ĐỌC X-QUANG TIM PHỔI
TS. Đào Ngọc Bằng
HỌC VIỆN QUÂN Y
BỘ MÔN TRUNG TÂM NỘI HÔ HẤP
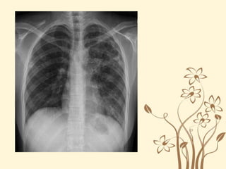
MỘT SỐ DẤU HIỆU
Dấu hiệu hình bóng Felson
MỘT SỐ DẤU HIỆU
Dấu hiệu cổ ngực (-)
MỘT SỐ DẤU HIỆU
Dấu hiệu che phủ
Dấu hiệu quy tụ
MỘT SỐ DẤU HIỆU
Dấu hiệu đường cong Morton Dấu hiệu liềm khí
VIÊM PHỔI CẤP
Viêm phổi thùy do phế cầu
(Dấu hiệu phế quản hơi)
Phế quản phế viêm
VIÊM PHỔI CẤP
Viêm phổi do tụ cầu
ÁP XE PHỔI VÀ KÉN KHÍ BỘI NHIỄM
Dấu hiệu mức khí dịch
BỆNH PHỔI TẮC NGHẼN MẠN TÍNH
COPD type A
(Hình ảnh khí phế thũng)
COPD type B
(Hình ảnh phổi bẩn)
HEN PHẾ QUẢN
Hình ảnh giãn phổi cấp
GIÃN PHẾ QUẢN
Chụp phế quản cản quang
Giãn phế quản
UNG THƯ PHẾ QUẢN
Bóng mờ tròn đơn độc TDMP ác tính
(Dấu hiệu đẩy phân ly)
UNG THƯ PHẾ QUẢN
Xẹp phổi KPQ thể trung thất
UNG THƯ PHỔI THỨ PHÁT
K phổi thứ phát thể kê Hình ảnh thả bóng
LAO PHỔI
Lao tản mạn Lao phổi thâm nhiễm phá huỷ
LAO PHỔI
TDMP do lao
Lao xơ hang
THỰC HÀNH ĐỌC XQUANG
2.pptx
2.pptx
2.pptx
2.pptx
2.pptx
2.pptx
2.pptx
2.pptx
2.pptx
2.pptx
2.pptx
2.pptx
2.pptx
2.pptx

2.pptx