Siªu ©m phÇn phô cña thai
Siªu ©m phÇn phô cña thai bao gåm
B¸nh rau
D©y rau (d©y rèn)
Níc èi
B¸nh rau
VÞ trÝ
TÝnh chÊt ©m vang
§é dÇy
C¸c h×nh ¶nh bÊt thêng
KÝch thíc:
§êng kÝnh b¸nh rau: 20cm
§é dµy: 35mm vµ kh«ng ®îc vît qu¸
50mm khi thai ®ñ th¸ng
DiÖn tÝch trao ®æi cña b¸nh rau:10m
vu«ng
CÊu tróc:
MÆt ®¸y: ¸p vµo thµnh tö cung
MÆt mµng: Néi s¶n m¹c, vÒ phÝa èi
Nhu m« rau: Gi÷a hai mÆt
Mói rau: 16 ®Õn 20 mói
Xoang m¹ch
CÊu tróc b¸nh rau
H×nh ¶nh cÊu tróc b¸nh rau
Mét sè h×nh ¶nh ®Æc biÖt:
- Can xi ho¸ b¸nh rau
- C¸c nang trong b¸nh rau
- C¸c hå huyÕt díi néi s¶n m¹c
- C¸c æ tËp trung sîi huyÕt
- Nhåi m¸u b¸nh rau
§é can xi ho¸ cña b¸nh rau
§é can xi ho¸ cña b¸nh rau chØ cã gi¸ trÞ nãi
vÒ ®é trëng thµnh cña rau vµ gi¸n tiÕp ®¸nh
gi¸ sù trëng thµnh cña thai
§é 0
§é 1
§é 2
§é 3
§é trëng thµnh cña b¸nh rau
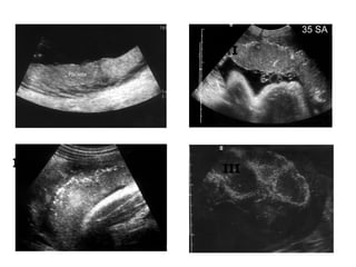
I
II III
H×nh ¶nh canxi ho¸ ®é III
Can xi ho¸ sím ë ngêi hót thuèc l¸:
canxi ho¸ r¶i r¸c
H×nh ¶nh cña khoang chøa dÞch
H×nh khoang chøa dÞch gi÷a c¸c mói rau
H×nh ¶nh khoang chøa dÞch gi÷a c¸c mói rau
H×nh ¶nh khoang chøa dÞch díi néi s¶n m¹c
Xoang tÜnh m¹ch díi néi s¶n m¹c
H×nh ¶nh nÕp gÊp cña mµng èi
H×nh ¶nh nÕp gÊp cña mµng èi
Giíi h¹n cña b¸nh rau:
- X¸c ®Þnh ®îc lç trong cña CTC
- X¸c ®Þnh ®îc mÐp díi cña b¸nh rau
Tríc 20 tuÇn phÇn lín b¸nh rau b¸m thÊp.
Sau 20 tuÇn b¸nh rau di chuyÓn dÇn lªn cao
Giíi h¹n b¸nh rau:
X¸c ®Þnh lç trong CTC vµ mÐp díi.
Giíi h¹n cña b¸nh rau:
x¸c ®Þnh lç trong CTC vµ mÐp díi
Rau b¸m thÊp
§Þnh nghÜa: Rau b¸m thÊp lµ mÐp díi
b¸nh rau c¸ch lç trong CTC díi 10cm
sau khi sæ rau
Trªn siªu ©m rau b¸m thÊp khi:
<1cm ë thai 5 th¸ng
<2cm ë thai 7 th¸ng
<3cm ë thai nh÷ng th¸ng cuèi
Rau b¸m mÐp
Ph©n lo¹i rau theoDenhez
- Nhãm 1: Bê trªn cña b¸nh rau n»m ë gi÷a
®¸y tö cung
- Nhãm 2: Bê trªn cña b¸nh rau n»m ë nöa
trªn cña tö cung
- Nhãm 3: Bê trªn cña b¸nh rau n»m ë nöa
díi cña tö cung: nhãm rau tiÒn ®¹o
Ph©n lo¹i vÞ trÝ b¸m cña b¸nh rau theo DenHez
Nhãm 1
Nhãm 2
Nhãm 3
Nhãm 1: MÐp trªn n»m gi÷a ®¸y tö cung
Nhãm 3: Rau tiÒn ®¹o trung t©m
Rau tiÒn ®¹o trung t©m hoµn toµn
Rau tiÒn ®¹o trung t©m hoµn toµn
M¸u tô sau rau
U b¸nh rau
U b¸nh rau
H×nh ¶nh khoang chøa dÞch díi néi s¶n
m¹c: Ph©n biÖt víi u b¸nh rau
Nhåi m¸u b¸nh rau
Tô m¸u trong nhu m« rau
D©y rèn
D©y rèn quÝ ®Çu
D©y rèn
D©y rèn
H×nh ¶nh cña d©y rèn
U d©y rèn
Mét ®éng m¹ch rèn
Mét ®éng m¹ch rèn
Níc èi
Sinh lý níc èi:
S¶n xuÊt vµ
tiªu thô níc èi
Sinh lý níc èi
ThÓ tÝch
níc èi
Sinh lý níc èi
ThÓ tÝch b×nh thêng:800-1000ml trong
kho¶ng tõ 20-40 tuÇn
ThiÓu èi < 250ml; §a èi > 2000ml
Thai 10-20 tuÇn níc èi gÇn gièng víi
huyÕt thanh, sù s¶n sinh = tiªu thô
Vµo 20 tuÇn: ThËn bµi tiÕt kho¶ng 7-
14ml/24h vµ thai hÊp thu:4-11ml/24h
S¶n sinh níc èi:
- TiÕt niÖu: §©y lµ nguån s¶n xuÊt
chñ yÕu: 800-1200ml/24h
- Sù bµi tiÕt cña ®êng h« hÊp:20-
30% lîng níc èi: 300-400ml/24h
- C¸c mµng, da thai: mét phÇn nhá
Tiªu thô níc èi:
- Tiªu ho¸: Ho¹t ®éng nuèt níc èi ®îc
b¾t ®Çu vµo 18-20 tuÇn vµ cã thÓ quan
s¸t thÊy tõ 25 tuÇn: 500ml/24h ë thai
®ñ th¸ng
- C¸c mµng cña thai: Da, mµng èi tiªu
thô kho¶ng 250ml/24h.
- D©y rèn.
§¸nh gi¸ thÓ tÝch níc èi
Ph¬ng ph¸p ®o 4 gãc cña Phelan vµ
Rutherford : Chia buång èi lµm 4
phÇn sau ®ã ®o k/t lín nhÊt cña mçi
gãc vµ céng l¹i:
- ThiÓu èi nÆng <5 cm:
- èi trung b×nh: 5,1-8
- èi b×nh thêng: 8,1-18cm
- D èi: 18,1-25
Trong thùc hµnh:
ThiÓu èi: CSO < 5cm (sau 16 tuÇn)
B×nh thêng: CSO kho¶ng 8-18 cm
Trung b×nh: CSO trong kho¶ng 5-8
D èi CSO 18-25 cm
§a èi CSO > 25
§o chØ sè èi, ph¬ng ph¸p Chamberlain
< 1 cm:thiÓu èi nÆng
1-2 cm: ThiÓu èi
2-8 cm: èi BT
>8 cm: §a èi
§o chØ sè èi, ph¬ng ph¸p Chamberlain
< 1 cm:thiÓu èi nÆng
1-2 cm: ThiÓu èi
2-8 cm: èi BT
>8 cm: §a èi
§o chØ sè èi, ph¬ng ph¸p Chamberlain
< 1 cm:thiÓu èi nÆng
1-2 cm: ThiÓu èi
2-8 cm: èi BT
>8 cm: §a èi
H×nh ¶nh cña níc èi
Níc èi
C¸c lo¹i Dopper:
Doppler liªn tôc
Doppler xung
Doppler mµu
Doppler t¨ng cêng n¨ng lîng
H×nh ¶nh cña phæ
Doppler
C¸c vÞ trÝ th¨m dß
§éng m¹ch rèn
§éng m¹ch n·o cña thai
§éng m¹ch tö cung ngêi mÑ
§éng m¹ch chñ thai nhi
§éng m¹ch thËn thai nhi
TÜnh m¹ch rèn
èng Arantius
ChØ sè Doppler
-ChØ sè trë kh¸ng ngo¹i biªn
chØ sè Pourcelot: RI =S-D/S
-ChØ sè xung: PI= S-D/M
-ChØ sè Stuart-Drumm:ISD= S/D
-ChØ sè t©m tr¬ng: ID=D/S
H×nh ¶nh Doppler §M rèn
Doppler §M rèn b×nh thêng
Doppler §M rèn bÖnh lý
Doppler §M TC b×nh thêng
Doppler §M TC bÖnh lý
Doppler §M TC bÖnh lý
H×nh ¶nh ®a gi¸c Willis
H×nh ¶nh ®a gi¸c Willis
Doppler §M N·O
èng Arantius
S
D
A
Phæ Doppler Ductus b×nh thêng
Phæ Doppler Ductus bÖnh lý
Phæ Doppler Ductus bÖnh lý
Doppler èng Arantius cã gi¸ trÞ
®¸nh gi¸ møc ®é b·o hoµ oxy cña
thai vµ gi¸n tiÕp ®¸nh gi¸ chøc n¨ng
cña tim thai

SIÊU ÂM PHẦN PHỤ CỦA THAI