PRESENTING PROBLEMS IN 
HIV INFECTION 
Dr Santosh K 
Mandya Institute of medical sciences 
1
• The clinical consequences of HIV infection 
encompass a spectrum ranging from an acute 
syndrome associated with primary infection 
through a prolonged asymptomatic state to an 
advanced disease. 
2
THE ACUTE HIV SYNDROME 
• 50-70% of individuals with HIV infection 
experience an acute clinical syndrome 3-6 
weeks after primary infection. 
• The syndrome is typical of an acute viral 
syndrome . 
• Symptoms persist for one to several weeks 
and gradually subside as an immune response 
to HIV develops. 
3
4
5
• Lymphadenopathy occurs in -70% of 
individuals with primary HIV infection. 
• Most patients recover spontaneously from 
this syndrome . 
• Primary infection with or without the acute 
syndrome is followed by a prolonged period of 
clinical latency. 
6
THE ASYMPTOMATIC STAGE- CLINICAL 
LATENCY 
• The median time of the asymptomatic stage for 
untreated patients is about 10 years. 
• HIV disease with active virus replication is 
ongoing and progressive during this 
asymptomatic period. 
• The rate of disease progression is directly 
correlated with HIV RNA levels. 
• Some patients referred to as long-term non-progressors 
show little decline in CD4+ T cell 
counts over extended periods of time. 
7
• During the asymptomatic period of HIV 
infection, the average rate of CD4+ T cell 
decline is ~50/μL per year. 
• When the CD4+ T cell count falls to <200/μL, 
the resulting state of immunodeficiency is 
severe enough to place the patient at high risk 
for opportunistic infection and neoplasms . 
8
9
SYMPTOMATIC DISEASE 
• Diagnosis of AIDS is made in anyone with HIV 
infection and a CD4+ T cell count <200/ μL . 
• Symptoms of HIV disease can appear at any 
time during the course of HIV infection. 
• severe and life-threatening complications of 
HIV infection occur in patients with CD4+ T 
cell counts <200/μL . 
10
DISEASES OF THE RESPIRATORY 
SYSTEM 
• Acute bronchitis and sinusitis are prevalent 
during all stages of HIV infection. 
• Sinusitis presents as fever, nasal congestion, 
and headache. 
• The maxillary sinuses are most commonly 
involved; however, ethmoid, sphenoid, and 
frontal sinuses are also frequently involved. 
11
• High incidence of sinusitis results from an 
increased frequency of infection with 
encapsulated organisms such as H. influenzae 
and Streptococcus pneumoniae. 
• patients with low CD4+ T cell counts may have 
mucormycosis infections of the sinuses. 
12
PNEUMONIA 
• The most common manifestation of Pulmonary 
disease is pneumonia. 
• S. pneumoniae and H. influenzae are responsible 
for most cases of bacterial pneumonia in patients 
with AIDS. 
• Consequence of altered B cell function and/or 
defects in neutrophil function secondary to HIV 
disease. 
• Pneumonias due to S. aureus and P. aeruginosa 
also occur with an increased frequency in 
patients with HIV infection. 
13
• Patients with untreated HIV infection have a six 
fold increase in the incidence of pneumococcal 
pneumonia and a 100-fold increase in the 
incidence of pneumococcal bacteremia. 
• inflammatory response to pneumococcal 
infection is proportional to the CD4+ T cell count. 
• Due to this high risk of pneumococcal disease, 
immunization with pneumococcal polysaccharide 
is generally recommended. 
14
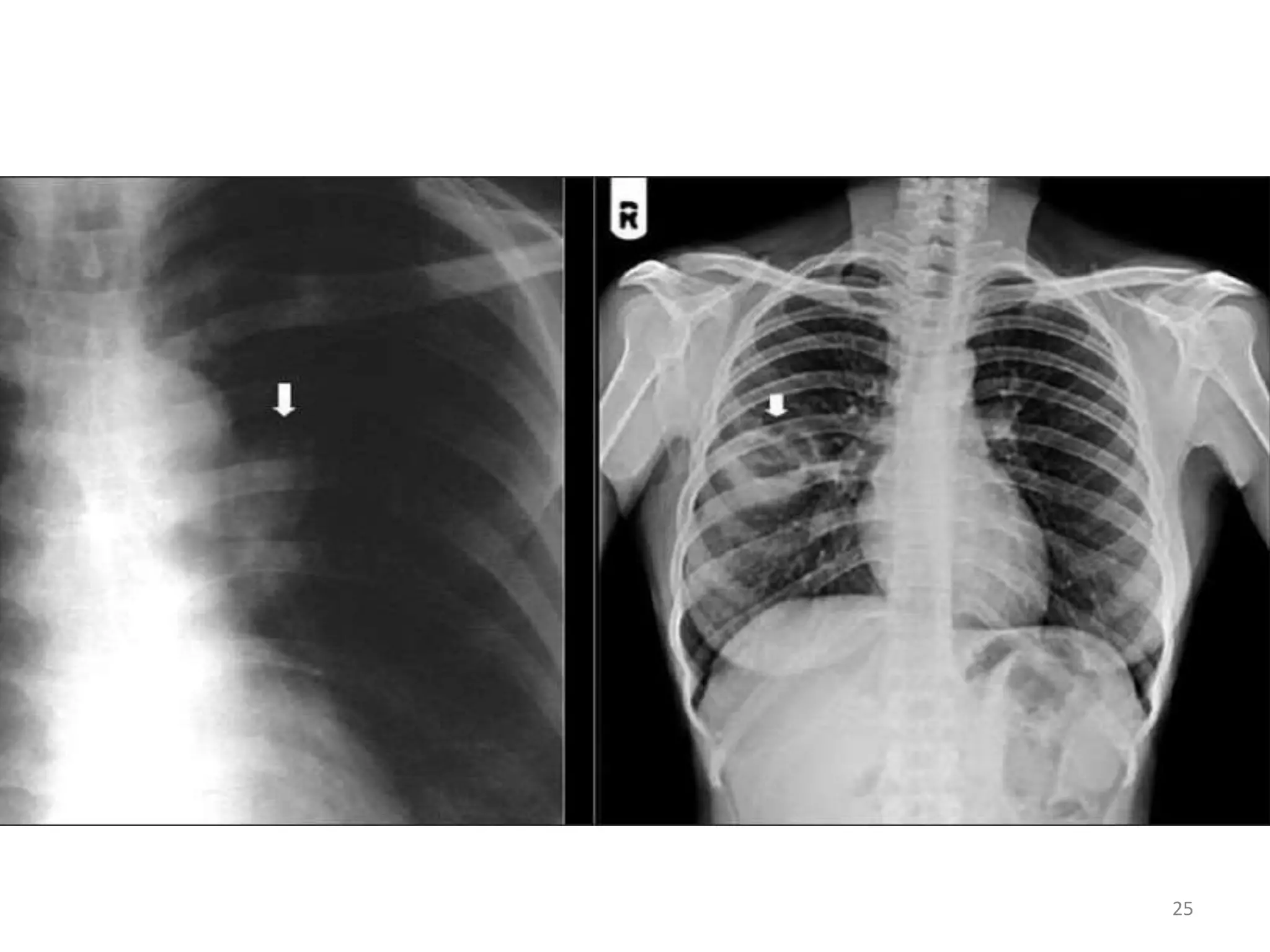
PNEUMOCYSTIS JIROVECI INFECTION 
• PNEUMOCYSTIS Pneumonia (PCP) was once 
the hallmark of AIDS. 
• single most common cause of pneumonia in 
patients with HIV and is likely the etiologic 
agent in 25% of cases of pneumonia in 
patients with HIV infection. 
15
• PCP presents with non productive cough or 
with scanty white sputum production. 
• Patients complain of characteristic 
retrosternal chest pain , described as sharp or 
burning type, and worsens on inspiration. 
• The disease usually has an indolent course 
with weeks of vague symptoms. 
16
• Patients receiving aerosolized pentamidine for 
prophylaxis against PCP, show a variety of extra 
pulmonary infections. 
• Otic involvement may present as a polypoid 
mass involving the external auditory canal. 
• Others include ophthalmic lesions of the 
choroid, necrotizing vasculitis , bone marrow 
hypoplasia, and intestinal obstruction. 
• Other organs involved include lymph nodes, 
spleen, liver, kidney, pancreas, pericardium, 
heart, thyroid, and adrenals. 
17
18
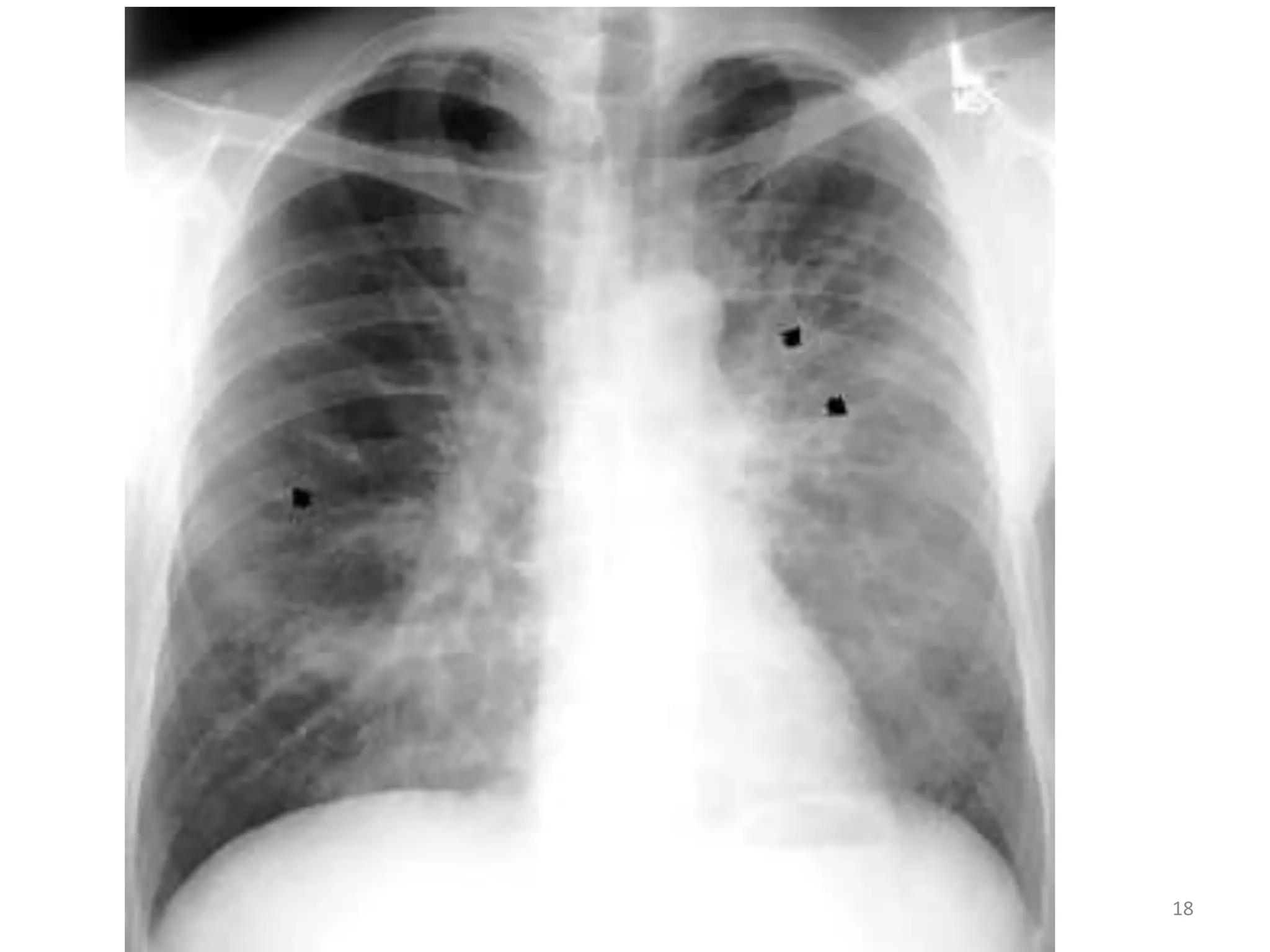
TUBERCULOSIS 
• Worldwide 1/3rd of the AIDS related deaths 
are associated with TB. 
• Patients with HIV infection are more likely to 
have active TB by a factor of 100. 
• Active TB often develops relatively early in the 
course of HIV infection and may be an early 
clinical sign of HIV disease. 
19
• The clinical manifestations of TB in HIV-infected 
patients are quite varied and 
generally show different patterns as a function 
of the CD4+ T count. 
• In patients with relatively high CD4+ T cell 
counts, the typical pattern of pulmonary 
reactivation occurs. 
• Patients present with fever, cough, dyspnea on 
exertion, weight loss, night sweats, and a chest 
x-ray revealing cavitary apical disease of the 
upper lobes. 
20
• In patients with lower CD4+ T cell counts, 
disseminated disease is more common. 
• In these patients the chest x-ray may reveal 
diffuse or lower lobe bilateral reticulonodular 
infiltrates consistent with miliary spread, 
pleural effusions, and hilar or mediastinal 
adenopathy. 
• Infection may be present in bone, brain, 
meninges, GI tract, lymph nodes and viscera. 
21
ATYPICAL MYCOBACTERIAL INFECTION 
• Atypical mycobacterial infections are also seen 
with an increased frequency in patients with 
HIV infection. 
• MAC infection is a late complication of HIV 
infection, occurring predominantly in patients 
with CD4+ T cell counts of <50/μL. 
• The most common atypical mycobacterial 
infection is with M. avium or M. intracellulare 
species—the Mycobacterium avium complex 
(MAC). 22
• Prior infection with M. tuberculosis decreases 
the risk of MAC infection. 
• MAC infections arise from organisms that are 
ubiquitous in the environment, including both 
soil and water. 
• There is also evidence for person-to-person 
transmission of MAC infection. 
• The presumed portals of entry are the 
respiratory and GI tract. 
23
• common presentation is disseminated disease 
with fever, weight loss, and night 
sweats,abdominal pain, diarrhea, and 
lymphadenopathy. 
• Bilateral, lower lobe infiltrate suggestive of 
miliary spread. 
• Alveolar or nodular infiltrates and hilar and/or 
mediastinal adenopathy can also occur. 
• Anemia and elevated liver alkaline phosphatase 
are common. 
24
25
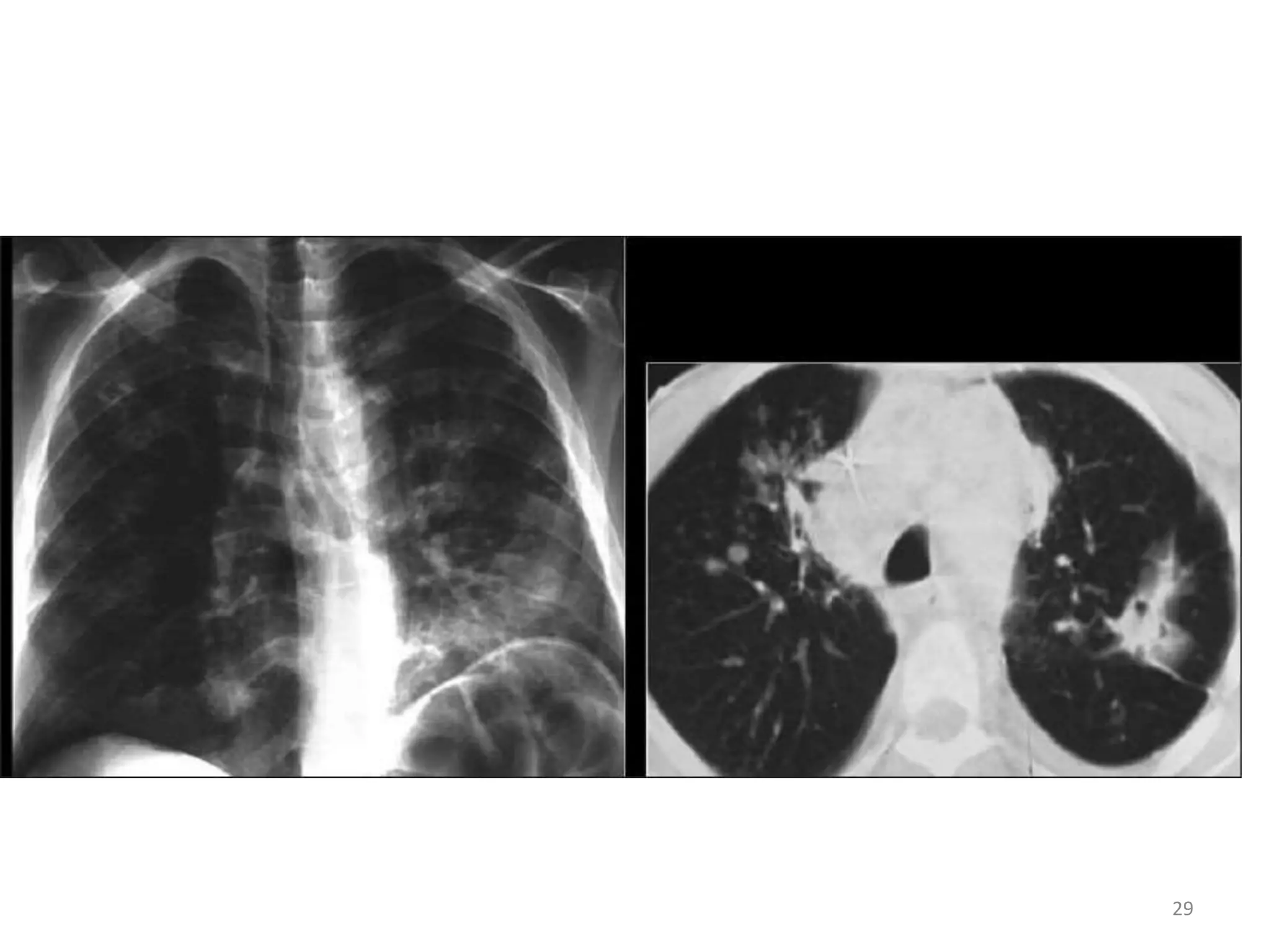
OTHER RESPIRATORY INFECTIONS 
• Rhodococcus equi is a gram positive, 
pleomorphic, acid fast non- spore forming 
bacillus that can cause pulmonary and 
disseminated infection in HIV infected 
patients. 
• Fever and cough with expectoration are the 
common presenting complaints. 
• X-ray shows cavitary lesions and 
consolidation. 
26
• Coccidioides immitis is a mould that is endemic 
in the southwest United States. 
• It can cause a reactivation pulmonary 
syndrome in patients with HIV infection. 
• Most patients with this condition will have 
CD4+ T cell counts <250/4. 
• Patients present with fever, weight loss, cough, 
and extensive, diffuse reticulonodular 
infiltrates on chest x-ray. 
• Nodules, cavities, pleural effusions, and hilar 
adenopathy are also seen. 
27
• Invasive aspergillosis is not an AIDS-defining 
illness and is generally not seen in patients 
with AIDS in the absence of neutropenia or 
administration of glucocorticoids. 
• Presents as pseudomembranous 
tracheobronchitis. 
• Primary pulmonary infection of the lung may 
be seen with histoplasmosis. 
28
29
IDOPATHIC INTERSTITIAL PNEUMONIA 
• Two forms of idiopathic interstitial pneumonia: 
a)lymphoid interstitial pneumonitis (LIP) 
b)nonspecific interstitial pneumonitis (NIP). 
• LIP is a common finding in children. 
• This disorder is characterized by a benign 
infiltrate of the lung and is due to the 
polyclonal activation of lymphocytes. 
• Transbronchial biopsy is diagnostic . 
30
DISEASES OF THE CARDIOVASCULAR 
SYSTEM 
• Heart disease is a common postmortem 
finding in HIV infected person. 
• The most common heart disease is coronary 
heart disease. 
• Cardiovascular disease may result from the 
classical risk factors, a direct consequence of 
HIV infection or as a result of ART. 
31
• Patients with HIV infection have higher levels 
of triglycerides and lower levels of LDLs . 
• Pathogenesis is likely related to the immune 
activation and increased propensity for 
coagulation seen as a consequence of HIV 
replication. 
• Exposure to HIV protease inhibitors and 
certain reverse transcriptase inhibitors has 
been associated with increase in total 
cholesterol. 
32
• Dilated cardiomyopathy associated with 
congestive heart failure (CHF)in a HIV infected 
patient is referred to as HIV-associated 
cardiomyopathy. 
• Generally occurs as a late complication of HIV 
infection and, histologically, displays elements 
of myocarditis. 
• HIV can be directly demonstrated in cardiac 
tissue in this setting. 
• Patients present with typical findings of CHF 
including edema and shortness of breath. 
33
• Patients may also develop cardiomyopathy as 
side effects of IFN-α or nucleoside analogue 
therapy. 
• KS, cryptococcosis, Chagas' disease, and 
toxoplasmosis can involve the myocardium, 
leading to cardiomyopathy. 
• Pericardial effusions may be seen in the 
setting of advanced HIV infection. 
Predisposing factors include TB, CHF, 
mycobacterial infection, cryptococcal 
infection, pulmonary infection, lymphoma, 
and KS. 
34
MUCOCUTANEOUS DISEASES 
• Mucocutaneous manifestations are common 
in HIV . 
35
36
• Dermatophyte infection involving skin hairs 
and nails is common . 
• 80% of the patients present with seborrhoeic 
dermatitis. 
• It presents as dry scaly erythematous plaques 
on the face. 
• M. furfur is the important causative organism. 
37
38
• Major viral infections affecting the skin are 
herpes zoster (VZV), human papillomavirus 
(HPV) and molluscum contagiosum. 
• Herpes simplex (type 1 or 2): Affect the lips, 
mouth and skin or anogenital area . 
 In later-stage HIV, the lesions are usually 
chronic, extensive, harder to treat and 
recurrent. 
 Persistent and severe anogenital ulceration 
is usually herpetic and a marker for underlying 
HIV. 
39
40
Varicella zoster: 
• Presents with a dermatomal vesicular rash on 
an erythematous base. 
• It can occur at any stage but is more frequent 
with failing immunity. 
• The rash may be severe, multidermatomal, 
persistent or recurrent, or may become 
disseminated. 
• Diagnosis of herpetic lesion can be confirmed 
by culture, smear preparations ,characteristic 
inclusion bodies . 
41
• HPV infection is usually anogenital. 
• Warts on hands and feet are also common. 
• Molluscum contagiosum is found in about 10% 
of the HIV infected patients. They present with 
papules with central umbilications involving 
the face , neck and scalp region. 
• Scabies may cause intensely prutitic encrusted 
papules ( NORWEGIAN Scabies)with secondary 
infection affecting almost the whole of the 
body. 
42
43
44
CANDIDIASIS: 
• Almost exclusively mucosal, affecting nearly all 
patients with CD4 counts < 200/μL . Nearly 
always caused by C. albicans. 
• Pseudo membranous candidiasis presents as 
white patches on the buccal mucosa that can 
be scraped off to reveal a red raw surface . 
• Tongue, palate and pharynx are involved. 
• Hypertrophic candidiasis (leucoplakia-like 
lesions which do not scrape off but respond to 
antifungal treatment) and angular cheilitis may 
also be present. 
45
Oral Candidiasis 
Clinical Types 
Erythematous Pseudomembranous Angular Cheilitis 
46
• Esophageal infection may coexist. 
• Up to 80% of patients with pain on swallowing 
have Candida esophagitis with pseudo 
membranous plaques visible on barium 
swallow and endoscopy . 
• The pain is usually associated with dysphagia 
and, when untreated, leads to weight loss. 
47
48
ORAL HAIRY LEUCOPLAKIA: 
• Appears as white plaques running vertically on 
the sides of the tongue. 
• EBV is implicated as the causative factor. 
• Usually asymptomatic and doesn’t require any 
treatment. 
49
50
GASTROINTESTINAL DISEASES 
• Pain on swallowing, weight loss and chronic 
diarrhoea are common in the later stage of 
HIV infection. 
• A range of opportunistic infections and 
tumours are also responsible for these 
symptoms. 
51
CYTOMEGALOVIRUS: 
• Is only seen if the CD4+ count is less than 
100/μL. 
• Mainly affects the esophagus but may involve 
the whole of the GIT. 
• Presents as gradual onset of localized pain on 
swallowing, retrosternal pain, dysphagia, fever 
, weight loss, watery diarrhoea accompanied 
with blood and colicky abdominal pain. 
• Diagnosed by endoscopy, blood investigations 
and tissue biopsy. 
52
CRYPTOSPORIDIUM AND MICROSPORIDIUM: 
• These are contagious zoonotic protozoal enteric 
pathogens. 
• They account for 20% of the cases of diarrhoea in 
HIV infected individuals. 
• Present as acute or sub acute onset of large 
volume watery stools, vomiting and weight loss. 
• Diagnosed by stool sample examination. 
• Other protozoal infections include isospora, 
cyclospora, cryptosporidium, Giardia and 
Entamoeba hystolytica. 
53
LIVER DISEASE 
HEPATITIS B: 
• Majority of HIV infection individuals show evidence 
of HBV exposure. 
• HBV carriage rate depends on the mode of 
acquisition, place of birth and ethnic group , 
immunization history. 
• Although HBV co-infected patients have more 
aggressive disease, the immunosuppression seen in 
more advanced HIV affords some protection to the 
liver. 
• Treatment with antivirals should be considered for 
all patients who have active viral replication or 
evidence of inflammation, fibrosis or scarring on 
biopsy. 54
HEPATITIS C 
• Most patients with HCV acquire their infection 
from injection drug use . 
• Only 15-20% of patients ever clear their initial 
infection. 
• HIV treatment is usually initiated first to 
optimize the CD4 count to 350 cells/mm3. 
• Because of interactions with ribavirin, some 
nucleotide reverse transcriptase inhibitors (ZDV, 
didanosine and possibly abacavir) should be 
avoided if HAART is being co-administered. 
55
NERVOUS SYSTEM AND EYE DISEASES 
• Diseases of the central and peripheral 
nervous system are common in HIV. 
• This may be as a direct result of HIV infection 
or as an indirect result of CD4+ cell depletion. 
56
TOXOPLASMA GONDII: 
• Results in mild subclinical illness in 
immunocompromised with formation of latent 
tissue cysts which persist for life. 
• Acquired from ingestion of food contaminated by 
cat feces or undercooked meat. 
• Manifests when CD4+ cell count is below 100/μL. 
• Presents with headache, fever, drowsiness, fits, 
and focal neurological signs, retinitis may coexist. 
• MRI shows multiple ring enhanced lesions in 
cortical grey white matter. 
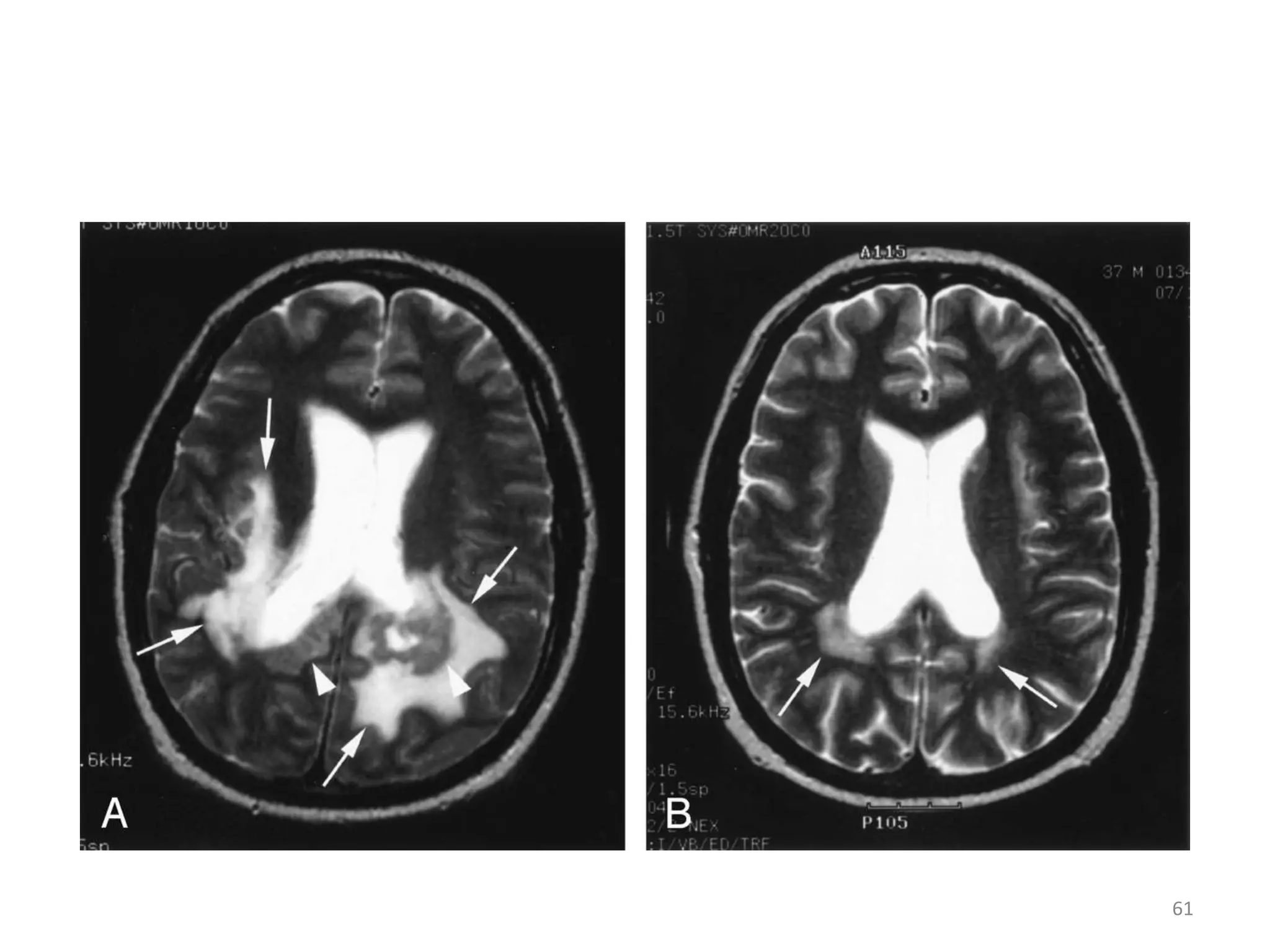
57
58
PROGRESSIVE MULTOFOCAL LEUCOENCEPHALOPATHY 
• Demyelinating disease caused by papavavirus. 
• Occurs at very low cd4+ counts 
• Presents with hemiperesis, visual/speech defects, 
altered mood,ataxia and seizures. 
• Diagnosis by MRI, viral particle detection in the CSF. 
59
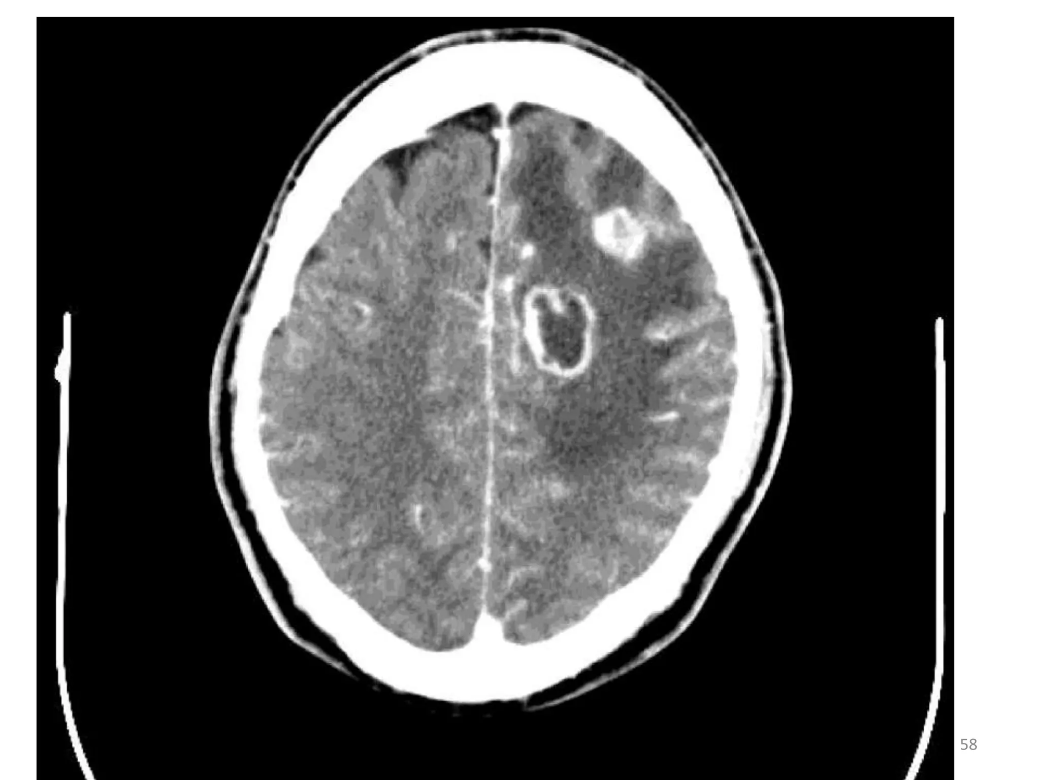
PRIMARY CNS LYMPHOMA: 
• These are high grade ,diffuse, B- cell lymphomas 
which occur in late stage HIV . 
• History is 2-8 weeks of headaches focal features 
and sometimes confusion; seizures occur in 15% 
but fever is absent. 
• Imaging demonstrates a large, single, 
homogeneously enhancing periventricular lesion 
with mild to moderate surrounding oedema and 
mass effect. 
• Biopsy is definitive, but carries a small risk of 
morbidity. 
60
61
HIV-ASSOCIATED ENCEPHALOPATHY 
• HIV is a neurotropic virus and infects the CNS 
early during infection. 
• Aseptic meningitis or encephalitis may occur 
at seroconversion, and minor cognitive defects 
such as mental slowness and poor memory 
may develop the disease progresses. 
62
• Dementia occurs in late disease and is 
characterised by global deterioration of 
cognitive function, severe psychomotor 
retardation, paraparesis, ataxia, and urinary 
and faecal incontinence. 
• Investigations show diffuse cerebral atrophy 
with widened sulci and enlarged ventricles on 
imaging, and a raised protein in the CSF. 
63
64
CRYPTOCOCCOSIS : 
• Caused by cryptococcus neoformans. 
• At risk when CD4+ count is < 200/μL. 
• Found in soil and spread through birds. 
• Infection through inhalation with rapid 
spread to the meninges. 
65
• Presents with headache, fever, drowsiness, 
confusion, photophobia, blurred vision and 
seizures. meningism and papilledema are 
usually absent. 
• MRI shows meningeal enhancement with 
evidence of raised ICP with occasion masses in 
the Basal ganglia. 
• Other tests are CSF analysis, blood 
investigations and urine and stool culture. 
66
SPINAL CORD, NERVE ROOT AND PERIPHERAL 
NERVE DISEASE: 
• Gullaian barre, transverse myelitis, facial palsy, 
brachial neuritis, polyradiculitis and peripheral 
neuropathy occur commonly in HIV infection. 
• Vocuolar myelopathy is a slowly progressive 
myelitis resulting in paraparesis with no sensory 
level. 
• Ataxia and incontinence occur in advanced cases. 
• Hyperaesthesia, pain in the soles of the feet and 
paraesthesia, with diminished pin-prick, light 
touch and vibration sensation, and loss of ankle 
reflexes (75%) are typical. 67
• Polyradiculitis occurs in late-stage HIV (CD4 
count < 50 cells/μL) and is nearly always a 
result of CMV. 
• It causes rapidly progressive flaccid 
paraparesis, saddle anesthesia, absent reflexes 
and sphincter dysfunction. 
68
RETINITIS: 
• Usually caused by cytomegalovirus. 
• At risk when CD4+ count < 50/μL. 
• Causes necrosis and hemorrhage in the retina. 
• Presents as sub acute history with flashing of 
lights, floaters, field defects and reduced 
visual acuity 
• On fundoscopy well demarcated hemorrhagic 
exudates along the vessels and the periphery 
are seen. 
69
70
PSYCHIATRIC DISEASE 
• Anxiety and mood disturbance may be caused by 
pre-test issues such as worries about being 
infected and disclosure, receiving a positive result. 
• Mild cognitive dysfunction is a common 
occurrence in later-stage disease and usually 
improves with HAART. 
• Disorders of mental state may also result from 
drugs directly (e.g. depression with efavirenz) or 
indirectly . 
71
DISEASES OF KIDNEY AND 
GENITOURINARY SYSTEM 
• Due to direct consequence of HIV infection, 
due to oppurtunistic infection , neoplasms or 
due to drug toxicity. 
• HIV associated nephropathy presents with 
proteinuria. 
• Edema and hypertension are rare. 
• Ultrasound examination shows enlarged and 
hyperechoic kidneys. 
• Definitive diagnosis is by renal biopsy. 
72
• Focal segmental glomerulosclerosis is seen in 
80% , and mesangial proliferation in 10-15 % of 
the cases. 
• Patients with HIV associated nephropathy 
should be treated for HIV infection regardless of 
the CD4+ cell count. 
• Drug induced toxicity is due to pentamidine, 
amphotericin B ,adefovir,tenofovir and 
foscarnet. 
• Cotrimoxazole may compete with tubular 
secretion of creatinine and cause its increase in 
the blood. 
73
• Genitourinary tract infections are seen with a high 
frequency in patients with HIV infection, 
• They present with dysuria, hematuria and pyuria. 
They may also present with skin lesions. 
• Vulvovaginal candidiasis is a common problem in 
women with HIV infection. 
• Symptoms include pruritis,discomfort, dyspareunia 
and dysuria. 
• Vulval infection presents as morbilliform rash that 
might extend upto the thighs. 
• Vaginal infection presents with white discharge and 
plaques may be seen along an erythematous 
vaginal wall. 
74
HAEMATOLOGICAL CONDITIONS 
• All the three cell lines are affected by HIV. 
• Anaemia is caused by bone marrow infiltration 
with oppurtunistic infections, neoplasms, bone 
marrow supression with drugs, as a direct affect 
of HIV, blood loss from Kaposi sarcoma or 
malabsorption as a result of a GI infection. 
• Leucopenia results from bone marrow infiltration 
or due to drug toxicity.lymphopenia is a good 
marker of HIV. 
• Thrombocytopenia occurs very early and may be 
the first indiactor of HIV in some cases. 
75
CANCERS IN HIV 
AIDS-Defining Virus 
• Kaposi’s Sarcoma HHV-8 
• Non-Hodgkin’s Lymphoma EBV, HHV8 
• (systemic and CNS) 
• Invasive Cervical Carcinoma HPV 
Non-AIDS Defining 
• Anal Cancer HPV 
• Hodgkin’s Disease EBV 
• Leiomyosarcoma (pediatric) EBV 
• Squamous Carcinoma (oral) HPV 
• Merkel cell Carcinoma MCV 
• Hepatoma HBV, HCV 
76
PATHOGENESIS 
• Many are virally-induced cancers, but not all. 
• Immune activation, inflammation and 
decreased immune surveillance. 
• HIV may activate cellular genes or proto-oncogenes 
or inhibit tumor suppressor genes. 
• HIV induces genetic instability. 
• Increase susceptibility to effects of carcinogens 
• Endothelial abnormalities may allow for cancer 
development. 
77
KAPOSI SARCOMA 
• Appearance: Oral lesions appear as reddish 
purple, raised or flat 
• Size ranges from small to extensive. 
• Behavior is unpredictable. 
• Cutaneous lesions present as purple non pruritic 
papules eapicially on the nose,legs and genitals 
and crease line distribution over the 
trunk.satellite lesion, brusing,local 
lymphadenopathy and edema are typical. 
78
• Oral and GI tract lesion present as purple 
raised lesions at palate, gums, oesophagus, 
stomach and large bowel. 
Hepatospleenomegaly may be present. 
• Pulmonary lesions present as breathlessness, 
cough,hemoptysis, chest pain and fever. 
79
80
81
• Definitive diagnosis: biopsy and histological 
examination. 
• No curative therapy-antiretroviral therapy, 
radiation treatment, chemotherapy and 
sclerosing agents have been, used to control 
oral lesions . 
82
AIDS-RELATED 
NON-HODGKIN’S LYMPHOMA 
• Small noncleaved-cell lymphoma 
– Burkitt’s lymphoma and Burkitt-like lymphoma 
• Immunoblastic lymphoma (primary CNS) 
• Diffuse large-cell lymphoma (90% CD20+) 
– Large noncleaved-cell lymphoma 
– CD30+ anaplastic large B-cell lymphoma 
• Plasmablastic lymphoma 
• Extranodal involvement 
– Central nervous system, liver, bone marrow, 
gastrointestinal system. 
83
84

Presenting problems in HIV infection

  • 1.
    PRESENTING PROBLEMS IN HIV INFECTION Dr Santosh K Mandya Institute of medical sciences 1
  • 2.
    • The clinicalconsequences of HIV infection encompass a spectrum ranging from an acute syndrome associated with primary infection through a prolonged asymptomatic state to an advanced disease. 2
  • 3.
    THE ACUTE HIVSYNDROME • 50-70% of individuals with HIV infection experience an acute clinical syndrome 3-6 weeks after primary infection. • The syndrome is typical of an acute viral syndrome . • Symptoms persist for one to several weeks and gradually subside as an immune response to HIV develops. 3
  • 4.
  • 5.
  • 6.
    • Lymphadenopathy occursin -70% of individuals with primary HIV infection. • Most patients recover spontaneously from this syndrome . • Primary infection with or without the acute syndrome is followed by a prolonged period of clinical latency. 6
  • 7.
    THE ASYMPTOMATIC STAGE-CLINICAL LATENCY • The median time of the asymptomatic stage for untreated patients is about 10 years. • HIV disease with active virus replication is ongoing and progressive during this asymptomatic period. • The rate of disease progression is directly correlated with HIV RNA levels. • Some patients referred to as long-term non-progressors show little decline in CD4+ T cell counts over extended periods of time. 7
  • 8.
    • During theasymptomatic period of HIV infection, the average rate of CD4+ T cell decline is ~50/μL per year. • When the CD4+ T cell count falls to <200/μL, the resulting state of immunodeficiency is severe enough to place the patient at high risk for opportunistic infection and neoplasms . 8
  • 9.
  • 10.
    SYMPTOMATIC DISEASE •Diagnosis of AIDS is made in anyone with HIV infection and a CD4+ T cell count <200/ μL . • Symptoms of HIV disease can appear at any time during the course of HIV infection. • severe and life-threatening complications of HIV infection occur in patients with CD4+ T cell counts <200/μL . 10
  • 11.
    DISEASES OF THERESPIRATORY SYSTEM • Acute bronchitis and sinusitis are prevalent during all stages of HIV infection. • Sinusitis presents as fever, nasal congestion, and headache. • The maxillary sinuses are most commonly involved; however, ethmoid, sphenoid, and frontal sinuses are also frequently involved. 11
  • 12.
    • High incidenceof sinusitis results from an increased frequency of infection with encapsulated organisms such as H. influenzae and Streptococcus pneumoniae. • patients with low CD4+ T cell counts may have mucormycosis infections of the sinuses. 12
  • 13.
    PNEUMONIA • Themost common manifestation of Pulmonary disease is pneumonia. • S. pneumoniae and H. influenzae are responsible for most cases of bacterial pneumonia in patients with AIDS. • Consequence of altered B cell function and/or defects in neutrophil function secondary to HIV disease. • Pneumonias due to S. aureus and P. aeruginosa also occur with an increased frequency in patients with HIV infection. 13
  • 14.
    • Patients withuntreated HIV infection have a six fold increase in the incidence of pneumococcal pneumonia and a 100-fold increase in the incidence of pneumococcal bacteremia. • inflammatory response to pneumococcal infection is proportional to the CD4+ T cell count. • Due to this high risk of pneumococcal disease, immunization with pneumococcal polysaccharide is generally recommended. 14
  • 15.
    PNEUMOCYSTIS JIROVECI INFECTION • PNEUMOCYSTIS Pneumonia (PCP) was once the hallmark of AIDS. • single most common cause of pneumonia in patients with HIV and is likely the etiologic agent in 25% of cases of pneumonia in patients with HIV infection. 15
  • 16.
    • PCP presentswith non productive cough or with scanty white sputum production. • Patients complain of characteristic retrosternal chest pain , described as sharp or burning type, and worsens on inspiration. • The disease usually has an indolent course with weeks of vague symptoms. 16
  • 17.
    • Patients receivingaerosolized pentamidine for prophylaxis against PCP, show a variety of extra pulmonary infections. • Otic involvement may present as a polypoid mass involving the external auditory canal. • Others include ophthalmic lesions of the choroid, necrotizing vasculitis , bone marrow hypoplasia, and intestinal obstruction. • Other organs involved include lymph nodes, spleen, liver, kidney, pancreas, pericardium, heart, thyroid, and adrenals. 17
  • 18.
  • 19.
    TUBERCULOSIS • Worldwide1/3rd of the AIDS related deaths are associated with TB. • Patients with HIV infection are more likely to have active TB by a factor of 100. • Active TB often develops relatively early in the course of HIV infection and may be an early clinical sign of HIV disease. 19
  • 20.
    • The clinicalmanifestations of TB in HIV-infected patients are quite varied and generally show different patterns as a function of the CD4+ T count. • In patients with relatively high CD4+ T cell counts, the typical pattern of pulmonary reactivation occurs. • Patients present with fever, cough, dyspnea on exertion, weight loss, night sweats, and a chest x-ray revealing cavitary apical disease of the upper lobes. 20
  • 21.
    • In patientswith lower CD4+ T cell counts, disseminated disease is more common. • In these patients the chest x-ray may reveal diffuse or lower lobe bilateral reticulonodular infiltrates consistent with miliary spread, pleural effusions, and hilar or mediastinal adenopathy. • Infection may be present in bone, brain, meninges, GI tract, lymph nodes and viscera. 21
  • 22.
    ATYPICAL MYCOBACTERIAL INFECTION • Atypical mycobacterial infections are also seen with an increased frequency in patients with HIV infection. • MAC infection is a late complication of HIV infection, occurring predominantly in patients with CD4+ T cell counts of <50/μL. • The most common atypical mycobacterial infection is with M. avium or M. intracellulare species—the Mycobacterium avium complex (MAC). 22
  • 23.
    • Prior infectionwith M. tuberculosis decreases the risk of MAC infection. • MAC infections arise from organisms that are ubiquitous in the environment, including both soil and water. • There is also evidence for person-to-person transmission of MAC infection. • The presumed portals of entry are the respiratory and GI tract. 23
  • 24.
    • common presentationis disseminated disease with fever, weight loss, and night sweats,abdominal pain, diarrhea, and lymphadenopathy. • Bilateral, lower lobe infiltrate suggestive of miliary spread. • Alveolar or nodular infiltrates and hilar and/or mediastinal adenopathy can also occur. • Anemia and elevated liver alkaline phosphatase are common. 24
  • 25.
  • 26.
    OTHER RESPIRATORY INFECTIONS • Rhodococcus equi is a gram positive, pleomorphic, acid fast non- spore forming bacillus that can cause pulmonary and disseminated infection in HIV infected patients. • Fever and cough with expectoration are the common presenting complaints. • X-ray shows cavitary lesions and consolidation. 26
  • 27.
    • Coccidioides immitisis a mould that is endemic in the southwest United States. • It can cause a reactivation pulmonary syndrome in patients with HIV infection. • Most patients with this condition will have CD4+ T cell counts <250/4. • Patients present with fever, weight loss, cough, and extensive, diffuse reticulonodular infiltrates on chest x-ray. • Nodules, cavities, pleural effusions, and hilar adenopathy are also seen. 27
  • 28.
    • Invasive aspergillosisis not an AIDS-defining illness and is generally not seen in patients with AIDS in the absence of neutropenia or administration of glucocorticoids. • Presents as pseudomembranous tracheobronchitis. • Primary pulmonary infection of the lung may be seen with histoplasmosis. 28
  • 29.
  • 30.
    IDOPATHIC INTERSTITIAL PNEUMONIA • Two forms of idiopathic interstitial pneumonia: a)lymphoid interstitial pneumonitis (LIP) b)nonspecific interstitial pneumonitis (NIP). • LIP is a common finding in children. • This disorder is characterized by a benign infiltrate of the lung and is due to the polyclonal activation of lymphocytes. • Transbronchial biopsy is diagnostic . 30
  • 31.
    DISEASES OF THECARDIOVASCULAR SYSTEM • Heart disease is a common postmortem finding in HIV infected person. • The most common heart disease is coronary heart disease. • Cardiovascular disease may result from the classical risk factors, a direct consequence of HIV infection or as a result of ART. 31
  • 32.
    • Patients withHIV infection have higher levels of triglycerides and lower levels of LDLs . • Pathogenesis is likely related to the immune activation and increased propensity for coagulation seen as a consequence of HIV replication. • Exposure to HIV protease inhibitors and certain reverse transcriptase inhibitors has been associated with increase in total cholesterol. 32
  • 33.
    • Dilated cardiomyopathyassociated with congestive heart failure (CHF)in a HIV infected patient is referred to as HIV-associated cardiomyopathy. • Generally occurs as a late complication of HIV infection and, histologically, displays elements of myocarditis. • HIV can be directly demonstrated in cardiac tissue in this setting. • Patients present with typical findings of CHF including edema and shortness of breath. 33
  • 34.
    • Patients mayalso develop cardiomyopathy as side effects of IFN-α or nucleoside analogue therapy. • KS, cryptococcosis, Chagas' disease, and toxoplasmosis can involve the myocardium, leading to cardiomyopathy. • Pericardial effusions may be seen in the setting of advanced HIV infection. Predisposing factors include TB, CHF, mycobacterial infection, cryptococcal infection, pulmonary infection, lymphoma, and KS. 34
  • 35.
    MUCOCUTANEOUS DISEASES •Mucocutaneous manifestations are common in HIV . 35
  • 36.
  • 37.
    • Dermatophyte infectioninvolving skin hairs and nails is common . • 80% of the patients present with seborrhoeic dermatitis. • It presents as dry scaly erythematous plaques on the face. • M. furfur is the important causative organism. 37
  • 38.
  • 39.
    • Major viralinfections affecting the skin are herpes zoster (VZV), human papillomavirus (HPV) and molluscum contagiosum. • Herpes simplex (type 1 or 2): Affect the lips, mouth and skin or anogenital area .  In later-stage HIV, the lesions are usually chronic, extensive, harder to treat and recurrent.  Persistent and severe anogenital ulceration is usually herpetic and a marker for underlying HIV. 39
  • 40.
  • 41.
    Varicella zoster: •Presents with a dermatomal vesicular rash on an erythematous base. • It can occur at any stage but is more frequent with failing immunity. • The rash may be severe, multidermatomal, persistent or recurrent, or may become disseminated. • Diagnosis of herpetic lesion can be confirmed by culture, smear preparations ,characteristic inclusion bodies . 41
  • 42.
    • HPV infectionis usually anogenital. • Warts on hands and feet are also common. • Molluscum contagiosum is found in about 10% of the HIV infected patients. They present with papules with central umbilications involving the face , neck and scalp region. • Scabies may cause intensely prutitic encrusted papules ( NORWEGIAN Scabies)with secondary infection affecting almost the whole of the body. 42
  • 43.
  • 44.
  • 45.
    CANDIDIASIS: • Almostexclusively mucosal, affecting nearly all patients with CD4 counts < 200/μL . Nearly always caused by C. albicans. • Pseudo membranous candidiasis presents as white patches on the buccal mucosa that can be scraped off to reveal a red raw surface . • Tongue, palate and pharynx are involved. • Hypertrophic candidiasis (leucoplakia-like lesions which do not scrape off but respond to antifungal treatment) and angular cheilitis may also be present. 45
  • 46.
    Oral Candidiasis ClinicalTypes Erythematous Pseudomembranous Angular Cheilitis 46
  • 47.
    • Esophageal infectionmay coexist. • Up to 80% of patients with pain on swallowing have Candida esophagitis with pseudo membranous plaques visible on barium swallow and endoscopy . • The pain is usually associated with dysphagia and, when untreated, leads to weight loss. 47
  • 48.
  • 49.
    ORAL HAIRY LEUCOPLAKIA: • Appears as white plaques running vertically on the sides of the tongue. • EBV is implicated as the causative factor. • Usually asymptomatic and doesn’t require any treatment. 49
  • 50.
  • 51.
    GASTROINTESTINAL DISEASES •Pain on swallowing, weight loss and chronic diarrhoea are common in the later stage of HIV infection. • A range of opportunistic infections and tumours are also responsible for these symptoms. 51
  • 52.
    CYTOMEGALOVIRUS: • Isonly seen if the CD4+ count is less than 100/μL. • Mainly affects the esophagus but may involve the whole of the GIT. • Presents as gradual onset of localized pain on swallowing, retrosternal pain, dysphagia, fever , weight loss, watery diarrhoea accompanied with blood and colicky abdominal pain. • Diagnosed by endoscopy, blood investigations and tissue biopsy. 52
  • 53.
    CRYPTOSPORIDIUM AND MICROSPORIDIUM: • These are contagious zoonotic protozoal enteric pathogens. • They account for 20% of the cases of diarrhoea in HIV infected individuals. • Present as acute or sub acute onset of large volume watery stools, vomiting and weight loss. • Diagnosed by stool sample examination. • Other protozoal infections include isospora, cyclospora, cryptosporidium, Giardia and Entamoeba hystolytica. 53
  • 54.
    LIVER DISEASE HEPATITISB: • Majority of HIV infection individuals show evidence of HBV exposure. • HBV carriage rate depends on the mode of acquisition, place of birth and ethnic group , immunization history. • Although HBV co-infected patients have more aggressive disease, the immunosuppression seen in more advanced HIV affords some protection to the liver. • Treatment with antivirals should be considered for all patients who have active viral replication or evidence of inflammation, fibrosis or scarring on biopsy. 54
  • 55.
    HEPATITIS C •Most patients with HCV acquire their infection from injection drug use . • Only 15-20% of patients ever clear their initial infection. • HIV treatment is usually initiated first to optimize the CD4 count to 350 cells/mm3. • Because of interactions with ribavirin, some nucleotide reverse transcriptase inhibitors (ZDV, didanosine and possibly abacavir) should be avoided if HAART is being co-administered. 55
  • 56.
    NERVOUS SYSTEM ANDEYE DISEASES • Diseases of the central and peripheral nervous system are common in HIV. • This may be as a direct result of HIV infection or as an indirect result of CD4+ cell depletion. 56
  • 57.
    TOXOPLASMA GONDII: •Results in mild subclinical illness in immunocompromised with formation of latent tissue cysts which persist for life. • Acquired from ingestion of food contaminated by cat feces or undercooked meat. • Manifests when CD4+ cell count is below 100/μL. • Presents with headache, fever, drowsiness, fits, and focal neurological signs, retinitis may coexist. • MRI shows multiple ring enhanced lesions in cortical grey white matter. 57
  • 58.
  • 59.
    PROGRESSIVE MULTOFOCAL LEUCOENCEPHALOPATHY • Demyelinating disease caused by papavavirus. • Occurs at very low cd4+ counts • Presents with hemiperesis, visual/speech defects, altered mood,ataxia and seizures. • Diagnosis by MRI, viral particle detection in the CSF. 59
  • 60.
    PRIMARY CNS LYMPHOMA: • These are high grade ,diffuse, B- cell lymphomas which occur in late stage HIV . • History is 2-8 weeks of headaches focal features and sometimes confusion; seizures occur in 15% but fever is absent. • Imaging demonstrates a large, single, homogeneously enhancing periventricular lesion with mild to moderate surrounding oedema and mass effect. • Biopsy is definitive, but carries a small risk of morbidity. 60
  • 61.
  • 62.
    HIV-ASSOCIATED ENCEPHALOPATHY •HIV is a neurotropic virus and infects the CNS early during infection. • Aseptic meningitis or encephalitis may occur at seroconversion, and minor cognitive defects such as mental slowness and poor memory may develop the disease progresses. 62
  • 63.
    • Dementia occursin late disease and is characterised by global deterioration of cognitive function, severe psychomotor retardation, paraparesis, ataxia, and urinary and faecal incontinence. • Investigations show diffuse cerebral atrophy with widened sulci and enlarged ventricles on imaging, and a raised protein in the CSF. 63
  • 64.
  • 65.
    CRYPTOCOCCOSIS : •Caused by cryptococcus neoformans. • At risk when CD4+ count is < 200/μL. • Found in soil and spread through birds. • Infection through inhalation with rapid spread to the meninges. 65
  • 66.
    • Presents withheadache, fever, drowsiness, confusion, photophobia, blurred vision and seizures. meningism and papilledema are usually absent. • MRI shows meningeal enhancement with evidence of raised ICP with occasion masses in the Basal ganglia. • Other tests are CSF analysis, blood investigations and urine and stool culture. 66
  • 67.
    SPINAL CORD, NERVEROOT AND PERIPHERAL NERVE DISEASE: • Gullaian barre, transverse myelitis, facial palsy, brachial neuritis, polyradiculitis and peripheral neuropathy occur commonly in HIV infection. • Vocuolar myelopathy is a slowly progressive myelitis resulting in paraparesis with no sensory level. • Ataxia and incontinence occur in advanced cases. • Hyperaesthesia, pain in the soles of the feet and paraesthesia, with diminished pin-prick, light touch and vibration sensation, and loss of ankle reflexes (75%) are typical. 67
  • 68.
    • Polyradiculitis occursin late-stage HIV (CD4 count < 50 cells/μL) and is nearly always a result of CMV. • It causes rapidly progressive flaccid paraparesis, saddle anesthesia, absent reflexes and sphincter dysfunction. 68
  • 69.
    RETINITIS: • Usuallycaused by cytomegalovirus. • At risk when CD4+ count < 50/μL. • Causes necrosis and hemorrhage in the retina. • Presents as sub acute history with flashing of lights, floaters, field defects and reduced visual acuity • On fundoscopy well demarcated hemorrhagic exudates along the vessels and the periphery are seen. 69
  • 70.
  • 71.
    PSYCHIATRIC DISEASE •Anxiety and mood disturbance may be caused by pre-test issues such as worries about being infected and disclosure, receiving a positive result. • Mild cognitive dysfunction is a common occurrence in later-stage disease and usually improves with HAART. • Disorders of mental state may also result from drugs directly (e.g. depression with efavirenz) or indirectly . 71
  • 72.
    DISEASES OF KIDNEYAND GENITOURINARY SYSTEM • Due to direct consequence of HIV infection, due to oppurtunistic infection , neoplasms or due to drug toxicity. • HIV associated nephropathy presents with proteinuria. • Edema and hypertension are rare. • Ultrasound examination shows enlarged and hyperechoic kidneys. • Definitive diagnosis is by renal biopsy. 72
  • 73.
    • Focal segmentalglomerulosclerosis is seen in 80% , and mesangial proliferation in 10-15 % of the cases. • Patients with HIV associated nephropathy should be treated for HIV infection regardless of the CD4+ cell count. • Drug induced toxicity is due to pentamidine, amphotericin B ,adefovir,tenofovir and foscarnet. • Cotrimoxazole may compete with tubular secretion of creatinine and cause its increase in the blood. 73
  • 74.
    • Genitourinary tractinfections are seen with a high frequency in patients with HIV infection, • They present with dysuria, hematuria and pyuria. They may also present with skin lesions. • Vulvovaginal candidiasis is a common problem in women with HIV infection. • Symptoms include pruritis,discomfort, dyspareunia and dysuria. • Vulval infection presents as morbilliform rash that might extend upto the thighs. • Vaginal infection presents with white discharge and plaques may be seen along an erythematous vaginal wall. 74
  • 75.
    HAEMATOLOGICAL CONDITIONS •All the three cell lines are affected by HIV. • Anaemia is caused by bone marrow infiltration with oppurtunistic infections, neoplasms, bone marrow supression with drugs, as a direct affect of HIV, blood loss from Kaposi sarcoma or malabsorption as a result of a GI infection. • Leucopenia results from bone marrow infiltration or due to drug toxicity.lymphopenia is a good marker of HIV. • Thrombocytopenia occurs very early and may be the first indiactor of HIV in some cases. 75
  • 76.
    CANCERS IN HIV AIDS-Defining Virus • Kaposi’s Sarcoma HHV-8 • Non-Hodgkin’s Lymphoma EBV, HHV8 • (systemic and CNS) • Invasive Cervical Carcinoma HPV Non-AIDS Defining • Anal Cancer HPV • Hodgkin’s Disease EBV • Leiomyosarcoma (pediatric) EBV • Squamous Carcinoma (oral) HPV • Merkel cell Carcinoma MCV • Hepatoma HBV, HCV 76
  • 77.
    PATHOGENESIS • Manyare virally-induced cancers, but not all. • Immune activation, inflammation and decreased immune surveillance. • HIV may activate cellular genes or proto-oncogenes or inhibit tumor suppressor genes. • HIV induces genetic instability. • Increase susceptibility to effects of carcinogens • Endothelial abnormalities may allow for cancer development. 77
  • 78.
    KAPOSI SARCOMA •Appearance: Oral lesions appear as reddish purple, raised or flat • Size ranges from small to extensive. • Behavior is unpredictable. • Cutaneous lesions present as purple non pruritic papules eapicially on the nose,legs and genitals and crease line distribution over the trunk.satellite lesion, brusing,local lymphadenopathy and edema are typical. 78
  • 79.
    • Oral andGI tract lesion present as purple raised lesions at palate, gums, oesophagus, stomach and large bowel. Hepatospleenomegaly may be present. • Pulmonary lesions present as breathlessness, cough,hemoptysis, chest pain and fever. 79
  • 80.
  • 81.
  • 82.
    • Definitive diagnosis:biopsy and histological examination. • No curative therapy-antiretroviral therapy, radiation treatment, chemotherapy and sclerosing agents have been, used to control oral lesions . 82
  • 83.
    AIDS-RELATED NON-HODGKIN’S LYMPHOMA • Small noncleaved-cell lymphoma – Burkitt’s lymphoma and Burkitt-like lymphoma • Immunoblastic lymphoma (primary CNS) • Diffuse large-cell lymphoma (90% CD20+) – Large noncleaved-cell lymphoma – CD30+ anaplastic large B-cell lymphoma • Plasmablastic lymphoma • Extranodal involvement – Central nervous system, liver, bone marrow, gastrointestinal system. 83
  • 84.

Editor's Notes

  • #14  Patients with HIV infection are particularly prone to infections with encapsulated organisms.
  • #15 This is likely most effective if given while the CD4+ T cell count is >200/4, and, if given to patients with lower CD4+ T cell counts, should be repeated once the count has been above 200 for 6 months. Although clear guidelines do not exist, it also makes sense to repeat immunization every 5 years. The incidence of bacterial a pneumonia is cut in half when patients quit smoking.
  • #18 . The standard treatment for PCP or disseminated pneumocystosis is trimetlaoprim/sulfamethoxazole (TMP/SMX). A high (20-85%) incidence of side effects, particularly skin rash and bone marrow suppression, is seen -with TMP/SIVIX in patients with HIV infection. Alternative treatments for mild to moderate PCP include dapsone/ trimethoprim, clindamycin/primaquine, and atovaquone. IV pentamidine is the treatment of choice for severe disease in the patient unable to tolerate TMP/SMX
  • #19 X ray revealing bilateral, predominantly central, granular opacities and 3 thin-walled air-containing cysts (pneumatoceles) (arrows). This combination of findings is strongly suggestive of Pneumocystis jiroveci pneumonia, which was microscopically confirmed by examination of bronchoalveolar lavage fluid.
  • #26 focal consolidation CXR (left), diffuse patchy infiltrates and cavities (right). The features resemble Mycobacterium tuberculosis ,nonspecific and the diagnosis is often delayed
  • #39 Seborrhic dermatitis in a HIV infected patient presenting as itchy erythematous irregular papules and plaques over the shoulder and the chest.
  • #44 Multiple fluid filled vescicles and papules with central umbilications
  • #45 intensely prutitic encrusted papules in interdigital region containing millions of scabies mites. ( NORWEGIAN Scabies)
  • #47 Ronald Mitsuyasu - Epi 227 - 3 May 2013
  • #49 Pseudo membranous candidiasis presents as white patches that can be scraped off to reveal a red raw surface .
  • #51 white plaques running vertically on the sides of the tongue.
  • #59 T1 weighted MRI scan demonstrates peripheral enhancing lesion in the right frontal lobe with an eccentric nodular area of enhancement. ACCENTRIC TARGET SIGN
  • #62 homogeneously enhancing periventricular lesion with mild to moderate surrounding oedema.
  • #71 TOMATO SAUCE FUNDUS