Embed presentation
Downloaded 43 times



















































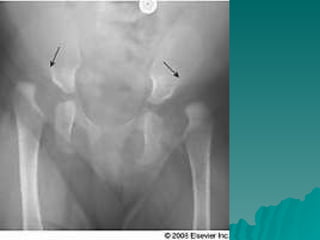
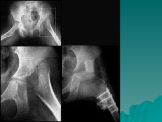
Developmental dysplasia of the hip is a condition where the hip joint is unstable or partially dislocated. It affects 1-50 out of every 1000 live births, with 60% being detected by 1 week of age and 90% by 8 weeks. The document discusses the anatomy, aetiology, pathology, clinical features, imaging, and different treatment approaches depending on if the patient is under 6 months, 6 months to 6 years, or above 6 years of age.

















































