市⽴伊勢総合病院 内科・総合診療科
⾕崎隆太郎
勝負はこれからだ︕
国⽴国際医療研究センター ⼤曲貴夫先⽣スライドより
感染症診療の
考え⽅
④ 治療
② 臓器
③ 微⽣物
① 患者
⑤再評価
感染症診療の考え⽅
Patient
Antibiotics
Micro-organism
Organ
Reassessment
臓器
微⽣物
患者
再評価
治療
eassessment
(評価を繰り返す)
3つの評価ポイントと共に⾒ていきましょう
例①
患者︓67 歳,男性
主訴︓発熱,咳,痰
現病歴︓2 ⽇前から倦怠感,⾷欲不振あり.本⽇発熱してきたため来院.
既往歴︓糖尿病,⾼⾎圧
内服薬︓メトホルミン 1,000mg/day,アムロジピン 5mg/day
体温 38.4 ℃,⾎圧 148/78mmHg,脈拍 102 回/分,
呼吸 25 回/分,SpO2: 94 % (リザーバー10L)
胸部︓右下肺野背側で吸気初期から coarse crackle 聴取.
(他、特記所⾒なし)
診断︓肺炎球菌肺炎
治療︓アンピシリン 2g 6時間ごとで治療開始
経過
7.5
8
8.5
9
9.5
10
37.8
37.9
38
38.1
38.2
38.3
38.4
38.5
治療開始 翌日
ABPC 2g q6h
WBC 18,900 16,500
Hb 16.7 13.0
Plt 15.2 12.3
CRP 1.7 18.5
体温 酸素流量(L/min)
治療前
治療翌⽇
経過
7.5
8
8.5
9
9.5
10
37.8
37.9
38
38.1
38.2
38.3
38.4
38.5
治療開始 翌日
ABPC 2g q6h
WBC 18,900 16,500
Hb 16.7 13.0
Plt 15.2 12.3
CRP 1.7 18.5
体温 酸素流量(L/min)
治療前
治療翌⽇
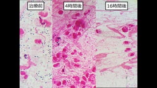
確かにグラム染⾊で菌は消えてるけど、まだ熱あるし,
CRPとか⾼いし,本当に良くなってるのか・・・︖︖
「局所」の指標と「全⾝」の指標に分けて、
局所の指標から評価する。
評価のポイント①
局所の指標
(臓器特異的な指標)
全⾝の指標
(臓器⾮特異的な指標)
何かないかな・・・ 熱とか
⾷欲とか〜
ADLとか
CRPとか
(例)肺炎
全⾝
⾒た⽬の元気さ
発熱
⾷欲
意識,脈拍
ADL
⽩⾎球
CRP
呼吸困難
呼吸回数
咳の回数
痰の量・⾊
呼吸⾳の異常
痰グラム染⾊
PaO2 , SpO2
胸部X線浸潤影
局所
4時間後 16時間後
治療前
(例)急性腎盂腎炎
全⾝
⾒た⽬の元気さ
発熱
⾷欲
意識,脈拍
ADL
⽩⾎球
CRP
背部痛
CVA叩打痛
尿中⽩⾎球数
尿亜硝酸塩
尿グラム染⾊
局所
治療翌⽇
体温38.0℃
治療前
解熱していないのに、
全然⽩⾎球も細菌も
いない︕
体温38.7℃
治療前
でも⾁眼的には
尿混濁あり︕
治療翌⽇
(例)急性腸炎
全⾝
⾒た⽬の元気さ
発熱
⾷欲
意識,脈拍
ADL
⽩⾎球
CRP
嘔気
嘔吐回数
腹痛
腸蠕動⾳改善
⾎便
便の性状
局所
(特殊な例)⾎流感染(感染性⼼内膜炎など)
全⾝
⾒た⽬の元気さ
発熱
⾷欲
意識,脈拍
ADL
⽩⾎球
CRP
⾎液培養陰性化
疣贅の縮⼩
塞栓症状の改善
(Janeway斑点, Roth斑,
粘膜点状出⾎など)
局所
治療効果判定で⾎液培養陰性化が必要な疾患
(菌⾎症)
• ⻩⾊ブドウ球菌菌⾎症
• カンジダ菌⾎症
(⾎管内感染症)
• 感染性⼼内膜炎
• 感染性動脈瘤
• ⾎管内グラフト感染
• 化膿性⾎栓性静脈炎
(私⾒)
• ⼈⼯物が挿⼊されている⼈の菌⾎症
• カテーテルが抜去できないカテーテル関連⾎流感染症
Circulation. 2020;142:720–730
連鎖球菌菌⾎症の
IE リスクは菌種に
よる。
(特殊な例)⾻髄炎、膿瘍など
全⾝
⾒た⽬の元気さ
発熱
⾷欲
意識,脈拍
ADL
⽩⾎球
CRP
(あれば)
⾻髄炎部位の痛み、
⽪膚の炎症所⾒、
創部の浸出液量など
膿瘍径の縮⼩
局所
⾚沈
局所の指標がパッとしないので、
やむなく全⾝の指標のみで評価
することもある
全⾝の指標がすべて良くなっていれば
たいてい患者も良くなっている.
ただし,多くの場合に局所の指標の⽅が
より迅速で鋭敏である。
(※特にグラム染⾊)
誤った経験に注意︕
⼊院 4⽇⽬
2⽇⽬ 3⽇⽬
CTRX MEPM (メロペネム)
0
10
20
30
35
36
37
38
39
40
体温℃
酸素 L/min
呼吸回数 /min
(左)
(右)
(右)
WBC (/μL)
3800 12500 10020 6800
誤った経験に注意︕
⼊院 4⽇⽬
2⽇⽬ 3⽇⽬
CTRX MEPM (メロペネム)
0
10
20
30
35
36
37
38
39
40
体温℃
酸素 L/min
呼吸回数 /min
(左)
(右)
(右)
WBC (/μL)
3800 12500 10020 6800
2⽇⽬の体温上昇,⽩⾎球上昇は状態悪化を⽰唆して
いるのではなく,最初が重症すぎて,低体温になり
⽩⾎球数低下していたものが,適切な治療により,
むしろ遅れて上昇してきただけなのでは︖︖
体温上昇や⽩⾎球上昇のみに着⽬すると
あたかも CTRX が無効で MEPM が奏功したように
⾒えるが・・・︖
「感染症の診断」と「重症度」は分けて考える
④ 治療
② 臓器
③ 微⽣物
重症度=臓器障害の程度
●呼吸︓ P/F⽐、呼吸数、
●循環︓⾎圧(カテコラミン量)、尿量、
⾎清乳酸値、代謝性アシドーシス
●その他︓意識障害、低体温、急性腎障害、
⾎清 Bil、PT-INR、⾎⼩板数、⼆次線溶
マーカーなど
評価のポイント②
感染症の診断
こんな報告していませんか︖(受けてませんか︖)
昨⽇の患者さん、どう︖
熱は横ばいです。
呼吸状態はよいです。
尿は少なめですが
まあ安定しています。
それって、
よくなっているの
だろうか・・・
解釈
ひとつとは
限らない
主観的
ときに抽象的
評価のポイント③
事実
通常ひとつ
客観的
具体的
?
客観的な事実と主観的な解釈を分ける
脱⽔がありそうです。
事実 BUN 45 mg/dl, Cre 1.5 mg/dl
解釈①
腎障害ありそうです。
解釈②
その解釈の正しさの証明には客観が必要
報告内容
呼吸状態が悪いです
まだノルアド切れません
尿は少ないです
X線で肺炎疑いです
⼼筋梗塞疑いです
実は・・・
P/F⽐ 103 → 190(改善)
ノルアドレナリン 0.1γ → 0.03γ(改善)
尿量 0.5 ml/kg/h → 0.75ml/kg/h(改善)
右上肺野に⼀部⽯灰化を伴う粒状影あり
○○誘導で、鏡像変化を伴う 1mm 以上の
ST 上昇あり
調⼦はどうですか︖ いや、まだだるいし、
咳も出るし、⾷欲も
ありません。
回診にて
患者
医師
医療者の考える
症状の有無
患者さんの考える
症状の有無
症状 ある あるけど
少し改善
あるけど
だいぶ改善
ほぼ改善
症状 ある ある ある ほぼ改善
医療者の考える
症状の有無
患者さんの考える
症状の有無
症状 ある あるけど
少し改善
あるけど
だいぶ改善
ほぼ改善
症状 ある ある ある ほぼ改善
「昨⽇と⽐べてどうですか︖」
「⼊院時と⽐べてどうですか︖」
「1番症状がつらかった時を10段階で10とすると、
今はどれくらいですか︖」
という感じで前後を⽐較したり、10段階評価にする
ことで、患者の解釈(主観)を客観的に評価できる。
患者がよくならない︕
よくならない時は
ミスドで泣こう
よくならないと思ったときにまず考えること
① Misdiagnosis: 診断が違う
(臓器が違う。微⽣物が違う。そもそも感染症ではない。)
② Drainage and Debridement: ドレナージ、デブリドマンが
必要な病態が隠れている
③ Natural Course: 実は⾃然経過である
よくならないと思ったときにまず考えること
① Misdiagnosis: 診断が違う
(臓器が違う。微⽣物が違う。そもそも感染症ではない。)
② Drainage and Debridement: ドレナージ、デブリドマンが
必要な病態が隠れている
③ Natural Course: 実は⾃然経過である
①臓器が違う例
症状,所⾒ (誤) (正)
発熱、下肢痛 蜂窩織炎︖ 壊死性筋膜炎
発熱、肺浸潤影 肺炎︖ 敗⾎症性塞栓
②微⽣物が違う例
症状,所⾒ (誤) (正)
急性腎盂腎炎 ⼤腸菌︖ 緑膿菌
誤嚥性肺炎 ⼝腔内常在菌︖ 結核菌
③診断が感染症ではない例
症状,所⾒ (誤) (正)
胸部X線で両側浸潤影 両側肺炎︖ ⼼不全
患者が元気なのに発熱が続く 別の感染症合併︖ 薬剤熱
CTRX
Day 2 Day 3 Day 4
⼤腸菌による急性腎盂腎炎で⼊院。CTRX で治療開始。
尿グラム染⾊陰性化、尿中⽩⾎球も消失。
患者さんも⾷事全量摂取で元気。
発熱のみ継続・・・
CTRX ABPC
Day 2 Day 3 Day 4 Day 5 Day 6 Day 7 Day 8
⼤腸菌による急性腎盂腎炎で⼊院。CTRX で治療開始。
尿グラム染⾊陰性化、尿中⽩⾎球消失。
患者さんも⾷事全量摂取で元気。
発熱のみ継続・・・
CTRX 薬剤熱を疑い ABPC に変更。
以降、解熱。
中央値 (days) 平均値 (days)
抗腫瘍薬 0.5 6
抗菌薬 6 7.8
中枢神経作動薬 16 18.5
心血管作動薬 10 44.7
薬剤熱
Pharmacotherapy 2010;30:57-69
• 熱の高さや重症感,熱型では判断できない。好酸球上昇も頻度は低い。
基本は除外診断︕投与7-10⽇前後での発症が多い
• 薬剤中止後72時間以内の解熱が多い(平均1.3 1.1日)
Ann Intern Med 1987; 106: 728-733
薬剤熱の原因薬剤(例)
• 抗腫瘍薬
• 抗菌薬,アシクロビル,アムホテリシンB
• ジルチアゼム,ドブタミン,フロセミド,ヘパリン,ヒドロクロロチアジド,
メチルドーパ,プロカインアミド,キニジン・キニーネ,トリアムテレン
• アザチオプリン,ミコフェノールモフェチル,エベロリムス,シロリムス
• イブプロフェン,ナロキセン
• カルバマゼピン,フェニトイン
• 抗うつ薬(ドキセピン,ノミフェンシン)
Pharmacotherapy 2010;30:57-69
• アロプリノール,シメチジン,メトクロプラミド,プロピルチオウラシル,
プロスタグランジンE2,スルファラジン,テオフィリン,チロキシン,
アンフェタミン
感染症 原因 検査 対処法
細菌性肺炎 膿胸合併 胸部X線、胸部CT 胸腔ドレナージ
急性腎盂腎炎
尿管結⽯による
⽔腎症
腹部単純CT 経⽪的 or 経尿管的に
ドレナージ
腎膿瘍合併 腹部造影CT
急性胆管炎 胆管閉塞 腹部単純CT 胆道ドレナージ
化膿性脊椎炎 硬膜外膿瘍合併 脊椎MRI
⼿術 or CTガイド下
穿刺ドレナージ
壊死性筋膜炎 筋膜壊死 試験切開、MRI 緊急デブリドマン
Drainage, Debridement
肺炎の胸部X線所⾒の経過
Clin Infect Dis 2007; 45: 983-991
• 重症肺炎では、7⽇⽬の時点で 75% の患者で異常陰影が残存。
(約半分で臨床所⾒は改善)
• 28⽇⽬時点でも半分の患者で異常陰影が残存。
J Am Geriatr Soc 2004; 52: 224-229
• 70歳以上の肺炎患者の異常陰影が改善するのは、3週間以内で
33%、9週間以内で 66%、12週時点で 76%.
治療開始翌日
受診当日
治療はうまくいっているけど、脱⽔が補正された影響で
浸潤影が悪化したように⾒えることがある。
Am J Med 1996;101:277-80
急性腎盂腎炎の⾃然経過
• 70⼈の単純性急性腎盂腎炎(合併症なし)
• 治療開始から解熱までの時間(平均 34 時間)
治療開始 48 時間後も発熱 26 %
治療開始 72 時間後も発熱 13 %
適切な抗菌薬治療を開始後,37.5℃以下に解熱するまで
38.5時間(中央値) Eur J Clin Microbiol Infect Dis 2019;38:2185-2192
(適切な治療開始後の)
典型的な急性腎盂腎炎の解熱経過
治療開始
Day 1 Day 2 Day 3
eassessment
(評価を繰り返す)
感染症診療の
考え⽅
④ 治療
② 臓器
③ 微⽣物
① 患者
⑤再評価
感染症診療の
考え⽅
④ 治療
② 臓器
③ 微⽣物
① 患者
⑤再評価
横隔膜
グラム陽性菌
グラム陰性菌
⽪膚・軟部組織・⾻・関節も
グラム陽性菌(が多い)
原因菌のイメージ
感染症病名 細菌が原因となる場合の主な原因菌
髄膜炎
肺炎球菌,髄膜炎菌
(50歳以上,新⽣児,免疫不全ではリステリアも)
咽頭炎 レンサ球菌(A群,C群),Fusobacterium necrophorum,
中⽿炎 肺炎球菌,インフルエンザ菌
副⿐腔炎 肺炎球菌,インフルエンザ菌
肺炎 肺炎球菌,インフルエンザ菌,モラキセラ・カタラーリス
胆嚢炎,胆管炎 ⼤腸菌,Klebsiella pneumoniae,嫌気性菌,腸球菌など
腸炎 カンピロバクター,サルモネラ,ビブリオ,病原性⼤腸菌
腎盂腎炎,前⽴腺炎,
精巣上体炎
⼤腸菌,Klebsiella pneumoniae,Proteus 属
⾻盤腹膜炎 ⼤腸菌,Klebsiella pneumoniae,Proteus 属
蜂窩織炎、創部感染 ⻩⾊ブドウ球菌,レンサ球菌
化膿性脊椎炎 ⻩⾊ブドウ球菌,⼤腸菌,レンサ球菌,CNS など
微⽣物から臓器を推定することができます
② 臓器
③ 微⽣物
例えば⾎液培養
• ⼤腸菌,Klebsiella → 尿路,胆道系
• ブドウ球菌 → カテーテル,⽪膚,筋⾻格系
• レンサ球菌 → 菌⾎症 (IE含む) ,蜂窩織炎、
壊死性筋膜炎など
• 腸球菌 → 尿路,胆道系,カテーテル
④ 治療
② 臓器
③ 微⽣物
① 患者
⑤再評価
感染症診療の
考え⽅
③ 微⽣物
④ 治療
• CTRX,ABPC/SBT で良くなった
→ 緑膿菌や MRSA ではなさそう
• VCM で良くなった
→ グラム陽性菌の何か.グラム陰性菌ではなさそう
• MEPM 投与中に状態悪化
→ MRSA, Stenotrophomonas maltophilia,真菌など.
またはマイコプラズマやレジオネラなどの細胞内寄⽣菌︖
治療薬から微⽣物を推定することができます
Pseudomonas aeruginosa(緑膿菌)
MRSA
Enterococcus spp(腸球菌)
耐性 GNR
(ESBL 産⽣菌,AmpC 過剰産⽣菌、カルバペネム耐性菌など)
Mycoplasma pneumoniae (マイコプラズマ)
Chlamydophila pneumoniae (クラミドフィラ)
Legionella pneumophila (レジオネラ)
Mycobacterium tuberculosis(結核)
セフトリアキソンがカバーしない菌
まとめ
• 客観的な事実なのか、主観的な解釈なのかを意識する。
• 治療開始後は、評価を繰り返す。まずは局所の所⾒を評価、
次いで全⾝の所⾒を評価する。感染症診断と重症度は分けて
考える。
• よくならない時はミスドで泣こう。治療経過から微⽣物が、
微⽣物から臓器が推定できることがある。

感染症の経過観察の仕方(2021)