The red eyes
Dr Rafidah Md Saleh
UPM
Red eyes
Urgent
( Vision
threatening )
Non urgent
( Non vision
threatening )
2
Red eyes
Infective
Non infective
3
Complaint – nature of discomfort
• Itching in allergic conjunctivitis
• Grittiness in infective conjunctivitis
• Pain suggests more serious disease
• Photophobia, pain – can be iritis, epithelial
defect
4
Discharge
• Watery – viral conjunctivitis / corneal
epithelial defects / abrasions
• Purulent – bacterial / chlamydial conjunctivitis
• Mucoid – allergic conjunctivitis
5
Laterality
• Infection may be unilateral initially but later
bilateral
• Allergy – usually bilateral, young
• Iritis / acute glaucoma – usually unilateral
6
Vision
• Transient blurring due to watery eyes /
discharge
• Persistent significant visual loss indicates more
serious disease
• Haloes – urgent!
7
General medical
• Headache, vomiting, eye pain – high IOP
• Hx of allergy, atopy, bronchial asthma, eczema
• Systemic assoc : iritis with sarcoidosis,
Ankylosing spondylitis, scleritis, CTD
• Acne rosacea assoc with blepharoconjunctivitis
• Hx of trauma to the eye – iritis, subconj
hemorrhage, glaucoma
8
General medical
• URTI accompanies infective conjunctivitis
• Preauricular lymphnode enlargement
9
Symptom
Urgent
• Blurred vision
• Severe pain
• Photophobia
• Colored haloes
Non urgent
• Exudation
• Itching
• Watery eyes
• Grittiness
10
Angry
eye Quiet eye
11
Clinical
Ciliary
flush/circumc
orneal
injection
Conjunctival
hyperemia
12
13
Clinical
Urgent
• Reduce VA
• Ciliary flush
• Corneal opacities
• Hazy cornea
• Pupillary
abnormalities
• Shallow anterior
chamber
• Elevated IOP
• Proptosis
Non urgent
• Conjunctival
hyperemia
• Corneal scar
• Corneal epithelial
defect
• Pseudomembranes
• Papillae / follicles
14
Differentials – Non Urgent
Infective
• Bacterial conjunctivitis
• Viral conjunctivitis
Non- infective
• Allergic conjunctivitis
• Cicatrizing conjunctivitis
• Subconjunctival hemorrhage
• Pterygium
• Pingecuela
• Blephritis
• Stye
• Chalazion
15
Differentials non-urgent
Non infective
• Corneal epithelial defect
• Corneal foreign body
16
Differentials - urgent
• Corneal ulcer / infective keratitis
• Anterior uveitis / iritis / iridocyclitis
• Angle closure glaucoma
• Scleritis / episcleritis
17
DIFFERENTIALS – URGENT RED EYES
Infective keratitis
• Predisposing factors
– Corneal trauma
– Contact lens
– Chronic compromised cornea – dry eyes,
blephritis, bullous keratopathy
– Corneal exposure – facial palsy, proptosis
– Immunosuppress – DM, steroid use
19
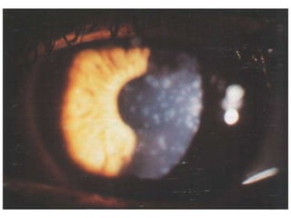
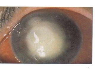
Infective keratitis
• Conj hyperemia
• Conjunctivitis
• Hypopyon
• Corneal ulceration, opacity
• Corneal perforation
20
21
22
Infective keratitis – Mx
• Corneal scrapings – plate agar
• Treat predisposing factors
• Broad spectrum topical antibiotics
– Eg. Quinolones drops hourly
23
Anterior uveitis
Symptoms
• Pain
• Redness
• Photophobia
• Watery eyes
• Blurred vision
Signs
• Cilliary flush,
circumcorneal injection
• Inflammatory cells in AC
• +/- hypopyon
• Keratic precipitates –
mutton fat KPs
• Irregular, fixed pupil –
posterior symechiae
• IOP +/-
24
25
26
27
ANTERIOR UVEITIS – AETIOLOGY
Ocular causes
• Idiopathic
• Herpes virus infection
• Fuch’s heterochromic
cyclitis
• Trauma to the eye
• Sympathetic ophthalmia
Systemic causes
• TB
• Seronegative arthritis
– Psoriatic
– AS
– Reiter’s syndrome
– IBD
• Juvenile chronic arthritis
• Sarcoidosis
• Behchet’s disease
• Syphillis
• Masquerade syndrome
28
Anterior uveitis
Ix
• Unilateral, first attack –
no Ix
• Ix if – recurrence,
bilateral, chronic,
resistance to std tx
Ix
• FBC
• ESR
• VDRL
• Mantoux test
• CXR
• Optional - CTD
screening, sacroiliac
joints Xray, HLA typing,
serum ACE
29
Anterior uveitis - mx
• Ophthalmologist referal
• Topical steroids
• Subconjunctival steroid, dilating drops
30
Anterior uveitis - Cx
• Cataract
• Glaucoma
• Macular oedema
31
Episcleritis
• Non – infective inflammation involving a
tissue layer superficial to the sclera and deep
to the conjunctiva.
• Extremely common
• Pain +/-
• Hyperemia : diffuse or segmental ( simple /
nodular )
39
40
Episcleritis
• No discharge
• Palpebral conjunctiva not involve
• No blurring of vision
41
Episcleritis - rx
• Topical steroids
• Artificial tears
• +/- NSAIDs
42
Scleritis
• Uncommon
• More serious than episcleritis
• Oedema & cellular infiltration of the entire
thickness of sclera.
• Spectrum of disease – from self limiting to
blindness. ( necrotising & non-necrotising )
• Systemic associations – RA (most common
), Wegener’s granulomatosis, Relapsing
polychondritis, PAN ( polyarteritis nodosa ),
SLE.
43
Scleritis
Symptom
• Severe eye pain
• Red eyes
• Reduce vision
Signs
• Vascular congestion and
dilatation associated
with oedema. ( violet
hues )
• Eye is tender to touch
44
45
46
Scleritis - rx
• Refer
• Topical steroids
• Systemic steroids
• NSAIDs
• Severe cases – cytotoxic drugs
47
48
NON-URGENT RED EYES
49
CONJUNCTIVITIS
50
Conjunctivitis
Bacterial Viral
Allergic Cicatrizing
Bacterial conjunctivitis
Symptoms
• Sticky eyes
• Itch, burning, gritty
• Hx of contact
• Mild reduce vision
Signs
• Lid swelling
• Conj hyperemia
• Purulent discharge
• Papillae
• discharge
53
54
55
56
Management
• Self limiting, most no need Ix
• Broad spectrum eyedrops – CMC, gentamycin,
fucidic acid
• If x resolved – conj swab
• Atypical cases need referal – x respond to rx,
chronic
57
Gonococcal conjunctivitis
• Venereal genitourinary tract infection
• N. gonorrhea
• Capable of invading intact cornea
58
Gonococcal conjunctivitis
• Acute, profuse conj discharge
• Severe eyelid oedema, tenderness
• Intense conj hyperemia, chemosis, purulent D
• Pseudomembrane
• Lymphadenopathy
59
• Peripheral corneal ulceration
• Corneal perforation
• endophthalmitis
60
61
Gonococcal
Ix
• Gram stain – gram negative
diplococci
Rx
• Referal to Ophthalmology &
Urology
• Topical gentamycin /
bacitracin hourly
• Systemic antibiotics
62
Chlamydial conjunctivitis
• Auto inoculation from genital secretions
although eye to eye spread may occur in
about 10% of cases.
• Urogenital symptoms
• Symptom – subacute, watery discharge.
Untreated may persis for several months.
63
• Signs –
– Large follicles
– Peripheral corneal infiltrates ( appear later )
– Tender preauricular lypmh nodes
– Neglected – conj scarring, pannus
64
• Refer eye
• Topical erythromycin / tetracycline
• Systemic – Doxycycline or azythromycin
65
VIRAL CONJUNCTIVITIS
66
Viral conjunctivitis
Symptom
• Red eyes
• Watery
• Moderate grittiness
• Non spesific fever + URTI
• Up to 2 weeks symptoms
Signs
• Conj hyperemia
• Conj follicles
• PEES
• Pre-auricular LN
• Eyelid swelling
67
68
69
70
mx
• Self limiting
• Artificial tears every 2 hours
• Vasoconstrictor/ antihistamine
• Topical steroids ( under ophthal supervisions )
• Hygiene
• Cold compression
71
72
NON - URGENT
Non infective
73
ALLERGIC CONJUNCTIVITIS
74
Allergic conjunctivitis
Seasonal allergic
• ( hay fever )
• Spring , summer
• Tree & grass pollen
Perennial allergic
• Sym throughout the year
• Exacerbation in autum,
expose to house dust mite,
animal dander, fungal
allergens.
75
76
Dx
• Transient acute attacks of redness, watering,
itch. Sneeze & nasal discharge.
• Signs – lid oedema, chemosis, papillary
reaction.
77
Rx
• Mast cell stabilizers
• Sodium chromoglycate for long term
• Antihistamines – topical
• Combined
• Steroids – only under ophthal supervision
78
Vernal keratoconjunctivits
• Giant papillary conjunctivitis ( GPC / VKC )
• Bilateral , recurrent d/o IgE mediated
• Boys, first decade
• Associated FHx atopy
• Astma & eczema
79
VKC
• Intense itch
• Lacrimation
• Photophobia
• FB sensation
• Burning thick mucoid discharge
80
• Sign
Papilla
81
82
• Diffuse papillary hypertrophy
• Mucus deposition, conj injection
Palpebral
• Gelatinous papillae on the limbal
• ( discrete white spots – Trantas dots
)
Limbal
• Shield ulcer
• PEEs
• Higher incidence of keratoconus
Keratopathy
83
84
Trantas dots –
limbal kc
Rx
Topical
– Mast cell stabilizer
– Antihistamine
– Steroids
– Acetyl cystiene
– ciclosporin
• Suratarsal steroid injections
• Systemic
• Oral antihistamina
• Immunosuppressive agents
85
CICATRIZING CONJUNCTIVITIS
86
Steven-Johnson Syndrome /
Toxic epidermal necrolysis
• Mucocuteneous blistering disease process.
• Uncommon.
• Involves skin, oral and conjunctiva mucous
membranes.
• Idiopathic / response to infxn /drug s.a
sulphonamides and salycylates.
87
Clinical
early
• Malaise
• Arthralgia
• Skin rash
• Redness of eyes, mouth.
• Papillary conjunctivitis.
• Severe membranous or
pseudomembranous
conjunctivitis.
late
• Scarring of upper tarsal
plate
• Conj scarring,
symblepharon
• Dry eyes
• Corneal keratinization
• Keratopathy from
cicatricial entropion
• Lashes infection
• Blindness.
88
Rx
acute
• Lubrication
• Topical steroids , antibiotics
• Scleral ring
chronic
• Lubrication,
• Treat complications
accrdingly.
89
Subconjunctival hemorrhage
• Acute red eye
• Spontaneous
• Traumatic – blunt,
penetrating
90
• Examine the hemorhage, try to see it’s border.
• If minimal – non-urgent
• Hx of penetrating, sharpnel injury must not be
taken lightly.
• If spontaneous, quite safe to refer the next
day.
• Bleeding tendency?
91
• If has hx of
definite trauma,
examine properly.
• Look for signs of
laceration.
• Refer eye
accordingly.
92
LID DISORDERS
93
Blepharitis
• Very common
• Irritation
• Watery
• Redness
• Later can develop secondary bacterial
infection : external hordeolum ( stye ) ,
internal hordeolum ( infected chalazion
), chalazion ( meibomian cyst ).
95
96
Blepharitis
Staphylococcal
• Infxn of the lid margins by
staphylococcal bacteria.
• Lid margin inflammed and
coated with scales.
• Lashes stuck together,
matted with crusts.
Seborrhoeic
• Assoc with seborrhoeic
dermatitis.
• Foamy tear film
• Can give rise to secondary
conjunctivitis
Rx
• Lid hygiene – reduce to bacterial load
• Antibiotics – topical ointments cmc.
• Systemic antibiotics – severe persistent cases
• Tetracycline, doxycycline
• Artificial tears
Stye – external hordeolum
• Bacterial eyelash
folliculitis
100
Chalazion
Meibomian cyst
• Meibomian gland
lipogranuloma
Internal hordeolum
• Infected meibomian cyst
101
102
CONJUNCTIVAL
degenerative
103
Pterygium
• Triangular fibrovascular
subepithelial ingrowth of
degenerative bulbar
conjunctival tissue over the
limbus to the cornea.
• Living in hot climates
• Response to chronic
dryness and UV exposure.
• Encroaches visual axis -
astigmatisme
• Cosmetic
• FB sensations, gritty sensation
• Mx – surgical removal only when obstructing
visual axis.
• Artificial tears
• Sunglasses
Pingecuela
• Extremely common
• Innocuous
• Bilateral
• asymptomatic
106
• Yellow-white
deposits on the
bulbar conjunctiva
at nasal or temporal
limbus.
• Asymptomatic
• Occasionally
inflammed –
pingeculitis ( rx with
weak steroids )
107

The red eyes.ppt

  • 1.
    The red eyes DrRafidah Md Saleh UPM
  • 2.
    Red eyes Urgent ( Vision threatening) Non urgent ( Non vision threatening ) 2
  • 3.
  • 4.
    Complaint – natureof discomfort • Itching in allergic conjunctivitis • Grittiness in infective conjunctivitis • Pain suggests more serious disease • Photophobia, pain – can be iritis, epithelial defect 4
  • 5.
    Discharge • Watery –viral conjunctivitis / corneal epithelial defects / abrasions • Purulent – bacterial / chlamydial conjunctivitis • Mucoid – allergic conjunctivitis 5
  • 6.
    Laterality • Infection maybe unilateral initially but later bilateral • Allergy – usually bilateral, young • Iritis / acute glaucoma – usually unilateral 6
  • 7.
    Vision • Transient blurringdue to watery eyes / discharge • Persistent significant visual loss indicates more serious disease • Haloes – urgent! 7
  • 8.
    General medical • Headache,vomiting, eye pain – high IOP • Hx of allergy, atopy, bronchial asthma, eczema • Systemic assoc : iritis with sarcoidosis, Ankylosing spondylitis, scleritis, CTD • Acne rosacea assoc with blepharoconjunctivitis • Hx of trauma to the eye – iritis, subconj hemorrhage, glaucoma 8
  • 9.
    General medical • URTIaccompanies infective conjunctivitis • Preauricular lymphnode enlargement 9
  • 10.
    Symptom Urgent • Blurred vision •Severe pain • Photophobia • Colored haloes Non urgent • Exudation • Itching • Watery eyes • Grittiness 10
  • 11.
  • 12.
  • 13.
  • 14.
    Clinical Urgent • Reduce VA •Ciliary flush • Corneal opacities • Hazy cornea • Pupillary abnormalities • Shallow anterior chamber • Elevated IOP • Proptosis Non urgent • Conjunctival hyperemia • Corneal scar • Corneal epithelial defect • Pseudomembranes • Papillae / follicles 14
  • 15.
    Differentials – NonUrgent Infective • Bacterial conjunctivitis • Viral conjunctivitis Non- infective • Allergic conjunctivitis • Cicatrizing conjunctivitis • Subconjunctival hemorrhage • Pterygium • Pingecuela • Blephritis • Stye • Chalazion 15
  • 16.
    Differentials non-urgent Non infective •Corneal epithelial defect • Corneal foreign body 16
  • 17.
    Differentials - urgent •Corneal ulcer / infective keratitis • Anterior uveitis / iritis / iridocyclitis • Angle closure glaucoma • Scleritis / episcleritis 17
  • 18.
  • 19.
    Infective keratitis • Predisposingfactors – Corneal trauma – Contact lens – Chronic compromised cornea – dry eyes, blephritis, bullous keratopathy – Corneal exposure – facial palsy, proptosis – Immunosuppress – DM, steroid use 19
  • 20.
    Infective keratitis • Conjhyperemia • Conjunctivitis • Hypopyon • Corneal ulceration, opacity • Corneal perforation 20
  • 21.
  • 22.
  • 23.
    Infective keratitis –Mx • Corneal scrapings – plate agar • Treat predisposing factors • Broad spectrum topical antibiotics – Eg. Quinolones drops hourly 23
  • 24.
    Anterior uveitis Symptoms • Pain •Redness • Photophobia • Watery eyes • Blurred vision Signs • Cilliary flush, circumcorneal injection • Inflammatory cells in AC • +/- hypopyon • Keratic precipitates – mutton fat KPs • Irregular, fixed pupil – posterior symechiae • IOP +/- 24
  • 25.
  • 26.
  • 27.
  • 28.
    ANTERIOR UVEITIS –AETIOLOGY Ocular causes • Idiopathic • Herpes virus infection • Fuch’s heterochromic cyclitis • Trauma to the eye • Sympathetic ophthalmia Systemic causes • TB • Seronegative arthritis – Psoriatic – AS – Reiter’s syndrome – IBD • Juvenile chronic arthritis • Sarcoidosis • Behchet’s disease • Syphillis • Masquerade syndrome 28
  • 29.
    Anterior uveitis Ix • Unilateral,first attack – no Ix • Ix if – recurrence, bilateral, chronic, resistance to std tx Ix • FBC • ESR • VDRL • Mantoux test • CXR • Optional - CTD screening, sacroiliac joints Xray, HLA typing, serum ACE 29
  • 30.
    Anterior uveitis -mx • Ophthalmologist referal • Topical steroids • Subconjunctival steroid, dilating drops 30
  • 31.
    Anterior uveitis -Cx • Cataract • Glaucoma • Macular oedema 31
  • 32.
    Episcleritis • Non –infective inflammation involving a tissue layer superficial to the sclera and deep to the conjunctiva. • Extremely common • Pain +/- • Hyperemia : diffuse or segmental ( simple / nodular ) 39
  • 33.
  • 34.
    Episcleritis • No discharge •Palpebral conjunctiva not involve • No blurring of vision 41
  • 35.
    Episcleritis - rx •Topical steroids • Artificial tears • +/- NSAIDs 42
  • 36.
    Scleritis • Uncommon • Moreserious than episcleritis • Oedema & cellular infiltration of the entire thickness of sclera. • Spectrum of disease – from self limiting to blindness. ( necrotising & non-necrotising ) • Systemic associations – RA (most common ), Wegener’s granulomatosis, Relapsing polychondritis, PAN ( polyarteritis nodosa ), SLE. 43
  • 37.
    Scleritis Symptom • Severe eyepain • Red eyes • Reduce vision Signs • Vascular congestion and dilatation associated with oedema. ( violet hues ) • Eye is tender to touch 44
  • 38.
  • 39.
  • 40.
    Scleritis - rx •Refer • Topical steroids • Systemic steroids • NSAIDs • Severe cases – cytotoxic drugs 47
  • 41.
  • 42.
  • 43.
  • 45.
  • 46.
    Bacterial conjunctivitis Symptoms • Stickyeyes • Itch, burning, gritty • Hx of contact • Mild reduce vision Signs • Lid swelling • Conj hyperemia • Purulent discharge • Papillae • discharge 53
  • 47.
  • 48.
  • 49.
  • 50.
    Management • Self limiting,most no need Ix • Broad spectrum eyedrops – CMC, gentamycin, fucidic acid • If x resolved – conj swab • Atypical cases need referal – x respond to rx, chronic 57
  • 51.
    Gonococcal conjunctivitis • Venerealgenitourinary tract infection • N. gonorrhea • Capable of invading intact cornea 58
  • 52.
    Gonococcal conjunctivitis • Acute,profuse conj discharge • Severe eyelid oedema, tenderness • Intense conj hyperemia, chemosis, purulent D • Pseudomembrane • Lymphadenopathy 59
  • 53.
    • Peripheral cornealulceration • Corneal perforation • endophthalmitis 60
  • 54.
  • 55.
    Gonococcal Ix • Gram stain– gram negative diplococci Rx • Referal to Ophthalmology & Urology • Topical gentamycin / bacitracin hourly • Systemic antibiotics 62
  • 56.
    Chlamydial conjunctivitis • Autoinoculation from genital secretions although eye to eye spread may occur in about 10% of cases. • Urogenital symptoms • Symptom – subacute, watery discharge. Untreated may persis for several months. 63
  • 57.
    • Signs – –Large follicles – Peripheral corneal infiltrates ( appear later ) – Tender preauricular lypmh nodes – Neglected – conj scarring, pannus 64
  • 58.
    • Refer eye •Topical erythromycin / tetracycline • Systemic – Doxycycline or azythromycin 65
  • 59.
  • 60.
    Viral conjunctivitis Symptom • Redeyes • Watery • Moderate grittiness • Non spesific fever + URTI • Up to 2 weeks symptoms Signs • Conj hyperemia • Conj follicles • PEES • Pre-auricular LN • Eyelid swelling 67
  • 61.
  • 62.
  • 63.
  • 64.
    mx • Self limiting •Artificial tears every 2 hours • Vasoconstrictor/ antihistamine • Topical steroids ( under ophthal supervisions ) • Hygiene • Cold compression 71
  • 65.
  • 66.
    NON - URGENT Noninfective 73
  • 67.
  • 68.
    Allergic conjunctivitis Seasonal allergic •( hay fever ) • Spring , summer • Tree & grass pollen Perennial allergic • Sym throughout the year • Exacerbation in autum, expose to house dust mite, animal dander, fungal allergens. 75
  • 69.
  • 70.
    Dx • Transient acuteattacks of redness, watering, itch. Sneeze & nasal discharge. • Signs – lid oedema, chemosis, papillary reaction. 77
  • 71.
    Rx • Mast cellstabilizers • Sodium chromoglycate for long term • Antihistamines – topical • Combined • Steroids – only under ophthal supervision 78
  • 72.
    Vernal keratoconjunctivits • Giantpapillary conjunctivitis ( GPC / VKC ) • Bilateral , recurrent d/o IgE mediated • Boys, first decade • Associated FHx atopy • Astma & eczema 79
  • 73.
    VKC • Intense itch •Lacrimation • Photophobia • FB sensation • Burning thick mucoid discharge 80 • Sign
  • 74.
  • 75.
  • 76.
    • Diffuse papillaryhypertrophy • Mucus deposition, conj injection Palpebral • Gelatinous papillae on the limbal • ( discrete white spots – Trantas dots ) Limbal • Shield ulcer • PEEs • Higher incidence of keratoconus Keratopathy 83
  • 77.
  • 78.
    Rx Topical – Mast cellstabilizer – Antihistamine – Steroids – Acetyl cystiene – ciclosporin • Suratarsal steroid injections • Systemic • Oral antihistamina • Immunosuppressive agents 85
  • 79.
  • 80.
    Steven-Johnson Syndrome / Toxicepidermal necrolysis • Mucocuteneous blistering disease process. • Uncommon. • Involves skin, oral and conjunctiva mucous membranes. • Idiopathic / response to infxn /drug s.a sulphonamides and salycylates. 87
  • 81.
    Clinical early • Malaise • Arthralgia •Skin rash • Redness of eyes, mouth. • Papillary conjunctivitis. • Severe membranous or pseudomembranous conjunctivitis. late • Scarring of upper tarsal plate • Conj scarring, symblepharon • Dry eyes • Corneal keratinization • Keratopathy from cicatricial entropion • Lashes infection • Blindness. 88
  • 82.
    Rx acute • Lubrication • Topicalsteroids , antibiotics • Scleral ring chronic • Lubrication, • Treat complications accrdingly. 89
  • 83.
    Subconjunctival hemorrhage • Acutered eye • Spontaneous • Traumatic – blunt, penetrating 90
  • 84.
    • Examine thehemorhage, try to see it’s border. • If minimal – non-urgent • Hx of penetrating, sharpnel injury must not be taken lightly. • If spontaneous, quite safe to refer the next day. • Bleeding tendency? 91
  • 85.
    • If hashx of definite trauma, examine properly. • Look for signs of laceration. • Refer eye accordingly. 92
  • 86.
  • 87.
    Blepharitis • Very common •Irritation • Watery • Redness • Later can develop secondary bacterial infection : external hordeolum ( stye ) , internal hordeolum ( infected chalazion ), chalazion ( meibomian cyst ).
  • 88.
  • 89.
  • 90.
    Blepharitis Staphylococcal • Infxn ofthe lid margins by staphylococcal bacteria. • Lid margin inflammed and coated with scales. • Lashes stuck together, matted with crusts. Seborrhoeic • Assoc with seborrhoeic dermatitis. • Foamy tear film • Can give rise to secondary conjunctivitis
  • 91.
    Rx • Lid hygiene– reduce to bacterial load • Antibiotics – topical ointments cmc. • Systemic antibiotics – severe persistent cases • Tetracycline, doxycycline • Artificial tears
  • 92.
    Stye – externalhordeolum • Bacterial eyelash folliculitis
  • 93.
  • 94.
    Chalazion Meibomian cyst • Meibomiangland lipogranuloma Internal hordeolum • Infected meibomian cyst 101
  • 95.
  • 96.
  • 97.
    Pterygium • Triangular fibrovascular subepithelialingrowth of degenerative bulbar conjunctival tissue over the limbus to the cornea. • Living in hot climates • Response to chronic dryness and UV exposure. • Encroaches visual axis - astigmatisme
  • 98.
    • Cosmetic • FBsensations, gritty sensation • Mx – surgical removal only when obstructing visual axis. • Artificial tears • Sunglasses
  • 99.
    Pingecuela • Extremely common •Innocuous • Bilateral • asymptomatic 106
  • 100.
    • Yellow-white deposits onthe bulbar conjunctiva at nasal or temporal limbus. • Asymptomatic • Occasionally inflammed – pingeculitis ( rx with weak steroids ) 107