TALUS AND CALCANEUS
FRACTURES
By k/mariam Ab OTSR III
Date 27/09/2012
OUT LINE
• INTRODUCTION
• ANATOMY
• MECHANISMS OF INJURY
• CLINICAL PRESENTATION
• RADIOLOGICAL EVALUATION
• CLASSIFICATIONS
• TREATMENT
• COMPLICATIONS
INTRODUCTION
• ‘’Man's foot is all his own. It is unlike any other foot. It is the
most distinctly human part of his whole anatomical makeup. It
is a human specialization and, whether he be proud of it or
not, it is his hallmark and so long as Man has been Man and
so long as he remains Man, it is by his feet that he will be
known from all other members of the animal kingdom.’’
Frederick Wood Jones, 18th-century British anatomist
• “The man who breaks his heel bone is done.” 1916, Cotton
and Henderson
TALUS FRACTURE
Anatomy
• Surface 60% cartilage
• No muscular insertions
BLOOD SUPPLY
Arterial supply:
• Artery of tarsal canal
• Artery of tarsal sinus
• Dorsal neck vessels
• Deltoid branches
medial
lateral
Inferior view of talus, showing
vascular anastomosis
VASCULARITY
• Artery of tarsal canal supplies majority of
talar body
Side View
Top View
Deltoid Branches
Posterior
tubercle
vessels
Artery of
Tarsal
Sinus
Artery of
Tarsal Canal
Superior Neck
Vessels
Superior Neck
Vessels
Artery of
Tarsal
Sinus
Artery of
Tarsal Canal
Posterior
tubercle
vessels
INCIDENCE
• 2 % of all fractures
• 6-8% of foot fractures
• Importance due to high
complication rates
– avascular necrosis
– post-traumatic arthritis
– malunion
MECHANISM OF INJURY
• Hyperdorsiflexion of the foot on the leg
• Neck of talus impinges against anterior distal
tibia, causing neck fracture
• If force continues:
– Talar body dislocates posteromedial
– Often around deep deltoid ligament
Cont’d….
• Previously called “aviator’s astragalus”
• Usually due to motor vehicle accident or falls
from height
• Approximately 50 % have multiple traumatic
injuries
IMAGING
• Canale View:
– Ankle plantarflexion
– 15 degree pronation
– Tube 15 degree off
vertical
• Standard ankle and foot
radiographs
• CT SCAN:
– Can be a useful
assessment tool
– Confirms truly
undisplaced fractures
– Demonstrates subtalar
comminution,
osteochondral fractures
• MRI SCAN:
– Primary role in talus
injuries is to assess
complications, especially
avascular necrosis
– May be poor quality if
extensive hardware
present
TALAR NECK FRACTURES CLASSIFICATION
• Hawkins 1970
Predictive of AVN rate
Widely used
Hawkins I
• Undisplaced
• AVN 0 – 13 %
• “There is no room for
the term ’a minimally
displaced type I talar
neck fracture
HAWKINS II
• Displaced fracture
• Subtalar subluxation /
dislocation
• Closed reduction can
successful
• AVN 20 – 50 %
HAWKINS III
• Subtalar and ankle joint
dislocated
• Talar body extrudes
around deltoid ligament
• AVN 83 – 100 %
• These injuries are most
commonly irreducible
by closed means
HAWKINS IV
• Incorporates
talonavicular
subluxation
• Rare variant
• Complex talar neck
fractures which do not
fit classification can be
included
GOALS OF MANAGEMENT
• Immediate reduction of dislocated joints
• Anatomic fracture reduction
• Stable fixation
• Facilitate union
• Avoid complications
Treatment of talar neck fractures
• Emergent reduction of dislocated joints
• Stable internal fixation
• Choice of fixation and approach depends upon
personality of fracture
• Post operative rehabilitation:
• Sample protocol:
– Initial immobilization, 2-6 weeks depending upon
soft tissue injury and patient factors, to prevent
contractures and facilitate healing
– Non weight-bearing, Range of Motion therapy
until 3 months or fracture union
HAWKINS I FRACTURE
Options:
• Non-Weight-Bearing
Cast for 4-6 weeks
followed by removable
brace and motion
• Percutaneous screw
fixation and early
motion
HAWKINS II, III, AND IV FRACTURES
• The vast majority of displaced fractures of the talar
neck and body are treated operatively
• Results dependent upon development of
complications
– Osteonecrosis
– Malunion
– Arthritis
• Surgical timing:
– Emergent reduction of dislocated joints
– Allow life threatening injuries to take priority and
resuscitate adequately first
• Closed reduction:
– May be very useful, particularly if other life threatening
injuries preclude definitive surgery
– Difficult in Hawkins’ 3 and 4 injuries
• Technique:
– Adequate sedation
– Flex knee to relax gastrocs
– Traction on plantar flexed forefoot to realign head with
body
– Varus/valgus correction as necessary
• Percutaneous Fixation:
– When a closed reduction has been successful at
achieving an anatomic result ( hawkin II, III )
– Truly undisplaced talar neck fracture with
anatomic alignment ( hawkin I )
EXTERNAL FIXATION
• Limited roles:
– Multiply injured patient
with talar neck fracture in
whom definitive surgery
will be delayed
– Temporizing measure to
stabilize reduced joints
– Highly contaminated open
fractures to facilitate soft
tissue management
– Following talectomy as a
temporary means to
maintain length and
alignment while further
surgical intervention is
being determined.
SURGICAL APPROACHES
1. Incision techniques:
 Anteromedial or Anterolateral
 Problem: difficult to visualize talar neck and
subtalar joint without significant soft tissue
stripping
 Benefit: potentially less skin injury
2. Incision technique:
 Anteromedial and direct lateral
 Problem: 2 skin incisions, close together
 Benefit: excellent fracture visualization at critical
sites of reduction and subtalar joint
• Anteromedial :
– Medial to TA and
Anterior Compartment
contents
– Make incision more
posterior for talar body
fractures to facilitate
medial malleolar
osteotomy
– Provides view of neck
alignment and medial
comminution
• Direct Lateral:
– Tip of Fibula directly
anterior
– Mobilize EDB as sleeve
– Protect sinus tarsi
contents , Visualizes
Anterolateral alignment
and subtalar joint
– Facilitates Placement of
“Shoulder Screw”
• Posterior approach
• Combined approach
– Reduction will be easy
– Judgment of anatomic reduction
– Preservation of blood supply
• Fixation Options:
– Stable Fixation to allow
early motion is the goal
– 1200 N stress across talar
neck during early motion
(Swanson JBJS 1992)
• Anterior
– Partial threaded screws
– Fully threaded screws
– Mini-fragment plates
• Posterior
– Lag screws
IP
• Posterior to Anterior
Fixation:
– stronger than anterior to
posterior fixation with 2
screws
– Able to withstand the
theoretical shear force
of active motion
– Screws perpendicular to
fracture site
• Anterior Screw
Fixation:
Non-comminuted
fractures:
– Easy to insert under
direct visualization and
no cartilage damage
– Displaced type 2: 3 A-P
screws including medial
“buttress” fully threaded
cortical screws and
lateral “shoulder” screws
cont’d….
• Comminuted
fractures:
– Buttress screw:
comminuted column;
compression screws
through non-
comminuted column
– Mini-fragment screws
for osteochondral
fragments
– Consider Titanium for
MRI
• Anterior Plate Fixation:
– Comminuted fractures:
Medial and / or lateral
mini-fragment plates
COMPLICATIONS
• AVN: incidence after talus fracture
• Canale (1972)
– I: 15 %
– II: 50 %
– III: 85 %
– IV: 100 %
• Behrens (1988)
– Overall 25 %
• Ebraheim/Stephen (2001)
– Overall 20 %
• Diagnosis
– Hawkins’ Sign: Xray
finding 6-8 weeks post
injury
Presence of subchondral
lucency implies
revascularization
– Plain radiographs:
sclerosis common,
decreases with
revascularization
– MRI: very sensitive to
decreased vascularity
• AVN Treatment:
– Precollapse:
Modified WB
PTB cast
Compliance difficult
Efficacy unknown
– Postcollapse:
Observation
Blair fusion if symptomatic
• Malunion: Incidence
– Common: up to 40 %
– Most often Varus
• Mechanical effects known
– > 3 degrees: decreased ROM
– > 2mm: altered subtalar contact forces
• Malunion:
– More pain
– Less satisfaction
– Less ankle motion
– Worse functional outcome
• Malunion Rx:
– Calcaneus osteotomy
– Tendo Achilles
Lengthening
• Post Traumatic
Arthritis:
–Incidence of post-
traumatic arthritis
• 30-90 %
– Most commonly involves
Subtalar joint
• Rx: Arthrodesis
• Nonunion:
– Uncommon, even with AVN
– Delayed Union very common
– Frequently results in late malalignment
TALAR BODY FRACTURES
• Treatment strategy
similar to talar neck
fractures
• Medial or Lateral
Malleolar Osteotomy
frequently required
Visualize body through the fibula fracture
• Primary Arthrodesis:
– primary arthrodesis may be the appropriate
treatment for nonreconstructible fractures of the
talar body
– Primary arthrodesis offers the potential advantage
of earlier return to function compared to
unsuccessful attempts at open reduction and
internal fixation
• Osteochondral injuries:
– Frequently encountered with talus neck and body
fractures
– Require small implants for fixation
– Excise if unstable and too small to fix
TALAR HEAD AND PROCESS FRACTURES
• Treat according to injury
• Operate when associated with joint subluxation,
incongruity, impingement or marked displacement
• Fragments often too small to fix and require excision
• Subtle on plain xray
• Usually require CT scan
• Required 2 incisions to debride subtalar joint from
lateral approach, and reduce / stabilize fracture from
medial
• Lateral process
fracture:
– Usually require CT scan
– Often excised due to size
of fragments
– Difficult to achieve union
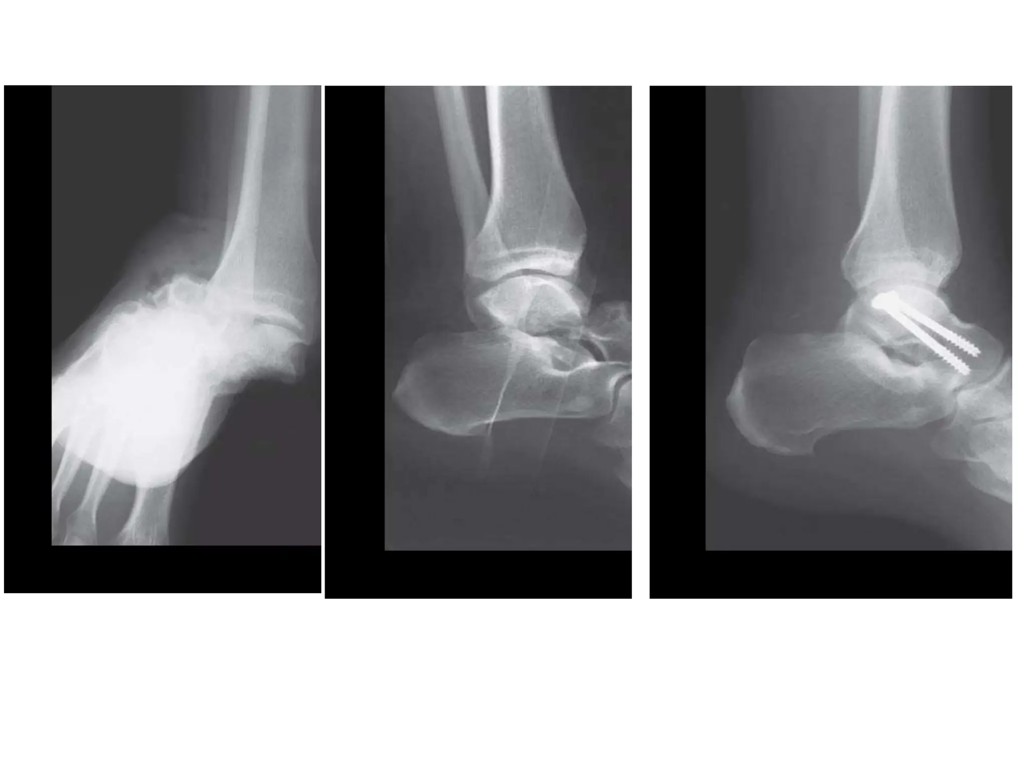
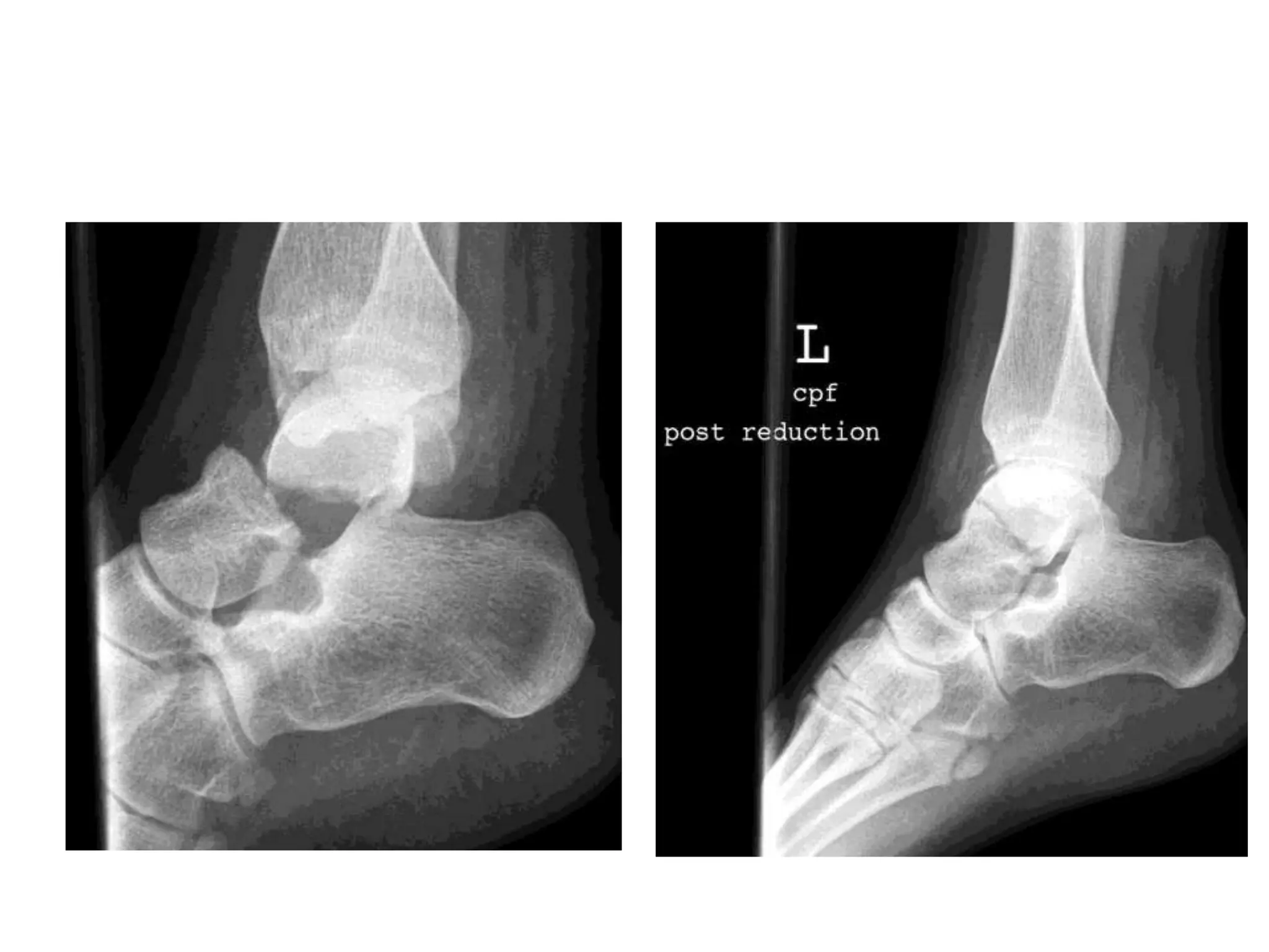
SUBTALAR DISLOCATIONS
• Spectrum of injuries
– Relatively Innocent
– Very Disabling
• Classification:
– Usually based upon
direction of dislocation:
– Medial dislocation: 85 %,
low energy
– Lateral dislocation: 15 %,
high energy
• Prognostic factors
– Open vs Closed
– High or low energy mechanism
– Stable or unstable post reduction
– Reducible by closed means or requiring open
reduction
– Associated impaction injuries
 Management of subtalar dislocation
• Urgent Closed reduction:
– Adequate sedation
– Knee flexion
– Longitudinal foot traction
– Accentuate, then reverse deformity
• Succesful in up to 90 % of patients
• Open reduction:
– More likely after high
energy injury
– More likely with lateral
dislocation
– Cause:
soft tissue interposition
(Tib post, FHL, extensor
tendons, capsule)
bony impaction between
the talus and navicular
• Rehabilitation:
– Stable injuries:
4 weeks immobilization
Physio for mobilization
– Unstable injuries:
Usually don’t require internal fixation once reduction
achieved
If large or multiple bone fragments required removal,
stability may be less than ideal
Internal fixation with smooth wires across the subtalar
and talonavicular joints may be necessary to maintain
the reduction
• Outcome of Subtalar dislocations:
– Less benign than previously thought
– Subtalar arthritis:
Up to 89 % radiographically
Symptomatic in up to 63 %
– Ankle and midfoot arthritis less common
AUTHOR'S PREFERRED METHOD OF TREATMENT IN CALCANEUS(ROCKWOOD AND
GREEN 8TH EDITION)
• REVIEW:
– Urgent reduction of displaced fractures and dislocations
remains the standard of care to protect the soft tissue
envelope and neurovascular structures
– Delayed definitive fixation has proven to be safe
– CT is the imaging modality of choice to fully identify the
fracture pattern and associated injuries
– Anatomic reduction and restoration of the peritalar
articular surfaces are the pillars of talar neck fracture
treatment
– Dual incision approach with plate and screw fixation has
become the modern surgical strategy of choice to
accomplish these goals
– Although complications such as osteonecrosis (ON) and
posttraumatic arthritis (PTA) can still occur at high rates,
treatment should be dictated by patient symptoms
(https://doi.org/10.1007/s12178-018-9509-9, 4 July 2018)
CALCANEUS FRACTURES
ANATOMY
CALCANEAL BONE FRACTURE
• The calcaneus is the most commonly fractured
tarsal bone
• Crush injuries are likely to be followed by long-
term disability
EPIDEMIOLOGY
• 1-2 % of all fractures
• 60-70 % of all tarsal bones
• M:F = 2.4:1
• 75% is intra articular
• 70% is fall down accident
• 90% is posterior facet fracture
MECHANISM OF INJURY
• Axial loading
• Twisting forces
• Avulsion fractures
• Stress fractures
Associated Injuries
• 50% have associated injuries
– 10 % thoracolumbar injuries
– 25 % lower extremities injuries
– 5-10 % contralateral injuries
CLASSIFICATION
• INTRAARTICULAR FRACTURES(75%)
– Essex-lopresti
o Joint depression vs Tongue type
– Sanders
• EXTRAARTICULAR FRACTURES(25%)
– Fractures of the calcaneal tuberosity
– Fractures of the sustentaculum tali
– Fractures of the anterior and medial process of
the calcaneus
INTRAARTICULAR FRACTURES
EXTRAARTICULAR FRACTURES
• FRACTURES OF THE CALCANEAL TUBEROSITY
• FRACTURES OF THE SUSTENTACULUM TALI
• FRACTURES OF THE ANTERIOR PROCESS OF THE CALCANEUS
RADIOGRAPHIC ANATOMY
Lateral radiograph
Bohler’s Angle
Gissanes angle
“Double density” sign
Shows joint-depression or
tongue-type
The “double density”; a joint-depression–type fracture where the lateral portion of
thejoint is impacted but both Böhler and Gissane angles are normal
Ap radiograph
Extension of fracture line into CCJ
Harris axial view
Angulation of the tuberesity
Height of calcaneous
Width of the calcaneous
Broden view
Visualizes articular surface of the posterior facet on
plain radiographs
CT scan
Axial, 30-degree semicoronal, and sagittal planes
Clinical evaluation
• Hx
– Bleeding injury site
– Un able to weight bear or with pain
– Limping
– Mm of injury
 p/E
– Grossly swollen foot
– Tender
– echymossis
– Open wound
– Gross deformity
– Limited ROM
• Don forget to examine
other systems
TREATMENT
• Goals
Joint congruency restoration
Calcaneal height restoration
Reduction of calcaneal width
Valgus tuberisity restoration
Reduction of calcaneocuboid joint
Factors vs treatment options
• Age
• Health status
• Fracture pattern
• Soft tissue injury
• Patient compliance
TREATMENT OPTIONS
No reduction, with elevation of the foot,
compression dressing, and early ROM
Closed reduction, with elevation of the foot,
compression dressing, and early motion
cont’d…..
Percutaneous reduction techniques
Open reduction and internal fixation
Primary arthrodesis
NON OPERATIVE
»Indications include:
• Nondisplaced or minimally displaced extra-articular
fractures
• Nondisplaced intra-articular fractures
• Anterior process fractures with less than 25%
involvement of the calcaneal–cuboid articulation
• Fractures in patients with severe peripheral vascular
disease or insulin-dependent diabetes
• Fractures in patients with other medical
comorbidities prohibiting surgery
Cont’d….
• Fractures in patients who are heavy smokers (two or
more packs per day)
• Elderly patients who are household ambulators
• Fractures associated with blistering and massive
prolonged edema, large open wounds, or life
threatening injuries
NONE OPERATIVE RX
• Placement of a bulky Jones dressing
• Leg elevation
• Supportive splint
• Early subtalar and ankle joint ROM exercises
• Non–weight-for approximately 10 to 12 weeks, until
radiographic union
OPERATIVE
• Indications
Displaced intra-articular fractures involving the
posterior facet
 Anterior process of the calcaneus fractures with
>25% involvement of the calcaneal–cuboid
articulation
Cont’d….
Displaced fractures of the calcaneal tuberosity,
with or without skin compromise
Fracture-dislocations of the calcaneus
Open fractures of the calcaneus
GENERAL FACTS
• Surgery should be within 3 weeks
• Positive wrinkle test
• No edema
Bulky jones dressing
Foot elevation
Ice compression
Pneumatic intermitent compression foot pump
Percutaneous and Minimally Invasive Fixation
• Indications:
 Sanders 2C tongue-type fractures in which the entire
posterior facet is attached to the tongue fragment
 displaced calcaneal tuberosity or beak fractures
 emergent reduction and temporary stabilization of
fractures with severe or impending soft tissue
compromise from displaced fracture fragments
 fractures in patients with relative contraindications to
open surgery, such as heavy smokers or patients
requiring chronic anticoagulation
SURGICAL APPROACHES
• Lateral approach
• Medial approach
• Both
Lateral approach
PLATES
Fixation of body. A: Lateral wall replaced, and low-profile plate applied. B–D: Radiographs of
final fixation, showing anatomic reduction of the articular surface, anterior process, and
tuberosity
Locking plate fixation in patient with seizure disorder and osteopenic bone with (A) lateral, (B)
Broden, and (C) axial views demonstrating satisfactory reduction and fixation.
EXTRA ARTICULAR FRACTURES
• Anterior process fractures
involving >25% of the calcaneal–cuboid
articulation on CT scan evaluation
small or mini-fragment screws
Anterior process of calcaneus fracture
TUBEROSITY (AVULSION) FRACTURES
• The posterior skin is at risk from pressure from the
displaced tuberosity
• The posterior portion of the bone is extremely
prominent and will affect shoe Wear
• The gastrocnemius–soleus complex is
incompetent
• The avulsion fragment involves the articular
surface of the joint
CALCANEUS BODY FRACTURES
• Minimally displaced fractures (<1 cm)
 early motion
 non–weight bearing for10 to 12 weeks
• Significant displacement
 varus/valgus deformity
 lateral impingement
 loss of heel height
 = ORI
Calcaneal beak/tuberosity avulsion fracture
MEDIAL PROCESS FRACTURES
• Rare and usually nondisplaced
• Nondisplaced fractures can be treated with a short
leg weightbearing cast until the fracture heals at 8 to
10 weeks
• When fractures are displaced, closed manipulation
may be considered
Medial sustentacular fractures of the calcaneus(A), Broden (B), and axial (C)
views
PRIMARY SUBTALAR OR TRIPLE ARTHRODESIS
comminuted that anatomic reduction is not
possible
posttraumatic arthritis reduction
overall long-term recovery is shortened
 a second operation avoided.
Initial ORIF of patients with displaced intra-
articular calcaneal # minimized the likelihood that
subtalar fusion would be required
Cont’d…..
• A distinct patient group at high risk of subtalar fusion
 Male
 Heavy labor work
 Böhler angle less than 0° (10 times)
 Sanders-type IVcalcaneal fractures (5.5times)
 Initial treatment was nonoperative (6 times)
Primary fusion for a type IV fracture
POSTOPERATIVE MANAGEMENT
• Drainage tube
• Splinting with ankle neutral
• Elevation
• Early supervised subtalar range-of-motion exercises
• Non–weight bearing for 8 to 12 weeks
• Full weight bearing by 3 months
COMPLICATIONS
1.Wound Necrosis
secondary infection
 exposure of the bone and fixation hardware
• Risk factors
peripheral vascular disease or
systemic disease such as diabetes mellitus
• prevention
maintaining a full-thickness flap
using gentle retraction of the flap (which avoids the
kinking of the flap)
 avoiding prolonged operating times
 tension-free closure
2. Infection
Cellulitis
deep infection with osteomyelitis
• Antibiotics
• I&D
3. Subtalar Joint Arthritis
inadequate reduction
123
calcaneal fracture
4. Malreduction of the Fracture
Deformed foot
weakness in pushoff
difficulty with shoeware
impingement on the peroneal tendons or tip of the
fibula, which can lead to chronic pain and tendinitis
SUMMARY
• OPERATIVE
Malunion
Stiffness
Subtalar arthritis
Peroneal tendons
Sural nerve pain
Heel pad problems
• NON-OPERATIVE
 Malunion
 Varus hindfoot
 Shortened foot =short
lever arm
 Peroneal impingement/
 dislocation
 Shoe wear problems
 Stiffness, arthritis(ST)
AUTHOR'S PREFERRED METHOD OF TREATMENT IN CALCANEUS(ROCKWOOD AND
GREEN 8TH EDITION)
• REVIEW:
– No significant difference between treating Sanders type IV
fractures with either ORIF or ORIF + PSTA. It remains the
choice of the surgeon and patient to take into account
patient specific factors to determine treatment. However,
ORIF + PSTA may be advantageous for both patients with
Sanders type IV fractures and the health care system as
patients heal quickly. Furthermore, ORIF + PSTA may
prevent the need for late secondary subtalar fusion adding
to increased costs and lost time from work
( 10.1097/BOT.0000000000000191, J Orthop Trauma )
REFERENCES
 ROCKWOOD AND GREEN FRACTURES IN ADULT 8TH
EDITION
 CAMPBELL’S OPERATIVE ORTHOPEDICS 13TH EDITION
 BROWNER'S MUSCULOSKELETAL TRAUMA 4TH
EDITION
 NETTER ATLAS OF HUMAN ANATOMY
THANK YOU

talus fracture presentation powe point

  • 1.
    TALUS AND CALCANEUS FRACTURES Byk/mariam Ab OTSR III Date 27/09/2012
  • 2.
    OUT LINE • INTRODUCTION •ANATOMY • MECHANISMS OF INJURY • CLINICAL PRESENTATION • RADIOLOGICAL EVALUATION • CLASSIFICATIONS • TREATMENT • COMPLICATIONS
  • 3.
    INTRODUCTION • ‘’Man's footis all his own. It is unlike any other foot. It is the most distinctly human part of his whole anatomical makeup. It is a human specialization and, whether he be proud of it or not, it is his hallmark and so long as Man has been Man and so long as he remains Man, it is by his feet that he will be known from all other members of the animal kingdom.’’ Frederick Wood Jones, 18th-century British anatomist • “The man who breaks his heel bone is done.” 1916, Cotton and Henderson
  • 4.
  • 5.
    Anatomy • Surface 60%cartilage • No muscular insertions
  • 6.
    BLOOD SUPPLY Arterial supply: •Artery of tarsal canal • Artery of tarsal sinus • Dorsal neck vessels • Deltoid branches medial lateral Inferior view of talus, showing vascular anastomosis
  • 7.
    VASCULARITY • Artery oftarsal canal supplies majority of talar body Side View Top View Deltoid Branches Posterior tubercle vessels Artery of Tarsal Sinus Artery of Tarsal Canal Superior Neck Vessels Superior Neck Vessels Artery of Tarsal Sinus Artery of Tarsal Canal Posterior tubercle vessels
  • 8.
    INCIDENCE • 2 %of all fractures • 6-8% of foot fractures • Importance due to high complication rates – avascular necrosis – post-traumatic arthritis – malunion
  • 9.
    MECHANISM OF INJURY •Hyperdorsiflexion of the foot on the leg • Neck of talus impinges against anterior distal tibia, causing neck fracture • If force continues: – Talar body dislocates posteromedial – Often around deep deltoid ligament
  • 10.
    Cont’d…. • Previously called“aviator’s astragalus” • Usually due to motor vehicle accident or falls from height • Approximately 50 % have multiple traumatic injuries
  • 11.
    IMAGING • Canale View: –Ankle plantarflexion – 15 degree pronation – Tube 15 degree off vertical • Standard ankle and foot radiographs
  • 12.
    • CT SCAN: –Can be a useful assessment tool – Confirms truly undisplaced fractures – Demonstrates subtalar comminution, osteochondral fractures
  • 13.
    • MRI SCAN: –Primary role in talus injuries is to assess complications, especially avascular necrosis – May be poor quality if extensive hardware present
  • 14.
    TALAR NECK FRACTURESCLASSIFICATION • Hawkins 1970 Predictive of AVN rate Widely used
  • 15.
    Hawkins I • Undisplaced •AVN 0 – 13 % • “There is no room for the term ’a minimally displaced type I talar neck fracture
  • 16.
    HAWKINS II • Displacedfracture • Subtalar subluxation / dislocation • Closed reduction can successful • AVN 20 – 50 %
  • 17.
    HAWKINS III • Subtalarand ankle joint dislocated • Talar body extrudes around deltoid ligament • AVN 83 – 100 % • These injuries are most commonly irreducible by closed means
  • 18.
    HAWKINS IV • Incorporates talonavicular subluxation •Rare variant • Complex talar neck fractures which do not fit classification can be included
  • 19.
    GOALS OF MANAGEMENT •Immediate reduction of dislocated joints • Anatomic fracture reduction • Stable fixation • Facilitate union • Avoid complications
  • 20.
    Treatment of talarneck fractures • Emergent reduction of dislocated joints • Stable internal fixation • Choice of fixation and approach depends upon personality of fracture
  • 21.
    • Post operativerehabilitation: • Sample protocol: – Initial immobilization, 2-6 weeks depending upon soft tissue injury and patient factors, to prevent contractures and facilitate healing – Non weight-bearing, Range of Motion therapy until 3 months or fracture union
  • 22.
    HAWKINS I FRACTURE Options: •Non-Weight-Bearing Cast for 4-6 weeks followed by removable brace and motion • Percutaneous screw fixation and early motion
  • 23.
    HAWKINS II, III,AND IV FRACTURES • The vast majority of displaced fractures of the talar neck and body are treated operatively • Results dependent upon development of complications – Osteonecrosis – Malunion – Arthritis
  • 24.
    • Surgical timing: –Emergent reduction of dislocated joints – Allow life threatening injuries to take priority and resuscitate adequately first
  • 25.
    • Closed reduction: –May be very useful, particularly if other life threatening injuries preclude definitive surgery – Difficult in Hawkins’ 3 and 4 injuries • Technique: – Adequate sedation – Flex knee to relax gastrocs – Traction on plantar flexed forefoot to realign head with body – Varus/valgus correction as necessary
  • 27.
    • Percutaneous Fixation: –When a closed reduction has been successful at achieving an anatomic result ( hawkin II, III ) – Truly undisplaced talar neck fracture with anatomic alignment ( hawkin I )
  • 29.
    EXTERNAL FIXATION • Limitedroles: – Multiply injured patient with talar neck fracture in whom definitive surgery will be delayed – Temporizing measure to stabilize reduced joints – Highly contaminated open fractures to facilitate soft tissue management – Following talectomy as a temporary means to maintain length and alignment while further surgical intervention is being determined.
  • 30.
    SURGICAL APPROACHES 1. Incisiontechniques:  Anteromedial or Anterolateral  Problem: difficult to visualize talar neck and subtalar joint without significant soft tissue stripping  Benefit: potentially less skin injury
  • 31.
    2. Incision technique: Anteromedial and direct lateral  Problem: 2 skin incisions, close together  Benefit: excellent fracture visualization at critical sites of reduction and subtalar joint
  • 32.
    • Anteromedial : –Medial to TA and Anterior Compartment contents – Make incision more posterior for talar body fractures to facilitate medial malleolar osteotomy – Provides view of neck alignment and medial comminution
  • 33.
    • Direct Lateral: –Tip of Fibula directly anterior – Mobilize EDB as sleeve – Protect sinus tarsi contents , Visualizes Anterolateral alignment and subtalar joint – Facilitates Placement of “Shoulder Screw”
  • 34.
    • Posterior approach •Combined approach – Reduction will be easy – Judgment of anatomic reduction – Preservation of blood supply
  • 35.
    • Fixation Options: –Stable Fixation to allow early motion is the goal – 1200 N stress across talar neck during early motion (Swanson JBJS 1992) • Anterior – Partial threaded screws – Fully threaded screws – Mini-fragment plates • Posterior – Lag screws IP
  • 36.
    • Posterior toAnterior Fixation: – stronger than anterior to posterior fixation with 2 screws – Able to withstand the theoretical shear force of active motion – Screws perpendicular to fracture site
  • 37.
    • Anterior Screw Fixation: Non-comminuted fractures: –Easy to insert under direct visualization and no cartilage damage – Displaced type 2: 3 A-P screws including medial “buttress” fully threaded cortical screws and lateral “shoulder” screws
  • 38.
    cont’d…. • Comminuted fractures: – Buttressscrew: comminuted column; compression screws through non- comminuted column – Mini-fragment screws for osteochondral fragments – Consider Titanium for MRI
  • 39.
    • Anterior PlateFixation: – Comminuted fractures: Medial and / or lateral mini-fragment plates
  • 40.
    COMPLICATIONS • AVN: incidenceafter talus fracture • Canale (1972) – I: 15 % – II: 50 % – III: 85 % – IV: 100 % • Behrens (1988) – Overall 25 % • Ebraheim/Stephen (2001) – Overall 20 %
  • 41.
    • Diagnosis – Hawkins’Sign: Xray finding 6-8 weeks post injury Presence of subchondral lucency implies revascularization – Plain radiographs: sclerosis common, decreases with revascularization – MRI: very sensitive to decreased vascularity
  • 42.
    • AVN Treatment: –Precollapse: Modified WB PTB cast Compliance difficult Efficacy unknown – Postcollapse: Observation Blair fusion if symptomatic
  • 43.
    • Malunion: Incidence –Common: up to 40 % – Most often Varus • Mechanical effects known – > 3 degrees: decreased ROM – > 2mm: altered subtalar contact forces • Malunion: – More pain – Less satisfaction – Less ankle motion – Worse functional outcome
  • 44.
    • Malunion Rx: –Calcaneus osteotomy – Tendo Achilles Lengthening
  • 45.
    • Post Traumatic Arthritis: –Incidenceof post- traumatic arthritis • 30-90 % – Most commonly involves Subtalar joint • Rx: Arthrodesis
  • 46.
    • Nonunion: – Uncommon,even with AVN – Delayed Union very common – Frequently results in late malalignment
  • 47.
    TALAR BODY FRACTURES •Treatment strategy similar to talar neck fractures • Medial or Lateral Malleolar Osteotomy frequently required
  • 49.
    Visualize body throughthe fibula fracture
  • 50.
    • Primary Arthrodesis: –primary arthrodesis may be the appropriate treatment for nonreconstructible fractures of the talar body – Primary arthrodesis offers the potential advantage of earlier return to function compared to unsuccessful attempts at open reduction and internal fixation
  • 52.
    • Osteochondral injuries: –Frequently encountered with talus neck and body fractures – Require small implants for fixation – Excise if unstable and too small to fix
  • 53.
    TALAR HEAD ANDPROCESS FRACTURES • Treat according to injury • Operate when associated with joint subluxation, incongruity, impingement or marked displacement • Fragments often too small to fix and require excision • Subtle on plain xray • Usually require CT scan • Required 2 incisions to debride subtalar joint from lateral approach, and reduce / stabilize fracture from medial
  • 55.
    • Lateral process fracture: –Usually require CT scan – Often excised due to size of fragments – Difficult to achieve union
  • 56.
    SUBTALAR DISLOCATIONS • Spectrumof injuries – Relatively Innocent – Very Disabling
  • 57.
    • Classification: – Usuallybased upon direction of dislocation: – Medial dislocation: 85 %, low energy – Lateral dislocation: 15 %, high energy
  • 59.
    • Prognostic factors –Open vs Closed – High or low energy mechanism – Stable or unstable post reduction – Reducible by closed means or requiring open reduction – Associated impaction injuries
  • 60.
     Management ofsubtalar dislocation • Urgent Closed reduction: – Adequate sedation – Knee flexion – Longitudinal foot traction – Accentuate, then reverse deformity • Succesful in up to 90 % of patients
  • 61.
    • Open reduction: –More likely after high energy injury – More likely with lateral dislocation – Cause: soft tissue interposition (Tib post, FHL, extensor tendons, capsule) bony impaction between the talus and navicular
  • 62.
    • Rehabilitation: – Stableinjuries: 4 weeks immobilization Physio for mobilization – Unstable injuries: Usually don’t require internal fixation once reduction achieved If large or multiple bone fragments required removal, stability may be less than ideal Internal fixation with smooth wires across the subtalar and talonavicular joints may be necessary to maintain the reduction
  • 63.
    • Outcome ofSubtalar dislocations: – Less benign than previously thought – Subtalar arthritis: Up to 89 % radiographically Symptomatic in up to 63 % – Ankle and midfoot arthritis less common
  • 64.
    AUTHOR'S PREFERRED METHODOF TREATMENT IN CALCANEUS(ROCKWOOD AND GREEN 8TH EDITION)
  • 65.
    • REVIEW: – Urgentreduction of displaced fractures and dislocations remains the standard of care to protect the soft tissue envelope and neurovascular structures – Delayed definitive fixation has proven to be safe – CT is the imaging modality of choice to fully identify the fracture pattern and associated injuries – Anatomic reduction and restoration of the peritalar articular surfaces are the pillars of talar neck fracture treatment – Dual incision approach with plate and screw fixation has become the modern surgical strategy of choice to accomplish these goals – Although complications such as osteonecrosis (ON) and posttraumatic arthritis (PTA) can still occur at high rates, treatment should be dictated by patient symptoms (https://doi.org/10.1007/s12178-018-9509-9, 4 July 2018)
  • 66.
  • 67.
  • 69.
    CALCANEAL BONE FRACTURE •The calcaneus is the most commonly fractured tarsal bone • Crush injuries are likely to be followed by long- term disability
  • 70.
    EPIDEMIOLOGY • 1-2 %of all fractures • 60-70 % of all tarsal bones • M:F = 2.4:1 • 75% is intra articular • 70% is fall down accident • 90% is posterior facet fracture
  • 71.
    MECHANISM OF INJURY •Axial loading • Twisting forces • Avulsion fractures • Stress fractures
  • 72.
    Associated Injuries • 50%have associated injuries – 10 % thoracolumbar injuries – 25 % lower extremities injuries – 5-10 % contralateral injuries
  • 73.
    CLASSIFICATION • INTRAARTICULAR FRACTURES(75%) –Essex-lopresti o Joint depression vs Tongue type – Sanders • EXTRAARTICULAR FRACTURES(25%) – Fractures of the calcaneal tuberosity – Fractures of the sustentaculum tali – Fractures of the anterior and medial process of the calcaneus
  • 74.
  • 81.
    EXTRAARTICULAR FRACTURES • FRACTURESOF THE CALCANEAL TUBEROSITY
  • 84.
    • FRACTURES OFTHE SUSTENTACULUM TALI
  • 85.
    • FRACTURES OFTHE ANTERIOR PROCESS OF THE CALCANEUS
  • 86.
    RADIOGRAPHIC ANATOMY Lateral radiograph Bohler’sAngle Gissanes angle “Double density” sign Shows joint-depression or tongue-type
  • 87.
    The “double density”;a joint-depression–type fracture where the lateral portion of thejoint is impacted but both Böhler and Gissane angles are normal
  • 88.
    Ap radiograph Extension offracture line into CCJ Harris axial view Angulation of the tuberesity Height of calcaneous Width of the calcaneous Broden view Visualizes articular surface of the posterior facet on plain radiographs CT scan Axial, 30-degree semicoronal, and sagittal planes
  • 89.
    Clinical evaluation • Hx –Bleeding injury site – Un able to weight bear or with pain – Limping – Mm of injury
  • 90.
     p/E – Grosslyswollen foot – Tender – echymossis – Open wound – Gross deformity – Limited ROM • Don forget to examine other systems
  • 91.
    TREATMENT • Goals Joint congruencyrestoration Calcaneal height restoration Reduction of calcaneal width Valgus tuberisity restoration Reduction of calcaneocuboid joint
  • 92.
    Factors vs treatmentoptions • Age • Health status • Fracture pattern • Soft tissue injury • Patient compliance
  • 93.
    TREATMENT OPTIONS No reduction,with elevation of the foot, compression dressing, and early ROM Closed reduction, with elevation of the foot, compression dressing, and early motion
  • 94.
    cont’d….. Percutaneous reduction techniques Openreduction and internal fixation Primary arthrodesis
  • 95.
    NON OPERATIVE »Indications include: •Nondisplaced or minimally displaced extra-articular fractures • Nondisplaced intra-articular fractures • Anterior process fractures with less than 25% involvement of the calcaneal–cuboid articulation • Fractures in patients with severe peripheral vascular disease or insulin-dependent diabetes • Fractures in patients with other medical comorbidities prohibiting surgery
  • 96.
    Cont’d…. • Fractures inpatients who are heavy smokers (two or more packs per day) • Elderly patients who are household ambulators • Fractures associated with blistering and massive prolonged edema, large open wounds, or life threatening injuries
  • 97.
    NONE OPERATIVE RX •Placement of a bulky Jones dressing • Leg elevation • Supportive splint • Early subtalar and ankle joint ROM exercises • Non–weight-for approximately 10 to 12 weeks, until radiographic union
  • 98.
    OPERATIVE • Indications Displaced intra-articularfractures involving the posterior facet  Anterior process of the calcaneus fractures with >25% involvement of the calcaneal–cuboid articulation
  • 99.
    Cont’d…. Displaced fractures ofthe calcaneal tuberosity, with or without skin compromise Fracture-dislocations of the calcaneus Open fractures of the calcaneus
  • 100.
    GENERAL FACTS • Surgeryshould be within 3 weeks • Positive wrinkle test • No edema Bulky jones dressing Foot elevation Ice compression Pneumatic intermitent compression foot pump
  • 101.
    Percutaneous and MinimallyInvasive Fixation • Indications:  Sanders 2C tongue-type fractures in which the entire posterior facet is attached to the tongue fragment  displaced calcaneal tuberosity or beak fractures  emergent reduction and temporary stabilization of fractures with severe or impending soft tissue compromise from displaced fracture fragments  fractures in patients with relative contraindications to open surgery, such as heavy smokers or patients requiring chronic anticoagulation
  • 104.
    SURGICAL APPROACHES • Lateralapproach • Medial approach • Both
  • 105.
  • 107.
  • 109.
    Fixation of body.A: Lateral wall replaced, and low-profile plate applied. B–D: Radiographs of final fixation, showing anatomic reduction of the articular surface, anterior process, and tuberosity
  • 110.
    Locking plate fixationin patient with seizure disorder and osteopenic bone with (A) lateral, (B) Broden, and (C) axial views demonstrating satisfactory reduction and fixation.
  • 111.
    EXTRA ARTICULAR FRACTURES •Anterior process fractures involving >25% of the calcaneal–cuboid articulation on CT scan evaluation small or mini-fragment screws
  • 112.
    Anterior process ofcalcaneus fracture
  • 113.
    TUBEROSITY (AVULSION) FRACTURES •The posterior skin is at risk from pressure from the displaced tuberosity • The posterior portion of the bone is extremely prominent and will affect shoe Wear • The gastrocnemius–soleus complex is incompetent • The avulsion fragment involves the articular surface of the joint
  • 114.
    CALCANEUS BODY FRACTURES •Minimally displaced fractures (<1 cm)  early motion  non–weight bearing for10 to 12 weeks • Significant displacement  varus/valgus deformity  lateral impingement  loss of heel height  = ORI
  • 115.
  • 116.
    MEDIAL PROCESS FRACTURES •Rare and usually nondisplaced • Nondisplaced fractures can be treated with a short leg weightbearing cast until the fracture heals at 8 to 10 weeks • When fractures are displaced, closed manipulation may be considered
  • 117.
    Medial sustentacular fracturesof the calcaneus(A), Broden (B), and axial (C) views
  • 118.
    PRIMARY SUBTALAR ORTRIPLE ARTHRODESIS comminuted that anatomic reduction is not possible posttraumatic arthritis reduction overall long-term recovery is shortened  a second operation avoided. Initial ORIF of patients with displaced intra- articular calcaneal # minimized the likelihood that subtalar fusion would be required
  • 119.
    Cont’d….. • A distinctpatient group at high risk of subtalar fusion  Male  Heavy labor work  Böhler angle less than 0° (10 times)  Sanders-type IVcalcaneal fractures (5.5times)  Initial treatment was nonoperative (6 times)
  • 120.
    Primary fusion fora type IV fracture
  • 121.
    POSTOPERATIVE MANAGEMENT • Drainagetube • Splinting with ankle neutral • Elevation • Early supervised subtalar range-of-motion exercises • Non–weight bearing for 8 to 12 weeks • Full weight bearing by 3 months
  • 122.
    COMPLICATIONS 1.Wound Necrosis secondary infection exposure of the bone and fixation hardware • Risk factors peripheral vascular disease or systemic disease such as diabetes mellitus • prevention maintaining a full-thickness flap using gentle retraction of the flap (which avoids the kinking of the flap)  avoiding prolonged operating times  tension-free closure
  • 123.
    2. Infection Cellulitis deep infectionwith osteomyelitis • Antibiotics • I&D 3. Subtalar Joint Arthritis inadequate reduction 123 calcaneal fracture
  • 124.
    4. Malreduction ofthe Fracture Deformed foot weakness in pushoff difficulty with shoeware impingement on the peroneal tendons or tip of the fibula, which can lead to chronic pain and tendinitis
  • 125.
    SUMMARY • OPERATIVE Malunion Stiffness Subtalar arthritis Peronealtendons Sural nerve pain Heel pad problems • NON-OPERATIVE  Malunion  Varus hindfoot  Shortened foot =short lever arm  Peroneal impingement/  dislocation  Shoe wear problems  Stiffness, arthritis(ST)
  • 126.
    AUTHOR'S PREFERRED METHODOF TREATMENT IN CALCANEUS(ROCKWOOD AND GREEN 8TH EDITION)
  • 127.
    • REVIEW: – Nosignificant difference between treating Sanders type IV fractures with either ORIF or ORIF + PSTA. It remains the choice of the surgeon and patient to take into account patient specific factors to determine treatment. However, ORIF + PSTA may be advantageous for both patients with Sanders type IV fractures and the health care system as patients heal quickly. Furthermore, ORIF + PSTA may prevent the need for late secondary subtalar fusion adding to increased costs and lost time from work ( 10.1097/BOT.0000000000000191, J Orthop Trauma )
  • 128.
    REFERENCES  ROCKWOOD ANDGREEN FRACTURES IN ADULT 8TH EDITION  CAMPBELL’S OPERATIVE ORTHOPEDICS 13TH EDITION  BROWNER'S MUSCULOSKELETAL TRAUMA 4TH EDITION  NETTER ATLAS OF HUMAN ANATOMY
  • 129.