OŠTEĆENJE I SMRT ĆELIJE
STRESORI
(endogeni i egzogeni)
PRIMER
1. HIPOKSIJA
1. ENDOGENI UZROCI: ISHEMIJA, ANEMIJA, HIPERMETABOLIČKA
STANJA, EDEM, BOLESTI RESPIRATORNOG I KARDIOVASKULARNOG
SISTEMA
2. EGZOGENI UZROCI: SMANJENJE PARCIJALNOG PRITISKA KISEONIKA
U ATMOSFERSKOM VAZDUHU, TROVANJE CO
2. FIZIČKI
VISOKA/NISKA TEMEPRATURA, PROMENE ATMOSFERSKOG PRITISKA,
ELEKTRICITET, JONIZUJUĆE ZRAČENJE, MEHANIČKE POVREDE
3. HEMIJSKI
HIPERTONIČNI RASTVORI, TOKSINI ORGANSKOG I NEORGANSKOG
POREKLA, LEKOVI, TEŠKI METALI, PESTICIDI, ORGANSKI RASTVARAČI,
CO, ALKOHOL, NARKOTICI, DUVAN
4. INFEKTIVNI VIRUSI, BAKTERIJE, RIKECIJE, GLJIVE, PARAZITI, PRIONI
5. IMUNSKI
REAKCIJE PREOSETLJIVOSTI, AUTOIMUNOST, REAKCIJA “KALEM
PROTIV DOMAĆINA”
6. GENETSKI
PROMENE U BROJU I STRUKTURI (MUTACIJE, POLIMORFIZMI)
HROMOZOMA I GENA KOJE MOGU DA REZULTUJU KONGENITALNIM
MALFORMACIJAMA, METABOLIČKIM POREMEĆAJIMA,
IMUNODEFICIJENCIJAMA I DR.
7. NUTRITIVNI
AVITAMINOZE, HIPOVITAMINOZE, HIPERVITAMINOZE, PROTEINSKO-
ENERGETSKA MALNUTRICIJA, ANOREXIA NERVOSA, GOJAZNOST
Reakcija ćelije na delovanje potencijalno oštećujućeg agensa (stresor, noksa):
1. ADAPTACIJA – biohemijska i/ili strukturna promena u cilju uspostavljanja novog
ravnotežnog stanja i održavanja funkcija u fiziološkim granicama -
homeostaza.
2. OŠTEĆENJE – ukoliko ćelije izložene stresoru ne mogu da se adaptiraju:
• Reverzibilno - oštećena ćelija može da vrati izgubljene funkcije kada prestane
delovanje oštećujućeg agensa;
• Ireverzibilno – kada stepen promena dostigne “tačku bez povratka” posle čega
nastupa kaskada procesa koji progresivno vode u ćelijsku smrt, čak i ako
prestane delovanje oštećujućeg agensa.
FAKTORI OD KOJIH ZAVISI STEPEN OŠTEĆENJA ĆELIJA:
• oštećujući agens: kvalitativna i kvantitativna svojstva (vrsta,
trajanje izloženosti, intenzitet dejstva);
• tip ćelije: njena osetljivost (vulnerabilnost) i sposobnost
adaptacije;
• drugi faktori: prokrvljenost, nutricioni status tkiva i sl.
TIP ĆELIJE NEURONI KARDIOMIOCITI FIBROBLASTI
VREME
PREŽIVLJAVANJA
NEKOLIKO
MINUTA
20-120 min. VIŠE OD 24h
Različiti tipovi ćelija su različito osetljivi na
određene nokse.
EFEKTI HIPOKSIJE NA RAZLIČITE TIPOVE ĆELIJA
Međutim, obrazac reagovanja na
određenu noksu je ISTI za sve tipove ćelija, bez
obzira na tkivnu diferencijaciju!
npr. hipoksija će u neuronima, kardiomiocitima i fibroblastima izazivati isti tip oštećenja.
ADAPTIVNE PROMENE ĆELIJA
• Potencijalno reverzibilne promene veličine, broja, fenotipa,
metaboličke aktivnosti i funkcije ćelija u odgovoru na različite
metaboličke zahteve ili delovanje stresora.
1. Atrofija
2. Hipertrofija
3. Hiperplazija
4. Metaplazija
5. Displazija
ATROFIJA
Smanjenje broja (apoptoza) i/ili veličine (smanjena sinteza
proteina/povećana proteoliza) ćelija, obično uz smanjenje njihove
metaboličke aktivnosti/funkcije. Može dovestii do smanjenja
veličine tkiva/organa.
Fiziološka - predstavlja odgovor ćelija na normalnu stimulaciju
hormonima ili endogenim hemijskim medijatorima (tokom
embrionalnog razvoja, smanjenje uterusa postpartalno i sl.).
Patološka – odgovor ćelija na stres koji im omogućava da menjaju
strukturu ili funkciju i na taj način izbegnu oštećenje.
ATROFIJA
1. usled inaktivnost/smanjenog
radnog opterećenja
2. usled smanjenog
snabdevanja krvlju (ishemija) 4. usled denervacije
3. usled malnutricije
5. usled starenja/
senilna atrofija
HIPERTROFIJA
Povećanje veličine ćelija (na račun povećane sinteze proteina), a time i organa.
Fiziološka – pojačani funkcionalni zahtevi ili hormonska stimulacija (fiziološki rast
uterusa u graviditetu ili hipertrofija mišića zbog pojačanog opterećenja).
Patološka – hipertrofija kardiomiocita zbog dugotrajne hipertenzije ili oboljenja
aortnih zalistaka.
HIPERPLAZIJA
Povećanje broja diferentovanih ćelija u tkivima/organa usled proliferacije
zrelih ćelija ili povećanom diferencijacijom tkivnih matičnih ćelija. Često se
javlja udruženo sa hipertrofijom.
Fiziološka: hormonska (proliferacija žlezdanog epitela dojki u pubertetu i
graviditetu kod žena); kompenzatorna (proliferacija/regeneracija hepatocita
posle destrukcije jetrinog parenhima različitim oštećujućim agensima).
Patološka: neadekvatna ili prekomerna stimulacija hormonima/faktorima
rasta (hiperplazija vezivnog tkiva prilikom zarastanja rana – keloidi, benigna
hiperplazija prostate usled preterane stimulacije androgenima itd.)
METAPLAZIJA
Promena fenotipa diferentovanih ćelija, često kao odgovor na hroničnu iritaciju
koja čini ćelije otpornijim na stres, pri čemu jedan tip zrelih ćelija (epitelne ili
mezenhimske) biva zamenjen drugim tipom zrelih ćelija. Posledica je
reprogramiranja diferencijacije matičnih ćelija određenog epitelnog tkiva ili
nediferentovanih mezenhimalnih ćelija vezivnih tkiva.
Najčešće: zamena cilindričnog epitela pločastim epitelom (npr. respiratorni
epitel kod pušača).
Iako adaptivna, metaplazija je generalno nepoželjna pojava koja za posledicu
može da ima smanjenu funkciju ili povećan rizik od maligne transformacije.
DISPLAZIJA
(grč. dysplasia – dezorganizovan rast)
Patološka, često ireverzibilna ekspanzija epitelnih ćelija, pri čemu se broj zrelih
diferentovanih ćelija u tkivu smanjuje, a povećava broj nezrelih ćelija različitog
tipa, veličine i organizacije ćelija (pleomorfizam).
Displastične promene (posebno visokog stepena) često predstavljaju najraniju
prekanceroznu/premalignu promenu.
Oštećenje ćelije predstavlja poremećaj funkcije
i/ili strukture ćelije koji nastaje kao posledica
delovanja stresora koje prevazilazi fiziološke
adaptacione kapacitete ćelije.
U osnovi svih bolesti stoji ćelijsko
oštećenje!
OŠTEĆENJE ĆELIJA
Opšti mehanizmi oštećenja ćelija:
1. Deplecija ATP-a
2. Oštećenje mitohondrija („permeabilitetna tranzicija“)
3. Poremećaj intracelularnog metabolizma Ca++
4. Oksidativni stres
5. Oštećenje ćelijske membrane
6. Oštećenje proteina/DNK
OŠTEĆENJE ĆELIJA
ISHEMIJSKO I HIPOKSIJSKO OŠTEĆENJE ĆELIJA
Ishemija (i posledična hipoksija), je
jedan od najčešćih uzroka oštećenja
ćelija i u osnovi je nekih od
najčešćih poremećaja zdravlja
(infarkt miokarda, infarkt mozga).
ISHEMIJA – nedovoljno snabdevanje tkiva krvlju (ne zadovoljava
metaboličke potrebe tkiva).
Uzroci: ateroskleroza, tromboza, embolija, hipotenzija, spoljna kompresija krvnog
suda tumorom, edemom i sl, povećane potrebe tkiva uz nepromenjen dotok krvi i
dr.
REVERZIBILNO OŠTEĆENJE
POREMEĆAJ ENERGETSKOG METABOLIZMA
AEROBNA
GLIKOLIZA
ANAEROBNA
GLIKOLIZA
1 Glk  36 ATP 1 Glk  2 ATP
POSLEDICE:
• naglo ↓ raspoloživog ATP-a, uz ↑ koncentracije ADP-a i AMP-a,
neorganskih fosfata, piruvata i laktata  pad intracelularnog pH (acidoza)
• Intenzivna glikogenoliza smanjuje rezerve glikogena.
• Na+/K+ pumpe i posledično zadržavanje Na+ intracelularno/u organelama,
efluks (izlazak) K+
• Na+/Ca++ razmene i zadržavanje Ca++ intracelularno/u organelama
• Ca++/Mg++ pumpe i pojačan influks (ulazak) Ca++, a izlazak Mg++ iz
ćelije/organela
POSLEDICE:
nakupljanje jona Na+ i Ca++ i vode unutar ćelije
+ nakupljanje katabolita (neorganski fosfati, laktat, purinski nukleozidi)
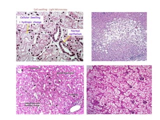
BUBRENJE
(EDEM)
ĆELIJE I
ORGANELA
REVERZIBILNO OŠTEĆENJE
POREMEĆAJ FUNKCIJE JONSKIH PUMPI
EDEM ĆELIJE
(hidrops, vakuolarna degeneracija)
Mitohondrijska permeabilitetna tranzicija (MPT): inicira je otvaranje proteinskog
kanala/pore mitohondrijske tranzicije (pMPT) u unutrašnjoj membrani
mitohondrija u uslovima visoke intracelularne koncentracije Ca++, ROS, ADP, NADH,
slobodnih masnih kiselina, alkalnog pH i sl.* Gubitak selektivne propustljivosti
unutrašnje mitohondrijske membrane omogućava izlazak malih molekula iz
mitohondrija što dovodi do prekida sinteze ATP-a. MPT je u ranim fazama
reverzibilna, ali pMPT može postati trajna ukoliko oštećujući stimulus perzistira i
postati smrtonosni udarac za ćeliju.
*Ekspresiju pMPT inhibira ciklosporin A, Mg++, kiseli pH, inhibitori fosfolipaze (kvinakrin,
trifluoperazin i dr.)
REVERZIBILNO OŠTEĆENJE
POREMEĆAJ SUBCELULARNIH STRUKTURA
• Edem endoplazmatskog retikluma (ER)  disocijacija
poliribozoma na monozome, otpadanje ribozoma sa granuliranog
ER  smanjenje sinteze proteina.
Smanjena sinteza apoproteina  akumulacija masti i masna
degeneracija ćelije.
• Kondenzacija hromatina u jedru zbog niskog pH  onemogućena
transkripcija i replikacija DNK.
REVERZIBILNO OŠTEĆENJE
POREMEĆAJ SUBCELULARNIH STRUKTURA
UZROCI:
• Poremećaj u radu Ca++/Mg++ pumpe
• Poremećena razmena Na+ i Ca++
• Oslobađanje iz intracelularnih depoa
(mitohondrije i ER)
POSLEDICE:
1. Aktivacija Ca++ zavisnih enzima (ATP-aza,
proteaza, fosfolipaza, NO-sintetaza,
endonukleaza i dr) i sledstveno enzimska
razgradnja intracelularnih molekula;
2. Indukcija MPT;
3. Indukcija apoptoze.
REVERZIBILNO OŠTEĆENJE
POREMEĆAJ HOMEOSTAZE KALCIJUMA
(Kalcijumski antagonisti mogu da spreče neke od štetnih efekata Ca++)
AKTIVACIJA Ca++
ZAVISNIH ENZIMA I
POSLEDICE
ENZIMI KOJI UČESTVUJU U
REAKCIJAMA U KOJIMA
NASTAJU SLOBODNI
RADIKALI
POVEĆANA PRODUKCIJA
SLOBODNIH RADIKALA
ATP-AZE DALJI PAD KONCENTRACIJE ATP-A
FOSFOLIPAZE C
RAZGRADNJA FOSFOINOZITOLA IZ
MEMBRANE I FORMIRANJE
SEKUNDARNIH GLASNIKA KOJI
SVOJIM DELOVANJEM DODATNO
POVEĆAVAJU KONCENTRACIJU
Ca++ U ĆELIJI
FOSFOLIPAZE
A1 I A2
OSLOBAĐANJE SLOBODNIH
MASNIH KISELINA MEMBRANE
KOJE POSTAJU SUPSTRAT ZA
PEROKSIDACIJU SLOBODNIM
RADIKALIMA
PROTEAZE
RAZGRADNJA PROTEINA,
NAROČITO ONIH KOJI UČESTVUJU U
GRAĐI MEMBRANE I CITOSKELETA
ENDONUKLEAZE
FRAGMENTACIJA HROMATINA I
NEPOVRATNO OŠTEĆENJE
GENETSKOG MATERIJALA ĆELIJE
• Mehanički, usled pritiska povećane količine tečnosti u ćeliji;
• Razlaganje membranskih fosfolipida fosfolipazama i nemogućnost njihovog
obnavljanja usled smanjene sinteze proteina koji učestvuju u izgradnji membrane
i citoskeleta;
• Toksično dejstvo slobodnih radikala kiseonika (ROS) i raspadnih produkata
metabolizma membranskih lipida;
• Oštećenje citoskeleta proteazama, njegovo odvajanje od membrane i stvaranje
evaginacija (“blebs”) na membrani.
POSLEDICE:
Manja oštećenja uzrokuju poremećaje elektrolitne ravnoteže sa gubitkom elektrolitnih
gradijenata i promenu membranskog potencijala i podražljivosti membrane. Teža
oštećenja membrane direktno dovode do smrti ćelije.
REVERZIBILNO OŠTEĆENJE
OŠTEĆENJE ĆELIJSKE MEMBRANE
REVERZIBILNO OŠTEĆENJE
Sve promene su reverzibilne ukoliko dođe do
pravovremene reperfuzije/reoksigenacije!
U suprotnom, nastaje circulus vitiosus (“začarani krug”) koji
nezaustavljivo vodi ćeliju u ćelijsku smrt apoptozom ili
nekrozom.
“Tačku sa koje nema povratka” u najvećoj meri
određuje stepen oštećenja mitohondrija.
IREVEZIBILNO OŠTEĆENJE
Glavne odlike ireverzibilnog oštećenja ćelije*:
1. Ireverzibilna MPT;
2. Teško oštećenje funkcije membrana ćelije i organela sa
narušavanjem jonskih gradijenata i aktivacijom
lizozomalnih enzima.
*Oba mehanizma imaju važnu ulogu u dodatnom oštećenju u
slučaju reperfuzije i nastanku REPERFUZIONE POVREDE!
Teško oštećenje strukturnog i
funkcionalnog integriteta
mitohondrija vodi u ćelijsku
smrt:
• težak energetski deficit i
oksidativni stres --> nekroza
• isticanje citohroma c
u citosol --> apoptoza
IREVEZIBILNO OŠTEĆENJE
IREVERZIBILNA MPT
MPT je važan mehanizam smrti ćelija u reperfuzionoj povredi, ali i u neurodegenerativnim
bolestima, oštećenju jetre izazvanom lekovima, ekscitotoksičnosti izazvanoj prekomernim
delovanjem glutamata u nervnom tkivu i dr.
IREVEZIBILNO OŠTEĆENJE
IREVERZIBILNO OŠTEĆENJE MEMBRANE
(Mehanizmi oštećenja membrana su prethodno opisani.)
Oštećenje membrane omogućava izlazak intracelularnih enzima i drugih
proteina u ekstracelularni prostor. Detekcija povećanih koncentracija ovih
proteina u serumu predstavlja marker ćelijskog oštećenja (i pre nego što
morfološke promene postanu vidljive).
POVEĆANJE KONCENTRACIJE
SPECIFIČNIH ENZIMA U SERUMU
ORGAN SRCE JETRA PANKREAS
PROTEINI/
ENZIMI
TROPONIN I, T
CK-MB
MIOGLOBIN,
AST, LDH
AST, ALT, ALKALNA
FOSFATAZA,
LDH
AMILAZA
PANKREASA,
PANKREASNA
LIPAZA
CK-MB – kreatin-kinaza MB
AST, ALT – aspartat- , alanin-aminotransferaza
LDH – laktat dehidrogenaza
SMRT ĆELIJE
Prema glavnim biohemijskim i morfološkim
osobenostima, postoje dva glavna tipa ćelijske
smrti:
•NEKROZA
•APOPTOZA
NEKROZA
grč. νεκρός – mrtvo
Progresivna enzimska razgradnja (liza) letalno oštećene ćelije.
Lizu ćelije vrše Ca++-zavisni i lizozomalni enzimi same ćelije
(autoliza) ili lizozomalni enzimi leukocita koji infiltriraju tkivo u
kojem se nalaze oštećene/mrtve ćelije (heteroliza).
Uvek je PATOLOŠKA pojava („ćelijsko ubistvo“).
Karakteriše je narušavanje integriteta ćelijske membrane i
membrana organela, razgradnja DNK, organela i potpuna
digestija ćelije.
NEKROZA
• Područje nekroze je dobro ograničeno i skoro sve ćelije
u njemu su zahvaćene.
• Materijal koji se oslobađa iz nekrotičnih ćelija oštećuje
okolne žive ćelije te se u okolnom tkivu razvija
zapaljensku reakciju.
• Ćelijski ostaci (debri) se uklanjaju fagocitozom od strane
leukocita koji su „privučeni“ inflamacijom.
INFLAMACIJA U NEKROZI
Nekroza tkiva bilo kog organa koja nastaje
kao posledica ishemije naziva se
INFARKT
NEKROZA
U zavisnosti od uzroka, tkiva i trajanja ćelijske smrti,
glavni makro- i mikroskopski oblici nekroze:
1. likvefakcijska (kolikvaciona) nekroza
(delimična/potpuna razgradnja ćelija i tkiva do kašaste
mase u roku od nekoliko sati);
2. koagulaciona nekroza (ćelije zadržavaju normalnu
arhitekturu i nekoliko dana posle smrti).
LIKVEFAKCIJSKA NEKROZA
1. Etiološki faktori:
• infektivni agensi (bakterije, gljive, paraziti...) u svim solidnim
organima,
• hipoksija/ishemija u mozgu (infarkt mozga).
2. Patogeneza - oslobađanje enzima iz:
• umirućih ćelija (autoliza) u infarktu mozga
• bakterija i infiltrišućih neutrofila u slučaju infekcije u solidnim
organima
i enzimska digestija umirućih ćelija i okolnog tkiva.
3. Makroskopski izgled: nekrotično tkivo je tečne, kašaste
konzistencije.
LIKVEFAKCIJSKA NEKROZA
KOAGULACIONA NEKROZA
1. Etiološki faktori:
• hipoksija/ishemija u svim organima, osim u mozgu
(infarkt svih solidnih organa)
2. Patogeneza:
• enzimska digestija umirućih ćelija uglavnom
heterolizom (hipoksija oštećuje enzimski sistem
ishemičnih ćelija) delimično objašnjava kasni početak
ćelijske digestije i uklanjanja nekrotičnog tkiva.
3. Makroskopski izgled: tkivo je čvrste konzistencije i
njegova arhitektura može biti očuvana danima.
KOAGULACIONA NEKROZA
NEKROZA
• KAZEOZNA: u tuberkulozi, tkivo je mekano, beličasto, sirasto (kazeozno)
• FIBRINOIDNA: povezano sa oštećenjem endotela krvnih sudova i isticanjem
proteina plazme, posebno fibrina (hipertenzija, autoimunost - vaskulitisi)
OSTALI TIPOVI NEKROZE
• MASNA: nekroza tkiva bogatih mastima usled oslobađanja lipaza iz oštećenih
adipocita (pankreas, dojka, kosti)
• GANGRENOZNA: klinički pojam koji opisuje ishemijsku nekrozu ekstremiteta
(najčešće donjih). Kombinacija „suve“ (koagulacione) nekroze i „vlažne“
(likvefakcijske) usled sekundarne bakterijske infekcije.
APOPTOZA
grč. ἀπόπτωσις - otpadanje
Programirana ćelijska smrt („ćelijski suicid“) koja se
odvija aktivacijom serije koordinisanih, genetski
programiranih događaja (aktivan proces).
Ograničena je na pojedinačne ćelije. Ima rapidan tok (5-30 min).
NOBELOVA NAGRADA ZA MEDICINU
2002. g
Sydney Brenner Robert Horvitz John E. Sulston
United Kingdom USA United Kingdom
The Molecular Sciences
Institute
Berkeley, CA, USA
Massachusetts Institute of
Technology (MIT)
Cambridge, MA, USA
The Wellcome Trust
Sanger Institute
Cambridge, United
Kingdom
APOPTOZA
Fiziološka stanja
• Apoptoza je fiziološki fenomen koji tokom fetalnog razvoja i u odraslom
dobu služi za eliminaciju ostarelih, oštećenih, suvišnih ili potencijalno
oštećujuće ćelija.
– Programirana destrukcija ćelija tokom organogeneze,
– Održavanje konstantnog broja ćelija tkiva/organa, deskvamacija
(„ljuštenje) crevnog epitela i sl.
– Negativna selekcija autoreaktivnih klonova T-limfocita u timusu,
– Involucija hormon-zavisnih tkiva (gubitak ćelija endometrijuma
tokom menstrualnog ciklusa, regresija mlečnih žlezda posle
laktacije), i dr.
apoptoza proliferacija
APOPTOZA
Patološka stanja
• Apoptozom se takođe eliminišu oštećene ćelije koje ne
mogu da budu popravljene ili potencijalno „opasne“ ćelije:
– Ćelije sa oštećenom DNK (zračenje, hipoksija, citotoksični lekovi i dr.
oštećuju DNK direktno ili putem slobodnih radikala),
– Ćelije sa akumulacijom pogrešno savijenih proteina (mutacije gena,
oštećenje proteina izazvano ekstrinzičnim faktorima),
– Uklanjanje virusom-inficiranih ćelija (apoptozu može indukovati sam
virus: adenovirusi, HIV; ili citotoksični T-limfociti),
– Smrt ćelija koje su učestvovale u inflamaciji/imunskom odgovoru,
– Uklanjanje tumorskih ćelija,
– Reakcije odbacivanje kalema,
– Delovanje nekih lekova (glukokortikoidima izazvana imunosupresija,
citostatici i sl.).
APOPTOZA
Signali/molekuli koji indukuju apoptozu nazivaju se
proapoptotskim („signali smrti”), dok oni koji je suprimiraju
antiapoptotskim („signali preživljavanja“).
Proces apoptoze ćelije otpočinje kada proapoptotski
signali nadvladaju one koji su bitni za preživljavanje
ćelije.
Biti ili ne biti?
APOPTOZA
Patogeneza
“Signal smrti”može predstavljati:
• Vezivanje molekula (liganda) za receptore na membrani ćelije ili
jedra (TNF-α, limfotoksin, TGF-β, FasL, glukokortikoidi),
• Odsustvo faktora rasta (npr. neurotrofički faktori), hormona
(estrogeni, progesteroni, testosteron) ili citokina (IL-2, IL-5)
neophodnih za preživljavanje ćelija,
• Umereno oštećenje ćelija (hipoksija, slobodni radikali,
jonizujuće zračenje i dr.), nedovoljno da izazove nekrozu
(oštećenje DNK, pogrešne konformacije proteina, povećanje
intracelularnog Ca2+ i dr.)
APOPTOZA
Patogeneza
Putevi indukcije apoptoze:
1. Ekstrinzični put (“put receptora
smrti”) - apoptoza indukovana
eksternim signalima, tj. vezivanjem
različitih molekula – liganda za tzv.
„receptore smrti“ eksprimiranih na
površini ćelija. To inicira enzimsku
kaskadu koja rezultuje apoptozom.
Receptori smrti pripadaju familiji TNFR:
TNFR1 - ligand TNF-α, Fas (CD95) - ligand
FasL i dr.
APOPTOZA
Patogeneza
2. Intrinzični put (“mitohondrijski put”) se aktivira kao posledica MPT i
oslobađanja proapoptotskih molekula u citoplazmu.
Oslobađanje ovih molekula je kontrolisano finim balansom između pro- i
antiapoptotskih članova Bcl familije proteina.
Antiapoptotski: Bcl-2, Bcl-x i dr. nalaze se u citoplazmi, mitohondrijskoj i
jedarnoj membrani. Njihovu sintezu stimulišu faktori rasta i drugi faktori
„preživljavanja“. Vezuju Bax i Bak u heterodimere i inaktivišu ih.
Senzori: („BH3-only“ proteini) detektuju smanjenje signala za preživljavanje,
oštećenja DNK, pogrešno savijene proteine, oštećenja endoplazmatskog
retikuluma i dr. oblike ćelijskog stresa. Vezuju Bcl-2 i Bcl-x, a direktno
aktiviraju Bax i Bak.
Proapoptotski: Bax i Bak, čiji homodimeri prave otvore (kanale) u
unutrašnjoj membrani mitohondrija i omogućavaju izlazak
mitohondrijskih proteina (npr. citohrom c) koji aktiviraju kaspaznu
kaskadu.
APOPTOZA
Patogeneza
3. Citotoksični T-limfociti (CTL)
Aktivirani CTL oslobađaju perforin (molekul koji formira pore u
membrani) koji omogućava ulazak CTL granula serin-proteaza
(granzimi) koje mogu da aktiviraju inaktivne kaspaze.
Na ovaj način CTL ubijaju ciljne ćelije direktno indukujući
efektorsku fazu apoptoze u njima.
* CTL takođe eksprimiraju FasL na njihovoj površini i mogu indukovati
apoptozu vezujući se za FasR na ciljnim ćelijama.
APOPTOZA
Efektorski mehanizam
Aktivacija efektorskih (izvršnih, egzekutornih) kaspaza je
zajednički mehanizam za intrinzične i ekstrinzične
signalne i regulatorne mehanizme.
Kaspaze* su familija cistein protaza, visoko konzerviranih
kroz evoluciju (identične u različitim vrstama).
• Inicirajuće kaspaze (8 i 9)
• Efektorske kaspaze (3 i 6)
*c- cistein proteazna aktivnost, -aspaza sposobnost cepanja polipeptidnog lanca od
ostataka asparaginske kiseline.
APOPTOZA
Jednom aktivirane izvršne kaspaze dovode do
fragmentacije proteina citoskeleta i jedra i aktivacije Ca2+
i Mg2+-zavisnih endonukleaza koje fragmentiraju
hromatin na fragmente od po 180 bp ili veće.
*tako da svaki predstavlja proizvod prirodnog broja i 180: 180, 360, 540...
APOPTOZA
U kasnoj fazi apoptoze dolazi do ekstenzivnog „pupljenja“ ćelijske
membrane praćeno dezintegracijom jedra na dva ili više
fragmenta i formiranja „apoptotskih tela“.
Apoptotska tela sadrže deo citoplazme i organela očuvanog
integriteta, sa ili bez jedarnih fragmenata, obavijena delovima
plazma membrane.
APOPTOZA
Na kraju, okolni fagociti fagocituju apoptotska tela*.
*insuficijentna fagocitoza može dovesti do razgradnje apoptotičnih tela i
sekundarne nekroze.
Pored toga, dolazi do translokacije nekih fosfolipida
(npr. fosfatidilserina) sa unutrašnje na spoljnu stranu
ćelijske membrane (signal „eat me!“) koje prepoznaju
fagociti posredstvom specifičnih receptora.
Zašto ne dolazi do inflamacije?
1. Apoptotične ćelije ne oslobađaju svoj sadržaj
u ekstracelularni prostor;
2. Apoptotska tela se uklanjaju fagocitozom;
3. Fagocitoza apoptotičnih ćelija indukuje
sintezu anti-inflamatornih citokina (IL-10,
TGF-β) u fagocitima.
APOPTOZA
PATOLOŠKA STANJA POVEZANA SA
POVEĆANOM APOPTOZOM
• Insuficijencija jetre
• Imunodeficijencije
• Aplastična anemija
• Dijabetes melitus
• Neurodegenerativne bolesti
• HIV
PATOLOŠKA STANJA POVEZANA SA
SMANJENOM APOPTOZOM
 Poremećaji u razvoju
 Perzistentne infekcije
 Autoimunske bolesti
 Hiperfunkcija organa
 Tumori
NEKROZA
nije energetski zavisna
APOPTOZA
energetski zavisna
ETIOLOGIJA
PATOLOŠKI
POSLEDICA IREVERZIBILNOG OŠTEĆENJA
ĆELIJE (ĆELIJSKO UBISTVO)
FIZIOLOŠKI, GENETSKI REGULISAN
PROCES
PONEKAD IZAZVAN PATOLOŠKIM
STIMULUSIMA
(ĆELIJSKO SAMOUBISTVO)
MORFOLOGIJA
TIPIČNO OBUHVATA VELIKI BROJ ĆELIJA
EDEM ĆELIJE
RUPTURA ORGANELA
GUBITAK MEMBRANSKOG INTEGRITETA
KOAGULACIJA/LIKVEFAKCIJA ĆELIJSKIH
PROTEINA
POGAĐA MALI BROJ ĆELIJA
SMANJENJE ĆELIJE USLED HIDROLIZE
PROTEINA
ORGANELE INTAKTNE
ĆELIJA SE RASPADA NA APOPTOTSKA
TELA KOJA FAGOCITUJU SUSEDNE
ĆELIJE
DNK
PROMENE
NASUMIČNA, DIFUZNA FRAGMENTACIJA
RAZGRADNJA NUKLEUSA
PRAVILNA FRAGMENTACIJA
KONDENZACIJA NUKLEUSA
REAKCIJA
TKIVA
• ZAPALJENJE I SEKUNDARNO OŠTEĆENJE
SUSEDNOG ZDRAVOG TKIVA
• OŽILJAK
• BEZ INFLAMACIJE I
SEKUNDARNOG OŠTEĆENJA
TKIVA (OSIM U SLUČAJU
INSUFICIJENTNE FAGOCITOZE)
• BEZ OŽILJKA
NEKROZA APOPTOZA
https://www.youtube.com/watch?v=7WRkY8q_F3k

02. OŠTEĆENJE I SMRT ĆELIJE.pptx

  • 1.
  • 2.
    STRESORI (endogeni i egzogeni) PRIMER 1.HIPOKSIJA 1. ENDOGENI UZROCI: ISHEMIJA, ANEMIJA, HIPERMETABOLIČKA STANJA, EDEM, BOLESTI RESPIRATORNOG I KARDIOVASKULARNOG SISTEMA 2. EGZOGENI UZROCI: SMANJENJE PARCIJALNOG PRITISKA KISEONIKA U ATMOSFERSKOM VAZDUHU, TROVANJE CO 2. FIZIČKI VISOKA/NISKA TEMEPRATURA, PROMENE ATMOSFERSKOG PRITISKA, ELEKTRICITET, JONIZUJUĆE ZRAČENJE, MEHANIČKE POVREDE 3. HEMIJSKI HIPERTONIČNI RASTVORI, TOKSINI ORGANSKOG I NEORGANSKOG POREKLA, LEKOVI, TEŠKI METALI, PESTICIDI, ORGANSKI RASTVARAČI, CO, ALKOHOL, NARKOTICI, DUVAN 4. INFEKTIVNI VIRUSI, BAKTERIJE, RIKECIJE, GLJIVE, PARAZITI, PRIONI 5. IMUNSKI REAKCIJE PREOSETLJIVOSTI, AUTOIMUNOST, REAKCIJA “KALEM PROTIV DOMAĆINA” 6. GENETSKI PROMENE U BROJU I STRUKTURI (MUTACIJE, POLIMORFIZMI) HROMOZOMA I GENA KOJE MOGU DA REZULTUJU KONGENITALNIM MALFORMACIJAMA, METABOLIČKIM POREMEĆAJIMA, IMUNODEFICIJENCIJAMA I DR. 7. NUTRITIVNI AVITAMINOZE, HIPOVITAMINOZE, HIPERVITAMINOZE, PROTEINSKO- ENERGETSKA MALNUTRICIJA, ANOREXIA NERVOSA, GOJAZNOST
  • 3.
    Reakcija ćelije nadelovanje potencijalno oštećujućeg agensa (stresor, noksa): 1. ADAPTACIJA – biohemijska i/ili strukturna promena u cilju uspostavljanja novog ravnotežnog stanja i održavanja funkcija u fiziološkim granicama - homeostaza. 2. OŠTEĆENJE – ukoliko ćelije izložene stresoru ne mogu da se adaptiraju: • Reverzibilno - oštećena ćelija može da vrati izgubljene funkcije kada prestane delovanje oštećujućeg agensa; • Ireverzibilno – kada stepen promena dostigne “tačku bez povratka” posle čega nastupa kaskada procesa koji progresivno vode u ćelijsku smrt, čak i ako prestane delovanje oštećujućeg agensa.
  • 4.
    FAKTORI OD KOJIHZAVISI STEPEN OŠTEĆENJA ĆELIJA: • oštećujući agens: kvalitativna i kvantitativna svojstva (vrsta, trajanje izloženosti, intenzitet dejstva); • tip ćelije: njena osetljivost (vulnerabilnost) i sposobnost adaptacije; • drugi faktori: prokrvljenost, nutricioni status tkiva i sl.
  • 6.
    TIP ĆELIJE NEURONIKARDIOMIOCITI FIBROBLASTI VREME PREŽIVLJAVANJA NEKOLIKO MINUTA 20-120 min. VIŠE OD 24h Različiti tipovi ćelija su različito osetljivi na određene nokse. EFEKTI HIPOKSIJE NA RAZLIČITE TIPOVE ĆELIJA
  • 7.
    Međutim, obrazac reagovanjana određenu noksu je ISTI za sve tipove ćelija, bez obzira na tkivnu diferencijaciju! npr. hipoksija će u neuronima, kardiomiocitima i fibroblastima izazivati isti tip oštećenja.
  • 8.
    ADAPTIVNE PROMENE ĆELIJA •Potencijalno reverzibilne promene veličine, broja, fenotipa, metaboličke aktivnosti i funkcije ćelija u odgovoru na različite metaboličke zahteve ili delovanje stresora. 1. Atrofija 2. Hipertrofija 3. Hiperplazija 4. Metaplazija 5. Displazija
  • 9.
    ATROFIJA Smanjenje broja (apoptoza)i/ili veličine (smanjena sinteza proteina/povećana proteoliza) ćelija, obično uz smanjenje njihove metaboličke aktivnosti/funkcije. Može dovestii do smanjenja veličine tkiva/organa. Fiziološka - predstavlja odgovor ćelija na normalnu stimulaciju hormonima ili endogenim hemijskim medijatorima (tokom embrionalnog razvoja, smanjenje uterusa postpartalno i sl.). Patološka – odgovor ćelija na stres koji im omogućava da menjaju strukturu ili funkciju i na taj način izbegnu oštećenje.
  • 10.
    ATROFIJA 1. usled inaktivnost/smanjenog radnogopterećenja 2. usled smanjenog snabdevanja krvlju (ishemija) 4. usled denervacije 3. usled malnutricije 5. usled starenja/ senilna atrofija
  • 11.
    HIPERTROFIJA Povećanje veličine ćelija(na račun povećane sinteze proteina), a time i organa. Fiziološka – pojačani funkcionalni zahtevi ili hormonska stimulacija (fiziološki rast uterusa u graviditetu ili hipertrofija mišića zbog pojačanog opterećenja). Patološka – hipertrofija kardiomiocita zbog dugotrajne hipertenzije ili oboljenja aortnih zalistaka.
  • 12.
    HIPERPLAZIJA Povećanje broja diferentovanihćelija u tkivima/organa usled proliferacije zrelih ćelija ili povećanom diferencijacijom tkivnih matičnih ćelija. Često se javlja udruženo sa hipertrofijom. Fiziološka: hormonska (proliferacija žlezdanog epitela dojki u pubertetu i graviditetu kod žena); kompenzatorna (proliferacija/regeneracija hepatocita posle destrukcije jetrinog parenhima različitim oštećujućim agensima). Patološka: neadekvatna ili prekomerna stimulacija hormonima/faktorima rasta (hiperplazija vezivnog tkiva prilikom zarastanja rana – keloidi, benigna hiperplazija prostate usled preterane stimulacije androgenima itd.)
  • 13.
    METAPLAZIJA Promena fenotipa diferentovanihćelija, često kao odgovor na hroničnu iritaciju koja čini ćelije otpornijim na stres, pri čemu jedan tip zrelih ćelija (epitelne ili mezenhimske) biva zamenjen drugim tipom zrelih ćelija. Posledica je reprogramiranja diferencijacije matičnih ćelija određenog epitelnog tkiva ili nediferentovanih mezenhimalnih ćelija vezivnih tkiva. Najčešće: zamena cilindričnog epitela pločastim epitelom (npr. respiratorni epitel kod pušača). Iako adaptivna, metaplazija je generalno nepoželjna pojava koja za posledicu može da ima smanjenu funkciju ili povećan rizik od maligne transformacije.
  • 14.
    DISPLAZIJA (grč. dysplasia –dezorganizovan rast) Patološka, često ireverzibilna ekspanzija epitelnih ćelija, pri čemu se broj zrelih diferentovanih ćelija u tkivu smanjuje, a povećava broj nezrelih ćelija različitog tipa, veličine i organizacije ćelija (pleomorfizam). Displastične promene (posebno visokog stepena) često predstavljaju najraniju prekanceroznu/premalignu promenu.
  • 16.
    Oštećenje ćelije predstavljaporemećaj funkcije i/ili strukture ćelije koji nastaje kao posledica delovanja stresora koje prevazilazi fiziološke adaptacione kapacitete ćelije. U osnovi svih bolesti stoji ćelijsko oštećenje! OŠTEĆENJE ĆELIJA
  • 17.
    Opšti mehanizmi oštećenjaćelija: 1. Deplecija ATP-a 2. Oštećenje mitohondrija („permeabilitetna tranzicija“) 3. Poremećaj intracelularnog metabolizma Ca++ 4. Oksidativni stres 5. Oštećenje ćelijske membrane 6. Oštećenje proteina/DNK OŠTEĆENJE ĆELIJA
  • 18.
    ISHEMIJSKO I HIPOKSIJSKOOŠTEĆENJE ĆELIJA Ishemija (i posledična hipoksija), je jedan od najčešćih uzroka oštećenja ćelija i u osnovi je nekih od najčešćih poremećaja zdravlja (infarkt miokarda, infarkt mozga). ISHEMIJA – nedovoljno snabdevanje tkiva krvlju (ne zadovoljava metaboličke potrebe tkiva). Uzroci: ateroskleroza, tromboza, embolija, hipotenzija, spoljna kompresija krvnog suda tumorom, edemom i sl, povećane potrebe tkiva uz nepromenjen dotok krvi i dr.
  • 19.
    REVERZIBILNO OŠTEĆENJE POREMEĆAJ ENERGETSKOGMETABOLIZMA AEROBNA GLIKOLIZA ANAEROBNA GLIKOLIZA 1 Glk  36 ATP 1 Glk  2 ATP POSLEDICE: • naglo ↓ raspoloživog ATP-a, uz ↑ koncentracije ADP-a i AMP-a, neorganskih fosfata, piruvata i laktata  pad intracelularnog pH (acidoza) • Intenzivna glikogenoliza smanjuje rezerve glikogena.
  • 20.
    • Na+/K+ pumpei posledično zadržavanje Na+ intracelularno/u organelama, efluks (izlazak) K+ • Na+/Ca++ razmene i zadržavanje Ca++ intracelularno/u organelama • Ca++/Mg++ pumpe i pojačan influks (ulazak) Ca++, a izlazak Mg++ iz ćelije/organela POSLEDICE: nakupljanje jona Na+ i Ca++ i vode unutar ćelije + nakupljanje katabolita (neorganski fosfati, laktat, purinski nukleozidi) BUBRENJE (EDEM) ĆELIJE I ORGANELA REVERZIBILNO OŠTEĆENJE POREMEĆAJ FUNKCIJE JONSKIH PUMPI
  • 21.
  • 23.
    Mitohondrijska permeabilitetna tranzicija(MPT): inicira je otvaranje proteinskog kanala/pore mitohondrijske tranzicije (pMPT) u unutrašnjoj membrani mitohondrija u uslovima visoke intracelularne koncentracije Ca++, ROS, ADP, NADH, slobodnih masnih kiselina, alkalnog pH i sl.* Gubitak selektivne propustljivosti unutrašnje mitohondrijske membrane omogućava izlazak malih molekula iz mitohondrija što dovodi do prekida sinteze ATP-a. MPT je u ranim fazama reverzibilna, ali pMPT može postati trajna ukoliko oštećujući stimulus perzistira i postati smrtonosni udarac za ćeliju. *Ekspresiju pMPT inhibira ciklosporin A, Mg++, kiseli pH, inhibitori fosfolipaze (kvinakrin, trifluoperazin i dr.) REVERZIBILNO OŠTEĆENJE POREMEĆAJ SUBCELULARNIH STRUKTURA
  • 24.
    • Edem endoplazmatskogretikluma (ER)  disocijacija poliribozoma na monozome, otpadanje ribozoma sa granuliranog ER  smanjenje sinteze proteina. Smanjena sinteza apoproteina  akumulacija masti i masna degeneracija ćelije. • Kondenzacija hromatina u jedru zbog niskog pH  onemogućena transkripcija i replikacija DNK. REVERZIBILNO OŠTEĆENJE POREMEĆAJ SUBCELULARNIH STRUKTURA
  • 25.
    UZROCI: • Poremećaj uradu Ca++/Mg++ pumpe • Poremećena razmena Na+ i Ca++ • Oslobađanje iz intracelularnih depoa (mitohondrije i ER) POSLEDICE: 1. Aktivacija Ca++ zavisnih enzima (ATP-aza, proteaza, fosfolipaza, NO-sintetaza, endonukleaza i dr) i sledstveno enzimska razgradnja intracelularnih molekula; 2. Indukcija MPT; 3. Indukcija apoptoze. REVERZIBILNO OŠTEĆENJE POREMEĆAJ HOMEOSTAZE KALCIJUMA (Kalcijumski antagonisti mogu da spreče neke od štetnih efekata Ca++)
  • 26.
    AKTIVACIJA Ca++ ZAVISNIH ENZIMAI POSLEDICE ENZIMI KOJI UČESTVUJU U REAKCIJAMA U KOJIMA NASTAJU SLOBODNI RADIKALI POVEĆANA PRODUKCIJA SLOBODNIH RADIKALA ATP-AZE DALJI PAD KONCENTRACIJE ATP-A FOSFOLIPAZE C RAZGRADNJA FOSFOINOZITOLA IZ MEMBRANE I FORMIRANJE SEKUNDARNIH GLASNIKA KOJI SVOJIM DELOVANJEM DODATNO POVEĆAVAJU KONCENTRACIJU Ca++ U ĆELIJI FOSFOLIPAZE A1 I A2 OSLOBAĐANJE SLOBODNIH MASNIH KISELINA MEMBRANE KOJE POSTAJU SUPSTRAT ZA PEROKSIDACIJU SLOBODNIM RADIKALIMA PROTEAZE RAZGRADNJA PROTEINA, NAROČITO ONIH KOJI UČESTVUJU U GRAĐI MEMBRANE I CITOSKELETA ENDONUKLEAZE FRAGMENTACIJA HROMATINA I NEPOVRATNO OŠTEĆENJE GENETSKOG MATERIJALA ĆELIJE
  • 27.
    • Mehanički, usledpritiska povećane količine tečnosti u ćeliji; • Razlaganje membranskih fosfolipida fosfolipazama i nemogućnost njihovog obnavljanja usled smanjene sinteze proteina koji učestvuju u izgradnji membrane i citoskeleta; • Toksično dejstvo slobodnih radikala kiseonika (ROS) i raspadnih produkata metabolizma membranskih lipida; • Oštećenje citoskeleta proteazama, njegovo odvajanje od membrane i stvaranje evaginacija (“blebs”) na membrani. POSLEDICE: Manja oštećenja uzrokuju poremećaje elektrolitne ravnoteže sa gubitkom elektrolitnih gradijenata i promenu membranskog potencijala i podražljivosti membrane. Teža oštećenja membrane direktno dovode do smrti ćelije. REVERZIBILNO OŠTEĆENJE OŠTEĆENJE ĆELIJSKE MEMBRANE
  • 29.
  • 30.
    Sve promene sureverzibilne ukoliko dođe do pravovremene reperfuzije/reoksigenacije! U suprotnom, nastaje circulus vitiosus (“začarani krug”) koji nezaustavljivo vodi ćeliju u ćelijsku smrt apoptozom ili nekrozom. “Tačku sa koje nema povratka” u najvećoj meri određuje stepen oštećenja mitohondrija.
  • 31.
    IREVEZIBILNO OŠTEĆENJE Glavne odlikeireverzibilnog oštećenja ćelije*: 1. Ireverzibilna MPT; 2. Teško oštećenje funkcije membrana ćelije i organela sa narušavanjem jonskih gradijenata i aktivacijom lizozomalnih enzima. *Oba mehanizma imaju važnu ulogu u dodatnom oštećenju u slučaju reperfuzije i nastanku REPERFUZIONE POVREDE!
  • 32.
    Teško oštećenje strukturnogi funkcionalnog integriteta mitohondrija vodi u ćelijsku smrt: • težak energetski deficit i oksidativni stres --> nekroza • isticanje citohroma c u citosol --> apoptoza IREVEZIBILNO OŠTEĆENJE IREVERZIBILNA MPT MPT je važan mehanizam smrti ćelija u reperfuzionoj povredi, ali i u neurodegenerativnim bolestima, oštećenju jetre izazvanom lekovima, ekscitotoksičnosti izazvanoj prekomernim delovanjem glutamata u nervnom tkivu i dr.
  • 33.
    IREVEZIBILNO OŠTEĆENJE IREVERZIBILNO OŠTEĆENJEMEMBRANE (Mehanizmi oštećenja membrana su prethodno opisani.) Oštećenje membrane omogućava izlazak intracelularnih enzima i drugih proteina u ekstracelularni prostor. Detekcija povećanih koncentracija ovih proteina u serumu predstavlja marker ćelijskog oštećenja (i pre nego što morfološke promene postanu vidljive).
  • 34.
    POVEĆANJE KONCENTRACIJE SPECIFIČNIH ENZIMAU SERUMU ORGAN SRCE JETRA PANKREAS PROTEINI/ ENZIMI TROPONIN I, T CK-MB MIOGLOBIN, AST, LDH AST, ALT, ALKALNA FOSFATAZA, LDH AMILAZA PANKREASA, PANKREASNA LIPAZA CK-MB – kreatin-kinaza MB AST, ALT – aspartat- , alanin-aminotransferaza LDH – laktat dehidrogenaza
  • 35.
  • 36.
    Prema glavnim biohemijskimi morfološkim osobenostima, postoje dva glavna tipa ćelijske smrti: •NEKROZA •APOPTOZA
  • 37.
    NEKROZA grč. νεκρός –mrtvo Progresivna enzimska razgradnja (liza) letalno oštećene ćelije. Lizu ćelije vrše Ca++-zavisni i lizozomalni enzimi same ćelije (autoliza) ili lizozomalni enzimi leukocita koji infiltriraju tkivo u kojem se nalaze oštećene/mrtve ćelije (heteroliza). Uvek je PATOLOŠKA pojava („ćelijsko ubistvo“). Karakteriše je narušavanje integriteta ćelijske membrane i membrana organela, razgradnja DNK, organela i potpuna digestija ćelije.
  • 38.
    NEKROZA • Područje nekrozeje dobro ograničeno i skoro sve ćelije u njemu su zahvaćene. • Materijal koji se oslobađa iz nekrotičnih ćelija oštećuje okolne žive ćelije te se u okolnom tkivu razvija zapaljensku reakciju. • Ćelijski ostaci (debri) se uklanjaju fagocitozom od strane leukocita koji su „privučeni“ inflamacijom.
  • 39.
  • 40.
    Nekroza tkiva bilokog organa koja nastaje kao posledica ishemije naziva se INFARKT
  • 41.
    NEKROZA U zavisnosti oduzroka, tkiva i trajanja ćelijske smrti, glavni makro- i mikroskopski oblici nekroze: 1. likvefakcijska (kolikvaciona) nekroza (delimična/potpuna razgradnja ćelija i tkiva do kašaste mase u roku od nekoliko sati); 2. koagulaciona nekroza (ćelije zadržavaju normalnu arhitekturu i nekoliko dana posle smrti).
  • 42.
    LIKVEFAKCIJSKA NEKROZA 1. Etiološkifaktori: • infektivni agensi (bakterije, gljive, paraziti...) u svim solidnim organima, • hipoksija/ishemija u mozgu (infarkt mozga). 2. Patogeneza - oslobađanje enzima iz: • umirućih ćelija (autoliza) u infarktu mozga • bakterija i infiltrišućih neutrofila u slučaju infekcije u solidnim organima i enzimska digestija umirućih ćelija i okolnog tkiva. 3. Makroskopski izgled: nekrotično tkivo je tečne, kašaste konzistencije.
  • 43.
  • 44.
    KOAGULACIONA NEKROZA 1. Etiološkifaktori: • hipoksija/ishemija u svim organima, osim u mozgu (infarkt svih solidnih organa) 2. Patogeneza: • enzimska digestija umirućih ćelija uglavnom heterolizom (hipoksija oštećuje enzimski sistem ishemičnih ćelija) delimično objašnjava kasni početak ćelijske digestije i uklanjanja nekrotičnog tkiva. 3. Makroskopski izgled: tkivo je čvrste konzistencije i njegova arhitektura može biti očuvana danima.
  • 45.
  • 46.
    NEKROZA • KAZEOZNA: utuberkulozi, tkivo je mekano, beličasto, sirasto (kazeozno) • FIBRINOIDNA: povezano sa oštećenjem endotela krvnih sudova i isticanjem proteina plazme, posebno fibrina (hipertenzija, autoimunost - vaskulitisi)
  • 47.
    OSTALI TIPOVI NEKROZE •MASNA: nekroza tkiva bogatih mastima usled oslobađanja lipaza iz oštećenih adipocita (pankreas, dojka, kosti) • GANGRENOZNA: klinički pojam koji opisuje ishemijsku nekrozu ekstremiteta (najčešće donjih). Kombinacija „suve“ (koagulacione) nekroze i „vlažne“ (likvefakcijske) usled sekundarne bakterijske infekcije.
  • 48.
    APOPTOZA grč. ἀπόπτωσις -otpadanje Programirana ćelijska smrt („ćelijski suicid“) koja se odvija aktivacijom serije koordinisanih, genetski programiranih događaja (aktivan proces). Ograničena je na pojedinačne ćelije. Ima rapidan tok (5-30 min).
  • 49.
    NOBELOVA NAGRADA ZAMEDICINU 2002. g Sydney Brenner Robert Horvitz John E. Sulston United Kingdom USA United Kingdom The Molecular Sciences Institute Berkeley, CA, USA Massachusetts Institute of Technology (MIT) Cambridge, MA, USA The Wellcome Trust Sanger Institute Cambridge, United Kingdom
  • 50.
    APOPTOZA Fiziološka stanja • Apoptozaje fiziološki fenomen koji tokom fetalnog razvoja i u odraslom dobu služi za eliminaciju ostarelih, oštećenih, suvišnih ili potencijalno oštećujuće ćelija. – Programirana destrukcija ćelija tokom organogeneze, – Održavanje konstantnog broja ćelija tkiva/organa, deskvamacija („ljuštenje) crevnog epitela i sl. – Negativna selekcija autoreaktivnih klonova T-limfocita u timusu, – Involucija hormon-zavisnih tkiva (gubitak ćelija endometrijuma tokom menstrualnog ciklusa, regresija mlečnih žlezda posle laktacije), i dr. apoptoza proliferacija
  • 51.
    APOPTOZA Patološka stanja • Apoptozomse takođe eliminišu oštećene ćelije koje ne mogu da budu popravljene ili potencijalno „opasne“ ćelije: – Ćelije sa oštećenom DNK (zračenje, hipoksija, citotoksični lekovi i dr. oštećuju DNK direktno ili putem slobodnih radikala), – Ćelije sa akumulacijom pogrešno savijenih proteina (mutacije gena, oštećenje proteina izazvano ekstrinzičnim faktorima), – Uklanjanje virusom-inficiranih ćelija (apoptozu može indukovati sam virus: adenovirusi, HIV; ili citotoksični T-limfociti), – Smrt ćelija koje su učestvovale u inflamaciji/imunskom odgovoru, – Uklanjanje tumorskih ćelija, – Reakcije odbacivanje kalema, – Delovanje nekih lekova (glukokortikoidima izazvana imunosupresija, citostatici i sl.).
  • 52.
    APOPTOZA Signali/molekuli koji indukujuapoptozu nazivaju se proapoptotskim („signali smrti”), dok oni koji je suprimiraju antiapoptotskim („signali preživljavanja“). Proces apoptoze ćelije otpočinje kada proapoptotski signali nadvladaju one koji su bitni za preživljavanje ćelije. Biti ili ne biti?
  • 53.
    APOPTOZA Patogeneza “Signal smrti”može predstavljati: •Vezivanje molekula (liganda) za receptore na membrani ćelije ili jedra (TNF-α, limfotoksin, TGF-β, FasL, glukokortikoidi), • Odsustvo faktora rasta (npr. neurotrofički faktori), hormona (estrogeni, progesteroni, testosteron) ili citokina (IL-2, IL-5) neophodnih za preživljavanje ćelija, • Umereno oštećenje ćelija (hipoksija, slobodni radikali, jonizujuće zračenje i dr.), nedovoljno da izazove nekrozu (oštećenje DNK, pogrešne konformacije proteina, povećanje intracelularnog Ca2+ i dr.)
  • 54.
    APOPTOZA Patogeneza Putevi indukcije apoptoze: 1.Ekstrinzični put (“put receptora smrti”) - apoptoza indukovana eksternim signalima, tj. vezivanjem različitih molekula – liganda za tzv. „receptore smrti“ eksprimiranih na površini ćelija. To inicira enzimsku kaskadu koja rezultuje apoptozom. Receptori smrti pripadaju familiji TNFR: TNFR1 - ligand TNF-α, Fas (CD95) - ligand FasL i dr.
  • 55.
    APOPTOZA Patogeneza 2. Intrinzični put(“mitohondrijski put”) se aktivira kao posledica MPT i oslobađanja proapoptotskih molekula u citoplazmu. Oslobađanje ovih molekula je kontrolisano finim balansom između pro- i antiapoptotskih članova Bcl familije proteina. Antiapoptotski: Bcl-2, Bcl-x i dr. nalaze se u citoplazmi, mitohondrijskoj i jedarnoj membrani. Njihovu sintezu stimulišu faktori rasta i drugi faktori „preživljavanja“. Vezuju Bax i Bak u heterodimere i inaktivišu ih. Senzori: („BH3-only“ proteini) detektuju smanjenje signala za preživljavanje, oštećenja DNK, pogrešno savijene proteine, oštećenja endoplazmatskog retikuluma i dr. oblike ćelijskog stresa. Vezuju Bcl-2 i Bcl-x, a direktno aktiviraju Bax i Bak. Proapoptotski: Bax i Bak, čiji homodimeri prave otvore (kanale) u unutrašnjoj membrani mitohondrija i omogućavaju izlazak mitohondrijskih proteina (npr. citohrom c) koji aktiviraju kaspaznu kaskadu.
  • 56.
    APOPTOZA Patogeneza 3. Citotoksični T-limfociti(CTL) Aktivirani CTL oslobađaju perforin (molekul koji formira pore u membrani) koji omogućava ulazak CTL granula serin-proteaza (granzimi) koje mogu da aktiviraju inaktivne kaspaze. Na ovaj način CTL ubijaju ciljne ćelije direktno indukujući efektorsku fazu apoptoze u njima. * CTL takođe eksprimiraju FasL na njihovoj površini i mogu indukovati apoptozu vezujući se za FasR na ciljnim ćelijama.
  • 58.
    APOPTOZA Efektorski mehanizam Aktivacija efektorskih(izvršnih, egzekutornih) kaspaza je zajednički mehanizam za intrinzične i ekstrinzične signalne i regulatorne mehanizme. Kaspaze* su familija cistein protaza, visoko konzerviranih kroz evoluciju (identične u različitim vrstama). • Inicirajuće kaspaze (8 i 9) • Efektorske kaspaze (3 i 6) *c- cistein proteazna aktivnost, -aspaza sposobnost cepanja polipeptidnog lanca od ostataka asparaginske kiseline.
  • 59.
    APOPTOZA Jednom aktivirane izvršnekaspaze dovode do fragmentacije proteina citoskeleta i jedra i aktivacije Ca2+ i Mg2+-zavisnih endonukleaza koje fragmentiraju hromatin na fragmente od po 180 bp ili veće. *tako da svaki predstavlja proizvod prirodnog broja i 180: 180, 360, 540...
  • 60.
    APOPTOZA U kasnoj faziapoptoze dolazi do ekstenzivnog „pupljenja“ ćelijske membrane praćeno dezintegracijom jedra na dva ili više fragmenta i formiranja „apoptotskih tela“. Apoptotska tela sadrže deo citoplazme i organela očuvanog integriteta, sa ili bez jedarnih fragmenata, obavijena delovima plazma membrane.
  • 61.
    APOPTOZA Na kraju, okolnifagociti fagocituju apoptotska tela*. *insuficijentna fagocitoza može dovesti do razgradnje apoptotičnih tela i sekundarne nekroze. Pored toga, dolazi do translokacije nekih fosfolipida (npr. fosfatidilserina) sa unutrašnje na spoljnu stranu ćelijske membrane (signal „eat me!“) koje prepoznaju fagociti posredstvom specifičnih receptora.
  • 62.
    Zašto ne dolazido inflamacije? 1. Apoptotične ćelije ne oslobađaju svoj sadržaj u ekstracelularni prostor; 2. Apoptotska tela se uklanjaju fagocitozom; 3. Fagocitoza apoptotičnih ćelija indukuje sintezu anti-inflamatornih citokina (IL-10, TGF-β) u fagocitima. APOPTOZA
  • 63.
    PATOLOŠKA STANJA POVEZANASA POVEĆANOM APOPTOZOM • Insuficijencija jetre • Imunodeficijencije • Aplastična anemija • Dijabetes melitus • Neurodegenerativne bolesti • HIV PATOLOŠKA STANJA POVEZANA SA SMANJENOM APOPTOZOM  Poremećaji u razvoju  Perzistentne infekcije  Autoimunske bolesti  Hiperfunkcija organa  Tumori
  • 64.
    NEKROZA nije energetski zavisna APOPTOZA energetskizavisna ETIOLOGIJA PATOLOŠKI POSLEDICA IREVERZIBILNOG OŠTEĆENJA ĆELIJE (ĆELIJSKO UBISTVO) FIZIOLOŠKI, GENETSKI REGULISAN PROCES PONEKAD IZAZVAN PATOLOŠKIM STIMULUSIMA (ĆELIJSKO SAMOUBISTVO) MORFOLOGIJA TIPIČNO OBUHVATA VELIKI BROJ ĆELIJA EDEM ĆELIJE RUPTURA ORGANELA GUBITAK MEMBRANSKOG INTEGRITETA KOAGULACIJA/LIKVEFAKCIJA ĆELIJSKIH PROTEINA POGAĐA MALI BROJ ĆELIJA SMANJENJE ĆELIJE USLED HIDROLIZE PROTEINA ORGANELE INTAKTNE ĆELIJA SE RASPADA NA APOPTOTSKA TELA KOJA FAGOCITUJU SUSEDNE ĆELIJE DNK PROMENE NASUMIČNA, DIFUZNA FRAGMENTACIJA RAZGRADNJA NUKLEUSA PRAVILNA FRAGMENTACIJA KONDENZACIJA NUKLEUSA REAKCIJA TKIVA • ZAPALJENJE I SEKUNDARNO OŠTEĆENJE SUSEDNOG ZDRAVOG TKIVA • OŽILJAK • BEZ INFLAMACIJE I SEKUNDARNOG OŠTEĆENJA TKIVA (OSIM U SLUČAJU INSUFICIJENTNE FAGOCITOZE) • BEZ OŽILJKA
  • 65.
  • 66.