethoprim,
methotrexate,
pyrimethamine)
inhibit dihydrofolate
reductase
Causes of Folate Deficiency
 Malnutrition: Destroyed by heat during cooking
 Alcoholism (decreased in 2-4 days): impairs
enterohepatic cycle and inhibits absorption
 Increased requirement in hemolytic anemia,
pregnancy, exfoliative skin disease
 IBD, celiac sprue
 Drugs
 Trimethoprim, Methotrexate, Primethamine (inhib DHFR)
 Phenytoin: blocks FA absorption, increases utilization
(mech unknown)
Folate deficiency symptoms
 Similar symptoms as B12 except for neurologic
symptoms
 Presentation is different classically:
 Alcoholic
 Very poor dietary intake
 Older
 Depressed
 Living alone
Whom should you test for B12 or Folate deficiency?
 MCV >100 with or without anemia
 Hypersegmented neutrophils
 Pancytopenia of uncertain cause
 Unexplained neurologic symptoms
 Alcoholics
 Malnourished, particularly the elderly
 Diabetics on metformin with new onset neuropathy
Lab testing for diagnosis
Serum B12 Serum
Folate
MMA Homocystein
e
Normal >300 >4 70-270 5-14
Deficiency <200 <2
Confirm B12 200-300 High High
Confirm folate 2-4 Normal High
High amount of seaweed in the diet can interfere with the B12 assay as
can a single meal. It is best to add-on tests to blood already in the lab,
particularly for inpatients due to the variability of the test.
Intrisic factor antibody assay can be falsely positive if pt has recently
received a B12 shot with B12 >800, thus important to add-on.
Shilling Test
1. PART 1: Oral labeled B12 and
IM unlabeled B12 at the same
time to saturate tissue stores
2. 24h urine to assess absorption
>5% normal
<5% impaired
3. PART 2: Repeat w/oral IF
if now normal =PA
if abnormal = malabsorption
4. Can continue with antibiotics to
look for bacterial overgrowth,
pancreatic enzymes for
exocrine insufficiency
Part 1 test result Part 2 test result Diagnosis
Normal -
Normal
or vitamin B12
deficiency
Low Normal
Pernicious
anemia
Low Low Malabsorption
B12 Deficiency: Treatment
 IM B12 1000mcg daily x 1 wk
 then 1000mcg weekly x 1 month
 Then 1000mcg monthly for life for PA
 Oral high dose 1-2 mg daily
 As effective but less reliable than IM
 Currently only recommended after
full parenteral repletion
 Sublingual, nasal spray and gel formulations
available
Vegan B12 Recommendations
 Daily multivitamin with10mcg/d
 Available in a few specific commercial nutritional
yeasts most of which contain B12 from
Pseudomonas sp., Propionibacterium sp. or
Streptomyces sp.
 Probiotics are NOT sufficient to provide
adequate B12
 Keep supplements in the fridge and out of light
Folate Deficiency Treatment
 Oral folate 1mg daily for 4 months or until
hematologic recovery
 Rule out B12 deficiency prior to treament as folic
acid will not prevent progression of neurologic
manifestations of B12 deficiency
 Repeat testing for B12 deficiency may be
reasonable for those on long-term folic acid
therapy if hematologic (macrocytosis or ↑LDH) or
neurologic sx persist
Thank you
HAEMOLYTIC ANAEMIA
 It is defined as
1) Premature destruction of red cells and a shortened red cell life span
below normal 120 days
2) Elevated erythropoietin levels and a compensatory increase in
erythropoiesis
3) Accumulation of hemoglobin degradation products released by red
cell breakdown derived from haemoglobin
CLASSIFICATION
ACQUIRED HAEMOLYTIC ANAEMIA
 IMMUNE HAEMOLYTIC ANAEMIA
 These can be subdivided into:
a) Autoimmune
b) Alloimmune
c) Drug-induced
AUTOIMMUNE HAEMOLYTIC ANAEMIA
Caused by antibodies produced by patient’s own
immune system
Classified according to thermal properties of antibodies:
 warm antibodies bind to RBC most avidly at 370C
 cold antibodies bind best below 320C
Warm AIHA:
 Antibody usually IgG, but may be IgM or IgA
 Usually facilitate sequestration of sensitized RBCs in
spleen
 May be primary or secondary –
 autoimmune disorders, HIV,
 chronic lymphocytic leukaemia (CLL),
 non-Hodgkin's lymphoma (NHL)
Most common type
Incidence:
 Occurs in either sex but female preponderance
reported esp. primary
 Occurs in all ages
 Higher incidence of secondary noted in patients > 45
years
Clinical Features:
 Hemolytic anaemia of varying severity
 Tends to remit and relapse
 Symptoms of anaemia
 Jaundice
 Splenomegaly
 Symptoms of underlying disorder (if 20
Laboratory Features:
 Variable anaemia
 Blood film: polychromasia, microspherocytes
 Severe cases: nucleated RBCs, RBC fragments
 Mild neutrophilia, normal platelet count
 Evan’s syndrome: association with ITP
 Bone marrow: erythroid hyperplasia; underlying
lymphoproliferative disorder
 Unconjugated hyperbilirubinaemia
 Haptoglobin levels low
 Urinary urobilinogen usually increased; haemoglobinuria
uncommon
Serological Features
 Direct antiglobulin test (DAT; Coomb's test) usually
positive
 DAT: rabbit antiserum to human IgG or complement
(Coomb's reagent) added to suspensions of washed
RBCs. Agglutination signifies presence of surface IgG
or complement
 RBC may be coated with
IgG alone
IgG and complement
complement only
 Rarely anti-IgA and anti-IgM encountered
Treatment:
 Remove/treat underlying cause
 Corticosteroids - high doses then tapering when PCV stabilizes
 Splenectomy:
 patients who fail to respond to steroids
 unacceptably high doses of steroids to maintain adequate PCV
 unacceptable side-effects
 Transfusion
 Immunosuppressive Drugs:
 Azathioprine
 Cyclophosphamide (CTX)
 Others:
 plasmapheresis
 Intravenous immunoglobulin (IVIG)
 Androgens e.g. danazol
Cold AIHA:
• Two major types of cold antibody:
1) Cold agglutinins
2) Donath-Landsteiner antibodies
 Causes either immediate intravascular destruction of
sensitized RBCs by complement-mediated mechanisms
or sequestration by liver (C3 coated RBCs preferentially
removed here)
Cold Agglutinins:
 IgM autoantibodies that agglutinate RBCs optimally
between 0 to 50C. Complement fixation occurs at
higher temperatures
 Primary - Cold Haemagglutinin Disease (CHAD) or
secondary (usually due to infections)
 Peak incidence for CHAD > 50 years
 Primary usually monoclonal;
 secondary usually polyclonal
Pathogenesis:
 Specificity usually against I/i antigens
 Varying severity depending on:
 titre of antibody in serum
 affinity for RBCs
 ability to bind complement
 thermal amplitude
 Bind red cells in peripheral circulation impeding capillary
flow, producing acrocyanosis
Clinical Features:
 Chronic haemolysis; episodes of acute haemolysis can
occur on chilling
 Acrocyanosis frequent; skin ulceration and necrosis
uncommon
 Mild jaundice and splenomegaly
 Secondary cases e.g. Mycoplasma, self-limited
Laboratory Features:
 Anaemia- mild to moderate
 Blood film:
a) agglutination,
b) spherocytosis less marked than warm AIHA
 DAT +ve: complement only
 Anti-I: idiopathic disease, mycoplasma, some
lymphomas
 Anti-i: infectious mono, lymphomas
Treatment:
 Keep patient warm
 Treat underlying cause
 Alkylating agents: chlorambucil, CTX
 Splenectomy and steroids generally not helpful
 Plasmapheresis- temporary relief
 Transfusion- washed packed cells
Paroxysmal Cold Haemoglobinuria
 Rare form of haemolytic anaemia
 Characterized by recurrent haemolysis following
exposure to cold
 Formerly, more common due to association with syphilis
 Self-limited form occurs in children following viral
infections
 Antibodies usually IgG with specificity for P antigen
 Biphasic:
a) binds to red cells at low temperatures,
b) lysis with complement occurs at 37C
Drug-induced Haemolytic Anaemia
 May cause immune haemolytic anaemia by three
different mechanisms:
1) Neoantigen type e.g. Quinidine
2) Autoimmune mechanism e.g.  - Methyldopa
3) Drug adsorption mechanism e.g. Penicillin
Drug adsorption mechanism
 Also known as hapten mechanism
1) Drug binds tightly to red cell membrane
2) Antibody attaches to drug without direct interaction
with RBC
 Usually seen in patients receiving high doses of
penicillin – substantial coating of RBC with drug
 Small proportion develop anti-penicillin antibody
binds to drug on RBC
 DAT +ve and haemolysis may ensue
 Occurs after 7-10 days of treatment
 Ceases few days to 2 weeks after drug stopped
Neoantigen type
 Formerly known as immune complex / innocent
bystander
 theory suggested drug formed immune complex with
anti-drug antibody
a) attached non-specifically to red cell
b) destruction by complement
 Above interaction required component of red cell
membrane to bind to antigen recognition site on antibody
Autoimmune mechanism
 Antibody binds to red cell membrane antigens
 Alpha-methyldopa responsible for most cases
 DAT becomes +ve in 8-36% of patients taking drug
 However, only 0.8% of patients develop clinical
haemolysis
 Induces auotimmune red cell antibodies by unknown
mechanisms
Non-immune haemolytic
anaemias:
 Non-immune haemolytic anaemias:
Paroxysmal nocturnal haemoglobinuria (PNH)
Red cell fragmentation syndromes
March haemoglobinuria
Infections
Chemical and physical agents
Secondary haemolytic anaemia
Paroxysmal nocturnal
haemoglobinuria (PNH)
 Acquired haemopoietic stem cell disorder
 Characterized by increased sensitivity of red
cells to haemolysis by complement
Pathogenesis:
 Arise as a clonal abnormality of stem cells
 Disorder a consequence of somatic mutations error in
synthesis of the glycosylphosphatidylinositol (GPI) anchor
 Results in deficiencies of several GPI-anchored membrane
proteins –
1) decay accelerating factor (DAF),
2) membrane inhibitor of reactive lysis (MIRL),
3) acetylcholine esterase, leukocyte alkaline phosphatase
(LAP)
 Some of these proteins involved in complement
degradation
 Absence of MIRL plays most critical role
Clinical Features:
 Haemoglobinuria occurs intermittently precipitated
by a variety of events
 Nocturnal haemoglobinuria uncommon
 Chronic haemolytic anaemia which may be severe
 Iron deficiency due to loss in urine
 Bleeding may occur secondary to thrombocytopenia
 Thrombosis a prominent feature
Laboratory Features:
 Pancytopenia
 Anaemia may be severe
 Macrocytosis may be present due to mild
reticulocytosis
 Hypochromic, microcytic due to iron deficiency
 Marrow: erythroid hyperplasia; may be aplastic
 Urine: haemosiderinuria constant feature;
haemoglobin sometimes present
 Ham’s (acidified serum lysis) test positive
Treatment:
 Transfusion of washed packed red cells
 Oral iron
 Folate supplements
 Steroids may be of benefit
 Anticoagulation for thrombotic complications
Red Cell Fragmentation
Syndromes
 Microangiopathic haemolytic anaemia (MAHA)
 Intravascular haemolysis due to fragmentation of normal red cells
passing through abnormal arterioles
 Deposition of platelets and fibrin most common cause of
microvascular lesions
 Red cells adhere to fibrin and are fragmented by force of blood flow
 Underlying disorders:
 Mucin-producing adenocarcinomas
 Complications of pregnancy:
a) Preeclampsia, eclampsia,
b) Haemolysis, Elevated Liver enzymes, Low Platelets (HELLP)
 Disseminated Intravascular Coagulation (DIC)
 Thrombotic Thrombocytopenic Purpura (TTP)/ Haemolytic
Uraemic Syndrome (HUS)
 Malignant hypertension
Laboratory Findings:
 Blood film:
1) schistocytes prominent,
2) spherocytes,
3) reticulocytes,
4) normoblasts
 Thrombocytopenia
 Coagulopathy in DIC
Treatment:
 Treat underlying cause
 2. Traumatic cardiac haemolytic anaemia
 Seen in patients with prosthetic heart valves, cardiac
valvular disorders esp. severe aortic stenosis
 Due to physical damage of red cells from turbulence
and high shear
 stresses
 Haemolytic anaemia usually mild and well
compensated
March Haemoglobinuria
 Due to damage to red cells between small bones of feet
 Usually during prolonged marching or running
 Blood film does not show fragments
Infections
 Cause haemolysis in a variety of ways
 Ppt acute haemolytic crisis in G6PD deficiency
 Cause MAHA e.g. meningococcus
 Direct invasion of red cells by infective organisms e.g.
malaria
 Elaboration of haemolytic toxins e.g. clostridium
 Production of red cell autoantibodies e.g. viral
infections
Chemical and physical agents
 Certain drugs cause oxidative damage in high doses
e.g. dapsone
 Acute haemolytic anaemia due to high levels of Cu e.g.
Wilson’s disease
 Chemical poisoning e.g. Pb, chlorate or arsine may
cause severe haemolysis
 Severe burns
 Snake / spider bites
 Hypophosphataemia
Secondary haemolytic anaemias
 Red survival shortened in many systemic disorders
 Renal failure – ‘burr’ cells
 Liver disease – acanthocytes, target cells
 Zieve’s syndrome – acute haemolytic anaemia with
intravascular haemolysis, hyperlipidaemia and
abdominal pain in alcoholics
Roha Shad
Roll no.-1169
HAEMOLYTIC ANEMIA
inherited acquired
Haemoglobinopathy Membrane
defects
Enzyme
deficiency
Hereditary
spherocytosis
Hereditary
elliptocytosis
Hereditary
stomatocytosis
G6PD
deficiency
PK
deficiency
Common type of
hereditary anemia
Autosomal dominant
inheritance
 Defect in the RBC membrane structural
proteins which anchor the lipid bilayer to the
underlying cytoskeleton.
Spectrin
abnormality
Ankyrin abnormality
α spectrin β spectrin
Severe
anemia
Mild
anemia
Mutation in spectrin and ankyrin result in
unstable RBC membrane
Spherical contour & small sized RBC’s
(microspherocyte)
Non deformable RBC’s, Unable to pass the spleen
Destroyed in spleen
Other structural changes include loss of
surface area and abnormal permeability
 ANEMIA –mild to moderate
 RETICULOCYTOSIS : 5-20%
 BLOOD FILM-presence of spherocytes
 MCV-normal or decreased
 MCHC-increased
 OSMOTIC FRAGILITY TEST-increased fragility
 Direct coomb’s test: negative
 Abnormal cytoskeletal protein analysis.
Anemia-mild to moderate
Splenomegaly-in 75%
patients
Jaundice - unconjugated
type
Pigment Gall stones
 If Hb >10gm/dl &reticulocyte count<10% = no
treatment
 If severe anemia , poor growth, aplastic crisis,age
<2 yrs, then
1. Blood transfusion
2. Folic acid =1-5mg/day
 Splenectomy-prefered when age >6 yrs,severe
hemolysis& high transfusion required.
Autosomal dominant disorder
Involves the
spectrin
Protein-
4.1
Glycophorin C
Clinical presentation – same as of
HS
 Lab tests –
 Blood film – elliptocytes
 RBC mildly heat sensitive
 Abnormal cytoskeletal protein
analysis
TREATMENT
mild type-no treatment
Chronic haemolysis-
transfusion + splenectomy
Folic acid-1mg/dl
 Autosomal dominant disorder
 PATHOGENESIS-
 Defect in membrane protein STOMATIN
 Swollen or hydrated cell(increased Na/K
permeability)
 Abnormal RBC cation and water content.
 CLINICAL FEATURES-mild anemia&
splenomegaly
 Stomatocyte in PBF
 TREATMENT: Folic acid-1mg qd
 Splenectomy ineffective
 X-linked recessive disease
 Cause disease in males and
females are carriers
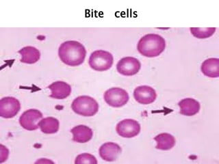
Bite cells
 Jaundice
 Pallor
 Darkening of urine/
haemoglobinuria
 Spenomegaly
 Weakness
 Self limiting –as affects only old
RBC’s
 DURING PERIOD OF ACUTE HAEMOLYSIS;
 Fall in haematocrit by 25-30%
 Haemoglobinemia
 Decreased plasma level of heptoglobin and
haemopexin.
 PBF-bite cell and polychromasia
 Demonstration of HIENZ BODIES.
 Enzyme assays.
Bite cells
 Supportive care during crisis:
 Hydration
 Monitoring
 Transfusion if needed
 Counseling to avoid intake of
oxidative drugs(sulfonamides,
aspirin NSAIDs, dapsone etc.
 Autosomal recessive disorder
 EMP pathway enzyme-90% of glucose
metabolism.
 PATHOGENESIS-Inability to maintain ATP
Impaired cellular function
Decreased RBC life span
 Normocytic normochromic anemia
 Reticulocytosis
 Increased osmotic fragility
 Pyruvate kinase assay
 TREATMENT:
 If severe anemia with symptoms, poor growth
and age <2yrs=require transfusion
 Folic acid 1mg qd
Hemoglobinopathies
and
Thalassemia
Hemoglobinopathies
HEMOGLOBINOPATHY IS A KIND OF GENETIC DEFECT THAT
RESULTS IN ABNORMAL STRUCTURE OF ONE OF
THE GLOBIN CHAINS OF THE HEMOGLOBIN
MOLECULE. HEMOGLOBINOPATHIES ARE INHERITED SINGLE-
GENE DISORDERS
Hb-A Molecule. Hb-A is the major
adult hemoglobin.(97%)
Normal Human Haemoglobins
Haemoglobin Structural formula
Adult Hb-A 2 2 97%
Hb-A2 2 2 1.5-3.2%
Fetal Hb-F 2 2 0.5-1%
Hb-Bart’s 4
Embryonic Hb-Gower 1 2 2
Hb-Gower 2 2 2
Hb-Portland 2 2
Sickle Cell Disease
(HbS)
 sickle cell anemia is an autosomal recessive
disease that result from the substitution of valin for
glutamic acid at position 6 of beta-globulin chain.
 Patient who are homozygous for the HbS have
sickle cell disease
 Patient who are heterozygous for HbS gene have
sickle cell trait.
Sickle-Cell Disease
Pathophysiology
 Deoxygenation of heme moiety of sickle hemoglobin leads to
hydrophobic interaction between adjacent sickle hemoglobin
that aggregate into larger polymers.
 Sickle red blood cell are less deformable and obstruct the
microcirculation, resulting in hypoxia.
 These red blood cell have a life span of only 10-20 days.
CLINICAL MANIFESTATIONS
and treatment
 Fever and Bacteremia Fever in a child with sickle cell anemia
is a medical emergency, requiring prompt medical evaluation
and delivery of antibiotics due to the increased risk of
bacterial infection and concomitant high fatality rate with
infection
 Treatment antimicrobial therapy to administering a 3rd-
generation cephalosporin.
Dactylitis
Dactylitis , often referred to as hand-foot syndrome, is often the
first manifestation of pain in children with sickle cell anemia
occurring in 50% of children by their 2nd year Dactylitis often
manifests with symmetric or unilateral swelling of the hands
and/or feet.
Treatment Dactylitis requires palliation with pain medications,
such as acetaminophen with codeine, whereas osteomyelitis
requires at least 4-6 week of antibiotics
Splenic Sequestration Acute splenic sequestration is a life-
threatening complication. This is due to sickled cell that block
splenic outflow, leading to pooling of peripheral blood into the
spleen.
Treatment includes early intervention and maintenance of
hemodynamic stability using isotonic fluid or blood transfusions.
Pain The cardinal clinical feature of sickle cell anemia is pain,
that can occur in any part of the body but most often occurs in the
chest, abdomen, or extremities.
The exact etiology of pain is unknown, but the pathogenesis is
initiated when blood flow is disrupted in the microvasculature by
sickle cells, resulting in tissue ischemia. Precipitating causes of
painful episodes can include physical stress, infection,
dehydration, hypoxia, local or systemic acidosis, exposure to
cold.
 The majority of painful episodes in patients with sickle cell
anemia are managed at home with comfort measures, such as
heating blanket, relaxation techniques, massage, and pain
medication(acetaminophen or a nonsteroidal agent)
Lung Disease Lung disease in children with sickle cell anemia is the
second most common reason for admission to the hospital and a
common cause of death. ACS findings include a new radiodensity on
chest radiograph, fever, respiratory distress, and pain that occurs often in
the chest.
common pulmonary complications such as bronchiolitis, asthma,
and pneumonia
TREATMENT
Blood transfusion
Supplemental oxygen
Empirical antibiotics (cephalosporin and macrolide)
Bronchodilators and steroids for patients with asthma
Optimum pain control and fluid management.
Other complication includes.
Kidney Disease
Psychological Complications
Excessive Iron Stores
Neurologic Complications
Priapism
sickle cell retinopathy, delayed onset of puberty, avascular
necrosis of the femoral and humeral heads, and leg ulcers.
Laboratory Diagnosis
 In peripheral smear, sickle-shaped red blood cell are found.
 Anemia and thrombocytopenia
 Leukocytosis
 Rise in WBC count more than 20000
with a left shift indicative of infection
 If diagnosis of sickle cell anemia
Has not been made sickling test will
Establish the presence of sickle cell
Anemia.
 Hemoglobin electrophoresis can differentiate between
homozygous(80-90% HbSS) and heterozygous(35-40% HbSS)
Preventive care
 All children require prophylaxis with penicillin or amoxicillin up to 5 year of
age
 Immunization with pneumococcal, meningococcal and hemophillus
influenzae B vaccine
 Life long folate supplementation
 Regularly screening for development of gall stone
 Genetic counseling and testing should be offered to family.
Thalassemia Syndromes
• Hereditary disorders that can result in moderate to severe
anemia
• Basic defect is reduced production of selected globin chains
.
There are two basic groups of thalassaemia.
 thalassemia: There are four types categorized according to the
severity of their effects on persons with thalassemia.
ß thalassemia: There are 3 types categorized according to severity
 Thalassemia minor
 Thalassemia intermedia
 Thalassemia major
Types of Thalassemia
α-Thalassemia
 An absence or deficiency of α-chain synthesis due to deletion of α-genes.
 Predominant cause of alpha thalassemia is large number of gene deletions in
the α-globin genes on chromosome no. 16
 There are four clinical syndromes present in alpha thalassemia:
 Silent Carrier State
 Alpha Thalassemia Trait (Alpha Thalassemia Minor)
 Hemoglobin H Disease
 Bart's Hydrops Fetalis Syndrome
Variants of α-Thalassemia
Silent carrier
Deletion of single α-gene
Genotype α-/αα
Asymptomatic
Absence of RBC abnormality
Can only be detected by DNA studies.
Thalassemia trait
Also called Alpha Thalassemia Minor.
Deletion of 2 α-genes
Genotype --/αα or -/-
Asymptomatic, minimal or no anemia
Minimal RBC abnormalities
 Second most severe form alpha thalassemia.
Deletion of 3 α-genes
Genotype --/- α
75% reduction of α-chain
Only 25% α-chain synthesis small amount of HbF, HbA, & HbA2
Fetus can survive
Severe anemia
Severe RBC abnormalities
RBCs are microcytic, hypochromic with marked poikilocytosis
Hemoglobin H Disease
Most severe form. Incompatible with life. Have no functioning α chain
genes (- -/- -).
Baby born with hydrops fetalis, which is edema and ascites caused by
accumulation serous fluid in fetal tissues as result of severe anemia. Also
we will see hepatosplenomegaly and cardiomegaly.
Bart’s Hydrops Fetalis Syndrome
β Thalassemia
 The molecular defects in β thalassemia result in the absence or
varying reduction (according to the type of mutation) in β chain
production.
 In individuals with beta thalassemia, there is either a complete
absence of β globin production ( β-thalassemia major) or a
partial reduction in β globin production ( β-thalassemia minor).
An absence or deficiency of β-chain synthesis of
adult HbA.
Silent carrier state - the mildest form of beta thalassemia.
Beta thalassemia minor - heterozygous disorder resulting in
mild hypochromic, microcytic hemolytic anemia.
Beta thalassemia intermedia - Severity lies between the
minor and major.
Beta thalassemia major - homozygous disorder resulting in
severe transfusion-dependent hemolytic anemia.
Beta Thalassemia Minor
 Caused by heterogeneous mutations that affect beta globin synthesis.
 Usually presents as mild, asymptomatic hemolytic anemia unless
patient in under stress such as infection or folic acid deficiency.
 Have one normal beta gene and one mutated beta gene.
 Anemia usually hypochromic and microcytic
 Normally require no treatment
Beta Thalassemia Intermedia
 Expression of disorder falls between thalassemia minor and
thalassemia major. May be either heterozygous for mutations
causing mild decrease in beta chain production, or may be
homozygous causing a more serious reduction in beta chain
production.
 Have varying symptoms of anemia, jaundice, splenomegaly and
hepatomegaly.
 Have significant increase in bilirubin levels.
 Anemia usually becomes worse with infections folic acid
deficiencies.
Beta Thalassemia Major
 Characterized by severe microcytic, hypochromic anemia.
 Detected early in childhood:
 Infants fail to thrive.
 Have pallor, variable degree of jaundice, abdominal enlargement, and
hepatosplenomegaly.
 Hemoglobin level between 4 and 8 gm/dL.
 Severe anemia causes marked bone changes due to expansion of marrow
space for increased erythropoiesis.
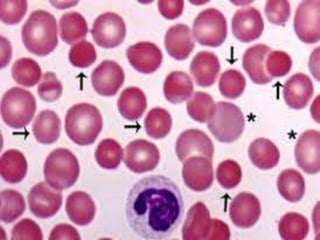
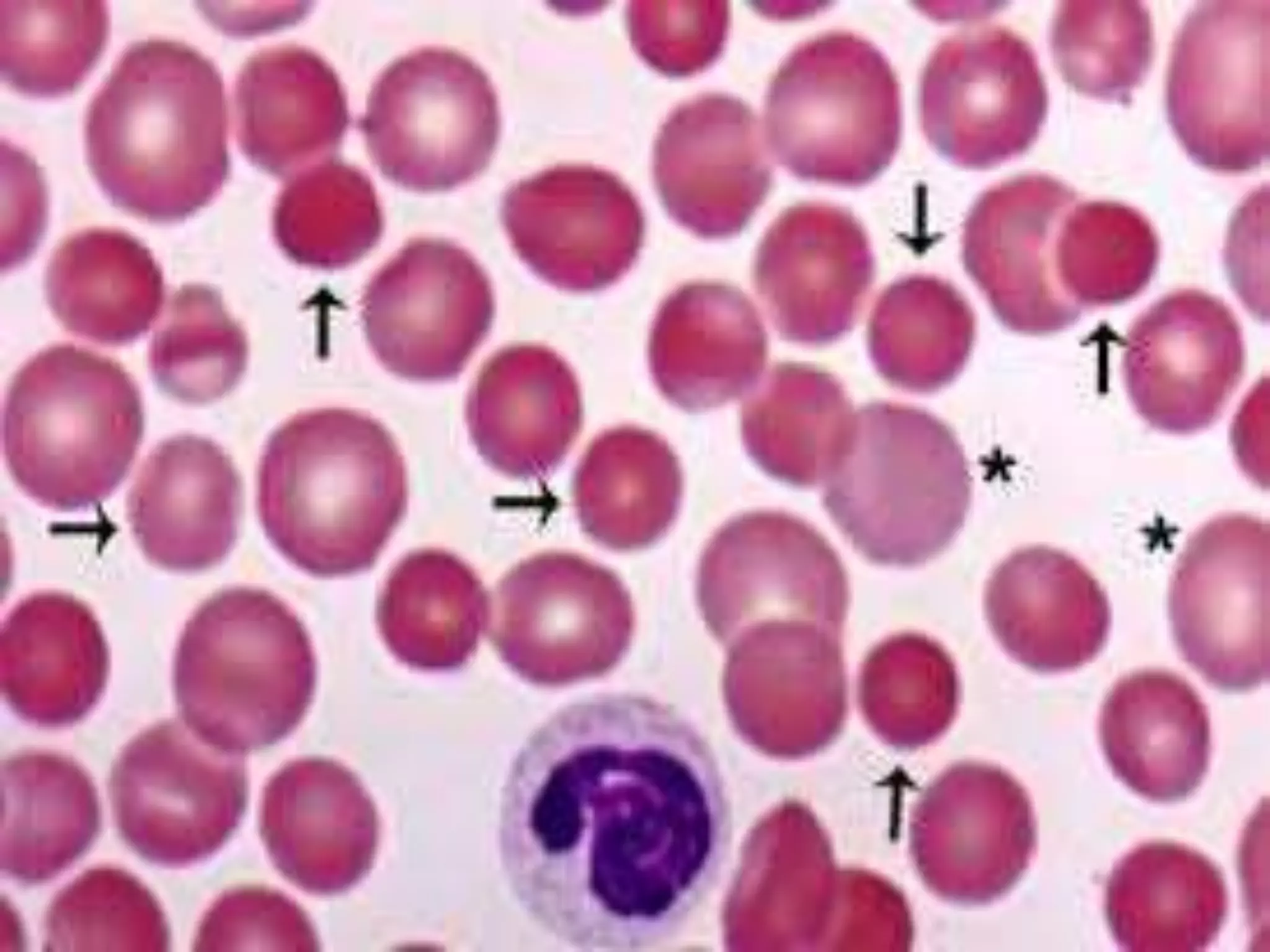
 Peripheral blood shows markedly hypochromic, microcytic erythrocytes
with extreme poikilocytosis
Laboratory study
 Complete blood count and peripheral blood film exam. Are usually
sufficient to confirm the diagnosis
 Hb level range from 2-8 gm/dL
 MCV and MCH are significantly low
 Reliculocyte count elevated 5-8%
 Leukocytosis
 In PBF marked hypochromasia & microcytosis, polychromatophillic cell,
nucleated red blood cell
 HPCL (high performance liquid chromatography) confirms the diagnosis
Complication
 Iron overload: People with thalassemia can get an overload of iron in their
bodies, either from the disease itself or from frequent blood transfusions.
Too much iron can result in damage to the heart, liver and endocrine
system, The damage is characterized by excessive deposits of iron.
Without adequate iron chelation therapy, almost all patients with beta-
thalassemia will accumulate potentially fatal iron levels.
 bone deformities: Thalassemia can make the bone marrow expand, which
causes bones to widen. This can result in abnormal bone structure,
especially in the face and skull. Bone marrow expansion also makes
bones thin and brittle, increasing the risk of broken bones
thalassemic facies (maxilla
hyperplasia, flat nasal
bridge, frontal bossing)
Hair on End Appearance
Bone deformities
Splenomegaly Thalassemia is often accompanied by the destruction of a
large number of red blood cells and the task of removing these cells causes the
spleen to enlarge. Splenomegaly can make anemia worse, and it can reduce
the life of transfused red blood cells. Severe enlargement of the spleen may
necessitate its removal.
•Slowed growth rates: anemia can cause a child's growth to slow. Puberty
also may be delayed in children with thalassemia.
•Heart problems: such as congestive heart failure and arrhythmias may be
associated with severe thalassemia.
• Infection
• Extra-medullary hematopoiesis
• Psychological complication
Management
 Hematopoietic stem cell transplantation- it is the only known treatment
for thalassemia, however this option is available only to a relatively small no.
of patient.
 Blood transfusion- blood transfusion should be initiated at an early age
attempt should made to keep Hb lavel to 9-10 g/dL
 Chelation therapy- to overcome iron overload and iron toxicity. The
optimal time for therapy is 1-2 year of transfusion when ferratin lavel is about
1000-1500 µg/L
Deferoxime a total dose of 40-60mg/kg/day is infused over 8-12 hrs over night for
5-6 day a week by mechanical pump.
Deferiporone 75mg/day may be used as oral chelating agent
Hydroxyurea in dose of 15-20 mg/kg/day used to increase HbF
production and reduce the need of transfusion support
Thank you

Anemia classification clinical feature treatment

  • 1.
  • 2.
    Definition and Classificationofanaemia andiron deficiency anaemia
  • 3.
    Definition  Anaemia ispresent when the hemoglobin PCV hematocrit RBC count level is more than 2SD below the mean for child’s age and sex.  Cut offs for hemoglobin and hematocrit proposed by the WHO to define anaemia-----Age group Hemoglobin(g/dl) Hematocrit % Children,6 mo to 5 yr <11.0 <33 Children, 5-11 yr <11.5 <34 Children,12-13 yr <12.0 <36 Non pregnant women <12.0 <36 Men <13.0 <39 Acc. To National family health survey(NFHS3) 79% of Indian children have anaemia including 71% of urban children and 84% those in rural areas
  • 4.
     Clinical disturbancesoccur until the Hb level falls below 7-8 g/dl below this level pallor becomes evident in the skin and mucous membrane.  PHYSIOLOGICAL ADAPTATIONS—  Increased cardiac output  Shunting of blood towards vital organs and tissue  The conc. Of 2,3 diphosphoglycerate increases
  • 5.
    Classification Of Anaemia-- Pathophysiological  Due to increased blood loss – Acute and chronic Anaemia due to impaired red cell production– Cytoplasmic maturation defects (deficient haem and globin synthesis) -- Nuclear maturation defects (Vitamin B12 and folic acid deficiency)  Defect in stem cell proliferation and differentiation --Aplastic anaemia --Pure red cell aplasia  Anaemia of chronic disorders  Bone marrow infiltration.  Congenital anaemia  Anaemia due to increased red cell destruction– Intra corpuscular & Extra corpuscular
  • 6.
     Morphological  Microcytichypochromic  Normocytic normochromic  Macrocytic normochromic Iron Deficiency anaemia  Iron is essential for multiple metabolic processes.  Iron deficiency occurs when decrease in total iron body content is severe enough to diminish erythropoiesis and cause anaemia  The body of new born infant contains about 0.5g of iron whereas adult content is 5g to make up for this discrepancy the average of 0.8mg of iron must be absorbed each day during the first 15 years of life .
  • 7.
    Iron metabolism  Mostof the iron in the food is in the form of ferric ion but it is ferrous form that is absorbed in the proximal small intestine.To maintain positive iron balance in childhood about 1mg of iron must be absorbed .About 20% of iron is absorbed from the diet so a diet containin 8-10mg of iron must be absorbed each day.  Ferric ion coverts into ferrous by ferric reductase.  All the iron absorption occur in the duodenum,transport of ferrous into enterocytes by divalent metal transporter(DMT1)  Some of iron is stored in ferritin and remaining is transported out of the enterocytes by ferroprotien1, a protien called hephaesitin is associated with it present on the basolateral side.  In plasma ferrous is converted to ferric and transported by transferrin protien.
  • 9.
    Source of Iron Healthy new born have body iron stores of250mg or app.80parts per million..  Human milk is a best source of iron than cow milk.  Infant consuming cow milk are more likely to have iron deficiency anaemia because---- cow milk has a higher concentration of calcium that competes with absorption,lower bioavailability of iron and due to GI blood loss with cow milk allergy..  Infants breast fed exclusively should receive iron supplementation at the age of 4months.
  • 10.
    ETIOLOGY  Low birthweight and perinatal haemorrhage  Causes of chronic iron deficiency anaemia are:  Lesions of GI tract(peptic ulcer,Meckel diverticulum,polyps, hemangioma,inflammatory bowel diseases..  Hookworm infestations.  Pulmonary hemosiderosis  MILK ALLERGY-due to lactase deficiency.  Histological abnormalities of mucosa of GI tract.
  • 11.
    CLINICAL MANIFESTATIONS  Clinicalfindings are related to severity and rate of development of anaemia.  Pallor is the most important sign of iron deficiency.  Irritability and anorexia usually precede weakness,fatigue,lag cramps,breathlessness and tachycardia.it occures when Hb level falls below 5g/dl  Congestive cardiac failure,splenomegaly may occure with severe untreated anaemia.  Angular stomatitis.glossitis,koilonychiaand platynychia are noted in severe cases.  In some children ingestion of lead leads to PLUMBISM.  Iron def.anaemia may have effects on neurological and intellectual function
  • 12.
    MANAGEMENT  INVESTIGATION-  Acarefuldietary history is important,including the type of milk and weaning foods in infants and the use of supplements.  Peripheral blood smear reveals microcytic hypochromic red cells,with anisocytosis and poikilocytosis and increased red cell distribution width..  MCV and MCH are reduced.total serum iron and ferritin are reduced while the total iron binding capacity is increased.  Saturation of transferrin is reduced to less than16%..
  • 13.
    Red cell indices birth 0.5-2yr6-12yr 12- 18yr(girl s) 12-18 yr(boys) MCV 108 78 86 90 88 MCH 34 27 29 30 30 MCHC 33 33 34 34 34 RDW 12.8+_1. 2% - - - - SERUM IRON 10- 30umol/l - - - - SERUM FERRITI N 15- 300ng/m l(boys)1 5- 200ng/m l(girls) - - - - TOTAL IRON BINDIN G CAPACI TY 250- 400ug/m l - - - -
  • 14.
     High freeerythroprotoporphyrin…  Reticulocyte count can be increased or decreased,normal RC is 2-6%in newborns and 0.5-2% in children.RC should be corrected for degree of anaemia..  Corrected RC=RC X Actual hematocrit/normal hematocrit  LOWRC  -Congenital or acquired anaemia,aplastic or hypoplastic anaemia.  Pure red cell aplasia  Parvovirus B19 infection  HIGH RC  Hemolysis, hemorrhage,iron def. sepsis
  • 15.
  • 16.
    TREATMENT  Oral therapy- Patients with iron def. anaemia should receive 3- 6mg/kg per day of elemental iron in 3 divided doses. Ferrous salts (sulphates ,fumarates,gluconate)  Absorption is better when taken on an empty stomach or in between meals  About 10-20 % patients develop gastrointestinal side effects such as nausea,epigastric discomfort,vomiting,constipation and diarrhea.  Enteric –coated preparations have fewer side effects but are less efficacious and more expensive
  • 17.
     Parenteral therapy— Indications–  Intolerance to oral iron  Malabsorption on going blood loss at a rate where oral replacement cannot match iron loss.  IV Iron sucrose is safe and effective and is commonly used for children IBD and end stage renal disease  The dose is 1-3mg/kg diluted in 150ml of NS and given as slow infusion over 30-90 min.  Total dose of parenteral iron can be calculated as – iron required(mg)=wt./kg x 2.3x(15-hb in g/dl) + 500-100mg
  • 18.
     Blood transfusions— Red cell transfusions are needed in emergency situations such as acute severe hemorrhage,severe anaemia and cogestive cardiac failure but should be given at a very slow rate with hemodynamic monitoring  Differential diagnosis—  Iron deficiency anaemia must be differentiated from other causes of microcytic hypochromic anaemia—  Thalassemia (α&β)  Other Hb pathies  Anaemia of chronic disorders  Lead poisoning
  • 19.
  • 20.
  • 21.
    Definition: Macrocytic Anemia MCV>100fL  Impaired DNA formation due to lack of:  B12 or folate in ultimately active form  use of antimetabolite drugs  Macrocytosis also caused by  Liver disease with inadequate cholesterol esterification  Alcohol abuse independent of folate (MCV 100-105)  Myelodysplasia  Post-splenectomy  HIV drugs  Dilantin
  • 22.
    Vitamin B12: Cobalamin Meat and dairy products only  Minimum daily requirement 6-9 mcg/d  Total body store 2-5 mg (half in liver)  Helps to synthesize thiamine, thus deficiency leads to problems with DNA replication
  • 23.
    B12: Cobalamin absorption Initially bound to protein in diet, liberated by acid and pepsin, then binds to R factors in saliva and gastric acids  Freed from R factors by pancreatic proteases them binds to Intrinsic Factor secreted by gastric parietal cells  Absorbed together (Cbl + IF) in ileum  Released from IF in ileal cell then exocytosed bound to trans-Cbl II  Cbl bound to transcobalamin II binds to cell surface receptors and is endocytosed
  • 24.
  • 25.
    Causes of B12Deficiency: Pernicious Anemia  Autoantibody to Intrinsic Factor detectable in <70%  Highly specific, but insensitive  2 types of anti-IF antibody  Blocks attachment of Cbl to IF  Blocks attachment of Cbl-IF complex to ileal receptors  Chronic atrophic gastritis  Autoantibody against parietal cells (H-K-ATPase) though pathology indicates destruction by CD4+ T cells  Increased risk of gastric cancer (carcinoid and intestinal- type)
  • 26.
    Causes of B12Deficiency: Growing Older  Usually mild and subclinical  Age >65 approx 5%  Age >75 approx 10%+, up to 40% in institutionalized patients  Unclear mechanism  gastric atrophy  inadequate intake  Achlorhydria
  • 27.
    Causes of B12Deficiency: Surgery, Medication, Worms, Etc.  Gastrectomy/Bariatric surgery  Ileal resection or bypass  Ileal disease (TB, lymphoma, amyloid, post-radiation, Crohn’s)  Enteropathies (protein losing, chronic diarrhea, celiac sprue)  Fish tapeworm (Diphyllobothrium latum) infection  Bacterial overgrowth  HIV infection  Chronic alcoholism  Sjogren’s syndrome  Pancreatic Exocrine Insufficiency  Strict vegetarian diet  Inherited  Trans-Cbl II or IF deficiency  decreased uptake of IF-Cbl (Imerslun-Grasbeck’s or juvenile megaloblastic anemia) - also presents with proteinuria  Homocysteinuria, severe abnormalities of methionone synthesis, abnormal lysosomal exporter  Decreased absorption from medication  Neomycin  Metformin (biguanides) up to 10-25%  PPI  Nitric oxide (inhibits methionine synthase)
  • 28.
    B12 Deficiency Symptoms Atrophic glossitis (shiny tongue)  Shuffling broad gait  Anemia and related sx  Vaginal atrophy  Malabsorption  Jaundice  Personality changes  Hyperhomocysteinemia  Neurologic symptoms (next slide)  Copper deficiency can cause similar neurologic symptoms
  • 29.
    B12 Symptoms: Neurologic Paresthesias  Memory loss  Numbness  Weakness  Loss of dexterity due to loss of vibration and position sense  Symmetric neuropathy legs>arms  Severe weakness, spasticity, clonus, paraplegia and incontinence  Subacute combined degeneration of the dorsal (posterior) and lateral spinal columns  Due to a defect in myelination  NOT ALL PATIENTS WITH B12 DEFICIENCY RELATED NEUROLOGIC ABNORMALITIES ARE ANEMIA OR MACROCYTOSIS
  • 30.
    Subacute Combined Degeneration Degeneration and demyelinationof the dorsal (posterior) and lateral spinal columns
  • 31.
    B12 Lab findings Macroovalocytic anemia with elevated serum bili and LDH  Increased red cell breakdown due to ineffective hematopoiesis  Reticulocytes, WBC & platelets normal to low  Hypersegmented neurophils  Also occur in renal failure, iron deficiency, inherited
  • 32.
    Bone Marrow  Hypercellularmarrow  Megaloblastic erythroid hyperplasia  Giant metamyelocytes Due to slowing of DNA synthesis and delayed nuclear maturation Methionine deficiency may play a central role
  • 33.
    Folate  SOURCE:Animal products(liver), yeast and leafy vegetables  Normal requirement 400mcg/day  Pregnancy/Lactation: 500-800mcg/day  Increased requirement in hemolytic anemia and exfoliateive skin disease  Body stores: 5-10mg
  • 34.
    Folate Metabolism  Bindsto folate receptor, becomes polyglutamated intracellularly  Many drugs (trimethoprim, methotrexate, pyrimethamine) inhibit dihydrofolate reductase
  • 35.
    Causes of FolateDeficiency  Malnutrition: Destroyed by heat during cooking  Alcoholism (decreased in 2-4 days): impairs enterohepatic cycle and inhibits absorption  Increased requirement in hemolytic anemia, pregnancy, exfoliative skin disease  IBD, celiac sprue  Drugs  Trimethoprim, Methotrexate, Primethamine (inhib DHFR)  Phenytoin: blocks FA absorption, increases utilization (mech unknown)
  • 36.
    Folate deficiency symptoms Similar symptoms as B12 except for neurologic symptoms  Presentation is different classically:  Alcoholic  Very poor dietary intake  Older  Depressed  Living alone
  • 37.
    Whom should youtest for B12 or Folate deficiency?  MCV >100 with or without anemia  Hypersegmented neutrophils  Pancytopenia of uncertain cause  Unexplained neurologic symptoms  Alcoholics  Malnourished, particularly the elderly  Diabetics on metformin with new onset neuropathy
  • 38.
    Lab testing fordiagnosis Serum B12 Serum Folate MMA Homocystein e Normal >300 >4 70-270 5-14 Deficiency <200 <2 Confirm B12 200-300 High High Confirm folate 2-4 Normal High High amount of seaweed in the diet can interfere with the B12 assay as can a single meal. It is best to add-on tests to blood already in the lab, particularly for inpatients due to the variability of the test. Intrisic factor antibody assay can be falsely positive if pt has recently received a B12 shot with B12 >800, thus important to add-on.
  • 39.
    Shilling Test 1. PART1: Oral labeled B12 and IM unlabeled B12 at the same time to saturate tissue stores 2. 24h urine to assess absorption >5% normal <5% impaired 3. PART 2: Repeat w/oral IF if now normal =PA if abnormal = malabsorption 4. Can continue with antibiotics to look for bacterial overgrowth, pancreatic enzymes for exocrine insufficiency Part 1 test result Part 2 test result Diagnosis Normal - Normal or vitamin B12 deficiency Low Normal Pernicious anemia Low Low Malabsorption
  • 40.
    B12 Deficiency: Treatment IM B12 1000mcg daily x 1 wk  then 1000mcg weekly x 1 month  Then 1000mcg monthly for life for PA  Oral high dose 1-2 mg daily  As effective but less reliable than IM  Currently only recommended after full parenteral repletion  Sublingual, nasal spray and gel formulations available
  • 41.
    Vegan B12 Recommendations Daily multivitamin with10mcg/d  Available in a few specific commercial nutritional yeasts most of which contain B12 from Pseudomonas sp., Propionibacterium sp. or Streptomyces sp.  Probiotics are NOT sufficient to provide adequate B12  Keep supplements in the fridge and out of light
  • 42.
    Folate Deficiency Treatment Oral folate 1mg daily for 4 months or until hematologic recovery  Rule out B12 deficiency prior to treament as folic acid will not prevent progression of neurologic manifestations of B12 deficiency  Repeat testing for B12 deficiency may be reasonable for those on long-term folic acid therapy if hematologic (macrocytosis or ↑LDH) or neurologic sx persist
  • 43.
  • 44.
    HAEMOLYTIC ANAEMIA  Itis defined as 1) Premature destruction of red cells and a shortened red cell life span below normal 120 days 2) Elevated erythropoietin levels and a compensatory increase in erythropoiesis 3) Accumulation of hemoglobin degradation products released by red cell breakdown derived from haemoglobin
  • 45.
  • 46.
    ACQUIRED HAEMOLYTIC ANAEMIA IMMUNE HAEMOLYTIC ANAEMIA  These can be subdivided into: a) Autoimmune b) Alloimmune c) Drug-induced
  • 47.
    AUTOIMMUNE HAEMOLYTIC ANAEMIA Causedby antibodies produced by patient’s own immune system Classified according to thermal properties of antibodies:  warm antibodies bind to RBC most avidly at 370C  cold antibodies bind best below 320C
  • 48.
    Warm AIHA:  Antibodyusually IgG, but may be IgM or IgA  Usually facilitate sequestration of sensitized RBCs in spleen  May be primary or secondary –  autoimmune disorders, HIV,  chronic lymphocytic leukaemia (CLL),  non-Hodgkin's lymphoma (NHL) Most common type
  • 49.
    Incidence:  Occurs ineither sex but female preponderance reported esp. primary  Occurs in all ages  Higher incidence of secondary noted in patients > 45 years
  • 50.
    Clinical Features:  Hemolyticanaemia of varying severity  Tends to remit and relapse  Symptoms of anaemia  Jaundice  Splenomegaly  Symptoms of underlying disorder (if 20
  • 51.
    Laboratory Features:  Variableanaemia  Blood film: polychromasia, microspherocytes  Severe cases: nucleated RBCs, RBC fragments  Mild neutrophilia, normal platelet count  Evan’s syndrome: association with ITP  Bone marrow: erythroid hyperplasia; underlying lymphoproliferative disorder  Unconjugated hyperbilirubinaemia  Haptoglobin levels low  Urinary urobilinogen usually increased; haemoglobinuria uncommon
  • 52.
    Serological Features  Directantiglobulin test (DAT; Coomb's test) usually positive  DAT: rabbit antiserum to human IgG or complement (Coomb's reagent) added to suspensions of washed RBCs. Agglutination signifies presence of surface IgG or complement  RBC may be coated with IgG alone IgG and complement complement only  Rarely anti-IgA and anti-IgM encountered
  • 53.
    Treatment:  Remove/treat underlyingcause  Corticosteroids - high doses then tapering when PCV stabilizes  Splenectomy:  patients who fail to respond to steroids  unacceptably high doses of steroids to maintain adequate PCV  unacceptable side-effects  Transfusion  Immunosuppressive Drugs:  Azathioprine  Cyclophosphamide (CTX)  Others:  plasmapheresis  Intravenous immunoglobulin (IVIG)  Androgens e.g. danazol
  • 54.
    Cold AIHA: • Twomajor types of cold antibody: 1) Cold agglutinins 2) Donath-Landsteiner antibodies  Causes either immediate intravascular destruction of sensitized RBCs by complement-mediated mechanisms or sequestration by liver (C3 coated RBCs preferentially removed here)
  • 55.
    Cold Agglutinins:  IgMautoantibodies that agglutinate RBCs optimally between 0 to 50C. Complement fixation occurs at higher temperatures  Primary - Cold Haemagglutinin Disease (CHAD) or secondary (usually due to infections)  Peak incidence for CHAD > 50 years  Primary usually monoclonal;  secondary usually polyclonal
  • 56.
    Pathogenesis:  Specificity usuallyagainst I/i antigens  Varying severity depending on:  titre of antibody in serum  affinity for RBCs  ability to bind complement  thermal amplitude  Bind red cells in peripheral circulation impeding capillary flow, producing acrocyanosis
  • 57.
    Clinical Features:  Chronichaemolysis; episodes of acute haemolysis can occur on chilling  Acrocyanosis frequent; skin ulceration and necrosis uncommon  Mild jaundice and splenomegaly  Secondary cases e.g. Mycoplasma, self-limited
  • 58.
    Laboratory Features:  Anaemia-mild to moderate  Blood film: a) agglutination, b) spherocytosis less marked than warm AIHA  DAT +ve: complement only  Anti-I: idiopathic disease, mycoplasma, some lymphomas  Anti-i: infectious mono, lymphomas
  • 59.
    Treatment:  Keep patientwarm  Treat underlying cause  Alkylating agents: chlorambucil, CTX  Splenectomy and steroids generally not helpful  Plasmapheresis- temporary relief  Transfusion- washed packed cells
  • 60.
    Paroxysmal Cold Haemoglobinuria Rare form of haemolytic anaemia  Characterized by recurrent haemolysis following exposure to cold  Formerly, more common due to association with syphilis  Self-limited form occurs in children following viral infections  Antibodies usually IgG with specificity for P antigen  Biphasic: a) binds to red cells at low temperatures, b) lysis with complement occurs at 37C
  • 61.
    Drug-induced Haemolytic Anaemia May cause immune haemolytic anaemia by three different mechanisms: 1) Neoantigen type e.g. Quinidine 2) Autoimmune mechanism e.g.  - Methyldopa 3) Drug adsorption mechanism e.g. Penicillin
  • 62.
    Drug adsorption mechanism Also known as hapten mechanism 1) Drug binds tightly to red cell membrane 2) Antibody attaches to drug without direct interaction with RBC  Usually seen in patients receiving high doses of penicillin – substantial coating of RBC with drug  Small proportion develop anti-penicillin antibody binds to drug on RBC  DAT +ve and haemolysis may ensue  Occurs after 7-10 days of treatment  Ceases few days to 2 weeks after drug stopped
  • 63.
    Neoantigen type  Formerlyknown as immune complex / innocent bystander  theory suggested drug formed immune complex with anti-drug antibody a) attached non-specifically to red cell b) destruction by complement  Above interaction required component of red cell membrane to bind to antigen recognition site on antibody
  • 64.
    Autoimmune mechanism  Antibodybinds to red cell membrane antigens  Alpha-methyldopa responsible for most cases  DAT becomes +ve in 8-36% of patients taking drug  However, only 0.8% of patients develop clinical haemolysis  Induces auotimmune red cell antibodies by unknown mechanisms
  • 65.
    Non-immune haemolytic anaemias:  Non-immunehaemolytic anaemias: Paroxysmal nocturnal haemoglobinuria (PNH) Red cell fragmentation syndromes March haemoglobinuria Infections Chemical and physical agents Secondary haemolytic anaemia
  • 66.
    Paroxysmal nocturnal haemoglobinuria (PNH) Acquired haemopoietic stem cell disorder  Characterized by increased sensitivity of red cells to haemolysis by complement
  • 67.
    Pathogenesis:  Arise asa clonal abnormality of stem cells  Disorder a consequence of somatic mutations error in synthesis of the glycosylphosphatidylinositol (GPI) anchor  Results in deficiencies of several GPI-anchored membrane proteins – 1) decay accelerating factor (DAF), 2) membrane inhibitor of reactive lysis (MIRL), 3) acetylcholine esterase, leukocyte alkaline phosphatase (LAP)  Some of these proteins involved in complement degradation  Absence of MIRL plays most critical role
  • 68.
    Clinical Features:  Haemoglobinuriaoccurs intermittently precipitated by a variety of events  Nocturnal haemoglobinuria uncommon  Chronic haemolytic anaemia which may be severe  Iron deficiency due to loss in urine  Bleeding may occur secondary to thrombocytopenia  Thrombosis a prominent feature
  • 69.
    Laboratory Features:  Pancytopenia Anaemia may be severe  Macrocytosis may be present due to mild reticulocytosis  Hypochromic, microcytic due to iron deficiency  Marrow: erythroid hyperplasia; may be aplastic  Urine: haemosiderinuria constant feature; haemoglobin sometimes present  Ham’s (acidified serum lysis) test positive
  • 70.
    Treatment:  Transfusion ofwashed packed red cells  Oral iron  Folate supplements  Steroids may be of benefit  Anticoagulation for thrombotic complications
  • 71.
    Red Cell Fragmentation Syndromes Microangiopathic haemolytic anaemia (MAHA)  Intravascular haemolysis due to fragmentation of normal red cells passing through abnormal arterioles  Deposition of platelets and fibrin most common cause of microvascular lesions  Red cells adhere to fibrin and are fragmented by force of blood flow  Underlying disorders:  Mucin-producing adenocarcinomas  Complications of pregnancy: a) Preeclampsia, eclampsia, b) Haemolysis, Elevated Liver enzymes, Low Platelets (HELLP)  Disseminated Intravascular Coagulation (DIC)  Thrombotic Thrombocytopenic Purpura (TTP)/ Haemolytic Uraemic Syndrome (HUS)  Malignant hypertension
  • 72.
    Laboratory Findings:  Bloodfilm: 1) schistocytes prominent, 2) spherocytes, 3) reticulocytes, 4) normoblasts  Thrombocytopenia  Coagulopathy in DIC
  • 73.
    Treatment:  Treat underlyingcause  2. Traumatic cardiac haemolytic anaemia  Seen in patients with prosthetic heart valves, cardiac valvular disorders esp. severe aortic stenosis  Due to physical damage of red cells from turbulence and high shear  stresses  Haemolytic anaemia usually mild and well compensated
  • 74.
    March Haemoglobinuria  Dueto damage to red cells between small bones of feet  Usually during prolonged marching or running  Blood film does not show fragments
  • 75.
    Infections  Cause haemolysisin a variety of ways  Ppt acute haemolytic crisis in G6PD deficiency  Cause MAHA e.g. meningococcus  Direct invasion of red cells by infective organisms e.g. malaria  Elaboration of haemolytic toxins e.g. clostridium  Production of red cell autoantibodies e.g. viral infections
  • 76.
    Chemical and physicalagents  Certain drugs cause oxidative damage in high doses e.g. dapsone  Acute haemolytic anaemia due to high levels of Cu e.g. Wilson’s disease  Chemical poisoning e.g. Pb, chlorate or arsine may cause severe haemolysis  Severe burns  Snake / spider bites  Hypophosphataemia
  • 77.
    Secondary haemolytic anaemias Red survival shortened in many systemic disorders  Renal failure – ‘burr’ cells  Liver disease – acanthocytes, target cells  Zieve’s syndrome – acute haemolytic anaemia with intravascular haemolysis, hyperlipidaemia and abdominal pain in alcoholics
  • 78.
  • 79.
    HAEMOLYTIC ANEMIA inherited acquired HaemoglobinopathyMembrane defects Enzyme deficiency Hereditary spherocytosis Hereditary elliptocytosis Hereditary stomatocytosis G6PD deficiency PK deficiency
  • 80.
    Common type of hereditaryanemia Autosomal dominant inheritance
  • 81.
     Defect inthe RBC membrane structural proteins which anchor the lipid bilayer to the underlying cytoskeleton. Spectrin abnormality Ankyrin abnormality α spectrin β spectrin Severe anemia Mild anemia
  • 83.
    Mutation in spectrinand ankyrin result in unstable RBC membrane Spherical contour & small sized RBC’s (microspherocyte) Non deformable RBC’s, Unable to pass the spleen Destroyed in spleen Other structural changes include loss of surface area and abnormal permeability
  • 84.
     ANEMIA –mildto moderate  RETICULOCYTOSIS : 5-20%  BLOOD FILM-presence of spherocytes  MCV-normal or decreased  MCHC-increased  OSMOTIC FRAGILITY TEST-increased fragility  Direct coomb’s test: negative  Abnormal cytoskeletal protein analysis.
  • 87.
    Anemia-mild to moderate Splenomegaly-in75% patients Jaundice - unconjugated type Pigment Gall stones
  • 88.
     If Hb>10gm/dl &reticulocyte count<10% = no treatment  If severe anemia , poor growth, aplastic crisis,age <2 yrs, then 1. Blood transfusion 2. Folic acid =1-5mg/day  Splenectomy-prefered when age >6 yrs,severe hemolysis& high transfusion required.
  • 89.
    Autosomal dominant disorder Involvesthe spectrin Protein- 4.1 Glycophorin C Clinical presentation – same as of HS
  • 90.
     Lab tests–  Blood film – elliptocytes  RBC mildly heat sensitive  Abnormal cytoskeletal protein analysis
  • 91.
    TREATMENT mild type-no treatment Chronichaemolysis- transfusion + splenectomy Folic acid-1mg/dl
  • 92.
     Autosomal dominantdisorder  PATHOGENESIS-  Defect in membrane protein STOMATIN  Swollen or hydrated cell(increased Na/K permeability)  Abnormal RBC cation and water content.  CLINICAL FEATURES-mild anemia& splenomegaly
  • 93.
     Stomatocyte inPBF  TREATMENT: Folic acid-1mg qd  Splenectomy ineffective
  • 94.
     X-linked recessivedisease  Cause disease in males and females are carriers
  • 95.
  • 96.
     Jaundice  Pallor Darkening of urine/ haemoglobinuria  Spenomegaly  Weakness  Self limiting –as affects only old RBC’s
  • 97.
     DURING PERIODOF ACUTE HAEMOLYSIS;  Fall in haematocrit by 25-30%  Haemoglobinemia  Decreased plasma level of heptoglobin and haemopexin.  PBF-bite cell and polychromasia  Demonstration of HIENZ BODIES.  Enzyme assays.
  • 98.
  • 99.
     Supportive careduring crisis:  Hydration  Monitoring  Transfusion if needed  Counseling to avoid intake of oxidative drugs(sulfonamides, aspirin NSAIDs, dapsone etc.
  • 100.
     Autosomal recessivedisorder  EMP pathway enzyme-90% of glucose metabolism.  PATHOGENESIS-Inability to maintain ATP Impaired cellular function Decreased RBC life span
  • 101.
     Normocytic normochromicanemia  Reticulocytosis  Increased osmotic fragility  Pyruvate kinase assay  TREATMENT:  If severe anemia with symptoms, poor growth and age <2yrs=require transfusion  Folic acid 1mg qd
  • 103.
  • 104.
    Hemoglobinopathies HEMOGLOBINOPATHY IS AKIND OF GENETIC DEFECT THAT RESULTS IN ABNORMAL STRUCTURE OF ONE OF THE GLOBIN CHAINS OF THE HEMOGLOBIN MOLECULE. HEMOGLOBINOPATHIES ARE INHERITED SINGLE- GENE DISORDERS
  • 105.
    Hb-A Molecule. Hb-Ais the major adult hemoglobin.(97%)
  • 106.
    Normal Human Haemoglobins HaemoglobinStructural formula Adult Hb-A 2 2 97% Hb-A2 2 2 1.5-3.2% Fetal Hb-F 2 2 0.5-1% Hb-Bart’s 4 Embryonic Hb-Gower 1 2 2 Hb-Gower 2 2 2 Hb-Portland 2 2
  • 107.
    Sickle Cell Disease (HbS) sickle cell anemia is an autosomal recessive disease that result from the substitution of valin for glutamic acid at position 6 of beta-globulin chain.  Patient who are homozygous for the HbS have sickle cell disease  Patient who are heterozygous for HbS gene have sickle cell trait.
  • 108.
    Sickle-Cell Disease Pathophysiology  Deoxygenationof heme moiety of sickle hemoglobin leads to hydrophobic interaction between adjacent sickle hemoglobin that aggregate into larger polymers.  Sickle red blood cell are less deformable and obstruct the microcirculation, resulting in hypoxia.  These red blood cell have a life span of only 10-20 days.
  • 109.
    CLINICAL MANIFESTATIONS and treatment Fever and Bacteremia Fever in a child with sickle cell anemia is a medical emergency, requiring prompt medical evaluation and delivery of antibiotics due to the increased risk of bacterial infection and concomitant high fatality rate with infection  Treatment antimicrobial therapy to administering a 3rd- generation cephalosporin.
  • 110.
    Dactylitis Dactylitis , oftenreferred to as hand-foot syndrome, is often the first manifestation of pain in children with sickle cell anemia occurring in 50% of children by their 2nd year Dactylitis often manifests with symmetric or unilateral swelling of the hands and/or feet. Treatment Dactylitis requires palliation with pain medications, such as acetaminophen with codeine, whereas osteomyelitis requires at least 4-6 week of antibiotics Splenic Sequestration Acute splenic sequestration is a life- threatening complication. This is due to sickled cell that block splenic outflow, leading to pooling of peripheral blood into the spleen. Treatment includes early intervention and maintenance of hemodynamic stability using isotonic fluid or blood transfusions.
  • 111.
    Pain The cardinalclinical feature of sickle cell anemia is pain, that can occur in any part of the body but most often occurs in the chest, abdomen, or extremities. The exact etiology of pain is unknown, but the pathogenesis is initiated when blood flow is disrupted in the microvasculature by sickle cells, resulting in tissue ischemia. Precipitating causes of painful episodes can include physical stress, infection, dehydration, hypoxia, local or systemic acidosis, exposure to cold.  The majority of painful episodes in patients with sickle cell anemia are managed at home with comfort measures, such as heating blanket, relaxation techniques, massage, and pain medication(acetaminophen or a nonsteroidal agent) Lung Disease Lung disease in children with sickle cell anemia is the second most common reason for admission to the hospital and a common cause of death. ACS findings include a new radiodensity on chest radiograph, fever, respiratory distress, and pain that occurs often in the chest.
  • 112.
    common pulmonary complicationssuch as bronchiolitis, asthma, and pneumonia TREATMENT Blood transfusion Supplemental oxygen Empirical antibiotics (cephalosporin and macrolide) Bronchodilators and steroids for patients with asthma Optimum pain control and fluid management. Other complication includes. Kidney Disease Psychological Complications Excessive Iron Stores Neurologic Complications Priapism sickle cell retinopathy, delayed onset of puberty, avascular necrosis of the femoral and humeral heads, and leg ulcers.
  • 113.
    Laboratory Diagnosis  Inperipheral smear, sickle-shaped red blood cell are found.  Anemia and thrombocytopenia  Leukocytosis  Rise in WBC count more than 20000 with a left shift indicative of infection  If diagnosis of sickle cell anemia Has not been made sickling test will Establish the presence of sickle cell Anemia.  Hemoglobin electrophoresis can differentiate between homozygous(80-90% HbSS) and heterozygous(35-40% HbSS)
  • 114.
    Preventive care  Allchildren require prophylaxis with penicillin or amoxicillin up to 5 year of age  Immunization with pneumococcal, meningococcal and hemophillus influenzae B vaccine  Life long folate supplementation  Regularly screening for development of gall stone  Genetic counseling and testing should be offered to family.
  • 115.
    Thalassemia Syndromes • Hereditarydisorders that can result in moderate to severe anemia • Basic defect is reduced production of selected globin chains .
  • 116.
    There are twobasic groups of thalassaemia.  thalassemia: There are four types categorized according to the severity of their effects on persons with thalassemia. ß thalassemia: There are 3 types categorized according to severity  Thalassemia minor  Thalassemia intermedia  Thalassemia major Types of Thalassemia
  • 117.
    α-Thalassemia  An absenceor deficiency of α-chain synthesis due to deletion of α-genes.  Predominant cause of alpha thalassemia is large number of gene deletions in the α-globin genes on chromosome no. 16  There are four clinical syndromes present in alpha thalassemia:  Silent Carrier State  Alpha Thalassemia Trait (Alpha Thalassemia Minor)  Hemoglobin H Disease  Bart's Hydrops Fetalis Syndrome
  • 118.
    Variants of α-Thalassemia Silentcarrier Deletion of single α-gene Genotype α-/αα Asymptomatic Absence of RBC abnormality Can only be detected by DNA studies. Thalassemia trait Also called Alpha Thalassemia Minor. Deletion of 2 α-genes Genotype --/αα or -/- Asymptomatic, minimal or no anemia Minimal RBC abnormalities
  • 119.
     Second mostsevere form alpha thalassemia. Deletion of 3 α-genes Genotype --/- α 75% reduction of α-chain Only 25% α-chain synthesis small amount of HbF, HbA, & HbA2 Fetus can survive Severe anemia Severe RBC abnormalities RBCs are microcytic, hypochromic with marked poikilocytosis Hemoglobin H Disease
  • 120.
    Most severe form.Incompatible with life. Have no functioning α chain genes (- -/- -). Baby born with hydrops fetalis, which is edema and ascites caused by accumulation serous fluid in fetal tissues as result of severe anemia. Also we will see hepatosplenomegaly and cardiomegaly. Bart’s Hydrops Fetalis Syndrome
  • 121.
    β Thalassemia  Themolecular defects in β thalassemia result in the absence or varying reduction (according to the type of mutation) in β chain production.  In individuals with beta thalassemia, there is either a complete absence of β globin production ( β-thalassemia major) or a partial reduction in β globin production ( β-thalassemia minor). An absence or deficiency of β-chain synthesis of adult HbA.
  • 122.
    Silent carrier state- the mildest form of beta thalassemia. Beta thalassemia minor - heterozygous disorder resulting in mild hypochromic, microcytic hemolytic anemia. Beta thalassemia intermedia - Severity lies between the minor and major. Beta thalassemia major - homozygous disorder resulting in severe transfusion-dependent hemolytic anemia.
  • 123.
    Beta Thalassemia Minor Caused by heterogeneous mutations that affect beta globin synthesis.  Usually presents as mild, asymptomatic hemolytic anemia unless patient in under stress such as infection or folic acid deficiency.  Have one normal beta gene and one mutated beta gene.  Anemia usually hypochromic and microcytic  Normally require no treatment
  • 124.
    Beta Thalassemia Intermedia Expression of disorder falls between thalassemia minor and thalassemia major. May be either heterozygous for mutations causing mild decrease in beta chain production, or may be homozygous causing a more serious reduction in beta chain production.  Have varying symptoms of anemia, jaundice, splenomegaly and hepatomegaly.  Have significant increase in bilirubin levels.  Anemia usually becomes worse with infections folic acid deficiencies.
  • 125.
    Beta Thalassemia Major Characterized by severe microcytic, hypochromic anemia.  Detected early in childhood:  Infants fail to thrive.  Have pallor, variable degree of jaundice, abdominal enlargement, and hepatosplenomegaly.  Hemoglobin level between 4 and 8 gm/dL.  Severe anemia causes marked bone changes due to expansion of marrow space for increased erythropoiesis.  Peripheral blood shows markedly hypochromic, microcytic erythrocytes with extreme poikilocytosis
  • 126.
    Laboratory study  Completeblood count and peripheral blood film exam. Are usually sufficient to confirm the diagnosis  Hb level range from 2-8 gm/dL  MCV and MCH are significantly low  Reliculocyte count elevated 5-8%  Leukocytosis  In PBF marked hypochromasia & microcytosis, polychromatophillic cell, nucleated red blood cell  HPCL (high performance liquid chromatography) confirms the diagnosis
  • 127.
    Complication  Iron overload:People with thalassemia can get an overload of iron in their bodies, either from the disease itself or from frequent blood transfusions. Too much iron can result in damage to the heart, liver and endocrine system, The damage is characterized by excessive deposits of iron. Without adequate iron chelation therapy, almost all patients with beta- thalassemia will accumulate potentially fatal iron levels.  bone deformities: Thalassemia can make the bone marrow expand, which causes bones to widen. This can result in abnormal bone structure, especially in the face and skull. Bone marrow expansion also makes bones thin and brittle, increasing the risk of broken bones
  • 128.
    thalassemic facies (maxilla hyperplasia,flat nasal bridge, frontal bossing) Hair on End Appearance Bone deformities
  • 129.
    Splenomegaly Thalassemia isoften accompanied by the destruction of a large number of red blood cells and the task of removing these cells causes the spleen to enlarge. Splenomegaly can make anemia worse, and it can reduce the life of transfused red blood cells. Severe enlargement of the spleen may necessitate its removal. •Slowed growth rates: anemia can cause a child's growth to slow. Puberty also may be delayed in children with thalassemia. •Heart problems: such as congestive heart failure and arrhythmias may be associated with severe thalassemia. • Infection • Extra-medullary hematopoiesis • Psychological complication
  • 130.
    Management  Hematopoietic stemcell transplantation- it is the only known treatment for thalassemia, however this option is available only to a relatively small no. of patient.  Blood transfusion- blood transfusion should be initiated at an early age attempt should made to keep Hb lavel to 9-10 g/dL  Chelation therapy- to overcome iron overload and iron toxicity. The optimal time for therapy is 1-2 year of transfusion when ferratin lavel is about 1000-1500 µg/L Deferoxime a total dose of 40-60mg/kg/day is infused over 8-12 hrs over night for 5-6 day a week by mechanical pump.
  • 131.
    Deferiporone 75mg/day maybe used as oral chelating agent Hydroxyurea in dose of 15-20 mg/kg/day used to increase HbF production and reduce the need of transfusion support
  • 132.