A new Ultrasound modality:
US Elastography
Joel Chabriais
Why Elastography?
 In old Egypt, 5 000 years ago, physicians
examined the different parts of the body to
evaluate elasticity, they knew that a hard mass in
an organ is pathologic.
 In Greek ancient age, for Hippocratic medicine,
palpating was an essential time of physical
examination.
 In 21st century, imaging take preeminent place in
medicine and Elastography could be considered as
an « imaging palpation »…
What is Elastography?
 Elastography is an imaging technique to measure
the stiffness of tissues.
 Images are acquired before and after soft
compression of tissues and the deformation is
evaluated.
 Initially elastography used manual compression
and was only qualitative, now some methods
appears to apply a non operator dependant
compression.
Elastography and US
 Elastography was developed first in the US
field.
 Three step approach:
 Organs mechanically stressed by either external
or internal forces.
 Measurement of tissues movement induced.
 Qualitative or quantitative evaluation of tissue
elastic properties from the measured
displacement of tissues.
Several Approaches
 Manual compression by operator using the
transducer (static elastography).
 Organ compression by heartbeat or vascular
pulsations.
 Push pulse waves compression.
 Supersonic shear waves.
Axial and lateral
deformations
after an axial
constraint


Courtesy of Dr Anne Tardivon - Institut Curie - Paris
Static Elastography
Ueno Staging
1 = Lesion distortion similar than in surrounding tissues
2 = Heterogeneous distortion versus surrounding tissues
3 = Lesion center distort less than surrounding tissues
4 = Whole the lesion distort less than surrounding tissues
5 = Whole the lesion and adjacent tissues distort less
than surrounding tissues
SCORE 3
DCIS
SCORE 4
Fibroadenoma
Courtesy of Dr Anne Tardivon - Institut Curie - Paris
9x6 mm 14x8 mm
IDC
6 x 5 mm 5 x 3 mm
Fibroadenoma
Courtesy of Dr Anne Tardivon - Institut Curie - Paris
IDC
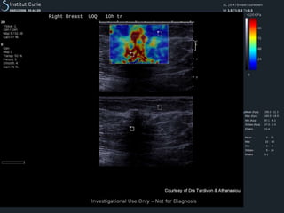
Courtesy of Dr Anne Tardivon - Institut Curie - Paris
This measurement quantify elasticity
correlation between two regions.
The FLR is independent of the
compression movement.
The 1st region define the lesion
and the 2d is the reference (fat).
a b c d
1 1.5 2.3 3.7
FLR=
Mean Elasto Fat
Mean Elasto Lesion
Courtesy of Dr Anne Tardivon - Institut Curie - Paris
Static Elastography
Development: Quantitative Analysis
FLR=1.
2
FLR=8.
9
Tsukuba University Hospital, JAPAN
Courtesy of Dr Anne Tardivon - Institut Curie - Paris
5
20
25
30
35
40
15
10
4.3
cut-off = 4.3
Specificity = 88.8%
Sensitivity = 89.4%
Exactitude = 89.0%
Area under curve = 0.906
FLR
BENIGN MALIGN
(Mean: 2.95) (Mean: 11.61)
155 lesions (108 Benign and 47 Malign) / 140 Patients
Courtesy of Dr Anne Tardivon - Institut Curie - Paris
Courtesy of Dr Anne Tardivon - Institut Curie - Paris
Elastography: improvements
 Compression/Decompression Movements
 Displacement speed measurement
 Integral -> Elasticity
 Elasto Q Mode
 Information at decompression
 Automatic selection of the best cycle
 ROI on fat and lesion
 Quantification
Courtesy of Dr Anne Tardivon - Institut Curie - Paris
4% -1% Agar-
Gelatin Elastic
phantom
~ 100 µs
Step 1: Volumetric force
creation using
ultrasound beam focus
1D Cross-correlation
Step 3: Image
acquisition and
processing
Ultrasound beam
US
images
Uz(x,t)
Step 2: Ultra fast imaging
of the displacement
generated by ultrasounds
Texp=20 ms
~ 0.3 ms
Acquisition time < 30 ms !!
Courtesy of Dr Anne Tardivon - Institut Curie - Paris
SuperSonic Elastography
 Significant difference benign versus malign:
 Cancers: E = 170.1 ± 41.6 kPa
 Benign lesions: E = 53.5 ± 19.8 kPa
n= 36
Courtesy of Dr Anne Tardivon - Institut Curie - Paris
Supersonic Elastography
µ (kPa)
µ (kPa)
IDC GRADE III
Fibrous Mastopathy
Courtesy of Dr Anne Tardivon - Institut Curie - Paris
Fields of Application in Medicine
 Breast
 Thyroid
 Liver
 Prostate
 …
Elastography in DICOM: Why?
 Now, several vendors are coming on the market:
 Until 2008: 1 vendor had products for sale.
 2008: 3 vendors.
 2009: several announcements  6 vendors or more.
 … probably every US vendor at short term.
 At this time, only secondary capture or US objects.
 All specific information to elastography are lost.
Elastography in DICOM: Why?
 More and more clinical applications.
 New BI-RADS edition, planned for 2010, will take
into account US elastography for breast imaging.
 Users would like to be able to store elastography
information in their PACS:
 Additional attributes in US objects?
 New objects?
 Some pathology needs elastography follow-up:
 Probably DICOM SR templates needed
Elastography in DICOM:
Who is Concerned?
 Elastography is US  WG 12
 Elastography for Breast imaging  WG 15
 Elastography needs DICOM SR templates  WG
8
 Other?
Elastography in DICOM:
How To Go Further?
 A motion to ask the concerned WG to investigate
the domain to determine if further works needed?
 Report to DICOM Standards Committee?
 …
US Elastography
And after?
Clinical device with mechanical
impulsion compression
MRI Elasticity module (kPa)
…MRE* is coming!!!
But it is another story… ;-)
WG 16 wake-up…
*Magnetic Resonance Elastography

A new Ultrasound modality Elastography.ppt

  • 1.
    A new Ultrasoundmodality: US Elastography Joel Chabriais
  • 2.
    Why Elastography?  Inold Egypt, 5 000 years ago, physicians examined the different parts of the body to evaluate elasticity, they knew that a hard mass in an organ is pathologic.  In Greek ancient age, for Hippocratic medicine, palpating was an essential time of physical examination.  In 21st century, imaging take preeminent place in medicine and Elastography could be considered as an « imaging palpation »…
  • 3.
    What is Elastography? Elastography is an imaging technique to measure the stiffness of tissues.  Images are acquired before and after soft compression of tissues and the deformation is evaluated.  Initially elastography used manual compression and was only qualitative, now some methods appears to apply a non operator dependant compression.
  • 4.
    Elastography and US Elastography was developed first in the US field.  Three step approach:  Organs mechanically stressed by either external or internal forces.  Measurement of tissues movement induced.  Qualitative or quantitative evaluation of tissue elastic properties from the measured displacement of tissues.
  • 5.
    Several Approaches  Manualcompression by operator using the transducer (static elastography).  Organ compression by heartbeat or vascular pulsations.  Push pulse waves compression.  Supersonic shear waves.
  • 6.
    Axial and lateral deformations afteran axial constraint   Courtesy of Dr Anne Tardivon - Institut Curie - Paris Static Elastography
  • 7.
    Ueno Staging 1 =Lesion distortion similar than in surrounding tissues 2 = Heterogeneous distortion versus surrounding tissues 3 = Lesion center distort less than surrounding tissues 4 = Whole the lesion distort less than surrounding tissues 5 = Whole the lesion and adjacent tissues distort less than surrounding tissues
  • 8.
    SCORE 3 DCIS SCORE 4 Fibroadenoma Courtesyof Dr Anne Tardivon - Institut Curie - Paris
  • 9.
    9x6 mm 14x8mm IDC 6 x 5 mm 5 x 3 mm Fibroadenoma Courtesy of Dr Anne Tardivon - Institut Curie - Paris
  • 10.
    IDC Courtesy of DrAnne Tardivon - Institut Curie - Paris
  • 11.
    This measurement quantifyelasticity correlation between two regions. The FLR is independent of the compression movement. The 1st region define the lesion and the 2d is the reference (fat). a b c d 1 1.5 2.3 3.7 FLR= Mean Elasto Fat Mean Elasto Lesion Courtesy of Dr Anne Tardivon - Institut Curie - Paris Static Elastography Development: Quantitative Analysis
  • 12.
    FLR=1. 2 FLR=8. 9 Tsukuba University Hospital,JAPAN Courtesy of Dr Anne Tardivon - Institut Curie - Paris
  • 13.
    5 20 25 30 35 40 15 10 4.3 cut-off = 4.3 Specificity= 88.8% Sensitivity = 89.4% Exactitude = 89.0% Area under curve = 0.906 FLR BENIGN MALIGN (Mean: 2.95) (Mean: 11.61) 155 lesions (108 Benign and 47 Malign) / 140 Patients Courtesy of Dr Anne Tardivon - Institut Curie - Paris
  • 14.
    Courtesy of DrAnne Tardivon - Institut Curie - Paris Elastography: improvements  Compression/Decompression Movements  Displacement speed measurement  Integral -> Elasticity  Elasto Q Mode  Information at decompression  Automatic selection of the best cycle  ROI on fat and lesion  Quantification
  • 15.
    Courtesy of DrAnne Tardivon - Institut Curie - Paris
  • 16.
    4% -1% Agar- GelatinElastic phantom ~ 100 µs Step 1: Volumetric force creation using ultrasound beam focus 1D Cross-correlation Step 3: Image acquisition and processing Ultrasound beam US images Uz(x,t) Step 2: Ultra fast imaging of the displacement generated by ultrasounds Texp=20 ms ~ 0.3 ms Acquisition time < 30 ms !! Courtesy of Dr Anne Tardivon - Institut Curie - Paris SuperSonic Elastography
  • 17.
     Significant differencebenign versus malign:  Cancers: E = 170.1 ± 41.6 kPa  Benign lesions: E = 53.5 ± 19.8 kPa n= 36 Courtesy of Dr Anne Tardivon - Institut Curie - Paris Supersonic Elastography
  • 18.
    µ (kPa) µ (kPa) IDCGRADE III Fibrous Mastopathy Courtesy of Dr Anne Tardivon - Institut Curie - Paris
  • 22.
    Fields of Applicationin Medicine  Breast  Thyroid  Liver  Prostate  …
  • 23.
    Elastography in DICOM:Why?  Now, several vendors are coming on the market:  Until 2008: 1 vendor had products for sale.  2008: 3 vendors.  2009: several announcements  6 vendors or more.  … probably every US vendor at short term.  At this time, only secondary capture or US objects.  All specific information to elastography are lost.
  • 24.
    Elastography in DICOM:Why?  More and more clinical applications.  New BI-RADS edition, planned for 2010, will take into account US elastography for breast imaging.  Users would like to be able to store elastography information in their PACS:  Additional attributes in US objects?  New objects?  Some pathology needs elastography follow-up:  Probably DICOM SR templates needed
  • 25.
    Elastography in DICOM: Whois Concerned?  Elastography is US  WG 12  Elastography for Breast imaging  WG 15  Elastography needs DICOM SR templates  WG 8  Other?
  • 26.
    Elastography in DICOM: HowTo Go Further?  A motion to ask the concerned WG to investigate the domain to determine if further works needed?  Report to DICOM Standards Committee?  …
  • 27.
  • 28.
    Clinical device withmechanical impulsion compression MRI Elasticity module (kPa)
  • 29.
    …MRE* is coming!!! Butit is another story… ;-) WG 16 wake-up… *Magnetic Resonance Elastography