Stroke - A clinical talk
Naresh Mullaguri MD
Resident Physician
Department of Neurology
NIH STROKE SCALE AND t-PA
Objectives
Epidemiology
Types of Stroke
Clinical presentation
Evaluation
Management
Take home message
What is a Stroke?
1. Stroke is classified into two major types:
●Brain ischemia due to thrombosis, embolism, or systemic hypoperfusion
●Brain hemorrhage due to intracerebral hemorrhage (ICH) or subarachnoid
hemorrhage (SAH)
1. A stroke is the acute neurologic injury that occurs as a result of one of
these pathologic processes.
Epidemiology
➢ Globally, the incidence of stroke due to ischemia is 68 percent, while the incidence of
hemorrhagic stroke (intracerebral hemorrhage and subarachnoid hemorrhage
combined) is 32 percent, reflecting a higher incidence of hemorrhagic stroke in low-
and middle-income countries.
➢ In the United States, the proportion of all strokes due to ischemia, intracerebral
hemorrhage, and subarachnoid hemorrhage is 87, 10, and 3 percent, respectively.
The annual incidence of new or recurrent stroke is about 795,000, of which about
610,000 are first-ever strokes, and 185,000 are recurrent strokes.
➢ There is a higher regional incidence and prevalence of stroke and a higher stroke
mortality rate in the southeastern United States ("stroke belt") than in the rest of the
country .
➢ Age and Sex: Men have a higher incidence of stroke than women at younger but not
older ages, with the incidence reversed and higher for women by age 75 years and
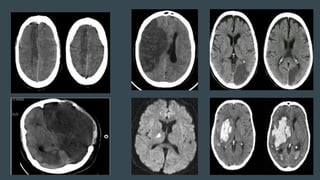
Types of Stroke
Subdural
hemorrhage
Ischemic
infarction
Intracerebral
hemorrhage
Subarachnoid
hemorrhage
Clinical
Presentation
1. Depends upon where the stroke
is instead of how much area it
involved.
2. In the ER, the patient is assessed
with a standard tool called
NIH(National Institute of
Health) stroke scale.
Nuts and Bolts of NIH Stroke scale
1. Tool used by healthcare providers to
objectively quantify impairment caused by
stroke.
1. Initially designed as a research tool and
then incorporated into Acute stroke
evaluation.
1. A trained provider administers the NIHSS
which usually takes about 10 min.
1. Scale consists of 11 items and each item
ranges from 0-5 where 0 is normal and 5
means severely affected.
1. Maximum possible score is 42.
Score Stroke severity
0 No stroke
symptoms
1-4 Minor
Stroke
5-15 Moderate
Stroke
16-20 Moderate
to severe Stroke
21-42 Severe
Performing the scale:
● Examiner should not coach the patient.
● Examiner may demonstrate the commands to patients that are unable to
comprehend verbal instructions, however the score should reflect the
patient’s own ability.
● For each item, the examiner should score the patient’s first effort and
repeated attempts should not affect the patient’s score. An exception to
this rule exist in the language assessment (item 9) in which the patient’s
best effort should be scored.
Components of NIH Stroke
scale
1. Level of Consciousness :
● It is a rough estimate of the extent of the location
of the stroke and severity.
● Consciousness is affected when Brainstem,
Thalamus and both cerebral cortices are affected. It
is a complex phenomenon to explain but
maintained by Ascending reticular activating
system, thalamo-cortical projections.
● Patient can be alert, drowsy, Stuporous or comatose
for which you score the points.
Level of
Consciousness
2. Able to answer questions
● What is the month?
● What is your age/date of birth?
3. Able to follow commands
● Close your eyes and open them
● Can you make a fist
Best
Gaze
- Extraocular muscle weakness
Cranial nerves or their nuclei in brainstem,
EOM pathology
- Frontal eye field dysfunction
Middle cerebral artery infarction/frontal lobe
hemorrhage, mass. Neurodegenerative
diseases, Seizure or postictal state
Visual
fields
● Check all the quadrants
and score for
1. Partial Hemianopia
2. Complete Hemianopia
3. Total blindness
Facial Palsy
1. 1. Minor facial palsy (Flattened
nasolabial fold, asymmetry on smiling
2. Partial paralysis (Total or near total
paralysis of lower face)
3. Complete paralysis of one or both sides
(absence of facial movement in the
upper and lower face)
Motor arm
0. No drift (45 - 90 degrees) after holding the
arm for complete 10 seconds
1. Drift but the arrm doesn’t hit the bed
2. Some effort against gravity - hits the bed but
has some antigravity strength
3. No effort against gravity - limb falls
4. No movement
UN. Amputation or Joint fusion
MOTOR LEG
0. No drift (30 degrees) after holding the arm for complete
5 seconds
1. Drift but the arrm doesn’t hit the bed
2. Some effort against gravity - hits the bed but has some
antigravity strength
3. No effort against gravity - limb falls
4. No movement
UN. Amputation or Joint fusion
Limb Ataxia
0. Absent
1. Present in one limb
2. Present in 2 limbs
UN Amputation or joint fusion
● To assess unilateral cerebellar lesion
● Eyes open
● Visual testing modifications
● The examining limb should not be disproportionately
weak
SENSORY
0. Normal
1. Mild to moderate sensory loss - pinprick feels dull
but still retains touch perception
2. Severe or total sensory loss - Patient is not aware
of being touched in the face, arm and leg
● Sensation or grimace to pinprick when tested
● Withdrawal to noxious stimuli in the obtunded or aphasic patient
● Stuporous or aphasic patients score 1 or 0. Quadriplegic patients score 2
● Brain stem stroke patients score 2 and comatose patients (1a = 3) score 2
BEST LANGUAGE
0. No aphasia
1. Mild to moderate aphasia
2. Severe aphasia
3. Global aphasia, Mute
Assessment is broken down to naming,
repetition, comprehension
DYSARTHRIA
0. Normal
1. Mild to moderate dysarthria
2. Severe Dysarthria
UN Intubated or other physical
barrier
EXTINCTION AND INATTENTION
0. No abnormality
1. Visual, tactile, auditory, spatial or personal
inattention or extiction to bilateral simultaneous
stimulation in one of the sensory modalities
2. Profound hemi-inattention or extinction to
more than one modality - doesn’t recognize one hand
or orients to one side of the space
LIMITATIONS OF NIH STROKE SCALE
1. Biased towards Left hemisphere
2. Poor predictor of Posterior circulation strokes
3. Cannot differentiate between the types of stroke
4. Can’t differentiate between acute ischemic stroke
from stroke mimics.
USES OF NIH STROKE SCALE
● Standardized and repeatable assessment of stroke patients utilized by large multi-
center trials.
● High levels of score consistency and reliability in inter-examiner and test-retest
scenarios.
● To evaluate the severity of acute stroke and to administer t-PA.
● History of scores can then be utilized to monitor the effectiveness of treatment
methods and quantify a patient’s improvement or decline.
● Prospective observational study used it to predict the outcome.
NIHSS and tPA eligibility
Scores between 5 - 24
Now trails have been going on to administer t-
PA for NIHSS <5 (minor but disabling stroke)
PRISM
Tissue Plasminogen activator
❖ Thrombolytic, commonly called “Clot buster”
❖ Administered through intravenous route
❖ Only FDA approved thrombolytic for the treatment of
acute ischemic strokes based on NINDS stroke trial in 1996.
(upto 3hrs from symptom onset)
❖ Administered upto 4.5 hrs of stroke symptom onset
(ECASS trial).
❖ 1 in 3 patients who received t-PA had complete resolution
tPA -MECHANISM OF
ACTION
tPA
Inclusion
and
Exclusion
Criteria
A lot of revisions happened to the exclusion
criteria in 2015 based on the pooled meta-
analysis
tPA best evidence for
smaller blood clots. For
ICA and M1 division
clots, revascularization
rates were about 30%
Reperfusion
Hemorrhage
sICH occurs in about 2%
of patients per ECASS III
trial but in the NINDS
trial 6% of patients had
sICH.
THANK YOU

Stroke a clinical talk

  • 1.
    Stroke - Aclinical talk Naresh Mullaguri MD Resident Physician Department of Neurology NIH STROKE SCALE AND t-PA
  • 2.
    Objectives Epidemiology Types of Stroke Clinicalpresentation Evaluation Management Take home message
  • 3.
    What is aStroke? 1. Stroke is classified into two major types: ●Brain ischemia due to thrombosis, embolism, or systemic hypoperfusion ●Brain hemorrhage due to intracerebral hemorrhage (ICH) or subarachnoid hemorrhage (SAH) 1. A stroke is the acute neurologic injury that occurs as a result of one of these pathologic processes.
  • 4.
    Epidemiology ➢ Globally, theincidence of stroke due to ischemia is 68 percent, while the incidence of hemorrhagic stroke (intracerebral hemorrhage and subarachnoid hemorrhage combined) is 32 percent, reflecting a higher incidence of hemorrhagic stroke in low- and middle-income countries. ➢ In the United States, the proportion of all strokes due to ischemia, intracerebral hemorrhage, and subarachnoid hemorrhage is 87, 10, and 3 percent, respectively. The annual incidence of new or recurrent stroke is about 795,000, of which about 610,000 are first-ever strokes, and 185,000 are recurrent strokes. ➢ There is a higher regional incidence and prevalence of stroke and a higher stroke mortality rate in the southeastern United States ("stroke belt") than in the rest of the country . ➢ Age and Sex: Men have a higher incidence of stroke than women at younger but not older ages, with the incidence reversed and higher for women by age 75 years and
  • 5.
  • 8.
    Clinical Presentation 1. Depends uponwhere the stroke is instead of how much area it involved. 2. In the ER, the patient is assessed with a standard tool called NIH(National Institute of Health) stroke scale.
  • 9.
    Nuts and Boltsof NIH Stroke scale 1. Tool used by healthcare providers to objectively quantify impairment caused by stroke. 1. Initially designed as a research tool and then incorporated into Acute stroke evaluation. 1. A trained provider administers the NIHSS which usually takes about 10 min. 1. Scale consists of 11 items and each item ranges from 0-5 where 0 is normal and 5 means severely affected. 1. Maximum possible score is 42. Score Stroke severity 0 No stroke symptoms 1-4 Minor Stroke 5-15 Moderate Stroke 16-20 Moderate to severe Stroke 21-42 Severe
  • 10.
    Performing the scale: ●Examiner should not coach the patient. ● Examiner may demonstrate the commands to patients that are unable to comprehend verbal instructions, however the score should reflect the patient’s own ability. ● For each item, the examiner should score the patient’s first effort and repeated attempts should not affect the patient’s score. An exception to this rule exist in the language assessment (item 9) in which the patient’s best effort should be scored.
  • 11.
    Components of NIHStroke scale 1. Level of Consciousness : ● It is a rough estimate of the extent of the location of the stroke and severity. ● Consciousness is affected when Brainstem, Thalamus and both cerebral cortices are affected. It is a complex phenomenon to explain but maintained by Ascending reticular activating system, thalamo-cortical projections. ● Patient can be alert, drowsy, Stuporous or comatose for which you score the points.
  • 12.
    Level of Consciousness 2. Ableto answer questions ● What is the month? ● What is your age/date of birth? 3. Able to follow commands ● Close your eyes and open them ● Can you make a fist
  • 13.
    Best Gaze - Extraocular muscleweakness Cranial nerves or their nuclei in brainstem, EOM pathology - Frontal eye field dysfunction Middle cerebral artery infarction/frontal lobe hemorrhage, mass. Neurodegenerative diseases, Seizure or postictal state
  • 14.
    Visual fields ● Check allthe quadrants and score for 1. Partial Hemianopia 2. Complete Hemianopia 3. Total blindness
  • 15.
    Facial Palsy 1. 1.Minor facial palsy (Flattened nasolabial fold, asymmetry on smiling 2. Partial paralysis (Total or near total paralysis of lower face) 3. Complete paralysis of one or both sides (absence of facial movement in the upper and lower face)
  • 16.
    Motor arm 0. Nodrift (45 - 90 degrees) after holding the arm for complete 10 seconds 1. Drift but the arrm doesn’t hit the bed 2. Some effort against gravity - hits the bed but has some antigravity strength 3. No effort against gravity - limb falls 4. No movement UN. Amputation or Joint fusion
  • 17.
    MOTOR LEG 0. Nodrift (30 degrees) after holding the arm for complete 5 seconds 1. Drift but the arrm doesn’t hit the bed 2. Some effort against gravity - hits the bed but has some antigravity strength 3. No effort against gravity - limb falls 4. No movement UN. Amputation or Joint fusion
  • 18.
    Limb Ataxia 0. Absent 1.Present in one limb 2. Present in 2 limbs UN Amputation or joint fusion ● To assess unilateral cerebellar lesion ● Eyes open ● Visual testing modifications ● The examining limb should not be disproportionately weak
  • 19.
    SENSORY 0. Normal 1. Mildto moderate sensory loss - pinprick feels dull but still retains touch perception 2. Severe or total sensory loss - Patient is not aware of being touched in the face, arm and leg ● Sensation or grimace to pinprick when tested ● Withdrawal to noxious stimuli in the obtunded or aphasic patient ● Stuporous or aphasic patients score 1 or 0. Quadriplegic patients score 2 ● Brain stem stroke patients score 2 and comatose patients (1a = 3) score 2
  • 20.
    BEST LANGUAGE 0. Noaphasia 1. Mild to moderate aphasia 2. Severe aphasia 3. Global aphasia, Mute Assessment is broken down to naming, repetition, comprehension
  • 21.
    DYSARTHRIA 0. Normal 1. Mildto moderate dysarthria 2. Severe Dysarthria UN Intubated or other physical barrier
  • 22.
    EXTINCTION AND INATTENTION 0.No abnormality 1. Visual, tactile, auditory, spatial or personal inattention or extiction to bilateral simultaneous stimulation in one of the sensory modalities 2. Profound hemi-inattention or extinction to more than one modality - doesn’t recognize one hand or orients to one side of the space
  • 23.
    LIMITATIONS OF NIHSTROKE SCALE 1. Biased towards Left hemisphere 2. Poor predictor of Posterior circulation strokes 3. Cannot differentiate between the types of stroke 4. Can’t differentiate between acute ischemic stroke from stroke mimics.
  • 24.
    USES OF NIHSTROKE SCALE ● Standardized and repeatable assessment of stroke patients utilized by large multi- center trials. ● High levels of score consistency and reliability in inter-examiner and test-retest scenarios. ● To evaluate the severity of acute stroke and to administer t-PA. ● History of scores can then be utilized to monitor the effectiveness of treatment methods and quantify a patient’s improvement or decline. ● Prospective observational study used it to predict the outcome.
  • 25.
    NIHSS and tPAeligibility Scores between 5 - 24 Now trails have been going on to administer t- PA for NIHSS <5 (minor but disabling stroke) PRISM
  • 26.
    Tissue Plasminogen activator ❖Thrombolytic, commonly called “Clot buster” ❖ Administered through intravenous route ❖ Only FDA approved thrombolytic for the treatment of acute ischemic strokes based on NINDS stroke trial in 1996. (upto 3hrs from symptom onset) ❖ Administered upto 4.5 hrs of stroke symptom onset (ECASS trial). ❖ 1 in 3 patients who received t-PA had complete resolution
  • 27.
  • 28.
  • 29.
    A lot ofrevisions happened to the exclusion criteria in 2015 based on the pooled meta- analysis tPA best evidence for smaller blood clots. For ICA and M1 division clots, revascularization rates were about 30%
  • 30.
    Reperfusion Hemorrhage sICH occurs inabout 2% of patients per ECASS III trial but in the NINDS trial 6% of patients had sICH.
  • 32.

Editor's Notes

  • #15 Confrontation and blink to threat Difference between peripheral and central loss of vision. Altitudinal vision loss is due to amaurosis fugax.