1
1
Brain Ischemia - Vascular territories
(BỆNH LÝ THIẾU MÁU NÃO CỤC BỘ - CÁC VÙNG TƯỚI MÁU)
Robin Smithuis
Radiology department of the Rijnland Hospital in Leiderdorp,
the Netherlands
Publicationdate November 24, 2008
- Hiểu biết các khu vực tưới máu rất quan trọng:
. Nó cho phép bạn nhận dạng được nhồi máu não do
nguyên nhân động mạch hay tĩnh mạch.
Lược dịch: Brain Ischemia - Vascular territories (Radiology Assistant).
BS. NGUYỄN VIỆT QUANG
KHOA CĐHA – BV TIM MẠCH AN GIANG
2
2
@ CÁC VÙNG TƯỚI MÁU NÃO CỦA ĐỘNG MẠCH
1. ĐM não trước
2. ĐM não giữa
3. ĐM não sau
4. ĐM mạch mạc trước
5. Các nhánh đậu vân (Lentriculostriate arteries).
6. ĐM tiểu não dưới (Inferior Cerebellar Artery)
7. ĐM tiểu não trên (SCA – Superior Cerebellar Artery).
@ NHỒI MÁU NÃO VÙNG GIÁP RANH TƯỚI MÁU (watershed infarcts).
@ NHỒI MÁU NÃO LỖ KHUYẾT
@ PRES
@ CÁC VÙNG DẪN LƯU MÁU CỦA TĨNH MẠCH
1. Huyết khối tĩnh mạch não.
3
3
1. ĐM não trước (ACA – màu đỏ) tưới
máu:
- Phần trong thùy trán
- Thùy đính
- Phần trước thể chai
- Các nhân xám đáy não
- Bao trong.
Nhồi máu não thuộc vùng tưới máu của ĐM
não trước
4
4
2. ĐM não giữa (MCA – màu vàng) tưới
máu:
- Bề mặt ngoài của vỏ não (trừ phần
trong thùy trán & thùy đính – do ACA
tưới máu) và phần dưới thùy thái
dương – do PCA tưới máu).
- Các nhánh đậu vân trong.
Nhồi máu não vùng tưới máu của
ĐM não giữa.
5
5
3. ĐM não sau (PCA – màu green):
- Có nhánh nối với động mạch thông
sau tạo thành vòng Willis.
- Có các nhánh xuyên tưới máu cho:
. Đồi thị
. Não giữa (midbrain).
- Nhánh vỏ não của ĐM não sau tưới
máu:
. Phần dưới trong của thùy
thái dương
. Vỏ não thụ giác
. Phần sau thể chai.
NMN vùng tưới máu
của ĐM não sau
6
6
Hình mô tả chi tiết các động mạch tưới máu cho các nhân xám đáy não (hạch nền - basal ganglia).
Đm não trước
Đm não giữa
Đm mạch mạc trước
Đm não sau
7
7
5. Các động mạch đậu – vân:
- Các nhánh đậu vân bên (LSA – màu cam) là các động mạch xuyên sâu của ĐM
não giữa.
. Tưới máu cho hầu hết các nhân xám đáy não
- Các nhánh đậu vân trong (medial LCA – màu đỏ đậm) xuất phát từ ĐM não trước.
. Động mạch Heubner là nhánh lớn nhất của các nhánh đậu – vân trong.
. Tưới máu cho phần trước trong của đầu nhân đuôi và phần trước dưới
bao trong.
Vùng tưới máu của
nhánh đậu vân ngoài
Vùng tưới máu của
nhánh đậu vân trong
8
8
@ CÁC VÙNG TƯỚI MÁU NÃO CỦA ĐỘNG MẠCH
1. ĐM tiểu não dưới:
. Sau (PICA có màu xanh blue).
. Trước (AICA có màu hoa cà).
2. ĐM tiểu não trên (SCA có màu trắng).
Lát cắt thấp hơn Lát cắt cao hơn
ACA: đm não trước; MCA: đm não giữa; PCA: đm não sau; AChA: đm mạch mạc trước;
SCA: đm tiểu não trên; PICA: đm tiểu não sau dưới; AICA: đm tiểu não trước dưới.
9
9
Đm đốt sốt tưới máu
cho hành tuỷ
Đm thân nền tưới máu
cho cầu não
Đm mạch mạc
trước tưới máu cho
1 phần hồi hải mã
và chi sau bao
trong.
ACA: đm não trước; MCA: đm não giữa; PCA: đm não sau; AChA: đm mạch mạc trước;
SCA: đm tiểu não trên; PICA: đm tiểu não sau dưới; AICA: đm tiểu não trước dưới.
10
10
- Nhồi máu não tiểu não (T)
thuộc vùng tưới máu của PICA
Nhồi máu tiểu não (P)
thuộc vùng tưới máu
của PICA
11
11
- Hình MRI nhồi máu tiểu não (T) do tắc PICA:
. Thường có bờ sắc nét, ranh giới rõ ràng, không xuyên qua đường giữa.
. (Chú ý: hình ảnh trên thường gặp trong giai đoạn muộn).
. Trong giai đoạn sớm có phù nề nhiều, có thể thấy tổn thương xuyên qua
đường giữa. Gây khó khăn trong chẩn đoán.
12
12
- Nhồi máu tiểu não (P) thuộc vùng tưới máu của SCA
13
13
- Hình MRI Nhồi máu não hồi hải mã (P) thuộc vùng tưới máu của ĐM mạch mạc
trước.
14
14
** Các nhánh động mạch đậu – vân:
1. Các động mạch đậu vân trong xuất phát từ ĐM não trước.
2. Các nhánh đậu vân ngoài xuất phát từ động mạch não giữa.
15
15
- Nhồi máu não xuất huyết thuộc vùng tưới máu của các nhánh đậu vân bên (xuất
phát từ ĐM não giữa).
NMN cũ
NMN
mới
16
16
- Hình CT có tiêm thuốc.
- NMN thuộc vùng tưới máu của ĐM não giữa, giai đoạn tái tưới máu (luxury
perfusion).
- Rất dễ lầm với tăng quang trong u não.
17
17
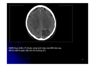
- NMN thuỳ chẩm (T) thuộc vùng tưới máu của ĐM não sau.
- BN bị mất thị giác cấp tính thị trường (P).
18
18
- NMN thuộc vùng tưới máu của ĐM não sau.
- Mất ranh giới chất trắng & chất xám vùng chẩm (T).
- NMN liên quan đến ĐM não sau và các nhánh của nó chỉ chiếm # 5%.
19
19
@ CÁC VÙNG TƯỚI MÁU NÃO CỦA ĐỘNG MẠCH
1. ĐM não trước
2. ĐM não giữa
3. ĐM não sau
4. ĐM mạch mạc trước
5. Các nhánh đậu vân (Lentriculostriate arteries).
6. ĐM tiểu não sau dưới (Posterior Inferior Cerebellar Artery)
7. ĐM tiểu não trên (SCA – Superior Cerebellar Artery).
@ NHỒI MÁU NÃO VÙNG GIÁP RANH TƯỚI MÁU (watershed infarcts).
@ NHỒI MÁU NÃO LỖ KHUYẾT
@ PRES
@ CÁC VÙNG DẪN LƯU MÁU CỦA TĨNH MẠCH
1. Huyết khối tĩnh mạch não.
20
20
@@ NHỒI MÁU NÃO VÙNG RANH GIỚI (Border zone or Watershed Infarcts):
- Là NMN ở vị trí giáp ranh 2 vùng tưới máu của các động mạch lớn.
1. Vùng giáp ranh ở vỏ não:
- ACA / MCA hay MCA / PCA
- Vị trí cạnh sừng trán & cạnh sừng chẩm não thất bên.
2. Vùng giáp ranh chất trắng sâu:
- LSA / MCA hay ACA / MCA
- Vị trí: Trung tâm bán bầu dục & chất trắng cạnh não thất (periventricular white
matter / corona radiata – vành tia).
Giữa LSA and MCA
21
21
- NMN vùng ranh giới tưới máu của ACA / MCA (P).
- Trên hình cho thấy tắc động mạch cảnh trong (P).
** Khuyến cáo: khi thấy NMN diện rộng hay NMN vùng giáp ranh
là có tổn thương mạch máu lớn  Nên tìm dấu hiệu tắc hẹp động
mạch cảnh.
22
22
- Hình MRI xung khuếch tán & FLAIR
- NMN vùng giáp ranh sâu (đầu mũi tên xanh) và nông (mũi tên vàng).
- Có tắc động mạch cảnh trong cùng bên. (mũi tên đỏ).
** Khuyến cáo: khi thấy NMN diện rộng hay NMN vùng giáp ranh
là có tổn thương mạch máu lớn  Nên tìm dấu hiệu tắc hẹp động
mạch cảnh.
23
23
- Hình MRI xung FLAIR
- NMN vị trí giáp ranh tưới máu của ACA & MCA và LSA & MCA.
- Có tắc động mạch cảnh trong cùng bên.
** Khuyến cáo: khi thấy NMN diện rộng hay NMN vùng giáp ranh
là có tổn thương mạch máu lớn  Nên tìm dấu hiệu tắc hẹp động
mạch cảnh.
24
24
@ CÁC VÙNG TƯỚI MÁU NÃO CỦA ĐỘNG MẠCH
1. ĐM não trước
2. ĐM não giữa
3. ĐM não sau
4. ĐM mạch mạc trước
5. Các nhánh đậu vân (Lentriculostriate arteries).
6. ĐM tiểu não sau dưới (Posterior Inferior Cerebellar Artery)
7. ĐM tiểu não trên (SCA – Superior Cerebellar Artery).
@ NHỒI MÁU NÃO VÙNG GIÁP RANH TƯỚI MÁU (watershed infarcts).
@ NHỒI MÁU NÃO LỖ KHUYẾT
@ PRES
@ CÁC VÙNG DẪN LƯU MÁU CỦA TĨNH MẠCH
1. Huyết khối tĩnh mạch não.
25
25
NHỒI MÁU NÃO LỖ KHUYẾT:
- NMN lỗ khuyết là nhồi máu kích thước nhỏ nằm sâu trong nhu mô não:
. Nhân xám đáy não
. Đồi thị
. Chất trắng sâu (trung tâm bán bầu dục; cạnh não thất bên).
. Thân não.
- Thường do tắc các mạch máu nhỏ (các nhánh xuyên – penetrating arteries).
- Chiếm 25% case nhồi máu não.
Hình MRI T1 & T2
26
26
- NMN lỗ khuyết cần chẩn đoán phân biệt với khoang quanh mạch máu (perivascular
spaces / Virchow-Robin spaces).
- CT thấy vùng giảm đậm độ. (dịch đơn thuần hay nhồi máu).
- T2 thấy vùng tăng tín hiệu. (dịch đơn thuần hay nhồi máu)
- FLAIR là vùng giảm tín hiệu (dịch đơn thuần).
(phân biệt được nhờ xung FLAIR)
27
27
@ CÁC VÙNG TƯỚI MÁU NÃO CỦA ĐỘNG MẠCH
1. ĐM não trước
2. ĐM não giữa
3. ĐM não sau
4. ĐM mạch mạc trước
5. Các nhánh đậu vân (Lentriculostriate arteries).
6. ĐM tiểu não sau dưới (Posterior Inferior Cerebellar Artery)
7. ĐM tiểu não trên (SCA – Superior Cerebellar Artery).
@ NHỒI MÁU NÃO VÙNG GIÁP RANH TƯỚI MÁU (watershed infarcts).
@ NHỒI MÁU NÃO LỖ KHUYẾT
@ PRES
@ CÁC VÙNG DẪN LƯU MÁU CỦA TĨNH MẠCH
1. Huyết khối tĩnh mạch não.
28
28
@ PRES:
- PRES là chữ viết tắt của Posterior Reversible Encephalopathy Syndrome.
- Hội chứng não phần sau của não có hồi phục.
- Sinh lý bệnh là hiện tượng phù não có hồi phục do mạch máu (reversible
vasogenic edema) ở phần sau của não.
- Có nhiều nguyên nhân:
. Tăng huyết áp
. Tiền sản giật & sản giật
. Thuốc ức chế miễn dịch (như cyclosporine).
- Cơ chế chưa rõ ràng, nhưng người ta thấy:
. Có tổn thương hàng rào mạch máu não.
. Thoát dịch ra khỏi lòng mạch chứa máu & các đại phân tử.
. Phù não vùng vỏ & dưới vỏ.
- Dấu hiệu hình ảnh điển hình là tăng tín hiệu trên FLAIR:
. Vùng vỏ não chẩm – đính & phần sau của thuỳ trán.
. Chất trắng dưới vỏ.
. Thân não, nhân xám đáy não và tiểu não (ít gặp hơn).
29
29
- Hình FLAIR thấy tăng tín hiệu vùng vỏ
não đính - chẩm và các nhân xám đáy não
- Hình FLAIR 4 ngày sau các dấu hiệu
biến mất dần.
30
30
@ CÁC VÙNG TƯỚI MÁU NÃO CỦA ĐỘNG MẠCH
1. ĐM não trước
2. ĐM não giữa
3. ĐM não sau
4. ĐM mạch mạc trước
5. Các nhánh đậu vân (Lentriculostriate arteries).
6. ĐM tiểu não sau dưới (Posterior Inferior Cerebellar Artery)
7. ĐM tiểu não trên (SCA – Superior Cerebellar Artery).
@ NHỒI MÁU NÃO VÙNG GIÁP RANH TƯỚI MÁU (watershed infarcts).
@ NHỒI MÁU NÃO LỖ KHUYẾT
@ PRES
@ CÁC VÙNG DẪN LƯU MÁU CỦA TĨNH MẠCH
1. Huyết khối tĩnh mạch não.
31
31
@ CÁC VÙNG DẪN LƯU CỦA TĨNH MẠCH NÃO:
- Có sự biến thể rất lớn trong các vùng dẫn lưu tĩnh mạch.
1. Xoang tĩnh mạch dọc trên (đỏ)
2. Tĩnh mạch Labbé (xanh lá)
3. Tĩnh mạch não trong (xanh blue)
4. Tĩnh mạch vùng đính - bướm (vàng)
32
32
@ HUYẾT KHỐI TĨNH MẠCH SỌ:
- Các yếu tố thúc đẩy:
. Mất nước
. Có thai
. Nhiễm trùng
. Các bệnh lý tăng đông.
- Huyết khối tĩnh mạch sọ là chẩn đoán loại trừ vì biểu hiện lâm sàng không
đặc hiệu.
- Thường là hình ảnh nhồi máu não có xuất huyết ở những vùng không điển
hình của tưới máu động mạch.
( ** Ghi chú: chỉ cần nhớ những vùng điển hình của nhồi máu động mạch, nếu
nằm ngoài những vùng này thì coi chừng là nhồi máu tĩnh mạch…lúc đó sẽ cố
gắng đi tìm các yếu tố thúc đẩy của huyết khối tĩnh mạch sọ).
- Huyết khối tĩnh mạch sọ phân thành 2 nhóm:
1. Huyết khối các xoang tĩnh mạch màng cứng & tĩnh mạch nông vỏ
não.
2. Huyết khối các tĩnh mạch sâu.
33
33
• Hình ảnh đóng vai trò quan trọng trong chẩn đoán:
- Trên hình chụp có cản quang không thấy xoang tĩnh mạch ngang (T). Có 2 khả năng:
. Biến thể giải phẩu không có xoang tĩnh mạch ngang.
. Huyết khối xoang tĩnh mạch ngang.
- Hình T1 thấy có xoang tĩnh mạch ngang (T) và có tăng tín hiệu bên trong (mũi tên đỏ
dài). Suy ra là có huyết khối xoang tĩnh mạch ngang.
- Chú ý: theo nguyên tắc các xung T1, T2 & FLAIR các dòng chảy còn lưu thông sẽ
không có tín hiệu (còn gọi là dòng chảy trống, flow void).
- Dấu dòng chảy trống – fow void,
chứng tỏ mạch máu không bị tắc.
1. HUYẾT KHỐI XOANG TĨNH MẠCH:
34
34
- Hình CT thấy tăng đậm độ xoang ngang (mũi tên vàng) nghi ngờ có huyết khối.
- Hình xung FLAIR thấy có nhồi máu vùng thái dương (T).
- Hình xung T1 thấy tăng tín hiệu trong xoang ngang (T). (mũi tên xanh),
- Huyết khối xoang ngang (T) gây nhồi máu vùng thái dương (T).
35
35
2. HUYẾT KHỐI CÁC TĨNH MẠCH SÂU:
- Biểu hiện lâm sàng của KHTMS thường rất nặng nề, hôn mê, rối loạn vận nhãn &
đồng tử. Tiên lượng xấu.
- Nếu chỉ tắc hẹp một phần thì lâm sàng rất khó chẩn đoán, dễ bỏ sót.
(misdiagnoses / underdiagnosed).
- Gợi ý đến bệnh khi BN là phụ nữ trẻ.
- Tổn thương nhân xám đáy não 2 bên, đồi thị 2 bên…
Hình MRI cho thấy:
. Huyết khối tĩnh mạch sâu. (mt đỏ)
. Nhồi máu nhân xám 2 bên (mt xanh)
36
36
- Tăng tín hiệu các tĩnh mạch não trong, xoang thẳng và xoang ngang (P). (mũi tên
xanh).
- Trên hình chụp có cản quang không thấy xoang ngang (P). (mũi tên vàng).
Xoang thẳng
Tĩnh mạch não trong.

[stroke] định khu giải phẫu.pdf

  • 1.
    1 1 Brain Ischemia -Vascular territories (BỆNH LÝ THIẾU MÁU NÃO CỤC BỘ - CÁC VÙNG TƯỚI MÁU) Robin Smithuis Radiology department of the Rijnland Hospital in Leiderdorp, the Netherlands Publicationdate November 24, 2008 - Hiểu biết các khu vực tưới máu rất quan trọng: . Nó cho phép bạn nhận dạng được nhồi máu não do nguyên nhân động mạch hay tĩnh mạch. Lược dịch: Brain Ischemia - Vascular territories (Radiology Assistant). BS. NGUYỄN VIỆT QUANG KHOA CĐHA – BV TIM MẠCH AN GIANG
  • 2.
    2 2 @ CÁC VÙNGTƯỚI MÁU NÃO CỦA ĐỘNG MẠCH 1. ĐM não trước 2. ĐM não giữa 3. ĐM não sau 4. ĐM mạch mạc trước 5. Các nhánh đậu vân (Lentriculostriate arteries). 6. ĐM tiểu não dưới (Inferior Cerebellar Artery) 7. ĐM tiểu não trên (SCA – Superior Cerebellar Artery). @ NHỒI MÁU NÃO VÙNG GIÁP RANH TƯỚI MÁU (watershed infarcts). @ NHỒI MÁU NÃO LỖ KHUYẾT @ PRES @ CÁC VÙNG DẪN LƯU MÁU CỦA TĨNH MẠCH 1. Huyết khối tĩnh mạch não.
  • 3.
    3 3 1. ĐM nãotrước (ACA – màu đỏ) tưới máu: - Phần trong thùy trán - Thùy đính - Phần trước thể chai - Các nhân xám đáy não - Bao trong. Nhồi máu não thuộc vùng tưới máu của ĐM não trước
  • 4.
    4 4 2. ĐM nãogiữa (MCA – màu vàng) tưới máu: - Bề mặt ngoài của vỏ não (trừ phần trong thùy trán & thùy đính – do ACA tưới máu) và phần dưới thùy thái dương – do PCA tưới máu). - Các nhánh đậu vân trong. Nhồi máu não vùng tưới máu của ĐM não giữa.
  • 5.
    5 5 3. ĐM nãosau (PCA – màu green): - Có nhánh nối với động mạch thông sau tạo thành vòng Willis. - Có các nhánh xuyên tưới máu cho: . Đồi thị . Não giữa (midbrain). - Nhánh vỏ não của ĐM não sau tưới máu: . Phần dưới trong của thùy thái dương . Vỏ não thụ giác . Phần sau thể chai. NMN vùng tưới máu của ĐM não sau
  • 6.
    6 6 Hình mô tảchi tiết các động mạch tưới máu cho các nhân xám đáy não (hạch nền - basal ganglia). Đm não trước Đm não giữa Đm mạch mạc trước Đm não sau
  • 7.
    7 7 5. Các độngmạch đậu – vân: - Các nhánh đậu vân bên (LSA – màu cam) là các động mạch xuyên sâu của ĐM não giữa. . Tưới máu cho hầu hết các nhân xám đáy não - Các nhánh đậu vân trong (medial LCA – màu đỏ đậm) xuất phát từ ĐM não trước. . Động mạch Heubner là nhánh lớn nhất của các nhánh đậu – vân trong. . Tưới máu cho phần trước trong của đầu nhân đuôi và phần trước dưới bao trong. Vùng tưới máu của nhánh đậu vân ngoài Vùng tưới máu của nhánh đậu vân trong
  • 8.
    8 8 @ CÁC VÙNGTƯỚI MÁU NÃO CỦA ĐỘNG MẠCH 1. ĐM tiểu não dưới: . Sau (PICA có màu xanh blue). . Trước (AICA có màu hoa cà). 2. ĐM tiểu não trên (SCA có màu trắng). Lát cắt thấp hơn Lát cắt cao hơn ACA: đm não trước; MCA: đm não giữa; PCA: đm não sau; AChA: đm mạch mạc trước; SCA: đm tiểu não trên; PICA: đm tiểu não sau dưới; AICA: đm tiểu não trước dưới.
  • 9.
    9 9 Đm đốt sốttưới máu cho hành tuỷ Đm thân nền tưới máu cho cầu não Đm mạch mạc trước tưới máu cho 1 phần hồi hải mã và chi sau bao trong. ACA: đm não trước; MCA: đm não giữa; PCA: đm não sau; AChA: đm mạch mạc trước; SCA: đm tiểu não trên; PICA: đm tiểu não sau dưới; AICA: đm tiểu não trước dưới.
  • 10.
    10 10 - Nhồi máunão tiểu não (T) thuộc vùng tưới máu của PICA Nhồi máu tiểu não (P) thuộc vùng tưới máu của PICA
  • 11.
    11 11 - Hình MRInhồi máu tiểu não (T) do tắc PICA: . Thường có bờ sắc nét, ranh giới rõ ràng, không xuyên qua đường giữa. . (Chú ý: hình ảnh trên thường gặp trong giai đoạn muộn). . Trong giai đoạn sớm có phù nề nhiều, có thể thấy tổn thương xuyên qua đường giữa. Gây khó khăn trong chẩn đoán.
  • 12.
    12 12 - Nhồi máutiểu não (P) thuộc vùng tưới máu của SCA
  • 13.
    13 13 - Hình MRINhồi máu não hồi hải mã (P) thuộc vùng tưới máu của ĐM mạch mạc trước.
  • 14.
    14 14 ** Các nhánhđộng mạch đậu – vân: 1. Các động mạch đậu vân trong xuất phát từ ĐM não trước. 2. Các nhánh đậu vân ngoài xuất phát từ động mạch não giữa.
  • 15.
    15 15 - Nhồi máunão xuất huyết thuộc vùng tưới máu của các nhánh đậu vân bên (xuất phát từ ĐM não giữa). NMN cũ NMN mới
  • 16.
    16 16 - Hình CTcó tiêm thuốc. - NMN thuộc vùng tưới máu của ĐM não giữa, giai đoạn tái tưới máu (luxury perfusion). - Rất dễ lầm với tăng quang trong u não.
  • 17.
    17 17 - NMN thuỳchẩm (T) thuộc vùng tưới máu của ĐM não sau. - BN bị mất thị giác cấp tính thị trường (P).
  • 18.
    18 18 - NMN thuộcvùng tưới máu của ĐM não sau. - Mất ranh giới chất trắng & chất xám vùng chẩm (T). - NMN liên quan đến ĐM não sau và các nhánh của nó chỉ chiếm # 5%.
  • 19.
    19 19 @ CÁC VÙNGTƯỚI MÁU NÃO CỦA ĐỘNG MẠCH 1. ĐM não trước 2. ĐM não giữa 3. ĐM não sau 4. ĐM mạch mạc trước 5. Các nhánh đậu vân (Lentriculostriate arteries). 6. ĐM tiểu não sau dưới (Posterior Inferior Cerebellar Artery) 7. ĐM tiểu não trên (SCA – Superior Cerebellar Artery). @ NHỒI MÁU NÃO VÙNG GIÁP RANH TƯỚI MÁU (watershed infarcts). @ NHỒI MÁU NÃO LỖ KHUYẾT @ PRES @ CÁC VÙNG DẪN LƯU MÁU CỦA TĨNH MẠCH 1. Huyết khối tĩnh mạch não.
  • 20.
    20 20 @@ NHỒI MÁUNÃO VÙNG RANH GIỚI (Border zone or Watershed Infarcts): - Là NMN ở vị trí giáp ranh 2 vùng tưới máu của các động mạch lớn. 1. Vùng giáp ranh ở vỏ não: - ACA / MCA hay MCA / PCA - Vị trí cạnh sừng trán & cạnh sừng chẩm não thất bên. 2. Vùng giáp ranh chất trắng sâu: - LSA / MCA hay ACA / MCA - Vị trí: Trung tâm bán bầu dục & chất trắng cạnh não thất (periventricular white matter / corona radiata – vành tia). Giữa LSA and MCA
  • 21.
    21 21 - NMN vùngranh giới tưới máu của ACA / MCA (P). - Trên hình cho thấy tắc động mạch cảnh trong (P). ** Khuyến cáo: khi thấy NMN diện rộng hay NMN vùng giáp ranh là có tổn thương mạch máu lớn  Nên tìm dấu hiệu tắc hẹp động mạch cảnh.
  • 22.
    22 22 - Hình MRIxung khuếch tán & FLAIR - NMN vùng giáp ranh sâu (đầu mũi tên xanh) và nông (mũi tên vàng). - Có tắc động mạch cảnh trong cùng bên. (mũi tên đỏ). ** Khuyến cáo: khi thấy NMN diện rộng hay NMN vùng giáp ranh là có tổn thương mạch máu lớn  Nên tìm dấu hiệu tắc hẹp động mạch cảnh.
  • 23.
    23 23 - Hình MRIxung FLAIR - NMN vị trí giáp ranh tưới máu của ACA & MCA và LSA & MCA. - Có tắc động mạch cảnh trong cùng bên. ** Khuyến cáo: khi thấy NMN diện rộng hay NMN vùng giáp ranh là có tổn thương mạch máu lớn  Nên tìm dấu hiệu tắc hẹp động mạch cảnh.
  • 24.
    24 24 @ CÁC VÙNGTƯỚI MÁU NÃO CỦA ĐỘNG MẠCH 1. ĐM não trước 2. ĐM não giữa 3. ĐM não sau 4. ĐM mạch mạc trước 5. Các nhánh đậu vân (Lentriculostriate arteries). 6. ĐM tiểu não sau dưới (Posterior Inferior Cerebellar Artery) 7. ĐM tiểu não trên (SCA – Superior Cerebellar Artery). @ NHỒI MÁU NÃO VÙNG GIÁP RANH TƯỚI MÁU (watershed infarcts). @ NHỒI MÁU NÃO LỖ KHUYẾT @ PRES @ CÁC VÙNG DẪN LƯU MÁU CỦA TĨNH MẠCH 1. Huyết khối tĩnh mạch não.
  • 25.
    25 25 NHỒI MÁU NÃOLỖ KHUYẾT: - NMN lỗ khuyết là nhồi máu kích thước nhỏ nằm sâu trong nhu mô não: . Nhân xám đáy não . Đồi thị . Chất trắng sâu (trung tâm bán bầu dục; cạnh não thất bên). . Thân não. - Thường do tắc các mạch máu nhỏ (các nhánh xuyên – penetrating arteries). - Chiếm 25% case nhồi máu não. Hình MRI T1 & T2
  • 26.
    26 26 - NMN lỗkhuyết cần chẩn đoán phân biệt với khoang quanh mạch máu (perivascular spaces / Virchow-Robin spaces). - CT thấy vùng giảm đậm độ. (dịch đơn thuần hay nhồi máu). - T2 thấy vùng tăng tín hiệu. (dịch đơn thuần hay nhồi máu) - FLAIR là vùng giảm tín hiệu (dịch đơn thuần). (phân biệt được nhờ xung FLAIR)
  • 27.
    27 27 @ CÁC VÙNGTƯỚI MÁU NÃO CỦA ĐỘNG MẠCH 1. ĐM não trước 2. ĐM não giữa 3. ĐM não sau 4. ĐM mạch mạc trước 5. Các nhánh đậu vân (Lentriculostriate arteries). 6. ĐM tiểu não sau dưới (Posterior Inferior Cerebellar Artery) 7. ĐM tiểu não trên (SCA – Superior Cerebellar Artery). @ NHỒI MÁU NÃO VÙNG GIÁP RANH TƯỚI MÁU (watershed infarcts). @ NHỒI MÁU NÃO LỖ KHUYẾT @ PRES @ CÁC VÙNG DẪN LƯU MÁU CỦA TĨNH MẠCH 1. Huyết khối tĩnh mạch não.
  • 28.
    28 28 @ PRES: - PRESlà chữ viết tắt của Posterior Reversible Encephalopathy Syndrome. - Hội chứng não phần sau của não có hồi phục. - Sinh lý bệnh là hiện tượng phù não có hồi phục do mạch máu (reversible vasogenic edema) ở phần sau của não. - Có nhiều nguyên nhân: . Tăng huyết áp . Tiền sản giật & sản giật . Thuốc ức chế miễn dịch (như cyclosporine). - Cơ chế chưa rõ ràng, nhưng người ta thấy: . Có tổn thương hàng rào mạch máu não. . Thoát dịch ra khỏi lòng mạch chứa máu & các đại phân tử. . Phù não vùng vỏ & dưới vỏ. - Dấu hiệu hình ảnh điển hình là tăng tín hiệu trên FLAIR: . Vùng vỏ não chẩm – đính & phần sau của thuỳ trán. . Chất trắng dưới vỏ. . Thân não, nhân xám đáy não và tiểu não (ít gặp hơn).
  • 29.
    29 29 - Hình FLAIRthấy tăng tín hiệu vùng vỏ não đính - chẩm và các nhân xám đáy não - Hình FLAIR 4 ngày sau các dấu hiệu biến mất dần.
  • 30.
    30 30 @ CÁC VÙNGTƯỚI MÁU NÃO CỦA ĐỘNG MẠCH 1. ĐM não trước 2. ĐM não giữa 3. ĐM não sau 4. ĐM mạch mạc trước 5. Các nhánh đậu vân (Lentriculostriate arteries). 6. ĐM tiểu não sau dưới (Posterior Inferior Cerebellar Artery) 7. ĐM tiểu não trên (SCA – Superior Cerebellar Artery). @ NHỒI MÁU NÃO VÙNG GIÁP RANH TƯỚI MÁU (watershed infarcts). @ NHỒI MÁU NÃO LỖ KHUYẾT @ PRES @ CÁC VÙNG DẪN LƯU MÁU CỦA TĨNH MẠCH 1. Huyết khối tĩnh mạch não.
  • 31.
    31 31 @ CÁC VÙNGDẪN LƯU CỦA TĨNH MẠCH NÃO: - Có sự biến thể rất lớn trong các vùng dẫn lưu tĩnh mạch. 1. Xoang tĩnh mạch dọc trên (đỏ) 2. Tĩnh mạch Labbé (xanh lá) 3. Tĩnh mạch não trong (xanh blue) 4. Tĩnh mạch vùng đính - bướm (vàng)
  • 32.
    32 32 @ HUYẾT KHỐITĨNH MẠCH SỌ: - Các yếu tố thúc đẩy: . Mất nước . Có thai . Nhiễm trùng . Các bệnh lý tăng đông. - Huyết khối tĩnh mạch sọ là chẩn đoán loại trừ vì biểu hiện lâm sàng không đặc hiệu. - Thường là hình ảnh nhồi máu não có xuất huyết ở những vùng không điển hình của tưới máu động mạch. ( ** Ghi chú: chỉ cần nhớ những vùng điển hình của nhồi máu động mạch, nếu nằm ngoài những vùng này thì coi chừng là nhồi máu tĩnh mạch…lúc đó sẽ cố gắng đi tìm các yếu tố thúc đẩy của huyết khối tĩnh mạch sọ). - Huyết khối tĩnh mạch sọ phân thành 2 nhóm: 1. Huyết khối các xoang tĩnh mạch màng cứng & tĩnh mạch nông vỏ não. 2. Huyết khối các tĩnh mạch sâu.
  • 33.
    33 33 • Hình ảnhđóng vai trò quan trọng trong chẩn đoán: - Trên hình chụp có cản quang không thấy xoang tĩnh mạch ngang (T). Có 2 khả năng: . Biến thể giải phẩu không có xoang tĩnh mạch ngang. . Huyết khối xoang tĩnh mạch ngang. - Hình T1 thấy có xoang tĩnh mạch ngang (T) và có tăng tín hiệu bên trong (mũi tên đỏ dài). Suy ra là có huyết khối xoang tĩnh mạch ngang. - Chú ý: theo nguyên tắc các xung T1, T2 & FLAIR các dòng chảy còn lưu thông sẽ không có tín hiệu (còn gọi là dòng chảy trống, flow void). - Dấu dòng chảy trống – fow void, chứng tỏ mạch máu không bị tắc. 1. HUYẾT KHỐI XOANG TĨNH MẠCH:
  • 34.
    34 34 - Hình CTthấy tăng đậm độ xoang ngang (mũi tên vàng) nghi ngờ có huyết khối. - Hình xung FLAIR thấy có nhồi máu vùng thái dương (T). - Hình xung T1 thấy tăng tín hiệu trong xoang ngang (T). (mũi tên xanh), - Huyết khối xoang ngang (T) gây nhồi máu vùng thái dương (T).
  • 35.
    35 35 2. HUYẾT KHỐICÁC TĨNH MẠCH SÂU: - Biểu hiện lâm sàng của KHTMS thường rất nặng nề, hôn mê, rối loạn vận nhãn & đồng tử. Tiên lượng xấu. - Nếu chỉ tắc hẹp một phần thì lâm sàng rất khó chẩn đoán, dễ bỏ sót. (misdiagnoses / underdiagnosed). - Gợi ý đến bệnh khi BN là phụ nữ trẻ. - Tổn thương nhân xám đáy não 2 bên, đồi thị 2 bên… Hình MRI cho thấy: . Huyết khối tĩnh mạch sâu. (mt đỏ) . Nhồi máu nhân xám 2 bên (mt xanh)
  • 36.
    36 36 - Tăng tínhiệu các tĩnh mạch não trong, xoang thẳng và xoang ngang (P). (mũi tên xanh). - Trên hình chụp có cản quang không thấy xoang ngang (P). (mũi tên vàng). Xoang thẳng Tĩnh mạch não trong.