Опухоли гемопоэтической и
лимфоидной ткани
Гемобластозы
Лейкозы и лимфомы
Болезни
системы
крови
ВрождённыеРеактивныеОпухолевые
Диспротеинемические
плазмопатии
ЛимфомыЛейкозы
Лейкоз
 Лейкоз – клональное опухолевое
заболевание, развивающееся из
гемопоэтических клеток костного
мозга, протекающее с лейкемизацией
(появление лейкозных клеток в крови)
и экстрамедуллярными очагами
поражения: селезенка, печень,
костный мозг, лимфатические узлы,
кожа
Лейкоз
Острый
Миелоидный Лимфоидный
Хронический
Миелоидный Лимфоидный
Острый лейкоз
Острый лейкоз характеризуется пролиферацией незрелых
клеток или бластов. При отсутствии лечения больные
погибают в течении 6 месяцев.
Бласты
(незрелые/недиффиренцированные клетки)
Быстрая пролиферация
клеток
Быстрый летальный исход
(<6 месяцев без лечения)
Специальная система
классификации (FAB)
Острый лейкоз
Миелобластный
М0 без дифференцировки клеток
М1 без дифференцировки клеток
М2 с дифференцировкой клеток
М3 промиелоцитарный
М4 миеломоноцитарный
М5 монобластный лейкоз
М6 эритролейкоз
М7 мегакариобластный лейкоз
Лимфобластный
L1 без дифференцировки клеток
L2 с дифференцировкой клеток
L3 бёркиттоподобные лейкозы
Классификация острых миелоидных лейкозов (ОМЛ)
Франко-Американо-Британская (FAB) Классификация
(1975;1985 пересмотр).
Вариант лейкоза Частота встречаемости у взрослых
M1 Миелобластный 10-20%
M2 ОМЛ с дифференцировкой 30-40%
M3 Промиелоцитарный 10-15%
M4 Миеломоноцитарный 10-15%
M5 Монобластный 10-15%
M6 Эритроидный <5%
M7 Мегакариобластный <5%
Другие (бифенотипические,
недиференцированный М0)
<5%
Классификация
острых лимфоидных лейкозов (ОЛЛ)
Острый лимфоидных лейкоз
L-1 85%
L-2 14%
L-3 1%
Франко-Американо-Британская (FAB) Классификация
(1975;1985 пересмотр).
Хронический лейкоз
Хронический лейкоз характеризуется пролиферацией
клеток костного мозга, имеющих морфологию зрелых
клеток, с системным поражением (костный мозг, селезенка,
печень,нелимфоидные органы).
Течение менее агрессивное и растягивается на годы.
Дифференцированные
клетки
Более длительное течение
болезни
(от 2 до 6 лет без лечения)
Постепенная
пролиферация
Дублирующиеся
классификации
Хронический
лейкоз
Лимфопролиферативный
хронический лимфолейкоз
волосатоклеточный лейкоз
моноцитоидный В-клеточный лейкоз
больших гранулярных лимфоцитов
лейкоз
пролимфоцитарный лейкоз
Миелопролиферативный
хронический миелолейкоз
сублейкемический миелоз (миелофиброз,
остеомиелосклероз)
эритремия (истинная полицетемия)
хронический миеломоноцитарный лейкоз
хронический моноцитарный лейкоз
хронический мегакариоцитарный лейкоз
(идиопатическая тромбоцитемия)
Принципы диагностики
гемобластозов
Морфология
 Мазок периферической крови
 Аспират и биопсия костного мозга
Цитохимическое исследование
Генетическое исследование
(молекулярное и цитогенетическое)
Иммунологическое исследование
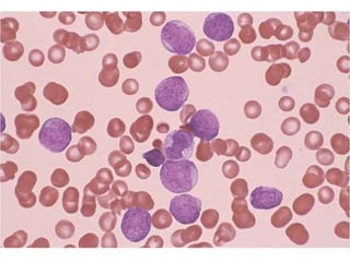
Мазок периферической крови
Большинство острых лейкозов сопровождаются появлением
бластов в периферической крови (лейкемические и
алейкемические варианты).
Хронические лейкозы сопровождаются увеличением числа
зрелых клеток определенных линий (миелоидных или
лимфоидных).
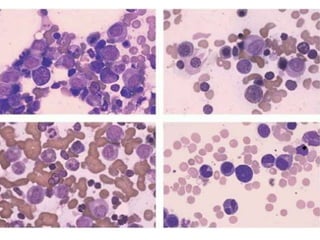
Аспират костного мозга
Метод позволяет дать подробную характеристику
опухолевых клеток и поставить диагноз при лейкозах.
Биопсия костного мозга
(трепанобиопсия)
В большинстве случаев лейкозов отмечается диффузная
инфильтрация костного мозга опухолевыми (лейкозными,
бластными) клетками. Для постановки диагноза острого
лейкоза необходимо наличие > 30% незрелых клеток
(бластов и промиелоцитов). В норме костный мозг содержит
0-5% бластов.
Строение костного мозга
Клеточность варьирует в пределах 30-70%. Жировые клетки
хорошо видны среди гемопоэтических.
Незрелые миелоидные клетки располагаются вдоль
трабекул, более зрелые – на отдалении.
Строение костного мозга
Эритроидные и мегакарицитарные ростки расположены
центрально у синусов. Эритроидные клетки образуют
кластеры. Мегакарициты - единичные.
Строение костного мозга
Лимфоциты, плазматические , тучные клетки и макрофаги
немногочисленны и распределены по всему костному .
Костные трабекулы с тонким слоем остеоида. Изредка
окружены остебластами.
Костный мозг при лейкозе
Диагноз острого лейкоза: Обнаружение > 30% бластов.
Цитохимическое исследование
Миелопероксидаза (MPO/МПО) –
фермент гранул миелоидных и
моноцитарных клеток. Никогда не
обнаруживается в лимфоидных клетках.
Неспецифическая эстераза (NSE/НЭ) –
α-нафтилацетатэстераза - фермент
обнаруживаемый в больших количествах
в клетках моноцитарного происхождения.
Цитохимическое
определение пероксидазы в лейкоцитах.
Цитохимическое исследование
PAS – окраска реактивом Шиффа (ШИК-
реакция) выявляет гликоген и
мукополисахариды. Позитивна в
цитоплазме лимфобластов и
эритробластов.
Кислая фосфатаза (AP) - T-лимфоциты
и лимфобласты имеют характерное
точечное окрашивание.
Диффузно-гранулярная PAS-реакция в бластах
Цитогенетическое исследование
 Более половины
лейкозов имеют
хромосомные
нарушения.
 Которые в свою очередь
имеют диагностическое
и прогностическое
значение.
Филадельфийская хромосома t(9;22)(q34;q11)
хронический миелолейкоз
Обозначения
структурных перестроек
делеция обозначается — del
инверсия — inv
дупликация — dup
транслокация — t
кольцевая хромосома — r
инсерция — ins
Цитогенетическое исследование
Онкогены, факторы роста и рецепторы
факторов роста часто расположены в зонах
разрывов.
В случае Филадельфийской хромосомы
транслокация t(9;22)(q34;q11) приводит к
образованию нового аномального гена
bcr/c-abl, приводящего к синтезу
протеинкиназы p210 kD.
FISH
флюоресцентная in situ гибридизация
Иммунофенотипирование
Иммунофенотипирование проводится с
использованием моноклональных антител,
направленных на выявление поверхностных и
цитоплазматических белков опухолевой клетки.
Определенная комбинация антител позволяет:
 определить тип клеток
 степень их дифференцировки
обнаружить аномальные клетки
Большинство антител были собраны в Кластеры
Дифференцировки (CD).
Иммунофенотипирование
Использование данных
иммунофенотипирования на сегодняшний
день является необходимым для выбора:
селективной терапии
определения прогноза
раннего выявления рецидива.
Миелобластный
М0 без дифференцировки клеток
М1 без дифференцировки клеток
М2 с дифференцировкой клеток
М3 промиелоцитарный
М4 миеломоноцитарный
М5 монобластный лейкоз
М6 эритролейкоз
М7 мегакариобластный лейкоз
Лимфобластный
L1 без дифференцировки клеток
L2 с дифференцировкой клеток
L3 бёркиттоподобные лейкозы
Морфология бластных клеток
Миелобласт Лимфобласт
Ядро мелкодисперсный хроматин глыбчатый хроматин
Цитоплазма
менее базофильная, содержит
первичные азурофильные
гранулы и тельца Ауэра
более базофильная, не
содержит гранул и телец
Миелобластный лейкоз
с минимальными признаками дифференцировки (M0)
 M0 диагностируется на основании
иммуноморфологического обнаружения
миелоидных антигенов. Морфологические
характеристики и цитохимические характеристики
не являются диагностическими.
 Иммунофенотип: Позитивная реакция с
миелоидными атигенами - CD13, CD33 и CD11b.
CD34 и HLA-DR также позитивны.
Острый
миелобластный лейкоз (M1)
 Минимальные признаки созревания ( > 90% бласты I и II
типов). Большинство бластов не содержит гранул и телец
Ауэра.
 Цитохимия: Относительно небольшое количество бластов
(5-10%) MPO-позитивны (минимум 3% позитивных
бластов необходимо для диагноза). Результаты реакций с
NSE и PAS негативные.
 Иммунофеноти: Позитивные реакции с антителами к
CD13, CD14, CD11b, CD33, и HLA-DR.
 Хромосомные нарушения: t(9;22) – Филадельфийская
хромосома, 8+, -5, и -7.
Острый
миелобластный лейкоз с созреванием (M2)
 M2 – наиболее частый вариант (20-40%).
 Признаки созревания – преимущественно бласты II типа.
Часто обнаруживаются тельца Ауэра.
 Цитохимия: Бласты в основном MPO-позитивны.
Результаты реакций с NSE и PAS негативные.
 Иммунофеноти: Позитивные реакции с антителами к
CD13, CD33, и HLA-DR, но негативные с CD14 и CD11b.
 Хромосомные нарушения: t(9;22) – Филадельфийская
хромосома, 8+, -5, и -7.
Острый
промиелоцитарный лейкоз (M3)
 Признаки созревания – большинство пролиферирующих
клеток – промиелоциты с большим количеством
первичных гранул и телец Ауэра.
 Цитохимия: Опухолевые клетки MPO-позитивны и в
основном NSE-негативны (позитивная реакция составляет
не более 25%).
 Иммунофеноти: Позитивные реакции с антителами к
CD13 и CD33, но негативные с HLA-DR.
 Хромосомные нарушения: t(15;17) является уникальной
для промиелоцитарного лейкоза.
Острый
миеломоноцитарный лейкоз (M4)
 Признаки созревания – дифференцировка клеток
миелоидного и моноцитарного ряда. Моноциты и
промоноциты составляют > 20%, но < 80% клеток.
 Цитохимия: Более чем 20% опухолевых клеток должны
быть MPO-позитивны и более чем 20% NSE-позитивны.
 Хромосомные нарушения: t(4;11), t(9;11), 8+ и -7.
 Вариант: M4 вариант с повышением эозинофилов (> 5%),
связан с изменением в 16 хромосоме.
Острый
монобластный лейкоз (M5)
 Признаки созревания – моноцитарная дифференцировка
двух подтипов:
 M5a низкодифференцированный вариант
 M5b высокодифференцированный вариант
 Цитохимия: М5а обычно MPO-негативны и NSE-
позитивны. Вариант М5b сохраняет признаки МРО-
активности.
 Хромосомные нарушения: t(9;11), 8+, -5 и -7. Патология
11q связана с М5а.
 Морфология клеток: Имеются складки ядерной
мембраны и относительно крупные ядрышки типичны для
монобластов.
Острый
эритробластный лейкоз (M6)
 Признаки созревания – эритроидная дифференцировка
более половины клеток костного мозга.
 Цитохимия: Бласты MPO-негативны и NSE- и PAS-
позитивны.
 Иммунофенотип: позитивная реакция с гликофорином А.
 Морфология клеток: Опухолевые клетки часто имеют
причудливые характеристики ядра (многоядерные,
гигантские) и цитоплазмы (вакуолизация, отростки).
Острый
мегакариоцитарный лейкоз (M7)
 M7 бласты часто напоминают лимфобласты, но могут
обнаруживаться атипичные мегакариоциты. В костном
мозге отмечается фиброз.
 Цитохимия: Бласты MPO-негативны и NSE- и PAS-
позитивны.
 Диагностика: Ультрацитохимическое обнаружение
тромбоцитарной пероксидазы.
 Иммунофенотип: Позитивная реакция с гликопротеинами
GP Ib и GP IIb/IIIa, а также с антителом к Factor VIII,
обнаруживаемом в цитоплазме.
 Хромосомные нарушения: t(1;22) обнаруживается у детей
первого года жизни.
Острый
лимфобластный лейкоз - L1
 Морфология: L1 бласты мелкие и гомогенные. Ядра
округлые с небольшими расщеплениями и нечеткими
ядрышками. Скудная цитоплазма без вакуолей.
 Цитохимия: MPO всегда негативна.
 Созревание: Большинство клеток относятся к pro-B
или pre-B стадиям дифференцировки.
Острый
лимфобластный лейкоз - L2
 Морфология: L2 бласты крупные и гетерогенные. Ядра
имеют неровные очертания, часто с расщеплениями.
Обнаруживается одно или более ядрышек. Объем
цитоплазмы может варьировать и содержать вакуоли.
 Цитохимия: L2 бласты характеризуются гранулярной PAS-
позитивностью. NSE обычно негативна. MPO всгда
негативна.
 Созревание: L2 относятся к pro-B или pre-B стадиям
дифференцировки, но возможны также случаи Т-
клеточных ОЛЛ.
Острый
лимфобластный лейкоз – L3
 Морфология: L3 бласты средних-крупных размеров, с
округлыми ядрами и выраженными ядрышками.
Умеренное количество цитоплазмы содержит хорошо
выраженные вакуоли.
 Цитохимия: MPO всегда негативна. NSE негативна, но
возможна очаговая позитивная реакция цитоплазмы.
Вакуоли PAS негативны, но позитивны при окраске на
нейтральные липиды.
 Созревание: Все случаи L3 позитивны в реакции с
поверхностными иммуноглобулинами (SIg) и относятся к
B-клеточной линии дифференцировки.
Лимфопролиферативный
хронический лимфолейкоз
волосатоклеточный лейкоз
моноцитоидный
В-клеточный лейкоз
больших гранулярных
лимфоцитов лейкоз
пролимфоцитарный лейкоз
Миелопролиферативный
хронический миелолейкоз
сублейкемический миелоз
(миелофиброз, остеомиелосклероз)
эритремия (истинная полицетемия)
хронический миеломоноцитарный
лейкоз
хронический моноцитарный лейкоз
хронический мегакариоцитарный
лейкоз (идиопатическая
тромбоцитемия)
Хронический миелолейкоз (ХМЛ)
 Определение: Хронический миелолейкоз составляет
15% всех лейкозов и характеризуется накоплением в
костном мозге и периферической крови зрелых
гранулоцитов и их предшественников.
 Клиническое течение:
ХМЛ проходит 3 фазы:
- Начальную стабильную 2-4 года
- Стадию акселерации 6-12 месяцев
- Финальная острая стадия – бластный криз 3-4 месяца,
соответствует острому лейкозу.
 Молекулярная генетика: ХМЛ связана с
Филадельфийской хромосомой (Ph') или
t(9;22)(q34;q11).
Хронический миелолейкоз (ХМЛ)
 Клинико-эпидемиологические особенности:
Средний возраст составляет 45 лет. Частота
встречаемости 1:100000, соотношение по полу 1:1
 Причины смерти:
• бластный криз
• нарушение костно-мозгового кроветворения
• фиброз костного мозга.
Хронический миелолейкоз (ХМЛ)
 Клинический анализ крови: В стабильную стадию
ХМЛ отмечается лейкоцитоз от 20 x 109/л до >100
x109/л. Преобладают сегменто-ядерные лейкоциты,
миелоциты и метамиелоциты. Характерны также
эозинофилия и базофилия. Бласты составляют менее
чем 2%. Анемия умеренная. Количество тромбоцитов
может быть нормальным или повышенным.
 Активность LAP (лейкоцитарной щелочной
фосфататзы) может быть крайне низкой или вообще не
выявляться.
Хронический миелолейкоз (ХМЛ)
Костный мозг:
 гиперклеточный (100%)
 значительное повышением соотношения
миелоидного и эритроидного ростков
 сдвигом миелоидной формы в сторону
незрелых форм
 повышение количества эозинофилов
 мегакариоциты нормальные или увеличение
количества с уменьшением размера
Хронический миелолейкоз (ХМЛ)
 Прогрессирование (акселлерация) заболевания:
 эозинофилия и базофилия
 увеличение числа незрелых форм и бластов. В
финальную стадию количество бластов > 30% как в
костном мозге, так и в периферической крови
 бласты обычно миелоидные (>60%), но могут быть и
лимфоидные (30%),
Хронический миелолейкоз
Симптомы Проявления
% %
Слабость 80 Спленомегалия 95
Потеря веса 60 Гепатомегалия 50
Повышение
внутрибрюшного давления
40 Изменения грудины 80
Повышенная
кровоточивость
35 Пурпура 25
Боли в животе ( в результате
инфарктов селезенки)
30 Кровоизлияния в сетчатку 20
Лихорадка 10 Лихорадка 10
Хронический
лимфоцитарный лейкоз (ХЛЛ)
Определение: Хронический лимфолейкоз
характеризуется пролиферацией лимфоцитов,
имеющих морфологию зрелых форм, но
функционально неполноценных.
Эта пролиферация имеет место в костном мозге,
периферической крови и внутренних органах
 Характерный признак ХЛЛ абсолютный
лимфоцитоз периферической крови >5.0 x109/л,
обычно >15.0 x109/л и даже > 100.0 x109/л.
Хронический
лимфоцитарный лейкоз (ХЛЛ)
Клинические проявления:
 Лимфоаденопатия и спленомегалия характерные
признаки ХЛЛ.
 В позднюю стадию заболевания наблюдается
гипогаммаглобулинемия с повышенной
восприимчивостью к инфекциям. У 10% больных
может отмечаться IgM моноклональная
гаммапатия.
 Анемия и тробоцитопения могут
свидетельствовать о тотальном замещении
костного мозга или аутоиммунном повреждении.
Хронический
лимфоцитарный лейкоз (ХЛЛ)
Морфология:
Лимфоциты при ХЛЛ обычно меньше нормальных и
отличаются повышенной склонностью к
повреждениям, в результате чего появляются
характерные клетки-кляксы, возникающие при
изготовлении мазков.
Хронический лимфоцитарный
лейкоз (ХЛЛ)
Иммунофенотип: Лимфоциты при ХЛЛ почти
всегда В-клеточные (98%) и только в 2% - Т-
клеточные.
Отмечается слабая экспрессия иммуноглобулинов
IgM или IgM + IgD. А также В-клеточных
антигенов CD19, CD20 и CD21, а также Т-
клеточного антигена CD5.
Двойная экспрессия CD19 и CD5, (наблюдаемая
в <1% нормальных В-клеток), также наблюдается
в лимфомах из клеток мантии и некоторых
пролимфоцитарных лейкозах.
Хронический
лимфоцитарный лейкоз (ХЛЛ)
 Хромосомные нарушения: Связанные с ХЛЛ
хромосомные аномалии включают трисомию 12 и
патологию 14q+, которая часто связана с развитием
пролимфоцитарного лейкоза.
 А так же прогностические хромосомные аномалии:
делеция и транслокация с участием 13q14, делеции
6q21 и 6q27, абберации 17p, делеция и транслокация
с участием 11q23.
Хронический
лимфоцитарный лейкоз (ХЛЛ)
Осложнения: Возможна трансформация в более
агрессивные формы заболеваний.
 Пролимфоцитарная трансформация
 Синдром Рихтера – развитие крупноклеточной
лимфомы, обычно иммунобластной.
Наблюдается у 5% больных ХЛЛ.
Лимфомы
Злокачественные лимфомы составляют
гетерогенную группу опухолей,
имеющих лимфоидное происхождение
и возникающих в органах иммунной
системы (лимфатические узлы,
селезенка, вальдейерово кольцо,
пейеровы бляшки ЖКТ, костный мозг).
Лимфома
первично возникает в
лимфатических узлах, обычно
образует опухолевые массы
Лейкоз
имеет костно-мозговое
происхождение, обычно
манифестирует с бластоза в
периферической крови
Основное отличие лимфомы от лейкоза
Принципы классификации лимфом
лимфомы
ходжинские неходжинские
Классификация основана на:
типе клеток
характере роста
Классификационные признаки
лимфом
 Морфология (гистология и цитология)
 Иммунофенотип
 Генетические признаки
 Первичная локализация
 Характер диссеминации
 Другие клинические признаки
Неходжкинские лимфомы
Факторы, определяющие прогноз и терапевтические
подходы:
Клеточная линия (Т-, В-, NK-клетки)
Степень дифференцировки
Локализация поражения.
Неходжкинские лимфомы
 Характер роста
1) Фолликулярный
2) Диффузный
Неходжкинские лимфомы
Классификация Раппапорта (1956)
Классификация Люка и Коллинза (1975)
Кильская классификация (1975)
Рабочая классификация (1982) с наличием трех
прогностических категорий - низкой;
промежуточной, и высокой степени
злокачественности.
REAL (Европейско-Американский Пересмотр)
классификация (1994)
Классификация ВОЗ (2002)
Неходжкинские лимфомы
 Большинство лимфом В-клеточные (75-85%), и
только около 20% T-клеточные.
 Иммунофенотипирование позволяет выявить В-
клеточные маркеры (Ig; CD19; CD20), Т-клеточные
(CD2; CD3; CD7) и миело-моноцитарные
(CD13;CD14; CD33).
Неходжкинские лимфомы
Молекулярно-генетические методы диагностики:
Определение клональности путем анализа Ig или
TCR
Реаранжировка онкогенов, например c-myc при
мелкоклеточной лимфоме или bcl-2 при
фолликулярной лимфоме.
ПЦР для выявления минимального количества
аномальной ДНК, позволяющей диагностировать
рецидив или минимальную остаточную
(резидуальную) болезнь.
Неходжкинские лимфомы
Молекулярно-генетические методы диагностики:
Хромосомные транслокации являющиеся
диагностическими. Так фолликулярная лимфома в
>80% случаев связана с t(14;18). А t(11;14)
(q13;q32) для лимфомы из клеток мантии.
Лимфома Ходжкина
 Лимфома, для которой злокачественными и
диагностическими являются клетки Рид-Штернберга
(Березовского-Штернберга), а также клетки Ходжкина.
Лимфома Ходжкина
 Впервые была описана Thomas Hodgkin в 1832 году.
Характеристика клеток Рид-Штернберга была
представлена в работах Carl Sternberg (1898) и
Dorothy Reed (1902).
Лимфома Ходжкина (классификация ВОЗ 2008)
Классическая
лимфома
Ходжкина с
нодулярным
истощением
Классическая
лимфома
Ходжкина
С лимфоидным
преобладанием
Нодулярный
склероз
Смешанно-
клеточный
Нодулярный
вариант с
лимфоидным
преобладанием
Лимфома Ходжкина
 Основные проявления:
 увеличение лимфатических узлов. Чаще одностороннее
(слева) шейных, надключичных, медиастинальных,
подмышечных, парааортальных и паховых.
 Системные проявления, которые включают лихорадку,
слабость, ночное потоотделение, потерю веса и кожный
зуд.
 При прогрессировании в процесс вовлекаются селезенка,
печень, костный мозг и другие органы.
 Возможны первичные экстранодальные поражения – ЖКТ,
ЦНС, кожа, селезенка.
Лимфома Ходжкина
Стадирование лимфом
Диспротеинемические плазмопатии
Иммуносекреторные нарушения или
плазмоклеточные дискразии характеризуются
пролиферацией плазматических клеток и/или
плазмоцитоидных лимфоцитов, связанных с
моноклональной продукцией
иммуноглобулинов или моноклональной
гаммопатией.
Диспротеинемические плазмопатии
 Диагноз основывается на результатах
электрофореза плазмы - обнаружения
аномальных зубцов («пиков»), соответствующих
моноклональному белку и плазматических клеток
в костном мозге >15%.
Диспротеинемические плазмопатии
 Моноклональные (M) «пики" обычно
обнаруживаются в β или γ регионах.
 Клональная экспансия плазматических клеток
приводит к секреции Ig с одним типом легких
цепей – κ или λ.
Миеломная болезнь 14 %
Первичный амилоидоз 9 %
Макроглобулинемия
Вальденстрема
7 %
Хронический лимфолейкоз 2 %
Плазмоцитома 1 %
Моноклональная гаммопатия
неустановленной причины
67 %
Классификация заболеваний, связанных с
диспротеинемическими плазмопатиями
Миеломная болезнь
 Миеломная болезнь характеризуется пролиферацией
плазматических клеток в основном в костном мозге,
приводящая к литическим поражениям костей.
 Гиперсекреция патологического белка Ig.
 Миеломная болезнь носит генерализованный характер,
приводит к разрушению костей, костного мозга, почечной
недостаточности, вне костными очагами поражения,
неврологическим осложнениям и в <10% к повышенной
вязкости крови и амилоидозу.

Гемобластозы

  • 1.
    Опухоли гемопоэтической и лимфоиднойткани Гемобластозы Лейкозы и лимфомы
  • 2.
  • 4.
    Лейкоз  Лейкоз –клональное опухолевое заболевание, развивающееся из гемопоэтических клеток костного мозга, протекающее с лейкемизацией (появление лейкозных клеток в крови) и экстрамедуллярными очагами поражения: селезенка, печень, костный мозг, лимфатические узлы, кожа
  • 5.
  • 6.
    Острый лейкоз Острый лейкозхарактеризуется пролиферацией незрелых клеток или бластов. При отсутствии лечения больные погибают в течении 6 месяцев.
  • 7.
    Бласты (незрелые/недиффиренцированные клетки) Быстрая пролиферация клеток Быстрыйлетальный исход (<6 месяцев без лечения) Специальная система классификации (FAB) Острый лейкоз Миелобластный М0 без дифференцировки клеток М1 без дифференцировки клеток М2 с дифференцировкой клеток М3 промиелоцитарный М4 миеломоноцитарный М5 монобластный лейкоз М6 эритролейкоз М7 мегакариобластный лейкоз Лимфобластный L1 без дифференцировки клеток L2 с дифференцировкой клеток L3 бёркиттоподобные лейкозы
  • 8.
    Классификация острых миелоидныхлейкозов (ОМЛ) Франко-Американо-Британская (FAB) Классификация (1975;1985 пересмотр). Вариант лейкоза Частота встречаемости у взрослых M1 Миелобластный 10-20% M2 ОМЛ с дифференцировкой 30-40% M3 Промиелоцитарный 10-15% M4 Миеломоноцитарный 10-15% M5 Монобластный 10-15% M6 Эритроидный <5% M7 Мегакариобластный <5% Другие (бифенотипические, недиференцированный М0) <5%
  • 9.
    Классификация острых лимфоидных лейкозов(ОЛЛ) Острый лимфоидных лейкоз L-1 85% L-2 14% L-3 1% Франко-Американо-Британская (FAB) Классификация (1975;1985 пересмотр).
  • 10.
    Хронический лейкоз Хронический лейкозхарактеризуется пролиферацией клеток костного мозга, имеющих морфологию зрелых клеток, с системным поражением (костный мозг, селезенка, печень,нелимфоидные органы). Течение менее агрессивное и растягивается на годы.
  • 11.
    Дифференцированные клетки Более длительное течение болезни (от2 до 6 лет без лечения) Постепенная пролиферация Дублирующиеся классификации Хронический лейкоз Лимфопролиферативный хронический лимфолейкоз волосатоклеточный лейкоз моноцитоидный В-клеточный лейкоз больших гранулярных лимфоцитов лейкоз пролимфоцитарный лейкоз Миелопролиферативный хронический миелолейкоз сублейкемический миелоз (миелофиброз, остеомиелосклероз) эритремия (истинная полицетемия) хронический миеломоноцитарный лейкоз хронический моноцитарный лейкоз хронический мегакариоцитарный лейкоз (идиопатическая тромбоцитемия)
  • 12.
    Принципы диагностики гемобластозов Морфология  Мазокпериферической крови  Аспират и биопсия костного мозга Цитохимическое исследование Генетическое исследование (молекулярное и цитогенетическое) Иммунологическое исследование
  • 14.
    Мазок периферической крови Большинствоострых лейкозов сопровождаются появлением бластов в периферической крови (лейкемические и алейкемические варианты). Хронические лейкозы сопровождаются увеличением числа зрелых клеток определенных линий (миелоидных или лимфоидных).
  • 22.
    Аспират костного мозга Методпозволяет дать подробную характеристику опухолевых клеток и поставить диагноз при лейкозах.
  • 24.
    Биопсия костного мозга (трепанобиопсия) Вбольшинстве случаев лейкозов отмечается диффузная инфильтрация костного мозга опухолевыми (лейкозными, бластными) клетками. Для постановки диагноза острого лейкоза необходимо наличие > 30% незрелых клеток (бластов и промиелоцитов). В норме костный мозг содержит 0-5% бластов.
  • 25.
    Строение костного мозга Клеточностьварьирует в пределах 30-70%. Жировые клетки хорошо видны среди гемопоэтических. Незрелые миелоидные клетки располагаются вдоль трабекул, более зрелые – на отдалении.
  • 26.
    Строение костного мозга Эритроидныеи мегакарицитарные ростки расположены центрально у синусов. Эритроидные клетки образуют кластеры. Мегакарициты - единичные.
  • 27.
    Строение костного мозга Лимфоциты,плазматические , тучные клетки и макрофаги немногочисленны и распределены по всему костному . Костные трабекулы с тонким слоем остеоида. Изредка окружены остебластами.
  • 29.
    Костный мозг прилейкозе Диагноз острого лейкоза: Обнаружение > 30% бластов.
  • 31.
    Цитохимическое исследование Миелопероксидаза (MPO/МПО)– фермент гранул миелоидных и моноцитарных клеток. Никогда не обнаруживается в лимфоидных клетках. Неспецифическая эстераза (NSE/НЭ) – α-нафтилацетатэстераза - фермент обнаруживаемый в больших количествах в клетках моноцитарного происхождения.
  • 32.
  • 33.
    Цитохимическое исследование PAS –окраска реактивом Шиффа (ШИК- реакция) выявляет гликоген и мукополисахариды. Позитивна в цитоплазме лимфобластов и эритробластов. Кислая фосфатаза (AP) - T-лимфоциты и лимфобласты имеют характерное точечное окрашивание.
  • 34.
  • 35.
    Цитогенетическое исследование  Болееполовины лейкозов имеют хромосомные нарушения.  Которые в свою очередь имеют диагностическое и прогностическое значение.
  • 36.
  • 37.
    Обозначения структурных перестроек делеция обозначается— del инверсия — inv дупликация — dup транслокация — t кольцевая хромосома — r инсерция — ins
  • 38.
    Цитогенетическое исследование Онкогены, факторыроста и рецепторы факторов роста часто расположены в зонах разрывов. В случае Филадельфийской хромосомы транслокация t(9;22)(q34;q11) приводит к образованию нового аномального гена bcr/c-abl, приводящего к синтезу протеинкиназы p210 kD.
  • 39.
  • 40.
    Иммунофенотипирование Иммунофенотипирование проводится с использованиеммоноклональных антител, направленных на выявление поверхностных и цитоплазматических белков опухолевой клетки. Определенная комбинация антител позволяет:  определить тип клеток  степень их дифференцировки обнаружить аномальные клетки Большинство антител были собраны в Кластеры Дифференцировки (CD).
  • 41.
    Иммунофенотипирование Использование данных иммунофенотипирования насегодняшний день является необходимым для выбора: селективной терапии определения прогноза раннего выявления рецидива.
  • 44.
    Миелобластный М0 без дифференцировкиклеток М1 без дифференцировки клеток М2 с дифференцировкой клеток М3 промиелоцитарный М4 миеломоноцитарный М5 монобластный лейкоз М6 эритролейкоз М7 мегакариобластный лейкоз Лимфобластный L1 без дифференцировки клеток L2 с дифференцировкой клеток L3 бёркиттоподобные лейкозы
  • 45.
    Морфология бластных клеток МиелобластЛимфобласт Ядро мелкодисперсный хроматин глыбчатый хроматин Цитоплазма менее базофильная, содержит первичные азурофильные гранулы и тельца Ауэра более базофильная, не содержит гранул и телец
  • 46.
    Миелобластный лейкоз с минимальнымипризнаками дифференцировки (M0)  M0 диагностируется на основании иммуноморфологического обнаружения миелоидных антигенов. Морфологические характеристики и цитохимические характеристики не являются диагностическими.  Иммунофенотип: Позитивная реакция с миелоидными атигенами - CD13, CD33 и CD11b. CD34 и HLA-DR также позитивны.
  • 47.
    Острый миелобластный лейкоз (M1) Минимальные признаки созревания ( > 90% бласты I и II типов). Большинство бластов не содержит гранул и телец Ауэра.  Цитохимия: Относительно небольшое количество бластов (5-10%) MPO-позитивны (минимум 3% позитивных бластов необходимо для диагноза). Результаты реакций с NSE и PAS негативные.  Иммунофеноти: Позитивные реакции с антителами к CD13, CD14, CD11b, CD33, и HLA-DR.  Хромосомные нарушения: t(9;22) – Филадельфийская хромосома, 8+, -5, и -7.
  • 48.
    Острый миелобластный лейкоз ссозреванием (M2)  M2 – наиболее частый вариант (20-40%).  Признаки созревания – преимущественно бласты II типа. Часто обнаруживаются тельца Ауэра.  Цитохимия: Бласты в основном MPO-позитивны. Результаты реакций с NSE и PAS негативные.  Иммунофеноти: Позитивные реакции с антителами к CD13, CD33, и HLA-DR, но негативные с CD14 и CD11b.  Хромосомные нарушения: t(9;22) – Филадельфийская хромосома, 8+, -5, и -7.
  • 49.
    Острый промиелоцитарный лейкоз (M3) Признаки созревания – большинство пролиферирующих клеток – промиелоциты с большим количеством первичных гранул и телец Ауэра.  Цитохимия: Опухолевые клетки MPO-позитивны и в основном NSE-негативны (позитивная реакция составляет не более 25%).  Иммунофеноти: Позитивные реакции с антителами к CD13 и CD33, но негативные с HLA-DR.  Хромосомные нарушения: t(15;17) является уникальной для промиелоцитарного лейкоза.
  • 50.
    Острый миеломоноцитарный лейкоз (M4) Признаки созревания – дифференцировка клеток миелоидного и моноцитарного ряда. Моноциты и промоноциты составляют > 20%, но < 80% клеток.  Цитохимия: Более чем 20% опухолевых клеток должны быть MPO-позитивны и более чем 20% NSE-позитивны.  Хромосомные нарушения: t(4;11), t(9;11), 8+ и -7.  Вариант: M4 вариант с повышением эозинофилов (> 5%), связан с изменением в 16 хромосоме.
  • 51.
    Острый монобластный лейкоз (M5) Признаки созревания – моноцитарная дифференцировка двух подтипов:  M5a низкодифференцированный вариант  M5b высокодифференцированный вариант  Цитохимия: М5а обычно MPO-негативны и NSE- позитивны. Вариант М5b сохраняет признаки МРО- активности.  Хромосомные нарушения: t(9;11), 8+, -5 и -7. Патология 11q связана с М5а.  Морфология клеток: Имеются складки ядерной мембраны и относительно крупные ядрышки типичны для монобластов.
  • 52.
    Острый эритробластный лейкоз (M6) Признаки созревания – эритроидная дифференцировка более половины клеток костного мозга.  Цитохимия: Бласты MPO-негативны и NSE- и PAS- позитивны.  Иммунофенотип: позитивная реакция с гликофорином А.  Морфология клеток: Опухолевые клетки часто имеют причудливые характеристики ядра (многоядерные, гигантские) и цитоплазмы (вакуолизация, отростки).
  • 53.
    Острый мегакариоцитарный лейкоз (M7) M7 бласты часто напоминают лимфобласты, но могут обнаруживаться атипичные мегакариоциты. В костном мозге отмечается фиброз.  Цитохимия: Бласты MPO-негативны и NSE- и PAS- позитивны.  Диагностика: Ультрацитохимическое обнаружение тромбоцитарной пероксидазы.  Иммунофенотип: Позитивная реакция с гликопротеинами GP Ib и GP IIb/IIIa, а также с антителом к Factor VIII, обнаруживаемом в цитоплазме.  Хромосомные нарушения: t(1;22) обнаруживается у детей первого года жизни.
  • 54.
    Острый лимфобластный лейкоз -L1  Морфология: L1 бласты мелкие и гомогенные. Ядра округлые с небольшими расщеплениями и нечеткими ядрышками. Скудная цитоплазма без вакуолей.  Цитохимия: MPO всегда негативна.  Созревание: Большинство клеток относятся к pro-B или pre-B стадиям дифференцировки.
  • 55.
    Острый лимфобластный лейкоз -L2  Морфология: L2 бласты крупные и гетерогенные. Ядра имеют неровные очертания, часто с расщеплениями. Обнаруживается одно или более ядрышек. Объем цитоплазмы может варьировать и содержать вакуоли.  Цитохимия: L2 бласты характеризуются гранулярной PAS- позитивностью. NSE обычно негативна. MPO всгда негативна.  Созревание: L2 относятся к pro-B или pre-B стадиям дифференцировки, но возможны также случаи Т- клеточных ОЛЛ.
  • 56.
    Острый лимфобластный лейкоз –L3  Морфология: L3 бласты средних-крупных размеров, с округлыми ядрами и выраженными ядрышками. Умеренное количество цитоплазмы содержит хорошо выраженные вакуоли.  Цитохимия: MPO всегда негативна. NSE негативна, но возможна очаговая позитивная реакция цитоплазмы. Вакуоли PAS негативны, но позитивны при окраске на нейтральные липиды.  Созревание: Все случаи L3 позитивны в реакции с поверхностными иммуноглобулинами (SIg) и относятся к B-клеточной линии дифференцировки.
  • 57.
    Лимфопролиферативный хронический лимфолейкоз волосатоклеточный лейкоз моноцитоидный В-клеточныйлейкоз больших гранулярных лимфоцитов лейкоз пролимфоцитарный лейкоз Миелопролиферативный хронический миелолейкоз сублейкемический миелоз (миелофиброз, остеомиелосклероз) эритремия (истинная полицетемия) хронический миеломоноцитарный лейкоз хронический моноцитарный лейкоз хронический мегакариоцитарный лейкоз (идиопатическая тромбоцитемия)
  • 58.
    Хронический миелолейкоз (ХМЛ) Определение: Хронический миелолейкоз составляет 15% всех лейкозов и характеризуется накоплением в костном мозге и периферической крови зрелых гранулоцитов и их предшественников.  Клиническое течение: ХМЛ проходит 3 фазы: - Начальную стабильную 2-4 года - Стадию акселерации 6-12 месяцев - Финальная острая стадия – бластный криз 3-4 месяца, соответствует острому лейкозу.  Молекулярная генетика: ХМЛ связана с Филадельфийской хромосомой (Ph') или t(9;22)(q34;q11).
  • 59.
    Хронический миелолейкоз (ХМЛ) Клинико-эпидемиологические особенности: Средний возраст составляет 45 лет. Частота встречаемости 1:100000, соотношение по полу 1:1  Причины смерти: • бластный криз • нарушение костно-мозгового кроветворения • фиброз костного мозга.
  • 60.
    Хронический миелолейкоз (ХМЛ) Клинический анализ крови: В стабильную стадию ХМЛ отмечается лейкоцитоз от 20 x 109/л до >100 x109/л. Преобладают сегменто-ядерные лейкоциты, миелоциты и метамиелоциты. Характерны также эозинофилия и базофилия. Бласты составляют менее чем 2%. Анемия умеренная. Количество тромбоцитов может быть нормальным или повышенным.  Активность LAP (лейкоцитарной щелочной фосфататзы) может быть крайне низкой или вообще не выявляться.
  • 61.
    Хронический миелолейкоз (ХМЛ) Костныймозг:  гиперклеточный (100%)  значительное повышением соотношения миелоидного и эритроидного ростков  сдвигом миелоидной формы в сторону незрелых форм  повышение количества эозинофилов  мегакариоциты нормальные или увеличение количества с уменьшением размера
  • 62.
    Хронический миелолейкоз (ХМЛ) Прогрессирование (акселлерация) заболевания:  эозинофилия и базофилия  увеличение числа незрелых форм и бластов. В финальную стадию количество бластов > 30% как в костном мозге, так и в периферической крови  бласты обычно миелоидные (>60%), но могут быть и лимфоидные (30%),
  • 63.
    Хронический миелолейкоз Симптомы Проявления %% Слабость 80 Спленомегалия 95 Потеря веса 60 Гепатомегалия 50 Повышение внутрибрюшного давления 40 Изменения грудины 80 Повышенная кровоточивость 35 Пурпура 25 Боли в животе ( в результате инфарктов селезенки) 30 Кровоизлияния в сетчатку 20 Лихорадка 10 Лихорадка 10
  • 64.
    Хронический лимфоцитарный лейкоз (ХЛЛ) Определение:Хронический лимфолейкоз характеризуется пролиферацией лимфоцитов, имеющих морфологию зрелых форм, но функционально неполноценных. Эта пролиферация имеет место в костном мозге, периферической крови и внутренних органах  Характерный признак ХЛЛ абсолютный лимфоцитоз периферической крови >5.0 x109/л, обычно >15.0 x109/л и даже > 100.0 x109/л.
  • 65.
    Хронический лимфоцитарный лейкоз (ХЛЛ) Клиническиепроявления:  Лимфоаденопатия и спленомегалия характерные признаки ХЛЛ.  В позднюю стадию заболевания наблюдается гипогаммаглобулинемия с повышенной восприимчивостью к инфекциям. У 10% больных может отмечаться IgM моноклональная гаммапатия.  Анемия и тробоцитопения могут свидетельствовать о тотальном замещении костного мозга или аутоиммунном повреждении.
  • 66.
    Хронический лимфоцитарный лейкоз (ХЛЛ) Морфология: Лимфоцитыпри ХЛЛ обычно меньше нормальных и отличаются повышенной склонностью к повреждениям, в результате чего появляются характерные клетки-кляксы, возникающие при изготовлении мазков.
  • 67.
    Хронический лимфоцитарный лейкоз (ХЛЛ) Иммунофенотип:Лимфоциты при ХЛЛ почти всегда В-клеточные (98%) и только в 2% - Т- клеточные. Отмечается слабая экспрессия иммуноглобулинов IgM или IgM + IgD. А также В-клеточных антигенов CD19, CD20 и CD21, а также Т- клеточного антигена CD5. Двойная экспрессия CD19 и CD5, (наблюдаемая в <1% нормальных В-клеток), также наблюдается в лимфомах из клеток мантии и некоторых пролимфоцитарных лейкозах.
  • 68.
    Хронический лимфоцитарный лейкоз (ХЛЛ) Хромосомные нарушения: Связанные с ХЛЛ хромосомные аномалии включают трисомию 12 и патологию 14q+, которая часто связана с развитием пролимфоцитарного лейкоза.  А так же прогностические хромосомные аномалии: делеция и транслокация с участием 13q14, делеции 6q21 и 6q27, абберации 17p, делеция и транслокация с участием 11q23.
  • 69.
    Хронический лимфоцитарный лейкоз (ХЛЛ) Осложнения:Возможна трансформация в более агрессивные формы заболеваний.  Пролимфоцитарная трансформация  Синдром Рихтера – развитие крупноклеточной лимфомы, обычно иммунобластной. Наблюдается у 5% больных ХЛЛ.
  • 70.
    Лимфомы Злокачественные лимфомы составляют гетерогеннуюгруппу опухолей, имеющих лимфоидное происхождение и возникающих в органах иммунной системы (лимфатические узлы, селезенка, вальдейерово кольцо, пейеровы бляшки ЖКТ, костный мозг).
  • 71.
    Лимфома первично возникает в лимфатическихузлах, обычно образует опухолевые массы Лейкоз имеет костно-мозговое происхождение, обычно манифестирует с бластоза в периферической крови Основное отличие лимфомы от лейкоза
  • 72.
    Принципы классификации лимфом лимфомы ходжинскиенеходжинские Классификация основана на: типе клеток характере роста
  • 74.
    Классификационные признаки лимфом  Морфология(гистология и цитология)  Иммунофенотип  Генетические признаки  Первичная локализация  Характер диссеминации  Другие клинические признаки
  • 75.
    Неходжкинские лимфомы Факторы, определяющиепрогноз и терапевтические подходы: Клеточная линия (Т-, В-, NK-клетки) Степень дифференцировки Локализация поражения.
  • 76.
    Неходжкинские лимфомы  Характерроста 1) Фолликулярный 2) Диффузный
  • 77.
    Неходжкинские лимфомы Классификация Раппапорта(1956) Классификация Люка и Коллинза (1975) Кильская классификация (1975) Рабочая классификация (1982) с наличием трех прогностических категорий - низкой; промежуточной, и высокой степени злокачественности. REAL (Европейско-Американский Пересмотр) классификация (1994) Классификация ВОЗ (2002)
  • 78.
    Неходжкинские лимфомы  Большинстволимфом В-клеточные (75-85%), и только около 20% T-клеточные.  Иммунофенотипирование позволяет выявить В- клеточные маркеры (Ig; CD19; CD20), Т-клеточные (CD2; CD3; CD7) и миело-моноцитарные (CD13;CD14; CD33).
  • 79.
    Неходжкинские лимфомы Молекулярно-генетические методыдиагностики: Определение клональности путем анализа Ig или TCR Реаранжировка онкогенов, например c-myc при мелкоклеточной лимфоме или bcl-2 при фолликулярной лимфоме. ПЦР для выявления минимального количества аномальной ДНК, позволяющей диагностировать рецидив или минимальную остаточную (резидуальную) болезнь.
  • 80.
    Неходжкинские лимфомы Молекулярно-генетические методыдиагностики: Хромосомные транслокации являющиеся диагностическими. Так фолликулярная лимфома в >80% случаев связана с t(14;18). А t(11;14) (q13;q32) для лимфомы из клеток мантии.
  • 81.
    Лимфома Ходжкина  Лимфома,для которой злокачественными и диагностическими являются клетки Рид-Штернберга (Березовского-Штернберга), а также клетки Ходжкина.
  • 82.
    Лимфома Ходжкина  Впервыебыла описана Thomas Hodgkin в 1832 году. Характеристика клеток Рид-Штернберга была представлена в работах Carl Sternberg (1898) и Dorothy Reed (1902).
  • 83.
    Лимфома Ходжкина (классификацияВОЗ 2008) Классическая лимфома Ходжкина с нодулярным истощением Классическая лимфома Ходжкина С лимфоидным преобладанием Нодулярный склероз Смешанно- клеточный Нодулярный вариант с лимфоидным преобладанием
  • 84.
    Лимфома Ходжкина  Основныепроявления:  увеличение лимфатических узлов. Чаще одностороннее (слева) шейных, надключичных, медиастинальных, подмышечных, парааортальных и паховых.  Системные проявления, которые включают лихорадку, слабость, ночное потоотделение, потерю веса и кожный зуд.  При прогрессировании в процесс вовлекаются селезенка, печень, костный мозг и другие органы.  Возможны первичные экстранодальные поражения – ЖКТ, ЦНС, кожа, селезенка.
  • 87.
  • 88.
  • 89.
    Диспротеинемические плазмопатии Иммуносекреторные нарушенияили плазмоклеточные дискразии характеризуются пролиферацией плазматических клеток и/или плазмоцитоидных лимфоцитов, связанных с моноклональной продукцией иммуноглобулинов или моноклональной гаммопатией.
  • 90.
    Диспротеинемические плазмопатии  Диагнозосновывается на результатах электрофореза плазмы - обнаружения аномальных зубцов («пиков»), соответствующих моноклональному белку и плазматических клеток в костном мозге >15%.
  • 91.
    Диспротеинемические плазмопатии  Моноклональные(M) «пики" обычно обнаруживаются в β или γ регионах.  Клональная экспансия плазматических клеток приводит к секреции Ig с одним типом легких цепей – κ или λ.
  • 92.
    Миеломная болезнь 14% Первичный амилоидоз 9 % Макроглобулинемия Вальденстрема 7 % Хронический лимфолейкоз 2 % Плазмоцитома 1 % Моноклональная гаммопатия неустановленной причины 67 % Классификация заболеваний, связанных с диспротеинемическими плазмопатиями
  • 93.
    Миеломная болезнь  Миеломнаяболезнь характеризуется пролиферацией плазматических клеток в основном в костном мозге, приводящая к литическим поражениям костей.  Гиперсекреция патологического белка Ig.  Миеломная болезнь носит генерализованный характер, приводит к разрушению костей, костного мозга, почечной недостаточности, вне костными очагами поражения, неврологическим осложнениям и в <10% к повышенной вязкости крови и амилоидозу.

Editor's Notes

  • #5 Лейкоз – клональное опухолевое заболевание, развивающееся из гемопоэтических клеток костного мозга. Протекающее с лейкемизацией (появление лейкозных клеток в крови) и экстрамедуллярными очагами поражения: селезенка, печень, костный могз, лимфатические узлы, кожа
  • #7 Могут и быстрее – может лучше – без лечения 100% летальность
  • #9 В названии указать (ОМЛ) и дальше в таблице только сокращение
  • #10 Название – лимфолейкоз?? – лимфоидных лейкозов
  • #11 Пролиферацией клеток костного мозга Системными поражениями – л\у селезенка печень нелимфоидные органы
  • #13 Принципы диагностики чего? – лейкозов или лимфом
  • #23 А при лимфомах – может быть норма? –для лейкозов
  • #25 В большинстве случаев чего? – лейкозов? А про лимфоиы?
  • #30 определение
  • #33 определение
  • #42 Контроль минимальной остаточной болезни
  • #44 Поменять на свою таблицу - напоминание
  • #59 ХМЛ пересмотреть последовательность эпидемиологии клиники
  • #60 Переместиь в начало ХМЛ Исправить причины смерти
  • #62 Картинка костного мозга
  • #63 Наличием мело- и лимфобластов отражает происхождение заболевания из полипотентной стволовой клетки гемопоэза.
  • #67 Клетки лейколиза
  • #69 ХЛЛ – прогностические хромосомные аномалии – 13, 17 делеция и инверсия
  • #74 Новая классификация – Т и В клеточные
  • #76 Стадия болезни по классификации ЭН-ЭРБОР В-симптомы. (похудание. Потливость лихорадка)
  • #77 Диффузно-нодулярный
  • #78 ВОЗ 2008
  • #80 С-myc – не мелкоклеточные а крупноклеточные
  • #81 Стандартная цитогенетика. Фиш . ПЦР 14.18 –фолликулярка 11.14 мантийная зона 8.14 и 8.22 – беркитто-подобная лимфома