Pneumonia
Monika Shah, MD
Definitions/Classifications
• Community acquired pneumonia (CAP)
– Occurs in someone who is previously healthy and not in
hospital/facility setting > 2 weeks
• Hospital acquired pneumonia (HAP)
– Occurs > 48 hours after admission
• Healthcare associated pneumonia (HCAP)
– Intravenous therapy, wound care, or intravenous chemotherapy;
or outpatient clinic or hemodialysis visit within the prior 30 days
– Residence in a nursing home or other long-term care facility
– Hospitalization in an acute care hospital for two or more days
within the prior 90 days
• Ventilator-associated pneumonia (VAP)
– 48 to 72 hours after intubation
Case 1
• 32 yo with h/o seasonal allergies, two week
history of low grade fevers, fatigue and
myalgias. Some mild DOE and non-productive
cough. Rest and antihistamines have not
helped.
• Exam: tired appearing, coughing, T-37.7 C, R-
20, HR-90, BP 120/70; 02 sat 100% RA, Lungs-
scattered rales
Ambulatory CAP
• Pathogens are….
• Treatment is….
Pathogens-CAP
LA Mandell, et al. Clin Infect Dis 2007.
The respiratory PCR panel at MSKCC,
more than viruses
Treatment—ambulatory CAP
• Otherwise healthy adult
– Macrolide (Z pack) or doxycyline (100 mg po bid x 7d)
– Caution: pneumococci may be resistant
• Adults with co-morbid conditions or recent abx
exposure within past 90 days
– Respiratory fluoroquinolone (levofloxacin, moxifloxacin) x
5 days
– Beta lactam plus macrolide (ex: cefuroxime or augmentin
for 7 days plus Z pack)
– For both macrolide and quinolone…watch QTc
– If QTc prolongation, consider doxycyline plus amoxicillin
Patient comes in with this also
• What is the microbiological diagnosis?
Case 2
• 52 yo woman with well controlled HIV, CD4
300s, VL undetectable on stable therapy.
Brought in by family due to illness on vacation
in PA. Feeling unwell prior to trip, during trip
developed subj fevers/chills, headache, cough
that later became productive of yellow
sputum, also with pleuritic CP
• PE: weak, T 36.7 -> 38.7 C, BP 99/65, RR 24*,
HR 92; Lungs rhonchi with egophony in RLL
• WBC 0.8, Hgb 8, Plt 75 (all were normal 2 mos
prior); INR 1.75; Creat 0.8; AST 108; ALT 86
Disposition?
• Admit or not?
• ICU or not?
• Are there criteria?
Severity and prognostication scoring
LA Mandell, et al. Clin Infect Dis 2007.
Treatment
• What would you choose?
CAP Empiric Inpatient Rx
LA Mandell, et al. Clin Infect Dis 2007.
At MSK (see AMP website)
• At MSK (see AMP guidelines):
Inpatient, non-ICU
• CTX 1 gm iv daily for 5-7 d, Azithro 500 mg iv/po for 3 days OR
Levofloxacin 750 mg iv/po daily for 5 days
Inpatient, ICU
• Pip/tazo (Zosyn) 4.5 gm iv q 6h or Cefepime 2 gm iv q 8-12 hr for 5-
7 day
PLUS
• Azithro 500 mg iv/po for 3 days
PLUS/MINUS
• Vancomycin 1 gm iv q 12h for 5-7 days (stop if MRSA surveillance is
negative)
https://one.mskcc.org/sites/pub/corp/amp/Pages/default.aspx
What additional tests do you want?
Evolution
• Increasing O2 and fluid requirements (BP)
• Transferred to ICU; intubated and on 100%
FI02 within 24 hours of admission
• Do you add any antibiotics?
• 48 hours later…more data returns
Diagnosis and Treatment
Legionella treatment—quinolones vs macrolides (watch QTc for both)
Legionella at MSKCC
• Can cavitate in the immunocompromised host
• Urine antigen detects only Type I (pneumophilia),
which represents 95% of clinically significant
Legionella isolates
• The problem is: we see the other 5% here at
MSKCC
• Remember the micro lab: fastidious organisms
often have different growth requirements
This cavitary lung nodule was biopsied in a 19 yo patient
with a h/o Fanconi’s anemia, s/p MUD BMT, acute
history of fever and pleuritic CP. Biopsy done, path foamy
histiocytes and culture positive for GNR in buffered CYE
Agar, subsequently ID’d as L. jordanii.
Case 3
• 20 yo previously healthy, one week of high
fevers, chills, sweats, cough, multifocal
rhonchi and rales
• Influenza A positive
• Treated with oseltamivir, CTX and
azithromycin
• No improvement in 4 days
• Day 5: Persistent fevers 39.3, progressively
hypoxic 2L NC to 50% FM in 24 hrs
What else?
Post influenza pneumonia
• Influenza
• S. pneumoniae
• S. aureus (MSSA and MRSA)
• H. influenzae
MRSA
• CA-MRSA vs HA-MRSA
• CA-MRSA strains can be genetically distinct
– Type IV sccMECa, PVL gene
– Treatment: vancomycin or linezolid
• Other MRSA abx
– Bactrim
– Clindamycin
– Doxycycline
– Tigecycline
– Ceftaroline
– Daptomycin (cannot use in lungs)
Patterns and etiologies of types of failure to respond.
Lionel A. Mandell et al. Clin Infect Dis. 2007;44:S27-S72
© 2007 by the Infectious Diseases Society of America
Epidemiologic conditions and/or risk factors related to specific pathogens in community-
acquired pneumonia.
Lionel A. Mandell et al. Clin Infect Dis. 2007;44:S27-S72
© 2007 by the Infectious Diseases Society of America
Recommended antimicrobial therapy for specific pathogens.
Lionel A. Mandell et al. Clin Infect Dis. 2007;44:S27-S72
© 2007 by the Infectious Diseases Society of America
Prevention
• Remember to vaccinate your
inpatients/outpatients when appropriate
• CDC guidelines…
Vaccine schedules
http://www.cdc.gov/vaccines/schedules/hcp/i
mz/adult-conditions.html
Case 4
• 55 yo man h/o PCK Disease, s/p renal
transplant 20 years prior on stable
immunosuppression; h/o never treated Hep C;
• Fam hx: two brothers with diffuse gastric ca
• Patient found to have CDH1 mutation
• Undergoes prophylactic robotic gastrectomy
Post op course
• Ileus, SBO and wound dehiscence
• Taken back to OR for ex-lap and wound
debrided
• Shortly after extubation, developed SOB
• Upon re-intubation, found to have bilious
secretions from tracheo-bronchial tree
HAP/VAP Diagnosis
• Sample lower resp tract secretions
• If effusion, try to tap
• Remember blood cultures
Numbers and Percentages of Microorganisms Responsible for 135 Episodes of Ventilator-
Associated Pneumonia Classified According to the Duration of Mechanical Ventilation (MV)
and Prior Antibiotic Therapy (ATB).
Antoni Torres et al. Clin Infect Dis. 2010;51:S48-S53
© 2010 by the Infectious Diseases Society of America
Our patient
• Transferred to ICU, vented
• Empirically started on vancomycin and zosyn
(as per our local guidelines)
• Underwent bronchoscopy
Our patient
Antibiotic modification: zosyn discontinued, vancomycin
discontinued; imipenem started
Despite this and aggressive supportive care, patient with
progressive decline
Final thoughts…
• MDR pathogens
– Difficult to treat
– Sometimes esoteric combinations or extended
infusions or even aerosolized therapies
– Some newer abx (finally)
QUESTIONS?: Call ID

Pneumonia ty boot camp

  • 1.
  • 2.
    Definitions/Classifications • Community acquiredpneumonia (CAP) – Occurs in someone who is previously healthy and not in hospital/facility setting > 2 weeks • Hospital acquired pneumonia (HAP) – Occurs > 48 hours after admission • Healthcare associated pneumonia (HCAP) – Intravenous therapy, wound care, or intravenous chemotherapy; or outpatient clinic or hemodialysis visit within the prior 30 days – Residence in a nursing home or other long-term care facility – Hospitalization in an acute care hospital for two or more days within the prior 90 days • Ventilator-associated pneumonia (VAP) – 48 to 72 hours after intubation
  • 3.
    Case 1 • 32yo with h/o seasonal allergies, two week history of low grade fevers, fatigue and myalgias. Some mild DOE and non-productive cough. Rest and antihistamines have not helped. • Exam: tired appearing, coughing, T-37.7 C, R- 20, HR-90, BP 120/70; 02 sat 100% RA, Lungs- scattered rales
  • 5.
    Ambulatory CAP • Pathogensare…. • Treatment is….
  • 6.
    Pathogens-CAP LA Mandell, etal. Clin Infect Dis 2007.
  • 7.
    The respiratory PCRpanel at MSKCC, more than viruses
  • 8.
    Treatment—ambulatory CAP • Otherwisehealthy adult – Macrolide (Z pack) or doxycyline (100 mg po bid x 7d) – Caution: pneumococci may be resistant • Adults with co-morbid conditions or recent abx exposure within past 90 days – Respiratory fluoroquinolone (levofloxacin, moxifloxacin) x 5 days – Beta lactam plus macrolide (ex: cefuroxime or augmentin for 7 days plus Z pack) – For both macrolide and quinolone…watch QTc – If QTc prolongation, consider doxycyline plus amoxicillin
  • 9.
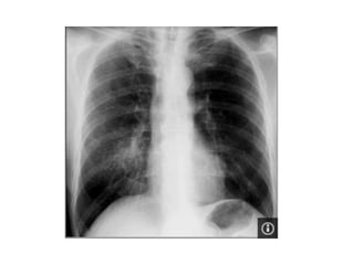
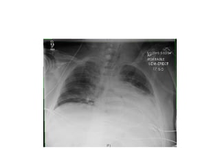
    Patient comes inwith this also • What is the microbiological diagnosis?
  • 10.
    Case 2 • 52yo woman with well controlled HIV, CD4 300s, VL undetectable on stable therapy. Brought in by family due to illness on vacation in PA. Feeling unwell prior to trip, during trip developed subj fevers/chills, headache, cough that later became productive of yellow sputum, also with pleuritic CP • PE: weak, T 36.7 -> 38.7 C, BP 99/65, RR 24*, HR 92; Lungs rhonchi with egophony in RLL
  • 11.
    • WBC 0.8,Hgb 8, Plt 75 (all were normal 2 mos prior); INR 1.75; Creat 0.8; AST 108; ALT 86
  • 13.
    Disposition? • Admit ornot? • ICU or not? • Are there criteria?
  • 14.
    Severity and prognosticationscoring LA Mandell, et al. Clin Infect Dis 2007.
  • 15.
  • 16.
    CAP Empiric InpatientRx LA Mandell, et al. Clin Infect Dis 2007.
  • 17.
    At MSK (seeAMP website) • At MSK (see AMP guidelines): Inpatient, non-ICU • CTX 1 gm iv daily for 5-7 d, Azithro 500 mg iv/po for 3 days OR Levofloxacin 750 mg iv/po daily for 5 days Inpatient, ICU • Pip/tazo (Zosyn) 4.5 gm iv q 6h or Cefepime 2 gm iv q 8-12 hr for 5- 7 day PLUS • Azithro 500 mg iv/po for 3 days PLUS/MINUS • Vancomycin 1 gm iv q 12h for 5-7 days (stop if MRSA surveillance is negative) https://one.mskcc.org/sites/pub/corp/amp/Pages/default.aspx
  • 18.
  • 19.
    Evolution • Increasing O2and fluid requirements (BP) • Transferred to ICU; intubated and on 100% FI02 within 24 hours of admission • Do you add any antibiotics? • 48 hours later…more data returns
  • 20.
    Diagnosis and Treatment Legionellatreatment—quinolones vs macrolides (watch QTc for both)
  • 21.
    Legionella at MSKCC •Can cavitate in the immunocompromised host • Urine antigen detects only Type I (pneumophilia), which represents 95% of clinically significant Legionella isolates • The problem is: we see the other 5% here at MSKCC • Remember the micro lab: fastidious organisms often have different growth requirements
  • 22.
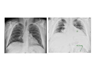
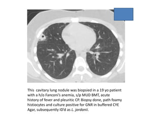
    This cavitary lungnodule was biopsied in a 19 yo patient with a h/o Fanconi’s anemia, s/p MUD BMT, acute history of fever and pleuritic CP. Biopsy done, path foamy histiocytes and culture positive for GNR in buffered CYE Agar, subsequently ID’d as L. jordanii.
  • 23.
    Case 3 • 20yo previously healthy, one week of high fevers, chills, sweats, cough, multifocal rhonchi and rales • Influenza A positive • Treated with oseltamivir, CTX and azithromycin • No improvement in 4 days • Day 5: Persistent fevers 39.3, progressively hypoxic 2L NC to 50% FM in 24 hrs
  • 24.
  • 25.
    Post influenza pneumonia •Influenza • S. pneumoniae • S. aureus (MSSA and MRSA) • H. influenzae
  • 26.
    MRSA • CA-MRSA vsHA-MRSA • CA-MRSA strains can be genetically distinct – Type IV sccMECa, PVL gene – Treatment: vancomycin or linezolid • Other MRSA abx – Bactrim – Clindamycin – Doxycycline – Tigecycline – Ceftaroline – Daptomycin (cannot use in lungs)
  • 27.
    Patterns and etiologiesof types of failure to respond. Lionel A. Mandell et al. Clin Infect Dis. 2007;44:S27-S72 © 2007 by the Infectious Diseases Society of America
  • 28.
    Epidemiologic conditions and/orrisk factors related to specific pathogens in community- acquired pneumonia. Lionel A. Mandell et al. Clin Infect Dis. 2007;44:S27-S72 © 2007 by the Infectious Diseases Society of America
  • 29.
    Recommended antimicrobial therapyfor specific pathogens. Lionel A. Mandell et al. Clin Infect Dis. 2007;44:S27-S72 © 2007 by the Infectious Diseases Society of America
  • 30.
    Prevention • Remember tovaccinate your inpatients/outpatients when appropriate • CDC guidelines…
  • 31.
  • 32.
    Case 4 • 55yo man h/o PCK Disease, s/p renal transplant 20 years prior on stable immunosuppression; h/o never treated Hep C; • Fam hx: two brothers with diffuse gastric ca • Patient found to have CDH1 mutation • Undergoes prophylactic robotic gastrectomy
  • 33.
    Post op course •Ileus, SBO and wound dehiscence • Taken back to OR for ex-lap and wound debrided • Shortly after extubation, developed SOB • Upon re-intubation, found to have bilious secretions from tracheo-bronchial tree
  • 36.
    HAP/VAP Diagnosis • Samplelower resp tract secretions • If effusion, try to tap • Remember blood cultures
  • 37.
    Numbers and Percentagesof Microorganisms Responsible for 135 Episodes of Ventilator- Associated Pneumonia Classified According to the Duration of Mechanical Ventilation (MV) and Prior Antibiotic Therapy (ATB). Antoni Torres et al. Clin Infect Dis. 2010;51:S48-S53 © 2010 by the Infectious Diseases Society of America
  • 38.
    Our patient • Transferredto ICU, vented • Empirically started on vancomycin and zosyn (as per our local guidelines) • Underwent bronchoscopy
  • 39.
    Our patient Antibiotic modification:zosyn discontinued, vancomycin discontinued; imipenem started Despite this and aggressive supportive care, patient with progressive decline
  • 40.
    Final thoughts… • MDRpathogens – Difficult to treat – Sometimes esoteric combinations or extended infusions or even aerosolized therapies – Some newer abx (finally) QUESTIONS?: Call ID

Editor's Notes

  • #28 Patterns and etiologies of types of failure to respond.
  • #29 Epidemiologic conditions and/or risk factors related to specific pathogens in community-acquired pneumonia.
  • #30 Recommended antimicrobial therapy for specific pathogens.
  • #38 Numbers and Percentages of Microorganisms Responsible for 135 Episodes of Ventilator-Associated Pneumonia Classified According to the Duration of Mechanical Ventilation (MV) and Prior Antibiotic Therapy (ATB)‏