AIR SPACE DISEASES
By:
Dr. NITIN WADHWANI
D.Y.PATIL MEDICAL COLLEGE,RESEARCH INSTITUTE
AND HOSPITAL KOLHAPUR.
DEFINITION:
Any pathological process that displaces air from the alveoli will be depicted as airspace
opacification
WHAT FILLS THE AIRSPACES IN AIRSPACE DISEASE?
 FLUID
 PUS
 BLOOD
 CELLS
CHARACTERISTICS OF AIRSPACE DISEASE
• Produces opacities in the lung that can be described as fluffy, cloudlike, and
hazy.
• The opacities tend to be confluent, merging into one another.
• The margins of airspace disease are fuzzy and indistinct.
• Air bronchograms or the silhouette sign may be present.
Air bronchogram
• The visibility of air in the bronchus because of surrounding airspace disease is called an air
bronchogram.
• An air bronchogram is a sign of airspace disease.
• Bronchi are normally not visible because their walls are very thin, they contain air, and they are
surrounded by air.
• When something like fluid or soft tissue replaces the air normally surrounding the bronchus,
then the air inside of the bronchus becomes visible
The silhouette sign
• The silhouette sign occurs when two objects of the same radiographic density (such as
water and soft tissue)touch each other so that the edge or margin between them
disappears.
• It will be impossible to tell where one object begins and the other ends.
Radiological Signs of Airspace Disease
1. Nodular pattern
2. Ground-glass opacification
3. Consolidation.
• A nodular pattern as a sole manifestation of airspace disease is relatively uncommon.
• ‘Acinar nodules’ or ‘acinar rosettes’ has been used to describe the appearance of poorly defined
infiltrates on chest radiography and HRCT
• Bacterial infection or pulmonary haemorrhage
NODULAR PATTERN
Ground-glass opacity (GGO) represents:
• Filling of the alveolar spaces with pus, edema, hemorrhage, inflammation or tumor cells.
• Thickening of the interstitium or alveolar walls below the spatial resolution of the HRCT as
seen in fibrosis.
• So ground-glass opacification may either be the result of air space disease (filling of the
alveoli) or interstitial lung disease (i.e. fibrosis).
• On plain radiography - hazy increased lung opacity with the margins of pulmonary vessels
may be indistinct
• on CT appears as a hazy increase in lung attenuation but without obscuration of bronchial and
vascular markings
The location of the abnormalities in ground glass pattern can be
helpful:
Upper zone predominance: Respiratory bronchiolitis, Pneumocystis pneumonia.
Lower zone predominance: UIP, NSIP, DIP.
Centrilobular distribution: Hypersensitivity pneumonitis, Respiratory bronchiolitis
Consolidation
• Increase in lung density on chest radiography or CT in which
the margins of vessels and airways are obscured
• An air bronchogram may be seen.
• Pathologic processes can result in air-space
consolidation:
1. Water (e.g., the various types of pulmonary edema)
2. Blood (e.g., pulmonary hemorrhage)
3. Pus (e.g., pneumonia)
4. Cells (e.g., pulmonary adenocarcinoma, lymphoma, eosinophilic
pneumonia, organizing
pneumonia [OP])
5. Other substances (e.g., lipoprotein in alveolar proteinosis, lipid in lipoid
pneumonia
CONSOLIDATION
Acute
• Pneumonia
• Pulmonary alveolar edema
• Hemorrhage
• Acute eosinophilic pneumonia
Chronic
• Bronchoalveolar cell carcinoma
• Alveolar cell proteinosis
• Aspiration
• Near-drowning
• Sarcoidosis
• Lymphoma
• Chronic eosinophilic pneumonia
• Fibrosis in UIP and NSIP
Radiographic and CT Findings of Consolidation
• Homogeneous opacity obscuring vessels
• Air bronchograms
• Ill-defined or fluffy opacities
• “Air alveolograms”
• Patchy opacities
• “Acinar” or air-space nodules
• Preserved lung volume
• Extension to pleural surface
• “CT angiogram” sign
Homogeneous Opacity Obscuring Vessels
• With complete replacement of alveolar air, homogeneous
opacification of the lung results.
• Vessels within the consolidated lung are invisible
Patterns of Consolidation
Diffuse or Extensive Consolidation
.
WATER (EDEMA)
• Hydrostatic (cardiogenic) pulmonary edema
Increased permeability (noncardiogenic)
pulmonary
• edema
BLOOD (HEMORRHAGE)
• Aspiration of blood
• Bleeding diathesis
• Collagen-vascular disease and immune comple
vasculitis
• Goodpasture's syndrome
• Idiopathic pulmonary hemosiderosis
• Trauma
• Vasculitis
OTHER SUBSTANCES
• Alveolar proteinosis
(lipoprotein)
• Lipoid pneumonia (lipid)
CELLS
• Neoplasm -Pulmonary adenocarcinoma
• Lymphoma and other lymphoproliferative
diseases
• Eosinophilic pneumonia or other eosinophilic
diseases
• Organizing pneumonia (OP)
• Idiopathic interstitial pneumonias
• Sarcoidosis
Perihilar “Bat-Wing” Consolidation
 Shows central consolidation with sparing of the lung periphery
 Pulmonary edema
 This pattern also may be seen with:
• pulmonary hemorrhage
• pneumonias
(including bacteria and atypical pneumonias such as Pneumocystis jiroveci pneumonia
[PCP]
and viral pneumonia)
• inhalational lung injury.
• Peripheral or subpleural consolidation is the opposite of a bat-wing pattern (i.e., a
reverse bat wing pattern).
• Consolidation is seen adjacent to the chest wall, with sparing of the perihilar
regions.
• It is classically associated with eosinophilic lung diseases, particularly
eosinophilic pneumonia but may also occur with OP, sarcoidosis, radiation
pneumonitis, lung contusion, or mucinous adenocarcinoma.
Peripheral or Subpleural Consolidation
Diffuse Patchy Consolidation
• seen with any pneumonia (bacterial, mycobacterial, fungal, viral, PCP),
• pulmonary edema (hydrostatic and permeability),
• acute respiratory distress syndrome (ARDS),
• pulmonary hemorrhage
• aspiration,
• inhalational diseases
• eosinophilic diseases
• invasive mucinous adenocarcinoma.
.
Diffuse Air-space Nodules
 This appearance is seen in patients with endobronchial spread
of infection such as :
• Tuberculosis (TB) or Mycobacterium avium complex (MAC) bacterial
• bronchopneumonia
• viral pneumonia (cytomegalovirus [CMV], measles)
• invasive mucinous adenocarcinoma with endobronchial spread
• pulmonary hemorrhage
• aspiration.
Diffuse Homogeneous Consolidation
• Pulmonary edema,
• ARDS
• Pulmonary hemorrhage
• Pneumonias (including viral and PCP)
• Alveolar proteinosis
• Extensive atelectasis.
Differential Diagnosis of Focal Consolidation
Water (Edema)
• Edema in a patient with Pulmonary artery obstruction
(e.g., pulmonary embolism)
• Pulmonary vein occlusion
• Atelectasis with drowned lung
CELLS
• Neoplasm
• Pulmonary adenocarcinoma
• Lymphoma and other lymphoproliferative diseases
• Eosinophilic pneumonia or other eosinophilic
diseases
• Organizing pneumonia (OP)
• Sarcoidosis
PUS (PNEUMONIA)
• Bacterial
• Tuberculosis or nontuberculous mycobacterial
• Fungal
• Virus (uncommon)
• Pneumocystis (uncommon)
• Aspiration pneumonia
• Atelectasis with postobstructive pneumonia
Blood (hemorrhage)
• Contusion
• Infarction
• Aspiration of blood
• Vasculitis
Lobar Consolidation
• Consolidation involving a single (or more than one) lobe is most typical of pneumonia
(including Streptococcus pneumoniae, Klebsiella , Legionella, and TB) and
abnormalities associated with bronchial obstruction.
• Consolidation can be localized to one or more lobes if its relationship to a specific fissure or fissures is
apparent on either frontal or lateral radiographs, or on CT.
Segmental (or Subsegmental) Consolidation
• Segmental (or subsegmental) consolidation may be diagnosed if a wedge-shaped opacity of more than a
few centimeters in size is visible with the apex of the wedge pointing toward the hilum
• This finding suggests an abnormality related to a segmental (or subsegmental) bronchus or artery
such as bronchial obstruction due to mucus or tumor,bronchopneumonia, focal aspiration, or pulmonary
embolism with infarction.
Differential Diagnosis of Consolidation Based on Time
Course
Rapidly Appearing Consolidation or Consolidation with Acute Symptoms
• atelectasis with drowned lung,
• aspiration,
• pulmonary edema,
• pulmonary hemorrhage,
• pulmonary embolism with infarction,
• or rapidly progressing pneumonia,
particularly in an immunocompromised host
. Of these, only pulmonary edema and drowned lung may clear quickly.
Long-standing Consolidation or Consolidation with Chronic
Symptoms
Long-standing (chronic) consolidation (4 to 6 weeks or longer) suggests
• eosinophilic pneumonia,
• organizing pneumonia
• mucinous adenocarcinoma
• lymphoma
• lipoid pneumonia
• indolent pneumonias caused by fungal organisms.
Recurrent processes (e.g., recurrent pulmonary edema, pulmonary hemorrhage, or aspiration)
may appear to be chronic if radiographs are obtained only during the acute episodes.
THANK YOU

Air Space Diseases.pptx

  • 1.
    AIR SPACE DISEASES By: Dr.NITIN WADHWANI D.Y.PATIL MEDICAL COLLEGE,RESEARCH INSTITUTE AND HOSPITAL KOLHAPUR.
  • 3.
    DEFINITION: Any pathological processthat displaces air from the alveoli will be depicted as airspace opacification WHAT FILLS THE AIRSPACES IN AIRSPACE DISEASE?  FLUID  PUS  BLOOD  CELLS
  • 4.
    CHARACTERISTICS OF AIRSPACEDISEASE • Produces opacities in the lung that can be described as fluffy, cloudlike, and hazy. • The opacities tend to be confluent, merging into one another. • The margins of airspace disease are fuzzy and indistinct. • Air bronchograms or the silhouette sign may be present.
  • 5.
    Air bronchogram • Thevisibility of air in the bronchus because of surrounding airspace disease is called an air bronchogram. • An air bronchogram is a sign of airspace disease. • Bronchi are normally not visible because their walls are very thin, they contain air, and they are surrounded by air. • When something like fluid or soft tissue replaces the air normally surrounding the bronchus, then the air inside of the bronchus becomes visible
  • 7.
    The silhouette sign •The silhouette sign occurs when two objects of the same radiographic density (such as water and soft tissue)touch each other so that the edge or margin between them disappears. • It will be impossible to tell where one object begins and the other ends.
  • 9.
    Radiological Signs ofAirspace Disease 1. Nodular pattern 2. Ground-glass opacification 3. Consolidation.
  • 10.
    • A nodularpattern as a sole manifestation of airspace disease is relatively uncommon. • ‘Acinar nodules’ or ‘acinar rosettes’ has been used to describe the appearance of poorly defined infiltrates on chest radiography and HRCT • Bacterial infection or pulmonary haemorrhage NODULAR PATTERN
  • 12.
    Ground-glass opacity (GGO)represents: • Filling of the alveolar spaces with pus, edema, hemorrhage, inflammation or tumor cells. • Thickening of the interstitium or alveolar walls below the spatial resolution of the HRCT as seen in fibrosis. • So ground-glass opacification may either be the result of air space disease (filling of the alveoli) or interstitial lung disease (i.e. fibrosis). • On plain radiography - hazy increased lung opacity with the margins of pulmonary vessels may be indistinct • on CT appears as a hazy increase in lung attenuation but without obscuration of bronchial and vascular markings
  • 15.
    The location ofthe abnormalities in ground glass pattern can be helpful: Upper zone predominance: Respiratory bronchiolitis, Pneumocystis pneumonia. Lower zone predominance: UIP, NSIP, DIP. Centrilobular distribution: Hypersensitivity pneumonitis, Respiratory bronchiolitis
  • 16.
    Consolidation • Increase inlung density on chest radiography or CT in which the margins of vessels and airways are obscured • An air bronchogram may be seen.
  • 17.
    • Pathologic processescan result in air-space consolidation: 1. Water (e.g., the various types of pulmonary edema) 2. Blood (e.g., pulmonary hemorrhage) 3. Pus (e.g., pneumonia) 4. Cells (e.g., pulmonary adenocarcinoma, lymphoma, eosinophilic pneumonia, organizing pneumonia [OP]) 5. Other substances (e.g., lipoprotein in alveolar proteinosis, lipid in lipoid pneumonia
  • 18.
    CONSOLIDATION Acute • Pneumonia • Pulmonaryalveolar edema • Hemorrhage • Acute eosinophilic pneumonia Chronic • Bronchoalveolar cell carcinoma • Alveolar cell proteinosis • Aspiration • Near-drowning • Sarcoidosis • Lymphoma • Chronic eosinophilic pneumonia • Fibrosis in UIP and NSIP
  • 19.
    Radiographic and CTFindings of Consolidation • Homogeneous opacity obscuring vessels • Air bronchograms • Ill-defined or fluffy opacities • “Air alveolograms” • Patchy opacities • “Acinar” or air-space nodules • Preserved lung volume • Extension to pleural surface • “CT angiogram” sign
  • 20.
    Homogeneous Opacity ObscuringVessels • With complete replacement of alveolar air, homogeneous opacification of the lung results. • Vessels within the consolidated lung are invisible
  • 24.
    Patterns of Consolidation Diffuseor Extensive Consolidation . WATER (EDEMA) • Hydrostatic (cardiogenic) pulmonary edema Increased permeability (noncardiogenic) pulmonary • edema BLOOD (HEMORRHAGE) • Aspiration of blood • Bleeding diathesis • Collagen-vascular disease and immune comple vasculitis • Goodpasture's syndrome • Idiopathic pulmonary hemosiderosis • Trauma • Vasculitis OTHER SUBSTANCES • Alveolar proteinosis (lipoprotein) • Lipoid pneumonia (lipid) CELLS • Neoplasm -Pulmonary adenocarcinoma • Lymphoma and other lymphoproliferative diseases • Eosinophilic pneumonia or other eosinophilic diseases • Organizing pneumonia (OP) • Idiopathic interstitial pneumonias • Sarcoidosis
  • 25.
    Perihilar “Bat-Wing” Consolidation Shows central consolidation with sparing of the lung periphery  Pulmonary edema  This pattern also may be seen with: • pulmonary hemorrhage • pneumonias (including bacteria and atypical pneumonias such as Pneumocystis jiroveci pneumonia [PCP] and viral pneumonia) • inhalational lung injury.
  • 27.
    • Peripheral orsubpleural consolidation is the opposite of a bat-wing pattern (i.e., a reverse bat wing pattern). • Consolidation is seen adjacent to the chest wall, with sparing of the perihilar regions. • It is classically associated with eosinophilic lung diseases, particularly eosinophilic pneumonia but may also occur with OP, sarcoidosis, radiation pneumonitis, lung contusion, or mucinous adenocarcinoma. Peripheral or Subpleural Consolidation
  • 29.
    Diffuse Patchy Consolidation •seen with any pneumonia (bacterial, mycobacterial, fungal, viral, PCP), • pulmonary edema (hydrostatic and permeability), • acute respiratory distress syndrome (ARDS), • pulmonary hemorrhage • aspiration, • inhalational diseases • eosinophilic diseases • invasive mucinous adenocarcinoma. .
  • 31.
    Diffuse Air-space Nodules This appearance is seen in patients with endobronchial spread of infection such as : • Tuberculosis (TB) or Mycobacterium avium complex (MAC) bacterial • bronchopneumonia • viral pneumonia (cytomegalovirus [CMV], measles) • invasive mucinous adenocarcinoma with endobronchial spread • pulmonary hemorrhage • aspiration.
  • 33.
    Diffuse Homogeneous Consolidation •Pulmonary edema, • ARDS • Pulmonary hemorrhage • Pneumonias (including viral and PCP) • Alveolar proteinosis • Extensive atelectasis.
  • 34.
    Differential Diagnosis ofFocal Consolidation Water (Edema) • Edema in a patient with Pulmonary artery obstruction (e.g., pulmonary embolism) • Pulmonary vein occlusion • Atelectasis with drowned lung CELLS • Neoplasm • Pulmonary adenocarcinoma • Lymphoma and other lymphoproliferative diseases • Eosinophilic pneumonia or other eosinophilic diseases • Organizing pneumonia (OP) • Sarcoidosis PUS (PNEUMONIA) • Bacterial • Tuberculosis or nontuberculous mycobacterial • Fungal • Virus (uncommon) • Pneumocystis (uncommon) • Aspiration pneumonia • Atelectasis with postobstructive pneumonia Blood (hemorrhage) • Contusion • Infarction • Aspiration of blood • Vasculitis
  • 35.
    Lobar Consolidation • Consolidationinvolving a single (or more than one) lobe is most typical of pneumonia (including Streptococcus pneumoniae, Klebsiella , Legionella, and TB) and abnormalities associated with bronchial obstruction. • Consolidation can be localized to one or more lobes if its relationship to a specific fissure or fissures is apparent on either frontal or lateral radiographs, or on CT.
  • 38.
    Segmental (or Subsegmental)Consolidation • Segmental (or subsegmental) consolidation may be diagnosed if a wedge-shaped opacity of more than a few centimeters in size is visible with the apex of the wedge pointing toward the hilum • This finding suggests an abnormality related to a segmental (or subsegmental) bronchus or artery such as bronchial obstruction due to mucus or tumor,bronchopneumonia, focal aspiration, or pulmonary embolism with infarction.
  • 40.
    Differential Diagnosis ofConsolidation Based on Time Course Rapidly Appearing Consolidation or Consolidation with Acute Symptoms • atelectasis with drowned lung, • aspiration, • pulmonary edema, • pulmonary hemorrhage, • pulmonary embolism with infarction, • or rapidly progressing pneumonia, particularly in an immunocompromised host . Of these, only pulmonary edema and drowned lung may clear quickly.
  • 41.
    Long-standing Consolidation orConsolidation with Chronic Symptoms Long-standing (chronic) consolidation (4 to 6 weeks or longer) suggests • eosinophilic pneumonia, • organizing pneumonia • mucinous adenocarcinoma • lymphoma • lipoid pneumonia • indolent pneumonias caused by fungal organisms. Recurrent processes (e.g., recurrent pulmonary edema, pulmonary hemorrhage, or aspiration) may appear to be chronic if radiographs are obtained only during the acute episodes.
  • 48.

Editor's Notes

  • #3 The air spaces are defined as the air containing part of the lung which includes the respiratory but not the terminal bronchioles. The latter are the last purely conducting airways of the bronchial tree and the region of lung subtended by a terminal bronchiole is the acinus.6
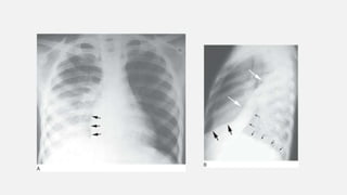
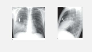
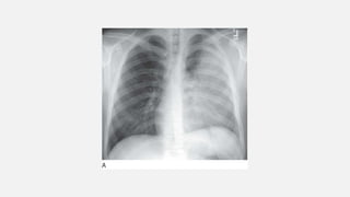
  • #7  left upper lobe with fluffy, indistinct margins (red arrow) containing air bronchograms (white arrows). This was found to be a staphylococcal pneumonia.
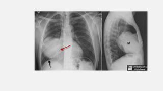
  • #9 n, Right Middle Lobe Mass. On the frontal image, there is a large mass in the right lower lung field. We note it is "silhouetting" the right heart border (red arrow) which is no longer seen as a distinct edge. It is not silhouetting the right hemidiaphragm (black arrow). The mass is therefore (1) touching the right heart border and is anterior and (2) the mass is soft tissue or fluid density. The lateral view shows the mass (M) is in the right middle lobe. It was a large bronchogenic carcinoma. n, Right Middle Lobe Mass. On the frontal image, there is a large mass in the right lower lung field. We note it is "silhouetting" the right heart border (red arrow) which is no longer seen as a distinct edge. It is not silhouetting the right hemidiaphragm (black arrow). The mass is therefore (1) touching the right heart border and is anterior and (2) the mass is soft tissue or fluid density. The lateral view shows the mass (M) is in the right middle lobe. It was a large bronchogenic carcinoma.
  • #10 represent the range of radiological abnormalities.
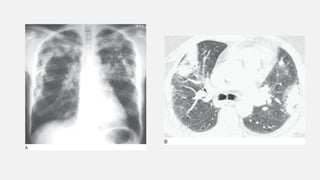
  • #12  image of the right lung showing numerous ill-defined nodules in a patient with disseminated pulmonary tuberculosis.
  • #14 Ground-glass opacification on CT in an immunocompromised patient with Pneumocystis jiroveci infection.
  • #17 This radiological pattern occurs when air in the air spaces is replaced by any pathological process (e.g. inflammatory cells, blood or tumour). In some patients, a characteristic perilobular distribution (giving the spurious impression of thickened interlobular septa) may be seen
  • #18  In general, the differential diagnosis is based on a consideration of what may be replacing alveolar air:
  • #20 One of the principal limitations of imaging studies is that a multitude of pathological processes in the air spaces manifest in only a limited number of ways: thus, for most airspace diseases, a modular pattern, ground-glass opacification and consolidation represent the range of radiological abnormalities.
  • #21 Right lung consolidation due to pulmonary edema. Air bronchograms are visible bilaterally within the consolidated lung, and pulmonary vessels are obscured.
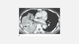
  • #22 Enhanced CT in a patient with right middle and lower lobe pneumonia shows homogeneous consolidation, preserved lung volume, air bronchograms (black arrows), and opacified vessels (white arrows), appearing denser than surrounding consolidated lung (i.e., the “CT angiogram” sign).Preserved Lung Volume In the presence of consolidation, because alveolar air is replaced by something else the volume of affected lung tends to be preserved
  • #23 : Ill-defined fluffy consolidation (white arrows) is visible on CT in a patient with right lower lobe pneumonia. Small focal lucencies (black arrows) within the area of consolidation are “air alveolograms.”
  • #24 Consolidation: patchy opacities. A: Chest radiograph in a patient with pulmonary edema due to renal failure shows patchy perihilar consolidation. B: Patchy areas of fluffy consolidation are seen on CT. The fluffy margins are due to variable involvement of alveoli at the edges of the pathologic process.
  • #25 Based on the radiographic or CT pattern of abnormalities, patients with consolidation may be divided into two primary groups for the purpose of differential diagnosis: those with diffuse or bilateral consolidation and those with focal consolidation.Diffuse consolidation has a number of possible causes (Table 1.1), and the clinical history is often more important than the radiographic findings in making the diagnosis. Several patterns or distributions of diffuse consolidation may suggest possible causes.
  • #27 Perihilar “bat-wing” consolidation in pulmonary edema. A: Chest radiograph shows a distinct perihilar predominance of consolidation. The heart is enlarged. B: CT shows sparing of the lung periphery.
  • #28  It is most often seen in patients with a chronic lung disease.
  • #29 Peripheral subpleural (reverse bat-wing) consolidation. A: Chest radiograph in a patient with chronic eosinophilic pneumonia shows areas of consolidation in the subpleural lung. The perihilar regions are spared. B: CT in a patient with OP shows patchy areas of consolidation in the subpleural lung.
  • #31  Diffuse patchy consolidation in a patient with viral pneumonia.
  • #33 4. Diffuse air-space nodules in bronchopneumonia. Multiple small nodular opacities are typical of spread of infection through the airways. This represented a bacterial bronchopneumonia, but other organisms such as TB, MAC, fungus, or viruses may be involved.
  • #34 Diffuse homogeneous consolidation is most typical in patients with
  • #37 . Lobar consolidation with expansion. A: A patient with right upper lobe consolidation due to Klebsiella pneumonia shows downward bowing of the minor fissure (arrows) because of lobar expansion. B: Invasive mucinous adenocarcinoma involving the left upper lobe with posterior bulging (arrows) of the left major fissure.
  • #38 6. Spherical consolidation due to pneumonia. A: On the initial radiograph, a patient with Legionella pneumonia shows a poorly defined area of consolidation (arrows) in the right upper lobe. This may be termed “round pneumonia.” B: Over the next several days, the spherical consolidation increases in size because of local interalveolar spread. This appearance may be seen in the early stages of lobar pneumonias. C: Further progression results in consolidation of the right upper lobe, marginated by the minor fissure (arrows). D: A lateral view at the same time as (C) shows upper lobe consolidation marginated by the major and minor fissures (arrows). Partial right middle lobe consolidation is also present.
  • #40  Segmental consolidation. A patient with pneumonia shows consolidation of the lateral segment of the right middle lobe. The segmental bronchus is seen within the consolidated lung as an air bronchogram. The medial segment, adjacent to the right heart border, is normally aerated. The consolidated segment borders posteriorly on the major fissure.
  • #41 Rapidly appearing consolidation (a few hours) or consolidation associated with acute symptoms suggests
  • #43 Anatomic relationships and the silhouette sign on a frontal radiograph. Obscuration of the borders shown in this diagram is associated with consolidation of the listed lobes. RUL, right upper lobe; RML, right middle lobe; RLL, right lower lobe; LUL, left upper lobe; LLL, left lower lobe.
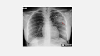
  • #44  The silhouette sign in right upper lobe pneumonia. A: Consolidation of the right upper lobe obscures (i.e., silhouettes) the border of the right superior mediastinum and superior vena cava. The upper part of the right hilum is also invisible. B: On the lateral view, the consolidated upper lobe is outlined superiorly by the upper aspect of the major fissure (black arrows). Inferiorly, it is outlined by the minor fissure (white arrows).
  • #45 he silhouette sign in right middle lobe pneumonia. A: Consolidation of the right middle lobe obscures (“silhouettes”) the right heart border (i.e., it is not clearly seen).In contrast, the left heart border is sharply marginated. The right hemidiaphragm appears sharply marginated. The pneumonia is marginated by the minor fissure (arrow). B: On the lateral view, middle lobe consolidation is visible, marginated above by the minor fissure (large arrows); inferiorly, it is marginated by the major fissure (small arrows).
  • #46  The silhouette sign in right lower lobe pneumonia. A: The frontal view shows right lower lobe consolidation with obscuration of the diaphragm. The right heart border (arrows) remains visible as an edge. B: On the lateral view, complete right lower lobe consolidation is visible, outlined anteriorly by the major fissure (white arrows). The right hemidiaphragm (large black arrows) is sharply marginated anterior to the consolidated lobe but is invisible posteriorly. The posterior left heart border and left hemidiaphragm are sharply marginated (small black arrows).
  • #47 A: The left heart border is obscured because of lingular consolidation. The left superior mediastinum remains sharply marginated because the medial portions of the anterior and apical segments of the left upper lobe remain aerated. B: Typical findings of left upper lobe (LUL; and lingular)consolidation: (1) the left superior mediastinum and aortic arch are obscured, (2) the superior left hilum is obscured, (3) the descending aorta remains visible, (4) the left heart border is obscured, and (5) the left hemidiaphragm remains visible.
  • #48 The silhouette sign in left lower lobe pneumonia. A:The left hemidiaphragm is partially obscured by left lower lobe consolidation (arrows). B: On the lateral view, a portion of the left hemidiaphragm (arrow) also is obscured.