Case 167
MD Pediatrics
PhD ped study children special need
‫ر‬‫دكتو‬
‫محمد‬ ‫الوهاب‬ ‫عبد‬‫السعدني‬
‫أطفال‬ ‫طب‬ ‫دكتوراه‬‫ـ‬‫الزقازيق‬ ‫طب‬
‫الخاصة‬ ‫االحتياجات‬ ‫ذوى‬ ‫دكتوراه‬‫وتغذيه‬ ‫صحة‬
‫األطفال‬
‫شمس‬ ‫عين‬ ‫طب‬ ‫ـ‬
‫وعالج‬ ‫تشخيص‬ ‫في‬ ‫الدكتوراه‬‫الحميات‬ ‫أمراض‬
Name :……
Age; 65 years
Sex: female
Residence: meat Ali
Occupation :house wife
Mariatal state married
Social state High
Diabetic 20 years ago hypertensive 15 years ag
Personal history
Complaint
Fever for 3 months not responding to
treatment
Headache , anorexia
…easily tired sweating and occ palpitation
Sense of abdominal discomfort and
fullness……………….
Present history
Started 3 months ago by
sudden onset of febrile
illness with generalized
boneache , headache,
sweeting easily tired sense
of abdominal fulness
indigestion and anorexia
Fever increased at night with
shivering sweating and
shortness of breath with
palpitation
diagnosed as Enterica
Patien asked many Med advices and all
shared diagnosis of Typhoid fever
Treated 10 days with Ciprofloxacin twice
daily with minimal improvement
Of some Symptoms
Patint reevaluated
Pyogenic sinsuits by ENT consultant
based on xRay nasal sinuses
Received home medication
Augmentin Two weeks
Minimal improvement of fever and
headache
Patient by lab and positive lab
for Malta fever Given
treatment for brucellosis for 8
weeks with no response
Asked medical advice by fever
specialist
Refered to hospital with the
above symptoms
No response
Through history and
repeated physical
examination revealed
General examination
Alert,conscious,active ,non toxic
T 39 c
RR 22/mِ
HR 92/m
,B P 145/95
Chest: BEAE
CVS: S1-S2-O
GIT: soft no visceromegaly
CNS: NAD
L L minimal pertibial edema
LAB
Results
CBC:
TLC:9.6
RBCs: 3.64
HB: 10
PLAT: 296
ESR: 110
ASO: -VE
CPR: 12 FU
SUGAR :404
URINE ANALYSIS
PUS: 5-7
GLUCOSE ++
PROTEIN: ++
Widal 1l160
H:-ve
Brucella:-ve
S.creatinine: 1
Liver enzymes: normal
ِKideny Function Normal
RADIOLOGICAL
STUDY
CXR
ABD U S
ABDOMINIAL COPUTARIZED
CT
ABD MRI
Chest x ray : free
Abdominal U/S
Multiple focal lesions for C/T liver
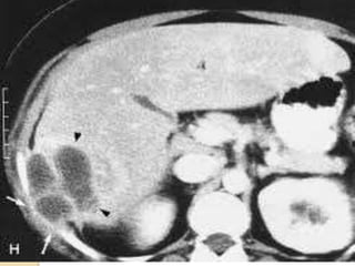
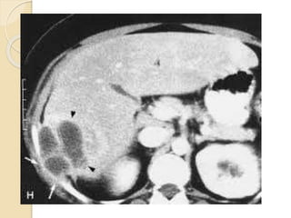
CT ABDOMEN:
Mildly enlarged liver with multiple variable
sized marginally enhanced cystic lesions
are seen scattered in both liver lobes
and caudate lobe . the largest measures
about 3.5 cm in diameter and located in
medial segment of the left liver lobe……
signs cobe with multiple liver
granulomas Normal enhancement of the
main portal vein and its two main
branches. No dilated intra-hepatic biliary
19-3-2012
Refered for guided CT liver aspiration
and drainage for Histopathology and
microbiological study
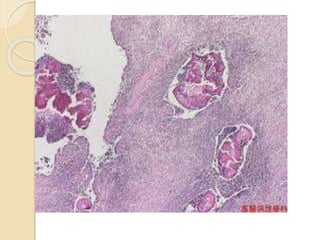
BIOPSY under guide CT
Slowly growing
gram +ve
bacteria
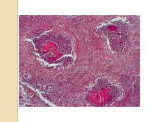
: actinomyces
israeli
LIVER BIOPSY
Monday 23-4-2012
Resolution of all hepatic absceses and
largest one resoled with half cm in
diameter
Pateient will continue ttt at hospital for
further two weeks under tttt
by…………………………………………
……….
Abstract
Femal ward 65ys diabetic hypertensive
hepatic actinomycosis Acombination of
surgrgical radiological dranage and
antibiotic proved to lead to complet
cure
‫للجميع‬ ‫شكرا‬
discussion
Actinomycosis liver abscess is comonly assoc
with nonspecific clinical and lab signs of infection
Immagine usualy review aspace occuping lesion
suggest either hepatic
tumor or pseeudotumor or inflamatory
Adefinitive diagnosis is histopathology tests on
sample obtained under screen
Adefinitive diagnosis is histopathology tests on
sample obtained under screen
Felekouras et al (92) report hepatic lobectomy in
‫؛‬
Felekouras et al (92) report hepatic lobectomy in‫؛‬
case of isolated hepatic actinomycosis(case report)
‫؛‬Ped R health sci J 11:19-21
Samuel 1999 Post g Med j liver acinomycosis as C/o
diverticulosis
liver acinomycosis as liver mass by Vargas 92
medicine 21 111-115
ٍsugano etal in Japan hapatic actinomycosis in japan
case report J gastroentro 9732;;672;6
Ali et al 97 hepatic inv in diss actinomycosis Panc sur 3
;337;9
Bown etal 2011 report acase presenting solely as hapatic
mass co actinomycosis
{
Actinomycosis
Actinomyces
Slow growing gram +ve
bacteria , it is a part of
the oral flora in
humans, flamentous
structure gives them
fungal like appearance
discussion
case of isolated hepatic actinomycosis(case
report)
‫؛‬Ped R health sci J 11:19-21
Samuel 1999 Post g Med j liver acinomycosis
as C/o diverticulosis
liver acinomycosis as liver mass by Vargas 92
medicine 21 111-115
Actinomycosis
IActinomycosis is infection is infection
caused by actinomyces bacteria
Characterized by characteristic
granulomatous suppurative disease
characterized by peripheral spread
with formation of draining sinus affect
cervicofacial,thoracic,abdominal,pelvi
Actinomyces in clinical specimen
sputum .crust purulent exudate
surgical nacropsy ,rinsed stain
reveal organisms with classic
silver granules
c/s
brain,heart infection agar 37 c
95% nitrogen 5 % co2
incubate aenerobically
organism within 24h
israile filaments spiderlike
growth
epidemiology
worldwide without relation to
age ,sex,race,season or
occupation review 85% case
youngest one 28day
etiology human flora
increased in patient with
steroid leukemia renal cong
imm def.HIV
pathogenesis
chronic suppurartive scaring
inflammatory process with
dense cellular infiltrate with
suppuration forming many
connecting abscess with sinus
tracts
site
involves,lung.abdomen,orofaci
al
c/p
of abdominal and pelvic
after disruption of mucosa of GIT
hepatic affection 15% as solitary or
multiple liver abscesses
chills
fever
night sweets
weight loss
similar to TB
diagnosis
microscopic examination with
appropriate stain
c/s of purulent discharge
actinomyces irregular non
spore forming non acid fast
non moblle gram +ve bacillus
c/s aerobic non aerobic
abdominal CT
a contrast enhancing
multicystic lesions that can be
approached by CT guided
needle biopsy and C/S
Treatment
prolonged antibiotic therapy and
drainaage
Penicillin 250mg/kg/24h q4h
Tetracycilin clendimycin
chloramephenicol injection 2-6
weeks
Oral3-12 months
THANK YOU
عبد الوهاب السعدنى حالة 56

عبد الوهاب السعدنى حالة 56

  • 1.
    Case 167 MD Pediatrics PhDped study children special need
  • 2.
    ‫ر‬‫دكتو‬ ‫محمد‬ ‫الوهاب‬ ‫عبد‬‫السعدني‬ ‫أطفال‬‫طب‬ ‫دكتوراه‬‫ـ‬‫الزقازيق‬ ‫طب‬ ‫الخاصة‬ ‫االحتياجات‬ ‫ذوى‬ ‫دكتوراه‬‫وتغذيه‬ ‫صحة‬ ‫األطفال‬ ‫شمس‬ ‫عين‬ ‫طب‬ ‫ـ‬ ‫وعالج‬ ‫تشخيص‬ ‫في‬ ‫الدكتوراه‬‫الحميات‬ ‫أمراض‬
  • 3.
    Name :…… Age; 65years Sex: female Residence: meat Ali Occupation :house wife Mariatal state married Social state High Diabetic 20 years ago hypertensive 15 years ag Personal history
  • 4.
    Complaint Fever for 3months not responding to treatment Headache , anorexia …easily tired sweating and occ palpitation Sense of abdominal discomfort and fullness……………….
  • 5.
    Present history Started 3months ago by sudden onset of febrile illness with generalized boneache , headache, sweeting easily tired sense of abdominal fulness indigestion and anorexia
  • 6.
    Fever increased atnight with shivering sweating and shortness of breath with palpitation
  • 7.
    diagnosed as Enterica Patienasked many Med advices and all shared diagnosis of Typhoid fever Treated 10 days with Ciprofloxacin twice daily with minimal improvement Of some Symptoms
  • 8.
    Patint reevaluated Pyogenic sinsuitsby ENT consultant based on xRay nasal sinuses Received home medication Augmentin Two weeks Minimal improvement of fever and headache
  • 9.
    Patient by laband positive lab for Malta fever Given treatment for brucellosis for 8 weeks with no response Asked medical advice by fever specialist
  • 10.
    Refered to hospitalwith the above symptoms No response
  • 12.
    Through history and repeatedphysical examination revealed
  • 13.
    General examination Alert,conscious,active ,nontoxic T 39 c RR 22/mِ HR 92/m ,B P 145/95 Chest: BEAE CVS: S1-S2-O GIT: soft no visceromegaly CNS: NAD L L minimal pertibial edema
  • 14.
  • 15.
    CBC: TLC:9.6 RBCs: 3.64 HB: 10 PLAT:296 ESR: 110 ASO: -VE CPR: 12 FU SUGAR :404
  • 16.
  • 17.
  • 18.
  • 19.
  • 20.
    Chest x ray: free Abdominal U/S Multiple focal lesions for C/T liver
  • 21.
    CT ABDOMEN: Mildly enlargedliver with multiple variable sized marginally enhanced cystic lesions are seen scattered in both liver lobes and caudate lobe . the largest measures about 3.5 cm in diameter and located in medial segment of the left liver lobe…… signs cobe with multiple liver granulomas Normal enhancement of the main portal vein and its two main branches. No dilated intra-hepatic biliary
  • 23.
    19-3-2012 Refered for guidedCT liver aspiration and drainage for Histopathology and microbiological study
  • 24.
    BIOPSY under guideCT Slowly growing gram +ve bacteria : actinomyces israeli
  • 25.
  • 26.
    Monday 23-4-2012 Resolution ofall hepatic absceses and largest one resoled with half cm in diameter Pateient will continue ttt at hospital for further two weeks under tttt by………………………………………… ……….
  • 28.
    Abstract Femal ward 65ysdiabetic hypertensive hepatic actinomycosis Acombination of surgrgical radiological dranage and antibiotic proved to lead to complet cure ‫للجميع‬ ‫شكرا‬
  • 29.
    discussion Actinomycosis liver abscessis comonly assoc with nonspecific clinical and lab signs of infection Immagine usualy review aspace occuping lesion suggest either hepatic tumor or pseeudotumor or inflamatory Adefinitive diagnosis is histopathology tests on sample obtained under screen Adefinitive diagnosis is histopathology tests on sample obtained under screen Felekouras et al (92) report hepatic lobectomy in ‫؛‬
  • 30.
    Felekouras et al(92) report hepatic lobectomy in‫؛‬ case of isolated hepatic actinomycosis(case report) ‫؛‬Ped R health sci J 11:19-21 Samuel 1999 Post g Med j liver acinomycosis as C/o diverticulosis liver acinomycosis as liver mass by Vargas 92 medicine 21 111-115 ٍsugano etal in Japan hapatic actinomycosis in japan case report J gastroentro 9732;;672;6 Ali et al 97 hepatic inv in diss actinomycosis Panc sur 3 ;337;9 Bown etal 2011 report acase presenting solely as hapatic mass co actinomycosis {
  • 31.
    Actinomycosis Actinomyces Slow growing gram+ve bacteria , it is a part of the oral flora in humans, flamentous structure gives them fungal like appearance
  • 32.
    discussion case of isolatedhepatic actinomycosis(case report) ‫؛‬Ped R health sci J 11:19-21 Samuel 1999 Post g Med j liver acinomycosis as C/o diverticulosis liver acinomycosis as liver mass by Vargas 92 medicine 21 111-115
  • 33.
    Actinomycosis IActinomycosis is infectionis infection caused by actinomyces bacteria Characterized by characteristic granulomatous suppurative disease characterized by peripheral spread with formation of draining sinus affect cervicofacial,thoracic,abdominal,pelvi
  • 34.
    Actinomyces in clinicalspecimen sputum .crust purulent exudate surgical nacropsy ,rinsed stain reveal organisms with classic silver granules
  • 35.
    c/s brain,heart infection agar37 c 95% nitrogen 5 % co2 incubate aenerobically organism within 24h israile filaments spiderlike growth
  • 36.
    epidemiology worldwide without relationto age ,sex,race,season or occupation review 85% case youngest one 28day etiology human flora increased in patient with steroid leukemia renal cong imm def.HIV
  • 37.
    pathogenesis chronic suppurartive scaring inflammatoryprocess with dense cellular infiltrate with suppuration forming many connecting abscess with sinus tracts site involves,lung.abdomen,orofaci al
  • 38.
    c/p of abdominal andpelvic after disruption of mucosa of GIT hepatic affection 15% as solitary or multiple liver abscesses chills fever night sweets weight loss similar to TB
  • 39.
    diagnosis microscopic examination with appropriatestain c/s of purulent discharge actinomyces irregular non spore forming non acid fast non moblle gram +ve bacillus c/s aerobic non aerobic
  • 40.
    abdominal CT a contrastenhancing multicystic lesions that can be approached by CT guided needle biopsy and C/S
  • 47.
    Treatment prolonged antibiotic therapyand drainaage Penicillin 250mg/kg/24h q4h Tetracycilin clendimycin chloramephenicol injection 2-6 weeks Oral3-12 months
  • 48.