Embed presentation
Downloaded 54 times




































































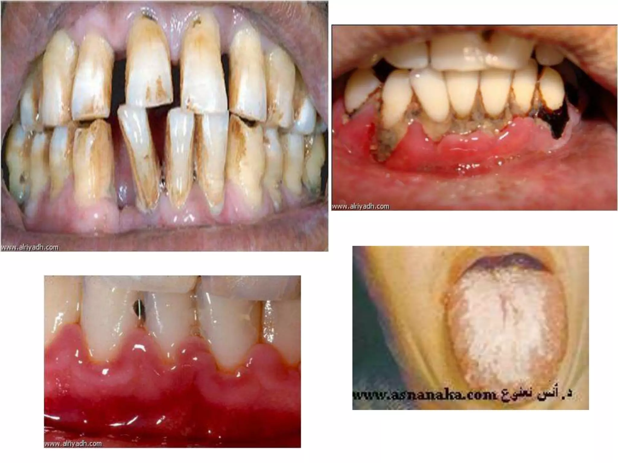
تناقش الوثيقة أهمية نظافة الفم وتأثير إهمالها في انتشار أمراض الأسنان مثل التسوس والتهاب اللثة. يركز البحث على العوامل الرئيسية التي تسهم في تسوس الأسنان، بما في ذلك البكتيريا، النظام الغذائي، والتدخين، ويقدم أيضًا معلومات حول كيفية الوقاية من هذه الأمراض. تم إعداد التقرير من قبل مجموعة من طلاب السنة الثالثة تحت إشراف الدكتورة دلال القحيز.


































































