1
Real-WorldBoards
Question 1 of 82
For about 2 weeks, initially with nasal congestion, rhinorrhea and a sore throat,
now with a steady cough productive of yellow sputum. She feels better except for
the cough, which is impairing her functioning at work. Her temperatures (taken at
home) have all been under 101 F.
You notice she seems a bit under the weather but is breathing normally; you take
her radial pulse, which is 89. She asks you what she should buy for her cough.
What's the best recommendation for her, based on available evidence?
A. Cetirizine for 7 days
B. Brompheniramine with pseudoephedrine, and naprosyn, until symptoms subside
C. Azithromycin for 5 days
D. Chicken soup
E. Schedule an office visit with chest films
You answered.
We feelthat B and D are the best answers.
Acute cough (< 3 weeks) is believed to be most often due to the common cold.
Cough can be persistent and bothersome, justifying treatment. One randomized
trial showed improvement in cough with the use of brompheniramine (a first
generation antihistamine) with pseudoephedrine. Naprosyn bid also reduced cough
(and other cold symptoms)in a randomized trial. These two therapies are "A"
2
recommendations by the ACCP for patients with bothersome cough due to the
common cold.
Loratadine with pseudoephedrine was no better than placebo in another study;
other studies also show that newer-generation nonsedating antihistamines are not
effective on cold symptoms.
A systematic review concluded that in fact, no over-the-counter remedies are
effective for cough from the common cold; however, it lumped together new
antihistamines (ineffective) and older ones (possibly effective) and concluded
antihistamines are not effective. It also doubted whether the benefits seen in
positive trials were clinically significant. Reassurance seems a reasonable option,
too.
Office visits, chest films, and antibiotics are not needed for healthy people with
colds. Fever, immune suppression, tachycardia, or tachypnea might prompt a chest
X-ray.
Also: Acute bacterial sinusitis can present with postnasal drip cough and upper
respiratory tract infection, and be indistinguishable from the common cold (even
on sinus imaging). Cough that persists > 3 weeks should be evaluated as chronic
cough. Pertussis causes persistent cough, is underdiagnosed, and should be treated
with macrolide antibiotics. The CDC recommends pertussis boostervaccination for
all adults.
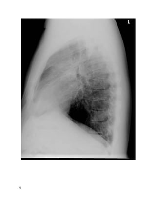
Question 2 of 82 (score?)
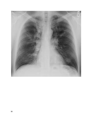
This 78 year old white woman has been coughing for "a good while"; you estimate
at least many months by her history. She is persistently fatigued, has lost 5 pounds,
but has no fevers or night sweats. She is a never-smoker. She sometimes coughs up
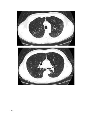
blood-streaked sputum. She lives in a high-rise retirement home. Other cuts of her
chest CT are similar to the one below, correlating well with the findings on chest
X-ray.
3
4
The primary problem is likely:
A. An infection she caught from the environment
B. An infection she caught from someone else
C. Reactivation tuberculosis
D. Bronchioloalveolar carcinoma
E. A chronic process resulting from repeated past infections
We feelthat A is the best answer.
This is a mycobacterium avium complex infection, with Lady Windemere
syndrome (bronchiectasis and multiple small nodules often involving the right
middle lobe or lingula in nonsmoking elderly women, often with chest wall or
skeletal deformities). The other options are possible but the pattern on imaging
along with the history are most suggestive of MAC, an endemic organism inhaled
5
from soil or water. Her bronchiectasis could perpetuate her cough and hemoptysis;
however, she also has many nodules that are indicative of ongoing infection as the
primary process.Nontuberculous mycobacteria (NTM) also include M. kansasii,
rapidly growing mycobacteria (RGM), and numerous less common species.
Nonpathogenic airway colonization by these organisms is frequently incidentally
discovered and must be differentiated from infection. NTM infection commonly
causes a TB-like pattern (upper lobe cavitary disease); hypersensitivity
pneumonitis (ground glass and centrilobular nodules, sometimes with a mosaic
pattern), or the pattern seen here (nodular bronchiectasis with or without
fibrocavitary disease), along with low-grade nonspecific symptoms usually
including cough and fatigue.
Diagnosis requires compatible imaging and clinical findings, along with 2 positive
sputum samples (24+ hrs apart) or 1 positive sample from bronchoscopic lavage or
biopsy. This unfortunate woman has required more than 3 years of multi drug
therapy, with repeated medication switches for adverse effects including optic
neuropathy while on ethambutol--still, her sputum remains positive for MAC.
Unfortunately, her situation is not atypical for people with this indolent, difficult-
to-treat infection. National Jewish in Denver are the premier referral / consultation
center for these cases.
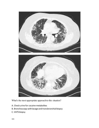
Question 3 of 82 (score?)
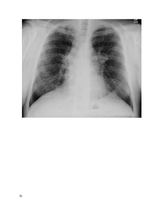
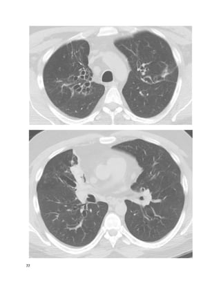
You receive an email from a colleague asking for a "curbsideconsult." You haven't
heard the story or your colleague's question yet, but to frame your thinking, you
quickly glance at the images she's attached to the email.
6
7
8
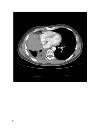
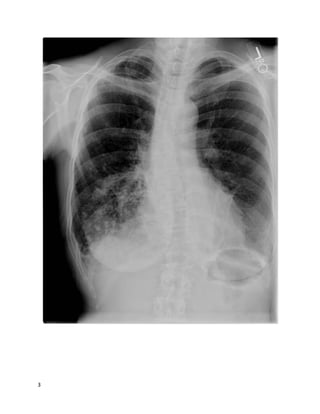
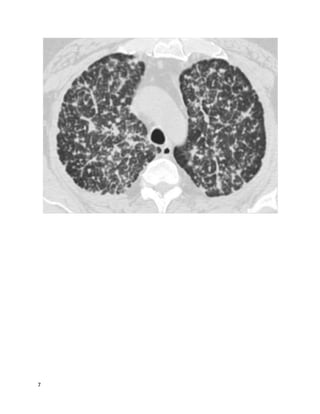
Based on these images, what's the most likely clinical scenario?
A. A 50-year old man with a mass in the head of the pancreas.
B. A 66-year old man with progressive dyspnea on exertion, leg edema, and
longstanding hypertension.
C. A 48-year old woman treated for malignant melanoma 2 years ago.
D. A 24-year old woman with HIV-AIDS, 4 weeks of dyspnea and dry cough,
SaO2 of 88% on ambient air, non-adherent with Bactrim prophylaxis.
E. A 60-year old chicken farmer with progressive dyspnea and a positive
hypersensitivity panel.
We feelthat A is the best answer.
The chest X-ray shows reticulonodular opacities, a nonspecific abnormal finding.
The axial CT cuts show:
 Small nodules in a lymphangitic pattern, i.e., touching the pleura/fissures
 Pleural effusions with an irregular, nodular contour
9
 Irregular thickening of the interlobular septa
 Peribronchovascular thickening
All these findings are consistent with this patient's diagnosis of lymphangitic
carcinomatosis(LC): diffuse metastatic spread of cancer to the lungs, where it
diffusely infiltrates and obstructs lymphatic channels. 80% of cases are due to
adenocarcinomas, most often from a primary cancer of the breast, lung, or colon.
This case of LC was from a primary pancreatic adenocarcinoma.
Chest films are usually normal in lymphangitic carcinomatosis.
This patient's imaging studies are also consistent with:
 Sarcoidosis (would expect hilar lymphadenopathy)
 Lymphoma
 Silicosis
 Coal worker's pneumoconiosis
Regarding the other answer choices, all but metastatic melanoma would likely
include reticular opacities on chest X-ray. Their patterns on CT imaging would
most likely include:
 Cardiogenic pulmonary edema (CHF): Bilateral/diffuse interlobular and
intralobular septal thickening, ground glass opacities, pleural effusions.
Centrilobular nodules (ill-defined/hazy) may be seen, surrounded by
ground glass opacity.
 Metastatic melanoma: Nodules/masses, usually multiple, most often >1-2
cm, in a random pattern affecting one or both lungs. Diffuse lymphangitic
involvement would be highly unusual.
 Pneumocystis pneumonia: Bilateral/diffuse ground glass opacities (90%);
nodules are rare.
 Hypersensitivity pneumonitis: Bilateral/diffuse centrilobular nodules,
surrounded by ground glass opacities, often with tree-in-bud opacities. Later
in the illness, fibrosis (traction bronchiectasis, honeycombing) is present.
Nodule mini-primer:Centrilobular nodules appear at the center of the secondary
pulmonary lobules; they represent engorgement of the pulmonary arteriole and/or
occlusion of the centrilobular bronchiole. Centrilobular nodules do not touch the
pleural surfaces or fissures. (Lymphangitic nodules and random nodules may touch
the fissures/pleural surfaces.) Lymphangitic nodules are accompanied by irregular
thickening of septae and bronchovascular bundles; they occurfrom lymphangitic
10
spread of tumor, sarcoid, or another inflammatory process. Randomnodules result
from hematogenous spread of tumor or disseminated infection (tuberculosis, fungal
infection) and occurwithout the associated findings of lymphangitically-spread
nodules.
Question 4 of 82 (score?)
Your colleague in the ED calls you. He has a 55-year-old former nurse there, sent
by her PCP for leg swelling.
He ordered lower extremity ultrasound; the left common femoral vein image is
shown. The image on your left is with the probe resting on the skin; the image on
the right is with compressionof the vein by the ultrasound probe. She has edema in
the left leg. She has no risk factors for or history of DVT. Vital signs are normal. A
radiologist will be available to interpret the images in a few hours. After your
history and exam reveal nothing else, the ED doc asks what you want to do.
Of the listed options, what is the best recommendation you could make?
A. Schedule placement of an IVC filter while awaiting the final radiology read.
B. Admit; start warfarin and unfractionated heparin; recommend warfarin for 3
months.
C. Start enoxaparin and warfarin, then discharge; recommend warfarin indefinitely.
11
D. Get dedicated Doppler ultrasound of the leg veins.
E. Pulmonary angiogram.
We feelthat C is the best answer.
This is a proximal, unprovoked, asymptomatic DVT. The vein should compress
completely; this one does not, and has an echogenic area in the lumen (it should be
homogenously jet-black inside).
Generally speaking, recurrence rate after unprovoked DVT is similar between
people with and without identifiable hypercoagulable states. ACCP
recommendations for people with unprovoked proximal DVT without PE are that
anticoagulation be continued "long-term" (i.e., indefinitely), if the patient is
amenable after a risk/benefit discussion(Grade 1A, "Antithrombotic Therapy for
VTE Disease," Section 2.1.2). ACCP also recommends warfarin be begun the same
day as enoxaparin.
There is growing acceptance of treating asymptomatic DVT on an outpatient basis
"if possible" (Grade 1C ACCP recommendation), which we take to mean the
patient is stable, can self-inject enoxaparin, and close follow-up can be arranged
for INR checks.
Question 5 of 82 (score?)
Your internal medicine colleague asks you about a patient she is about to discharge
home after a hospitalization for a COPD exacerbation. The patient, Mr. M., takes a
beta-blocker for hypertension. Mr. M. does not have a diagnosis of coronary artery
disease. Your colleague is considering stopping the beta-blocker to avoid any
contribution to future COPD exacerbations, but wants your opinion first.
What do you recommend?
A. Stop the beta blocker.
B. Continue the beta blocker.
C. Stop the beta blocker; order a stress test.
D. Continue the beta blocker; order an echocardiogram.
We feelthat B is the best answer.
Cardioselective beta-blockers are safe in patients with COPD, and may in fact be
beneficial, mounting evidence suggests. A cohortstudy published in 2008 among
12
>3,000 people with cardiovascular disease suggested beta blockade is not
associated with a reduced FEV1 or increased exacerbations. In an observational
database study of almost 6,000 outpatients with COPDpublished in 2011, beta
blocker use was associated with reduced mortality and fewer COPDexacerbations.
Cardioselective beta-blockers are likely beneficial for patients with mild or
moderate asthma, as well, although that data is less conclusive than for COPD.
Early case reports of beta blockers precipitating asthma exacerbations were in
patients taking noncardioselective beta blockers (e.g., propranolol).
Clinical Takeaway:Beta-blockers may be prescribed without restriction to
people with COPD, if there is no contraindication.
Question 6 of 82 (score?)
A 46-year-old woman with persistent asthma presents for her routine 3 month visit.
She notes her symptoms have been worse for the past few weeks. She is using
albuterol daily, and having cough and wheezing a few nights a week. She has
stopped her daily walk for exercise, due to difficulty breathing.
Her vital signs are normal. On exam, she is breathing comfortably but has
wheezing diffusely.
She is taking fluticasone 220 mcg twice daily (medium dose) and albuterol 3 times
daily. She demonstrates her inhaler technique, which is correct.
What should be the next step?
A. Schedule spirometry for next week to guide step-up therapy.
B. Increase the doseof fluticasone to 440 mcg b.i.d.
C. Provide prednisone 40 mg for 5 days and see again next week.
D. Add a long-acting beta agonist.
E. Add a leukotriene receptor antagonist..
We agree that B, C, D, and E are all reasonable answers.
The patient needs step-up therapy for uncontrolled asthma. Traditionally that
would have meant adding a long-acting beta agonist, but the FDA's 2010 warnings
13
about long-acting beta agonists for asthma have introduced uncertainty (or call it
flexibility) into clinical decision making for uncontrolled asthma.
The National Asthma Education and Prevention Program (NAEPP guidelines) for
2007 would consider her asthma to be either:
 "Notwell controlled": Step-up by 1 step; see again in 2-6 weeks; use
alternative treatments if side effects develop.
 "Very poorly controlled":Consider short course of oral steroids; step-up
1-2 steps;see again in 2 weeks; use alternative agents if side effects develop.
Per NAEPP guidelines, step-up therapy would definitely include adding a long-
acting beta agonist, and 2 steps up would also include increasing to high doseICS
(440 or 500 mcg fluticasone twice daily). NAEPP-recommended alternatives to a
LABA include a leukotriene receptor antagonist, Zileuton, theophylline, and at
higher steps, omalizumab for those with allergies.
Since February 2010, FDA black-box warnings for LABAs in asthma have created
uncertainty around these guidelines. The most current language at FDA.gov (June
2010) would supportLABA use in this patient (inadequate control on medium-
doseICS). Given the confusion at present, though, it would be hard to argue with a
physician who choseto use an alternative agent in place of a LABA, or increase
the inhaled corticosteroid dosewithout adding a LABA.
Under direction by the FDA, major pharma companies are launching 5 large
clinical trials to answer the question of LABA safety for asthma; results are
expected in ~2018 or so.
Delaying step-up therapy to obtain spirometry does not seem appropriate.
Spirometry can help place a patient in a category on the NAEPP algorithm;
however, regardless of the test result, step-up therapy is indicated and should be
started now.
Question 7 of 82 (score?)
John, 33, is referred to you by his primary doctorfor bronchiectasis. John has had
recurrent respiratory infections since graduating high school. He takes inhaled
albuterol as needed, which in practice is never, becausehe does not perceive a
benefit. His symptoms of episodic cough, dyspnea, and infections wax and wane
unpredictably, but are progressing overall. Exam and vitals reveal distant breath
sounds with some rhonchi, and are otherwise normal. A thorough occupational /
14
inhalational history is negative. As you consider beginning an extensive workup
for unexplained bronchiectasis, you examine the test results below.
Question 8 of 82 (score?)
A 74-year-old man with severe, end-stage COPD(FEV1 20% predicted) suffers
from breathlessness that is so severe, any activity (even standing from a chair)
makes him feel like "I'm gonna die." He is on maximal inhaler therapies and
supplemental oxygen. He has tried pulmonary rehabilitation but he could not
tolerate it.
To reduce this patient's feelings of severe breathlessness, which intervention has
the strongest evidence for effectiveness?
A. Nebulized morphine sulfate.
B. Oral morphine sulfate.
C. Using a fan to blow air on his face.
D. Biofeedback therapy.
We feelthat B is the best answer.
Several systematic reviews and meta-analyses of randomized trials supportthe use
of opioid use to relieve severe dyspnea in people with end-stage COPD. Many
other therapies to relieve dyspnea in COPDhave been tested in randomized trials.
Positive results were found from chest wall vibration and neuroelectrical muscle
stimulation. Nebulized morphine also did not show an effect in randomized trials.
Acupuncture, music therapy, use of a fan, and biofeedback/relaxation showed
inconsistent or no benefits. The lack of conclusive evidence in randomized trials
does not mean these nonpharmacologic therapies shouldn't be tried, as they may
work in individual patients, and a placebo or psychological effect may be
beneficial to maximize comfort in a palliative treatment plan, especially with
therapies that are safe and simple.
15
16
17
What's the diagnosis?
A. Williams-Campbell syndrome.
B. Allergic bronchopulmonary aspergillosis.
C. Mounier-Kuhn syndrome.
18
D. Cystic fibrosis.
E. Marfan syndrome.
We feelthat C is the best answer.
Mounier-Kuhn syndrome, or congenital tracheobronchomegaly, is a rare inherited
disorder of cartilage formation resulting in enlargement of the C-rings in the
segmental bronchi and trachea. More distal bronchial structures are normal. (This
is in contradistinction to Williams-Campbell syndrome, in which central airways
are normal but distal airways are dilated.) The diagnosis is readily made on a CT
scan showing grossly enlarged central airways, especially with compatible
symptoms.
Clinical presentation is usually with recurrent lower respiratory infections, which
may begin in childhood, or not until young adulthood. Diagnosis was delayed until
age ~75 in a few cases. Productive cough, dyspnea, and poorclearance of
secretions are common symptoms.
Prognosis varies widely and is impossible to accurately predict. Progressive
bronchiectasis (perhaps due to repeated infections), emphysema, and pulmonary
fibrosis are possible. Mild, stable cases, as well as those progressing to respiratory
failure and death, have been reported.
Due to the condition's rarity, no evidence is available to guide management, but
airway hygiene has been recommended: postural drainage and consideration of
other airway clearance techniques (chest physiotherapy, flutter valves,
bronchodilators, dornasealpha, etc). Positive-airway pressure and airway stenting
have been proposed. Surgery (posterior membranous tracheobronchoplasty) may
be helpful in certain severely affected patients, but is usually not technically
feasible.
The cartilage defect in Marfan syndrome can cause tracheobronchomalacia, and
either Marfan, cystic fibrosis, or ABPA can cause bronchiectasis with cystic
degeneration of the lungs, but none of these cause tracheobronchomegaly.
19
Question 8 of 82 (score?)
A 74-year-old man with severe, end-stage COPD(FEV1 20% predicted) suffers
from breathlessness that is so severe, any activity (even standing from a chair)
makes him feel like "I'm gonna die." He is on maximal inhaler therapies and
supplemental oxygen. He has tried pulmonary rehabilitation but he could not
tolerate it.
To reduce this patient's feelings of severe breathlessness, which intervention has
the strongest evidence for effectiveness?
A. Nebulized morphine sulfate.
B. Oral morphine sulfate.
C. Using a fan to blow air on his face.
D. Biofeedback therapy.
We feelthat B is the best answer.
Several systematic reviews and meta-analyses of randomized trials supportthe use
of opioid use to relieve severe dyspnea in people with end-stage COPD. Many
other therapies to relieve dyspnea in COPDhave been tested in randomized trials.
Positive results were found from chest wall vibration and neuroelectrical muscle
stimulation. Nebulized morphine also did not show an effect in randomized trials.
Acupuncture, music therapy, use of a fan, and biofeedback/relaxation showed
inconsistent or no benefits. The lack of conclusive evidence in randomized trials
does not mean these nonpharmacologic therapies shouldn't be tried, as they may
work in individual patients, and a placebo or psychological effect may be
beneficial to maximize comfort in a palliative treatment plan, especially with
therapies that are safe and simple.
Question 9 of 82 (score?)
This 49 year old U.S. citizen originally from Trinidad is referred to you for
evaluation by her oncologist. She had the below chest X-ray after a mammogram
suggested abnormal lung parenchyma. Breast biopsy showed ductal carcinoma in
situ. She is to have lumpectomy soon. She has been mildly short of breath since her
20s, which has insidiously gotten worse, although she still works full-time and
takes care of 3 children. She also has a chronic dry cough worse on deep
20
inspiration. She has never sought evaluation for her symptoms and has never had
prior chest imaging. In your office, she walks 1000 feet in 6 minutes, with
desaturation from 100% on ambient air to 85% on ambulation with mild dyspnea.
A TB skin test is placed. An HIV test was negative last year.
PFTs:TLC 70% predicted (below lower limit of normal), FEV1/FVC ratio 0.65,
FEV1 2.1L (below lower limit of normal) DLCO 40% predicted, DLCO/VA 80%
predicted.
21
22
Without any other information, her most likely diagnosis is:
A. Idiopathic pulmonary fibrosis
B. Sarcoidosis
C. Tuberculosis
D. Lymphangitic spread of breast cancer
We feelthat B is the best answer.
23
Sarcoidosis is more prevalent in people of African descent, and can present at a
young age and progress insidiously. This woman likely has diffuse lung fibrosis
without hilar lymphadenopathy, so-called stage IV sarcoid. The term "stage"
misleadingly implies a predictable pattern of linear disease progression; in fact, the
radiographic pattern (stage) correlates neither with chronicity nor with changes in
pulmonary function.
Although patients usually have restrictive lung disease at presentation, as many as
50% also have obstructive disease. Bronchodilator responsiveness is not
uncommon. Spirometry returns to normal in 80% of patients within 2 years (with
about 67% of patients achieving a complete remission of sarcoid within 10 years).
Sarcoidosis is a diagnosis of exclusion, with a minimum requirement of a biopsy
demonstrating noncaseating granulomas (except in certain patients, such as those
with Lofgren's syndrome, Heerfordt's syndrome, or asymptomatic, incidentally
discovered hilar lymphadenopathy). At that point, other granulomatous diseases
must be excluded. This patient had a noncaseating granuloma on breast biopsy --
which can also be seen in breast cancer and which therefore still left some
diagnostic uncertainty. Her symptoms and imaging have been stable over years
since her first visit; she remained in remission from breast cancer after
lumpectomy and radiation.
Miliary TB would be expected to producea more nodular pattern on chest films, as
opposedto this linear or reticular pattern. In situ cancer would not likely have
spread lymphangitically. IPF usually preferentially affects the peripheral and basal
lungs. The small nodule in the right lung baseis probably of no significance.
Question 10 of 82 (score?)
A 28-year-old medical student approaches you in the hospital hallway. She says
with dismay, "My PPD is positive."
She holds out her arm, which shows 12 mm of induration marked off by an
examiner. You slide the edge of your pen tip along her skin until you meet
resistance on each side. You get the same margins as the examiner's.
The student says, "I just got a PPD 3 weeks ago that was negative - I know it was.
But I got busy and never had it checked."
She has no known exposures to tuberculosis, and no respiratory or constitutional
symptoms. She had a chest X-ray this morning which was normal.
24
She had a negative TB skin test last year when she first came to the US from
Vietnam (a TB-endemic country), where she grew up. She did get BCG vaccine
there as a child.
You refer her to your hospital's occupational health department for further advice
and management.
Assuming the skin test 3 weeks ago was truly negative, and the chest X-ray this
morning was normal, what would be the best recommendation?
A. Repeat skin test next year; this was a boosterreaction.
B. Prescribe isoniazid daily for 9 months.
C. Repeat skin testing in one month.
D. Collect serum for interferon-gamma release assay.
E. Repeat skin test next year; this was a false-positive from BCG vaccine.
We agree that B is the best answer.
The student has a positive tuberculin skin test (TST) confirming latent
tuberculosis infection (LTBI), probably occurring years ago in her home country.
(Cutoff for TST positivity is 10 mm in health care workers; other cutoffs are here.)
She did have a boosterreaction. Boosterreactions are initial false-negatives that
become true-positives. They occurwhen a previously-infected personloses
hypersensitivity to PPD antigen over time, resulting in a negative TB skin test.
However, the injected PPD re-stimulates the immune system, and a TB skin test
repeated 1-3 weeks later will induce a positive induration reaction. Because of this,
the gold standard for TB skin testing is actually to place 2 PPDs 1-3 weeks apart; if
either is positive, the person is considered to have LTBI and treatment should be
considered.
Treatment for LTBI can reduce the lifetime risk of reactivation tuberculosis by
60-90%:
 First-line therapy is 9 months of daily isoniazid (5mg/kg, max 300 mg).
 Six months of INH is also acceptable and supported by randomized trial
data.
 Other acceptable regimens include twice-weekly INH 300 mg for 6 or 9
months, or daily rifampin for 4 to 6 months. Data is less robust for these.
25
Both INH and rifampin have potential toxicity, which must be balanced against the
risk of reactivation tuberculosis. There is a 1 in 1000 risk of hepatitis while taking
INH for alcohol-abstinent people without preexisting liver disease; asymptomatic
transaminitis is common. With monthly monitoring, intermittent dosing, and
provision of pyridoxine, INH can be given safely to most patients.
Without treatment, the lifetime risk of developing reactivationtuberculosis in
HIV-negative people is ~5-10%, with most of that risk in the first 2 years
following infection.
By CDC guidelines, the other answer choices are not recommended:
 BCG-vaccinated people should be tested and treated for LTBI the same as
everyone else.
 Interferon-gamma release assay and TST should not be routinely performed
together. In this case, the patient was tested with the gold standard two-step
approach(although accidentally) and should be considered to have LTBI;
confirmatory testing isn't needed.
 Her skin test would be expected to still be positive in one month. Once a TB
skin test is positive once in life, it will always be positive (or falsely
negative). There is no way to detect re-infection with tuberculosis with skin
testing.
Question 11 of 82 (score?)
During 25 days in your ICU, Mr. F has survived postoperative sepsis after a ventral
hernia repair, and ARDS with prolonged respiratory failure with a tracheostomy.
He still requires 20 mmHg of pressure supportventilation overnight, but tolerates
trach collar during the days. A local long-term acute care hospital is eager to take
over his care, and his transfer paperwork is ready.
His wife, Wanda, wants to know what to expect now. Mr F is too weak and
confused to communicate meaningfully, but she thinks her husband would want to
go on fighting if he had a good chance to survive and get back to a place where he
could at least live at home with assistance.
According to published literature, what are Mr F's chances of being alive in one
year?
26
A. 75%
B. 50%
C. 25%
D. 10%
E. It's impossible to predict from the information provided.
We agree that B and C are the best answers.
Chronic critical illness is an epiphenomenon resulting both from advances in
intensive care and the financial success (and related proliferation) of long-term
acute care (LTAC) hospitals. Generally defined as respiratory failure lasting
weeks, chronic critical illness affects more than 100,000 people in the U.S.
(estimated), and costs more than $20 billion annually.
What happens to your patient after you send him or her to an LTAC?
- Most are not freed from mechanical ventilation (reported weaning rates: 30 -
50%); if success is achieved, it's almost always within 60 days.
- More than 40% are readmitted to the hospital within a year.
- At the end of one year, fewer than half will be alive (32 - 52%).
- Fewer than 12% will be alive and independent 1 year after their acute illness.
Surveys of patients' families show that most have no idea of these grim odds. It's
uncertain whether that's because physicians fail to effectively communicate the
reality of the situation, or whether it's due to "selective hearing" by emotionally
overwhelmed families desperate for hope. Although it's true that we can't predict
with perfect accuracy what will happen to any individual patient, in the absence of
clear reasons to be optimistic it might not be appropriate to say things like "He just
needs more time" or "We just can't predict these things," since the data show that
we usually can (at least in terms of predicting functional independence after LTAC
admission, which is an unlikely outcome
27
What is the bestintravenous medication infusion to provide next?
A. Lidocaine.
B. Esmolol.
C. Heparin.
D. Diltiazem.
We feelthat C is the best answer.
After successfulemergent electrocardioversion of atrial fibrillation, heparin
infusion is appropriate if there is no contraindication. It is not known how long the
patient was in a-fib before, and a dangerous clot may be present in the left atrium /
left atrial appendage, increasing the risk for stroke. Cardiology consultation should
also be sought.
Diltiazem and beta blocker infusions are not necessary since she is in normal sinus
rhythm. Lidocaine is an alternate agent to amiodarone for ventricular tachycardia
or fibrillation.
Question 12 of 82 (score?)
During 25 days in your ICU, Mr. F has survived postoperative sepsis after a ventral
hernia repair, and ARDS with prolonged respiratory failure with a tracheostomy.
He still requires 20 mmHg of pressure supportventilation overnight, but tolerates
trach collar during the days. A local long-term acute care hospital is eager to take
over his care, and his transfer paperwork is ready.
28
His wife, Wanda, wants to know what to expect now. Mr F is too weak and
confused to communicate meaningfully, but she thinks her husband would want to
go on fighting if he had a good chance to survive and get back to a place where he
could at least live at home with assistance.
According to published literature, what are Mr F's chances of being alive in one
year?
A. 75%
B. 50%
C. 25%
D. 10%
E. It's impossible to predict from the information provided.
We agree that B and C are the best answers.
Chronic critical illness is an epiphenomenon resulting both from advances in
intensive care and the financial success (and related proliferation) of long-term
acute care (LTAC) hospitals. Generally defined as respiratory failure lasting
weeks, chronic critical illness affects more than 100,000 people in the U.S.
(estimated), and costs more than $20 billion annually.
What happens to your patient after you send him or her to an LTAC?
- Most are not freed from mechanical ventilation (reported weaning rates: 30 -
50%); if success is achieved, it's almost always within 60 days.
- More than 40% are readmitted to the hospital within a year.
- At the end of one year, fewer than half will be alive (32 - 52%).
- Fewer than 12% will be alive and independent 1 year after their acute illness.
Surveys of patients' families show that most have no idea of these grim odds. It's
uncertain whether that's because physicians fail to effectively communicate the
reality of the situation, or whether it's due to "selective hearing" by emotionally
overwhelmed families desperate for hope. Although it's true that we can't predict
with perfect accuracy what will happen to any individual patient, in the absence of
clear reasons to be optimistic it might not be appropriate to say things like "He just
needs more time" or "We just can't predict these things," since the data show that
29
we usually can (at least in terms of predicting functional independence after LTAC
admission, which is an unlikely outcome
Question 13 of 82 (score?)
John, 44, comes to see you in your clinic, complaining of worsening exertional
dyspnea. He smoked a half a pack a day for 5 years, quitting 25 years ago. He
recently quit his construction job becausehe couldn't unload sacks of concrete or
walk the site quickly enough to keep up.
PFTs:FEV1 1.1 L (35% predicted); FEV1/FVC ratio 0.45; DLCO 35% predicted.
Vitals: HR 90, RR 18, BP 125/85, SaO2 94% on ambient air, 92% with
ambulation.
He saw his primary doctora year ago, who ordered a chest X-ray and chest CT; he
hands you a CD with some cuts of the chest CT, which you review.
30
31
What approachto testing is most likely to yield a correct diagnosis?
A. Repeat PFTs
B. Serum antiprotease testing
C. Bronchoscopywith biopsies
D. Surgical lung biopsy
E. Thorough occupational history
We agree that B is the best answer.
This patient has severe alpha-1 antitrypsin deficiency (A1ATD). Severe A1ATD
is mistakenly believed to be rare; actually, 60,000 to 100,000 Americans are
estimated to have the PI*ZZ genotype associated with severe deficiency (<50
mg/dL or 11 micromoles/L; >20 micromoles/L is normal). Most are of northern /
western European descent and are undiagnosed. Features that should prompt
consideration of A1ATD include:
 Emphysema before age 45
 Absence of smoking history or other exposures (e.g., organic dust)
 Emphysema with basilar lucency
 Unexplained liver disease
 Family history of emphysema, liver disease, or panniculitis
 Necrotizing panniculitis (rare, even in A1ATD patients)
32
The manifestations of A1ATD are complex and difficult to predict:
 Many nonsmokers with PI*ZZ never develop liver or lung disease and seem
to live a near-normal lifespan.
 Smokers with severe A1ATD have wide variation in the rate of FEV1
decline and development of emphysema.
 Many patients with A1ATD have an asthma-like phenotype with
bronchodilator-reversible obstruction; these patients seem to be at greater
risk for FEV1 decline (even if nonsmokers), and ATS recommends treating
them "aggressively" with inhaled steroids and bronchodilators.
 Liver disease is more common in childhood, but as many as 30-40% of
patients aged >50 with A1ATD may have cirrhosis or carcinoma of the liver.
Overall, prognosis in individual patients can't be predicted (except for those with
already severe disease who smoke), becauseof the heterogeneity of the disease and
the lack of prospective longitudinal studies.
Patients with PI*MZand PI*SZ seem to be at increased risk for COPDif they
smoke, but not markedly so if they do not.
Somewhat surprisingly, the ATS recommends testing virtually all Americans with
COPDfor A1ATD. (Also, anyone with unexplained liver disease, necrotizing
panniculitis, asymptomatic obstruction on PFTs, and all siblings of A1ATD
patients.) PI*MM (in 95% of U.S. population) ensures levels >20 micromoles/L
and normal function.
Nonrandomized trials suggest that A1AT supplementation may slow FEV1
decline and improve survival in severe A1ATD. Patients with lower FEV1 (31-
65% predicted) seemed to have a greater benefit. ATS guidelines are vague and
acknowledge the relatively weak evidence, but suggest A1AT augmentation is
appropriate for anyone with severe deficiency (<11 micromoles/L), and those with
A1ATD (<20 micromoles/L) and either of these criteria:
 FEV1 30-65% predicted (postbronchodilator);
 Rapid decline of lung function (FEV1 decline >120mL/yr), regardless of
initial FEV1.
From observational data, the risk of anaphylaxis may be ~1% per patient over ~6
years of A1AT infusions. Patients should probably be given an Epi-Pen and taught
to use it.
33
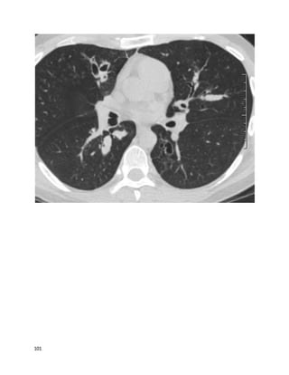
This patient's CT scanshows panacinar emphysema, with bullous disease worse at
the bases. Panacinar disease can merge with severe centrilobular emphysema to
create a nonspecific CT scan.
Question 14 of 82 (score?)
A 33 year old woman returns to see you for her third visit for significant
progressive dyspnea. She has no other medical conditions, and normal imaging
except for an enlarged pulmonary artery on CT scan. Her echocardiogram
suggested severe pulmonary hypertension (with normal LV function) on her last
visit, so you referred her for right heart catheterization. The report is:
Initial values
After 25 ppm NO
inhaled
Central venous pressure 8 mm Hg 9 mm Hg
Pulmonary artery
pressure
70/39 (mean 47 mm
Hg)
63/36 (mean 43 mm Hg)
PAOP ("wedge") 12 mm Hg 13 mm Hg
Cardiac index 2.8 L/min/m2 2.9 L/min/m2
She's also had a negative V/Q scan, HIV test, sleep study, echocardiographic
bubble study, liver and hepatitis panel, high-resolution CT scan, urine drug screen,
and autoimmune labs.
She is at normal weight and did regular aerobic exercise before, but now cannot
walk 100 feet without stopping for dyspnea. Her oxygen saturations are normal
with exertion. Jugular venous pressure is 11 cm. She has pitting edema over both
tibias.
What's the worstadditional therapeutic recommendation for her?
34
A. Bosentan
B. Sildenafil
C. Epoprostenol
D. Nifedipine
E. Warfarin
We agree that D is the bestanswer.
Idiopathic pulmonary arterial hypertension is a diagnosis of exclusion, arrived at
after an extensive workup as outlined in guidelines and described above. All
patients must undergo right heart catheterization before initiating treatment for
any form of pulmonary arterial hypertension.
A small percentage of patients are "vasoreactive" to adenosine or nitric oxide: they
have a decrease in mean pulmonary artery pressure of >= 10 and to below 40 mm
Hg when these agents are administered during RHC. These patients have an
excellent prognosis as long as they take a vasodilating calcium channel blocker,
such as nifedipine.
Treatment for non-vasoreactive IPAH (as this patient has) may include oral
endothelin receptorantagonists (bosentan), oral phosphodiesteraseinhibitors
(sildenafil), or IV/inhaled prostanoids (epoprostenol, treprostinil, iloprost). U.S.
guidelines recommend the more costly and inconvenient prostanoids for patients at
"high risk" (rapid progression; RV dysfunction or RA pressure > 20 mm Hg; WHO
functional class IV; high BNP; <300 m 6-minute walk).
The 1A recommendations of the European Society of Cardiology are as follows:
Evidence
level
WHO class II WHO class III
WHO class
IV
I - A
Ambrisentan,
bosentan, sildenafil
Ambrisentan, bosentan, sitaxetan,
sildenafil, eprostenolIV, iloprost
inhaled
Epoprostenol
IV
35
Diuretics should be prescribed when volume overload is present. Based on
observational data of improved survival in patients with IPAH, warfarin is
generally indicated as well. In those with an indwelling catheter for IV therapy,
warfarin is believed to be additionally helpful in preventing catheter thrombosis.
Atrial septostomyand lung (or heart-lung) transplantation are options when PAH
medical therapies fail.
Question 15 of 82 (score?)
A 19-year old man presents to the ED with the suddenonset of mild dyspnea and
chest pain. A chest X-ray reveals a right-sided pneumothorax, with 4.2 cm between
the chest wall and visceral pleural line. He is uncomfortable but not in distress.
Oxygen saturation is 95% on ambient air; heart rate is 95. There is no midline shift
on the chest film; pulsus paradoxus is normal. This is the first time this has
happened to him. He has always been healthy.
You administer 100% humidified oxygen. What's the bestcourse of action over the
next several hours?
A. Continue 100% oxygen and obtain another chest film.
B. Perform thoracentesis, aspirating as much air as possible.
C. Place a Heimlich valve in the anterior chest; discharge home.
D. Admit; place a chest tube to -20 cm wall suction.
E. Admit; consult thoracic surgery for pleurodesis.
We feelthat B and C are the best answers.
This is a primary spontaneous pneumothorax (occurring without a clear cause,
in the absenceof lung disease). Although administering 100% oxygen would result
in slow resorption of the air and lung re-expansion, this is recommended only for
small pneumothoraces. (The size of a pneumothorax is notoriously difficult to
estimate on a chest film, but <3 cm between the lung edge and the chest wall has
been suggested as a cut-off.)
The besttreatment for the patient would be aspiration of air with a standard
thoracentesis kit. After removal of air, leave the catheter in place with a closed
stopcockand monitor for 6 hours. If a repeat chest film shows success and he does
not live in a remote area, he can go home (without the catheter). No follow-up is
necessary, unless symptoms return.
36
Alternatively, a Heimlich (one-way) valve could be attached to the thoracentesis
catheter and he could go home afterward, returning in a few days for repeat film
followed by removal of the catheter and valve.
Chest tube placement could be performed, but would arguably be invasive and
unnecessary, unless thoracentesis is unsuccessful(persistent air aspiration after 4
liters removed, suggesting a bronchopleural communication / leak).
About half of those with PSP will never develop another pneumothorax.
Pleurodesis could be considered for recurrent pneumothoraces
Question 17 of 82 (score?)
You are consulted by the ED for 40-year-old man presenting with shortness of
breath and dry cough. He supervises construction and has been on-site for
excavations in Tennessee, Ohio, Arizona, and Alabama, all in the last 2 months.
He was diagnosed with pneumonia at an urgent care center 2 weeks ago and
treated with levofloxacin for 1 week, with no improvement. Then he was
prescribed prednisone 20 mg daily for 1 week, with steady worsening of his cough
and subjective fevers.
His temperature is 101, pulse 105, respirations 20, blood pressure 125/85. Oxygen
saturation is 94% on room air. White blood cell count is 13,000 with 25%
eosinophils. A chest X-ray shows patchy multifocal pneumonia.
You schedule him for bronchoscopy. What do you most strongly recommend the
ED physician provide now?
A. Methylprednisone 125 mg IV.
B. Itraconazole.
C. Piperacillin and vancomycin.
D. Amphotericin B.
E. Heparin.
We feelthat B is the best answer.
In this patient with a pneumonia that has been unresponsive to broad-spectrum
antibiotics and a courseof corticosteroids, with travel & exposure history
suspicious for fungal infection, empiric antifungal therapy should be provided.
37
Coccidioides is the only dimorphic fungus that causes peripheral eosinophilia.
Itraconazole or fluconazole are the preferred treatments for non-life-threatening
coccidioidomycosis, with amphotericin B reserved for severe or disseminated
infections. These agents are also effective treatment for histoplasmosis and
blastomycosis (with ampho-B reserved for severe infections). There is insufficient
data to supportthe use of voriconazole or posaconazole.
Diagnosis of coccidiodomycosis is strongly suggested by positive serology,
because most people lose seropositivity to coccidioides within 3 months of a
resolved infection. (Positive serologies are also useful in acute histoplasmosis, but
not in blastomycosis.)Negative serology does not rule out any fungal infection,
because serology is insensitive in early infection. A new urine antigen test to
coccidioides is available and should be checked if serologies are negative. Urine
antigen tests are also available for histoplasmosis and blastomycosis (there is
cross-reactivity making these assays only ~80% specific, but it's of no clinical
consequencesince the treatments for both are the same).
Histopathology / biopsycan demonstrate fungal elements using proper staining
(e.g., spherules in coccidioidomycosis), orgranulomas in histoplasmosis. Culture
from BAL or biopsy are high-yield but can take weeks to grow. Apparently,
bronchoalveolar lavage is safe in coccidioidomycosis (although I'd wear an N95
mask and do it in a negative pressure room in suspected cases anyway), but
handling cultures is dangerous and requires special measures; the lab should be
notified if coccidioides is suspected.
Regarding the other answer choices:eosinophilic pneumonia should be considered,
but the lack of responseto an initial courseof steroids (albeit low dose)and the
risk factors for fungal infection would make high dosesteroids ill-advised.
Pulmonary embolism would not likely present with multifocal opacities.
Question 18 of 82 (score?)
Friends of a 21-year-old woman call 911 becauseshe is found unconscious alone
in a room at a party. When EMS arrived, the woman had a GCS scoreof 8, pulse
of 65, and respiratory rate of 12 / min, and was intubated in the field. She was
brought to the emergency department, where you see her an hour later. She is now
lethargic but arousable, moves all extremities and opens her eyes to voice. Pulse is
78, and respirations 18 / min. Physical examination, ECG, and chest film are all
normal.
38
Friends say there was alcohol but no drug use other than marijuana at the party.
They say their friend is a full-time college student who only drinks when at parties.
Ethanol level, chemistry panel and toxicology screen, and other labs are all
pending.
What is the bestnext step?
A. Give flumazenil
B. Give naloxone
C. Place a nasogastric tube and give activated charcoal
D. Observe, with a plan to extubate and discharge from the ED within a few hours
E. Give calcium gluconate
We feelthat D is the best answer.
This young woman is likely intoxicated with ethanol. She seems to be recovering
steadily. In the absence of evidence of other intoxications or poisoning, the fewer
aggressive interventions she undergoes, the better. It could be argued that since she
had a normal respiratory rate and other vital signs, with no evidence of trauma, she
didn't need to be intubated at all. The safety of forgoing intubation in severely
alcohol-intoxicated patients with GCS < 6 was demonstrated in a sample of 405
drunken revelers needing medical attention during Oktoberfestin Munich in 2004.
Other intoxications or poisonings should be considered, but should only be treated
when there is suspicion of a specific ingestion/intoxication. The emergency
department has done that by ordering appropriate labs and tests and by
interviewing her friends.
Naloxone should be given where there is known or suspected opioid toxicity.
Flumazenil should not be administered, even in cases of benzodiazepine overdose,
mainly becauseof its potential for causing withdrawal seizures. Thiamine should
be given in chronic alcohol abusers, but not necessarily to all intoxicated patients.
Activated charcoal is useful in gastric decontamination after ingestion of high-
molecular weight compounds (e.g., acetaminophen or other oral medications), but
should not be administered unless an ingestion is suspected. Charcoal's efficacy
rapidly falls after the first hour after ingestion; evidence for its benefits is low,
overall. Hemodialysis can rapidly remove small molecular weight compounds,
such as methanol and ethylene glycol (and their toxic metabolites) and lithium.
39
(Table: Common Toxidromes Signs & Symptoms, from fmpe.org)
Question 19 of 82 (score?)
Sally K. has COPD with an FEV1 of 48% predicted. You referred her to a lung
rehabilitation program last year, which she completed and which made her feel
better. When her insurer stopped paying for the visits, though, she stopped the
program and returned to a sedentary lifestyle.
She comes to see you today and wants to know what kind of exercise program
would be bestfor her now. She insists on starting only one form of exercise.
What exercise program do you recommend?
A. Aerobic exercise using the legs (e.g., walking)
B. Unsupported arm exercise, low weight, high repetitions
C. Unsupported arm exercise, high weight, low repetitions
D. Inspiratory muscle training
E. Recommend holding off until a cardiac stress test can be obtained
We feelthat A is the best answer.
Aerobic exercise should be the cornerstone of any exercise program for someone
with COPD. Increased cardiopulmonary fitness due to aerobic exercise is believed
to be the major source of benefit from pulmonary rehabilitation, as this patient has
experienced herself.
Aerobic exercise has multiple other beneficial effects on mood, reduced
cardiovascular risk, improved self-image and quality of life. These benefits have
been demonstrated in over 20 randomized controlled trials (although, it should be
noted, benefits were inconsistent & heterogeneous across trials). One study also
shows improvement in muscle mass associated with aerobic exercise in pulmonary
rehab.
The aerobic exercise component of pulmonary rehabilitation should ideally be
lifelong; its short-term nature is a function of the limits set by the payer system. (In
2011, Medicare paid outpatient centers $28 per rehabilitation session, per patient --
which may help explain the low availability of pulmonary rehab programs in many
areas.)
40
Limited studies show that people with COPD are quite inactive. There is no proven
effective method of motivating people to exercise. Some experts recommend tying
exercise to social interaction by exercising with a friend. Varying the routine might
help. Simple brisk walking is all that's needed to get the benefits of exercise, but if
this patient wants to try something "new," there are endless variations on aerobic
exercise, with programs offered through fitness centers, on TV, and online.
Many patients believe that dyspnea is in itself dangerous, and need reassurance that
mild sustained dyspnea during exercise is safe (& in fact is the goal).
Inspiratory muscle training has shown benefit in some trials but should be
considered adjunctive. By no means should it replace aerobic exercise. Strength
training is also beneficial, and can be added to an aerobic exercise program in
highly motivated patients.
Question 20 of 82 (score?)
A 65-year-old man presents with symptoms of myasthenia gravis and a chest CT is
performed, showing a large anterior mediastinal mass. A needle biopsyconfirms
thymoma. The mass is locally advanced, compressing the superior vena cava
(SVC) but not clearly invading the SVC or the pericardium. He has mild COPD
with FEV 70% predicted with no cardiac history.
Which of the following statements is true?
A. An attempt at surgical resection should be made.
B. The mass is unresectable; refer for radiation.
C. Myasthenia symptoms suggest a poorprognosis.
D. Neoadjuvant chemotherapy could improve resection and survival.
E. Absence of malignant features on histology is the strongest predictor of
survival.
You answeredD.
We agree that A and D are the best answers.
Thymomas and thymic carcinomas are neoplasms which may arise from the
thymus. In any case where there is not clear invasion into mediastinal structures
41
(blood vessels, pericardium, pleura), surgical resection should be attempted.
Retrospective series strongly suggest surgical resection offers the bestcure,
although there are no randomized controlled trials of surgery vs. nonsurgical
treatments. This patient's mild lung disease should not preclude surgery.
The histopathology of thymic neoplasms is complex and has an uncertain
contribution to prognosis, because histology is heterogeneous within the tumor
(e.g., carcinoma and thymoma may exist simultaneously in different areas).
Invasion through the thymic capsule into surrounding tissues does diminish
expected survival. However, even with a small degree of local invasion, 5-year
survival with resection is >80%. There are multiple staging systems, with the
Masaoka system most widely used.
Myasthenia gravis (MG) symptoms are present in up to 50% of people with
thymomas, but are rare in thymic carcinoma. Symptoms of MG are associated with
less advanced disease, and resection of the thymoma reduces myasthenia
symptoms (without eliminating them) in most patients.
Palliative radiation is appropriate for cases of unresectable disease. Adjuvant
radiation therapy after resection is strongly recommended after incomplete
resection. After cases of complete resection, adjuvant radiation has an unlikely
benefit except perhaps in stage III disease.
Thymomas are chemotherapy-sensitive. Neoadjuvant chemotherapy may be used
for large bulky masses that on imaging, appear too technically difficult to resect
completely. There are multiple chemotherapy regimens, most of which are based
on cisplatin (e.g., adding doxorubicin, cyclophosphamide and prednisone).
Followup should continue for at least 10 years. Chemotherapy is the preferred
treatment for recurrent or metastatic disease.
Question 21 of 82 (score?)
A 40 year old man underwent bilateral lung transplantation 8 months ago for cystic
fibrosis. He is both a CMV and EBV mismatch (donorseropositive, recipient
42
seronegative). He has done relatively well, but today presents with weight loss,
fever, and night sweats for 2 weeks. A chest CT shows more than 10 lung nodules
bilaterally, varying in size between 0.5 and 4.0 cm, and and mild mediastinal
lymphadenopathy. He is taking tacrolimus, mycophenolate mofetil, and
prednisone.
He undergoes CT-guided biopsy of a large peripheral nodule, and it demonstrates
innumerable clustered lymphocytes. Flow cytometry establishes a polyclonal B-
cell population. Culture of the biopsy is pending. An interferon-gamma release
assay is also pending.
What's the best next step?
A. Initiate anti-bacterial and anti-tuberculosis therapy, pending culture results.
B. Initiate ganciclovir therapy.
C. Reduceimmunosuppression.
D. Perform bronchoscopywith EBUS-guided biopsy of mediastinal lymph nodes.
E. Consult thoracic surgery for mediastinoscopy.
We feelthat C is the best answer.
Post-transplant lymphoproliferative disorder (PTLD) results from EBV infection of
lymphocytes (of donoror recipient origin), inducing them to proliferate and
aggregate where they shouldn't. More than 80% of cases involve B-cell
proliferation; 15% are from T-cells. PTLD occurs in 2-9% of lung transplant
recipients, mostly among those who were EBV-seronegative before transplant.
Multiple well-formed lung nodules is the usual presentation, often with
constitutional symptoms. PTLD tends to present at an advanced stage in lung
transplant recipients. It may involve other organs (including the central nervous
system, abdominal organs, and skin). Pathology demonstrates polyclonal
proliferation of lymphocytes. (Non-Hodghkin lymphoma can also result, which
would result in a monoclonal lymphocyte population on biopsy.)
Reduction in immunosuppression permits the host immune system to suppress
EBV replication and can result in regression of lung lesions and symptoms in
PTLD. However, this increases the risk of acute rejection. Other treatments have
been reported to be successfulin case reports/series:
 Surgical excision
 Radiation therapy
43
 Chemotherapy
 Extracorporeal photochemotherapy
 Retransplantation
 Ganciclovir, rituximab, interferon alfa
Overall, the prognosis of PTLD is guarded, due to the risks of recurrence, and
rejection with reduction in immunosuppression.
Question 22of 82 (score?)
This 48 year old man had right middle and lower lobectomies last year for non-
small cell lung cancer. He did relatively well since, but has now been admitted
from oncology clinic with a fever and a high white blood cell count, and BP of
95/60 with a HR of 125. He is not immune-suppressed and last saw a doctor4
months ago. Doses of levofloxacin and azithromycin have been given.
44
45
46
As the best next step, you recommend:
A. Thoracentesis
B. Bronchoscopywith bronchoalveolar lavage
C. Tube thoracostomy
D. Expedited radiation and salvage chemotherapy
E. Change antibiotics to piperacillin/tazobactam, vancomycin and amikacin.
We feelthat C and A are the best answers.
This may be an empyema, and should be considered one until proven otherwise.
The contrast-enhancing, thickened visceral and parietal pleura on the CT images
are a good example of the "split pleura sign," suggestive of empyema or
47
hemothorax. (A thickened pleura can also be present after lobectomy alone, so this
sign is less specific here.) Thoracentesis would not be inappropriate, but we felt
definitive drainage was best given the patient's sepsis.
Note that the large apparent effusion on scoutchest CT is nearly all due to the
opacity created by an elevated liver/diaphragm due to volume loss after his large
lung resection (see the liver at the level of the heart, on axial cuts). Ultrasound
would help avoid sticking this with a thoracentesis needle. The actual empyema
volume is small. (Cultures of the pleural fluid grew S. pneumoniae). This patient
got a chest tube; these images were actually post-chesttube removal (the original
CT showed an identical-sized fluid collection), which is likely responsible for the
gas bubbles in the effusion.
Without recent health-care contacts or immune suppression, empiric antibiotics for
community-acquired pneumonia are appropriate, and bronchoscopywould not be
expected to help. Even if the effusion were malignant, drainage would be indicated
before further cancer treatments.
Question 22 of 82 (score?)
You've just diagnosed a 32 year old woman with idiopathic pulmonary arterial
hypertension (IPAH) based on the right heart catheterization results below. She
had been lost to followup after her initial evaluation months ago; she now has
dyspnea at rest, lower extremity and sacral edema, and is housebound and
requiring assistance with housekeeping. SaO2 is 85% during ambulation.
Right atrial pressure 14 mm Hg
Right ventricle pressure
69/16 mm
Hg
Pulmonary artery pressure
69/30 mm
Hg
Mean PA pressure 46 mm Hg
48
Pulmonary capillary wedge
pressure
11 mm Hg
Cardiac index
1.6
L/min/m2
Pulmonary vascular
resistance
11 Wood
U
Infusion of nitric oxide reduces the mean PA pressure to 39 mm Hg. The cardiac
index also falls, to 1.3 L/min/m2.
You prescribe warfarin, oxygen therapy, and furosemide. The best choice for
additional therapy is:
A. Oral sildenafil.
B. Oral bosentan.
C. Inhaled treprostinil.
D. I.V. epoprostenol.
We agree that D is the bestanswer.
This patient is WHO Class IV, the most advanced stage of PAH, with dyspnea at
rest and evidence of right heart failure on exam (anasarca). U.S. and European
expert guidelines recommend intravenous prostacyclin analogues (e.g.,
epoprostenol, treprostenil) for WHO Class IV PAH, as there is a larger bodyof
evidence for efficacy with these agents (particularly epoprostenol)than for oral or
inhaled agents.
Vasodilator agents have not been compared well head-to-head, and for less-severe
PAH (WHO class III and below) various agents (oral, IV, or inhaled) are
considered appropriate, depending on the patient's particular severity of disease,
personal preferences, and other risk factors that may be present.
The European Society of Cardiology's 1A recommendations (strong, based on
high-quality evidence) for PAH are:
49
Evidence
level
WHO class II WHO class III
WHO class
IV
I - A
Ambrisentan,
bosentan, sildenafil
Ambrisentan, bosentan, sitaxetan,
sildenafil, epoprostenolIV, iloprost
inhaled
Epoprostenol
IV
Warfarin, oxygen, and diuretic therapy should be standard treatment for advanced
IPAH, barring contraindications. A vasodilator responseis indicated by a drop in
mean PA pressure by 10 mm Hg to less than 40 mm Hg, without a drop in cardiac
output.
Question 23 of 82 (score?)
You are asked your opinion about a 52 year old woman with pleural effusions. She
has decompensated congestive heart failure, but because her effusions were
asymmetric, the admitting physician performed thoracentesis. 1,500 mL of straw-
colored fluid were removed from the left hemithorax, with relief of dyspnea. Since
admission, the patient has received diuretics with further reduction in dyspnea.
Your colleague would like help interpreting the results of the pleural fluid studies:
 Glucose 85 (normal)
 pH 7.38 (normal)
 Protein 4.0 g/dL (serum: 7.4; ratio = 0.56)
 LDH 230 (serum: 290; ratio = 0.79)
 N-terminal brain natriuretic peptide of pleural fluid 1,800 pg/mL
Based on the information you have, what's the best way to describe this effusion?
A. It's exudative, because the findings meet Light's criteria.
B. It's transudative, because the pH and glucose are normal.
C. Tube thoracostomywill likely be necessary for complete drainage.
D. It's due to congestive heart failure, as demonstrated by the clinical picture and
markedly elevated NT-BNP.
E. It's not possible to say, from the information provided.
50
We feelthat D is the best answer.
Light's criteria* are sensitive, but not specific for exudative pleural effusions.
About 25% of transudative effusions may be misclassified as exudates by the
criteria. The transudative effusions of congestive heart failure patients, drained
after diuretic therapy is given, are commonly misclassified as exudates this way
Presumably, the diuretics remove water and increase the concentration of protein
and LDH in pleural fluid.
A gradient of more than 3.1 g/dL in protein concentration between the pleural fluid
and serum (as seen here) correctly reclassifies many effusions as transudates. In
effusions due to CHF, N-terminal BNP in the pleural fluid > 1,500 pg/mL is
better than the serum-pleural protein gradient at accurately reclassifying "exudates"
as transudates. Notably, pleural fluid BNP is much less reliable than pleural fluid
NT-BNP for this purpose.
Properly reclassifying a CHF-related effusion as a transudate spares the patient
unnecessary further testing and treatment. Therapeutic thoracentesis could be
provided to relieve severe dyspnea, but tube thoracostomygenerally should not be
performed.
* Light'scriteria: Pleural fluid-to-serum protein ratio > 0.5; LDH in pleuralfluid
> 60% of serum value; LDH > 2/3 the upper limit of normalfor serum.
Question 24 of 82 (score?)
A victim of a house fire is brought to your ICU from the ED. He was found in his
garage where he has a sophisticated workshop, according to a neighbor, but no one
knows what chemicals may have been present. He was comatoseand was intubated
in the field. He is only minimally burned; a rapid bronchoscopyin the ED showed
no serious mucosal injury.
His vital signs: HR 110, BP 100/70, easily bag-mask ventilated, oxygen saturation
of 94% with an FiO2 of 0.90.
His ABG is 7.20 / 44 / 80, with 24% methemoglobin. Lactic acid is 7.5. The ED
MD placed a central venous catheter, and central venous oxygen saturation is 90%,
with a pO2 in venous blood of 68.
51
What therapy do you prioritize first?
A. Hydroxycobalamin and sodium thiosulfate
B. Amyl nitrite
C. Pralidoxime
D. Hyperbaric oxygen
E. Benzodiazepines
You answeredA.
We agree that A is the bestanswer.
Up to 35% of fire victims have cyanide poisoning. Incinerated plastics, rubber,
polyurethane, and melamine (in household goods)can all release lethal inhaled
doses ofcyanide. Sodium nitroprusside in prolonged infusions or in people with
renal failure is another cause. Cyanide disrupts mitochondrial oxidative
phosphorylation and aerobic metabolism of glucose. Signs of cyanide poisoning
include a high venous pvO2 with a low venous-arterialpO2 gradient (due to
inadequate peripheral tissue oxygen use) and an anion-gap lactic acidosis.
Symptoms can affect virtually all organ systems, the most serious including coma;
pulmonary edema with respiratory failure; and hypertension, followed by
hypotension, bradycardia, ventricular dysrrhythmias and cardiopulmonary
collapse.
Cyanide poisoning is rare but lethal, and definitive diagnosis (by serum cyanide
level) may require hours. Therefore, empiric therapy should be given rapidly if
cyanide toxicity is suspected. Sodiumthiosulfate is a sulfur donor that transforms
cyanide to a less-toxic compound, and should be given to all suspected victims.
Amyl nitrite is a standard co-antidote, working by producing methemoglobin,
which then binds and detoxifies cyanide. (Sodium nitrite or dimethylaminophenol
also induce methemoglobinemia and are alternate agents; methylene blue releases
free cyanide and should not be given if cyanide toxicity is suspected). This patient
already has serious methemoglobinemia likely due to carbonmonoxide inhalation,
however, and worsening this could be catastrophic. Hydroxycobalamin directly
binds and detoxifies cyanide, without producing methemoglobin, and should be
administered with sodium thiosulfate. Hyperbaric oxygen may reduce cognitive
sequelae of carbon monoxide poisoning (although a Cochrane review casts doubt
on this), but shouldn't take first priority.
52
Pulse oximetry and arterial blood gas can be unreliable in cases of severe smoke
inhalation. Carbon monoxide poisoning increases carboxyhemoglobin, falsely
raising SaO2; methemoglobinemia tends to push SaO2 toward 85% (due to equal
absorption of oxyhemoglobin and deoxyhemoglobin wavelengths).
Methemoglobinemia can also cause ABG to overestimate SaO2, but is helpful in
showing the levels of carboxyhemoglobin and methemoglobin. Co-oximetry
measures 4 wavelengths of light (compared to regular oximetry's 2) and is
necessary to accurately identfy the oxyhemoglobin level (saturation) in cases of
carbonmonoxide poisoning.
Cyanide affects virtually all bodytissues, attaching itself to ubiquitous
metalloenzymes and rendering them inactive. Its principal toxicity results from
inactivation of cytochrome oxidase (at cytochrome a3), thus uncoupling
mitochondrial oxidative phosphorylation and inhibiting cellular respiration, even in
the presence of adequate oxygen stores. Cellular metabolism shifts from aerobic to
anaerobic, with the consequent production of lactic acid. Consequently, the tissues
with the highest oxygen requirements (brain and heart) are the most profoundly
affected by acute cyanide poisoning.
Smoke inhalation, suicidal ingestion, and industrial exposures are the most
frequent sources of cyanide poisoning.
Smoke inhalation
Studies in France, Sweden, and Scotland, as well as in the United States, have
documented smoke inhalation as an important sourceof cyanide poisoning.
Individuals with smoke inhalation from enclosed spacefires who have sootin the
mouth or nose, altered mental status, or hypotension may have significant cyanide
poisoning (blood cyanide concentrations >40 mmol/L or approximately 1 mg/L).
Many compounds containing nitrogen and carbon may producehydrogen cyanide
(HCN) gas when burned. Some natural compounds (eg, wool, silk) produceHCN
as a combustion product.
Household plastics (eg, melamine in dishware, acrylonitrile in plastic cups),
polyurethane foam in furniture cushions, and many other synthetic compounds
53
may producelethal concentrations of cyanide when burned under appropriate
conditions of oxygen concentration and temperature.
Intentional poisoning
Cyanide ingestion is an uncommon, but efficacious, means of suicide, often
involving cyanide salts found in hospital and research laboratories. Not
surprisingly, individuals in certain occupations, suchas health-care and laboratory
workers, are at risk for suicidal ingestion of cyanides.
Industrial exposure
Countless industrial sources ofcyanides exist. Cyanides serve an extremely
important role in the metal plating and recovery industries. In addition, industry
uses cyanides in the manufacture of plastics, as reactive intermediates in chemical
synthesis, and as solvents (in the form of nitriles).
Exposure to salts and cyanogens occasionally causes poisonings; however, a
significant risk for multiple casualties occurs when these products comeinto
contact with mineral acids because HCN gas is produced. Water contactwith the
soluble salts (eg, potassium, sodium cyanide) also may liberate HCN.
Iatrogenic exposure
Sodium nitroprusside, when used in high doses orover a period of days, can
producetoxic blood concentrations of cyanide. Patients with chronic renal failure,
pediatric patients, and those with low thiosulfate reserves (eg, malnourished,
postoperative) are at increased risk for developing symptoms, even with
therapeutic dosing. Resultant confusion and combativeness initially may be
mistaken as intensive care unit (ICU) syndrome (ie, sundowning). Problems may
be avoided by coadministration of hydroxocobalamin or sodium thiosulfate.
Ingestionof cyanide-containing supplements
Ingestion of cyanide-containing supplements is rare. Amygdalin (synthetic laetrile,
also marketed as vitamin B-17) contains cyanide and can be found in the pits of
many fruits, such as apricots and papayas; in raw nuts; and in other plants (lima
beans, clover, and sorghum).
The substancewas thought to have anticancer properties due to the action of
cyanide on cancer cells. However, laetrile showed no anticancer activity in human
54
clinical trials in the 1980s and is not available in the United States,[2] although it
can be purchased on the Internet.
EmergencyDepartment Care
Initial emergency department care for patients with cyanide exposure is identical to
that provided in the prehospital phase.
Provide supportive care, including the following:
 Airway control, ventilation, 100% oxygen delivery
 Crystalloids and vasopressors, as needed, for hypotension
 Sodium bicarbonate titrated according to arterial blood gas (ABG) and
serum bicarbonate level
Decontaminate the patient with removal of clothing/skin flushing and/or activated
charcoal (1g/kg), as appropriate. Activated charcoal should be given after oral
exposure in alert patients who are able to protect the airway or after endotracheal
intubation in unconscious patients. Remember to protectthe health-care provider
from potential contamination.
Administer cyanide antidotes if the diagnosis is strongly suspected, without
waiting for laboratory confirmation. The antidotes include hydroxocobalamin
(Cyanokit) and the Cyanide Antidote Kit, which includes amyl nitrite pearls,
sodium nitrite, and sodium thiosulfate.
Cyanokit
Hydroxocobalamin (Cyanokit), routinely used in Europe, has been approved by the
US Food and Drug Administration (FDA) for treating known or suspected cyanide
poisoning.[7, 8]
Hydroxocobalamin combines with cyanide to form cyanocobalamin (vitamin B-
12), which is renally cleared. Hydroxocobalamin administration resulted in faster
55
improvement in mean arterial pressure but similar mortality and serum acidosis, as
compared with sodium nitrite, in animals.[9]
A repeat doseof hydroxocobalamin and/or coadministration of sodium thiosulfate
(through a separate line or sequentially) have been suggested to improve
detoxification and are recommended in patients with continuing elevated lactate
levels or continuing signs of cyanide toxicity.[10, 11]
Adverse effects of hydroxocobalamin administration include transient hypertension
(a benefit in hypotensive patients), reddish brown skin, mucous membrane and
urine discoloration, and rare anaphylaxis and anaphylactoid reactions. It also
interferes with co-oximetry (about a 5% increase in carboxyhemoglobin levels)
and blood chemistry testing (bilirubin, creatinine kinase and possibly liver
enzymes, creatinine, phosphorus,glucose, magnesium, and iron levels) due to its
bright red color.[12] It can also interfere with hemodialysis.[13]
Certain medications should not be administered simultaneously or through the
same line as hydroxocobalamin, including diazepam, dopamine, dobutamine, and
sodium thiosulfate.
Cyanide Antidote Kit
The Cyanide Antidote Kit contains amyl nitrite pearls, sodium nitrite, and sodium
thiosulfate. Amyl and sodium nitrites induce 15-20% methemoglobinemia in red
blood cells, with methemoglobin combining with cyanide and releasing
cytochrome oxidase enzyme. Inhaling crushed amyl nitrite pearls is a temporizing
measure before IV administration of sodium nitrite.
Sodium thiosulfate enhances the conversion of cyanide to thiocyanate, which is
renally excreted. Thiosulfate has a somewhat delayed effect and thus is typically
used with sodium nitrite for faster antidote action.
Avoid the nitrite portion of the kit in patients with smoke inhalation unless
carboxyhemoglobin concentration is very low (< 10%). The induction of
methemoglobinemia from the nitrites, in addition to present
carboxyhemoglobinemia, significantly reduces the oxygen-carrying capacity of
blood.
In patients with preexisting anemia, the sodium nitrite doseneeds to be reduced
dosein proportion to the hemoglobin concentration. Consult a regional toxicology
center for appropriate dosing.
56
Vasodilatation leading to hypotension is another adverse effect of the Cyanide
Antidote Kit.
Question 25:
A 51 year old woman is referred to you by her infectious disease physician for a
second opinion. She has had cough and worsening dyspnea for a few months. For
this, she underwent open lung biopsy elsewhere; transbronchial biopsies showed
noncaseating granulomas. She was diagnosed with sarcoidosis, and her ID doctor
wants your OK before starting steroids.
She has HIV, well-controlled on antiretroviral therapy with a CD4 count of 550.
Exam is notable for oxygen saturation of 92% on ambient air and faint crackles at
the lung bases. PFTs showa mild restrictive defect and moderate diffusion
impairment. Chest X-ray is within normal limits and shows no hilar
lymphadenopathy. Chest CT images are below.
57
58
You review the pathology results, which describe"noncaseating granulomas and
monotonous sheets of T and B lymphocytes in the lung interstitium."
What's the most likely diagnosis?
A. Lymphocytic interstitial pneumonia.
B. Primary pulmonary lymphoma.
C. Secondarypulmonary lymphoma.
D. Sarcoidosis.
E. Pneumocystis pneumonia.
We feelthat A is the best answer.
Lymphocytic interstitial pneumonia is an uncommon condition that usually occurs
in association with some form of immune dysfunction or dysproteinemia, such as
autoimmune disease, HIV or EBV infection, or multiple myeloma. A few cases
may occurwithout such comorbidities. In LIP, sheets of polyclonal T and B
lymphocytes infiltrate the lung interstitium, causing a variable degree of
dysfunction.
Clinical:Cough and dyspnea are most common, but systemic/constitutional
symptoms can occur. Hypoxemia and clubbing are common in more severe
disease.
59
Diagnosis:Requires open lung biopsyfor confirmation. Besides sheets of
polyclonal lymphocytes, plasma cells and macrophages, giant cells, noncaseating
granulomas, amyloid deposition, lymphoid germinal centers, and fibrosis may all
be found on biopsy. Dominant findings are in the interstitium but may "spill" into
the airspaces.
Imaging:Chest film with reticular opacities later coalescing into
airspace/interstitial pattern. Chest CT with centrilobular nodules; ground glass;
thickened interlobular septa; later with cystic airspace disease and consolidation.
Late honeycombing is possible.
PFTs:Usually restrictive, with a diffusion impairment.
Bronchoscopy: Lavage shows an abundant T-cell lymphocytosis.
Treatment:Corticosteroids have been reported to be beneficial in case series.
Prognosis: Unpredictable, varying from indolent to progressive and fatal. Some
patients' pulmonary disease may progress despite corticosteroids. Since LIP is
usually a feature of an immune condition, prognosis is believed to be dependent on
the underlying condition. Although LIP may progress to a low-grade pulmonary or
systemic lymphoma, this seems to be uncommon (~5%).
Sarcoidosis is unlikely in the absence of lymphadenopathy, and does not have
sheets of lymphocytic infiltration on biopsy. Lymphomas are generally defined as
monoclonal, not polyclonal B or T cell populations. Pneumocystis pneumonia is
unlikely in well controlled HIV at this CD4 count.
60
Question 26of 82 (score?)
A patient taking pramipexole for restless legs syndrome for the past 2 years
complains of symptoms worsening and occurring earlier in the day, and feeling
symptoms in her arms as well as legs. Ferritin is 125 (normal).
What do you recommend?
A. Add another doseof pramipexole earlier in the day.
B. Switch to a benzodiazepine 1-2 hours before bed.
C. Switch to levodopa 1-2 hours before bed.
D. Start iron replacement therapy.
You answeredA.
We agree that A and B are the best answers.
Augmentation of restless legs syndrome (increase in symptom severity,
occurrence earlier in the day, spreading to other bodyparts) is less common with
dopamine agonists than with levodopa, but can occurand is more common after
years of therapy.
Interestingly, increasing dopamine-agonist therapy by adding a doseearlier in the
day can diminish augmentation symptoms, and would be reasonable to try.
Switching to another dopamine-agonist (e.g. ropinirole) would be reasonable.
Levodopais a viable option but is recommended by an expert advisory panel to be
used only for intermittent RLS.
Benzodiazepines at night (diazepam, clonazepam) are a well-established therapy
for RLS and could be substituted for the pramipexole.
Carbergoline works well for RLS but is used rarely (it causes cardiac valve disease
when used at high doses for Parkinson's).
Gabapentin, opioids (codeine, methadone, tramadol, etc), pregabalin, and other
drugs have been shown beneficial for RLS in studies of varying quality.
61
Iron deficiency should be treated if present in people with RLS, but a normal
ferritin rules it out in the absence of acute illness. Iron deficiency itself is not
known to cause augmentation.
Question 27 of 82 (score?)
It's 1962, and you work for an insurance company. It's a boring job but they assign
you an interesting project. They're pretty sure smoking causes lung cancer, and
they want to prove it so they can defend raising premiums on all their smokers.
What's the most appropriate study design to answer the question of whether
smoking causes lung cancer?
A. Randomized controlled trial.
B. Case series review.
C. Cohortstudy.
D. Case-controlstudy.
E. Telephone survey.
We feelthat C is the best answer.
Randomized controlled trials have the greatest strength in proving causation.
However, randomizing people to smoke or not to smoke would be unethical.
A cohort study is the next best study design to prove causality. In a prospective
cohortstudy, one cohortof subjects with the exposure of interest (i.e., smokers)
and one without (non-smokers) are followed over time for the development of the
outcome of interest (lung cancer). With large enough cohortsizes, other potentially
confounding factors can be controlled for, and the independent contribution of the
exposure determined with a high degree of confidence. The main downside of
cohortstudies is that they take a long time (years).
In a case-controlstudy, cases (i.e., people with lung cancer) are identified within a
database, and are compared against controls (people without lung cancer) across
multiple factors. Statistical analysis identifies factors (e.g., smoking, age, diet) that
are distributed differently between cases and controls. A factor that is much more
prevalent in lung cancer cases (such as smoking) is then identified as a risk factor.
Case-controlstudies can be donerapidly and cheaply compared to randomized
62
trials and cohortstudies, but can only establish associations between exposures and
outcomes;case-controlstudies can't prove causation.
Case series and telephone surveys aren't controlled, and can't establish causation at
all. At most, they might generate a hypothesis for a well-conducted clinical study
of one of the above types.
Question 29 of 82 (score?)
A 58 year old man in your clinic has chest pain and palpitations. He becomes
diaphoretic; blood pressure is 80/60.
According to ACLS algorithms, what is the next thing you should do?
A. Perform synchronized electrical cardioversion.
B. Give a chewed 160-325 mg aspirin.
C. Obtain IV access.
D. Give amiodarone 300 mg IV.
E. Perform unsynchronized cardioversion (defibrillation dose).
You answeredA.
We agree that A is the bestanswer.
This is symptomatic or unstable ventricular tachycardia, based on hypotension
(systolic BP < 90) and symptoms (chest pain). Current ACLS guidelines (good
through 2015) advise immediate electrical cardioversion. Shocks of 50-100 joules
are appropriate initially, escalating to 200 J if unsuccessful.
63
Question 30of 82 (score?)
You are consulted for pleural effusions in a 61 year old man directly admitted to
the hospital an hour ago. He presented with progressive dyspnea and leg swelling
and no other symptoms. He has jugular venous distension, dullness at the lung
bases, and pitting leg edema. Vitals are all normal except for BP 145/90. He has
NYHA III symptoms (dyspneic walking across the room). He has received no
treatments yet.
Chest X-ray shows moderate-sized bilateral pleural effusions and an enlarged
cardiac silhouette. An echocardiogram and labs are pending.
What's the best initial management for this patient's pleural effusions?
A. Diagnostic thoracentesis (unilateral).
B. Diagnostic thoracentesis (bilateral).
C. Therapeutic thoracentesis (bilateral, with a chest film in between).
D. Diuretics and afterload reduction.
E. All of the above.
We feelthat D is the best answer.
Clinically, this patient has congestive heart failure. It's overwhelmingly likely that
the effusions are due to his CHF, and a diagnostic thoracentesis is not necessary. A
few proposedindications for performing diagnostic thoracentesis in people with
CHF-related pleural effusions are:
 Fever (to diagnose a possible pleural infection)
 Grossly asymmetrical effusions
 Chest pain (suggesting an inflammatory process affecting the pleura)
None of these are present here. Therapeutic thoracentesis is reasonable in people
with severe dyspnea due to decompensated CHF, but not as initial therapy before
first-line, noninvasive, medical therapy has been provided (diuretics and afterload
reduction with vasodilator therapy). These may rapidly eliminate the effusions and
symptoms.
64
Question 32 of 82 (score?)
Mr. R, your 76-year old man in bed 3, just experienced a cardiac arrest on ICU day
6, after admission for septic shocklast week. His lack of other medical problems,
along with a reduced need for his norepinephrine infusion and mechanical
ventilatory support, had led you to hope he was improving. This morning, though,
his blood pressure abruptly plummeted and he had a PEA arrest, with recovery of
spontaneous circulation after 9 minutes of ACLS. After the code, you collect your
thoughts and head out of the room to talk to his wife.
After hearing you explain the situation, she asks, "Doctor, what are my husband's
chances of coming home from the hospital to live a normal life with me?" You
gently inform her it will require a few more days to provide the most accurate
prognosis.
At this point in time (immediately post-resuscitation in the ICU), based on large
observational series, what are Mr R's chances for being discharged home with a
good neurologic outcome?
A. 48%
B. 32%
C. 16%
D. 4%
E. It's impossible to say.
You answeredD.
We agree that D is the bestanswer.
Prognosis after a first cardiac arrest occurring in the ICU is poor. An observational
study of almost 50,000 such arrests showed an overall survival to hospital
discharge of 16%. Requiring vasopressors priorto the arrest was a major
discriminator in outcome:
65
 Only 10% of patients on pressors prior to arrest survived to discharge, and
only 4% were discharged home (the others went to rehab or long-term acute
care).
 Among those with PEA/asystole despite pressors,only 1.7% were able to
perform their own activities of daily living at the time of discharge.
 People with ventricular fibrillation or tachycardia not requiring pressors
prior to arrest did much better: 40% survived, 20% went home, and 17%
had good neuro outcomes.
 These data did not provide longitudinal outcomes data post-hospital
discharge (e.g., neurological & functional recovery after 6 months);
however, those outcomes are usually also poor(see below).
Physicians do not usually convey prognosis after cardiac arrest (or critical illness
in general) accurately or effectively to patients' families (according to those
families' responseto surveys). Although such discussions are difficult for all
parties involved, families require and deserve this information as they struggle
with their roles as surrogate decision makers. Although some people discharged to
rehabs or LTACs may recover function, it would be dishonest to give false hope by
suggesting this as anything other than a long shot, especially after an in-ICU
cardiac arrest. Only a minority of people survive one year after LTAC admission,
and many fewer recover to live without needing major assistance.
For example, in a 2009 study of 126 patients receiving tracheostomies for
prolonged mechanical ventilation for various causes of respiratory failure, 93% of
surrogates expected their loved one to survive one year, recovering full function &
independence (71%) and good quality of life (83%), while only 6% of physicians
expected independence and only 4% a good quality of life. But only 26% of
surrogates recalled the doctorproviding any information about survival, quality of
life, and need for caregiving. A third of the families reported it was the doctor's
decision, not theirs, to perform tracheostomy. (The real outcomes at 1 year: 56% of
those patients did survive; 9% regained independence; surrogates reported good
quality of life in 33% of the survivors, or 19% of the original sample. The majority
of survivors were cared for at home, and surrogates reported significant personal
emotional and financial strain.
66
Question 33 of 82 (score?)
You are using airway pressure release ventilation (APRV or "bi-level") for Ms. P,
a 76-year-old woman with ARDS from sepsis. She has been on mechanical
ventilation for 5 days. She is in shockand is on vasopressors. Her ventilator
settings are:
P[high] = 30; P[low] = 0
T[high] = 5 sec; T[low] = 0.6 sec
PEEP = 0; FiO2 = 0.55
Her most recent arterial blood gases are:
pH 7.25, paCO252; paO2 62 (8 hours ago)
pH 7.19, paCO262; paO2 60 (30 minutes ago)
Her ideal bodyweight is 60 kg and she is receiving tidal volumes (Vt) of 360 mL.
Mean airway pressure is 24 mmHg.
The bestthing to do next would be to:
A. Increase FiO2 to 0.65
B. Increase PEEP to 5
C. Decrease T[high] to 4 sec
D. Decrease P[high] to achieve Vt of 5mL / kg
E. Decrease T[low] to 0.4 sec
We feelthat C is the best answer.
Ms P is hypoventilating due to an inadequate minute ventilation being delivered.
Airway pressure release ventilation (APRV or "bi-level") cycles between two
alternating levels of CPAP, P[high] and P[low], whose durations are determined by
T[high] (usually several seconds)and T[low] (usually a fraction of a second). This
pattern maintains a stable high mean airway pressure, keeping alveoli open and
67
augmenting oxygenation--an "openlung" strategy. APRV can also be viewed as a
form of pressure-controlled, inverse-ratio ventilation. Ventilation (exhaled tidal
volume and CO2) occurs during the pressure drop from P[high] to P[low] (hence
"pressure release ventilation"). PEEP is usually set to 0, but the short time at
P[low] creates beneficial auto-PEEP and prevents alveolar collapse. Patients may
take small additional breaths throughout the entire cycle; these Vt improve alveolar
recruitment and oxygenation but contribute little to minute ventilation.
The most effective way to increase minute ventilation in APRV is to decrease
T[high], which increases the frequency of breaths. Although Ms P's ABG is
acceptable for a patient with ARDS, her acidemia is worsening. Many would argue
that hypercarbic respiratory acidemia (down to pH of 7.15 or so)is well-tolerated
and poses little risk. However, the trend is concerning and potentially dangerous
should it continue. This is an easy ventilator change to make with no apparent risk.
Reducing minute ventilation further by reducing delivered tidal volumes would be
unwise when peak and mean pressures are acceptable, and while her respiratory
acidemia is worsening. Increasing PEEP would also reduce her delivered minute
ventilation, because there would be a smaller pressure gradient between P[high]
and P[low]. Decreasing T[low] by 0.2 sec would probably have little effect. Her
oxygenation is fine; changing FiO2 is not necessary.
Question34 of 82 (score?)
A 64 year old man complains of shortness of breath after a successfulcoronary
artery bypass graft surgery 5 weeks prior. He is found to have a large left-sided
pleural effusion (about 50% of the hemithorax) and readmitted to his surgeon's
team. A thoracentesis drains 1,800 mL of fluid, relieving his dyspnea, A follow-up
chest film shows minimal remaining fluid. He had no other presenting symptoms
besides dyspnea, and is asymptomatic now. The fluid was exudative (LDH 400)
and had 1,100 white cells/mL, 71% lymphocytes. He looks and feels better and
wants to go home. The cardiothoracic surgeon asks you your opinion.
What's the best advice to give?
68
A. Stay in the hospital to monitor for reaccumulation and for culture results.
B. Dischargehome; if the fluid reaccumulates we'll justtap it again.
C. Dischargehome; if the fluid reaccumulates we'll place a chest tube.
D. Dischargehome; if the fluid reaccumulates we'll place a pleural drain.
E. Place a chesttube now, as the likelihood of rapid recurrence is high.
You answeredB.
We agree that B is the best answer.
Pleural effusions are common after cardiac surgery. Most are due to inflammation
and anatomic disruption from the surgery itself, and are generally benign. These
are called nonspecific pleural effusions, and may occurearly (<30 days) or late
(>30 days) after surgery. If small, asymptomatic, and developing early after
surgery, nonspecific pleural effusions require no further evaluation.
Late, large (>25% of the hemithorax) and/or symptomatic nonspecific pleural
effusions should be drained and the fluid analyzed in the usual fashion, as
hemothorax, parapneumonic effusions, chylothorax, and other etiologies are also
possible.
The fluid in both early and late nonspecific pleural effusions is usually exudative
and leukocyte-rich, reflecting the causative inflammatory process. Early effusions
are often bloodyand rich in eosinophils and neutrophils; late effusions are more
clear (but exudative) and rich in lymphocytes.
Treatment of nonspecific pleural effusions (if needed) post-cardiac surgery is
drainage with thoracentesis. More aggressive measures are rarely required,
although repeat thoracenteses (up to 3) may be necessary. NSAIDs and
glucocorticoids have also been used in a non-evidence based fashion.
Postpericardiotomysyndrome is a distinct, persistent inflammatory state that
occurs days to weeks after cardiac surgery, and frequently results in pleural
effusions. In contradistinction to nonspecific pleural effusions, pericardial
effusions, fever, chest pain, leukocytosis, pleural and/or pericardial rub are usually
present (similar to / forme fruste of Dressler's syndrome). The pleural effusion may
be small, but is often bloody, exudative, and leukocyte-rich. NSAIDs and/or
glucocorticoids are the mainstay of treatment.
69
Post-CABG effusions that recur and persist after multiple thoracenteses, or
persistent effusions discovered late (after months have passed)may require
decortication to prevent trapped lung and loss of lung function.
Question35 of 82 (score?)
A 51-year-old woman comes to your clinic for follow-up. She has coughed up
colored sputum a few days a week for the past 15 years, very infrequently streaked
with blood (none lately). It may be getting a little worse, slowly. She feels at her
baseline today.
A chest X-ray and high-resolution CT scan show extensive bronchiectasis in the
lower lobes bilaterally. She has diabetes, a history of repeated respiratory illnesses,
and a history of non-Hodgkin lymphoma in remission.She was previously followed
by a pulmonologist and says she was told she does not have asthma. She has three
biological children. She never smoked. Other test results include:
 HIV antibody and TB skin test are negative.
 Total IgElevels are normal.
 Sweat chloride test is normal.
 White cell count is 11 with no eosinophils.
She had a bronchoscopylast year during an exacerbation, showing purulent
secretions. The BAL grew >100K H.influenzaeand she was treated with
antibiotics with a return to her baseline.
What would be the best next test to order to determine the underlying cause of her
bronchiectasis?
A. CFTR mutation testing
B. Quantitative immunoglobulins
C. IgG subclass levels
D. Precipitating serumantibodies to Aspergillus
E. Biopsy of nasalepithelium
We feelthat A and B are the best answers.
70
Because some causes of bronchiectasis are treatable, finding the etiology (when
possible) is important. (Even after extensive workup, as many as 50% of cases of
bronchiectasis have no identifiable cause, though.)
This woman has features suggestive of chronic variable immune deficiency
(CVID), in which impaired B-cell differentiation leads to low immunoglobulin
production. Levels of IgG, and usually IgA and/or IgM are all below the lower
limit of normal. An inadequate specific IgG responseafter intentional vaccination
(e.g., with tetanus & diphtheria booster)can help make the diagnosis.
Most CVID patients have a history of bacterial pneumonia and/or rhinosinusitis
(esp. Pneumococcus, Mycoplasma, and Hemophilus); chronic lung disease and
bronchiectasis are common but their exact prevalences are unknown.
Gastrointestinal disease, autoimmune disease (especially hematologic, e.g. immune
thrombocytopenic purpura), and malignancy (especially non-Hodgkin lymphoma
and gastric cancers), are also common.
Noncaseating granulomas in the liver, lungs, and lymph tissue can occurin CVID,
mimicking sarcoid. CVID is in part a diagnosis of exclusion, and other immune
deficient states must be ruled out.
Certain heterozygous CFTR mutations can cause diffuse bronchiectasis in people
with negative sweat chloride testing and without cystic fibrosis.
Measurement of IgG subclasses should only be performed after first checking total
immunoglobulin levels. Information provided in the question stem makes most of
the other major known causes of bronchiectasis less likely:
Condition Features Diagnosis
Primary ciliary
dyskinesia
Situs inversus in 50%; Infertility
in most men & >50% of women
Exhaled nasalnitric oxide;
Nasal brush biopsy
Cystic fibrosis
7% are diagnosed after age 18;
Pseudomonas, non-TB
mycobacteria; Often upper lobe
bronchiectasis
Sweat chloride test >30;
mutation screening of CFTR
gene
Allergic Asthma; usually (+)blood Elevated total IgEand
71
bronchopulmonary
aspergillosis
eosinophils (+)IgE& IgG to Aspergillus;
central bronchiectasis; skin
test reactive to Aspergillus
Common variable
immunodeficiency
Pneumococcus, Hemophilus,
Mycoplasma infections; see
above
Low levels of IgG and
either IgA or IgM; impaired
responseto vaccines
Airway obstruction
Impaired consciousness
(seizures, strokes, EtOH)
CT scan; bronchoscopy
Immunedeficiency Organ transplant, HIV History
Young's syndrome Sinusitis, azoospermia Exclusion
Alpha-1 antitrypsin
deficiency
Less common alternative
presentation fromemphysema
A1ATlevel
Non-TB
mycobacteria
Can be primary process (esp. in
nonsmoking women age 50+) or
secondary infection in existing
bronchiectasis
Sputumculture x 2, or
bronchoscopic samplex 1,
with radiologic/clinical
compatibility
Question41 of 82 (score?)
A 70 year old man had a right upper lobectomy for lung adenocarcinoma 6 months
ago. He came today to his oncologist for a routine surveillance CT scan, which is
72
shown below. The air-fluid level was somewhat lower on his previous scan 3
months ago. No abnormal fistulous tracts are seen on the remainder of the CT. His
white blood cell count is 9 today. He has "good days and bad" and today is one of
his average days. He went for his usual half-mile walk this morning and drove
himself in. His vital signs are normal. His chronic cough productive of white
sputum is unchanged. The oncologist, your colleague in a multispecialty practice,
asks you what you think.
The bestnext step is:
73
A. Observation
B. 14 day courseof Augmentin; call if fever develops
C. Intravenous broad-spectrumantibiotics
D. Needle aspiration of fluid
E. Bronchoscopy with lavage
We feelthat A is the best answer.
The surgically created cavity left behind after a lobectomy or pneumonectomy will
normally slowly fill up with sterile serous fluid, eventually forming an opacity on
imaging with mediastinal shift toward the surgical side. This is likely part of that
process, although it usually happens in weeks, not months. The late appearance of
fluid justifies consideration that a new infection is responsible. However, in the
absence of signs or symptoms, the images shouldn't by themselves dictate workup
or treatment.
A bronchopleural fistula could be considered (the delayed or chronic form; most
BPFs occurin the early postop period), but would always be associated with
symptoms (fever and cough, nonspecific malaise). Acute/subacute BPFs usually
cause a new relative mediastinal shift to the contralateral side; delayed BPFs may
not, as fibrosis (anchoring things in place) has usually occurred. CT scanning is not
sufficiently sensitive for detecting BPF, and absenceof a visible tract on CT does
not rule out the condition. This man went home after his visit and did fine.
Fleischner Society Recommendations
Incidental Pulmonary Nodule Follow-up
74
Question43 of 82 (score?)
A 46 year old man comes to your clinic for management of his asthma. He takes
high-dose inhaled corticosteroids and a long-acting beta agonist, along with a
leukotriene inhibitor. His adherence and technique are perfect.
He still has symptoms of cough, wheezing, and chest tightness that bother him
most days and nights each week. He is using albuterol daily. The symptoms persist
when he goes on vacation out of state.
Sputum culture is negative. IgE level is 3,600 ng/mL. His primary doctorobtained
imaging and a chest CT, which are shown.
75
76
77
78
What should be the next step?
A. Schedule spirometry for next week to guide step-up therapy.
B. Start omalizumab injections every 2 weeks.
C. Sweat chloride testing.
D. Skin testing for reactivity to Aspergillus fumigatus.
E. HIV test.
You answeredD.
We agree that D is the bestanswer.
Allergic bronchopulmonary aspergillosis (ABPA) is an ongoing hypersensitivity
reaction in responseto bronchial colonization by Aspergillus, and is a common
cause of poorly controlled asthma. Cystic fibrosis patients are also often affected.
Bronchial obstruction by mucus and chronic inflammation can lead to
bronchiectasis and lung fibrosis with irreversible loss of lung function.
Clinical features: Cough productive of sputum, frequent "bronchitis"; often with
dyspnea and wheezing.
Diagnosis:By constellation of symptoms and objective findings. "Classic" ABPA
would include the following:
 Asthma history
 Immediate reactivity on skin prick with Aspergillus antigens
 Precipitating serumantibodies to A. fumigatus
 Serumtotal IgEconcentration >1,000 ng/mL
 Peripheral blood eosinophilia >500/mm3
 Lung opacities on chestx-ray or chest HRCT
 Central bronchiectasis presenton chest CT
 Elevated specific serumIgEand IgG to A. fumigatus
A skin test is the best first test, as it is considered 100% sensitive (i.e., a negative
test rules out the condition). A serum IgE < 1,000 or negative precipitating
antibodies also rule out ABPA with high confidence.
Treatment: Not evidence based. Experts have recommended:
79
 Prednisone0.5-1 mg/kg during flares for 14 days with taper over 3-6
months. Follow for >30% drop in serumtotal IgElevels.
 Itraconazole200 mg t.i.d. for 3 days, then b.i.d. for 3-6 months
Differential Dx: Other causes of eosinophilia with pulmonary infiltrates and
elevated IgE include eosinophilic pneumonia, hypereosinophilic syndromes,
Churg-Strauss, Loeffler's syndrome, rheumatoid arthritis, drug reactions, and crack
cocaine use.
Consider: As many as 30% of asthmatics will have positive skin reactivity to
Aspergillus, without meeting full criteria for diagnosis with ABPA; treatment is
guided by symptoms and clinical status, not a single test result. As few as 30% of
people with ABPA may have central bronchiectasis.
Testing for cystic fibrosis and HIV are part of a thorough workup for unexplained
bronchiectasis, but skin testing for Aspergillus reactivity should come first.
Omalizumab is indicated for people with severe persistent asthma with positive
allergy skin testing and IgE levels ~75 to 1,750 ng/mL. Omalizumab has been
reported helpful in children with ABPA and cystic fibrosis in casereports, but is
not a recommended treatment for adults or children with ABPA at this time. Skin
testing should take place prior to starting someone on omalizumab.
Question44 of 82 (score?)
Which of these patients should begin taking isoniazid as treatment for latent
tuberculosis infection (LTBI)?
A. A 62 year old former miner with TST of 13 mm induration, a chronic cough,
and a CXR with fibrocavitary disease and areas of progressive massive fibrosis.
B. A 49 year old woman with rheumatoid arthritis, a TST of 9 mm induration, and
a clear chest film, being evaluated for infliximab therapy.
C. A 52 year old former heroin abuser, HIV negative, with a TST of 7 mm
induration and a clear chest film.
D. A 46 year old salespersonwith a work-screening TST with 12 mm induration, a
previous nonreactive TST 4 years ago, no medical problems and a clear chest film.
We feelthat B is the best answer.
80
Tumor necrosis factor is required to fight mycobacteria, and use of TNF inhibitors
(infliximab, etanercept, adalimumab) is associated with increased risk for
tuberculosis. The CDC recently reduced the TST cutoff for positivity to 5 mm of
induration for patients beginning anti-TNF therapy.
None of the other patients should begin treatment for LTBI. Patient A seems to
have silicosis, making his >10 mm TST positive, but with an abnormal chest film
he may have active tuberculosis and this should be ruled out with sputum analysis
before beginning isoniazid. The other patietns do not meet the accepted criteria for
positivity for latent tuberculosis infection by tuberculin skin test (TST)/ purified
protein derivative (PPD) testing, as can be reviewed on the CDC's website:
A TST reaction of ≥5 mm of induration is considered positive in
 HIV-infected persons
 Recent contacts of a person with infectious TB disease
 Persons with fibrotic changes on chestradiograph consistentwith prior TB
 Organ transplantrecipients
 Persons who areimmunosuppressed for other reasons (e.g., taking
equivalent of ≥15 mg/day of prednisonefor 1 month or more or those
taking TNF-α antagonists)
A TST reaction of ≥10 mm of induration is considered positive in
 Recent immigrants (within last 5 years) fromhigh-prevalencecountries
 Injection drug users
 Residents or employees of high-risk congregatesettings (prisons, jails, long-
term care facilities for the elderly, hospitals and other health care facilities,
residential facilities for patients with AIDS, and homeless shelters)
 Mycobacteriology laboratory personnel
 Persons with clinical conditions previously mentioned
 Children younger than 4 years of age
 Infants, children, or adolescents exposed to adults at high risk for TB
disease
A TST reaction of ≥15 mm of induration is considered positive in
 Persons with no known risk factors for TB
81
Although skin testing activities should be conducted only among at-risk groups,
certain individuals may be required to have testing for employment or school
attendance independent of risk. CDC and ATS do not recommend an approach
independent of risk
Question46 of 82 (score?)
Ms. D, a 49-year-old woman in your clinic has severe persistent asthma. She has
about one urgent care visit per year for asthma. She is on a high doseof inhaled
fluticasone, formoterol, and oral daily montelukast.
A month ago, she stopped taking omeprazole. She says, "Even over the counter, it's
$30 a month. I can't afford all these medicines. It never made my breathing better,
and besides, I've never had heartburn or regurgitation or whatever you call it."
You recall she had a barium swallow a year or two ago that clearly demonstrated
gastroesophageal reflux, although she has never had cough or other symptoms of
acid reflux.
What is the bestresponseto Ms. D.'s decision to stop taking omeprazole?
A. Encourageher to resume omeprazole, becauseit was likely helping control her
asthma.
B. Supporther, because omeprazolewas not likely helping.
C. Leave it up to her, because there is no evidence to guide management.
D. Order 24-hour esophagealpH monitoring.
We feelthat B is the best answer.
It has long been believed that gastroesophagealreflux (GER) can contribute to
asthma symptoms, especially in severe asthma. A majority of asthma patients
82
report GER symptoms, and esophageal pH monitoring suggests asymptomatic
GER is also common among asthmatics. Proposed mechanisms by which GER
could worsen asthma include microaspiration, increased vagal tone, and increased
bronchial reactivity.
There is some evidence (randomized trials) that suggest that when symptoms of
gastroesophageal reflux disease are present, daily proton-pump inhibitors improve
outcomes in patients with severe asthma. Across studies, the benefits were
inconsistent and/or weak, however.
When GER symptoms are not present, the most recent randomized trials suggest
that PPItherapy does not improve measurable outcomes for people with poorly
controlled asthma or moderate-to-severe persistent asthma. Observation off the PPI
is reasonable for this patient; if asymptomatic GERD is playing a role in her
asthma, her asthma symptoms would be expected to worsen, setting the stage for a
discussionabout restarting the PPI.
Proton-pump inhibitors suppress acid production more effectively than H2
blockers and are recommended as first line therapy, if GERD treatment is elected
in an asthmatic patient.
In patients (with or without asthma) who experience persistent symptoms of GERD
despite PPItherapy, some experts advocate esophageal pH monitoring, along with
upper endoscopy. Therationale is to establish GERD is in fact present. Nissen
fundoplication might be considered then. However, this patient already has known
asymptomatic gastroesophageal reflux on a barium swallow. Esophageal pH
monitoring would probably be positive and would not add much to her evaluation.
Question47 of 82 (score?)
Which of the following patient characteristics would predict a better outcome in
someone with emphysema undergoing lung volume reduction surgery?
83
A. Upper-lobe predominant emphysema; high exercise capacity.
B. Upper-lobe predominant emphysema; low exercise capacity.
C. Lower-lobe predominant emphysema; high exercise capacity.
D. Lower-lobe predominant emphysema; low exercise capacity.
You answeredB.
We agree that B is the best answer.
The NationalEmphysema Treatment Trial (NETT) randomized 1,218 people
undergoing pulmonary rehabilitaion for severe emphysema to undergo lung
volume reduction surgery or continued medical treatment. Overall, surgery
improved survival at 5 years (risk ratio for death 0.86), exercise capacity, and
quality of life. Upon a non-prespecified subgroup analysis, NETT's results were
analyzed further:
 The ~300 patients with upper-lobe-predominant emphysema and low
exercisecapacity (below the 40th percentile) had a clear benefit from
surgery, with a reduction in 5-year mortality and improvements in exercise
capacity and quality of life.
 Patients with upper-lobe-predominant emphysema and highexercise
capacity had a 4-year sustained improvementin quality of life and exercise
capacity and no improvement in mortality.
 Patients with lower-lobe-predominant emphysema had increased 90 day
mortality and no improvementin quality of life or exercise capacity.
Successfullung volume reduction surgery reduces need for supplemental oxygen
and can dramatically improve exercise tolerance (40% experienced an 8 point drop
in the St. George’s Respiratory Questionnaire at one year — while formoterol and
tiotropium barely scored a 2-3 point drop in trials).
By excluding patients with either FEV1 or DLCO < 20% predicted (who had a
16% surgical mortality), the 30-day mortality in NETT was only 2%.
However, lung volume reduction surgery never really caught on. In 2006 in the
U.S., only 105 Medicare beneficiaries underwent LVRS. Doctors seem reluctant
to refer patients with severe COPD for a surgery that carries at least a 1 in 50
chance of death at 30 days (and probably higher at less-experienced centers than
those in NETT). Experimental, less invasive bronchoscopic approaches have been
84
tried instead recently, although none has yet been proven beneficial in large
randomized trials.
Question49 of 82 (score?)
A 30-year-old man presents for evaluation of asthma in the workplace. He has a
claim pending against his employer, a large bakery. The patient was diagnosed
with asthma as a child, but has had no symptoms or medication use since age 13.
For the first two years at the bakery, where he breathes flour dust throughout each
shift, he had no symptoms. Over the past few months he reports worsening
shortness of breath, chest tightness, and cough at work, requiring albuterol q4
hours. He has been to the ED once, and was prescribed fluticasone 440 mcg b.i.d.,
which he is taking. He says the symptoms improve after work and on weekends.
He does not smoke.
Physical examination is normal on a Monday morning after a weekend off work,
and spirometry shows mild airflow limitation with no bronchodilator response.
Besides additional testing, the next beststep in this situation is:
A. Recommend that he be stationed in a cleaner area temporarily; add a long-
acting beta-agonist.
B. Recommend he leave the workplace; continue high-dose inhaled steroid and
observe.
C. Recommend he stay in his current area; add a leukotriene antagonist and
observe.
D. Gently advise him he probably does not have a basis for his compensation
claim.
We feelthat A is the best answer.
Work-relatedasthma (WRA) is any asthma that is caused or made worse by
work. Work-related asthma includes two main subtypes:
 Occupational asthma(OA): Asthma caused by something at work. This can
include asthma that has been quiescent for years, but is re-activated by the
work environment(as in this patient). Asthma can be caused by a sensitizer
85
(usually large proteins, i.e. organic dusts), with a lead time between
exposureand asthma reactivation (as in this patient); or by irritants (usually
chemicals, with a shortperiod between exposureand asthma onset). The
reactive airways dysfunctionsyndrome (RADS) is the prototypefor
irritant-induced occupationalasthma.
 Work-exacerbatedasthma(WEA): Pre-existing asthma made worse by
something at work (dust, exertion, irritants, allergens, etc.).
Besides history and physical examination, diagnosis of work-related asthma should
ideally include serial testing (peak flow measurements, spirometry, methacholine
challenge) at times outside of work (i.e., the last day of a vacation or weekend) and
immediately after work exposures. A thorough inventory of potential exposures at
work should also be conducted. Skin testing or specific serum IgE tests can
identify sensitization to specific work allergens.
For this patient, leaving work entirely is not advised, because he will have
difficulty pursuing a compensation claim if he quits. Step-up therapy is advised for
his worsening symptoms, and either a beta-agonist inhaler or leukotriene receptor
antagonist would be reasonable. Relocation to a cleaner area at work is advisable,
given his potentially dangerous situation currently (as suggested by his ED visit).
Serial testing in and out of his previous work area can be done in a controlled
fashion once he is out of that environment and his asthma is controlled.
Question50 of 82 (score?)
A 50 year old man with pneumonia arrives in your ICU, transferred from the
medical floor. He is in severe respiratory distress and is intubated. His initial
arterial blood gas is pH 7.25, pCO230, paO2 65 on an FiO2 of 0.50 and a PEEP of
8, with a tidal volume of 8 mL/kg. Plateau pressures are 28. A chest X-ray shows
diffuse bilateral opacities.
You begin to reduce his tidal volume to 6 mL/kg. Over the next 2 days, what result
do you expect to see?
A. Static compliance falls; paO2 falls
B. Static compliance rises; paO2 falls
C. Static compliance unchanged; paO2 unchanged
D. Static compliance and paO2 bothimprove
86
We feelthat A is the best answer.
Decreasing tidal volumeto low levels results in hypoventilation; the so-called
permissivehypercapnia that results does not seem to be deleterious, in contrast
to the known dangers of ventilator-induced lung injury (VILI)athigher tidal
volumes and the stress of alveolar shear / stretch as measured by plateau
pressures, which should bemaintained below 30 cm H2O. Due to hypoventilation
at these lower lung volumes, oxygenation can be expected to worsen in the initial
treatment of acute lung injury / ARDS. Low lung volumes also worsen atelectasis,
which reduces compliance by increasing the required pressureto initially open
the collapsed alveoli (at the theoretical inflection point of "P flex" on the
pressure/volumecurve). Compliancecan also be expected to worsen over the
firstfew days of low-tidal volume ventilation. Neither reduced compliance nor
worsened hypoxia (above55 mm Hg) are felt to be as dangerous as sustained
increased plateau pressures.
Question51 of 82 (score?)
A 56 year old man is in your office to follow up his transbronchial biopsy result,
which unfortunately was positive for malignancy.
Tumor factors:
 Histopathology: squamous cell carcinoma
 Size: 2.9 cm
 Location: Left lower lobe, peripheral. (No other masses noted.)
 CT/PET results: Enlarged lymph nodes in subcarina and both hila that
measure1.8 cm in short-axis, and havemoderate to high uptake on PET.
Patient factors:
 Functional status: walks 1 mile.
87
 FEV1: 3.0L (68% predicted), normalDLCO.
 No cardiac disease.
What should be the next step?
A. Invasivesampling of mediastinal lymph nodes.
B. Platinum based chemotherapy.
C. Radiation therapy.
D. Combined modality therapy with concurrentchemotherapy and radiation.
E. Lobectomy.
We feelthat A is the best answer.
Accurate staging of non-small cell lung cancer ensures the correct treatment can be
given. By clinical/radiographic staging, this patient would have stage IIIB
(involvement of contralateral mediastinal nodes, or N3 disease). See 7th Edition
TNM Staging:TABLE
However, CT/PET has a false positive rate that is unacceptably high given the
stakes involved in determining a person's surgical candidacy. Although never
proven in randomized trials, surgery appears to dramatically improve survival for
people with stage I or II disease. In order to miss as few of these patients as
possible, and avoid unhelpful resections for advanced disease, invasive
mediastinal lymph node sampling is recommended for all patients with
suggestion of mediastinal involvement (PET positivity and/or lymph nodes > 1 cm)
and even for patients with a normal mediastinum on CT/PET but with
peribronchial/hilar PET-positive nodes (N1 disease).
If this patient's lymph nodes are in fact negative, the cancer would be stage IA (<=
3 cm, no nodal involvement, T1N0)and potentially curable with a resection.
Lobectomy would be the preferred technique, as it is associated with better
survival than more limited resections, and the patient appears to be able to tolerate
the expected loss of lung function.
Other possibilities would include:
 Stage IIA (T1N1), if the nodes are positivein the ipsilateral perihilar /
peribronchialregion only (not in the mediastinum or contralateral hilum).
Surgery would be indicated, followed by adjuvant chemotherapy.
88
Postoperativeradiation therapy could be given, especially if there were
positive surgicalmargins.
 Stage IIIA (T1N2), if mediastinal nodes are positive on the ipsilateral side
and/or in the subcarina. Idealtreatment is unknown, butcould include
surgery if mediastinal nodes are "nonbulky." Adjuvantchemotherapy would
likely be beneficial. Postoperativeradiation therapy's benefits (if any) are
unknown.
 Stage IIIB (T1N3) if nodes are positive in the contralateral chest (hilum or
mediastinum). Concurrentchemotherapy and radiation therapy (without
surgery) would beindicated.
Question52 of 82 (score?)
A 58 year old woman is referred to you by her neurologist for your opinion on her
myasthenia gravis. She was diagnosed 2 months ago after a positive Tensilon test
and AChR-antibodies. She has mild ptosis and dysphagia that have been stable for
weeks, and are slightly improving with pyridostigmine treatment. A CT showed
normal lungs and no thymoma.
Spirometry: normal FEV1 and FVC, normal net inspiratory force (NIF), maximum
inspiratory and expiratory pressures (MIP and MEP).
Over the next several years, she is at greatest risk for:
A. Progressive, chronic respiratory failure.
B. Acute / subacuterespiratory failure.
C. Both.
D. Neither.
We feelthat B is the best answer.
A small minority of people with myasthenia gravis experience myasthenic crisis
accompanied by suddenrespiratory failure requiring mechanical ventilation. With
immune suppressive/modulating treatment (intravenous immunoglobulin,
89
corticosteroids, plasmapheresis), most recover and are liberated from the
ventilator. The steady decline seen in other neuromuscular diseases causing
chronic respiratory failure (e.g., muscular dystrophy or amyotrophic lateral
sclerosis) does not occur.
Myasthenic crisis may be precipitated by an acute infection, medications,
pregnancy or childbirth, surgery, or reduction in immunosuppressive medication.
Increasing generalized and bulbar weakness can herald the onset of myasthenic
crisis.
Early symptoms / signs of impending myasthenic crisis with respiratory failure
include:
 Low vital capacity (<30 mL/kg of ideal body weight), even in an apparently
compensated state.
 Signs of mild respiratory distress (fragmented speech, accessory muscle
use)
 Worsening dysphagia, aspiration, or throatclearing
 Dyspnea, especially when lying supine
Tests of respiratory muscle strength (NIF, MIP, MEP) can help identify impending
respiratory failure, in which cases elective intubation should be performed. The
ideal moment for this must be individualized. Vital capacity <20 mL/kg or MIF
that is less negative than -30 cmH2O have been proposed as cutoff values.
Ventilator weaning is likewise individualized and not evidence-based.
Question54 of 82 (score?)
A nurse calls you to Mr. J's bedsidebecause he's become more unstable. Admitted
with spontaneous bacterial peritonitis due to cirrhosis and ascites, Mr. J has been in
your ICU for 4 days with septic shockand ARDS, requiring norepinephrine
infusion after appropriate fluid resuscitation totaling 10 liters of saline.
Now, he has a mean arterial pressure of 50, his plateau pressures have gone from
25 to 35 on Vt of 380 mL (ideal bodyweight: 70 kg), and his HR from 110 to 145.
You examine him and find nothing new. Disconnecting him from the ventilator
90
and bag-mask ventilating him does not help. A chest X-ray is unchanged; stat labs
are pending.
You immediately think of many things to do to stabilize Mr J, but with the
information provided, the best next step would be:
A. Infuse500cc of salinethrough a pressurized bag
B. Check for a pulsus paradoxus
C. Attach a manometer to the Foley catheter
D. Reduce Vt to 4 mL/kg
E. Add a second antimicrobial with antipseudomonal coverage
We feelthat C is the best answer.
Intra-abdominal hypertension (IAH) and abdominal compartment syndrome (ACS)
are dangerous and likely under-diagnosed in the critically ill. Normal pressure in
the abdomen is <12 mmHg; IAH > 20 mm Hg that causes organ dysfunction is
considered ACS. Physical exam is only 50% sensitive; reliable diagnosis requires
bladder manometry.
ACS exerts deleterious effects on hemodynamics, respiratory mechanics, and renal
perfusion, causing or potentiating multi-organ failure. Although more common in
trauma and other surgical patients, up to 50% of ACS patients have had no recent
surgery. Risk factors include obesity, large volume resuscitation, ascites,
pancreatitis, and many others. Management is challenging, and includes:
 Avoiding excessive fluid resuscitation;
 Improving abdominalcompliance(reverseTrendelenburg; short-course
neuromuscular blockade);
 Evacuating intraluminal contents (suction, enemas);
 Paracentesis;
 Vasopressors to increaseabdominal perfusion pressure(MAP - IAP,
analagous to cerebral perfusion pressure).
Laparotomy is the definitive treatment, but reported perioperative survival is low
(possibly because of selection for sick patients who have failed conservative
efforts), and surgeons may be reluctant to operate in such dire circumstances
91
Question55of 82 (score?)
John, 44, comes to see you in your clinic, complaining of worsening exertional
dyspnea. He smoked a half a pack a day for 5 years, quitting 25 years ago. He
recently quit his construction job becausehe couldn't unload sacks of concrete or
walk the site quickly enough to keep up.
PFTs:FEV1 1.1 L (35% predicted); FEV1/FVC ratio 0.45; DLCO 35% predicted.
Vitals: HR 90, RR 18, BP 125/85, SaO2 94% on ambient air, 92% with
ambulation.
He saw his primary doctora year ago, who ordered a chest X-ray and chest CT; he
hands you a CD with some cuts of the chest CT, which you review.
92
93
What approachto testing is most likely to yield a correct diagnosis?
A. Repeat PFTs
B. Serumantiprotease testing
C. Bronchoscopy with biopsies
D. Surgical lung biopsy
E. Thorough occupational history
We feelthat B is the best answer.
This patient has severe alpha-1 antitrypsin deficiency (A1ATD). Severe A1ATD
is mistakenly believed to be rare; actually, 60,000 to 100,000 Americans are
estimated to have the PI*ZZ genotype associated with severe deficiency (<50
mg/dL or 11 micromoles/L; >20 micromoles/L is normal). Most are of northern /
western European descent and are undiagnosed. Features that should prompt
consideration of A1ATD include:
 Emphysema beforeage 45
 Absenceof smoking history or other exposures (e.g., organic dust)
 Emphysema with basilar lucency
 Unexplained liver disease
 Family history of emphysema, liver disease, or panniculitis
94
 Necrotizing panniculitis (rare, even in A1ATD patients)
The manifestations of A1ATD are complex and difficult to predict:
 Many nonsmokers with PI*ZZ never develop liver or lung disease and seem
to live a near-normallifespan.
 Smokers with severeA1ATD have wide variation in the rate of FEV1 decline
and development of emphysema.
 Many patients with A1ATD havean asthma-like phenotypewith
bronchodilator-reversibleobstruction; thesepatients seem to be at greater
risk for FEV1 decline (even if nonsmokers), and ATS recommends treating
them "aggressively"with inhaled steroids and bronchodilators.
 Liver diseaseis more common in childhood, but as many as 30-40% of
patients aged >50 with A1ATD may have cirrhosis or carcinoma of the liver.
Overall, prognosis in individual patients can't be predicted (except for those with
already severe disease who smoke), becauseof the heterogeneity of the disease and
the lack of prospective longitudinal studies.
Patients with PI*MZand PI*SZ seem to be at increased risk for COPDif they
smoke, but not markedly so if they do not.
Somewhat surprisingly, the ATS recommends testing virtually all Americans with
COPDfor A1ATD. (Also, anyone with unexplained liver disease, necrotizing
panniculitis, asymptomatic obstruction on PFTs, and all siblings of A1ATD
patients.) PI*MM (in 95% of U.S. population) ensures levels >20 micromoles/L
and normal function.
Nonrandomized trials suggest that A1AT supplementation may slow FEV1
decline and improve survival in severe A1ATD. Patients with lower FEV1 (31-
65% predicted) seemed to have a greater benefit. ATS guidelines are vague and
acknowledge the relatively weak evidence, but suggest A1AT augmentation is
appropriate for anyone with severe deficiency (<11 micromoles/L), and those with
A1ATD (<20 micromoles/L) and either of these criteria:
 FEV1 30-65% predicted (postbronchodilator);
 Rapid decline of lung function (FEV1 decline >120mL/yr), regardlessof
initial FEV1.
95
From observational data, the risk of anaphylaxis may be ~1% per patient over ~6
years of A1AT infusions. Patients should probably be given an Epi-Pen and taught
to use it.
This patient's CT scanshows panacinar emphysema, with bullous disease worse at
the bases. Panacinar disease can merge with severe centrilobular emphysema to
create a nonspecific CT scan.
Question 56of 82 (score?
A 50 year old man with pneumonia arrives in your ICU, transferred from the
medical floor. He is in severe respiratory distress and is intubated. His initial
arterial blood gas is pH 7.25, pCO230, paO2 65 on an FiO2 of 0.50 and a PEEP of
8, with a tidal volume of 8 mL/kg. Plateau pressures are 28. A chest X-ray shows
diffuse bilateral opacities.
You begin to reduce his tidal volume to 6 mL/kg. Over the next 2 days, what result
do you expect to see?
A. Static compliance falls; paO2 falls
B. Static compliance rises; paO2 falls
C. Static compliance unchanged; paO2 unchanged
D. Static compliance and paO2 bothimprove
You answered.
We feelthat A is the best answer.
Decreasing tidal volume to low levels results in hypoventilation; the so-called
permissive hypercapnia that results does not seem to be deleterious, in contrast to
the known dangers of ventilator-induced lung injury (VILI) at higher tidal volumes
and the stress of alveolar shear / stretch as measured by plateau pressures, which
should be maintained below 30 cm H2O. Due to hypoventilation at these lower
lung volumes, oxygenation can be expected to worsen in the initial treatment of
acute lung injury / ARDS. Low lung volumes also worsen atelectasis, which
reduces compliance by increasing the required pressureto initially open the
collapsed alveoli (at the theoretical inflection point of "P flex" on the
pressure/volume curve). Compliance can also be expected to worsen over the first
few days of low-tidal volume ventilation. Neither reduced compliance nor
96
worsened hypoxia (above 55 mm Hg) are felt to be as dangerous as sustained
increased plateau pressures.
Question57 of 82 (score?)
A 60 year old man with COPDvists your clinic. His oxygen saturation on ambient
air is 94%, and after walking for a few minutes, it is 90%. His weight is normal.
Jugular venous pressure is normal. A prior sleep study showed no obstructive or
central apneas, but he spent 30% of the night below an 88% oxygen saturation.
Evidence suggests that supplemental oxygen therapy for this patient might have
which benefits?*
(*Acknowledging that published reports are discordant as to the benefits of
supplemental oxygen in this situation.)
A. Improved survival.
B. Reduced risk of right heart failure.
C. Ability to walk farther.
D. Improved cognitivefunction.
We feelthat C is the best answer.
For people with COPDwith severe resting hypoxemia (paO2 <= 55 mmHg or
<=59 mmHg with evidence of right heart strain or polycythemia), long-term
oxygen therapy (LTOT) improves survival. (Specifically, they had an absolute
mortality reduction of 22% over 3 years using 2 L/min for 15 hrs/day in the MRC
study.) In clinical trials, LTOT has not improved survival for people with lesser
forms of hypoxemia (paO2 > 55 mmHg).
In multiple heterogeneous trials including people with exertional hypoxemia who
had normoxemia or mild hypoxemia at rest, oxygen supplementation had
97
inconsistent benefits. In some, oxygen improved exercise tolerance, dyspnea, or
quality of life; in others, it did not.
Nocturnal hypoxemia (with or without awake hypoxemia) is associated with
increased mortality in people with COPD. However, nocturnal oxygen
supplementation has not been shown to improve survival. Likewise for sleep
quality: in one study, nocturnal oxygen improved sleep; in another it did not. The
benefits of supplemental oxygen in reducing pulmonary hypertension and right
heart failure from COPD have only been demonstrated when severe hypoxemia is
present.
The LOTT trial is underway to help clarify the benefits of oxygen therapy in
people with less-severe hypoxemia. Results are expected in mid-late 2013.
Question58 of 82 (score?)
A 72 year old man complains of shortness of breath and weight loss. A chest X-ray
by his primary doctorshows a large right-sided pleural effusion. A thoracentesis
drains 1,200 mL of slightly bloodyfluid that is strongly exudative by Light's
criteria, but pH and glucose are normal and gram stain/culture are negative.
Cytology is also negative, but only 50 mL were centrifuged and analyzed. He has a
50 pack year smoking history. He has no TB or HIV risk factors. A follow-up chest
film shows the effusion persists, although reduced in size.
What's the best next step?
A. Blind pleural biopsyin the area of effusion.
B. Thoracoscopywith pleural biopsy.
C. Ask the lab to re-test cytology using all the drained fluid.
D. CT chest with contrast.
E. Observation to see if pleural fluid reaccumulates.
We feelthat D is the best answer.
98
An unexplained exudative pleural effusion in the presence of weight loss and
smoking history has a high probability of malignancy. Observation alone would
not be advised. A chest CT is the bestnext test, as it could identify a primary lung
cancer. It might also identify other lesions such as mediastinal lymphadenopathy,
which would be targets for a biopsythat would both diagnose and stage the patient.
Biopsying the pleura blindly would be low-yield, and thoracoscopyis too
aggressive before getting a CT that could permit a less invasive method of
diagnosis. If the CT identifies pleural lesions, these interventions should be
considered.
Increasing the amount of fluid sent for cytology does not increase the yield in the
diagnosis of malignant pleural effusion. (Inconsistent evidence suggests that repeat
thoracenteses might potentially increase the yield.)
Question58 of 82 (score?)
A 24 year old man is referred to your clinic for chronic cough and asthma. He has
had recurrent "chestinfections" since childhood. His asthma has always been
poorly controlled, even with maximal therapy. He has never had a chest X-ray
before seeing you. He has never smoked. Vital signs and pulse oximetry with
exertion are normal.
Labs: negative for serum precipitins to Aspergillus; all immunoglobulin levels
normal or high, with normal IgE; sweat chloride test normal; HIV negative; alpha-
1 antitrypsin normal; tuberculin skin test negative.
Spirometry: Airflow limitation, with FEV1 50% predicted, without evidence of
intra/extra-thoracic airway obstruction on flow-volume loops. No bronchodilator
response;normal lung volumes.
You obtain the imaging studies below and perform bronchoscopy. Bronchoscopy
shows airways of normal caliber and morphology to the segmental/subsegmental
level. Distally, you see the subsegmental bronchi collapsing with normal
expiration. Cultures of the lavage are pending.
99
100
101
102
What is the most likely diagnosis?
A. Williams-Campbell syndrome.
B. Mounier-Kuhn syndrome.
C. Nontuberculous mycobacterialinfection.
D. Allergic bronchopulmonary aspergillosis.
E. Immotile cilia syndrome.
We feelthat A is the best answer.
Williams-Campbell syndrome is a rare form of congenital bronchiectasis resulting
from deficiency of cartilage in the third-to-sixth generation bronchi.
Clinical features: Recurrent pneumonias, coughing and wheezing. Onset is
usually in childhood, but may be in adulthood. The degree of symptoms is
103
dependent on the extent of cartilage deficiency and airway collapse, which may
vary between affected family members.
Imaging: Normal trachea and segmental bronchi, but dilated bronchi from
subsegmental level distally. Bronchiectasis may result in air-fluid levels in dilated
bronchi, mucus inspissation, tram-tracking, or air-trapping on expiratory images.
Differential Dx: Mounier-Kuhn (distinguished by its dilation of trachea and
mainstem bronchi); other causes of bronchiectasis including immunoglobulin
deficiency; ABPA; cystic fibrosis; HIV; non-tuberculous mycobacterial infection,
and others.
Diagnosis:By compatible history, imaging, and exclusion of other causes of
bronchiectasis.
Treatment: None known to be effective, other than treating the bronchiectasis
with chest physiotherapy, and providing antibiotics for acute exacerbations of
disease. Lung transplantation resulted in fatal tracheobronchomalacia in one
reported case of Williams-Campbell syndrome.
Immotile cilia syndrome or nontuberculous mycobacterial infection are possible
and could be ruled out with nasal epithelial biopsyand BAL culture. ABPA is
effectively ruled out by the absence of serum precipitating antibodies to
Aspergillus. Despite its rarity, Williams-Campbell syndrome is most likely, given
the information provided.
Question61 of 82 (score?)
You are seeing Mr. D., a patient in your clinic with severe COPD who was
hospitalized twice last year for exacerbations. Mr. D. brings a sheet of lab results
from a recent primary care visit. The labs show he is deficient in vitamin D. He
wants to know if this is making his COPDworse.
Which statement is most likely to be true regarding exacerbations of COPDand
vitamin D deficiency?
104
A. Vitamin D deficiency is common in COPD.
B. Vitamin D deficiency increases the frequency of COPD exacerbations.
C. Treating vitamin D deficiency results in fewer COPDexacerbations.
D. None of the above.
E. All of the above.
We feelthat A is the best answer.
Vitamin D deficiency is common in COPD, but has not been shown to increase the
risk for exacerbations. A year-long prospectivecohort study in 973 patients with
severe COPD, published in 2012, showed no relationship between vitamin D
deficiency and the frequency of COPD exacerbations. Likewise, treating vitamin D
deficiency has not yet been shown to reduce exacerbation frequency in people with
COPD.
Question63 of 82 (score?)
A 22-year old man presents to your hospital's emergency department complaining
of fever, malaise, and cough productive of sputum for 2 days. A chest CT
angiogram is obtained in the emergency department to rule out pulmonary
embolism. It shows a lobar consolidation, and the patient is begun on levofloxacin
as treatment for community-acquired pneumonia. The CT also shows a filling
defect in a subsegmental pulmonary artery. He is admitted to a general medicine
unit, but after one day of intravenous antibiotics his vital signs are normal, he feels
well, and the medicine team would like to discharge him home on oral antibiotics.
He is being given enoxaparin and warfarin; INR is 1.4.
You review the CT images with the radiologist. She acknowledges the filling
defect is subtle, but says, "The scan isn't normal; I can't call it normal." A thorough
history reveals no family history or provoking factors for thromboembolism. The
patient plays competitive lacrosse and does not want to take anticoagulation drugs
unless absolutely necessary. The team consults you for your opinion.
In addition to antibiotic therapy for pneumonia, what do you recommend?
A. Lifelong anticoagulation.
B. Warfarin for 3 months. Check D-dimer and ultrasound at 4 months. If both are
normal, dischargefromcare.
105
C. Ultrasound of the lower extremities; if normal, home with no follow-up
needed.
D. Inferior vena cava filter placement.
E. Home today; further testing or treatment for PE is not necessary.
You answeredB.
We agree that B, C, and E are all reasonable answers.
Managing a patient with subsegmentalpulmonary embolism is challenging;
there is commonly no clear "best" strategy. The clinical ambiguity in this area
necessitates an individualized approachin each patient: assessment of risk of
recurrence, balanced against risks of further testing or anticoagulation, and
ensuring the patient's preferences are included in decision-making. We showed this
question to 3 internationally-recognized experts in PE/VTE; each had a different
opinion on the relative advisability of each option.
The current ACCP 1C recommendation for asymptomatic, incidentally
discoveredPEs is to anticoagulate them like any other, barring contraindications.
This man's PE falls into the category of unprovoked PE / proximal DVT, so that
would mean 3 months of warfarin, with recommendation for lifelong warfarin
therapy to prevent recurrence risk. (Historically-based recurrence risk estimates are
~25-30% at 4 years, with most of that risk in the first 2 years, and largely
irrespective of whether a recognized thrombogenic predisposition can be
identified). It seems almost no one would choosethat option in this young healthy
man.
Part of the ambiguity surrounding subsegmental PEs stems from the fact that our
knowledge baseabout risk of recurrence and mortality derives overwhelmingly
from series of clinically significantPEs. There is some evidence to supportthe
intuition that small subsegmentalPEs posea low risk, and may in fact frequently
be incidental and virtually harmless (i.e., overdiagnosed), increasing concern for
excessive iatrogenic risk from anticoagulation:
 A study using national databases suggests thatsince 1998, thenumber of
annual CT pulmonary angiograms has risen 11-fold, with an 81% increasein
the diagnosis of PE but with almost no changein the mortality rate.
Complications fromanticoagulation appeared to have risen over the same
period.
106
 A retrospectivereview of 7,794 CT-PAs atcommunity hospitals, re-read by
academic chest radiologists, found an 8% falsepositive rate overall (58 of
759), with two-thirds of the false-positives (38 of 58) at the subsegmental
level. Among subsegmentalPEs, 25% wereconsidered false positives, and
86% had Wells scores "unlikely" for PE. Almost90% received
anticoagulation. No PEs occurred in the following year.
 Small studies and a meta-analysis suggestthat people with asymptomatic
small pulmonary emboli who go untreated do no worsethan those who are
treated.
In the absenceof randomized trials, though, experts warn that although many or
even most incidental small PEs could be harmless, some may signal a risk of
recurrence equal to a clinically apparent DVT/PE. Which do and which don't, or
how to tell them apart, are simply unknown.
So what to do for this young man? Lifelong anticoagulationis the guideline-
compliant choice, but the risks and lifestyle implications of anticoagulation in this
young healthy man would seem to outweigh the benefits.
Not anticoagulating at all is tempting, if the suspicion is that the "clot" is
artefactual. Even if the clot is real, limited data (above) on short term risk are
reassuring. However, there are no good data on long-term recurrence risk. At a
minimum, the patient should be advised of the high ambiguity surrounding the
situation, and his preferences elicited; he may elect to forgo anticoagulation on his
own.
Repeating a CT-angiogrammight help, or asking a chest radiologist to read the
original images. If artefactual, the defect may "disappear" on the 2nd CT-PA,
solving the problem of anticoagulation at the expense of a slightly increased long-
term risk of cancer due to radiation exposure. If the repeat CT-PAis positive, a
lower-extremity ultrasound could be obtained (to help confirm DVT/PE, and to
establish a baseline scan). Anticoagulation would almost certainly be indicated for
at least 3 months -- although after that, it would still be unclear what to do as his
longer-term risk would be unknown.
Testing for recognizedhypercoagulable mutations would be controversial.
None of the experts we polled recommended testing for thrombophilia in this
patient. The recurrence risk for people with an unprovoked DVT/PE who have no
detectable mutation is generally equal to those who do. Since lifelong
anticoagulation is then generally indicated, the presence of thrombophilia is
107
immaterial in most patients. Testing for thrombophilia can introduce subtleties into
the clinical situation that may be valuable in certain cases; that subject is too
complex to address here.
Checking a D-dimer after discontinuation of 3 months of warfarin can help
stratify risk for recurrent VTE, and might be a reasonable approachin this patient,
especially if a repeat CT-PAwere positive. In a meta-analysis of 1,888 patients
with DVT/PE, a negative D-dimer (<500 ng/mL) one month after stopping
warfarin signaled a 3.5% annual recurrence risk, vs. 8.9% for D-dimer > 500. The
ultrasound at that time would only be for screening; it does not have an evidence-
based role in recurrence risk stratification. If D-dimers were elevated at 4 months,
consideration could be given for continuing treatment for another 3 month cycle.
Question64 of 82 (score?)
Your colleagues, an interventional pulmonologist and a thoracic surgeon, like to
compete over who can "get" the most tissue diagnoses. One of them asks you half-
jokingly: "Who's winning, endobronchial ultrasound-guided transbronchial needle
aspiration (EBUS-TBNA) or mediastinoscopy?"
What would be a true reply?
A. EBUS-TBNA can access all lymph nodes in the mediastinum, as can
mediastinoscopy.
B. EBUS-TBNA is not helpful to diagnose lymphoma.
C. EBUS-TBNA is more sensitive than mediastinoscopy at detecting lung cancer
in the inferior mediastinal, posterior mediastinal, and subcarinal lymph nodes.
D. EBUS-TBNA is lower-risk than mediastinoscopy overall, but has a higher risk
for pneumothorax.
We feelthat C is the best answer.
The subcarinal, posterior, and inferior mediastinal lymph nodes are very difficult to
access by a mediastinoscope, but are easily accessed bybronchoscopyand EBUS-
TBNA; biopsies of these nodes by EBUS-TBNA are more likely than
mediastinoscopy to detect cancer.
EBUS-TBNA is not able to access all mediastinal lymph nodes -- it can't get to the
paraaortic and subaortic lymph nodes. Endoscopic ultrasound (EUS) can access
108
these lymph nodes. Combined EBUS and EUS TBNA can access all the
mediastinal lymph nodes, and a randomized trial showed the EBUS-EUS approach
can be as good or better than mediastinoscopy at staging non-small cell lung cancer
and prevent unneeded thoracotomies. Such a combined approachis done in
Europe, but not commonly in the U.S., where professional divisions between
pulmonology and gastroenterology mean very few physicians are trained and
"credentialed" in both procedures.
EBUS-TBNA can help diagnose lymphoma by identifying neoplastic cells, and
producea sample for flow cytometric analysis. It can also diagnose sarcoidosis.
EBUS-TBNA is quite safe, and the risks of bleeding or pneumothorax are quite
low -- certainly lower than the risk of mediastinoscopy (whose risks are also
relatively low).
Question66 of 82 (score?)
Mr. M comes to your clinic for a routine visit. He has COPDwith an FEV1 of 74%
predicted. He can walk a block or so without significant dyspnea. He has about 2
exacerbations a year, and has been hospitalized twice in the past5 years, each time
for a few days after an apparent viral illness. He stopped smoking 10 years ago.
You recommend tiotropium daily. Mr. M is one of your more skeptical patients.
He says, "Sounds good Doc. But is this drug really going to help me? Will it
improve my breathing, help me live longer, or keep me out of the hospital?"
Based on clinical trials data, the most truthful statement is:
A. Itshould improveyour breathing and your overallquality of life.
B. Itshould cut your chanceof having an exacerbation by about 25%.
C. You should be able to cut your rescue inhaler useby half.
D. I can't promiseyou anything; this drug was tested in people with much worse
COPD than you.
You answeredA.
We agree that A and D are the best answers.
109
Tiotropium was approved for COPD treatment in part based on two identically-
designed randomized, placebo-controlled trials enrolling about 920 patients with
severe COPD. There were statistically significant benefits in the tiotropium group
in almost every domain measured. However, many of the measured benefits were
small and not clinically significant. Here are two interpretations of the data from
those trials:
Sunny:Tiotropium reduced the rate of severe exacerbations requiring
hospitalization (which were uncommon) by about 50%. It improved FEV1 by 120
mL compared to placebo. There were improvements in quality of life and dyspnea
scores in all domains tested. Patients dropped their average albuterol use to 3 times
daily from 4 times daily.
Partly Cloudy: Less than 50% of treated patients achieved a drop in dyspnea scores
considered clinically meaningful (while 30% of placebo patients did, suggesting
only 1 in 5 treated patients benefited substantially). The exacerbation rate was
minimally reduced (an absolute reduction of 6% in the already-small proportion
experiencing exacerbations). The 0.19 absolute drop in exacerbations-per-patient-
year suggests the average patient would have to take the drug for 5 years to prevent
one exacerbation.
Patients were on average 65 years old with a 61 pack-year history, and had FEV1
of ~1.0 L (38% predicted). From these trials, it's unclear how much benefit patients
with milder COPD gain from daily tiotropium.
In the subsequent4-year UPLIFT trial (n=5,993), tiotropium showed similar
benefits for similarly-ill patients, without reducing the rate of decline of lung
function or improve survival. UPLIFT duplicated the finding of statistically
significant improvements in QOL with tiotropium, which were not considered
clinically significant for the large majority (~90%) of patients. There was an even
smaller effect on exacerbations in UPLIFT (<5% absolute risk reduction with
tiotropium).
A later head-to-head study compared tiotropium to the long-acting beta agonist
salmeterol among COPDpatients with an exacerbation within the past year.
Tiotropium users had 0.64 exacerbations per patient-year during the one year study
period, 0.08 less than the salmeterol users' 0.72 per year, and a time-to-first
exacerbation of 187 vs. 145 days (in the one-third of patients who had an
exacerbation during the study period).
110
Question68 of 82 (score?)
63 year-old Janie Y., a new patient, comes to your office seeking evaluation for her
progressive dyspnea for the pastyear or two. She was able to do light aerobics 2
years ago; now she can walk 2 blocks without resting. She has a dry cough. She
smoked for 30 years but quit 10 years ago. She has bibasilar dry inspiratory
crackles. She takes no medicines and has always been healthy otherwise.
PFTs:TLC 2.7 L (50% predicted); DLCO 40% predicted.
ABG: 7.38 / 40 / 60 on ambient air.
Labs show normal liver and renal function, and no autoantibodies.
A few chest CT cuts are shown.
111
What's the most appropriate approachto this situation?
A. Check urine for cocaine metabolites
B. Bronchoscopy with lavageand transbronchialbiopsy
C. VATS biopsy
112
D. Counseling and referralto lung transplantcenter
E. Start prednisone
You answeredD.
We agree that D, C, and B are all reasonable answers.
The patient has an idiopathic interstitial pneumonia. The essential questions in
approaching a patient with an IIP are, could this process bereversible by exposure
avoidance or with immune-suppressing treatment, and (if noninvasive testing has
failed to yield an etiology) is the risk and discomfortof a surgical lung biopsy
worth it to find out? One way to efficiently advance the investigation is to ask, 'Is
this idiopathic pulmonary fibrosis, or something else?'
In all patients, thorough initial medical, occupational/exposure/medication and
family histories; physical exam; PFTs, and lab tests including autoantibodies are
required. The ACCP provides an ILD questionnaire that can help ensure a
thorough history and workup. If none of this suggests an etiology for interstitial
lung disease, IPF rises in the differential diagnosis. Usual interstitial pneumonia,
the hallmark of IPF, is a description applied to consistent patterns seen on high-
resolution chest CT and/or histopathology from surgical lung biopsies in people
with classic IPF. (The UIP process is believed to cause both the HRCT and
histopath findings.)
The four criteria on high-resolution CT scanfor definite diagnosis of the UIP
pattern include:
 Subpleural, basal predominance;
 Reticular abnormality;
 Honeycombing (with or without traction bronchiectasis);
 Absenceof the 7 factors inconsistent with UIP (discrete non-honeycomb
cysts, ground glass, mosaicism, consolidation, upper/mid or
peribronchovascular prominence, or micronodules).
A definite diagnosis of UIP on HRCT by experienced radiologists (all 4 criteria
present) has a 90-100% positive predictive value for UIP, with biopsy as the gold
standard. If no potentially treatable cause is identified in a thorough history and
laboratory workup, the diagnosis is IPF, and no biopsyis needed.
113
More than 50% of cases referred for evaluation for IPF may not meet radiographic
criteria for definite UIP. In these cases, surgicallung biopsy is recommended.
However, the patient's health status, perioperative risk, and personal preferences
must be considered. Yield of VATS and thoracotomy are theoretically equal, but
yield can vary greatly with surgeon expertise and technique.
Bronchoscopyis not recommended in the majority of patients with suspected IPF,
unless infection, malignancy or another etiology are also suspected. A BAL with
lymphocytosis of >40% can suggest chronic hypersensitivity pneumonitis, a mimic
of UIP-like fibrosis. There is some questionable bronchovascular involvement on
these CT cuts, and perhaps some ground glass -- bronchoscopycould be performed
to rule out infection and sarcoidosis.
The UIP classic histopathologypattern is a heterogeneous appearance at low
magnification of patches of normal lung alternating with areas of fibrosis and
honeycomb change. The only other entities that cause this pattern are chronic
hypersensitivity pneumonitis, pneumoconioses (particularly asbestosis), and UIP
due to connective tissue diseases.
With regard to the gold standard, pathology on lung biopsy, experienced
pathologists disagreed in a clinical trial on the presence or absence of IPF features
15% of the time, and 28% of the time could not concuron a final diagnosis.
Notably, these pathologists were deprived of clinical information as a feature of the
study.
Experts advise a multidisciplinary approachbetween pulmonology, radiology,
pathology and (if needed) thoracic surgery in arriving at consensus diagnoses in
difficult or borderline cases of ILD, and referral to ILD experts where any
uncertainty exists.
This patient's CT scans illustrate how difficult radiographic UIP can be to
"definitely" identify. Observers disagreed on whether there was "enough"
honeycombing here (definition: one or more rows of clustered cysts, subpleural, <5
mm diameter), and whether there was significant bronchovascular involvement.
High interobserver variability among radiologists is well-described in diffuse lung
disease; here, this could leave her anywhere between "inconsistent with IPF" and
"definite IPF" (between 2 and 4 of the UIP HRCT criteria). There was no etiology
suggested in her workup.
She was given a diagnosis of probable IPF, and in accordancewith her preferences,
did not undergo lung biopsy. All patients with a new diagnosis of IPF should be
114
counseled on the disease and given early referral to a lung transplant center; there
are no recommended treatments, although some unproven treatments are
considered reasonable. Prednisone and azathioprine together are harmful in IPF, as
the PANTHER-IPF trial (stopped early for safety) showed; its N-acetylcysteine
monotherapy arm continues at this writing. Prednisone alone should not be given
for presumed IPF, either.
Question70 of 82 (score?)
A 41-year-old woman in your clinic has the below chest CT. She has mild,
worsening airflow limitation on serial spirometry. She has increasing exertional
dyspnea that is now significantly limiting her activity. She had a small spontaneous
pneumothorax last year that resolved without intervention. She never smoked.
Alpha-1 antitrypsin levels are normal.
115
According to a study published in the New EnglandJournalof Medicine in 2011,
what agent should help slow progression of her lung disease and improve her
functional status?
A. Azithromycin
B. Cyclosporine
C. Sirolimus
D. Prednisone
E. Progesterone
We feelthat C is the best answer.
This woman has sporadic lymphangioleiomyomatosis, a rare cystic lung disease
caused by abnormal proliferation of smooth muscle cells that affects
premenopausal women (average age 35) almost exclusively. Progressive exertional
dyspnea with worsening airflow limitation, recurrent pneumothoraces, and chylous
pleural effusions are the common clinical manifestations. Thirty to 50% of women
with sporadic LAM also have renal angiomyolipomas, which are usually clinically
silent.
Tuberous sclerosis complex-associated LAM, another form of the condition,
includes tumors in the brain, skin and other organs, causing seizures and
intellectual delay. TSC typically presents in childhood, with LAM lung disease and
renal angiomyolipomas developing in adulthood. A 2011 observational series
suggests TSC-LAM may go undiagnosed until adulthood more often than
previously believed, however.
The diagnosis of LAM can be made by high-resolution CT without biopsyin
classic cases; lung biopsy(positive for the HMB-45 immunohistochemistry assay)
may be required in others. LAM's major mimics on HRCT are pulmonary
Langerhans cell histiocytoma and emphysema.
In a trial enrolling 89 women, those randomized to sirolimus had stable or
improved lung function (FEV1 and DLCO) and improved respiratory symptoms
over 12 months of treatment, compared to those taking placebo. After stopping the
drug, though, decline in lung function resumed. In an observational series, 12
women with chylous effusions due to LAM who were treated with sirolimus had
marked improvement or resolution of their effusions.
116
Progestins and estrogen antagonists have been empirically used for decades as
treatments for LAM, but do not seem to be effective in most patients. In a 2004
retrospective review, progesterone-treated LAM patients had similar declines in
FEV1, and more rapid declines in DLCO, compared to untreated patients.
Lung transplantation is an important treatment option for severe cases of LAM.
Early referral to a transplant center for those with severe disease seems prudent.
Because she has had one pneumothorax, this woman should be considered for
pleurodesis as a preventive measure. However, pleurodesis makes lung
transplantation surgery more complex, with increased risk for life-threatening
bleeding. Referral to a lung transplant center prior to pleurodesis, if feasible, might
be considered.
Question71 of 82 (score?)
Diagnosis of histoplasmosis can be made by measurement of antibody in blood
(serology), or detection of fungal antigen in urine, bronchoalveolar lavage (BAL)
fluid, or blood.
Which of the following statements regarding the diagnosis of acute histoplasmosis
is correct?
A. In endemic areas, serology is nonspecific, because 85% of the population have
positive serologies.
B. Antibody levels rise within 7 days of acute infection, peaking at 14 days.
C. Sensitivity of BAL fluid is equal or greater than urine for antigen detection.
D. In patients with AIDS, sensitivity of urine antigen falls to < 30%.
E. Negative serology effectively rules out acute histoplasmosis.
We feelthat C is the best answer.
The sensitivity of BAL fluid is at least as high as urine to detect Histoplasma
antigen during active infection, according to several studies.
The most commonly used antigen test is an enzyme immunoassay that detects
Histoplasma galactomannan. BAL fluid, urine, and/or serum may be tested. The
antigen test's sensitivity is 60-80%, depending on the severity of pneumonia. Its
sensitivity is higher (not lower) in AIDS patients. In multiple studies, testing BAL
117
fluid was at least as sensitive as testing urine. In patients not undergoing
bronchoscopy, testing urine and serum provides the highest sensitivity.
Serologyshould be performed with the immunodiffusion (higher specificity)
and/or complement fixation assays (higher sensitivity). Less than 5% of the
population in endemic areas will be falsely positive for these tests. Four to eight
weeks are required for serology to become positive; therefore a negative result
does not rule out acute histoplasmosis. Some labs use serologic enzyme
immunoassays (EIA); these are inferior and should be interpreted with caution.
Although the EIA test can have a high false positive rate, the positivity of an
endemic area-dwelling population is still not as high as 85% (answer A is wrong).
Antigen tests and serologies can have significant cross-reactivitywith other
endemic mycoses (coccidioidomycosis and blastomycosis), and with sarcoidosis
and tuberculosis. They therefore need to be interpreted thoughtfully and with
regard to the patient's circumstances. Misidentification of the exact fungus should
not result in inadequate treatment: all three endemic mycoses may be treated with
itraconazole for mild/moderate infections, and amphotericin B for severe
infections. However, tuberculosis must be ruled out if possible (and maintained in
the differential diagnosis or treated empirically until cultures are negative, if TB
can't be ruled out).
Fungal cultures have very low sensitivity during acute histoplasmosis, and take
weeks to grow, limiting their utility. They are more useful in diagnosing chronic
pulmonary histoplasmosis, but still may require repeated sampling of BAL fluid or
sputum to get a positive culture.
Multiple cases have been reported of people with acute histoplasmosis who were
misdiagnosed with sarcoidosis (as both have granulomas on biopsy), and then were
treated inappropriately with immune-suppressing steroids. Histoplasma testing
(antigen and serologies) should be performed prior to starting steroids for
sarcoidosis, if there is any suspicion for histoplasmosis.
Question72 of 82 (score?)
This man, aged 50, has thyroid cancer. He has no prior history of lung disease. He
was briefly intubated for his attempted thyroidectomy, which was aborted when it
became clear the tumor was unresectable. He is sedentary and does not exercise.
118
Based on the CT scan, what would you expect his respiratory symptoms or signs to
be?
A. None
B. Variable extra-thoracic obstruction on flow-volumeloop
C. Fixed intra-thoracic obstruction on flow-volumeloop
D. Stridor with daily activity
E. Unpredictable (without comparing his flow-volumeloops while breathing
Heliox to those on ambient air)
We feelthat A is the best answer.
This man has a sizeable thyroid mass, but only moderate tracheal narrowing (this
was described as a 50% narrowing by the radiologist). The patient was
119
asymptomatic respiratory-wise, although it's unknown whether he would have had
exertional dyspnea.
Airway compromise is more commonly caused by interior processes(subglottic
fibrosis after endotracheal intubation; laryngeal edema) rather than extrinsic forces
such as goiters, which must compress the cartilaginous rings. Normal cross
sectional area of the trachea is ~270mm2 in men and ~195mm2 in women;
exertional dyspnea doesn'toccuruntil diameter is reduced to ~8mm (~75%
stenosis, about 50mm2); resting dyspnea and stridor at ~5mm diameter (>90%
stenosis, about 20mm2).
Flow volume loops are insensitive at detecting upper airway obstruction. Severe
obstruction must be present before flow volume loops show flattening of the
inspiratory limb (variable extrathoracic obstruction), expiratory limb (variable
intrathoracic obstruction), or both (fixed obstruction). FEV1 is particularly
insensitive, and other slightly more sensitive criteria have been proposed:
 Ratio of FEV1 to maximum expiratory flow (MEF) > 10 mL/L/min;
 Ratio of the flow at the mid-point of the forced expiratory maneuver (MEF-
50%) to the flow at the mid-point of the forced inspiratory maneuver (MIF-
50%) < 0.3 or > 1;
 MIF(50%) <100 L/min;
 Ratio of FEV(1) to FEV(0.5) >1.5.
Using a formalized approachcombining these and visual criteria, Cleveland Clinic
investigators could only achieve a 69% sensitivity for flow volume loop analysis at
diagnosing upper airway obstruction. Visual criteria like inspiratory limb flattening
had only a 5.5% sensitivity when used in isolation.
The trachea is a dynamic structure, dilating on inspiration and potentially
collapsing on exhalation. As it provides only a snapshot, CT is not considered
sufficiently sensitive to rule out central airway obstruction; endoscopy
(laryngoscopy or bronchoscopy)is the gold standard.
120
Question73 of 82 (score?)
A 62 year old man underwent bilateral lung transplantation 5 years ago for COPD.
He has progressive dyspnea on exertion and, in general, feels much worse than he
did a year ago. He has had a steady decline in his lung function by spirometry, with
FEV1 falling from 80% predicted soonafter transplant, to 50% today. He has
always been 100% adherent with all immunosuppressive medications and post-
transplant follow-up.
Chest X-ray and CT imaging show mild hyperinflation of both lungs, but no other
abnormality. You plan for a bronchoscopy.
Histologic examination of a transbronchial biopsy will most likely demonstrate:
A. 'Owls eye' inclusion bodies in alveolar cells.
B. Abundant inflammatory cells, effaced around blood vessels.
C. Fibrotic occlusion of bronchioles.
D. Abundant inflammatory cells, effaced around bronchioles.
E. No abnormality.
You answeredC.
We agree that C and E are the best answers.
Chronic rejection is the main cause of death more than 12 months after lung
transplantation. Chronic airway rejection (bronchiolitis obliterans or obliterative
bronchiolitis) is the major form. Chronic vascular rejection (atherosclerosis of
pulmonary arterioles) is less common.
BO may be also the common end-pathway of multiple processes other than
immunologic rejection (chronic aspiration/GERD and CMV pneumonitis have
been proposed).
Clinical presentation is usually indolent, with slowly progressive dyspnea and
airflow obstructionon spirometry (FEV1 and FEV25-75). Later in the course, air-
trapping develops, with hyperinflation on imaging. Bronchiectasis may develop
with subsequent Pseudomonascolonization, chronic cough, and severe airflow
limitation. BO can also progress rapidly, leading to death; in other cases, initial
rapid progression is followed by a long period of stabilization.
121
The diagnosis of chronic rejection due to bronchiolitis obliterans is made by
transbronchial biopsy, which may show:
 Granulation tissuein the airways.
 Fibrosis around smallairway lumens.
 Complete obliteration of small airways, rendering them undetectable
except for a elastin rings whereairways should be ("vanishing airways").
 Absenceof inflammatory cells (Exception: very early lesions may show
lymphocytes around smallairways. Thesewould not be expected in this
patient with likely advanced chronic rejection.)
However, bronchiolitis obliterans is a patchy process,and even multiple
transbronchial biopsies commonly miss the involved areas (reports vary widely as
to the sensitivity of transbronchial biopsyfor BO). These cases of clinically
presumed bronchiolitis obliterans without pathologic proofare called bronchiolitis
obliterans syndrome (BOS).
There is no reliable therapy for BO/BOS once symptomatic airflow obstruction has
resulted. Various case series have reported benefit with substituting
immunosuppressive medicines (e.g., tacrolimus for cyclosporine), extracorporeal
photopheresis, daily azithromycin for months, total lymphoid irradiation, or
alemtuzumab. High doseinhaled corticosteroids are probably not effective.
For severe BO/BOS, retransplantation may be the only option to restore lung
function and prolong survival. Controversy and wide practice variation between
centers exists here, since it's suspected by certain experts (but not known) that
those with BO/BOS on their first transplant are more likely to develop it on
retransplantation.
Regarding the other answer choices:Owl's eye inclusion bodies inside host cells
are diagnostic of CMV infection. CMV pneumonitis is a common problem in the
first year after lung transplantation, and may contribute to the later development of
BO/BOS, but would be an unlikely active process this long after transplantation.
Lymphocytes effacing or infiltrating blood vessels and/or bronchioles are the
histopathologic hallmark of acute rejection.
122
Question74 of 82 (score?)
A 64 year old man has been intubated in your ICU for 9 days after a COPD
exacerbation. He self-extubated once 4 days ago, but had stridor, hypoxia and
distress, and was reintubated.
He has now passed a spontaneous breathing trial for 90 minutes. He is alert, has a
cough and gag reflex, and has not required suctioning for several hours. When the
endotracheal tube cuff is deflated, there is no leak of air. He and his family do not
want him to receive a tracheostomy if it can be avoided.
What's the best next move?
A. Methylprednisone20 mg IV q4 hours for 4 doses; extubate 24 hours later
B. Discuss thesafety advantages of tracheostomy further
C. Extubate now
D. Reassess daily for a cuff leak
We feelthat A is the best answer.
Medium-dose corticosteroids given in multiple doses 12-24 hours prior to planned
extubation reduced post-extubation stridor (3% vs 22% for placebo) and
reintubation (4% vs. 8%) in multiple randomized trials. A meta-analysis confirmed
the result.
Risk factors for post-extubation stridor include >6 days of intubation; a large ET
tube; trauma during intubation or extubation; and a reduced "cuff leak" (<150 mL
of lost expired tidal volume in volume-targeted mode).
In patients intubated for shorter periods, absent cuff leak is not predictive of
extubation failure.
The decision to place a tracheostomy prior to 14-21 days is subjective and
evidence is discordant as to its benefits in ventilator weaning and prevention of
123
VAP. Also, the patient is doing well from a respiratory mechanics standpoint. If
the family does not want the tracheostomy, there is little reason to "push" it.
Extubating now would be defensible, but given his multiple risk factors for post-
extubation stridor, it would be wiser to give steroids first. Waiting to extubate
(presumably until any laryngeal edema resolves on its own and a cuff leak
develops) exposes him unnecessarily to the continued risks of mechanical
ventilation. If waiting is chosen, steroids should also be provided.
Other safety precautions that could be taken with this patient are extubating over
an airway exchange catheter (ET tube changer or "bougie") or over a
bronchoscope.
Question75 of 82 (score?)
A 65-year-old man presents with symptoms of myasthenia gravis and a chest CT is
performed, showing a large anterior mediastinal mass. A needle biopsyconfirms
thymoma. The mass is locally advanced, compressing the superior vena cava
(SVC) but not clearly invading the SVC or the pericardium. He has mild COPD
with FEV 70% predicted with no cardiac history.
Which of the following statements is true?
A. An attempt at surgical resection should be made.
B. The mass is unresectable; refer for radiation.
C. Myasthenia symptoms suggest a poorprognosis.
D. Neoadjuvant chemotherapy could improve resection and survival.
E. Absence of malignant features on histology is the strongest predictor of
survival.
You answeredD.
We agree that A and D are the best answers.
Thymomas and thymic carcinomas are neoplasms which may arise from the
thymus. In any case where there is not clear invasion into mediastinal structures
(blood vessels, pericardium, pleura), surgical resection should be attempted.
Retrospective series strongly suggest surgical resection offers the bestcure,
124
although there are no randomized controlled trials of surgery vs. nonsurgical
treatments. This patient's mild lung disease should not preclude surgery.
The histopathology of thymic neoplasms is complex and has an uncertain
contribution to prognosis, because histology is heterogeneous within the tumor
(e.g., carcinoma and thymoma may exist simultaneously in different areas).
Invasion through the thymic capsule into surrounding tissues does diminish
expected survival. However, even with a small degree of local invasion, 5-year
survival with resection is >80%. There are multiple staging systems, with the
Masaoka system most widely used.
Myasthenia gravis (MG) symptoms are present in up to 50% of people with
thymomas, but are rare in thymic carcinoma. Symptoms of MG are associated with
less advanced disease, and resection of the thymoma reduces myasthenia
symptoms (without eliminating them) in most patients.
Palliative radiation is appropriate for cases of unresectable disease. Adjuvant
radiation therapy after resection is strongly recommended after incomplete
resection. After cases of complete resection, adjuvant radiation has an unlikely
benefit except perhaps in stage III disease.
Thymomas are chemotherapy-sensitive. Neoadjuvant chemotherapy may be used
for large bulky masses that on imaging, appear too technically difficult to resect
completely. There are multiple chemotherapy regimens, most of which are based
on cisplatin (e.g., adding doxorubicin, cyclophosphamide and prednisone).
Followup should continue for at least 10 years. Chemotherapy is the preferred
treatment for recurrent or metastatic disease.
Follow-up study of thymomas with special reference to their clinical
stages.
Masaoka A, Monden Y, Nakahara K, Tanioka T.
Abstract
125
Follow-up data were obtained for 96 cases of thymoma. The one-year survival rate
was 84.3%, the three-year 77.1%, the five-year 74.1%, and the ten-year 57.1%.
The five-year survival rate of total resection group was 88.9%; that of non-
radically treated group was 44.4%. Clinical stages were defined: Stage I--
macroscopically encapsulated and microscopically no capsular invasion; Stage II--
1. macroscopic invasion into surrounding fatty tissue of mediastinal pleura, or 2.
microscopic invasion into capsule; Stage III--macroscopic invasion into
neighboring organ; Stage IVa--pleural or pericardial dissemination; Stage IVb--
lymphogenous or hematogenous metastasis. Five-year survival rates of each
clinical stage were 92.6% in Stage I, 85.7% in Stage II, 69.6% in Stage III, and
50% in Stage IV. Recurrence after total resection was found in six of 69 cases.
Seven of 13 patients treated by subtotal resection survived more than five years
with postoperative radiotherapy.
Question76 of 82 (score?)
Your new pulmonary function technician brings a patient's spirometry results to
you for confirmation. There are 4 flow volume curves that show extrapolated
volume of 70 mL, 7.5 seconds ofexhalation with plateau. You see no artifacts.
Comparing the two best efforts, FEV1 varies by 120 mL and FVC varies by 130
mL. The tech says, "I ask her to do more, Doctor, but she say no, she is too tired."
What's the best way to characterize these spirometry results?
A. Acceptable, but not reproducible.
B. Not acceptable and not reproducible.
C. Not acceptable, but reproducible.
D. Acceptable and reproducible.
E. Utterly reprehensible.
You answeredD.
We agree that D is the bestanswer.
To be acceptable, a spirometric effort must be free from artifacts, have a good start,
and good exhalation. Artifacts include cough, leak, glottis closure, inadequate
effort, an obstructed mouthpiece or early termination; these usually cause the flow
126
volume loop to look irregular. A good start means extrapolated volume is < 0.15 L
or < 5% FVC. Good exhalation lasts >6 sec and/or generates a plateau in the curve.
An adequate test requires at least three acceptable efforts.
Reproducibility can only be compared between acceptable spirograms (i.e., there is
no such thing as "not acceptable, but reproducible"). To be reproducible, the two
largest values for both FVC and FEV1 must be within 150 mL (0.15 L) of each
other. This was achieved here.
If acceptable spirograms are not reproducible (i.e., they vary by > 0.15 L), the
technician should continue to collect up to 8 efforts (as long as the patient can
continue) before giving up and stopping the session.
Question77 of 82 (score?)
A 70 year old man is intubated in your ICU. He has an esophageal pressure
catheter in place which shows an end inspiratory pressure of 6 cm H2O; plateau
pressures are 15 cm H2O. He has acceptable lung mechanics and so is extubated.
He promptly vomits and aspirates, requiring reintubation.
What do you expect his ventilatory mechanics/pressures to show?
A. Unchanged plateau and esophageal pressures.
B. Increased plateau and esophageal pressures.
C. Decreased plateau; increased esophageal pressures.
D. Increased plateau; unchanged esophageal pressures.
You answeredD.
We agree that D is the bestanswer.
Plateau pressure (end-inspiratory pressurein a state of no-flow during an imposed
breath hold) is made up of both 1) the pressure required to inflate the lungs
themselves, and 2) the recoil forces imposed by the distended chest wall.
The aspiration event should worsen lung compliance, raising plateau pressure.
127
Esophageal pressure is unaffected by the worsening lung compliance, or by any
mechanics of the chest wall, and should be unchanged.
The difference between the airway plateau pressure and the esophageal pressure at
end-inspiration (i.e., the transpulmonary pressure during a plateau breath hold) is a
measure of the true forces distending the lungs. Prior to the described extubation,
that would have been 9 cm H2O in this patient.
Esophageal manometry is rarely used in practice, but a single-center study
published in N Eng J Med suggested that using this slightly invasive method to
guide management of mechanical ventilation could improve oxygenation.
Factors such as obesity and ascites can cause significantly increased plateau
pressures, even when lung compliance is normal or only slightly reduced. The
spuriously high plateau pressures can result in inappropriate reduction of delivered
tidal volumes in order to meet "lung-protective" ventilation goals. Being aware of a
patient's chest wall mechanical properties (or use of esophageal manometry by
experienced physicians) might help avoid this pitfall.
Question78 of 82 (score?)
A 30 year old man complains of daytime somnolence since college. He lives alone
and does not know if he snores. Epworth Sleepiness Scale is 17. He has no history
of cataplexy. He is not obese. He sleeps about nine hours a night, with naps during
the day. His bedtimes vary by up to 3 hours (10pm-1am). He does not work shifts.
He undergoes polysomnography, which demonstrates an apnea-hypopnea index of
7 and a respiratory disturbance index of 14 with no hypoxic burden, during six
hours of sleep. On a multiple sleep latency test the next day, his mean sleep latency
is 6 minutes and he has one sleep onset REM period. He takes no medications.
In addition to counseling on sleep hygiene, what's the best next step?
A. CPAP titration study; start nightly CPAP and assess response.
B. Repeat the MSLT.
C. Start venlafaxine.
D. Start methylphenidate.
E. Start modafinil.
128
You answeredA.
We agree that A and B are the best answers.
As is often the case, it's unclear from the available data what sleep disorder(s) this
patient may have.
Narcolepsy may be underrecognized, with a prevalence of up to 1 in 2000.
Excessive sleepiness is often the only clear symptom; cataplexy (weakness during
laughing and/or other emotional responses)may be mild or nonexistent. Other
symptoms can include hallucinations at sleep onset (hypnogogic) and sleep
paralysis.
The diagnosis of narcolepsy requires a polysomnogram followed by a multiple
sleep latency test, in which a patient is given four or five opportunities to nap every
2 hours. Mean sleep latency of 10 to 15 minutes is normal; in many people with
narcolepsy, it's 5 minutes or less. Generally, there must be two sleep-onset REM
periods (SOREMs)in addition to a short sleep latency to diagnose narcolepsy.
Most people with narcolepsy are HLA DQB1*0602 positive; however, 99% of
people with this HLA haplotype do not have narcolepsy, as it occurs commonly
(10-40%) in healthy people. Orexin/hypocretin deficiency in cerebrospinal fluid is
often present in people with narcolepsy with cataplexy. These are mainly research
tools, not clinical diagnostics.
The MSLT has serious limitations: sleep onset REMs can occurin people without
narcolepsy who are sleep deprived, have recently stopped antidepressants, have
untreated sleep apnea, or in 10% of people with no sleep disorder (false positives).
The MSLT can be falsely negative in 20-30% of people with narcolepsy.
This young man's MSLT showed only one SOREM. In addition, his
polysomnogram suggests mild obstructive sleep apnea. The treatments listed are
appropriate for narcolepsy, but shouldn't be started without a stronger basis for
diagnosis. (Other narcolepsy treatments include dextroamphetamine and gamma-
hydroxy-butyrate. GHB helps by suppressingREM-sleep, as does venlafaxine; the
others are wakefulness-promoting stimulants.)
Either a treatment trial of continuous positive airway pressure (CPAP) for OSA, or
a repeat MSLT (due to its high false negative rate and his lack of risk factors for
OSA) are appropriate for this patient. Obstructive sleep apnea, periodic limb
movement disorder, and other sleep disorders are common comorbidities in people
129
with narcolepsy. Good sleep hygiene with regular bedtime and wake times are
essential to the management of narcolepsy (and important for all people with sleep
disorders); scheduled naps can also be helpful. Simply following this patient over
time as his sleep hours normalize would also be appropriate.
Question79 of 82 (score?)
A 58-year-old woman with idiopathic pulmonary fibrosis presents to clinic in
follow-up after bilateral lung transplantation 16 days ago. She needed vasopressors
and mechanical ventilation for 3 days, but quickly recovered after that and went
home 3 days ago.
Today, she comes to clinic with no symptoms and feeling at her baseline since the
day of discharge. However, a routine chest X-ray shows bilateral pneumothoraces,
with about 1 cm between the chest wall and parietal pleura on the left, and about
0.5 cm on the right. She is admitted to the hospital and a tube thoracostomyis
placed on the left.
What's the best next step?
A. Wall suction to left chesttube; removewhen pneumothoraxresolves; observe
right pneumothorax.
B. Increaseimmunosuppressivemedications.
C. Insertchesttube on right; talc pleurodesis bilaterally.
D. Performbronchoscopy and inspectcentral airways.
E. VATS pleurodesis on the left; observeright pneumothorax; VATS if no
resolution.
You answeredD.
We agree that D is the bestanswer.
130
The first concern after the appearance of bilateral pneumothoraces in someone
after bilateral lung transplant should be dehiscence of the bronchial anastamoses. A
bronchoscopyshould be performed to inspect the surgical anastamoses.
Rejection can contribute to later airway complications, but when dehiscence has
occurred early as in this case, rejection is not the likely cause. If anything,
immunosuppressive medications may need to be reduced to help facilitate healing
of the surgical wound.
Besides poorhealing, numerous other pathologic processescan cause airway
complications: granulation tissue formation; infection; stenosis/fibrosis;
bronchopleural fistula; and bronchomalacia. These complications are more
common in people with long ischemic times perioperatively, rejection, hypotension
postoperatively, and infections.
Surgeons may attempt to reduce the risk of bronchial anastamotic dehiscence by
using a shorter donormainstem bronchus and a longer recipient mainstem
bronchus. Surgically "telescoping" the donorand recipient mainstem bronchi
together also reduces dehiscence rates, but a costof increased rates of stenosis.
Sirolimus is associated with early fatal bronchial dehiscence, and many lung
transplant physicians avoid prescribing it for this reason until after healing of the
anastamoses has occurred.
Very small pneumothoraces may be present immediately after lung transplantation,
resulting from a mismatch in size between the donorlungs (small) and recipient
thorax (large); these may persist for weeks but are generally of no clinical
consequence.
Question80 of 82 (score?)
Ms. D was admitted to the ICU with a pulmonary embolism at 2 pm today. Her
vitals and exam were normal then (BP 100/70) but for a HR of 115 and elevated
neck veins. She is 62, has hypertension and underwent a hip replacement 3 months
ago for osteoarthritis. It's now 11:30 pm.
Vital signs: HR 120; BP 94 / 60 (mean arterial pressure = 72); RR 24; SaO2 93%
on 3 liters oxygen.
BNP is 1,210; two serial measurements of troponin-I are negative. Her neck veins
131
are no longer elevated; otherwise, her exam is unchanged besides the change in
vital signs.
An echocardiogram will be performed in a few hours. You have her on a heparin
drip at therapeutic levels.
Your next action is:
A. Request an IVCfilter be placed
B. Intubateand place her on mechanical ventilation
C. Continue to monitor
D. Give a bolus of 10 mg t-PA intravenously, then 90 mg over 2 hours
E. Request surgicalevaluation for thrombectomy
You answeredC.
We agree that C is the bestanswer.
Ms D has a submassive pulmonary embolism (RV dysfunction as evidenced by
ECG & elevated neck veins, with preserved arterial SBP > 90). Management is
somewhat controversial. Thrombolytics accelerate clot lysis and provide short-
lived hemodynamic benefits; they may improve recovery of cardiovascular
function after hospitalization in some patients as well. However, a "catch-up"
phenomenon may occurin patients treated with heparin alone, with
hemodynamics improving within 1 week or so. There is still no definite evidence
of benefit of thrombolytics, even in patients with massive PE and shock, when
considered as a group (for certain patients, most people agree lytics can be
lifesaving). This is mainly because of the small size of clinical trials.
The ACCP's recommendation (weak grade 2C)is that thrombolytics should be
used promptly in PE with hypotension (e.g., SBP < 90 mm Hg), and not in most
patients without hypotension (strong grade 1C). Exceptions are those deemed to
be at "high risk" with right ventricular dysfunction on ECHO or enlargement on
CT; elevated troponins; and those who "look sick" with hypoxemia, dyspnea, and
anxiety; these patients are also suggested to receive thrombolytics if they also have
a low bleeding risk (weak grade 2C). However, this patient meets none of those
high risk criteria.
Negative troponins are a powerful predictor of survival; so is a negative BNP. In
contrast to a positive troponin, a positive BNP does not predict pooroutcome.
132
Severe bleeding may occurin up to 20% of recipients of thrombolytics, with up to
3% suffering intracranial hemorrhage. Before thrombolysis, review the patient's
history for contraindications. The ACCP's guidelines do not specify "absolute"
contraindications, only "major" ones (intracranial disease, uncontrolled
hypertension upon presentation, "recent" major surgery or trauma). The only
agreed-upon absolute contraindication in massive life-threatening PE seems to be a
concurrent intracranial hemorrhage.
Catheter-directed thrombolysis has no greater efficacy or proven reduced bleeding
risk than peripheral injection, but may be considered in hypotensive patients with a
contraindication to thrombolytics. Because t-PA has the shortest infusion time, it is
recommended as first line among thrombolytics by ACCP (not becauseof proven
higher efficacy).
The practice of placing an IVC filter in those with a large residual lower-extremity
"clot burden" is not supported by evidence, but is not improper; a leg ultrasound
should be obtained first, though. Surgical or intravascular embolectomy is typically
a last resort for patients in shockwho are failing or unable to receive
thrombolytics; it requires high expertise and has a high reported mortality rate,
probably due to patient selection.
Question81 of 82 (score?)
Your patient had a cardiac arrest and ventricular fibrillation was the initial rhythm.
You have just given a third shock, and the patient now has the below rhythm. Your
team looks to you for instructions.
According to ACLS algorithms, what would you order next?
A. Endotracheal intubation.
B. Check for a carotid pulse.
C. Resume chest compressions.
133
D. Atropine 1 mg IV.
E. Amiodarone 300 mg IV.
We feelthat C is the best answer.
Current ACLS guidelines (good through 2015) advise minimal interruptions in
high-quality chest compressions (at least 2 inches, at least 100 per minute,
allowing complete chest recoil between compressions), which should be resumed.
Epinephrine could be given, but is not a listed choice. The rhythm is now asystole,
so amiodarone is not indicated. Endotracheal intubation has been made virtually
optional during ACLS codes, becauseit has been shown to interfere with the
delivery of high quality chest compressions, which should be the first priority.
Likewise, checking for a pulse when the rhythm is likely non-perfusing (asystole)
is not advised as it will also delay adequate chest compressions. Atropine is
advised for symptomatic bradycardia in current ACLS guidelines, but no longer for
other rhythms such as asystole or PEA.
Question82 of 82 (score?)
You are consulted about a 64 year old man admitted early this morning with a
pleural effusion and community-acquired pneumonia (fever, leukocytosis, and
infiltrate). The admitting internist shows you the right lower lobe consolidation on
chest film, with a right-sided effusion filling about 30% of the hemothorax. She
performed a thoracentesis, during which she could only remove 100 mL of fluid.
The fluid has the following characteristics:
 Glucose65 (normal)
 pH 7.35 (normal)
 LDH 1,250 (4 times upper limit of normal)
A repeat chest film shows fluid filling about 20% of the hemithorax, and it has an
irregular contour, tracking up the chest wall. You perform bedside ultrasound,
which confirms the opacity is an effusion, with visible septations floating in the
fluid.
134
Besides continuing appropriate antibiotics, what's the best next step?
A. Observation (allow the antibiotics time to work).
B. Repeat thoracentesis by a more experienced operator.
C. Place a chest tube and instill tissue plasminogen activator and DNAse.
D. Diuretics and afterload reduction.
E. Consult thoracic surgery for thoracoscopy (VATS).
You answeredC.
We agree that C and E are the best answers.
Which parapneumonic effusions (PPE) should be drained, and how? Except for the
obviously low- or high-risk PPEs, no one really knows. The ACCP convened a
panel that published a landmark paper in 2000, cited below. The evidence for all
their recommendations was "C or D" (case series or opinion): in managing PPE,
the art of medicine still reigns.
The panel proposedcriteria to stratify PPE into 4 categories of risk (click here to
see their table). The short version is that any PPE with any of these criteria should
be drained (and PPEs without any of these need not be):
 >=50% of hemithorax (even if free-flowing on CT/lateral decubitus film)
 Loculated (as in this patient, with incomplete drainage and lack of free-flow
on repeatimaging)
 Thickened parietal pleura
 Positive culture or gram stain
 pH < 7.20 (this is the preferredmethod; pH mustbe measured in a blood
gas analyzer)
 Glucose< 60 mg/dL (if pH unreliable)
Thoracoscopywith decortication is the most effective method of curing an
empyema: a surgeon can efficiently and quickly remove the infected material, and
simultaneously disrupt fibrous adhesions and prevent loss of lung function. VATS
for PPE appears safe, after considering the underlying severity of illness. There is
growing supportfor VATS as consideration of first-line treatment in selected
patients with PPE.
135
Tube thoracostomy, followed by instillation of tissue plasminogen activator and
DNAse was found to be superior to tube thoracostomywith either agent alone or
placebo in improving outcomes with PPE. Fewer patients who got combination t-
PA/DNAse needed surgery, and they went home sooner. Only 4% of patients in the
t-PA/DNAse group needed surgery within 3 months, suggesting this should usually
be an effective approach.
Since the internist did aspirate fluid, it's unlikely that the initial technique was
appropriate and that the low volume obtained was due to the loculations present;
repeat thoracentesis would be unlikely to help.
REFERENCES:
Colice GL et al. Medical and SurgicalTreatment of Parapneumonic
Effusions: an evidence based guideline. CHEST October 2000 vol. 118 no.4
1158-1171.
Lee SF et al. Thoracic empyema: current opinions in medical and surgical
management. Curr Opin Pulm Med. 2010 May;16(3):194-200. [PubMed]
Shi-Ping Luh et al. Video-Assisted Thoracoscopic Surgeryin the Treatment
of Complicated Parapneumonic Effusions or Empyemas: Outcomeof 234
Patients. CHESTApril 2005 vol. 127 no. 4 1427-1432.
Rahman NM et al. IntrapleuralUseof TissuePlasminogen Activator and
DNasein Pleural Infection. NEngl J Med 2011; 365:518-526.
136
Real-WorldBoards:Your Current Score
CONGRATULATIONS !
You've completed the Real-World Boards!
Come back soon, we add new questions almost every week.
You've answered 81 of our 82 questions (49% correctly).
Your class rank is # 469.
Or you can log out, or
Restart the Boards from the very beginning.*
*(CAREFUL: this erases your log of completed questions, your scores will reset, and you will
see questions you've already answered).
Send us your suggestions to improve the Real-World Boards or anything else on PulmCCM
Central.

Real-World Boards Cases ,PULMCCM

  • 1.
    1 Real-WorldBoards Question 1 of82 For about 2 weeks, initially with nasal congestion, rhinorrhea and a sore throat, now with a steady cough productive of yellow sputum. She feels better except for the cough, which is impairing her functioning at work. Her temperatures (taken at home) have all been under 101 F. You notice she seems a bit under the weather but is breathing normally; you take her radial pulse, which is 89. She asks you what she should buy for her cough. What's the best recommendation for her, based on available evidence? A. Cetirizine for 7 days B. Brompheniramine with pseudoephedrine, and naprosyn, until symptoms subside C. Azithromycin for 5 days D. Chicken soup E. Schedule an office visit with chest films You answered. We feelthat B and D are the best answers. Acute cough (< 3 weeks) is believed to be most often due to the common cold. Cough can be persistent and bothersome, justifying treatment. One randomized trial showed improvement in cough with the use of brompheniramine (a first generation antihistamine) with pseudoephedrine. Naprosyn bid also reduced cough (and other cold symptoms)in a randomized trial. These two therapies are "A"
  • 2.
    2 recommendations by theACCP for patients with bothersome cough due to the common cold. Loratadine with pseudoephedrine was no better than placebo in another study; other studies also show that newer-generation nonsedating antihistamines are not effective on cold symptoms. A systematic review concluded that in fact, no over-the-counter remedies are effective for cough from the common cold; however, it lumped together new antihistamines (ineffective) and older ones (possibly effective) and concluded antihistamines are not effective. It also doubted whether the benefits seen in positive trials were clinically significant. Reassurance seems a reasonable option, too. Office visits, chest films, and antibiotics are not needed for healthy people with colds. Fever, immune suppression, tachycardia, or tachypnea might prompt a chest X-ray. Also: Acute bacterial sinusitis can present with postnasal drip cough and upper respiratory tract infection, and be indistinguishable from the common cold (even on sinus imaging). Cough that persists > 3 weeks should be evaluated as chronic cough. Pertussis causes persistent cough, is underdiagnosed, and should be treated with macrolide antibiotics. The CDC recommends pertussis boostervaccination for all adults. Question 2 of 82 (score?) This 78 year old white woman has been coughing for "a good while"; you estimate at least many months by her history. She is persistently fatigued, has lost 5 pounds, but has no fevers or night sweats. She is a never-smoker. She sometimes coughs up blood-streaked sputum. She lives in a high-rise retirement home. Other cuts of her chest CT are similar to the one below, correlating well with the findings on chest X-ray.
  • 3.
  • 4.
    4 The primary problemis likely: A. An infection she caught from the environment B. An infection she caught from someone else C. Reactivation tuberculosis D. Bronchioloalveolar carcinoma E. A chronic process resulting from repeated past infections We feelthat A is the best answer. This is a mycobacterium avium complex infection, with Lady Windemere syndrome (bronchiectasis and multiple small nodules often involving the right middle lobe or lingula in nonsmoking elderly women, often with chest wall or skeletal deformities). The other options are possible but the pattern on imaging along with the history are most suggestive of MAC, an endemic organism inhaled
  • 5.
    5 from soil orwater. Her bronchiectasis could perpetuate her cough and hemoptysis; however, she also has many nodules that are indicative of ongoing infection as the primary process.Nontuberculous mycobacteria (NTM) also include M. kansasii, rapidly growing mycobacteria (RGM), and numerous less common species. Nonpathogenic airway colonization by these organisms is frequently incidentally discovered and must be differentiated from infection. NTM infection commonly causes a TB-like pattern (upper lobe cavitary disease); hypersensitivity pneumonitis (ground glass and centrilobular nodules, sometimes with a mosaic pattern), or the pattern seen here (nodular bronchiectasis with or without fibrocavitary disease), along with low-grade nonspecific symptoms usually including cough and fatigue. Diagnosis requires compatible imaging and clinical findings, along with 2 positive sputum samples (24+ hrs apart) or 1 positive sample from bronchoscopic lavage or biopsy. This unfortunate woman has required more than 3 years of multi drug therapy, with repeated medication switches for adverse effects including optic neuropathy while on ethambutol--still, her sputum remains positive for MAC. Unfortunately, her situation is not atypical for people with this indolent, difficult- to-treat infection. National Jewish in Denver are the premier referral / consultation center for these cases. Question 3 of 82 (score?) You receive an email from a colleague asking for a "curbsideconsult." You haven't heard the story or your colleague's question yet, but to frame your thinking, you quickly glance at the images she's attached to the email.
  • 6.
  • 7.
  • 8.
    8 Based on theseimages, what's the most likely clinical scenario? A. A 50-year old man with a mass in the head of the pancreas. B. A 66-year old man with progressive dyspnea on exertion, leg edema, and longstanding hypertension. C. A 48-year old woman treated for malignant melanoma 2 years ago. D. A 24-year old woman with HIV-AIDS, 4 weeks of dyspnea and dry cough, SaO2 of 88% on ambient air, non-adherent with Bactrim prophylaxis. E. A 60-year old chicken farmer with progressive dyspnea and a positive hypersensitivity panel. We feelthat A is the best answer. The chest X-ray shows reticulonodular opacities, a nonspecific abnormal finding. The axial CT cuts show:  Small nodules in a lymphangitic pattern, i.e., touching the pleura/fissures  Pleural effusions with an irregular, nodular contour
  • 9.
    9  Irregular thickeningof the interlobular septa  Peribronchovascular thickening All these findings are consistent with this patient's diagnosis of lymphangitic carcinomatosis(LC): diffuse metastatic spread of cancer to the lungs, where it diffusely infiltrates and obstructs lymphatic channels. 80% of cases are due to adenocarcinomas, most often from a primary cancer of the breast, lung, or colon. This case of LC was from a primary pancreatic adenocarcinoma. Chest films are usually normal in lymphangitic carcinomatosis. This patient's imaging studies are also consistent with:  Sarcoidosis (would expect hilar lymphadenopathy)  Lymphoma  Silicosis  Coal worker's pneumoconiosis Regarding the other answer choices, all but metastatic melanoma would likely include reticular opacities on chest X-ray. Their patterns on CT imaging would most likely include:  Cardiogenic pulmonary edema (CHF): Bilateral/diffuse interlobular and intralobular septal thickening, ground glass opacities, pleural effusions. Centrilobular nodules (ill-defined/hazy) may be seen, surrounded by ground glass opacity.  Metastatic melanoma: Nodules/masses, usually multiple, most often >1-2 cm, in a random pattern affecting one or both lungs. Diffuse lymphangitic involvement would be highly unusual.  Pneumocystis pneumonia: Bilateral/diffuse ground glass opacities (90%); nodules are rare.  Hypersensitivity pneumonitis: Bilateral/diffuse centrilobular nodules, surrounded by ground glass opacities, often with tree-in-bud opacities. Later in the illness, fibrosis (traction bronchiectasis, honeycombing) is present. Nodule mini-primer:Centrilobular nodules appear at the center of the secondary pulmonary lobules; they represent engorgement of the pulmonary arteriole and/or occlusion of the centrilobular bronchiole. Centrilobular nodules do not touch the pleural surfaces or fissures. (Lymphangitic nodules and random nodules may touch the fissures/pleural surfaces.) Lymphangitic nodules are accompanied by irregular thickening of septae and bronchovascular bundles; they occurfrom lymphangitic
  • 10.
    10 spread of tumor,sarcoid, or another inflammatory process. Randomnodules result from hematogenous spread of tumor or disseminated infection (tuberculosis, fungal infection) and occurwithout the associated findings of lymphangitically-spread nodules. Question 4 of 82 (score?) Your colleague in the ED calls you. He has a 55-year-old former nurse there, sent by her PCP for leg swelling. He ordered lower extremity ultrasound; the left common femoral vein image is shown. The image on your left is with the probe resting on the skin; the image on the right is with compressionof the vein by the ultrasound probe. She has edema in the left leg. She has no risk factors for or history of DVT. Vital signs are normal. A radiologist will be available to interpret the images in a few hours. After your history and exam reveal nothing else, the ED doc asks what you want to do. Of the listed options, what is the best recommendation you could make? A. Schedule placement of an IVC filter while awaiting the final radiology read. B. Admit; start warfarin and unfractionated heparin; recommend warfarin for 3 months. C. Start enoxaparin and warfarin, then discharge; recommend warfarin indefinitely.
  • 11.
    11 D. Get dedicatedDoppler ultrasound of the leg veins. E. Pulmonary angiogram. We feelthat C is the best answer. This is a proximal, unprovoked, asymptomatic DVT. The vein should compress completely; this one does not, and has an echogenic area in the lumen (it should be homogenously jet-black inside). Generally speaking, recurrence rate after unprovoked DVT is similar between people with and without identifiable hypercoagulable states. ACCP recommendations for people with unprovoked proximal DVT without PE are that anticoagulation be continued "long-term" (i.e., indefinitely), if the patient is amenable after a risk/benefit discussion(Grade 1A, "Antithrombotic Therapy for VTE Disease," Section 2.1.2). ACCP also recommends warfarin be begun the same day as enoxaparin. There is growing acceptance of treating asymptomatic DVT on an outpatient basis "if possible" (Grade 1C ACCP recommendation), which we take to mean the patient is stable, can self-inject enoxaparin, and close follow-up can be arranged for INR checks. Question 5 of 82 (score?) Your internal medicine colleague asks you about a patient she is about to discharge home after a hospitalization for a COPD exacerbation. The patient, Mr. M., takes a beta-blocker for hypertension. Mr. M. does not have a diagnosis of coronary artery disease. Your colleague is considering stopping the beta-blocker to avoid any contribution to future COPD exacerbations, but wants your opinion first. What do you recommend? A. Stop the beta blocker. B. Continue the beta blocker. C. Stop the beta blocker; order a stress test. D. Continue the beta blocker; order an echocardiogram. We feelthat B is the best answer. Cardioselective beta-blockers are safe in patients with COPD, and may in fact be beneficial, mounting evidence suggests. A cohortstudy published in 2008 among
  • 12.
    12 >3,000 people withcardiovascular disease suggested beta blockade is not associated with a reduced FEV1 or increased exacerbations. In an observational database study of almost 6,000 outpatients with COPDpublished in 2011, beta blocker use was associated with reduced mortality and fewer COPDexacerbations. Cardioselective beta-blockers are likely beneficial for patients with mild or moderate asthma, as well, although that data is less conclusive than for COPD. Early case reports of beta blockers precipitating asthma exacerbations were in patients taking noncardioselective beta blockers (e.g., propranolol). Clinical Takeaway:Beta-blockers may be prescribed without restriction to people with COPD, if there is no contraindication. Question 6 of 82 (score?) A 46-year-old woman with persistent asthma presents for her routine 3 month visit. She notes her symptoms have been worse for the past few weeks. She is using albuterol daily, and having cough and wheezing a few nights a week. She has stopped her daily walk for exercise, due to difficulty breathing. Her vital signs are normal. On exam, she is breathing comfortably but has wheezing diffusely. She is taking fluticasone 220 mcg twice daily (medium dose) and albuterol 3 times daily. She demonstrates her inhaler technique, which is correct. What should be the next step? A. Schedule spirometry for next week to guide step-up therapy. B. Increase the doseof fluticasone to 440 mcg b.i.d. C. Provide prednisone 40 mg for 5 days and see again next week. D. Add a long-acting beta agonist. E. Add a leukotriene receptor antagonist.. We agree that B, C, D, and E are all reasonable answers. The patient needs step-up therapy for uncontrolled asthma. Traditionally that would have meant adding a long-acting beta agonist, but the FDA's 2010 warnings
  • 13.
    13 about long-acting betaagonists for asthma have introduced uncertainty (or call it flexibility) into clinical decision making for uncontrolled asthma. The National Asthma Education and Prevention Program (NAEPP guidelines) for 2007 would consider her asthma to be either:  "Notwell controlled": Step-up by 1 step; see again in 2-6 weeks; use alternative treatments if side effects develop.  "Very poorly controlled":Consider short course of oral steroids; step-up 1-2 steps;see again in 2 weeks; use alternative agents if side effects develop. Per NAEPP guidelines, step-up therapy would definitely include adding a long- acting beta agonist, and 2 steps up would also include increasing to high doseICS (440 or 500 mcg fluticasone twice daily). NAEPP-recommended alternatives to a LABA include a leukotriene receptor antagonist, Zileuton, theophylline, and at higher steps, omalizumab for those with allergies. Since February 2010, FDA black-box warnings for LABAs in asthma have created uncertainty around these guidelines. The most current language at FDA.gov (June 2010) would supportLABA use in this patient (inadequate control on medium- doseICS). Given the confusion at present, though, it would be hard to argue with a physician who choseto use an alternative agent in place of a LABA, or increase the inhaled corticosteroid dosewithout adding a LABA. Under direction by the FDA, major pharma companies are launching 5 large clinical trials to answer the question of LABA safety for asthma; results are expected in ~2018 or so. Delaying step-up therapy to obtain spirometry does not seem appropriate. Spirometry can help place a patient in a category on the NAEPP algorithm; however, regardless of the test result, step-up therapy is indicated and should be started now. Question 7 of 82 (score?) John, 33, is referred to you by his primary doctorfor bronchiectasis. John has had recurrent respiratory infections since graduating high school. He takes inhaled albuterol as needed, which in practice is never, becausehe does not perceive a benefit. His symptoms of episodic cough, dyspnea, and infections wax and wane unpredictably, but are progressing overall. Exam and vitals reveal distant breath sounds with some rhonchi, and are otherwise normal. A thorough occupational /
  • 14.
    14 inhalational history isnegative. As you consider beginning an extensive workup for unexplained bronchiectasis, you examine the test results below. Question 8 of 82 (score?) A 74-year-old man with severe, end-stage COPD(FEV1 20% predicted) suffers from breathlessness that is so severe, any activity (even standing from a chair) makes him feel like "I'm gonna die." He is on maximal inhaler therapies and supplemental oxygen. He has tried pulmonary rehabilitation but he could not tolerate it. To reduce this patient's feelings of severe breathlessness, which intervention has the strongest evidence for effectiveness? A. Nebulized morphine sulfate. B. Oral morphine sulfate. C. Using a fan to blow air on his face. D. Biofeedback therapy. We feelthat B is the best answer. Several systematic reviews and meta-analyses of randomized trials supportthe use of opioid use to relieve severe dyspnea in people with end-stage COPD. Many other therapies to relieve dyspnea in COPDhave been tested in randomized trials. Positive results were found from chest wall vibration and neuroelectrical muscle stimulation. Nebulized morphine also did not show an effect in randomized trials. Acupuncture, music therapy, use of a fan, and biofeedback/relaxation showed inconsistent or no benefits. The lack of conclusive evidence in randomized trials does not mean these nonpharmacologic therapies shouldn't be tried, as they may work in individual patients, and a placebo or psychological effect may be beneficial to maximize comfort in a palliative treatment plan, especially with therapies that are safe and simple.
  • 15.
  • 16.
  • 17.
    17 What's the diagnosis? A.Williams-Campbell syndrome. B. Allergic bronchopulmonary aspergillosis. C. Mounier-Kuhn syndrome.
  • 18.
    18 D. Cystic fibrosis. E.Marfan syndrome. We feelthat C is the best answer. Mounier-Kuhn syndrome, or congenital tracheobronchomegaly, is a rare inherited disorder of cartilage formation resulting in enlargement of the C-rings in the segmental bronchi and trachea. More distal bronchial structures are normal. (This is in contradistinction to Williams-Campbell syndrome, in which central airways are normal but distal airways are dilated.) The diagnosis is readily made on a CT scan showing grossly enlarged central airways, especially with compatible symptoms. Clinical presentation is usually with recurrent lower respiratory infections, which may begin in childhood, or not until young adulthood. Diagnosis was delayed until age ~75 in a few cases. Productive cough, dyspnea, and poorclearance of secretions are common symptoms. Prognosis varies widely and is impossible to accurately predict. Progressive bronchiectasis (perhaps due to repeated infections), emphysema, and pulmonary fibrosis are possible. Mild, stable cases, as well as those progressing to respiratory failure and death, have been reported. Due to the condition's rarity, no evidence is available to guide management, but airway hygiene has been recommended: postural drainage and consideration of other airway clearance techniques (chest physiotherapy, flutter valves, bronchodilators, dornasealpha, etc). Positive-airway pressure and airway stenting have been proposed. Surgery (posterior membranous tracheobronchoplasty) may be helpful in certain severely affected patients, but is usually not technically feasible. The cartilage defect in Marfan syndrome can cause tracheobronchomalacia, and either Marfan, cystic fibrosis, or ABPA can cause bronchiectasis with cystic degeneration of the lungs, but none of these cause tracheobronchomegaly.
  • 19.
    19 Question 8 of82 (score?) A 74-year-old man with severe, end-stage COPD(FEV1 20% predicted) suffers from breathlessness that is so severe, any activity (even standing from a chair) makes him feel like "I'm gonna die." He is on maximal inhaler therapies and supplemental oxygen. He has tried pulmonary rehabilitation but he could not tolerate it. To reduce this patient's feelings of severe breathlessness, which intervention has the strongest evidence for effectiveness? A. Nebulized morphine sulfate. B. Oral morphine sulfate. C. Using a fan to blow air on his face. D. Biofeedback therapy. We feelthat B is the best answer. Several systematic reviews and meta-analyses of randomized trials supportthe use of opioid use to relieve severe dyspnea in people with end-stage COPD. Many other therapies to relieve dyspnea in COPDhave been tested in randomized trials. Positive results were found from chest wall vibration and neuroelectrical muscle stimulation. Nebulized morphine also did not show an effect in randomized trials. Acupuncture, music therapy, use of a fan, and biofeedback/relaxation showed inconsistent or no benefits. The lack of conclusive evidence in randomized trials does not mean these nonpharmacologic therapies shouldn't be tried, as they may work in individual patients, and a placebo or psychological effect may be beneficial to maximize comfort in a palliative treatment plan, especially with therapies that are safe and simple. Question 9 of 82 (score?) This 49 year old U.S. citizen originally from Trinidad is referred to you for evaluation by her oncologist. She had the below chest X-ray after a mammogram suggested abnormal lung parenchyma. Breast biopsy showed ductal carcinoma in situ. She is to have lumpectomy soon. She has been mildly short of breath since her 20s, which has insidiously gotten worse, although she still works full-time and takes care of 3 children. She also has a chronic dry cough worse on deep
  • 20.
    20 inspiration. She hasnever sought evaluation for her symptoms and has never had prior chest imaging. In your office, she walks 1000 feet in 6 minutes, with desaturation from 100% on ambient air to 85% on ambulation with mild dyspnea. A TB skin test is placed. An HIV test was negative last year. PFTs:TLC 70% predicted (below lower limit of normal), FEV1/FVC ratio 0.65, FEV1 2.1L (below lower limit of normal) DLCO 40% predicted, DLCO/VA 80% predicted.
  • 21.
  • 22.
    22 Without any otherinformation, her most likely diagnosis is: A. Idiopathic pulmonary fibrosis B. Sarcoidosis C. Tuberculosis D. Lymphangitic spread of breast cancer We feelthat B is the best answer.
  • 23.
    23 Sarcoidosis is moreprevalent in people of African descent, and can present at a young age and progress insidiously. This woman likely has diffuse lung fibrosis without hilar lymphadenopathy, so-called stage IV sarcoid. The term "stage" misleadingly implies a predictable pattern of linear disease progression; in fact, the radiographic pattern (stage) correlates neither with chronicity nor with changes in pulmonary function. Although patients usually have restrictive lung disease at presentation, as many as 50% also have obstructive disease. Bronchodilator responsiveness is not uncommon. Spirometry returns to normal in 80% of patients within 2 years (with about 67% of patients achieving a complete remission of sarcoid within 10 years). Sarcoidosis is a diagnosis of exclusion, with a minimum requirement of a biopsy demonstrating noncaseating granulomas (except in certain patients, such as those with Lofgren's syndrome, Heerfordt's syndrome, or asymptomatic, incidentally discovered hilar lymphadenopathy). At that point, other granulomatous diseases must be excluded. This patient had a noncaseating granuloma on breast biopsy -- which can also be seen in breast cancer and which therefore still left some diagnostic uncertainty. Her symptoms and imaging have been stable over years since her first visit; she remained in remission from breast cancer after lumpectomy and radiation. Miliary TB would be expected to producea more nodular pattern on chest films, as opposedto this linear or reticular pattern. In situ cancer would not likely have spread lymphangitically. IPF usually preferentially affects the peripheral and basal lungs. The small nodule in the right lung baseis probably of no significance. Question 10 of 82 (score?) A 28-year-old medical student approaches you in the hospital hallway. She says with dismay, "My PPD is positive." She holds out her arm, which shows 12 mm of induration marked off by an examiner. You slide the edge of your pen tip along her skin until you meet resistance on each side. You get the same margins as the examiner's. The student says, "I just got a PPD 3 weeks ago that was negative - I know it was. But I got busy and never had it checked." She has no known exposures to tuberculosis, and no respiratory or constitutional symptoms. She had a chest X-ray this morning which was normal.
  • 24.
    24 She had anegative TB skin test last year when she first came to the US from Vietnam (a TB-endemic country), where she grew up. She did get BCG vaccine there as a child. You refer her to your hospital's occupational health department for further advice and management. Assuming the skin test 3 weeks ago was truly negative, and the chest X-ray this morning was normal, what would be the best recommendation? A. Repeat skin test next year; this was a boosterreaction. B. Prescribe isoniazid daily for 9 months. C. Repeat skin testing in one month. D. Collect serum for interferon-gamma release assay. E. Repeat skin test next year; this was a false-positive from BCG vaccine. We agree that B is the best answer. The student has a positive tuberculin skin test (TST) confirming latent tuberculosis infection (LTBI), probably occurring years ago in her home country. (Cutoff for TST positivity is 10 mm in health care workers; other cutoffs are here.) She did have a boosterreaction. Boosterreactions are initial false-negatives that become true-positives. They occurwhen a previously-infected personloses hypersensitivity to PPD antigen over time, resulting in a negative TB skin test. However, the injected PPD re-stimulates the immune system, and a TB skin test repeated 1-3 weeks later will induce a positive induration reaction. Because of this, the gold standard for TB skin testing is actually to place 2 PPDs 1-3 weeks apart; if either is positive, the person is considered to have LTBI and treatment should be considered. Treatment for LTBI can reduce the lifetime risk of reactivation tuberculosis by 60-90%:  First-line therapy is 9 months of daily isoniazid (5mg/kg, max 300 mg).  Six months of INH is also acceptable and supported by randomized trial data.  Other acceptable regimens include twice-weekly INH 300 mg for 6 or 9 months, or daily rifampin for 4 to 6 months. Data is less robust for these.
  • 25.
    25 Both INH andrifampin have potential toxicity, which must be balanced against the risk of reactivation tuberculosis. There is a 1 in 1000 risk of hepatitis while taking INH for alcohol-abstinent people without preexisting liver disease; asymptomatic transaminitis is common. With monthly monitoring, intermittent dosing, and provision of pyridoxine, INH can be given safely to most patients. Without treatment, the lifetime risk of developing reactivationtuberculosis in HIV-negative people is ~5-10%, with most of that risk in the first 2 years following infection. By CDC guidelines, the other answer choices are not recommended:  BCG-vaccinated people should be tested and treated for LTBI the same as everyone else.  Interferon-gamma release assay and TST should not be routinely performed together. In this case, the patient was tested with the gold standard two-step approach(although accidentally) and should be considered to have LTBI; confirmatory testing isn't needed.  Her skin test would be expected to still be positive in one month. Once a TB skin test is positive once in life, it will always be positive (or falsely negative). There is no way to detect re-infection with tuberculosis with skin testing. Question 11 of 82 (score?) During 25 days in your ICU, Mr. F has survived postoperative sepsis after a ventral hernia repair, and ARDS with prolonged respiratory failure with a tracheostomy. He still requires 20 mmHg of pressure supportventilation overnight, but tolerates trach collar during the days. A local long-term acute care hospital is eager to take over his care, and his transfer paperwork is ready. His wife, Wanda, wants to know what to expect now. Mr F is too weak and confused to communicate meaningfully, but she thinks her husband would want to go on fighting if he had a good chance to survive and get back to a place where he could at least live at home with assistance. According to published literature, what are Mr F's chances of being alive in one year?
  • 26.
    26 A. 75% B. 50% C.25% D. 10% E. It's impossible to predict from the information provided. We agree that B and C are the best answers. Chronic critical illness is an epiphenomenon resulting both from advances in intensive care and the financial success (and related proliferation) of long-term acute care (LTAC) hospitals. Generally defined as respiratory failure lasting weeks, chronic critical illness affects more than 100,000 people in the U.S. (estimated), and costs more than $20 billion annually. What happens to your patient after you send him or her to an LTAC? - Most are not freed from mechanical ventilation (reported weaning rates: 30 - 50%); if success is achieved, it's almost always within 60 days. - More than 40% are readmitted to the hospital within a year. - At the end of one year, fewer than half will be alive (32 - 52%). - Fewer than 12% will be alive and independent 1 year after their acute illness. Surveys of patients' families show that most have no idea of these grim odds. It's uncertain whether that's because physicians fail to effectively communicate the reality of the situation, or whether it's due to "selective hearing" by emotionally overwhelmed families desperate for hope. Although it's true that we can't predict with perfect accuracy what will happen to any individual patient, in the absence of clear reasons to be optimistic it might not be appropriate to say things like "He just needs more time" or "We just can't predict these things," since the data show that we usually can (at least in terms of predicting functional independence after LTAC admission, which is an unlikely outcome
  • 27.
    27 What is thebestintravenous medication infusion to provide next? A. Lidocaine. B. Esmolol. C. Heparin. D. Diltiazem. We feelthat C is the best answer. After successfulemergent electrocardioversion of atrial fibrillation, heparin infusion is appropriate if there is no contraindication. It is not known how long the patient was in a-fib before, and a dangerous clot may be present in the left atrium / left atrial appendage, increasing the risk for stroke. Cardiology consultation should also be sought. Diltiazem and beta blocker infusions are not necessary since she is in normal sinus rhythm. Lidocaine is an alternate agent to amiodarone for ventricular tachycardia or fibrillation. Question 12 of 82 (score?) During 25 days in your ICU, Mr. F has survived postoperative sepsis after a ventral hernia repair, and ARDS with prolonged respiratory failure with a tracheostomy. He still requires 20 mmHg of pressure supportventilation overnight, but tolerates trach collar during the days. A local long-term acute care hospital is eager to take over his care, and his transfer paperwork is ready.
  • 28.
    28 His wife, Wanda,wants to know what to expect now. Mr F is too weak and confused to communicate meaningfully, but she thinks her husband would want to go on fighting if he had a good chance to survive and get back to a place where he could at least live at home with assistance. According to published literature, what are Mr F's chances of being alive in one year? A. 75% B. 50% C. 25% D. 10% E. It's impossible to predict from the information provided. We agree that B and C are the best answers. Chronic critical illness is an epiphenomenon resulting both from advances in intensive care and the financial success (and related proliferation) of long-term acute care (LTAC) hospitals. Generally defined as respiratory failure lasting weeks, chronic critical illness affects more than 100,000 people in the U.S. (estimated), and costs more than $20 billion annually. What happens to your patient after you send him or her to an LTAC? - Most are not freed from mechanical ventilation (reported weaning rates: 30 - 50%); if success is achieved, it's almost always within 60 days. - More than 40% are readmitted to the hospital within a year. - At the end of one year, fewer than half will be alive (32 - 52%). - Fewer than 12% will be alive and independent 1 year after their acute illness. Surveys of patients' families show that most have no idea of these grim odds. It's uncertain whether that's because physicians fail to effectively communicate the reality of the situation, or whether it's due to "selective hearing" by emotionally overwhelmed families desperate for hope. Although it's true that we can't predict with perfect accuracy what will happen to any individual patient, in the absence of clear reasons to be optimistic it might not be appropriate to say things like "He just needs more time" or "We just can't predict these things," since the data show that
  • 29.
    29 we usually can(at least in terms of predicting functional independence after LTAC admission, which is an unlikely outcome Question 13 of 82 (score?) John, 44, comes to see you in your clinic, complaining of worsening exertional dyspnea. He smoked a half a pack a day for 5 years, quitting 25 years ago. He recently quit his construction job becausehe couldn't unload sacks of concrete or walk the site quickly enough to keep up. PFTs:FEV1 1.1 L (35% predicted); FEV1/FVC ratio 0.45; DLCO 35% predicted. Vitals: HR 90, RR 18, BP 125/85, SaO2 94% on ambient air, 92% with ambulation. He saw his primary doctora year ago, who ordered a chest X-ray and chest CT; he hands you a CD with some cuts of the chest CT, which you review.
  • 30.
  • 31.
    31 What approachto testingis most likely to yield a correct diagnosis? A. Repeat PFTs B. Serum antiprotease testing C. Bronchoscopywith biopsies D. Surgical lung biopsy E. Thorough occupational history We agree that B is the best answer. This patient has severe alpha-1 antitrypsin deficiency (A1ATD). Severe A1ATD is mistakenly believed to be rare; actually, 60,000 to 100,000 Americans are estimated to have the PI*ZZ genotype associated with severe deficiency (<50 mg/dL or 11 micromoles/L; >20 micromoles/L is normal). Most are of northern / western European descent and are undiagnosed. Features that should prompt consideration of A1ATD include:  Emphysema before age 45  Absence of smoking history or other exposures (e.g., organic dust)  Emphysema with basilar lucency  Unexplained liver disease  Family history of emphysema, liver disease, or panniculitis  Necrotizing panniculitis (rare, even in A1ATD patients)
  • 32.
    32 The manifestations ofA1ATD are complex and difficult to predict:  Many nonsmokers with PI*ZZ never develop liver or lung disease and seem to live a near-normal lifespan.  Smokers with severe A1ATD have wide variation in the rate of FEV1 decline and development of emphysema.  Many patients with A1ATD have an asthma-like phenotype with bronchodilator-reversible obstruction; these patients seem to be at greater risk for FEV1 decline (even if nonsmokers), and ATS recommends treating them "aggressively" with inhaled steroids and bronchodilators.  Liver disease is more common in childhood, but as many as 30-40% of patients aged >50 with A1ATD may have cirrhosis or carcinoma of the liver. Overall, prognosis in individual patients can't be predicted (except for those with already severe disease who smoke), becauseof the heterogeneity of the disease and the lack of prospective longitudinal studies. Patients with PI*MZand PI*SZ seem to be at increased risk for COPDif they smoke, but not markedly so if they do not. Somewhat surprisingly, the ATS recommends testing virtually all Americans with COPDfor A1ATD. (Also, anyone with unexplained liver disease, necrotizing panniculitis, asymptomatic obstruction on PFTs, and all siblings of A1ATD patients.) PI*MM (in 95% of U.S. population) ensures levels >20 micromoles/L and normal function. Nonrandomized trials suggest that A1AT supplementation may slow FEV1 decline and improve survival in severe A1ATD. Patients with lower FEV1 (31- 65% predicted) seemed to have a greater benefit. ATS guidelines are vague and acknowledge the relatively weak evidence, but suggest A1AT augmentation is appropriate for anyone with severe deficiency (<11 micromoles/L), and those with A1ATD (<20 micromoles/L) and either of these criteria:  FEV1 30-65% predicted (postbronchodilator);  Rapid decline of lung function (FEV1 decline >120mL/yr), regardless of initial FEV1. From observational data, the risk of anaphylaxis may be ~1% per patient over ~6 years of A1AT infusions. Patients should probably be given an Epi-Pen and taught to use it.
  • 33.
    33 This patient's CTscanshows panacinar emphysema, with bullous disease worse at the bases. Panacinar disease can merge with severe centrilobular emphysema to create a nonspecific CT scan. Question 14 of 82 (score?) A 33 year old woman returns to see you for her third visit for significant progressive dyspnea. She has no other medical conditions, and normal imaging except for an enlarged pulmonary artery on CT scan. Her echocardiogram suggested severe pulmonary hypertension (with normal LV function) on her last visit, so you referred her for right heart catheterization. The report is: Initial values After 25 ppm NO inhaled Central venous pressure 8 mm Hg 9 mm Hg Pulmonary artery pressure 70/39 (mean 47 mm Hg) 63/36 (mean 43 mm Hg) PAOP ("wedge") 12 mm Hg 13 mm Hg Cardiac index 2.8 L/min/m2 2.9 L/min/m2 She's also had a negative V/Q scan, HIV test, sleep study, echocardiographic bubble study, liver and hepatitis panel, high-resolution CT scan, urine drug screen, and autoimmune labs. She is at normal weight and did regular aerobic exercise before, but now cannot walk 100 feet without stopping for dyspnea. Her oxygen saturations are normal with exertion. Jugular venous pressure is 11 cm. She has pitting edema over both tibias. What's the worstadditional therapeutic recommendation for her?
  • 34.
    34 A. Bosentan B. Sildenafil C.Epoprostenol D. Nifedipine E. Warfarin We agree that D is the bestanswer. Idiopathic pulmonary arterial hypertension is a diagnosis of exclusion, arrived at after an extensive workup as outlined in guidelines and described above. All patients must undergo right heart catheterization before initiating treatment for any form of pulmonary arterial hypertension. A small percentage of patients are "vasoreactive" to adenosine or nitric oxide: they have a decrease in mean pulmonary artery pressure of >= 10 and to below 40 mm Hg when these agents are administered during RHC. These patients have an excellent prognosis as long as they take a vasodilating calcium channel blocker, such as nifedipine. Treatment for non-vasoreactive IPAH (as this patient has) may include oral endothelin receptorantagonists (bosentan), oral phosphodiesteraseinhibitors (sildenafil), or IV/inhaled prostanoids (epoprostenol, treprostinil, iloprost). U.S. guidelines recommend the more costly and inconvenient prostanoids for patients at "high risk" (rapid progression; RV dysfunction or RA pressure > 20 mm Hg; WHO functional class IV; high BNP; <300 m 6-minute walk). The 1A recommendations of the European Society of Cardiology are as follows: Evidence level WHO class II WHO class III WHO class IV I - A Ambrisentan, bosentan, sildenafil Ambrisentan, bosentan, sitaxetan, sildenafil, eprostenolIV, iloprost inhaled Epoprostenol IV
  • 35.
    35 Diuretics should beprescribed when volume overload is present. Based on observational data of improved survival in patients with IPAH, warfarin is generally indicated as well. In those with an indwelling catheter for IV therapy, warfarin is believed to be additionally helpful in preventing catheter thrombosis. Atrial septostomyand lung (or heart-lung) transplantation are options when PAH medical therapies fail. Question 15 of 82 (score?) A 19-year old man presents to the ED with the suddenonset of mild dyspnea and chest pain. A chest X-ray reveals a right-sided pneumothorax, with 4.2 cm between the chest wall and visceral pleural line. He is uncomfortable but not in distress. Oxygen saturation is 95% on ambient air; heart rate is 95. There is no midline shift on the chest film; pulsus paradoxus is normal. This is the first time this has happened to him. He has always been healthy. You administer 100% humidified oxygen. What's the bestcourse of action over the next several hours? A. Continue 100% oxygen and obtain another chest film. B. Perform thoracentesis, aspirating as much air as possible. C. Place a Heimlich valve in the anterior chest; discharge home. D. Admit; place a chest tube to -20 cm wall suction. E. Admit; consult thoracic surgery for pleurodesis. We feelthat B and C are the best answers. This is a primary spontaneous pneumothorax (occurring without a clear cause, in the absenceof lung disease). Although administering 100% oxygen would result in slow resorption of the air and lung re-expansion, this is recommended only for small pneumothoraces. (The size of a pneumothorax is notoriously difficult to estimate on a chest film, but <3 cm between the lung edge and the chest wall has been suggested as a cut-off.) The besttreatment for the patient would be aspiration of air with a standard thoracentesis kit. After removal of air, leave the catheter in place with a closed stopcockand monitor for 6 hours. If a repeat chest film shows success and he does not live in a remote area, he can go home (without the catheter). No follow-up is necessary, unless symptoms return.
  • 36.
    36 Alternatively, a Heimlich(one-way) valve could be attached to the thoracentesis catheter and he could go home afterward, returning in a few days for repeat film followed by removal of the catheter and valve. Chest tube placement could be performed, but would arguably be invasive and unnecessary, unless thoracentesis is unsuccessful(persistent air aspiration after 4 liters removed, suggesting a bronchopleural communication / leak). About half of those with PSP will never develop another pneumothorax. Pleurodesis could be considered for recurrent pneumothoraces Question 17 of 82 (score?) You are consulted by the ED for 40-year-old man presenting with shortness of breath and dry cough. He supervises construction and has been on-site for excavations in Tennessee, Ohio, Arizona, and Alabama, all in the last 2 months. He was diagnosed with pneumonia at an urgent care center 2 weeks ago and treated with levofloxacin for 1 week, with no improvement. Then he was prescribed prednisone 20 mg daily for 1 week, with steady worsening of his cough and subjective fevers. His temperature is 101, pulse 105, respirations 20, blood pressure 125/85. Oxygen saturation is 94% on room air. White blood cell count is 13,000 with 25% eosinophils. A chest X-ray shows patchy multifocal pneumonia. You schedule him for bronchoscopy. What do you most strongly recommend the ED physician provide now? A. Methylprednisone 125 mg IV. B. Itraconazole. C. Piperacillin and vancomycin. D. Amphotericin B. E. Heparin. We feelthat B is the best answer. In this patient with a pneumonia that has been unresponsive to broad-spectrum antibiotics and a courseof corticosteroids, with travel & exposure history suspicious for fungal infection, empiric antifungal therapy should be provided.
  • 37.
    37 Coccidioides is theonly dimorphic fungus that causes peripheral eosinophilia. Itraconazole or fluconazole are the preferred treatments for non-life-threatening coccidioidomycosis, with amphotericin B reserved for severe or disseminated infections. These agents are also effective treatment for histoplasmosis and blastomycosis (with ampho-B reserved for severe infections). There is insufficient data to supportthe use of voriconazole or posaconazole. Diagnosis of coccidiodomycosis is strongly suggested by positive serology, because most people lose seropositivity to coccidioides within 3 months of a resolved infection. (Positive serologies are also useful in acute histoplasmosis, but not in blastomycosis.)Negative serology does not rule out any fungal infection, because serology is insensitive in early infection. A new urine antigen test to coccidioides is available and should be checked if serologies are negative. Urine antigen tests are also available for histoplasmosis and blastomycosis (there is cross-reactivity making these assays only ~80% specific, but it's of no clinical consequencesince the treatments for both are the same). Histopathology / biopsycan demonstrate fungal elements using proper staining (e.g., spherules in coccidioidomycosis), orgranulomas in histoplasmosis. Culture from BAL or biopsy are high-yield but can take weeks to grow. Apparently, bronchoalveolar lavage is safe in coccidioidomycosis (although I'd wear an N95 mask and do it in a negative pressure room in suspected cases anyway), but handling cultures is dangerous and requires special measures; the lab should be notified if coccidioides is suspected. Regarding the other answer choices:eosinophilic pneumonia should be considered, but the lack of responseto an initial courseof steroids (albeit low dose)and the risk factors for fungal infection would make high dosesteroids ill-advised. Pulmonary embolism would not likely present with multifocal opacities. Question 18 of 82 (score?) Friends of a 21-year-old woman call 911 becauseshe is found unconscious alone in a room at a party. When EMS arrived, the woman had a GCS scoreof 8, pulse of 65, and respiratory rate of 12 / min, and was intubated in the field. She was brought to the emergency department, where you see her an hour later. She is now lethargic but arousable, moves all extremities and opens her eyes to voice. Pulse is 78, and respirations 18 / min. Physical examination, ECG, and chest film are all normal.
  • 38.
    38 Friends say therewas alcohol but no drug use other than marijuana at the party. They say their friend is a full-time college student who only drinks when at parties. Ethanol level, chemistry panel and toxicology screen, and other labs are all pending. What is the bestnext step? A. Give flumazenil B. Give naloxone C. Place a nasogastric tube and give activated charcoal D. Observe, with a plan to extubate and discharge from the ED within a few hours E. Give calcium gluconate We feelthat D is the best answer. This young woman is likely intoxicated with ethanol. She seems to be recovering steadily. In the absence of evidence of other intoxications or poisoning, the fewer aggressive interventions she undergoes, the better. It could be argued that since she had a normal respiratory rate and other vital signs, with no evidence of trauma, she didn't need to be intubated at all. The safety of forgoing intubation in severely alcohol-intoxicated patients with GCS < 6 was demonstrated in a sample of 405 drunken revelers needing medical attention during Oktoberfestin Munich in 2004. Other intoxications or poisonings should be considered, but should only be treated when there is suspicion of a specific ingestion/intoxication. The emergency department has done that by ordering appropriate labs and tests and by interviewing her friends. Naloxone should be given where there is known or suspected opioid toxicity. Flumazenil should not be administered, even in cases of benzodiazepine overdose, mainly becauseof its potential for causing withdrawal seizures. Thiamine should be given in chronic alcohol abusers, but not necessarily to all intoxicated patients. Activated charcoal is useful in gastric decontamination after ingestion of high- molecular weight compounds (e.g., acetaminophen or other oral medications), but should not be administered unless an ingestion is suspected. Charcoal's efficacy rapidly falls after the first hour after ingestion; evidence for its benefits is low, overall. Hemodialysis can rapidly remove small molecular weight compounds, such as methanol and ethylene glycol (and their toxic metabolites) and lithium.
  • 39.
    39 (Table: Common ToxidromesSigns & Symptoms, from fmpe.org) Question 19 of 82 (score?) Sally K. has COPD with an FEV1 of 48% predicted. You referred her to a lung rehabilitation program last year, which she completed and which made her feel better. When her insurer stopped paying for the visits, though, she stopped the program and returned to a sedentary lifestyle. She comes to see you today and wants to know what kind of exercise program would be bestfor her now. She insists on starting only one form of exercise. What exercise program do you recommend? A. Aerobic exercise using the legs (e.g., walking) B. Unsupported arm exercise, low weight, high repetitions C. Unsupported arm exercise, high weight, low repetitions D. Inspiratory muscle training E. Recommend holding off until a cardiac stress test can be obtained We feelthat A is the best answer. Aerobic exercise should be the cornerstone of any exercise program for someone with COPD. Increased cardiopulmonary fitness due to aerobic exercise is believed to be the major source of benefit from pulmonary rehabilitation, as this patient has experienced herself. Aerobic exercise has multiple other beneficial effects on mood, reduced cardiovascular risk, improved self-image and quality of life. These benefits have been demonstrated in over 20 randomized controlled trials (although, it should be noted, benefits were inconsistent & heterogeneous across trials). One study also shows improvement in muscle mass associated with aerobic exercise in pulmonary rehab. The aerobic exercise component of pulmonary rehabilitation should ideally be lifelong; its short-term nature is a function of the limits set by the payer system. (In 2011, Medicare paid outpatient centers $28 per rehabilitation session, per patient -- which may help explain the low availability of pulmonary rehab programs in many areas.)
  • 40.
    40 Limited studies showthat people with COPD are quite inactive. There is no proven effective method of motivating people to exercise. Some experts recommend tying exercise to social interaction by exercising with a friend. Varying the routine might help. Simple brisk walking is all that's needed to get the benefits of exercise, but if this patient wants to try something "new," there are endless variations on aerobic exercise, with programs offered through fitness centers, on TV, and online. Many patients believe that dyspnea is in itself dangerous, and need reassurance that mild sustained dyspnea during exercise is safe (& in fact is the goal). Inspiratory muscle training has shown benefit in some trials but should be considered adjunctive. By no means should it replace aerobic exercise. Strength training is also beneficial, and can be added to an aerobic exercise program in highly motivated patients. Question 20 of 82 (score?) A 65-year-old man presents with symptoms of myasthenia gravis and a chest CT is performed, showing a large anterior mediastinal mass. A needle biopsyconfirms thymoma. The mass is locally advanced, compressing the superior vena cava (SVC) but not clearly invading the SVC or the pericardium. He has mild COPD with FEV 70% predicted with no cardiac history. Which of the following statements is true? A. An attempt at surgical resection should be made. B. The mass is unresectable; refer for radiation. C. Myasthenia symptoms suggest a poorprognosis. D. Neoadjuvant chemotherapy could improve resection and survival. E. Absence of malignant features on histology is the strongest predictor of survival. You answeredD. We agree that A and D are the best answers. Thymomas and thymic carcinomas are neoplasms which may arise from the thymus. In any case where there is not clear invasion into mediastinal structures
  • 41.
    41 (blood vessels, pericardium,pleura), surgical resection should be attempted. Retrospective series strongly suggest surgical resection offers the bestcure, although there are no randomized controlled trials of surgery vs. nonsurgical treatments. This patient's mild lung disease should not preclude surgery. The histopathology of thymic neoplasms is complex and has an uncertain contribution to prognosis, because histology is heterogeneous within the tumor (e.g., carcinoma and thymoma may exist simultaneously in different areas). Invasion through the thymic capsule into surrounding tissues does diminish expected survival. However, even with a small degree of local invasion, 5-year survival with resection is >80%. There are multiple staging systems, with the Masaoka system most widely used. Myasthenia gravis (MG) symptoms are present in up to 50% of people with thymomas, but are rare in thymic carcinoma. Symptoms of MG are associated with less advanced disease, and resection of the thymoma reduces myasthenia symptoms (without eliminating them) in most patients. Palliative radiation is appropriate for cases of unresectable disease. Adjuvant radiation therapy after resection is strongly recommended after incomplete resection. After cases of complete resection, adjuvant radiation has an unlikely benefit except perhaps in stage III disease. Thymomas are chemotherapy-sensitive. Neoadjuvant chemotherapy may be used for large bulky masses that on imaging, appear too technically difficult to resect completely. There are multiple chemotherapy regimens, most of which are based on cisplatin (e.g., adding doxorubicin, cyclophosphamide and prednisone). Followup should continue for at least 10 years. Chemotherapy is the preferred treatment for recurrent or metastatic disease. Question 21 of 82 (score?) A 40 year old man underwent bilateral lung transplantation 8 months ago for cystic fibrosis. He is both a CMV and EBV mismatch (donorseropositive, recipient
  • 42.
    42 seronegative). He hasdone relatively well, but today presents with weight loss, fever, and night sweats for 2 weeks. A chest CT shows more than 10 lung nodules bilaterally, varying in size between 0.5 and 4.0 cm, and and mild mediastinal lymphadenopathy. He is taking tacrolimus, mycophenolate mofetil, and prednisone. He undergoes CT-guided biopsy of a large peripheral nodule, and it demonstrates innumerable clustered lymphocytes. Flow cytometry establishes a polyclonal B- cell population. Culture of the biopsy is pending. An interferon-gamma release assay is also pending. What's the best next step? A. Initiate anti-bacterial and anti-tuberculosis therapy, pending culture results. B. Initiate ganciclovir therapy. C. Reduceimmunosuppression. D. Perform bronchoscopywith EBUS-guided biopsy of mediastinal lymph nodes. E. Consult thoracic surgery for mediastinoscopy. We feelthat C is the best answer. Post-transplant lymphoproliferative disorder (PTLD) results from EBV infection of lymphocytes (of donoror recipient origin), inducing them to proliferate and aggregate where they shouldn't. More than 80% of cases involve B-cell proliferation; 15% are from T-cells. PTLD occurs in 2-9% of lung transplant recipients, mostly among those who were EBV-seronegative before transplant. Multiple well-formed lung nodules is the usual presentation, often with constitutional symptoms. PTLD tends to present at an advanced stage in lung transplant recipients. It may involve other organs (including the central nervous system, abdominal organs, and skin). Pathology demonstrates polyclonal proliferation of lymphocytes. (Non-Hodghkin lymphoma can also result, which would result in a monoclonal lymphocyte population on biopsy.) Reduction in immunosuppression permits the host immune system to suppress EBV replication and can result in regression of lung lesions and symptoms in PTLD. However, this increases the risk of acute rejection. Other treatments have been reported to be successfulin case reports/series:  Surgical excision  Radiation therapy
  • 43.
    43  Chemotherapy  Extracorporealphotochemotherapy  Retransplantation  Ganciclovir, rituximab, interferon alfa Overall, the prognosis of PTLD is guarded, due to the risks of recurrence, and rejection with reduction in immunosuppression. Question 22of 82 (score?) This 48 year old man had right middle and lower lobectomies last year for non- small cell lung cancer. He did relatively well since, but has now been admitted from oncology clinic with a fever and a high white blood cell count, and BP of 95/60 with a HR of 125. He is not immune-suppressed and last saw a doctor4 months ago. Doses of levofloxacin and azithromycin have been given.
  • 44.
  • 45.
  • 46.
    46 As the bestnext step, you recommend: A. Thoracentesis B. Bronchoscopywith bronchoalveolar lavage C. Tube thoracostomy D. Expedited radiation and salvage chemotherapy E. Change antibiotics to piperacillin/tazobactam, vancomycin and amikacin. We feelthat C and A are the best answers. This may be an empyema, and should be considered one until proven otherwise. The contrast-enhancing, thickened visceral and parietal pleura on the CT images are a good example of the "split pleura sign," suggestive of empyema or
  • 47.
    47 hemothorax. (A thickenedpleura can also be present after lobectomy alone, so this sign is less specific here.) Thoracentesis would not be inappropriate, but we felt definitive drainage was best given the patient's sepsis. Note that the large apparent effusion on scoutchest CT is nearly all due to the opacity created by an elevated liver/diaphragm due to volume loss after his large lung resection (see the liver at the level of the heart, on axial cuts). Ultrasound would help avoid sticking this with a thoracentesis needle. The actual empyema volume is small. (Cultures of the pleural fluid grew S. pneumoniae). This patient got a chest tube; these images were actually post-chesttube removal (the original CT showed an identical-sized fluid collection), which is likely responsible for the gas bubbles in the effusion. Without recent health-care contacts or immune suppression, empiric antibiotics for community-acquired pneumonia are appropriate, and bronchoscopywould not be expected to help. Even if the effusion were malignant, drainage would be indicated before further cancer treatments. Question 22 of 82 (score?) You've just diagnosed a 32 year old woman with idiopathic pulmonary arterial hypertension (IPAH) based on the right heart catheterization results below. She had been lost to followup after her initial evaluation months ago; she now has dyspnea at rest, lower extremity and sacral edema, and is housebound and requiring assistance with housekeeping. SaO2 is 85% during ambulation. Right atrial pressure 14 mm Hg Right ventricle pressure 69/16 mm Hg Pulmonary artery pressure 69/30 mm Hg Mean PA pressure 46 mm Hg
  • 48.
    48 Pulmonary capillary wedge pressure 11mm Hg Cardiac index 1.6 L/min/m2 Pulmonary vascular resistance 11 Wood U Infusion of nitric oxide reduces the mean PA pressure to 39 mm Hg. The cardiac index also falls, to 1.3 L/min/m2. You prescribe warfarin, oxygen therapy, and furosemide. The best choice for additional therapy is: A. Oral sildenafil. B. Oral bosentan. C. Inhaled treprostinil. D. I.V. epoprostenol. We agree that D is the bestanswer. This patient is WHO Class IV, the most advanced stage of PAH, with dyspnea at rest and evidence of right heart failure on exam (anasarca). U.S. and European expert guidelines recommend intravenous prostacyclin analogues (e.g., epoprostenol, treprostenil) for WHO Class IV PAH, as there is a larger bodyof evidence for efficacy with these agents (particularly epoprostenol)than for oral or inhaled agents. Vasodilator agents have not been compared well head-to-head, and for less-severe PAH (WHO class III and below) various agents (oral, IV, or inhaled) are considered appropriate, depending on the patient's particular severity of disease, personal preferences, and other risk factors that may be present. The European Society of Cardiology's 1A recommendations (strong, based on high-quality evidence) for PAH are:
  • 49.
    49 Evidence level WHO class IIWHO class III WHO class IV I - A Ambrisentan, bosentan, sildenafil Ambrisentan, bosentan, sitaxetan, sildenafil, epoprostenolIV, iloprost inhaled Epoprostenol IV Warfarin, oxygen, and diuretic therapy should be standard treatment for advanced IPAH, barring contraindications. A vasodilator responseis indicated by a drop in mean PA pressure by 10 mm Hg to less than 40 mm Hg, without a drop in cardiac output. Question 23 of 82 (score?) You are asked your opinion about a 52 year old woman with pleural effusions. She has decompensated congestive heart failure, but because her effusions were asymmetric, the admitting physician performed thoracentesis. 1,500 mL of straw- colored fluid were removed from the left hemithorax, with relief of dyspnea. Since admission, the patient has received diuretics with further reduction in dyspnea. Your colleague would like help interpreting the results of the pleural fluid studies:  Glucose 85 (normal)  pH 7.38 (normal)  Protein 4.0 g/dL (serum: 7.4; ratio = 0.56)  LDH 230 (serum: 290; ratio = 0.79)  N-terminal brain natriuretic peptide of pleural fluid 1,800 pg/mL Based on the information you have, what's the best way to describe this effusion? A. It's exudative, because the findings meet Light's criteria. B. It's transudative, because the pH and glucose are normal. C. Tube thoracostomywill likely be necessary for complete drainage. D. It's due to congestive heart failure, as demonstrated by the clinical picture and markedly elevated NT-BNP. E. It's not possible to say, from the information provided.
  • 50.
    50 We feelthat Dis the best answer. Light's criteria* are sensitive, but not specific for exudative pleural effusions. About 25% of transudative effusions may be misclassified as exudates by the criteria. The transudative effusions of congestive heart failure patients, drained after diuretic therapy is given, are commonly misclassified as exudates this way Presumably, the diuretics remove water and increase the concentration of protein and LDH in pleural fluid. A gradient of more than 3.1 g/dL in protein concentration between the pleural fluid and serum (as seen here) correctly reclassifies many effusions as transudates. In effusions due to CHF, N-terminal BNP in the pleural fluid > 1,500 pg/mL is better than the serum-pleural protein gradient at accurately reclassifying "exudates" as transudates. Notably, pleural fluid BNP is much less reliable than pleural fluid NT-BNP for this purpose. Properly reclassifying a CHF-related effusion as a transudate spares the patient unnecessary further testing and treatment. Therapeutic thoracentesis could be provided to relieve severe dyspnea, but tube thoracostomygenerally should not be performed. * Light'scriteria: Pleural fluid-to-serum protein ratio > 0.5; LDH in pleuralfluid > 60% of serum value; LDH > 2/3 the upper limit of normalfor serum. Question 24 of 82 (score?) A victim of a house fire is brought to your ICU from the ED. He was found in his garage where he has a sophisticated workshop, according to a neighbor, but no one knows what chemicals may have been present. He was comatoseand was intubated in the field. He is only minimally burned; a rapid bronchoscopyin the ED showed no serious mucosal injury. His vital signs: HR 110, BP 100/70, easily bag-mask ventilated, oxygen saturation of 94% with an FiO2 of 0.90. His ABG is 7.20 / 44 / 80, with 24% methemoglobin. Lactic acid is 7.5. The ED MD placed a central venous catheter, and central venous oxygen saturation is 90%, with a pO2 in venous blood of 68.
  • 51.
    51 What therapy doyou prioritize first? A. Hydroxycobalamin and sodium thiosulfate B. Amyl nitrite C. Pralidoxime D. Hyperbaric oxygen E. Benzodiazepines You answeredA. We agree that A is the bestanswer. Up to 35% of fire victims have cyanide poisoning. Incinerated plastics, rubber, polyurethane, and melamine (in household goods)can all release lethal inhaled doses ofcyanide. Sodium nitroprusside in prolonged infusions or in people with renal failure is another cause. Cyanide disrupts mitochondrial oxidative phosphorylation and aerobic metabolism of glucose. Signs of cyanide poisoning include a high venous pvO2 with a low venous-arterialpO2 gradient (due to inadequate peripheral tissue oxygen use) and an anion-gap lactic acidosis. Symptoms can affect virtually all organ systems, the most serious including coma; pulmonary edema with respiratory failure; and hypertension, followed by hypotension, bradycardia, ventricular dysrrhythmias and cardiopulmonary collapse. Cyanide poisoning is rare but lethal, and definitive diagnosis (by serum cyanide level) may require hours. Therefore, empiric therapy should be given rapidly if cyanide toxicity is suspected. Sodiumthiosulfate is a sulfur donor that transforms cyanide to a less-toxic compound, and should be given to all suspected victims. Amyl nitrite is a standard co-antidote, working by producing methemoglobin, which then binds and detoxifies cyanide. (Sodium nitrite or dimethylaminophenol also induce methemoglobinemia and are alternate agents; methylene blue releases free cyanide and should not be given if cyanide toxicity is suspected). This patient already has serious methemoglobinemia likely due to carbonmonoxide inhalation, however, and worsening this could be catastrophic. Hydroxycobalamin directly binds and detoxifies cyanide, without producing methemoglobin, and should be administered with sodium thiosulfate. Hyperbaric oxygen may reduce cognitive sequelae of carbon monoxide poisoning (although a Cochrane review casts doubt on this), but shouldn't take first priority.
  • 52.
    52 Pulse oximetry andarterial blood gas can be unreliable in cases of severe smoke inhalation. Carbon monoxide poisoning increases carboxyhemoglobin, falsely raising SaO2; methemoglobinemia tends to push SaO2 toward 85% (due to equal absorption of oxyhemoglobin and deoxyhemoglobin wavelengths). Methemoglobinemia can also cause ABG to overestimate SaO2, but is helpful in showing the levels of carboxyhemoglobin and methemoglobin. Co-oximetry measures 4 wavelengths of light (compared to regular oximetry's 2) and is necessary to accurately identfy the oxyhemoglobin level (saturation) in cases of carbonmonoxide poisoning. Cyanide affects virtually all bodytissues, attaching itself to ubiquitous metalloenzymes and rendering them inactive. Its principal toxicity results from inactivation of cytochrome oxidase (at cytochrome a3), thus uncoupling mitochondrial oxidative phosphorylation and inhibiting cellular respiration, even in the presence of adequate oxygen stores. Cellular metabolism shifts from aerobic to anaerobic, with the consequent production of lactic acid. Consequently, the tissues with the highest oxygen requirements (brain and heart) are the most profoundly affected by acute cyanide poisoning. Smoke inhalation, suicidal ingestion, and industrial exposures are the most frequent sources of cyanide poisoning. Smoke inhalation Studies in France, Sweden, and Scotland, as well as in the United States, have documented smoke inhalation as an important sourceof cyanide poisoning. Individuals with smoke inhalation from enclosed spacefires who have sootin the mouth or nose, altered mental status, or hypotension may have significant cyanide poisoning (blood cyanide concentrations >40 mmol/L or approximately 1 mg/L). Many compounds containing nitrogen and carbon may producehydrogen cyanide (HCN) gas when burned. Some natural compounds (eg, wool, silk) produceHCN as a combustion product. Household plastics (eg, melamine in dishware, acrylonitrile in plastic cups), polyurethane foam in furniture cushions, and many other synthetic compounds
  • 53.
    53 may producelethal concentrationsof cyanide when burned under appropriate conditions of oxygen concentration and temperature. Intentional poisoning Cyanide ingestion is an uncommon, but efficacious, means of suicide, often involving cyanide salts found in hospital and research laboratories. Not surprisingly, individuals in certain occupations, suchas health-care and laboratory workers, are at risk for suicidal ingestion of cyanides. Industrial exposure Countless industrial sources ofcyanides exist. Cyanides serve an extremely important role in the metal plating and recovery industries. In addition, industry uses cyanides in the manufacture of plastics, as reactive intermediates in chemical synthesis, and as solvents (in the form of nitriles). Exposure to salts and cyanogens occasionally causes poisonings; however, a significant risk for multiple casualties occurs when these products comeinto contact with mineral acids because HCN gas is produced. Water contactwith the soluble salts (eg, potassium, sodium cyanide) also may liberate HCN. Iatrogenic exposure Sodium nitroprusside, when used in high doses orover a period of days, can producetoxic blood concentrations of cyanide. Patients with chronic renal failure, pediatric patients, and those with low thiosulfate reserves (eg, malnourished, postoperative) are at increased risk for developing symptoms, even with therapeutic dosing. Resultant confusion and combativeness initially may be mistaken as intensive care unit (ICU) syndrome (ie, sundowning). Problems may be avoided by coadministration of hydroxocobalamin or sodium thiosulfate. Ingestionof cyanide-containing supplements Ingestion of cyanide-containing supplements is rare. Amygdalin (synthetic laetrile, also marketed as vitamin B-17) contains cyanide and can be found in the pits of many fruits, such as apricots and papayas; in raw nuts; and in other plants (lima beans, clover, and sorghum). The substancewas thought to have anticancer properties due to the action of cyanide on cancer cells. However, laetrile showed no anticancer activity in human
  • 54.
    54 clinical trials inthe 1980s and is not available in the United States,[2] although it can be purchased on the Internet. EmergencyDepartment Care Initial emergency department care for patients with cyanide exposure is identical to that provided in the prehospital phase. Provide supportive care, including the following:  Airway control, ventilation, 100% oxygen delivery  Crystalloids and vasopressors, as needed, for hypotension  Sodium bicarbonate titrated according to arterial blood gas (ABG) and serum bicarbonate level Decontaminate the patient with removal of clothing/skin flushing and/or activated charcoal (1g/kg), as appropriate. Activated charcoal should be given after oral exposure in alert patients who are able to protect the airway or after endotracheal intubation in unconscious patients. Remember to protectthe health-care provider from potential contamination. Administer cyanide antidotes if the diagnosis is strongly suspected, without waiting for laboratory confirmation. The antidotes include hydroxocobalamin (Cyanokit) and the Cyanide Antidote Kit, which includes amyl nitrite pearls, sodium nitrite, and sodium thiosulfate. Cyanokit Hydroxocobalamin (Cyanokit), routinely used in Europe, has been approved by the US Food and Drug Administration (FDA) for treating known or suspected cyanide poisoning.[7, 8] Hydroxocobalamin combines with cyanide to form cyanocobalamin (vitamin B- 12), which is renally cleared. Hydroxocobalamin administration resulted in faster
  • 55.
    55 improvement in meanarterial pressure but similar mortality and serum acidosis, as compared with sodium nitrite, in animals.[9] A repeat doseof hydroxocobalamin and/or coadministration of sodium thiosulfate (through a separate line or sequentially) have been suggested to improve detoxification and are recommended in patients with continuing elevated lactate levels or continuing signs of cyanide toxicity.[10, 11] Adverse effects of hydroxocobalamin administration include transient hypertension (a benefit in hypotensive patients), reddish brown skin, mucous membrane and urine discoloration, and rare anaphylaxis and anaphylactoid reactions. It also interferes with co-oximetry (about a 5% increase in carboxyhemoglobin levels) and blood chemistry testing (bilirubin, creatinine kinase and possibly liver enzymes, creatinine, phosphorus,glucose, magnesium, and iron levels) due to its bright red color.[12] It can also interfere with hemodialysis.[13] Certain medications should not be administered simultaneously or through the same line as hydroxocobalamin, including diazepam, dopamine, dobutamine, and sodium thiosulfate. Cyanide Antidote Kit The Cyanide Antidote Kit contains amyl nitrite pearls, sodium nitrite, and sodium thiosulfate. Amyl and sodium nitrites induce 15-20% methemoglobinemia in red blood cells, with methemoglobin combining with cyanide and releasing cytochrome oxidase enzyme. Inhaling crushed amyl nitrite pearls is a temporizing measure before IV administration of sodium nitrite. Sodium thiosulfate enhances the conversion of cyanide to thiocyanate, which is renally excreted. Thiosulfate has a somewhat delayed effect and thus is typically used with sodium nitrite for faster antidote action. Avoid the nitrite portion of the kit in patients with smoke inhalation unless carboxyhemoglobin concentration is very low (< 10%). The induction of methemoglobinemia from the nitrites, in addition to present carboxyhemoglobinemia, significantly reduces the oxygen-carrying capacity of blood. In patients with preexisting anemia, the sodium nitrite doseneeds to be reduced dosein proportion to the hemoglobin concentration. Consult a regional toxicology center for appropriate dosing.
  • 56.
    56 Vasodilatation leading tohypotension is another adverse effect of the Cyanide Antidote Kit. Question 25: A 51 year old woman is referred to you by her infectious disease physician for a second opinion. She has had cough and worsening dyspnea for a few months. For this, she underwent open lung biopsy elsewhere; transbronchial biopsies showed noncaseating granulomas. She was diagnosed with sarcoidosis, and her ID doctor wants your OK before starting steroids. She has HIV, well-controlled on antiretroviral therapy with a CD4 count of 550. Exam is notable for oxygen saturation of 92% on ambient air and faint crackles at the lung bases. PFTs showa mild restrictive defect and moderate diffusion impairment. Chest X-ray is within normal limits and shows no hilar lymphadenopathy. Chest CT images are below.
  • 57.
  • 58.
    58 You review thepathology results, which describe"noncaseating granulomas and monotonous sheets of T and B lymphocytes in the lung interstitium." What's the most likely diagnosis? A. Lymphocytic interstitial pneumonia. B. Primary pulmonary lymphoma. C. Secondarypulmonary lymphoma. D. Sarcoidosis. E. Pneumocystis pneumonia. We feelthat A is the best answer. Lymphocytic interstitial pneumonia is an uncommon condition that usually occurs in association with some form of immune dysfunction or dysproteinemia, such as autoimmune disease, HIV or EBV infection, or multiple myeloma. A few cases may occurwithout such comorbidities. In LIP, sheets of polyclonal T and B lymphocytes infiltrate the lung interstitium, causing a variable degree of dysfunction. Clinical:Cough and dyspnea are most common, but systemic/constitutional symptoms can occur. Hypoxemia and clubbing are common in more severe disease.
  • 59.
    59 Diagnosis:Requires open lungbiopsyfor confirmation. Besides sheets of polyclonal lymphocytes, plasma cells and macrophages, giant cells, noncaseating granulomas, amyloid deposition, lymphoid germinal centers, and fibrosis may all be found on biopsy. Dominant findings are in the interstitium but may "spill" into the airspaces. Imaging:Chest film with reticular opacities later coalescing into airspace/interstitial pattern. Chest CT with centrilobular nodules; ground glass; thickened interlobular septa; later with cystic airspace disease and consolidation. Late honeycombing is possible. PFTs:Usually restrictive, with a diffusion impairment. Bronchoscopy: Lavage shows an abundant T-cell lymphocytosis. Treatment:Corticosteroids have been reported to be beneficial in case series. Prognosis: Unpredictable, varying from indolent to progressive and fatal. Some patients' pulmonary disease may progress despite corticosteroids. Since LIP is usually a feature of an immune condition, prognosis is believed to be dependent on the underlying condition. Although LIP may progress to a low-grade pulmonary or systemic lymphoma, this seems to be uncommon (~5%). Sarcoidosis is unlikely in the absence of lymphadenopathy, and does not have sheets of lymphocytic infiltration on biopsy. Lymphomas are generally defined as monoclonal, not polyclonal B or T cell populations. Pneumocystis pneumonia is unlikely in well controlled HIV at this CD4 count.
  • 60.
    60 Question 26of 82(score?) A patient taking pramipexole for restless legs syndrome for the past 2 years complains of symptoms worsening and occurring earlier in the day, and feeling symptoms in her arms as well as legs. Ferritin is 125 (normal). What do you recommend? A. Add another doseof pramipexole earlier in the day. B. Switch to a benzodiazepine 1-2 hours before bed. C. Switch to levodopa 1-2 hours before bed. D. Start iron replacement therapy. You answeredA. We agree that A and B are the best answers. Augmentation of restless legs syndrome (increase in symptom severity, occurrence earlier in the day, spreading to other bodyparts) is less common with dopamine agonists than with levodopa, but can occurand is more common after years of therapy. Interestingly, increasing dopamine-agonist therapy by adding a doseearlier in the day can diminish augmentation symptoms, and would be reasonable to try. Switching to another dopamine-agonist (e.g. ropinirole) would be reasonable. Levodopais a viable option but is recommended by an expert advisory panel to be used only for intermittent RLS. Benzodiazepines at night (diazepam, clonazepam) are a well-established therapy for RLS and could be substituted for the pramipexole. Carbergoline works well for RLS but is used rarely (it causes cardiac valve disease when used at high doses for Parkinson's). Gabapentin, opioids (codeine, methadone, tramadol, etc), pregabalin, and other drugs have been shown beneficial for RLS in studies of varying quality.
  • 61.
    61 Iron deficiency shouldbe treated if present in people with RLS, but a normal ferritin rules it out in the absence of acute illness. Iron deficiency itself is not known to cause augmentation. Question 27 of 82 (score?) It's 1962, and you work for an insurance company. It's a boring job but they assign you an interesting project. They're pretty sure smoking causes lung cancer, and they want to prove it so they can defend raising premiums on all their smokers. What's the most appropriate study design to answer the question of whether smoking causes lung cancer? A. Randomized controlled trial. B. Case series review. C. Cohortstudy. D. Case-controlstudy. E. Telephone survey. We feelthat C is the best answer. Randomized controlled trials have the greatest strength in proving causation. However, randomizing people to smoke or not to smoke would be unethical. A cohort study is the next best study design to prove causality. In a prospective cohortstudy, one cohortof subjects with the exposure of interest (i.e., smokers) and one without (non-smokers) are followed over time for the development of the outcome of interest (lung cancer). With large enough cohortsizes, other potentially confounding factors can be controlled for, and the independent contribution of the exposure determined with a high degree of confidence. The main downside of cohortstudies is that they take a long time (years). In a case-controlstudy, cases (i.e., people with lung cancer) are identified within a database, and are compared against controls (people without lung cancer) across multiple factors. Statistical analysis identifies factors (e.g., smoking, age, diet) that are distributed differently between cases and controls. A factor that is much more prevalent in lung cancer cases (such as smoking) is then identified as a risk factor. Case-controlstudies can be donerapidly and cheaply compared to randomized
  • 62.
    62 trials and cohortstudies,but can only establish associations between exposures and outcomes;case-controlstudies can't prove causation. Case series and telephone surveys aren't controlled, and can't establish causation at all. At most, they might generate a hypothesis for a well-conducted clinical study of one of the above types. Question 29 of 82 (score?) A 58 year old man in your clinic has chest pain and palpitations. He becomes diaphoretic; blood pressure is 80/60. According to ACLS algorithms, what is the next thing you should do? A. Perform synchronized electrical cardioversion. B. Give a chewed 160-325 mg aspirin. C. Obtain IV access. D. Give amiodarone 300 mg IV. E. Perform unsynchronized cardioversion (defibrillation dose). You answeredA. We agree that A is the bestanswer. This is symptomatic or unstable ventricular tachycardia, based on hypotension (systolic BP < 90) and symptoms (chest pain). Current ACLS guidelines (good through 2015) advise immediate electrical cardioversion. Shocks of 50-100 joules are appropriate initially, escalating to 200 J if unsuccessful.
  • 63.
    63 Question 30of 82(score?) You are consulted for pleural effusions in a 61 year old man directly admitted to the hospital an hour ago. He presented with progressive dyspnea and leg swelling and no other symptoms. He has jugular venous distension, dullness at the lung bases, and pitting leg edema. Vitals are all normal except for BP 145/90. He has NYHA III symptoms (dyspneic walking across the room). He has received no treatments yet. Chest X-ray shows moderate-sized bilateral pleural effusions and an enlarged cardiac silhouette. An echocardiogram and labs are pending. What's the best initial management for this patient's pleural effusions? A. Diagnostic thoracentesis (unilateral). B. Diagnostic thoracentesis (bilateral). C. Therapeutic thoracentesis (bilateral, with a chest film in between). D. Diuretics and afterload reduction. E. All of the above. We feelthat D is the best answer. Clinically, this patient has congestive heart failure. It's overwhelmingly likely that the effusions are due to his CHF, and a diagnostic thoracentesis is not necessary. A few proposedindications for performing diagnostic thoracentesis in people with CHF-related pleural effusions are:  Fever (to diagnose a possible pleural infection)  Grossly asymmetrical effusions  Chest pain (suggesting an inflammatory process affecting the pleura) None of these are present here. Therapeutic thoracentesis is reasonable in people with severe dyspnea due to decompensated CHF, but not as initial therapy before first-line, noninvasive, medical therapy has been provided (diuretics and afterload reduction with vasodilator therapy). These may rapidly eliminate the effusions and symptoms.
  • 64.
    64 Question 32 of82 (score?) Mr. R, your 76-year old man in bed 3, just experienced a cardiac arrest on ICU day 6, after admission for septic shocklast week. His lack of other medical problems, along with a reduced need for his norepinephrine infusion and mechanical ventilatory support, had led you to hope he was improving. This morning, though, his blood pressure abruptly plummeted and he had a PEA arrest, with recovery of spontaneous circulation after 9 minutes of ACLS. After the code, you collect your thoughts and head out of the room to talk to his wife. After hearing you explain the situation, she asks, "Doctor, what are my husband's chances of coming home from the hospital to live a normal life with me?" You gently inform her it will require a few more days to provide the most accurate prognosis. At this point in time (immediately post-resuscitation in the ICU), based on large observational series, what are Mr R's chances for being discharged home with a good neurologic outcome? A. 48% B. 32% C. 16% D. 4% E. It's impossible to say. You answeredD. We agree that D is the bestanswer. Prognosis after a first cardiac arrest occurring in the ICU is poor. An observational study of almost 50,000 such arrests showed an overall survival to hospital discharge of 16%. Requiring vasopressors priorto the arrest was a major discriminator in outcome:
  • 65.
    65  Only 10%of patients on pressors prior to arrest survived to discharge, and only 4% were discharged home (the others went to rehab or long-term acute care).  Among those with PEA/asystole despite pressors,only 1.7% were able to perform their own activities of daily living at the time of discharge.  People with ventricular fibrillation or tachycardia not requiring pressors prior to arrest did much better: 40% survived, 20% went home, and 17% had good neuro outcomes.  These data did not provide longitudinal outcomes data post-hospital discharge (e.g., neurological & functional recovery after 6 months); however, those outcomes are usually also poor(see below). Physicians do not usually convey prognosis after cardiac arrest (or critical illness in general) accurately or effectively to patients' families (according to those families' responseto surveys). Although such discussions are difficult for all parties involved, families require and deserve this information as they struggle with their roles as surrogate decision makers. Although some people discharged to rehabs or LTACs may recover function, it would be dishonest to give false hope by suggesting this as anything other than a long shot, especially after an in-ICU cardiac arrest. Only a minority of people survive one year after LTAC admission, and many fewer recover to live without needing major assistance. For example, in a 2009 study of 126 patients receiving tracheostomies for prolonged mechanical ventilation for various causes of respiratory failure, 93% of surrogates expected their loved one to survive one year, recovering full function & independence (71%) and good quality of life (83%), while only 6% of physicians expected independence and only 4% a good quality of life. But only 26% of surrogates recalled the doctorproviding any information about survival, quality of life, and need for caregiving. A third of the families reported it was the doctor's decision, not theirs, to perform tracheostomy. (The real outcomes at 1 year: 56% of those patients did survive; 9% regained independence; surrogates reported good quality of life in 33% of the survivors, or 19% of the original sample. The majority of survivors were cared for at home, and surrogates reported significant personal emotional and financial strain.
  • 66.
    66 Question 33 of82 (score?) You are using airway pressure release ventilation (APRV or "bi-level") for Ms. P, a 76-year-old woman with ARDS from sepsis. She has been on mechanical ventilation for 5 days. She is in shockand is on vasopressors. Her ventilator settings are: P[high] = 30; P[low] = 0 T[high] = 5 sec; T[low] = 0.6 sec PEEP = 0; FiO2 = 0.55 Her most recent arterial blood gases are: pH 7.25, paCO252; paO2 62 (8 hours ago) pH 7.19, paCO262; paO2 60 (30 minutes ago) Her ideal bodyweight is 60 kg and she is receiving tidal volumes (Vt) of 360 mL. Mean airway pressure is 24 mmHg. The bestthing to do next would be to: A. Increase FiO2 to 0.65 B. Increase PEEP to 5 C. Decrease T[high] to 4 sec D. Decrease P[high] to achieve Vt of 5mL / kg E. Decrease T[low] to 0.4 sec We feelthat C is the best answer. Ms P is hypoventilating due to an inadequate minute ventilation being delivered. Airway pressure release ventilation (APRV or "bi-level") cycles between two alternating levels of CPAP, P[high] and P[low], whose durations are determined by T[high] (usually several seconds)and T[low] (usually a fraction of a second). This pattern maintains a stable high mean airway pressure, keeping alveoli open and
  • 67.
    67 augmenting oxygenation--an "openlung"strategy. APRV can also be viewed as a form of pressure-controlled, inverse-ratio ventilation. Ventilation (exhaled tidal volume and CO2) occurs during the pressure drop from P[high] to P[low] (hence "pressure release ventilation"). PEEP is usually set to 0, but the short time at P[low] creates beneficial auto-PEEP and prevents alveolar collapse. Patients may take small additional breaths throughout the entire cycle; these Vt improve alveolar recruitment and oxygenation but contribute little to minute ventilation. The most effective way to increase minute ventilation in APRV is to decrease T[high], which increases the frequency of breaths. Although Ms P's ABG is acceptable for a patient with ARDS, her acidemia is worsening. Many would argue that hypercarbic respiratory acidemia (down to pH of 7.15 or so)is well-tolerated and poses little risk. However, the trend is concerning and potentially dangerous should it continue. This is an easy ventilator change to make with no apparent risk. Reducing minute ventilation further by reducing delivered tidal volumes would be unwise when peak and mean pressures are acceptable, and while her respiratory acidemia is worsening. Increasing PEEP would also reduce her delivered minute ventilation, because there would be a smaller pressure gradient between P[high] and P[low]. Decreasing T[low] by 0.2 sec would probably have little effect. Her oxygenation is fine; changing FiO2 is not necessary. Question34 of 82 (score?) A 64 year old man complains of shortness of breath after a successfulcoronary artery bypass graft surgery 5 weeks prior. He is found to have a large left-sided pleural effusion (about 50% of the hemithorax) and readmitted to his surgeon's team. A thoracentesis drains 1,800 mL of fluid, relieving his dyspnea, A follow-up chest film shows minimal remaining fluid. He had no other presenting symptoms besides dyspnea, and is asymptomatic now. The fluid was exudative (LDH 400) and had 1,100 white cells/mL, 71% lymphocytes. He looks and feels better and wants to go home. The cardiothoracic surgeon asks you your opinion. What's the best advice to give?
  • 68.
    68 A. Stay inthe hospital to monitor for reaccumulation and for culture results. B. Dischargehome; if the fluid reaccumulates we'll justtap it again. C. Dischargehome; if the fluid reaccumulates we'll place a chest tube. D. Dischargehome; if the fluid reaccumulates we'll place a pleural drain. E. Place a chesttube now, as the likelihood of rapid recurrence is high. You answeredB. We agree that B is the best answer. Pleural effusions are common after cardiac surgery. Most are due to inflammation and anatomic disruption from the surgery itself, and are generally benign. These are called nonspecific pleural effusions, and may occurearly (<30 days) or late (>30 days) after surgery. If small, asymptomatic, and developing early after surgery, nonspecific pleural effusions require no further evaluation. Late, large (>25% of the hemithorax) and/or symptomatic nonspecific pleural effusions should be drained and the fluid analyzed in the usual fashion, as hemothorax, parapneumonic effusions, chylothorax, and other etiologies are also possible. The fluid in both early and late nonspecific pleural effusions is usually exudative and leukocyte-rich, reflecting the causative inflammatory process. Early effusions are often bloodyand rich in eosinophils and neutrophils; late effusions are more clear (but exudative) and rich in lymphocytes. Treatment of nonspecific pleural effusions (if needed) post-cardiac surgery is drainage with thoracentesis. More aggressive measures are rarely required, although repeat thoracenteses (up to 3) may be necessary. NSAIDs and glucocorticoids have also been used in a non-evidence based fashion. Postpericardiotomysyndrome is a distinct, persistent inflammatory state that occurs days to weeks after cardiac surgery, and frequently results in pleural effusions. In contradistinction to nonspecific pleural effusions, pericardial effusions, fever, chest pain, leukocytosis, pleural and/or pericardial rub are usually present (similar to / forme fruste of Dressler's syndrome). The pleural effusion may be small, but is often bloody, exudative, and leukocyte-rich. NSAIDs and/or glucocorticoids are the mainstay of treatment.
  • 69.
    69 Post-CABG effusions thatrecur and persist after multiple thoracenteses, or persistent effusions discovered late (after months have passed)may require decortication to prevent trapped lung and loss of lung function. Question35 of 82 (score?) A 51-year-old woman comes to your clinic for follow-up. She has coughed up colored sputum a few days a week for the past 15 years, very infrequently streaked with blood (none lately). It may be getting a little worse, slowly. She feels at her baseline today. A chest X-ray and high-resolution CT scan show extensive bronchiectasis in the lower lobes bilaterally. She has diabetes, a history of repeated respiratory illnesses, and a history of non-Hodgkin lymphoma in remission.She was previously followed by a pulmonologist and says she was told she does not have asthma. She has three biological children. She never smoked. Other test results include:  HIV antibody and TB skin test are negative.  Total IgElevels are normal.  Sweat chloride test is normal.  White cell count is 11 with no eosinophils. She had a bronchoscopylast year during an exacerbation, showing purulent secretions. The BAL grew >100K H.influenzaeand she was treated with antibiotics with a return to her baseline. What would be the best next test to order to determine the underlying cause of her bronchiectasis? A. CFTR mutation testing B. Quantitative immunoglobulins C. IgG subclass levels D. Precipitating serumantibodies to Aspergillus E. Biopsy of nasalepithelium We feelthat A and B are the best answers.
  • 70.
    70 Because some causesof bronchiectasis are treatable, finding the etiology (when possible) is important. (Even after extensive workup, as many as 50% of cases of bronchiectasis have no identifiable cause, though.) This woman has features suggestive of chronic variable immune deficiency (CVID), in which impaired B-cell differentiation leads to low immunoglobulin production. Levels of IgG, and usually IgA and/or IgM are all below the lower limit of normal. An inadequate specific IgG responseafter intentional vaccination (e.g., with tetanus & diphtheria booster)can help make the diagnosis. Most CVID patients have a history of bacterial pneumonia and/or rhinosinusitis (esp. Pneumococcus, Mycoplasma, and Hemophilus); chronic lung disease and bronchiectasis are common but their exact prevalences are unknown. Gastrointestinal disease, autoimmune disease (especially hematologic, e.g. immune thrombocytopenic purpura), and malignancy (especially non-Hodgkin lymphoma and gastric cancers), are also common. Noncaseating granulomas in the liver, lungs, and lymph tissue can occurin CVID, mimicking sarcoid. CVID is in part a diagnosis of exclusion, and other immune deficient states must be ruled out. Certain heterozygous CFTR mutations can cause diffuse bronchiectasis in people with negative sweat chloride testing and without cystic fibrosis. Measurement of IgG subclasses should only be performed after first checking total immunoglobulin levels. Information provided in the question stem makes most of the other major known causes of bronchiectasis less likely: Condition Features Diagnosis Primary ciliary dyskinesia Situs inversus in 50%; Infertility in most men & >50% of women Exhaled nasalnitric oxide; Nasal brush biopsy Cystic fibrosis 7% are diagnosed after age 18; Pseudomonas, non-TB mycobacteria; Often upper lobe bronchiectasis Sweat chloride test >30; mutation screening of CFTR gene Allergic Asthma; usually (+)blood Elevated total IgEand
  • 71.
    71 bronchopulmonary aspergillosis eosinophils (+)IgE& IgGto Aspergillus; central bronchiectasis; skin test reactive to Aspergillus Common variable immunodeficiency Pneumococcus, Hemophilus, Mycoplasma infections; see above Low levels of IgG and either IgA or IgM; impaired responseto vaccines Airway obstruction Impaired consciousness (seizures, strokes, EtOH) CT scan; bronchoscopy Immunedeficiency Organ transplant, HIV History Young's syndrome Sinusitis, azoospermia Exclusion Alpha-1 antitrypsin deficiency Less common alternative presentation fromemphysema A1ATlevel Non-TB mycobacteria Can be primary process (esp. in nonsmoking women age 50+) or secondary infection in existing bronchiectasis Sputumculture x 2, or bronchoscopic samplex 1, with radiologic/clinical compatibility Question41 of 82 (score?) A 70 year old man had a right upper lobectomy for lung adenocarcinoma 6 months ago. He came today to his oncologist for a routine surveillance CT scan, which is
  • 72.
    72 shown below. Theair-fluid level was somewhat lower on his previous scan 3 months ago. No abnormal fistulous tracts are seen on the remainder of the CT. His white blood cell count is 9 today. He has "good days and bad" and today is one of his average days. He went for his usual half-mile walk this morning and drove himself in. His vital signs are normal. His chronic cough productive of white sputum is unchanged. The oncologist, your colleague in a multispecialty practice, asks you what you think. The bestnext step is:
  • 73.
    73 A. Observation B. 14day courseof Augmentin; call if fever develops C. Intravenous broad-spectrumantibiotics D. Needle aspiration of fluid E. Bronchoscopy with lavage We feelthat A is the best answer. The surgically created cavity left behind after a lobectomy or pneumonectomy will normally slowly fill up with sterile serous fluid, eventually forming an opacity on imaging with mediastinal shift toward the surgical side. This is likely part of that process, although it usually happens in weeks, not months. The late appearance of fluid justifies consideration that a new infection is responsible. However, in the absence of signs or symptoms, the images shouldn't by themselves dictate workup or treatment. A bronchopleural fistula could be considered (the delayed or chronic form; most BPFs occurin the early postop period), but would always be associated with symptoms (fever and cough, nonspecific malaise). Acute/subacute BPFs usually cause a new relative mediastinal shift to the contralateral side; delayed BPFs may not, as fibrosis (anchoring things in place) has usually occurred. CT scanning is not sufficiently sensitive for detecting BPF, and absenceof a visible tract on CT does not rule out the condition. This man went home after his visit and did fine. Fleischner Society Recommendations Incidental Pulmonary Nodule Follow-up
  • 74.
    74 Question43 of 82(score?) A 46 year old man comes to your clinic for management of his asthma. He takes high-dose inhaled corticosteroids and a long-acting beta agonist, along with a leukotriene inhibitor. His adherence and technique are perfect. He still has symptoms of cough, wheezing, and chest tightness that bother him most days and nights each week. He is using albuterol daily. The symptoms persist when he goes on vacation out of state. Sputum culture is negative. IgE level is 3,600 ng/mL. His primary doctorobtained imaging and a chest CT, which are shown.
  • 75.
  • 76.
  • 77.
  • 78.
    78 What should bethe next step? A. Schedule spirometry for next week to guide step-up therapy. B. Start omalizumab injections every 2 weeks. C. Sweat chloride testing. D. Skin testing for reactivity to Aspergillus fumigatus. E. HIV test. You answeredD. We agree that D is the bestanswer. Allergic bronchopulmonary aspergillosis (ABPA) is an ongoing hypersensitivity reaction in responseto bronchial colonization by Aspergillus, and is a common cause of poorly controlled asthma. Cystic fibrosis patients are also often affected. Bronchial obstruction by mucus and chronic inflammation can lead to bronchiectasis and lung fibrosis with irreversible loss of lung function. Clinical features: Cough productive of sputum, frequent "bronchitis"; often with dyspnea and wheezing. Diagnosis:By constellation of symptoms and objective findings. "Classic" ABPA would include the following:  Asthma history  Immediate reactivity on skin prick with Aspergillus antigens  Precipitating serumantibodies to A. fumigatus  Serumtotal IgEconcentration >1,000 ng/mL  Peripheral blood eosinophilia >500/mm3  Lung opacities on chestx-ray or chest HRCT  Central bronchiectasis presenton chest CT  Elevated specific serumIgEand IgG to A. fumigatus A skin test is the best first test, as it is considered 100% sensitive (i.e., a negative test rules out the condition). A serum IgE < 1,000 or negative precipitating antibodies also rule out ABPA with high confidence. Treatment: Not evidence based. Experts have recommended:
  • 79.
    79  Prednisone0.5-1 mg/kgduring flares for 14 days with taper over 3-6 months. Follow for >30% drop in serumtotal IgElevels.  Itraconazole200 mg t.i.d. for 3 days, then b.i.d. for 3-6 months Differential Dx: Other causes of eosinophilia with pulmonary infiltrates and elevated IgE include eosinophilic pneumonia, hypereosinophilic syndromes, Churg-Strauss, Loeffler's syndrome, rheumatoid arthritis, drug reactions, and crack cocaine use. Consider: As many as 30% of asthmatics will have positive skin reactivity to Aspergillus, without meeting full criteria for diagnosis with ABPA; treatment is guided by symptoms and clinical status, not a single test result. As few as 30% of people with ABPA may have central bronchiectasis. Testing for cystic fibrosis and HIV are part of a thorough workup for unexplained bronchiectasis, but skin testing for Aspergillus reactivity should come first. Omalizumab is indicated for people with severe persistent asthma with positive allergy skin testing and IgE levels ~75 to 1,750 ng/mL. Omalizumab has been reported helpful in children with ABPA and cystic fibrosis in casereports, but is not a recommended treatment for adults or children with ABPA at this time. Skin testing should take place prior to starting someone on omalizumab. Question44 of 82 (score?) Which of these patients should begin taking isoniazid as treatment for latent tuberculosis infection (LTBI)? A. A 62 year old former miner with TST of 13 mm induration, a chronic cough, and a CXR with fibrocavitary disease and areas of progressive massive fibrosis. B. A 49 year old woman with rheumatoid arthritis, a TST of 9 mm induration, and a clear chest film, being evaluated for infliximab therapy. C. A 52 year old former heroin abuser, HIV negative, with a TST of 7 mm induration and a clear chest film. D. A 46 year old salespersonwith a work-screening TST with 12 mm induration, a previous nonreactive TST 4 years ago, no medical problems and a clear chest film. We feelthat B is the best answer.
  • 80.
    80 Tumor necrosis factoris required to fight mycobacteria, and use of TNF inhibitors (infliximab, etanercept, adalimumab) is associated with increased risk for tuberculosis. The CDC recently reduced the TST cutoff for positivity to 5 mm of induration for patients beginning anti-TNF therapy. None of the other patients should begin treatment for LTBI. Patient A seems to have silicosis, making his >10 mm TST positive, but with an abnormal chest film he may have active tuberculosis and this should be ruled out with sputum analysis before beginning isoniazid. The other patietns do not meet the accepted criteria for positivity for latent tuberculosis infection by tuberculin skin test (TST)/ purified protein derivative (PPD) testing, as can be reviewed on the CDC's website: A TST reaction of ≥5 mm of induration is considered positive in  HIV-infected persons  Recent contacts of a person with infectious TB disease  Persons with fibrotic changes on chestradiograph consistentwith prior TB  Organ transplantrecipients  Persons who areimmunosuppressed for other reasons (e.g., taking equivalent of ≥15 mg/day of prednisonefor 1 month or more or those taking TNF-α antagonists) A TST reaction of ≥10 mm of induration is considered positive in  Recent immigrants (within last 5 years) fromhigh-prevalencecountries  Injection drug users  Residents or employees of high-risk congregatesettings (prisons, jails, long- term care facilities for the elderly, hospitals and other health care facilities, residential facilities for patients with AIDS, and homeless shelters)  Mycobacteriology laboratory personnel  Persons with clinical conditions previously mentioned  Children younger than 4 years of age  Infants, children, or adolescents exposed to adults at high risk for TB disease A TST reaction of ≥15 mm of induration is considered positive in  Persons with no known risk factors for TB
  • 81.
    81 Although skin testingactivities should be conducted only among at-risk groups, certain individuals may be required to have testing for employment or school attendance independent of risk. CDC and ATS do not recommend an approach independent of risk Question46 of 82 (score?) Ms. D, a 49-year-old woman in your clinic has severe persistent asthma. She has about one urgent care visit per year for asthma. She is on a high doseof inhaled fluticasone, formoterol, and oral daily montelukast. A month ago, she stopped taking omeprazole. She says, "Even over the counter, it's $30 a month. I can't afford all these medicines. It never made my breathing better, and besides, I've never had heartburn or regurgitation or whatever you call it." You recall she had a barium swallow a year or two ago that clearly demonstrated gastroesophageal reflux, although she has never had cough or other symptoms of acid reflux. What is the bestresponseto Ms. D.'s decision to stop taking omeprazole? A. Encourageher to resume omeprazole, becauseit was likely helping control her asthma. B. Supporther, because omeprazolewas not likely helping. C. Leave it up to her, because there is no evidence to guide management. D. Order 24-hour esophagealpH monitoring. We feelthat B is the best answer. It has long been believed that gastroesophagealreflux (GER) can contribute to asthma symptoms, especially in severe asthma. A majority of asthma patients
  • 82.
    82 report GER symptoms,and esophageal pH monitoring suggests asymptomatic GER is also common among asthmatics. Proposed mechanisms by which GER could worsen asthma include microaspiration, increased vagal tone, and increased bronchial reactivity. There is some evidence (randomized trials) that suggest that when symptoms of gastroesophageal reflux disease are present, daily proton-pump inhibitors improve outcomes in patients with severe asthma. Across studies, the benefits were inconsistent and/or weak, however. When GER symptoms are not present, the most recent randomized trials suggest that PPItherapy does not improve measurable outcomes for people with poorly controlled asthma or moderate-to-severe persistent asthma. Observation off the PPI is reasonable for this patient; if asymptomatic GERD is playing a role in her asthma, her asthma symptoms would be expected to worsen, setting the stage for a discussionabout restarting the PPI. Proton-pump inhibitors suppress acid production more effectively than H2 blockers and are recommended as first line therapy, if GERD treatment is elected in an asthmatic patient. In patients (with or without asthma) who experience persistent symptoms of GERD despite PPItherapy, some experts advocate esophageal pH monitoring, along with upper endoscopy. Therationale is to establish GERD is in fact present. Nissen fundoplication might be considered then. However, this patient already has known asymptomatic gastroesophageal reflux on a barium swallow. Esophageal pH monitoring would probably be positive and would not add much to her evaluation. Question47 of 82 (score?) Which of the following patient characteristics would predict a better outcome in someone with emphysema undergoing lung volume reduction surgery?
  • 83.
    83 A. Upper-lobe predominantemphysema; high exercise capacity. B. Upper-lobe predominant emphysema; low exercise capacity. C. Lower-lobe predominant emphysema; high exercise capacity. D. Lower-lobe predominant emphysema; low exercise capacity. You answeredB. We agree that B is the best answer. The NationalEmphysema Treatment Trial (NETT) randomized 1,218 people undergoing pulmonary rehabilitaion for severe emphysema to undergo lung volume reduction surgery or continued medical treatment. Overall, surgery improved survival at 5 years (risk ratio for death 0.86), exercise capacity, and quality of life. Upon a non-prespecified subgroup analysis, NETT's results were analyzed further:  The ~300 patients with upper-lobe-predominant emphysema and low exercisecapacity (below the 40th percentile) had a clear benefit from surgery, with a reduction in 5-year mortality and improvements in exercise capacity and quality of life.  Patients with upper-lobe-predominant emphysema and highexercise capacity had a 4-year sustained improvementin quality of life and exercise capacity and no improvement in mortality.  Patients with lower-lobe-predominant emphysema had increased 90 day mortality and no improvementin quality of life or exercise capacity. Successfullung volume reduction surgery reduces need for supplemental oxygen and can dramatically improve exercise tolerance (40% experienced an 8 point drop in the St. George’s Respiratory Questionnaire at one year — while formoterol and tiotropium barely scored a 2-3 point drop in trials). By excluding patients with either FEV1 or DLCO < 20% predicted (who had a 16% surgical mortality), the 30-day mortality in NETT was only 2%. However, lung volume reduction surgery never really caught on. In 2006 in the U.S., only 105 Medicare beneficiaries underwent LVRS. Doctors seem reluctant to refer patients with severe COPD for a surgery that carries at least a 1 in 50 chance of death at 30 days (and probably higher at less-experienced centers than those in NETT). Experimental, less invasive bronchoscopic approaches have been
  • 84.
    84 tried instead recently,although none has yet been proven beneficial in large randomized trials. Question49 of 82 (score?) A 30-year-old man presents for evaluation of asthma in the workplace. He has a claim pending against his employer, a large bakery. The patient was diagnosed with asthma as a child, but has had no symptoms or medication use since age 13. For the first two years at the bakery, where he breathes flour dust throughout each shift, he had no symptoms. Over the past few months he reports worsening shortness of breath, chest tightness, and cough at work, requiring albuterol q4 hours. He has been to the ED once, and was prescribed fluticasone 440 mcg b.i.d., which he is taking. He says the symptoms improve after work and on weekends. He does not smoke. Physical examination is normal on a Monday morning after a weekend off work, and spirometry shows mild airflow limitation with no bronchodilator response. Besides additional testing, the next beststep in this situation is: A. Recommend that he be stationed in a cleaner area temporarily; add a long- acting beta-agonist. B. Recommend he leave the workplace; continue high-dose inhaled steroid and observe. C. Recommend he stay in his current area; add a leukotriene antagonist and observe. D. Gently advise him he probably does not have a basis for his compensation claim. We feelthat A is the best answer. Work-relatedasthma (WRA) is any asthma that is caused or made worse by work. Work-related asthma includes two main subtypes:  Occupational asthma(OA): Asthma caused by something at work. This can include asthma that has been quiescent for years, but is re-activated by the work environment(as in this patient). Asthma can be caused by a sensitizer
  • 85.
    85 (usually large proteins,i.e. organic dusts), with a lead time between exposureand asthma reactivation (as in this patient); or by irritants (usually chemicals, with a shortperiod between exposureand asthma onset). The reactive airways dysfunctionsyndrome (RADS) is the prototypefor irritant-induced occupationalasthma.  Work-exacerbatedasthma(WEA): Pre-existing asthma made worse by something at work (dust, exertion, irritants, allergens, etc.). Besides history and physical examination, diagnosis of work-related asthma should ideally include serial testing (peak flow measurements, spirometry, methacholine challenge) at times outside of work (i.e., the last day of a vacation or weekend) and immediately after work exposures. A thorough inventory of potential exposures at work should also be conducted. Skin testing or specific serum IgE tests can identify sensitization to specific work allergens. For this patient, leaving work entirely is not advised, because he will have difficulty pursuing a compensation claim if he quits. Step-up therapy is advised for his worsening symptoms, and either a beta-agonist inhaler or leukotriene receptor antagonist would be reasonable. Relocation to a cleaner area at work is advisable, given his potentially dangerous situation currently (as suggested by his ED visit). Serial testing in and out of his previous work area can be done in a controlled fashion once he is out of that environment and his asthma is controlled. Question50 of 82 (score?) A 50 year old man with pneumonia arrives in your ICU, transferred from the medical floor. He is in severe respiratory distress and is intubated. His initial arterial blood gas is pH 7.25, pCO230, paO2 65 on an FiO2 of 0.50 and a PEEP of 8, with a tidal volume of 8 mL/kg. Plateau pressures are 28. A chest X-ray shows diffuse bilateral opacities. You begin to reduce his tidal volume to 6 mL/kg. Over the next 2 days, what result do you expect to see? A. Static compliance falls; paO2 falls B. Static compliance rises; paO2 falls C. Static compliance unchanged; paO2 unchanged D. Static compliance and paO2 bothimprove
  • 86.
    86 We feelthat Ais the best answer. Decreasing tidal volumeto low levels results in hypoventilation; the so-called permissivehypercapnia that results does not seem to be deleterious, in contrast to the known dangers of ventilator-induced lung injury (VILI)athigher tidal volumes and the stress of alveolar shear / stretch as measured by plateau pressures, which should bemaintained below 30 cm H2O. Due to hypoventilation at these lower lung volumes, oxygenation can be expected to worsen in the initial treatment of acute lung injury / ARDS. Low lung volumes also worsen atelectasis, which reduces compliance by increasing the required pressureto initially open the collapsed alveoli (at the theoretical inflection point of "P flex" on the pressure/volumecurve). Compliancecan also be expected to worsen over the firstfew days of low-tidal volume ventilation. Neither reduced compliance nor worsened hypoxia (above55 mm Hg) are felt to be as dangerous as sustained increased plateau pressures. Question51 of 82 (score?) A 56 year old man is in your office to follow up his transbronchial biopsy result, which unfortunately was positive for malignancy. Tumor factors:  Histopathology: squamous cell carcinoma  Size: 2.9 cm  Location: Left lower lobe, peripheral. (No other masses noted.)  CT/PET results: Enlarged lymph nodes in subcarina and both hila that measure1.8 cm in short-axis, and havemoderate to high uptake on PET. Patient factors:  Functional status: walks 1 mile.
  • 87.
    87  FEV1: 3.0L(68% predicted), normalDLCO.  No cardiac disease. What should be the next step? A. Invasivesampling of mediastinal lymph nodes. B. Platinum based chemotherapy. C. Radiation therapy. D. Combined modality therapy with concurrentchemotherapy and radiation. E. Lobectomy. We feelthat A is the best answer. Accurate staging of non-small cell lung cancer ensures the correct treatment can be given. By clinical/radiographic staging, this patient would have stage IIIB (involvement of contralateral mediastinal nodes, or N3 disease). See 7th Edition TNM Staging:TABLE However, CT/PET has a false positive rate that is unacceptably high given the stakes involved in determining a person's surgical candidacy. Although never proven in randomized trials, surgery appears to dramatically improve survival for people with stage I or II disease. In order to miss as few of these patients as possible, and avoid unhelpful resections for advanced disease, invasive mediastinal lymph node sampling is recommended for all patients with suggestion of mediastinal involvement (PET positivity and/or lymph nodes > 1 cm) and even for patients with a normal mediastinum on CT/PET but with peribronchial/hilar PET-positive nodes (N1 disease). If this patient's lymph nodes are in fact negative, the cancer would be stage IA (<= 3 cm, no nodal involvement, T1N0)and potentially curable with a resection. Lobectomy would be the preferred technique, as it is associated with better survival than more limited resections, and the patient appears to be able to tolerate the expected loss of lung function. Other possibilities would include:  Stage IIA (T1N1), if the nodes are positivein the ipsilateral perihilar / peribronchialregion only (not in the mediastinum or contralateral hilum). Surgery would be indicated, followed by adjuvant chemotherapy.
  • 88.
    88 Postoperativeradiation therapy couldbe given, especially if there were positive surgicalmargins.  Stage IIIA (T1N2), if mediastinal nodes are positive on the ipsilateral side and/or in the subcarina. Idealtreatment is unknown, butcould include surgery if mediastinal nodes are "nonbulky." Adjuvantchemotherapy would likely be beneficial. Postoperativeradiation therapy's benefits (if any) are unknown.  Stage IIIB (T1N3) if nodes are positive in the contralateral chest (hilum or mediastinum). Concurrentchemotherapy and radiation therapy (without surgery) would beindicated. Question52 of 82 (score?) A 58 year old woman is referred to you by her neurologist for your opinion on her myasthenia gravis. She was diagnosed 2 months ago after a positive Tensilon test and AChR-antibodies. She has mild ptosis and dysphagia that have been stable for weeks, and are slightly improving with pyridostigmine treatment. A CT showed normal lungs and no thymoma. Spirometry: normal FEV1 and FVC, normal net inspiratory force (NIF), maximum inspiratory and expiratory pressures (MIP and MEP). Over the next several years, she is at greatest risk for: A. Progressive, chronic respiratory failure. B. Acute / subacuterespiratory failure. C. Both. D. Neither. We feelthat B is the best answer. A small minority of people with myasthenia gravis experience myasthenic crisis accompanied by suddenrespiratory failure requiring mechanical ventilation. With immune suppressive/modulating treatment (intravenous immunoglobulin,
  • 89.
    89 corticosteroids, plasmapheresis), mostrecover and are liberated from the ventilator. The steady decline seen in other neuromuscular diseases causing chronic respiratory failure (e.g., muscular dystrophy or amyotrophic lateral sclerosis) does not occur. Myasthenic crisis may be precipitated by an acute infection, medications, pregnancy or childbirth, surgery, or reduction in immunosuppressive medication. Increasing generalized and bulbar weakness can herald the onset of myasthenic crisis. Early symptoms / signs of impending myasthenic crisis with respiratory failure include:  Low vital capacity (<30 mL/kg of ideal body weight), even in an apparently compensated state.  Signs of mild respiratory distress (fragmented speech, accessory muscle use)  Worsening dysphagia, aspiration, or throatclearing  Dyspnea, especially when lying supine Tests of respiratory muscle strength (NIF, MIP, MEP) can help identify impending respiratory failure, in which cases elective intubation should be performed. The ideal moment for this must be individualized. Vital capacity <20 mL/kg or MIF that is less negative than -30 cmH2O have been proposed as cutoff values. Ventilator weaning is likewise individualized and not evidence-based. Question54 of 82 (score?) A nurse calls you to Mr. J's bedsidebecause he's become more unstable. Admitted with spontaneous bacterial peritonitis due to cirrhosis and ascites, Mr. J has been in your ICU for 4 days with septic shockand ARDS, requiring norepinephrine infusion after appropriate fluid resuscitation totaling 10 liters of saline. Now, he has a mean arterial pressure of 50, his plateau pressures have gone from 25 to 35 on Vt of 380 mL (ideal bodyweight: 70 kg), and his HR from 110 to 145. You examine him and find nothing new. Disconnecting him from the ventilator
  • 90.
    90 and bag-mask ventilatinghim does not help. A chest X-ray is unchanged; stat labs are pending. You immediately think of many things to do to stabilize Mr J, but with the information provided, the best next step would be: A. Infuse500cc of salinethrough a pressurized bag B. Check for a pulsus paradoxus C. Attach a manometer to the Foley catheter D. Reduce Vt to 4 mL/kg E. Add a second antimicrobial with antipseudomonal coverage We feelthat C is the best answer. Intra-abdominal hypertension (IAH) and abdominal compartment syndrome (ACS) are dangerous and likely under-diagnosed in the critically ill. Normal pressure in the abdomen is <12 mmHg; IAH > 20 mm Hg that causes organ dysfunction is considered ACS. Physical exam is only 50% sensitive; reliable diagnosis requires bladder manometry. ACS exerts deleterious effects on hemodynamics, respiratory mechanics, and renal perfusion, causing or potentiating multi-organ failure. Although more common in trauma and other surgical patients, up to 50% of ACS patients have had no recent surgery. Risk factors include obesity, large volume resuscitation, ascites, pancreatitis, and many others. Management is challenging, and includes:  Avoiding excessive fluid resuscitation;  Improving abdominalcompliance(reverseTrendelenburg; short-course neuromuscular blockade);  Evacuating intraluminal contents (suction, enemas);  Paracentesis;  Vasopressors to increaseabdominal perfusion pressure(MAP - IAP, analagous to cerebral perfusion pressure). Laparotomy is the definitive treatment, but reported perioperative survival is low (possibly because of selection for sick patients who have failed conservative efforts), and surgeons may be reluctant to operate in such dire circumstances
  • 91.
    91 Question55of 82 (score?) John,44, comes to see you in your clinic, complaining of worsening exertional dyspnea. He smoked a half a pack a day for 5 years, quitting 25 years ago. He recently quit his construction job becausehe couldn't unload sacks of concrete or walk the site quickly enough to keep up. PFTs:FEV1 1.1 L (35% predicted); FEV1/FVC ratio 0.45; DLCO 35% predicted. Vitals: HR 90, RR 18, BP 125/85, SaO2 94% on ambient air, 92% with ambulation. He saw his primary doctora year ago, who ordered a chest X-ray and chest CT; he hands you a CD with some cuts of the chest CT, which you review.
  • 92.
  • 93.
    93 What approachto testingis most likely to yield a correct diagnosis? A. Repeat PFTs B. Serumantiprotease testing C. Bronchoscopy with biopsies D. Surgical lung biopsy E. Thorough occupational history We feelthat B is the best answer. This patient has severe alpha-1 antitrypsin deficiency (A1ATD). Severe A1ATD is mistakenly believed to be rare; actually, 60,000 to 100,000 Americans are estimated to have the PI*ZZ genotype associated with severe deficiency (<50 mg/dL or 11 micromoles/L; >20 micromoles/L is normal). Most are of northern / western European descent and are undiagnosed. Features that should prompt consideration of A1ATD include:  Emphysema beforeage 45  Absenceof smoking history or other exposures (e.g., organic dust)  Emphysema with basilar lucency  Unexplained liver disease  Family history of emphysema, liver disease, or panniculitis
  • 94.
    94  Necrotizing panniculitis(rare, even in A1ATD patients) The manifestations of A1ATD are complex and difficult to predict:  Many nonsmokers with PI*ZZ never develop liver or lung disease and seem to live a near-normallifespan.  Smokers with severeA1ATD have wide variation in the rate of FEV1 decline and development of emphysema.  Many patients with A1ATD havean asthma-like phenotypewith bronchodilator-reversibleobstruction; thesepatients seem to be at greater risk for FEV1 decline (even if nonsmokers), and ATS recommends treating them "aggressively"with inhaled steroids and bronchodilators.  Liver diseaseis more common in childhood, but as many as 30-40% of patients aged >50 with A1ATD may have cirrhosis or carcinoma of the liver. Overall, prognosis in individual patients can't be predicted (except for those with already severe disease who smoke), becauseof the heterogeneity of the disease and the lack of prospective longitudinal studies. Patients with PI*MZand PI*SZ seem to be at increased risk for COPDif they smoke, but not markedly so if they do not. Somewhat surprisingly, the ATS recommends testing virtually all Americans with COPDfor A1ATD. (Also, anyone with unexplained liver disease, necrotizing panniculitis, asymptomatic obstruction on PFTs, and all siblings of A1ATD patients.) PI*MM (in 95% of U.S. population) ensures levels >20 micromoles/L and normal function. Nonrandomized trials suggest that A1AT supplementation may slow FEV1 decline and improve survival in severe A1ATD. Patients with lower FEV1 (31- 65% predicted) seemed to have a greater benefit. ATS guidelines are vague and acknowledge the relatively weak evidence, but suggest A1AT augmentation is appropriate for anyone with severe deficiency (<11 micromoles/L), and those with A1ATD (<20 micromoles/L) and either of these criteria:  FEV1 30-65% predicted (postbronchodilator);  Rapid decline of lung function (FEV1 decline >120mL/yr), regardlessof initial FEV1.
  • 95.
    95 From observational data,the risk of anaphylaxis may be ~1% per patient over ~6 years of A1AT infusions. Patients should probably be given an Epi-Pen and taught to use it. This patient's CT scanshows panacinar emphysema, with bullous disease worse at the bases. Panacinar disease can merge with severe centrilobular emphysema to create a nonspecific CT scan. Question 56of 82 (score? A 50 year old man with pneumonia arrives in your ICU, transferred from the medical floor. He is in severe respiratory distress and is intubated. His initial arterial blood gas is pH 7.25, pCO230, paO2 65 on an FiO2 of 0.50 and a PEEP of 8, with a tidal volume of 8 mL/kg. Plateau pressures are 28. A chest X-ray shows diffuse bilateral opacities. You begin to reduce his tidal volume to 6 mL/kg. Over the next 2 days, what result do you expect to see? A. Static compliance falls; paO2 falls B. Static compliance rises; paO2 falls C. Static compliance unchanged; paO2 unchanged D. Static compliance and paO2 bothimprove You answered. We feelthat A is the best answer. Decreasing tidal volume to low levels results in hypoventilation; the so-called permissive hypercapnia that results does not seem to be deleterious, in contrast to the known dangers of ventilator-induced lung injury (VILI) at higher tidal volumes and the stress of alveolar shear / stretch as measured by plateau pressures, which should be maintained below 30 cm H2O. Due to hypoventilation at these lower lung volumes, oxygenation can be expected to worsen in the initial treatment of acute lung injury / ARDS. Low lung volumes also worsen atelectasis, which reduces compliance by increasing the required pressureto initially open the collapsed alveoli (at the theoretical inflection point of "P flex" on the pressure/volume curve). Compliance can also be expected to worsen over the first few days of low-tidal volume ventilation. Neither reduced compliance nor
  • 96.
    96 worsened hypoxia (above55 mm Hg) are felt to be as dangerous as sustained increased plateau pressures. Question57 of 82 (score?) A 60 year old man with COPDvists your clinic. His oxygen saturation on ambient air is 94%, and after walking for a few minutes, it is 90%. His weight is normal. Jugular venous pressure is normal. A prior sleep study showed no obstructive or central apneas, but he spent 30% of the night below an 88% oxygen saturation. Evidence suggests that supplemental oxygen therapy for this patient might have which benefits?* (*Acknowledging that published reports are discordant as to the benefits of supplemental oxygen in this situation.) A. Improved survival. B. Reduced risk of right heart failure. C. Ability to walk farther. D. Improved cognitivefunction. We feelthat C is the best answer. For people with COPDwith severe resting hypoxemia (paO2 <= 55 mmHg or <=59 mmHg with evidence of right heart strain or polycythemia), long-term oxygen therapy (LTOT) improves survival. (Specifically, they had an absolute mortality reduction of 22% over 3 years using 2 L/min for 15 hrs/day in the MRC study.) In clinical trials, LTOT has not improved survival for people with lesser forms of hypoxemia (paO2 > 55 mmHg). In multiple heterogeneous trials including people with exertional hypoxemia who had normoxemia or mild hypoxemia at rest, oxygen supplementation had
  • 97.
    97 inconsistent benefits. Insome, oxygen improved exercise tolerance, dyspnea, or quality of life; in others, it did not. Nocturnal hypoxemia (with or without awake hypoxemia) is associated with increased mortality in people with COPD. However, nocturnal oxygen supplementation has not been shown to improve survival. Likewise for sleep quality: in one study, nocturnal oxygen improved sleep; in another it did not. The benefits of supplemental oxygen in reducing pulmonary hypertension and right heart failure from COPD have only been demonstrated when severe hypoxemia is present. The LOTT trial is underway to help clarify the benefits of oxygen therapy in people with less-severe hypoxemia. Results are expected in mid-late 2013. Question58 of 82 (score?) A 72 year old man complains of shortness of breath and weight loss. A chest X-ray by his primary doctorshows a large right-sided pleural effusion. A thoracentesis drains 1,200 mL of slightly bloodyfluid that is strongly exudative by Light's criteria, but pH and glucose are normal and gram stain/culture are negative. Cytology is also negative, but only 50 mL were centrifuged and analyzed. He has a 50 pack year smoking history. He has no TB or HIV risk factors. A follow-up chest film shows the effusion persists, although reduced in size. What's the best next step? A. Blind pleural biopsyin the area of effusion. B. Thoracoscopywith pleural biopsy. C. Ask the lab to re-test cytology using all the drained fluid. D. CT chest with contrast. E. Observation to see if pleural fluid reaccumulates. We feelthat D is the best answer.
  • 98.
    98 An unexplained exudativepleural effusion in the presence of weight loss and smoking history has a high probability of malignancy. Observation alone would not be advised. A chest CT is the bestnext test, as it could identify a primary lung cancer. It might also identify other lesions such as mediastinal lymphadenopathy, which would be targets for a biopsythat would both diagnose and stage the patient. Biopsying the pleura blindly would be low-yield, and thoracoscopyis too aggressive before getting a CT that could permit a less invasive method of diagnosis. If the CT identifies pleural lesions, these interventions should be considered. Increasing the amount of fluid sent for cytology does not increase the yield in the diagnosis of malignant pleural effusion. (Inconsistent evidence suggests that repeat thoracenteses might potentially increase the yield.) Question58 of 82 (score?) A 24 year old man is referred to your clinic for chronic cough and asthma. He has had recurrent "chestinfections" since childhood. His asthma has always been poorly controlled, even with maximal therapy. He has never had a chest X-ray before seeing you. He has never smoked. Vital signs and pulse oximetry with exertion are normal. Labs: negative for serum precipitins to Aspergillus; all immunoglobulin levels normal or high, with normal IgE; sweat chloride test normal; HIV negative; alpha- 1 antitrypsin normal; tuberculin skin test negative. Spirometry: Airflow limitation, with FEV1 50% predicted, without evidence of intra/extra-thoracic airway obstruction on flow-volume loops. No bronchodilator response;normal lung volumes. You obtain the imaging studies below and perform bronchoscopy. Bronchoscopy shows airways of normal caliber and morphology to the segmental/subsegmental level. Distally, you see the subsegmental bronchi collapsing with normal expiration. Cultures of the lavage are pending.
  • 99.
  • 100.
  • 101.
  • 102.
    102 What is themost likely diagnosis? A. Williams-Campbell syndrome. B. Mounier-Kuhn syndrome. C. Nontuberculous mycobacterialinfection. D. Allergic bronchopulmonary aspergillosis. E. Immotile cilia syndrome. We feelthat A is the best answer. Williams-Campbell syndrome is a rare form of congenital bronchiectasis resulting from deficiency of cartilage in the third-to-sixth generation bronchi. Clinical features: Recurrent pneumonias, coughing and wheezing. Onset is usually in childhood, but may be in adulthood. The degree of symptoms is
  • 103.
    103 dependent on theextent of cartilage deficiency and airway collapse, which may vary between affected family members. Imaging: Normal trachea and segmental bronchi, but dilated bronchi from subsegmental level distally. Bronchiectasis may result in air-fluid levels in dilated bronchi, mucus inspissation, tram-tracking, or air-trapping on expiratory images. Differential Dx: Mounier-Kuhn (distinguished by its dilation of trachea and mainstem bronchi); other causes of bronchiectasis including immunoglobulin deficiency; ABPA; cystic fibrosis; HIV; non-tuberculous mycobacterial infection, and others. Diagnosis:By compatible history, imaging, and exclusion of other causes of bronchiectasis. Treatment: None known to be effective, other than treating the bronchiectasis with chest physiotherapy, and providing antibiotics for acute exacerbations of disease. Lung transplantation resulted in fatal tracheobronchomalacia in one reported case of Williams-Campbell syndrome. Immotile cilia syndrome or nontuberculous mycobacterial infection are possible and could be ruled out with nasal epithelial biopsyand BAL culture. ABPA is effectively ruled out by the absence of serum precipitating antibodies to Aspergillus. Despite its rarity, Williams-Campbell syndrome is most likely, given the information provided. Question61 of 82 (score?) You are seeing Mr. D., a patient in your clinic with severe COPD who was hospitalized twice last year for exacerbations. Mr. D. brings a sheet of lab results from a recent primary care visit. The labs show he is deficient in vitamin D. He wants to know if this is making his COPDworse. Which statement is most likely to be true regarding exacerbations of COPDand vitamin D deficiency?
  • 104.
    104 A. Vitamin Ddeficiency is common in COPD. B. Vitamin D deficiency increases the frequency of COPD exacerbations. C. Treating vitamin D deficiency results in fewer COPDexacerbations. D. None of the above. E. All of the above. We feelthat A is the best answer. Vitamin D deficiency is common in COPD, but has not been shown to increase the risk for exacerbations. A year-long prospectivecohort study in 973 patients with severe COPD, published in 2012, showed no relationship between vitamin D deficiency and the frequency of COPD exacerbations. Likewise, treating vitamin D deficiency has not yet been shown to reduce exacerbation frequency in people with COPD. Question63 of 82 (score?) A 22-year old man presents to your hospital's emergency department complaining of fever, malaise, and cough productive of sputum for 2 days. A chest CT angiogram is obtained in the emergency department to rule out pulmonary embolism. It shows a lobar consolidation, and the patient is begun on levofloxacin as treatment for community-acquired pneumonia. The CT also shows a filling defect in a subsegmental pulmonary artery. He is admitted to a general medicine unit, but after one day of intravenous antibiotics his vital signs are normal, he feels well, and the medicine team would like to discharge him home on oral antibiotics. He is being given enoxaparin and warfarin; INR is 1.4. You review the CT images with the radiologist. She acknowledges the filling defect is subtle, but says, "The scan isn't normal; I can't call it normal." A thorough history reveals no family history or provoking factors for thromboembolism. The patient plays competitive lacrosse and does not want to take anticoagulation drugs unless absolutely necessary. The team consults you for your opinion. In addition to antibiotic therapy for pneumonia, what do you recommend? A. Lifelong anticoagulation. B. Warfarin for 3 months. Check D-dimer and ultrasound at 4 months. If both are normal, dischargefromcare.
  • 105.
    105 C. Ultrasound ofthe lower extremities; if normal, home with no follow-up needed. D. Inferior vena cava filter placement. E. Home today; further testing or treatment for PE is not necessary. You answeredB. We agree that B, C, and E are all reasonable answers. Managing a patient with subsegmentalpulmonary embolism is challenging; there is commonly no clear "best" strategy. The clinical ambiguity in this area necessitates an individualized approachin each patient: assessment of risk of recurrence, balanced against risks of further testing or anticoagulation, and ensuring the patient's preferences are included in decision-making. We showed this question to 3 internationally-recognized experts in PE/VTE; each had a different opinion on the relative advisability of each option. The current ACCP 1C recommendation for asymptomatic, incidentally discoveredPEs is to anticoagulate them like any other, barring contraindications. This man's PE falls into the category of unprovoked PE / proximal DVT, so that would mean 3 months of warfarin, with recommendation for lifelong warfarin therapy to prevent recurrence risk. (Historically-based recurrence risk estimates are ~25-30% at 4 years, with most of that risk in the first 2 years, and largely irrespective of whether a recognized thrombogenic predisposition can be identified). It seems almost no one would choosethat option in this young healthy man. Part of the ambiguity surrounding subsegmental PEs stems from the fact that our knowledge baseabout risk of recurrence and mortality derives overwhelmingly from series of clinically significantPEs. There is some evidence to supportthe intuition that small subsegmentalPEs posea low risk, and may in fact frequently be incidental and virtually harmless (i.e., overdiagnosed), increasing concern for excessive iatrogenic risk from anticoagulation:  A study using national databases suggests thatsince 1998, thenumber of annual CT pulmonary angiograms has risen 11-fold, with an 81% increasein the diagnosis of PE but with almost no changein the mortality rate. Complications fromanticoagulation appeared to have risen over the same period.
  • 106.
    106  A retrospectivereviewof 7,794 CT-PAs atcommunity hospitals, re-read by academic chest radiologists, found an 8% falsepositive rate overall (58 of 759), with two-thirds of the false-positives (38 of 58) at the subsegmental level. Among subsegmentalPEs, 25% wereconsidered false positives, and 86% had Wells scores "unlikely" for PE. Almost90% received anticoagulation. No PEs occurred in the following year.  Small studies and a meta-analysis suggestthat people with asymptomatic small pulmonary emboli who go untreated do no worsethan those who are treated. In the absenceof randomized trials, though, experts warn that although many or even most incidental small PEs could be harmless, some may signal a risk of recurrence equal to a clinically apparent DVT/PE. Which do and which don't, or how to tell them apart, are simply unknown. So what to do for this young man? Lifelong anticoagulationis the guideline- compliant choice, but the risks and lifestyle implications of anticoagulation in this young healthy man would seem to outweigh the benefits. Not anticoagulating at all is tempting, if the suspicion is that the "clot" is artefactual. Even if the clot is real, limited data (above) on short term risk are reassuring. However, there are no good data on long-term recurrence risk. At a minimum, the patient should be advised of the high ambiguity surrounding the situation, and his preferences elicited; he may elect to forgo anticoagulation on his own. Repeating a CT-angiogrammight help, or asking a chest radiologist to read the original images. If artefactual, the defect may "disappear" on the 2nd CT-PA, solving the problem of anticoagulation at the expense of a slightly increased long- term risk of cancer due to radiation exposure. If the repeat CT-PAis positive, a lower-extremity ultrasound could be obtained (to help confirm DVT/PE, and to establish a baseline scan). Anticoagulation would almost certainly be indicated for at least 3 months -- although after that, it would still be unclear what to do as his longer-term risk would be unknown. Testing for recognizedhypercoagulable mutations would be controversial. None of the experts we polled recommended testing for thrombophilia in this patient. The recurrence risk for people with an unprovoked DVT/PE who have no detectable mutation is generally equal to those who do. Since lifelong anticoagulation is then generally indicated, the presence of thrombophilia is
  • 107.
    107 immaterial in mostpatients. Testing for thrombophilia can introduce subtleties into the clinical situation that may be valuable in certain cases; that subject is too complex to address here. Checking a D-dimer after discontinuation of 3 months of warfarin can help stratify risk for recurrent VTE, and might be a reasonable approachin this patient, especially if a repeat CT-PAwere positive. In a meta-analysis of 1,888 patients with DVT/PE, a negative D-dimer (<500 ng/mL) one month after stopping warfarin signaled a 3.5% annual recurrence risk, vs. 8.9% for D-dimer > 500. The ultrasound at that time would only be for screening; it does not have an evidence- based role in recurrence risk stratification. If D-dimers were elevated at 4 months, consideration could be given for continuing treatment for another 3 month cycle. Question64 of 82 (score?) Your colleagues, an interventional pulmonologist and a thoracic surgeon, like to compete over who can "get" the most tissue diagnoses. One of them asks you half- jokingly: "Who's winning, endobronchial ultrasound-guided transbronchial needle aspiration (EBUS-TBNA) or mediastinoscopy?" What would be a true reply? A. EBUS-TBNA can access all lymph nodes in the mediastinum, as can mediastinoscopy. B. EBUS-TBNA is not helpful to diagnose lymphoma. C. EBUS-TBNA is more sensitive than mediastinoscopy at detecting lung cancer in the inferior mediastinal, posterior mediastinal, and subcarinal lymph nodes. D. EBUS-TBNA is lower-risk than mediastinoscopy overall, but has a higher risk for pneumothorax. We feelthat C is the best answer. The subcarinal, posterior, and inferior mediastinal lymph nodes are very difficult to access by a mediastinoscope, but are easily accessed bybronchoscopyand EBUS- TBNA; biopsies of these nodes by EBUS-TBNA are more likely than mediastinoscopy to detect cancer. EBUS-TBNA is not able to access all mediastinal lymph nodes -- it can't get to the paraaortic and subaortic lymph nodes. Endoscopic ultrasound (EUS) can access
  • 108.
    108 these lymph nodes.Combined EBUS and EUS TBNA can access all the mediastinal lymph nodes, and a randomized trial showed the EBUS-EUS approach can be as good or better than mediastinoscopy at staging non-small cell lung cancer and prevent unneeded thoracotomies. Such a combined approachis done in Europe, but not commonly in the U.S., where professional divisions between pulmonology and gastroenterology mean very few physicians are trained and "credentialed" in both procedures. EBUS-TBNA can help diagnose lymphoma by identifying neoplastic cells, and producea sample for flow cytometric analysis. It can also diagnose sarcoidosis. EBUS-TBNA is quite safe, and the risks of bleeding or pneumothorax are quite low -- certainly lower than the risk of mediastinoscopy (whose risks are also relatively low). Question66 of 82 (score?) Mr. M comes to your clinic for a routine visit. He has COPDwith an FEV1 of 74% predicted. He can walk a block or so without significant dyspnea. He has about 2 exacerbations a year, and has been hospitalized twice in the past5 years, each time for a few days after an apparent viral illness. He stopped smoking 10 years ago. You recommend tiotropium daily. Mr. M is one of your more skeptical patients. He says, "Sounds good Doc. But is this drug really going to help me? Will it improve my breathing, help me live longer, or keep me out of the hospital?" Based on clinical trials data, the most truthful statement is: A. Itshould improveyour breathing and your overallquality of life. B. Itshould cut your chanceof having an exacerbation by about 25%. C. You should be able to cut your rescue inhaler useby half. D. I can't promiseyou anything; this drug was tested in people with much worse COPD than you. You answeredA. We agree that A and D are the best answers.
  • 109.
    109 Tiotropium was approvedfor COPD treatment in part based on two identically- designed randomized, placebo-controlled trials enrolling about 920 patients with severe COPD. There were statistically significant benefits in the tiotropium group in almost every domain measured. However, many of the measured benefits were small and not clinically significant. Here are two interpretations of the data from those trials: Sunny:Tiotropium reduced the rate of severe exacerbations requiring hospitalization (which were uncommon) by about 50%. It improved FEV1 by 120 mL compared to placebo. There were improvements in quality of life and dyspnea scores in all domains tested. Patients dropped their average albuterol use to 3 times daily from 4 times daily. Partly Cloudy: Less than 50% of treated patients achieved a drop in dyspnea scores considered clinically meaningful (while 30% of placebo patients did, suggesting only 1 in 5 treated patients benefited substantially). The exacerbation rate was minimally reduced (an absolute reduction of 6% in the already-small proportion experiencing exacerbations). The 0.19 absolute drop in exacerbations-per-patient- year suggests the average patient would have to take the drug for 5 years to prevent one exacerbation. Patients were on average 65 years old with a 61 pack-year history, and had FEV1 of ~1.0 L (38% predicted). From these trials, it's unclear how much benefit patients with milder COPD gain from daily tiotropium. In the subsequent4-year UPLIFT trial (n=5,993), tiotropium showed similar benefits for similarly-ill patients, without reducing the rate of decline of lung function or improve survival. UPLIFT duplicated the finding of statistically significant improvements in QOL with tiotropium, which were not considered clinically significant for the large majority (~90%) of patients. There was an even smaller effect on exacerbations in UPLIFT (<5% absolute risk reduction with tiotropium). A later head-to-head study compared tiotropium to the long-acting beta agonist salmeterol among COPDpatients with an exacerbation within the past year. Tiotropium users had 0.64 exacerbations per patient-year during the one year study period, 0.08 less than the salmeterol users' 0.72 per year, and a time-to-first exacerbation of 187 vs. 145 days (in the one-third of patients who had an exacerbation during the study period).
  • 110.
    110 Question68 of 82(score?) 63 year-old Janie Y., a new patient, comes to your office seeking evaluation for her progressive dyspnea for the pastyear or two. She was able to do light aerobics 2 years ago; now she can walk 2 blocks without resting. She has a dry cough. She smoked for 30 years but quit 10 years ago. She has bibasilar dry inspiratory crackles. She takes no medicines and has always been healthy otherwise. PFTs:TLC 2.7 L (50% predicted); DLCO 40% predicted. ABG: 7.38 / 40 / 60 on ambient air. Labs show normal liver and renal function, and no autoantibodies. A few chest CT cuts are shown.
  • 111.
    111 What's the mostappropriate approachto this situation? A. Check urine for cocaine metabolites B. Bronchoscopy with lavageand transbronchialbiopsy C. VATS biopsy
  • 112.
    112 D. Counseling andreferralto lung transplantcenter E. Start prednisone You answeredD. We agree that D, C, and B are all reasonable answers. The patient has an idiopathic interstitial pneumonia. The essential questions in approaching a patient with an IIP are, could this process bereversible by exposure avoidance or with immune-suppressing treatment, and (if noninvasive testing has failed to yield an etiology) is the risk and discomfortof a surgical lung biopsy worth it to find out? One way to efficiently advance the investigation is to ask, 'Is this idiopathic pulmonary fibrosis, or something else?' In all patients, thorough initial medical, occupational/exposure/medication and family histories; physical exam; PFTs, and lab tests including autoantibodies are required. The ACCP provides an ILD questionnaire that can help ensure a thorough history and workup. If none of this suggests an etiology for interstitial lung disease, IPF rises in the differential diagnosis. Usual interstitial pneumonia, the hallmark of IPF, is a description applied to consistent patterns seen on high- resolution chest CT and/or histopathology from surgical lung biopsies in people with classic IPF. (The UIP process is believed to cause both the HRCT and histopath findings.) The four criteria on high-resolution CT scanfor definite diagnosis of the UIP pattern include:  Subpleural, basal predominance;  Reticular abnormality;  Honeycombing (with or without traction bronchiectasis);  Absenceof the 7 factors inconsistent with UIP (discrete non-honeycomb cysts, ground glass, mosaicism, consolidation, upper/mid or peribronchovascular prominence, or micronodules). A definite diagnosis of UIP on HRCT by experienced radiologists (all 4 criteria present) has a 90-100% positive predictive value for UIP, with biopsy as the gold standard. If no potentially treatable cause is identified in a thorough history and laboratory workup, the diagnosis is IPF, and no biopsyis needed.
  • 113.
    113 More than 50%of cases referred for evaluation for IPF may not meet radiographic criteria for definite UIP. In these cases, surgicallung biopsy is recommended. However, the patient's health status, perioperative risk, and personal preferences must be considered. Yield of VATS and thoracotomy are theoretically equal, but yield can vary greatly with surgeon expertise and technique. Bronchoscopyis not recommended in the majority of patients with suspected IPF, unless infection, malignancy or another etiology are also suspected. A BAL with lymphocytosis of >40% can suggest chronic hypersensitivity pneumonitis, a mimic of UIP-like fibrosis. There is some questionable bronchovascular involvement on these CT cuts, and perhaps some ground glass -- bronchoscopycould be performed to rule out infection and sarcoidosis. The UIP classic histopathologypattern is a heterogeneous appearance at low magnification of patches of normal lung alternating with areas of fibrosis and honeycomb change. The only other entities that cause this pattern are chronic hypersensitivity pneumonitis, pneumoconioses (particularly asbestosis), and UIP due to connective tissue diseases. With regard to the gold standard, pathology on lung biopsy, experienced pathologists disagreed in a clinical trial on the presence or absence of IPF features 15% of the time, and 28% of the time could not concuron a final diagnosis. Notably, these pathologists were deprived of clinical information as a feature of the study. Experts advise a multidisciplinary approachbetween pulmonology, radiology, pathology and (if needed) thoracic surgery in arriving at consensus diagnoses in difficult or borderline cases of ILD, and referral to ILD experts where any uncertainty exists. This patient's CT scans illustrate how difficult radiographic UIP can be to "definitely" identify. Observers disagreed on whether there was "enough" honeycombing here (definition: one or more rows of clustered cysts, subpleural, <5 mm diameter), and whether there was significant bronchovascular involvement. High interobserver variability among radiologists is well-described in diffuse lung disease; here, this could leave her anywhere between "inconsistent with IPF" and "definite IPF" (between 2 and 4 of the UIP HRCT criteria). There was no etiology suggested in her workup. She was given a diagnosis of probable IPF, and in accordancewith her preferences, did not undergo lung biopsy. All patients with a new diagnosis of IPF should be
  • 114.
    114 counseled on thedisease and given early referral to a lung transplant center; there are no recommended treatments, although some unproven treatments are considered reasonable. Prednisone and azathioprine together are harmful in IPF, as the PANTHER-IPF trial (stopped early for safety) showed; its N-acetylcysteine monotherapy arm continues at this writing. Prednisone alone should not be given for presumed IPF, either. Question70 of 82 (score?) A 41-year-old woman in your clinic has the below chest CT. She has mild, worsening airflow limitation on serial spirometry. She has increasing exertional dyspnea that is now significantly limiting her activity. She had a small spontaneous pneumothorax last year that resolved without intervention. She never smoked. Alpha-1 antitrypsin levels are normal.
  • 115.
    115 According to astudy published in the New EnglandJournalof Medicine in 2011, what agent should help slow progression of her lung disease and improve her functional status? A. Azithromycin B. Cyclosporine C. Sirolimus D. Prednisone E. Progesterone We feelthat C is the best answer. This woman has sporadic lymphangioleiomyomatosis, a rare cystic lung disease caused by abnormal proliferation of smooth muscle cells that affects premenopausal women (average age 35) almost exclusively. Progressive exertional dyspnea with worsening airflow limitation, recurrent pneumothoraces, and chylous pleural effusions are the common clinical manifestations. Thirty to 50% of women with sporadic LAM also have renal angiomyolipomas, which are usually clinically silent. Tuberous sclerosis complex-associated LAM, another form of the condition, includes tumors in the brain, skin and other organs, causing seizures and intellectual delay. TSC typically presents in childhood, with LAM lung disease and renal angiomyolipomas developing in adulthood. A 2011 observational series suggests TSC-LAM may go undiagnosed until adulthood more often than previously believed, however. The diagnosis of LAM can be made by high-resolution CT without biopsyin classic cases; lung biopsy(positive for the HMB-45 immunohistochemistry assay) may be required in others. LAM's major mimics on HRCT are pulmonary Langerhans cell histiocytoma and emphysema. In a trial enrolling 89 women, those randomized to sirolimus had stable or improved lung function (FEV1 and DLCO) and improved respiratory symptoms over 12 months of treatment, compared to those taking placebo. After stopping the drug, though, decline in lung function resumed. In an observational series, 12 women with chylous effusions due to LAM who were treated with sirolimus had marked improvement or resolution of their effusions.
  • 116.
    116 Progestins and estrogenantagonists have been empirically used for decades as treatments for LAM, but do not seem to be effective in most patients. In a 2004 retrospective review, progesterone-treated LAM patients had similar declines in FEV1, and more rapid declines in DLCO, compared to untreated patients. Lung transplantation is an important treatment option for severe cases of LAM. Early referral to a transplant center for those with severe disease seems prudent. Because she has had one pneumothorax, this woman should be considered for pleurodesis as a preventive measure. However, pleurodesis makes lung transplantation surgery more complex, with increased risk for life-threatening bleeding. Referral to a lung transplant center prior to pleurodesis, if feasible, might be considered. Question71 of 82 (score?) Diagnosis of histoplasmosis can be made by measurement of antibody in blood (serology), or detection of fungal antigen in urine, bronchoalveolar lavage (BAL) fluid, or blood. Which of the following statements regarding the diagnosis of acute histoplasmosis is correct? A. In endemic areas, serology is nonspecific, because 85% of the population have positive serologies. B. Antibody levels rise within 7 days of acute infection, peaking at 14 days. C. Sensitivity of BAL fluid is equal or greater than urine for antigen detection. D. In patients with AIDS, sensitivity of urine antigen falls to < 30%. E. Negative serology effectively rules out acute histoplasmosis. We feelthat C is the best answer. The sensitivity of BAL fluid is at least as high as urine to detect Histoplasma antigen during active infection, according to several studies. The most commonly used antigen test is an enzyme immunoassay that detects Histoplasma galactomannan. BAL fluid, urine, and/or serum may be tested. The antigen test's sensitivity is 60-80%, depending on the severity of pneumonia. Its sensitivity is higher (not lower) in AIDS patients. In multiple studies, testing BAL
  • 117.
    117 fluid was atleast as sensitive as testing urine. In patients not undergoing bronchoscopy, testing urine and serum provides the highest sensitivity. Serologyshould be performed with the immunodiffusion (higher specificity) and/or complement fixation assays (higher sensitivity). Less than 5% of the population in endemic areas will be falsely positive for these tests. Four to eight weeks are required for serology to become positive; therefore a negative result does not rule out acute histoplasmosis. Some labs use serologic enzyme immunoassays (EIA); these are inferior and should be interpreted with caution. Although the EIA test can have a high false positive rate, the positivity of an endemic area-dwelling population is still not as high as 85% (answer A is wrong). Antigen tests and serologies can have significant cross-reactivitywith other endemic mycoses (coccidioidomycosis and blastomycosis), and with sarcoidosis and tuberculosis. They therefore need to be interpreted thoughtfully and with regard to the patient's circumstances. Misidentification of the exact fungus should not result in inadequate treatment: all three endemic mycoses may be treated with itraconazole for mild/moderate infections, and amphotericin B for severe infections. However, tuberculosis must be ruled out if possible (and maintained in the differential diagnosis or treated empirically until cultures are negative, if TB can't be ruled out). Fungal cultures have very low sensitivity during acute histoplasmosis, and take weeks to grow, limiting their utility. They are more useful in diagnosing chronic pulmonary histoplasmosis, but still may require repeated sampling of BAL fluid or sputum to get a positive culture. Multiple cases have been reported of people with acute histoplasmosis who were misdiagnosed with sarcoidosis (as both have granulomas on biopsy), and then were treated inappropriately with immune-suppressing steroids. Histoplasma testing (antigen and serologies) should be performed prior to starting steroids for sarcoidosis, if there is any suspicion for histoplasmosis. Question72 of 82 (score?) This man, aged 50, has thyroid cancer. He has no prior history of lung disease. He was briefly intubated for his attempted thyroidectomy, which was aborted when it became clear the tumor was unresectable. He is sedentary and does not exercise.
  • 118.
    118 Based on theCT scan, what would you expect his respiratory symptoms or signs to be? A. None B. Variable extra-thoracic obstruction on flow-volumeloop C. Fixed intra-thoracic obstruction on flow-volumeloop D. Stridor with daily activity E. Unpredictable (without comparing his flow-volumeloops while breathing Heliox to those on ambient air) We feelthat A is the best answer. This man has a sizeable thyroid mass, but only moderate tracheal narrowing (this was described as a 50% narrowing by the radiologist). The patient was
  • 119.
    119 asymptomatic respiratory-wise, althoughit's unknown whether he would have had exertional dyspnea. Airway compromise is more commonly caused by interior processes(subglottic fibrosis after endotracheal intubation; laryngeal edema) rather than extrinsic forces such as goiters, which must compress the cartilaginous rings. Normal cross sectional area of the trachea is ~270mm2 in men and ~195mm2 in women; exertional dyspnea doesn'toccuruntil diameter is reduced to ~8mm (~75% stenosis, about 50mm2); resting dyspnea and stridor at ~5mm diameter (>90% stenosis, about 20mm2). Flow volume loops are insensitive at detecting upper airway obstruction. Severe obstruction must be present before flow volume loops show flattening of the inspiratory limb (variable extrathoracic obstruction), expiratory limb (variable intrathoracic obstruction), or both (fixed obstruction). FEV1 is particularly insensitive, and other slightly more sensitive criteria have been proposed:  Ratio of FEV1 to maximum expiratory flow (MEF) > 10 mL/L/min;  Ratio of the flow at the mid-point of the forced expiratory maneuver (MEF- 50%) to the flow at the mid-point of the forced inspiratory maneuver (MIF- 50%) < 0.3 or > 1;  MIF(50%) <100 L/min;  Ratio of FEV(1) to FEV(0.5) >1.5. Using a formalized approachcombining these and visual criteria, Cleveland Clinic investigators could only achieve a 69% sensitivity for flow volume loop analysis at diagnosing upper airway obstruction. Visual criteria like inspiratory limb flattening had only a 5.5% sensitivity when used in isolation. The trachea is a dynamic structure, dilating on inspiration and potentially collapsing on exhalation. As it provides only a snapshot, CT is not considered sufficiently sensitive to rule out central airway obstruction; endoscopy (laryngoscopy or bronchoscopy)is the gold standard.
  • 120.
    120 Question73 of 82(score?) A 62 year old man underwent bilateral lung transplantation 5 years ago for COPD. He has progressive dyspnea on exertion and, in general, feels much worse than he did a year ago. He has had a steady decline in his lung function by spirometry, with FEV1 falling from 80% predicted soonafter transplant, to 50% today. He has always been 100% adherent with all immunosuppressive medications and post- transplant follow-up. Chest X-ray and CT imaging show mild hyperinflation of both lungs, but no other abnormality. You plan for a bronchoscopy. Histologic examination of a transbronchial biopsy will most likely demonstrate: A. 'Owls eye' inclusion bodies in alveolar cells. B. Abundant inflammatory cells, effaced around blood vessels. C. Fibrotic occlusion of bronchioles. D. Abundant inflammatory cells, effaced around bronchioles. E. No abnormality. You answeredC. We agree that C and E are the best answers. Chronic rejection is the main cause of death more than 12 months after lung transplantation. Chronic airway rejection (bronchiolitis obliterans or obliterative bronchiolitis) is the major form. Chronic vascular rejection (atherosclerosis of pulmonary arterioles) is less common. BO may be also the common end-pathway of multiple processes other than immunologic rejection (chronic aspiration/GERD and CMV pneumonitis have been proposed). Clinical presentation is usually indolent, with slowly progressive dyspnea and airflow obstructionon spirometry (FEV1 and FEV25-75). Later in the course, air- trapping develops, with hyperinflation on imaging. Bronchiectasis may develop with subsequent Pseudomonascolonization, chronic cough, and severe airflow limitation. BO can also progress rapidly, leading to death; in other cases, initial rapid progression is followed by a long period of stabilization.
  • 121.
    121 The diagnosis ofchronic rejection due to bronchiolitis obliterans is made by transbronchial biopsy, which may show:  Granulation tissuein the airways.  Fibrosis around smallairway lumens.  Complete obliteration of small airways, rendering them undetectable except for a elastin rings whereairways should be ("vanishing airways").  Absenceof inflammatory cells (Exception: very early lesions may show lymphocytes around smallairways. Thesewould not be expected in this patient with likely advanced chronic rejection.) However, bronchiolitis obliterans is a patchy process,and even multiple transbronchial biopsies commonly miss the involved areas (reports vary widely as to the sensitivity of transbronchial biopsyfor BO). These cases of clinically presumed bronchiolitis obliterans without pathologic proofare called bronchiolitis obliterans syndrome (BOS). There is no reliable therapy for BO/BOS once symptomatic airflow obstruction has resulted. Various case series have reported benefit with substituting immunosuppressive medicines (e.g., tacrolimus for cyclosporine), extracorporeal photopheresis, daily azithromycin for months, total lymphoid irradiation, or alemtuzumab. High doseinhaled corticosteroids are probably not effective. For severe BO/BOS, retransplantation may be the only option to restore lung function and prolong survival. Controversy and wide practice variation between centers exists here, since it's suspected by certain experts (but not known) that those with BO/BOS on their first transplant are more likely to develop it on retransplantation. Regarding the other answer choices:Owl's eye inclusion bodies inside host cells are diagnostic of CMV infection. CMV pneumonitis is a common problem in the first year after lung transplantation, and may contribute to the later development of BO/BOS, but would be an unlikely active process this long after transplantation. Lymphocytes effacing or infiltrating blood vessels and/or bronchioles are the histopathologic hallmark of acute rejection.
  • 122.
    122 Question74 of 82(score?) A 64 year old man has been intubated in your ICU for 9 days after a COPD exacerbation. He self-extubated once 4 days ago, but had stridor, hypoxia and distress, and was reintubated. He has now passed a spontaneous breathing trial for 90 minutes. He is alert, has a cough and gag reflex, and has not required suctioning for several hours. When the endotracheal tube cuff is deflated, there is no leak of air. He and his family do not want him to receive a tracheostomy if it can be avoided. What's the best next move? A. Methylprednisone20 mg IV q4 hours for 4 doses; extubate 24 hours later B. Discuss thesafety advantages of tracheostomy further C. Extubate now D. Reassess daily for a cuff leak We feelthat A is the best answer. Medium-dose corticosteroids given in multiple doses 12-24 hours prior to planned extubation reduced post-extubation stridor (3% vs 22% for placebo) and reintubation (4% vs. 8%) in multiple randomized trials. A meta-analysis confirmed the result. Risk factors for post-extubation stridor include >6 days of intubation; a large ET tube; trauma during intubation or extubation; and a reduced "cuff leak" (<150 mL of lost expired tidal volume in volume-targeted mode). In patients intubated for shorter periods, absent cuff leak is not predictive of extubation failure. The decision to place a tracheostomy prior to 14-21 days is subjective and evidence is discordant as to its benefits in ventilator weaning and prevention of
  • 123.
    123 VAP. Also, thepatient is doing well from a respiratory mechanics standpoint. If the family does not want the tracheostomy, there is little reason to "push" it. Extubating now would be defensible, but given his multiple risk factors for post- extubation stridor, it would be wiser to give steroids first. Waiting to extubate (presumably until any laryngeal edema resolves on its own and a cuff leak develops) exposes him unnecessarily to the continued risks of mechanical ventilation. If waiting is chosen, steroids should also be provided. Other safety precautions that could be taken with this patient are extubating over an airway exchange catheter (ET tube changer or "bougie") or over a bronchoscope. Question75 of 82 (score?) A 65-year-old man presents with symptoms of myasthenia gravis and a chest CT is performed, showing a large anterior mediastinal mass. A needle biopsyconfirms thymoma. The mass is locally advanced, compressing the superior vena cava (SVC) but not clearly invading the SVC or the pericardium. He has mild COPD with FEV 70% predicted with no cardiac history. Which of the following statements is true? A. An attempt at surgical resection should be made. B. The mass is unresectable; refer for radiation. C. Myasthenia symptoms suggest a poorprognosis. D. Neoadjuvant chemotherapy could improve resection and survival. E. Absence of malignant features on histology is the strongest predictor of survival. You answeredD. We agree that A and D are the best answers. Thymomas and thymic carcinomas are neoplasms which may arise from the thymus. In any case where there is not clear invasion into mediastinal structures (blood vessels, pericardium, pleura), surgical resection should be attempted. Retrospective series strongly suggest surgical resection offers the bestcure,
  • 124.
    124 although there areno randomized controlled trials of surgery vs. nonsurgical treatments. This patient's mild lung disease should not preclude surgery. The histopathology of thymic neoplasms is complex and has an uncertain contribution to prognosis, because histology is heterogeneous within the tumor (e.g., carcinoma and thymoma may exist simultaneously in different areas). Invasion through the thymic capsule into surrounding tissues does diminish expected survival. However, even with a small degree of local invasion, 5-year survival with resection is >80%. There are multiple staging systems, with the Masaoka system most widely used. Myasthenia gravis (MG) symptoms are present in up to 50% of people with thymomas, but are rare in thymic carcinoma. Symptoms of MG are associated with less advanced disease, and resection of the thymoma reduces myasthenia symptoms (without eliminating them) in most patients. Palliative radiation is appropriate for cases of unresectable disease. Adjuvant radiation therapy after resection is strongly recommended after incomplete resection. After cases of complete resection, adjuvant radiation has an unlikely benefit except perhaps in stage III disease. Thymomas are chemotherapy-sensitive. Neoadjuvant chemotherapy may be used for large bulky masses that on imaging, appear too technically difficult to resect completely. There are multiple chemotherapy regimens, most of which are based on cisplatin (e.g., adding doxorubicin, cyclophosphamide and prednisone). Followup should continue for at least 10 years. Chemotherapy is the preferred treatment for recurrent or metastatic disease. Follow-up study of thymomas with special reference to their clinical stages. Masaoka A, Monden Y, Nakahara K, Tanioka T. Abstract
  • 125.
    125 Follow-up data wereobtained for 96 cases of thymoma. The one-year survival rate was 84.3%, the three-year 77.1%, the five-year 74.1%, and the ten-year 57.1%. The five-year survival rate of total resection group was 88.9%; that of non- radically treated group was 44.4%. Clinical stages were defined: Stage I-- macroscopically encapsulated and microscopically no capsular invasion; Stage II-- 1. macroscopic invasion into surrounding fatty tissue of mediastinal pleura, or 2. microscopic invasion into capsule; Stage III--macroscopic invasion into neighboring organ; Stage IVa--pleural or pericardial dissemination; Stage IVb-- lymphogenous or hematogenous metastasis. Five-year survival rates of each clinical stage were 92.6% in Stage I, 85.7% in Stage II, 69.6% in Stage III, and 50% in Stage IV. Recurrence after total resection was found in six of 69 cases. Seven of 13 patients treated by subtotal resection survived more than five years with postoperative radiotherapy. Question76 of 82 (score?) Your new pulmonary function technician brings a patient's spirometry results to you for confirmation. There are 4 flow volume curves that show extrapolated volume of 70 mL, 7.5 seconds ofexhalation with plateau. You see no artifacts. Comparing the two best efforts, FEV1 varies by 120 mL and FVC varies by 130 mL. The tech says, "I ask her to do more, Doctor, but she say no, she is too tired." What's the best way to characterize these spirometry results? A. Acceptable, but not reproducible. B. Not acceptable and not reproducible. C. Not acceptable, but reproducible. D. Acceptable and reproducible. E. Utterly reprehensible. You answeredD. We agree that D is the bestanswer. To be acceptable, a spirometric effort must be free from artifacts, have a good start, and good exhalation. Artifacts include cough, leak, glottis closure, inadequate effort, an obstructed mouthpiece or early termination; these usually cause the flow
  • 126.
    126 volume loop tolook irregular. A good start means extrapolated volume is < 0.15 L or < 5% FVC. Good exhalation lasts >6 sec and/or generates a plateau in the curve. An adequate test requires at least three acceptable efforts. Reproducibility can only be compared between acceptable spirograms (i.e., there is no such thing as "not acceptable, but reproducible"). To be reproducible, the two largest values for both FVC and FEV1 must be within 150 mL (0.15 L) of each other. This was achieved here. If acceptable spirograms are not reproducible (i.e., they vary by > 0.15 L), the technician should continue to collect up to 8 efforts (as long as the patient can continue) before giving up and stopping the session. Question77 of 82 (score?) A 70 year old man is intubated in your ICU. He has an esophageal pressure catheter in place which shows an end inspiratory pressure of 6 cm H2O; plateau pressures are 15 cm H2O. He has acceptable lung mechanics and so is extubated. He promptly vomits and aspirates, requiring reintubation. What do you expect his ventilatory mechanics/pressures to show? A. Unchanged plateau and esophageal pressures. B. Increased plateau and esophageal pressures. C. Decreased plateau; increased esophageal pressures. D. Increased plateau; unchanged esophageal pressures. You answeredD. We agree that D is the bestanswer. Plateau pressure (end-inspiratory pressurein a state of no-flow during an imposed breath hold) is made up of both 1) the pressure required to inflate the lungs themselves, and 2) the recoil forces imposed by the distended chest wall. The aspiration event should worsen lung compliance, raising plateau pressure.
  • 127.
    127 Esophageal pressure isunaffected by the worsening lung compliance, or by any mechanics of the chest wall, and should be unchanged. The difference between the airway plateau pressure and the esophageal pressure at end-inspiration (i.e., the transpulmonary pressure during a plateau breath hold) is a measure of the true forces distending the lungs. Prior to the described extubation, that would have been 9 cm H2O in this patient. Esophageal manometry is rarely used in practice, but a single-center study published in N Eng J Med suggested that using this slightly invasive method to guide management of mechanical ventilation could improve oxygenation. Factors such as obesity and ascites can cause significantly increased plateau pressures, even when lung compliance is normal or only slightly reduced. The spuriously high plateau pressures can result in inappropriate reduction of delivered tidal volumes in order to meet "lung-protective" ventilation goals. Being aware of a patient's chest wall mechanical properties (or use of esophageal manometry by experienced physicians) might help avoid this pitfall. Question78 of 82 (score?) A 30 year old man complains of daytime somnolence since college. He lives alone and does not know if he snores. Epworth Sleepiness Scale is 17. He has no history of cataplexy. He is not obese. He sleeps about nine hours a night, with naps during the day. His bedtimes vary by up to 3 hours (10pm-1am). He does not work shifts. He undergoes polysomnography, which demonstrates an apnea-hypopnea index of 7 and a respiratory disturbance index of 14 with no hypoxic burden, during six hours of sleep. On a multiple sleep latency test the next day, his mean sleep latency is 6 minutes and he has one sleep onset REM period. He takes no medications. In addition to counseling on sleep hygiene, what's the best next step? A. CPAP titration study; start nightly CPAP and assess response. B. Repeat the MSLT. C. Start venlafaxine. D. Start methylphenidate. E. Start modafinil.
  • 128.
    128 You answeredA. We agreethat A and B are the best answers. As is often the case, it's unclear from the available data what sleep disorder(s) this patient may have. Narcolepsy may be underrecognized, with a prevalence of up to 1 in 2000. Excessive sleepiness is often the only clear symptom; cataplexy (weakness during laughing and/or other emotional responses)may be mild or nonexistent. Other symptoms can include hallucinations at sleep onset (hypnogogic) and sleep paralysis. The diagnosis of narcolepsy requires a polysomnogram followed by a multiple sleep latency test, in which a patient is given four or five opportunities to nap every 2 hours. Mean sleep latency of 10 to 15 minutes is normal; in many people with narcolepsy, it's 5 minutes or less. Generally, there must be two sleep-onset REM periods (SOREMs)in addition to a short sleep latency to diagnose narcolepsy. Most people with narcolepsy are HLA DQB1*0602 positive; however, 99% of people with this HLA haplotype do not have narcolepsy, as it occurs commonly (10-40%) in healthy people. Orexin/hypocretin deficiency in cerebrospinal fluid is often present in people with narcolepsy with cataplexy. These are mainly research tools, not clinical diagnostics. The MSLT has serious limitations: sleep onset REMs can occurin people without narcolepsy who are sleep deprived, have recently stopped antidepressants, have untreated sleep apnea, or in 10% of people with no sleep disorder (false positives). The MSLT can be falsely negative in 20-30% of people with narcolepsy. This young man's MSLT showed only one SOREM. In addition, his polysomnogram suggests mild obstructive sleep apnea. The treatments listed are appropriate for narcolepsy, but shouldn't be started without a stronger basis for diagnosis. (Other narcolepsy treatments include dextroamphetamine and gamma- hydroxy-butyrate. GHB helps by suppressingREM-sleep, as does venlafaxine; the others are wakefulness-promoting stimulants.) Either a treatment trial of continuous positive airway pressure (CPAP) for OSA, or a repeat MSLT (due to its high false negative rate and his lack of risk factors for OSA) are appropriate for this patient. Obstructive sleep apnea, periodic limb movement disorder, and other sleep disorders are common comorbidities in people
  • 129.
    129 with narcolepsy. Goodsleep hygiene with regular bedtime and wake times are essential to the management of narcolepsy (and important for all people with sleep disorders); scheduled naps can also be helpful. Simply following this patient over time as his sleep hours normalize would also be appropriate. Question79 of 82 (score?) A 58-year-old woman with idiopathic pulmonary fibrosis presents to clinic in follow-up after bilateral lung transplantation 16 days ago. She needed vasopressors and mechanical ventilation for 3 days, but quickly recovered after that and went home 3 days ago. Today, she comes to clinic with no symptoms and feeling at her baseline since the day of discharge. However, a routine chest X-ray shows bilateral pneumothoraces, with about 1 cm between the chest wall and parietal pleura on the left, and about 0.5 cm on the right. She is admitted to the hospital and a tube thoracostomyis placed on the left. What's the best next step? A. Wall suction to left chesttube; removewhen pneumothoraxresolves; observe right pneumothorax. B. Increaseimmunosuppressivemedications. C. Insertchesttube on right; talc pleurodesis bilaterally. D. Performbronchoscopy and inspectcentral airways. E. VATS pleurodesis on the left; observeright pneumothorax; VATS if no resolution. You answeredD. We agree that D is the bestanswer.
  • 130.
    130 The first concernafter the appearance of bilateral pneumothoraces in someone after bilateral lung transplant should be dehiscence of the bronchial anastamoses. A bronchoscopyshould be performed to inspect the surgical anastamoses. Rejection can contribute to later airway complications, but when dehiscence has occurred early as in this case, rejection is not the likely cause. If anything, immunosuppressive medications may need to be reduced to help facilitate healing of the surgical wound. Besides poorhealing, numerous other pathologic processescan cause airway complications: granulation tissue formation; infection; stenosis/fibrosis; bronchopleural fistula; and bronchomalacia. These complications are more common in people with long ischemic times perioperatively, rejection, hypotension postoperatively, and infections. Surgeons may attempt to reduce the risk of bronchial anastamotic dehiscence by using a shorter donormainstem bronchus and a longer recipient mainstem bronchus. Surgically "telescoping" the donorand recipient mainstem bronchi together also reduces dehiscence rates, but a costof increased rates of stenosis. Sirolimus is associated with early fatal bronchial dehiscence, and many lung transplant physicians avoid prescribing it for this reason until after healing of the anastamoses has occurred. Very small pneumothoraces may be present immediately after lung transplantation, resulting from a mismatch in size between the donorlungs (small) and recipient thorax (large); these may persist for weeks but are generally of no clinical consequence. Question80 of 82 (score?) Ms. D was admitted to the ICU with a pulmonary embolism at 2 pm today. Her vitals and exam were normal then (BP 100/70) but for a HR of 115 and elevated neck veins. She is 62, has hypertension and underwent a hip replacement 3 months ago for osteoarthritis. It's now 11:30 pm. Vital signs: HR 120; BP 94 / 60 (mean arterial pressure = 72); RR 24; SaO2 93% on 3 liters oxygen. BNP is 1,210; two serial measurements of troponin-I are negative. Her neck veins
  • 131.
    131 are no longerelevated; otherwise, her exam is unchanged besides the change in vital signs. An echocardiogram will be performed in a few hours. You have her on a heparin drip at therapeutic levels. Your next action is: A. Request an IVCfilter be placed B. Intubateand place her on mechanical ventilation C. Continue to monitor D. Give a bolus of 10 mg t-PA intravenously, then 90 mg over 2 hours E. Request surgicalevaluation for thrombectomy You answeredC. We agree that C is the bestanswer. Ms D has a submassive pulmonary embolism (RV dysfunction as evidenced by ECG & elevated neck veins, with preserved arterial SBP > 90). Management is somewhat controversial. Thrombolytics accelerate clot lysis and provide short- lived hemodynamic benefits; they may improve recovery of cardiovascular function after hospitalization in some patients as well. However, a "catch-up" phenomenon may occurin patients treated with heparin alone, with hemodynamics improving within 1 week or so. There is still no definite evidence of benefit of thrombolytics, even in patients with massive PE and shock, when considered as a group (for certain patients, most people agree lytics can be lifesaving). This is mainly because of the small size of clinical trials. The ACCP's recommendation (weak grade 2C)is that thrombolytics should be used promptly in PE with hypotension (e.g., SBP < 90 mm Hg), and not in most patients without hypotension (strong grade 1C). Exceptions are those deemed to be at "high risk" with right ventricular dysfunction on ECHO or enlargement on CT; elevated troponins; and those who "look sick" with hypoxemia, dyspnea, and anxiety; these patients are also suggested to receive thrombolytics if they also have a low bleeding risk (weak grade 2C). However, this patient meets none of those high risk criteria. Negative troponins are a powerful predictor of survival; so is a negative BNP. In contrast to a positive troponin, a positive BNP does not predict pooroutcome.
  • 132.
    132 Severe bleeding mayoccurin up to 20% of recipients of thrombolytics, with up to 3% suffering intracranial hemorrhage. Before thrombolysis, review the patient's history for contraindications. The ACCP's guidelines do not specify "absolute" contraindications, only "major" ones (intracranial disease, uncontrolled hypertension upon presentation, "recent" major surgery or trauma). The only agreed-upon absolute contraindication in massive life-threatening PE seems to be a concurrent intracranial hemorrhage. Catheter-directed thrombolysis has no greater efficacy or proven reduced bleeding risk than peripheral injection, but may be considered in hypotensive patients with a contraindication to thrombolytics. Because t-PA has the shortest infusion time, it is recommended as first line among thrombolytics by ACCP (not becauseof proven higher efficacy). The practice of placing an IVC filter in those with a large residual lower-extremity "clot burden" is not supported by evidence, but is not improper; a leg ultrasound should be obtained first, though. Surgical or intravascular embolectomy is typically a last resort for patients in shockwho are failing or unable to receive thrombolytics; it requires high expertise and has a high reported mortality rate, probably due to patient selection. Question81 of 82 (score?) Your patient had a cardiac arrest and ventricular fibrillation was the initial rhythm. You have just given a third shock, and the patient now has the below rhythm. Your team looks to you for instructions. According to ACLS algorithms, what would you order next? A. Endotracheal intubation. B. Check for a carotid pulse. C. Resume chest compressions.
  • 133.
    133 D. Atropine 1mg IV. E. Amiodarone 300 mg IV. We feelthat C is the best answer. Current ACLS guidelines (good through 2015) advise minimal interruptions in high-quality chest compressions (at least 2 inches, at least 100 per minute, allowing complete chest recoil between compressions), which should be resumed. Epinephrine could be given, but is not a listed choice. The rhythm is now asystole, so amiodarone is not indicated. Endotracheal intubation has been made virtually optional during ACLS codes, becauseit has been shown to interfere with the delivery of high quality chest compressions, which should be the first priority. Likewise, checking for a pulse when the rhythm is likely non-perfusing (asystole) is not advised as it will also delay adequate chest compressions. Atropine is advised for symptomatic bradycardia in current ACLS guidelines, but no longer for other rhythms such as asystole or PEA. Question82 of 82 (score?) You are consulted about a 64 year old man admitted early this morning with a pleural effusion and community-acquired pneumonia (fever, leukocytosis, and infiltrate). The admitting internist shows you the right lower lobe consolidation on chest film, with a right-sided effusion filling about 30% of the hemothorax. She performed a thoracentesis, during which she could only remove 100 mL of fluid. The fluid has the following characteristics:  Glucose65 (normal)  pH 7.35 (normal)  LDH 1,250 (4 times upper limit of normal) A repeat chest film shows fluid filling about 20% of the hemithorax, and it has an irregular contour, tracking up the chest wall. You perform bedside ultrasound, which confirms the opacity is an effusion, with visible septations floating in the fluid.
  • 134.
    134 Besides continuing appropriateantibiotics, what's the best next step? A. Observation (allow the antibiotics time to work). B. Repeat thoracentesis by a more experienced operator. C. Place a chest tube and instill tissue plasminogen activator and DNAse. D. Diuretics and afterload reduction. E. Consult thoracic surgery for thoracoscopy (VATS). You answeredC. We agree that C and E are the best answers. Which parapneumonic effusions (PPE) should be drained, and how? Except for the obviously low- or high-risk PPEs, no one really knows. The ACCP convened a panel that published a landmark paper in 2000, cited below. The evidence for all their recommendations was "C or D" (case series or opinion): in managing PPE, the art of medicine still reigns. The panel proposedcriteria to stratify PPE into 4 categories of risk (click here to see their table). The short version is that any PPE with any of these criteria should be drained (and PPEs without any of these need not be):  >=50% of hemithorax (even if free-flowing on CT/lateral decubitus film)  Loculated (as in this patient, with incomplete drainage and lack of free-flow on repeatimaging)  Thickened parietal pleura  Positive culture or gram stain  pH < 7.20 (this is the preferredmethod; pH mustbe measured in a blood gas analyzer)  Glucose< 60 mg/dL (if pH unreliable) Thoracoscopywith decortication is the most effective method of curing an empyema: a surgeon can efficiently and quickly remove the infected material, and simultaneously disrupt fibrous adhesions and prevent loss of lung function. VATS for PPE appears safe, after considering the underlying severity of illness. There is growing supportfor VATS as consideration of first-line treatment in selected patients with PPE.
  • 135.
    135 Tube thoracostomy, followedby instillation of tissue plasminogen activator and DNAse was found to be superior to tube thoracostomywith either agent alone or placebo in improving outcomes with PPE. Fewer patients who got combination t- PA/DNAse needed surgery, and they went home sooner. Only 4% of patients in the t-PA/DNAse group needed surgery within 3 months, suggesting this should usually be an effective approach. Since the internist did aspirate fluid, it's unlikely that the initial technique was appropriate and that the low volume obtained was due to the loculations present; repeat thoracentesis would be unlikely to help. REFERENCES: Colice GL et al. Medical and SurgicalTreatment of Parapneumonic Effusions: an evidence based guideline. CHEST October 2000 vol. 118 no.4 1158-1171. Lee SF et al. Thoracic empyema: current opinions in medical and surgical management. Curr Opin Pulm Med. 2010 May;16(3):194-200. [PubMed] Shi-Ping Luh et al. Video-Assisted Thoracoscopic Surgeryin the Treatment of Complicated Parapneumonic Effusions or Empyemas: Outcomeof 234 Patients. CHESTApril 2005 vol. 127 no. 4 1427-1432. Rahman NM et al. IntrapleuralUseof TissuePlasminogen Activator and DNasein Pleural Infection. NEngl J Med 2011; 365:518-526.
  • 136.
    136 Real-WorldBoards:Your Current Score CONGRATULATIONS! You've completed the Real-World Boards! Come back soon, we add new questions almost every week. You've answered 81 of our 82 questions (49% correctly). Your class rank is # 469. Or you can log out, or Restart the Boards from the very beginning.* *(CAREFUL: this erases your log of completed questions, your scores will reset, and you will see questions you've already answered). Send us your suggestions to improve the Real-World Boards or anything else on PulmCCM Central.