WHITE ,GREY, BLACK- WHY AND
WHEREFORES??????
RADIOGRAPHY
• X RAYS USED IN MEDICAL DIAGNOSIS ARE
PRODUCED WITHIN THE XRAY TUBE WHEN
EXPOSURE IS MADE
• DIFFERENT TISSUES IN OUR BODY
ATTENUATES XRAYS AT DIFFERENT EXTENTS
• ATTENUATION IS THE REDUCTION IN THE
INTENSITY OF AN X-RAY BEAM AS IT
TRAVERSES MATTER BY EITHER THE
ABSORPTION OR DEFLECTION OF PHOTONS
FROM THE BEAM
• EXPONENTIAL ATTENUATION : When the number
of photons remaining in the beam decreases by
the same percentage with each increment of
absorber, as with monochromatic radiation
• Attenuation coefficient : Measure of the quantity
of radiation attenuated by the given thickness of
an absorber
• Linear attenuation coefficient: most
important for diagnostic radiology
• Quantitative measure of attenuation per
centimeter of the absorber
• Is for monochromatic radiation and is specific
for both the energy of the x-ray and type of
absorber
• When the energy of the radiation is increased
the number of xrays that are attenuated
decreases,and does the linear attenuation
coefficient
HALF VALUE LAYER
• The Absorber thickness required to reduce the
intensity of orginal beam by one half
• Common method for expressiong the quality of
an xray beam
• A beam with high HVL is a more penetrating
beam than one with low Hvl
• Hvl of a typical diagnostic beam is
• 30mm : tissue
• 12mm :bone
• 0.15mm : lead
Mass attenuation coefficient
• Quantitates the attenuation of materials
independent of their physical state
• Obtained by dividing the linear attenuation
coefficient by the density
• Mass attenuation coefficient is independent of
the density of the absorber
Factors affecting Attenuation
• ENERGY
• DENSITY
• ATOMIC NUMBER
• ELECTRONS PER GRAM
Density and atomic number
• Elements with higher atomic number are
denser than elements with lower atomic
number
• No relationship between atomic number and
density when different physical states of
matter are involved
• Water – effective atomic number -7.4 (but
density varies in ice,liquid,vapour )
Density and electrons per gram
• Density depends on volume ,hence there is no
relationship between density and electrons
per gram
Effect of energy and atomic number
• With extremely low energy radiation(20kev)
photoelectric attenuation predominates
irrespective of the atomic number of the
absorber
• Attenuation is always greater when the
photoelectric effect predominates
• As the radiation energy increases Compton
scattering predominates and replace
photoelectric effect
• ABSORPTION OF XRAYS IS BASED ON THE
1.ATOMIC NUMBER
2.DENSITY
3.THICKNESS OF THE TISSUES
• TISSUES WITH HIGHER ATOMIC NUMBER WILL
ABSORB MORE RADIATION THAN TISSUE WITH
LOWER ATOMIC NUMBER
• DENSITY– AIR AND SOFT TISSUE HAVE SAME
ATOMIC NUMBER BUT DENSITY IS LESS FOR
AIR SO LESS ABSORPTION
• THICKER TISSUES WILL ABSORB MORE XRAYS
THAN THINNER TISSUE OF SIMILAR
COMPOSITION
• GREATER THE AMOUNT OF TISSUE
ABSORPTION FEWER XRAYS REACH THE FILM
AND WHITER THE IMAGE ON THE FILM
• RADIOPAQUE TISSUES APPEAR MORE WHITE
AND RADIOLUCENT TISSUES APPEAR MORE
BLACK
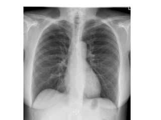
BASIC TISSUE RADIOGRAPHIC
OPACITIES
1. GAS - BLACK
• MOST RADIOLUCENT MATERIAL VISIBLE ON
XRAY
FAT -GREY
• MORE LUCENT THAN BONE AND SOFT TISSUES
BUT IS MORE OPAQUE THAN AIR
SOFT TISSUE /FLUID- LIGHT WHITE
• BOTH SOFT TISSUE AND FLUID HAVE SAME
RADIOLUCENCY. VARIATION IN VOLUME ,
THICKNESS AND DEGREE OF COMPACTNESS
OF SOFT TISSUE CREATES A PATTERN OF
VARIOUS DENSITIES ON THE RADIOGRAPH
BONES & MINERAL- WHITE
• BONE IS COMPOSED PRIMARLY OF CALCIUM
AND PHOSPHOROUS
• NORMAL VARIATION IN THE RADIOPACITY
WITHN THE BONE AND BETWEEN BONES
BECOZ OF DIFFERENCE IN RADIOPACITY OF
COMPACT V/S SPONGY BONE ,CORTICAL V/S
MEDULLARY CANAL
METAL –BRIGHT WHITE
• MOST OPAQUE SHADOW SEEN ON
RADIOGRAPH
White ,grey, black  why and wherefores

White ,grey, black why and wherefores

  • 1.
    WHITE ,GREY, BLACK-WHY AND WHEREFORES?????? RADIOGRAPHY
  • 2.
    • X RAYSUSED IN MEDICAL DIAGNOSIS ARE PRODUCED WITHIN THE XRAY TUBE WHEN EXPOSURE IS MADE • DIFFERENT TISSUES IN OUR BODY ATTENUATES XRAYS AT DIFFERENT EXTENTS • ATTENUATION IS THE REDUCTION IN THE INTENSITY OF AN X-RAY BEAM AS IT TRAVERSES MATTER BY EITHER THE ABSORPTION OR DEFLECTION OF PHOTONS FROM THE BEAM
  • 3.
    • EXPONENTIAL ATTENUATION: When the number of photons remaining in the beam decreases by the same percentage with each increment of absorber, as with monochromatic radiation • Attenuation coefficient : Measure of the quantity of radiation attenuated by the given thickness of an absorber
  • 4.
    • Linear attenuationcoefficient: most important for diagnostic radiology • Quantitative measure of attenuation per centimeter of the absorber • Is for monochromatic radiation and is specific for both the energy of the x-ray and type of absorber • When the energy of the radiation is increased the number of xrays that are attenuated decreases,and does the linear attenuation coefficient
  • 5.
    HALF VALUE LAYER •The Absorber thickness required to reduce the intensity of orginal beam by one half • Common method for expressiong the quality of an xray beam • A beam with high HVL is a more penetrating beam than one with low Hvl • Hvl of a typical diagnostic beam is • 30mm : tissue • 12mm :bone • 0.15mm : lead
  • 6.
    Mass attenuation coefficient •Quantitates the attenuation of materials independent of their physical state • Obtained by dividing the linear attenuation coefficient by the density • Mass attenuation coefficient is independent of the density of the absorber
  • 7.
    Factors affecting Attenuation •ENERGY • DENSITY • ATOMIC NUMBER • ELECTRONS PER GRAM
  • 8.
    Density and atomicnumber • Elements with higher atomic number are denser than elements with lower atomic number • No relationship between atomic number and density when different physical states of matter are involved • Water – effective atomic number -7.4 (but density varies in ice,liquid,vapour )
  • 9.
    Density and electronsper gram • Density depends on volume ,hence there is no relationship between density and electrons per gram
  • 10.
    Effect of energyand atomic number • With extremely low energy radiation(20kev) photoelectric attenuation predominates irrespective of the atomic number of the absorber • Attenuation is always greater when the photoelectric effect predominates • As the radiation energy increases Compton scattering predominates and replace photoelectric effect
  • 11.
    • ABSORPTION OFXRAYS IS BASED ON THE 1.ATOMIC NUMBER 2.DENSITY 3.THICKNESS OF THE TISSUES • TISSUES WITH HIGHER ATOMIC NUMBER WILL ABSORB MORE RADIATION THAN TISSUE WITH LOWER ATOMIC NUMBER
  • 13.
    • DENSITY– AIRAND SOFT TISSUE HAVE SAME ATOMIC NUMBER BUT DENSITY IS LESS FOR AIR SO LESS ABSORPTION • THICKER TISSUES WILL ABSORB MORE XRAYS THAN THINNER TISSUE OF SIMILAR COMPOSITION • GREATER THE AMOUNT OF TISSUE ABSORPTION FEWER XRAYS REACH THE FILM AND WHITER THE IMAGE ON THE FILM • RADIOPAQUE TISSUES APPEAR MORE WHITE AND RADIOLUCENT TISSUES APPEAR MORE BLACK
  • 14.
    BASIC TISSUE RADIOGRAPHIC OPACITIES 1.GAS - BLACK • MOST RADIOLUCENT MATERIAL VISIBLE ON XRAY
  • 15.
    FAT -GREY • MORELUCENT THAN BONE AND SOFT TISSUES BUT IS MORE OPAQUE THAN AIR
  • 16.
    SOFT TISSUE /FLUID-LIGHT WHITE • BOTH SOFT TISSUE AND FLUID HAVE SAME RADIOLUCENCY. VARIATION IN VOLUME , THICKNESS AND DEGREE OF COMPACTNESS OF SOFT TISSUE CREATES A PATTERN OF VARIOUS DENSITIES ON THE RADIOGRAPH
  • 18.
    BONES & MINERAL-WHITE • BONE IS COMPOSED PRIMARLY OF CALCIUM AND PHOSPHOROUS • NORMAL VARIATION IN THE RADIOPACITY WITHN THE BONE AND BETWEEN BONES BECOZ OF DIFFERENCE IN RADIOPACITY OF COMPACT V/S SPONGY BONE ,CORTICAL V/S MEDULLARY CANAL
  • 20.
    METAL –BRIGHT WHITE •MOST OPAQUE SHADOW SEEN ON RADIOGRAPH