Chest x ray
Lung pathologies
K.krishna Chaitanya
General Medicine
JR-2
Basic approach to chest x ray
● Assessment of quality
● & airways
● Bones and soft tissues
● Cardiac
● Diaphragm
● Effusion
● Fields and fissures
● Great vessels
● Hila and hidden structures
● Impression..
Lung zones and vasculature
A. Lung zones: Upper lung zones (blue); Middle lung zones (red); Lower lung zones (yellow).
B and C. In the erect position, the veins in the upper lung zones (i.e., the veins that branch superiorly from
the hilum) are about 1/3 the size of those in the lower zones.
Also, vessels in the upper lung zones are fewer than those in the lower zones. In the outer 1/3 of the lung
zones (pink), lung vessels are fewer and smaller than in the inner third
The silhouette sign
● The loss of the normal silhouette of a structure on the CXR is called the silhouette sign.
● Two opacities of similar density seen on a CXR
are next to each other if their borders (silhouettes) cannot be made out (silhouette sign is present)
are not next to each other if their borders (silhouettes) are well seen (silhouette sign is absent)
Pulmonary lobule and pulmonary acinus
● The lungs comprise the airspaces (alveoli) and the interstitium.
● The interstitium contains supporting connective tissue, branching bronchi and bronchioles, arteries, veins
and lymphatics
Chest x ray - lung diseases (four patterened
approach)
● On a chest x-ray lung abnormalities will either present as areas of
increased density or as areas of decreased density.
● Lung abnormalities with an increased density - also called
opacities - are the most common.
A practical approach is to divide these into four patterns:
● Consolidation
● Interstitial
● Nodules or masses
● Atelectasis
Pulmonary opacification patterns
● Pulmonary opacification is a nonspecific term that corresponds to a decreased ratio of gas to soft tissue
(and therefore an increased attenuation on CXR and CT)
Alveolar opacification/consolidation
● Alveolar opacification (consolidation or airway opacification) seen on CXRs means
that “something other than air” fills the alveoli.
● Alveolar opacification can display the following distribution patterns:
lobar
multiple/diffuse
bat wing
reversed bat wing
Signs of consolidation on x ray
● ill-defined, patchy, coalescent areas of opacification
● No loss of volume in the affected lung parts
● Air bronchogram > the air-filled bronchi (dark) are outlined by the opacified (whitish/grey) alveoli. If the
bronchi contain fluid, there is no air bronchogram.
● Extension to a fissure without crossing it.
● Silhouette sign -loss of lung/soft tissue interface
Right upper lobe consolidation
Bulging right horizontal fissure with right upper lobe
consolidation and air bronchograms.
consolidation within the postero-inferior aspect of
the right upper lobe immediately abutting the
horizontal fissure
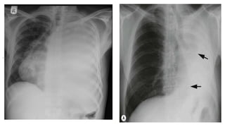
Right middle lobe consolidation
Right lower lobe consolidation
Left upper lobe consolidation
loss of left heart border consistent with
left lingula consolidation.
Left upper lobe airspace consolidation with
air bronchograms
Left lower lobe consolidation
● Density in left lower lung field, left heart silhouette intact, loss of diaphragmatic silhouette, no shift of
mediastinum, air bronchogram.
Bat Wing and Reversed Bat Wing Distribution Pattern
bilateral perihilar alveolar opacities
M/c cause - cardiogenic pulm edema
bilateral peripheral alveolar
opacities sparing the perihilar regions
M/c cause- chronic eosinophilic pneumonia
Pulmonary edema -Grade1
Pulmonary edema -Grade 2
Pulmonary edema -Grade 3
Atelectatic opacification (collapse)
● collapse of a complete lung or part of the lung (lobe, segment or specific subsegmental area) leading to an
impaired 02 and C02 exchange and, therefore, to an intrapulmonary shunt.(Which leads to loss of air in the
alveoli)
Etiology
• luminal
aspirated foreign material
mucus plugging
endobronchial mass
misplaced endotracheal tube
• mural
Lung cancer
• extrinsic
compression by adjacent mass
Signs of atelectasis/collapse on x ray
● Homogenous lung opacification
● Displacement of interlobar fissure towards
the atelectasis
● Mediastinal shift towards atelectasis
● Hilum and ipsilateral hemidiaphragm
elevation (peaked appearance)
● Compensatory hyperinflation
● Ribs crowding
Right upper lobe collapse & golden S sign
This sign is classically seen with post-obstructive
atelectasis due to a central hilar mass
Lateral chest radiograph reveals
complete collapse of the right upper
lobe with opacity anterior to the right
major fissure
Right middle lobe atelectasis
● Homogeneous pulmonary opacification,
● Displacement of interlobar fissures towards the atelectasis (i.e., downwards displacement of the horizontal
fissure and upwards displacement of the oblique fissure )
● Displacement of the right hilum towards the atelectasis,
● Closeness of ipsilateral ribs
Right lower lobe collapse
There is a opacity immediately above the diaphragm causing a loss of its outline. On the lateral film there is a
white triangle at the lower posterior part of the lung field.Note how the outline of the right heart border is
maintained.
Left lower lobe collapse
● The left lung field appears much darker than normal and the heart shadow will appear much whiter
than normal.
● If you look carefully you can see a white triangle behind the heart
Interstitial opacification
● Interstitial opacification means that the pathology is within or next to the
lung interstitium (which includes alveolar epithelium, pulmonary capillary
endothelium,basement membrane, perivascular and perilymphatic spaces).
causes
1. Acute -interstial edema & viral pneumonia
2. Sub acute - lymphangitis carcinomatis
3. Chronic - cystic fibrosis,connective tissue disorder,sarcoidosis,silicosis &
tuberculosis
Patterns
Micronodular pattern
● Micronodular interstitial opacification is characterised by 1 -
5 mm nodules, which are well defined and are not
associated with air bronchograms.
● Nodules tend to be very numerous;
● when they are distributed randomly throughout the lungs,
the term ”miliary nodules” is used.
● In febrile patients, tuberculosis, viral and fungal infections
are the most common causes.
● In afebrile patients, miliary tuberculosis, healed varicella
pneumonia, sarcoidosis and miliary metastases (thyroid
cancer, melanoma, breast cancer) are the top differential
diagnoses.
● It is often difficult to detect interstitial opacification on CXRs.
● CT is the modality of choice to detect and assess the distribution of interstitial opacification and to
distinguish between the different patterns. The combination of pattern types, distribution and associated
chest findings plays an essential role for the differential diagnosis
Linear pattern (Kerley
lines)
Nodular pattern Reticulonodular pattern Coarse reticulations &
honeycombing
Nodular opacification
● Lung nodules are rounded opacities located in the pulmonary interstitium.
● They comprise pulmonary nodules (≤ 3 cm) and pulmonary masses (> 3 cm).
● Nodules < 6 mm in average diameter are called micronodules according to the Fleischner Society
Glossary.
● Pulmonary nodules can be solitary or multiple
Solitary pulmonary nodule
● A solitary pulmonary nodule or SPN is defined as a discrete, well-marginated, rounded opacity less than
or equal to 3 cm in diameter.
● It has to be completely surrounded by lung parenchyma, does not touch the hilum or mediastinum and is
not associated with adenopathy, atelectasis or pleural effusion.
Steps to asses abnormality in SPN
1. Look at the edge of the lesion. A spiculated, irregular or lobulated edge is suggestive of malignancy.
2. Look for areas of calcification.These would be dense white (the same density as bone) and be obviously much denser than
the rest of the lesion. Calcification is rare in a malignant lesion and would point you to an alternative diagnosis.
3. Look at the nature of the whiteness. If the lesion is cavitating the centre may be darker than the circumference. If looking at
an X-ray film, stand back from the X-ray since a cavity is often easier to see from a distance.
4. Look for an air bronchogram. This is a sign of consolidation and so would be a most unusual finding if the lesion was a
tumour.
5. Look for other coin nodules. The presence of more than one strongly suggests metastatic disease.
6. Look for abnormalities peripheral to the lesion. A tumour may cause problems distal to it such as infection causing
consolidation or an area of collapse.
7. Look carefully at the rest of the X-ray. Malignant tumours may be associated with mediastinal lymphadenopathy or bone
metastasis.
8. Look at old films if available.Tumours grow, and so if the lesion was present on an earlier film compare its size. Some
tumours grow slowly, but it is safe to say that if the lesion has not changed over a period of two years or greater it is unlikely
to be malignant
Multiple nodules
● As opposed to the SPN, which is often detected incidentally, multiple pulmonary nodules (MPNs) are most
often seen in symptomatic patients, in patients with an underlying malignancy or in immunocompromised
patients.
Conclusion
…I
Thank you….

Chest x ray pathologies part one . (3) pdf

  • 1.
    Chest x ray Lungpathologies K.krishna Chaitanya General Medicine JR-2
  • 2.
    Basic approach tochest x ray ● Assessment of quality ● & airways ● Bones and soft tissues ● Cardiac ● Diaphragm ● Effusion ● Fields and fissures ● Great vessels ● Hila and hidden structures ● Impression..
  • 7.
    Lung zones andvasculature A. Lung zones: Upper lung zones (blue); Middle lung zones (red); Lower lung zones (yellow). B and C. In the erect position, the veins in the upper lung zones (i.e., the veins that branch superiorly from the hilum) are about 1/3 the size of those in the lower zones. Also, vessels in the upper lung zones are fewer than those in the lower zones. In the outer 1/3 of the lung zones (pink), lung vessels are fewer and smaller than in the inner third
  • 8.
    The silhouette sign ●The loss of the normal silhouette of a structure on the CXR is called the silhouette sign. ● Two opacities of similar density seen on a CXR are next to each other if their borders (silhouettes) cannot be made out (silhouette sign is present) are not next to each other if their borders (silhouettes) are well seen (silhouette sign is absent)
  • 9.
    Pulmonary lobule andpulmonary acinus ● The lungs comprise the airspaces (alveoli) and the interstitium. ● The interstitium contains supporting connective tissue, branching bronchi and bronchioles, arteries, veins and lymphatics
  • 10.
    Chest x ray- lung diseases (four patterened approach) ● On a chest x-ray lung abnormalities will either present as areas of increased density or as areas of decreased density. ● Lung abnormalities with an increased density - also called opacities - are the most common. A practical approach is to divide these into four patterns: ● Consolidation ● Interstitial ● Nodules or masses ● Atelectasis
  • 11.
    Pulmonary opacification patterns ●Pulmonary opacification is a nonspecific term that corresponds to a decreased ratio of gas to soft tissue (and therefore an increased attenuation on CXR and CT)
  • 12.
    Alveolar opacification/consolidation ● Alveolaropacification (consolidation or airway opacification) seen on CXRs means that “something other than air” fills the alveoli. ● Alveolar opacification can display the following distribution patterns: lobar multiple/diffuse bat wing reversed bat wing
  • 14.
    Signs of consolidationon x ray ● ill-defined, patchy, coalescent areas of opacification ● No loss of volume in the affected lung parts ● Air bronchogram > the air-filled bronchi (dark) are outlined by the opacified (whitish/grey) alveoli. If the bronchi contain fluid, there is no air bronchogram. ● Extension to a fissure without crossing it. ● Silhouette sign -loss of lung/soft tissue interface
  • 15.
    Right upper lobeconsolidation Bulging right horizontal fissure with right upper lobe consolidation and air bronchograms. consolidation within the postero-inferior aspect of the right upper lobe immediately abutting the horizontal fissure
  • 16.
    Right middle lobeconsolidation
  • 17.
    Right lower lobeconsolidation
  • 18.
    Left upper lobeconsolidation loss of left heart border consistent with left lingula consolidation. Left upper lobe airspace consolidation with air bronchograms
  • 19.
    Left lower lobeconsolidation ● Density in left lower lung field, left heart silhouette intact, loss of diaphragmatic silhouette, no shift of mediastinum, air bronchogram.
  • 20.
    Bat Wing andReversed Bat Wing Distribution Pattern bilateral perihilar alveolar opacities M/c cause - cardiogenic pulm edema bilateral peripheral alveolar opacities sparing the perihilar regions M/c cause- chronic eosinophilic pneumonia
  • 21.
  • 22.
  • 23.
  • 24.
    Atelectatic opacification (collapse) ●collapse of a complete lung or part of the lung (lobe, segment or specific subsegmental area) leading to an impaired 02 and C02 exchange and, therefore, to an intrapulmonary shunt.(Which leads to loss of air in the alveoli) Etiology • luminal aspirated foreign material mucus plugging endobronchial mass misplaced endotracheal tube • mural Lung cancer • extrinsic compression by adjacent mass
  • 25.
    Signs of atelectasis/collapseon x ray ● Homogenous lung opacification ● Displacement of interlobar fissure towards the atelectasis ● Mediastinal shift towards atelectasis ● Hilum and ipsilateral hemidiaphragm elevation (peaked appearance) ● Compensatory hyperinflation ● Ribs crowding
  • 27.
    Right upper lobecollapse & golden S sign This sign is classically seen with post-obstructive atelectasis due to a central hilar mass Lateral chest radiograph reveals complete collapse of the right upper lobe with opacity anterior to the right major fissure
  • 29.
    Right middle lobeatelectasis ● Homogeneous pulmonary opacification, ● Displacement of interlobar fissures towards the atelectasis (i.e., downwards displacement of the horizontal fissure and upwards displacement of the oblique fissure ) ● Displacement of the right hilum towards the atelectasis, ● Closeness of ipsilateral ribs
  • 30.
    Right lower lobecollapse There is a opacity immediately above the diaphragm causing a loss of its outline. On the lateral film there is a white triangle at the lower posterior part of the lung field.Note how the outline of the right heart border is maintained.
  • 31.
    Left lower lobecollapse ● The left lung field appears much darker than normal and the heart shadow will appear much whiter than normal. ● If you look carefully you can see a white triangle behind the heart
  • 33.
    Interstitial opacification ● Interstitialopacification means that the pathology is within or next to the lung interstitium (which includes alveolar epithelium, pulmonary capillary endothelium,basement membrane, perivascular and perilymphatic spaces). causes 1. Acute -interstial edema & viral pneumonia 2. Sub acute - lymphangitis carcinomatis 3. Chronic - cystic fibrosis,connective tissue disorder,sarcoidosis,silicosis & tuberculosis
  • 34.
    Patterns Micronodular pattern ● Micronodularinterstitial opacification is characterised by 1 - 5 mm nodules, which are well defined and are not associated with air bronchograms. ● Nodules tend to be very numerous; ● when they are distributed randomly throughout the lungs, the term ”miliary nodules” is used. ● In febrile patients, tuberculosis, viral and fungal infections are the most common causes. ● In afebrile patients, miliary tuberculosis, healed varicella pneumonia, sarcoidosis and miliary metastases (thyroid cancer, melanoma, breast cancer) are the top differential diagnoses.
  • 35.
    ● It isoften difficult to detect interstitial opacification on CXRs. ● CT is the modality of choice to detect and assess the distribution of interstitial opacification and to distinguish between the different patterns. The combination of pattern types, distribution and associated chest findings plays an essential role for the differential diagnosis Linear pattern (Kerley lines) Nodular pattern Reticulonodular pattern Coarse reticulations & honeycombing
  • 36.
    Nodular opacification ● Lungnodules are rounded opacities located in the pulmonary interstitium. ● They comprise pulmonary nodules (≤ 3 cm) and pulmonary masses (> 3 cm). ● Nodules < 6 mm in average diameter are called micronodules according to the Fleischner Society Glossary. ● Pulmonary nodules can be solitary or multiple
  • 37.
    Solitary pulmonary nodule ●A solitary pulmonary nodule or SPN is defined as a discrete, well-marginated, rounded opacity less than or equal to 3 cm in diameter. ● It has to be completely surrounded by lung parenchyma, does not touch the hilum or mediastinum and is not associated with adenopathy, atelectasis or pleural effusion.
  • 39.
    Steps to assesabnormality in SPN 1. Look at the edge of the lesion. A spiculated, irregular or lobulated edge is suggestive of malignancy. 2. Look for areas of calcification.These would be dense white (the same density as bone) and be obviously much denser than the rest of the lesion. Calcification is rare in a malignant lesion and would point you to an alternative diagnosis. 3. Look at the nature of the whiteness. If the lesion is cavitating the centre may be darker than the circumference. If looking at an X-ray film, stand back from the X-ray since a cavity is often easier to see from a distance. 4. Look for an air bronchogram. This is a sign of consolidation and so would be a most unusual finding if the lesion was a tumour. 5. Look for other coin nodules. The presence of more than one strongly suggests metastatic disease. 6. Look for abnormalities peripheral to the lesion. A tumour may cause problems distal to it such as infection causing consolidation or an area of collapse. 7. Look carefully at the rest of the X-ray. Malignant tumours may be associated with mediastinal lymphadenopathy or bone metastasis. 8. Look at old films if available.Tumours grow, and so if the lesion was present on an earlier film compare its size. Some tumours grow slowly, but it is safe to say that if the lesion has not changed over a period of two years or greater it is unlikely to be malignant
  • 40.
    Multiple nodules ● Asopposed to the SPN, which is often detected incidentally, multiple pulmonary nodules (MPNs) are most often seen in symptomatic patients, in patients with an underlying malignancy or in immunocompromised patients.
  • 41.
  • 42.
  • 43.