THOÁT VỊ ĐĨA ĐỆM CỘT
SỐNG THẮT LƯNG
(Lumbar disc herniation)
TS. Trần Thị Ngọc Trường
Học viện Quân y
Bộ môn Thần kinh
MỤC TIÊU
1. Trình bày được cơ chế bệnh sinh, triệu chứng lâm sàng và cận
lâm sàng của thoát vị đĩa đệm cột sống thắt lưng
2. Biện luận chẩn đoán được thoát vị đĩa đệm cột sống thắt lưng, biết
các phương pháp điều trị thoát vị đĩa đệm cột sống thắt lưng, lập
được kế hoạch điều trị và kê đơn cụ thể cho bệnh nhân thoát vị
đĩa đệm cột sống thắt lưng.
3. Biết tư vấn cho bệnh nhân thoát vị đĩa đệm cột sống thắt lưng
trong và sau quá trình điều trị.
1. Đại cương
1.1. Khái niệm
Thoát vị đĩa đệm: nhân nhầy đĩa đệm thoát ra khỏi
vị trí bình thường của nó trong khoang gian đốt
sống.
1.2. Dịch tễ
 Mỹ: tỷ lệ mắc bệnh là 1/4000 người/năm, gần
20% dân số ở tuổi trưởng thành mắc TVĐĐ
 Việt Nam: lứa tuổi lao động có tới 80% bn có hội
chứng TLH là do TVĐĐ CSTL, hội chứng TLH
chiếm 60,32% bệnh TK ngoại vi.
 Tại Khoa Nội Thần kinh - BVQY 103: tỷ lệ bệnh
nhân TVĐĐ CSTL tại khoa chiếm 26,94% -
41,54%.
1.3. Đặc điểm giải phẫu, sinh lý vùng cột sống thắt lưng
1. Đại cương
CSTL
Đĩa đệm
Dây
chằng
Lỗ liên đốt
Thần kinh,
mạch máu
 Đĩa đệm
- Nhân nhầy
- Vòng sợi
- Mâm sụn
1. Đại cương
1. Đại cương
Thần kinh, mạch máu
1. Đại cương
Dây chằng
1. Đại cương
Lỗ liên đốt (lỗ tiếp hợp)
2. Bệnh căn, bệnh sinh
 ĐĐ bình thường + chấn thương nặng nề, cấp tính = TVĐĐ
 ĐĐ thoái hoá + vi chấn thương
(hoặc chấn thương nặng nề cấp tính) = TVĐĐ
2. Bệnh căn, bệnh sinh
3. Triệu chứng lâm sàng
3.1. Khởi phát bệnh
- 32% trường hợp TVĐĐ/CSTL: sau chấn thương.
- 23,4% trường hợp: đột ngột sau cúi, nâng vật nặng.
- 30,6% trường hợp: sau vi chấn thương.
- 14% trường hợp: khởi phát từ từ.
3.2. Đặc điểm lâm sàng: phát triển theo hai thời kỳ
3.2.1 .Thời kỳ đầu: đau thắt lưng cấp
- Thường gặp ở lứa tuổi 30 - 40.
- Đau khởi phát đột ngột sau chấn thương
- Đau ở cột sống thắt lưng.
- Đau với cường độ cao, hạn chế vận động CSTL, có tư thế chống đau.
- Nằm nghỉ và điều trị vài ngày thì đau giảm dần, có thể tái phát.
3. Triệu chứng lâm sàng
3.2.2 .Thời kỳ sau: đau thắt lưng - hông
- Sau lần đau thắt lưng cấp đầu tiên thì đau
dây thần kinh hông to có thể xuất hiện sau đó
từ 1 năm (30%) đến 10 - 20 năm (10%) (HC
thắt lưng hông điển hình)
- Chèn ép rễ TK, phù nề, viêm dính, ứ tĩnh
mạch,..
Biểu hiện lâm sàng:
+ HC cột sống
+ HC rễ: TC kích thích rễ, TC tổn thương rễ
3. Các thể thoát vị đĩa đệm
???
3. Các thể thoát vị đĩa đệm
 Thoát vị đĩa đệm sau bên.
 TVĐĐ lỗ ghép hay thoát vị bên
 Thoát vị đĩa đệm trung tâm ra sau.
 Thoát vị đĩa đệm giả u.
 Thoát vị đĩa đệm ra trước.
 TVĐĐ vào phần xốp thân đốt (TV kiểu Schmorl)
 TVĐĐ hai bên
 TVĐĐ nhiều tầng
4. Chẩn đoán thoát vị đĩa đệm
4.1. Chẩn đoán xác định
4.1.1.Chẩn đoán lâm sàng
 Chẩn đoán lâm sàng HC thắt lưng hông = HC cột sống, HC rễ
 Chẩn đoán TVĐĐ khi có ≥ 4/6 triệu chứng sau (Saporta 1970):
1 - Có yếu tố chấn thương
2 - Đau CSTL lan theo dây thần kinh hông to.
3 - Đau có tính chất cơ học.
4 - Lệch vẹo cột sống
5 - Dấu hiệu chuông bấm dương tính
6 - Dấu hiệu Lasègue dương tính
4. Chẩn đoán thoát vị đĩa đệm
4.1. Chẩn đoán xác định
4.1.2.Chẩn đoán cận lâm sàng
 Chụp X - quang thường: có tam chứng Barr (hình ảnh gián tiếp):
1 - Giảm chiều cao khoang gian đốt sống
2 - Mất ưỡn thắt lưng
3 - Vẹo cột sống thắt lưng.
 Dịch não tuỷ: đa số trường hợp có kết quả DNT bình thường, hiếm khi có phân ly albumin -
tế bào (chỉ trong trường hợp nặng hoặc thóat vị đĩa đệm thể giả u).
 Chụp bao rễ thần kinh (hình ảnh gián tiếp)
4. Chẩn đoán thoát vị đĩa đệm
4.1. Chẩn đoán xác định
4.1.2.Chẩn đoán cận lâm sàng
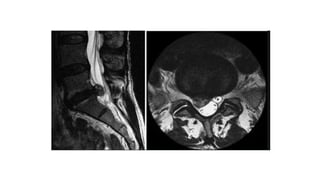
 Chụp cộng hưởng từ (MRI): hình hình ảnh trực tiếp của TVĐĐ
 Phương pháp chụp cắt lớp vi tính đĩa đệm: độ nhậy và độ đặc hiệu không cao trong chẩn
đoán TVĐĐ.
 Phương pháp chụp đĩa đệm (discography): hình ảnh trực tiếp về nhân nhầy của đĩa đệm.
 Phương pháp chụp khoang ngoài màng cứng phía trước: hình ảnh gián tiếp đĩa đệm TV
 Phương pháp chụp tĩnh mạch gai sống thắt lưng: => gián tiếp thấy hình ảnh đĩa đệm bị
thoát vị.
4. Chẩn đoán thoát vị đĩa đệm
4.1. Chẩn đoán xác định
4.1.3.Chẩn đoán định khu
 Bước 1: xác định rễ TK tổn thương (dựa vào chức năng của rễ)
 Bước 2: dựa vào quy luật xung đột đĩa rễ:
- Trường hợp đau một rễ:
* Các rễ bị thương tổn là do đĩa đệm ở tầng trên nó bị thoát vị chèn ép vào, cụ thể:
Thương tổn rễ L2 là do TVĐĐ L1 - L2,
Rễ L3 do TVĐĐ L2 - L3,
Rễ L4 do TVĐĐ L3 - L4
Rễ L5 do TVĐĐ L4 - L5, TVĐĐ L5 - S1
Rễ S1 do TVĐĐ L5 - S1 chèn ép.
* Thoát vị lỗ ghép: cùng tầng đĩa đệm thoát vị
4. Chẩn đoán thoát vị đĩa đệm
4.1. Chẩn đoán xác định
4.1.3.Chẩn đoán định khu
- Trường hợp đau hai hay nhiều rễ: chẩn đoán định khu dựa vào lâm sàng khó khăn hơn.
+ Trường hợp đau hai rễ cùng tầng đĩa đệm (rễ L5 hai bên hoặc rễ S1 hai bên): TVĐĐ sau giữa
hoặc ra sau ở hai bên. Triệu chứng tăng, giảm không đều nhau.
+ Trường hợp đau nhiều rễ: ít gặp, ít có giá trị chẩn đoán định khu nhưng quan trọng vì thường
là khởi đầu của hội chứng đuôi ngựa hoặc TV đa tầng.
4. Chẩn đoán thoát vị đĩa đệm
4.1. Chẩn đoán xác định
4.1.4.Chẩn đoán giai đoạn
Trong lâm sàng, thường sử dụng bảng phân loại theo 4 giai đoạn của Arseni K:
- Giai đoạn 1: lồi đĩa đệm gây đau thắt lưng cục bộ.
- Giai đoạn 2: kích thích rễ
- Giai đoạn 3: chèn ép rễ
3a: mất một phần dẫn truyền thần kinh
3b: mất hoàn toàn dẫn truyền thần kinh
- Giai đoạn 4 (hư đĩa - khớp): hư đĩa đệm, hư khớp đốt sống thứ phát, đau thắt lưng hông dai
dẳng khó hồi phục.
4. Chẩn đoán thoát vị đĩa đệm
4.2. Chẩn đoán phân biệt
- Đốt sống: thoái
hóa, u, lao
- Màng: u màng
tủy
- Mạch máu: dị
dạng mạch máu
- Thần kinh: u rễ
thần kinh
Tại cột
sống
- Các bệnh lý vùng
khung chậu, hố
chậu, sau phúc
mạc có gây chèn
ép rễ thần kinh,
đám rối thần kinh
thắt lưng cùng
Ngoài
cột
sống
???
5. Điều trị
Điều trị
TVĐĐ
CSTL
Nội
khoa
Phẫu
thuật
Can
thiệp tối
thiểu
5. Điều trị
Điều
trị Nội
khoa
Không
dùng
thuốc
Thuốc
tại chỗ
Thuốc
toàn
thân
- Bất động
- Lý liệu pháp (chườm
nóng, bó parafin, điện
xung)
- Kéo giãn (máy, đai kéo
giãn Disk Dr CS500,..)
- Đông y (châm cứu, bấm
huyệt)
- Đeo đai (nẹp) cố định
Corticoid
- Tiêm ngoài màng
cứng
- Phong bế cạnh
sống
- Giảm đau chống viêm
NSAIDS, giãn cơ vân
- Giảm đau thần kinh
(Gabapentin,
Pregabalin,..): TH có
đau TK
- Vitamin nhóm B
5.1. Điều trị nội khoa
5. Điều trị
5.1. Điều trị can thiệp tối thiểu
 Phương pháp hoá tiêu nhân.
 Phương pháp tiêm nội đĩa đệm, chọc hút qua da làm giảm áp nội đĩa đệm.
 Điều trị bằng LASER
 Điều trị giảm áp bằng sóng RADIO (RFA)
5. Điều trị
5.3. Điều trị phẫu thuật
 Chỉ định tuyệt đối khi TVĐĐ gây nên
- Hội chứng đuôi ngựa
- Hội chứng chèn ép tủy
 Chỉ định tương đối:
- Giai đoạn 3b (giai đoạn tổn thương dẫn truyền thần kinh gây tê bì, teo cơ...).
- Giai đoạn 3ª hoặc 2 khi đã qua điều trị bảo tồn cơ bản đúng phác đồ không có kết quả.

TVDD CSTL_TRUONG A4.pptx

  • 1.
    THOÁT VỊ ĐĨAĐỆM CỘT SỐNG THẮT LƯNG (Lumbar disc herniation) TS. Trần Thị Ngọc Trường Học viện Quân y Bộ môn Thần kinh
  • 2.
    MỤC TIÊU 1. Trìnhbày được cơ chế bệnh sinh, triệu chứng lâm sàng và cận lâm sàng của thoát vị đĩa đệm cột sống thắt lưng 2. Biện luận chẩn đoán được thoát vị đĩa đệm cột sống thắt lưng, biết các phương pháp điều trị thoát vị đĩa đệm cột sống thắt lưng, lập được kế hoạch điều trị và kê đơn cụ thể cho bệnh nhân thoát vị đĩa đệm cột sống thắt lưng. 3. Biết tư vấn cho bệnh nhân thoát vị đĩa đệm cột sống thắt lưng trong và sau quá trình điều trị.
  • 3.
    1. Đại cương 1.1.Khái niệm Thoát vị đĩa đệm: nhân nhầy đĩa đệm thoát ra khỏi vị trí bình thường của nó trong khoang gian đốt sống. 1.2. Dịch tễ  Mỹ: tỷ lệ mắc bệnh là 1/4000 người/năm, gần 20% dân số ở tuổi trưởng thành mắc TVĐĐ  Việt Nam: lứa tuổi lao động có tới 80% bn có hội chứng TLH là do TVĐĐ CSTL, hội chứng TLH chiếm 60,32% bệnh TK ngoại vi.  Tại Khoa Nội Thần kinh - BVQY 103: tỷ lệ bệnh nhân TVĐĐ CSTL tại khoa chiếm 26,94% - 41,54%.
  • 4.
    1.3. Đặc điểmgiải phẫu, sinh lý vùng cột sống thắt lưng 1. Đại cương CSTL Đĩa đệm Dây chằng Lỗ liên đốt Thần kinh, mạch máu
  • 5.
     Đĩa đệm -Nhân nhầy - Vòng sợi - Mâm sụn 1. Đại cương
  • 6.
    1. Đại cương Thầnkinh, mạch máu
  • 7.
  • 8.
    1. Đại cương Lỗliên đốt (lỗ tiếp hợp)
  • 9.
    2. Bệnh căn,bệnh sinh  ĐĐ bình thường + chấn thương nặng nề, cấp tính = TVĐĐ  ĐĐ thoái hoá + vi chấn thương (hoặc chấn thương nặng nề cấp tính) = TVĐĐ
  • 10.
    2. Bệnh căn,bệnh sinh
  • 11.
    3. Triệu chứnglâm sàng 3.1. Khởi phát bệnh - 32% trường hợp TVĐĐ/CSTL: sau chấn thương. - 23,4% trường hợp: đột ngột sau cúi, nâng vật nặng. - 30,6% trường hợp: sau vi chấn thương. - 14% trường hợp: khởi phát từ từ. 3.2. Đặc điểm lâm sàng: phát triển theo hai thời kỳ 3.2.1 .Thời kỳ đầu: đau thắt lưng cấp - Thường gặp ở lứa tuổi 30 - 40. - Đau khởi phát đột ngột sau chấn thương - Đau ở cột sống thắt lưng. - Đau với cường độ cao, hạn chế vận động CSTL, có tư thế chống đau. - Nằm nghỉ và điều trị vài ngày thì đau giảm dần, có thể tái phát.
  • 12.
    3. Triệu chứnglâm sàng 3.2.2 .Thời kỳ sau: đau thắt lưng - hông - Sau lần đau thắt lưng cấp đầu tiên thì đau dây thần kinh hông to có thể xuất hiện sau đó từ 1 năm (30%) đến 10 - 20 năm (10%) (HC thắt lưng hông điển hình) - Chèn ép rễ TK, phù nề, viêm dính, ứ tĩnh mạch,.. Biểu hiện lâm sàng: + HC cột sống + HC rễ: TC kích thích rễ, TC tổn thương rễ
  • 13.
    3. Các thểthoát vị đĩa đệm ???
  • 14.
    3. Các thểthoát vị đĩa đệm  Thoát vị đĩa đệm sau bên.  TVĐĐ lỗ ghép hay thoát vị bên  Thoát vị đĩa đệm trung tâm ra sau.  Thoát vị đĩa đệm giả u.  Thoát vị đĩa đệm ra trước.  TVĐĐ vào phần xốp thân đốt (TV kiểu Schmorl)  TVĐĐ hai bên  TVĐĐ nhiều tầng
  • 15.
    4. Chẩn đoánthoát vị đĩa đệm 4.1. Chẩn đoán xác định 4.1.1.Chẩn đoán lâm sàng  Chẩn đoán lâm sàng HC thắt lưng hông = HC cột sống, HC rễ  Chẩn đoán TVĐĐ khi có ≥ 4/6 triệu chứng sau (Saporta 1970): 1 - Có yếu tố chấn thương 2 - Đau CSTL lan theo dây thần kinh hông to. 3 - Đau có tính chất cơ học. 4 - Lệch vẹo cột sống 5 - Dấu hiệu chuông bấm dương tính 6 - Dấu hiệu Lasègue dương tính
  • 16.
    4. Chẩn đoánthoát vị đĩa đệm 4.1. Chẩn đoán xác định 4.1.2.Chẩn đoán cận lâm sàng  Chụp X - quang thường: có tam chứng Barr (hình ảnh gián tiếp): 1 - Giảm chiều cao khoang gian đốt sống 2 - Mất ưỡn thắt lưng 3 - Vẹo cột sống thắt lưng.  Dịch não tuỷ: đa số trường hợp có kết quả DNT bình thường, hiếm khi có phân ly albumin - tế bào (chỉ trong trường hợp nặng hoặc thóat vị đĩa đệm thể giả u).  Chụp bao rễ thần kinh (hình ảnh gián tiếp)
  • 18.
    4. Chẩn đoánthoát vị đĩa đệm 4.1. Chẩn đoán xác định 4.1.2.Chẩn đoán cận lâm sàng  Chụp cộng hưởng từ (MRI): hình hình ảnh trực tiếp của TVĐĐ  Phương pháp chụp cắt lớp vi tính đĩa đệm: độ nhậy và độ đặc hiệu không cao trong chẩn đoán TVĐĐ.  Phương pháp chụp đĩa đệm (discography): hình ảnh trực tiếp về nhân nhầy của đĩa đệm.  Phương pháp chụp khoang ngoài màng cứng phía trước: hình ảnh gián tiếp đĩa đệm TV  Phương pháp chụp tĩnh mạch gai sống thắt lưng: => gián tiếp thấy hình ảnh đĩa đệm bị thoát vị.
  • 22.
    4. Chẩn đoánthoát vị đĩa đệm 4.1. Chẩn đoán xác định 4.1.3.Chẩn đoán định khu  Bước 1: xác định rễ TK tổn thương (dựa vào chức năng của rễ)  Bước 2: dựa vào quy luật xung đột đĩa rễ: - Trường hợp đau một rễ: * Các rễ bị thương tổn là do đĩa đệm ở tầng trên nó bị thoát vị chèn ép vào, cụ thể: Thương tổn rễ L2 là do TVĐĐ L1 - L2, Rễ L3 do TVĐĐ L2 - L3, Rễ L4 do TVĐĐ L3 - L4 Rễ L5 do TVĐĐ L4 - L5, TVĐĐ L5 - S1 Rễ S1 do TVĐĐ L5 - S1 chèn ép. * Thoát vị lỗ ghép: cùng tầng đĩa đệm thoát vị
  • 23.
    4. Chẩn đoánthoát vị đĩa đệm 4.1. Chẩn đoán xác định 4.1.3.Chẩn đoán định khu - Trường hợp đau hai hay nhiều rễ: chẩn đoán định khu dựa vào lâm sàng khó khăn hơn. + Trường hợp đau hai rễ cùng tầng đĩa đệm (rễ L5 hai bên hoặc rễ S1 hai bên): TVĐĐ sau giữa hoặc ra sau ở hai bên. Triệu chứng tăng, giảm không đều nhau. + Trường hợp đau nhiều rễ: ít gặp, ít có giá trị chẩn đoán định khu nhưng quan trọng vì thường là khởi đầu của hội chứng đuôi ngựa hoặc TV đa tầng.
  • 24.
    4. Chẩn đoánthoát vị đĩa đệm 4.1. Chẩn đoán xác định 4.1.4.Chẩn đoán giai đoạn Trong lâm sàng, thường sử dụng bảng phân loại theo 4 giai đoạn của Arseni K: - Giai đoạn 1: lồi đĩa đệm gây đau thắt lưng cục bộ. - Giai đoạn 2: kích thích rễ - Giai đoạn 3: chèn ép rễ 3a: mất một phần dẫn truyền thần kinh 3b: mất hoàn toàn dẫn truyền thần kinh - Giai đoạn 4 (hư đĩa - khớp): hư đĩa đệm, hư khớp đốt sống thứ phát, đau thắt lưng hông dai dẳng khó hồi phục.
  • 25.
    4. Chẩn đoánthoát vị đĩa đệm 4.2. Chẩn đoán phân biệt - Đốt sống: thoái hóa, u, lao - Màng: u màng tủy - Mạch máu: dị dạng mạch máu - Thần kinh: u rễ thần kinh Tại cột sống - Các bệnh lý vùng khung chậu, hố chậu, sau phúc mạc có gây chèn ép rễ thần kinh, đám rối thần kinh thắt lưng cùng Ngoài cột sống ???
  • 26.
    5. Điều trị Điềutrị TVĐĐ CSTL Nội khoa Phẫu thuật Can thiệp tối thiểu
  • 27.
    5. Điều trị Điều trịNội khoa Không dùng thuốc Thuốc tại chỗ Thuốc toàn thân - Bất động - Lý liệu pháp (chườm nóng, bó parafin, điện xung) - Kéo giãn (máy, đai kéo giãn Disk Dr CS500,..) - Đông y (châm cứu, bấm huyệt) - Đeo đai (nẹp) cố định Corticoid - Tiêm ngoài màng cứng - Phong bế cạnh sống - Giảm đau chống viêm NSAIDS, giãn cơ vân - Giảm đau thần kinh (Gabapentin, Pregabalin,..): TH có đau TK - Vitamin nhóm B 5.1. Điều trị nội khoa
  • 28.
    5. Điều trị 5.1.Điều trị can thiệp tối thiểu  Phương pháp hoá tiêu nhân.  Phương pháp tiêm nội đĩa đệm, chọc hút qua da làm giảm áp nội đĩa đệm.  Điều trị bằng LASER  Điều trị giảm áp bằng sóng RADIO (RFA)
  • 29.
    5. Điều trị 5.3.Điều trị phẫu thuật  Chỉ định tuyệt đối khi TVĐĐ gây nên - Hội chứng đuôi ngựa - Hội chứng chèn ép tủy  Chỉ định tương đối: - Giai đoạn 3b (giai đoạn tổn thương dẫn truyền thần kinh gây tê bì, teo cơ...). - Giai đoạn 3ª hoặc 2 khi đã qua điều trị bảo tồn cơ bản đúng phác đồ không có kết quả.