PLEURAL DISEASES
Presenter : Dr Joan Racheal Nahwera
U/21030008/MMED
The Pleura
• The pleura is a thin, smooth,
glistening, delicate serous
membrane which
1. Covers the lungs
2. Lines the wall of the thorax
3. This is a layer of
mesothelial cells, supported
by connective tissue.
LAYERS OF THE PLEURA
• Two layers that are
contained by the
pleura:
• (a) Visceral pleura
• (b) Parietal pleura.
• Pleural Cavity is
a potential space
between the
viscera and
parietal pleura.
Structure of the Pleurae
• Each pleura can be divided into two
parts:
• Parietal pleura – covers the internal
surface of the thoracic cavity.
• Visceral Pleura
• Covers the lungs.
• The visceral pleura covers the outer
surface of the lungs, and extends into
the interlobar fissures.
Parietal Pleura
• The parietal pleura covers the internal
surface of the thoracic cavity.
• It is thicker than the visceral pleura
• can be subdivided according to the part
of the body that it is contact with:.
1. Costal pleura.
2. Diaphragmatic pleura.
3. Mediastinal pleura.
4. Cervical pleura.
Parietal Pleura
1. Mediastinal pleura – Covers the
lateral aspect of the
mediastinum (the central
component of the thoracic cavity,
containing a number of organ).
2. Cervical pleura – Lines the
extension of the pleural cavity
into the neck.
3. Costal pleura – Covers the inner
aspect of the ribs, costal cartilages,
and intercostal muscles.
4. Diaphragmatic pleura –
Covers the thoracic (superior)
surface of the diaphragm.
VISCERAL PLEURA (PULMONARY
PLEURA)
• The visceral pleura entirely covers the
top layer of the lung with the
exception of at the hilum and along
the connection of the pulmonary
ligament.
• It also extends in the depths of the
fissures of the lungs.
• It is firmly adherent to the lung
surface and can’t be divided from it.
Pleural Cavity
• The pleural cavity is a potential space
between the parietal and visceral pleura. It
contains a small volume of serous fluid,
which has two major functions.
• It lubricates the surfaces of the pleurae,
allowing them to slide over each other.
• The serous fluid also produces a surface
tension, pulling the parietal and visceral
pleura together.
• This ensures that when the thorax
Pleural Recesses
• Anteriorly and posteroinferiorly, the pleural cavity is not
completely filled by the lungs. This gives rise
to recesses – where the opposing surfaces of the
parietal pleura touch.
• There are two recesses present in each pleural cavity:
• Costodiaphragmatic – located between the costal
pleurae and the diaphragmatic pleura.
• Costomediastinal – located between the costal pleurae
and the mediastinal pleurae, behind the sternum.
– These recesses are of clinical importance, as they
provide a location where fluid can collect (such as in a
pleural effusion).
Pleural fluid
 The pleural space contains a tiny amount of fluid
 Pleural fluid is produced at parietal level ,mainly in
less dependant regions of the cavity .
 Reabsorption is accomplished by parietalpleural
lymphatics in the most dependent part of the cavity
on the diaphragmatic surface and mediatinalregions .
 The flow rate in pleural lymphatics can increase in
response to an increase in pleural fluid filtration .
(negative feedback mechanism )
 When filtration exceeds maximum pleural lypmhatic
flow pleural effusions occur .
PLEURAL EFFUSION
 A pleural effusion is a pathologic fluid collection within the
pleural cavity.
 Normally 10 15 mL of fluid is present and this serves as a
−
lubricant between the parietal and visceral pleural layers.
 Pleural effusions may reach volumes of up to a few liters and
these large effusions result in compression of the underlying
lung, contralateral displacement of the mediastinum, and
depression of the hemidiaphragm
 Pleural effusions develop when there is excess pleural fluid
produced, diminished resorption of fluid from the pleural
space, or both.
 The fluid can originate from the pleura or be extra pleural in
origin
 NOTE : The role of imaging asses the cause of the effusion .
Causes of pleural effusion
 Vascular
1. Pulmonary infarction
2. Heart failure
3. Constrictive pericarditis
 Inflammatory
1. Tuberculosis
2. Parapneumonic effusion (viral,
mycoplasma, bacterial, fungal)
3. Collagen diseases (SLE,
rheumatoid arthritis)
4. Postinfarction Dressler’s
syndrome
5. Whipple disease
6. Mediterranean fever
7. Recurrent familial polyserositis
 Neoplastic
1. Bronchial carcinoma
2. Lymphoma
3. Metastatic pleural
adenocarcinoma
4. Mesothelioma
 Iatrogenic
1. Intrapleural infusion (e. g., due
to faulty catheter placement)
2. Postthoracotomy
3. Radiotherapy
 Traumatic
1. Hemothorax
2. Esophageal rupture
3. Chylothorax
 Mediastinal
1. Superior vena cava
obstruction
2. Aortic rupture
3. Esophageal fistula (e. g.,
carcinoma)
4. Thoracic duct fistula
(filariasis, carcinoma)
5. Ruptured dermoid cyst
 Subphrenic Abdominal
1. Pancreatitis
2. Subphrenic abscess
3. Cirrhosis with ascites
4. Meigs’ syndrome (ascites
associated with ovarian
tumor)
 Miscellaneous
1. Asbestosis
2. Nephrotic syndrome
3. Myxedema
4. Uremia
5. Spontaneous pleural
hemorrhage due to
coagulopathy
6. Congenital lymphedema
(Milroy)
Pathology
 Pleural effusions may be classified according to their
composition:
 Pleural transudate:
 Clear fluid with a specific gravity of less than 1.016 and a
protein content of less than 3 g/dL.
 The Pandy test is negative.
 Left ventricular failure is the most common cause of a
transudate.
 Ascites in hepatic cirrhosis, nephrotic syndrome, and
myxedema may also cause transudative effusions.
 Pleural exudate:
 An opaque fluid with a protein content of more than
3 g/dL, a specific gravity of greater than 1.016,
 There is positive Pandy test.
 The microscopic identification of cellular elements
such as granulocytes, lymphocytes, erythrocytes, and
malignant cells narrows the differential diagnosis.
 Parapneumonic effusions are most common and are
usually secondary to pulmonary infections.
 Tuberculous exudate is distinguished by its high
lymphocyte content.
 Malignant pleural effusions are also exudates
although malignant cells may not always be detected
on cytologic evaluation.
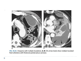
 Empyema:
 Is pus in the pleural cavity.
 The diagnosis is made when the pleural fluid is obviously purulent
 when organisms are identified in the fluid, or when the fluid has an
elevated white blood cell count
 is usually either parapneumonic or postpneumonic.
 Less commonly it may result from transdiaphragmatic extension of
a liver abscess.
 Hemothorax:
 Bleeding into the pleural space
 may be secondary to trauma, aortic rupture, or pleural malignancy.
 Occasionally, it is seen in thromboembolic disease when
complicated by pulmonary infarction.
 Chylothorax:
 A chylothorax contains fluid that is largely chyle (lymph of
intestinal origin).
 Because chyle usually contains suspended fat in the form of
chylomicrons, chylothorax fluid may be milky.
 Three main mechanisms account for chyle collections in the
pleural space: (i) leakage from a discrete rupture of the thoracic
duct or a large lymphatic vessel
(ii) a general oozing from pleural lymphatics,
(iii) passage of chylous ascites through the diaphragm
 Approximately 50% of chylothoraces are of neoplastic origin
 25% are traumatic,
 15% are idiopathic
 Lymphomas make up about 75% of the neoplastic lesions , and
chylothorax can be the initial feature of lymphomas
 Bilious and cerebrospinal fluid (CSF) pleural
effusions:
 Both are extremely rare.
 Bilious effusions are seen posthepatic and after
diaphragmatic lacerations.
 A traumatic fistula to the spinal subarachnoid
space allows CSF to enter the pleural space
 Clinical Features;
1. Symptoms most often due to underlying
disease process
2. Small pleural effusions – often asymptomatic
3. New effusion – often localized pain or
referral to shoulder
4. Large effusion (> 500 ml) dyspnea on
exertion or rest
5. Acute pleuritic pain – think pleurisy or
pulmonary infarction
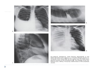
Radiologic Findings
 Chest Radiograph
 Upright position:
 The lateral chest radiograph shows homogeneous
opacification of the posterior costophrenic angle
with a superiorly concave meniscus.
 The Posteroanterior (PA) chest radiograph shows
obliteration of the costophrenic and cardiophrenic
angles if the effusion is greater than approximately
175 mL The meniscus is concave toward the lung
and becomes thinner superiorly.
 Supine position:
 Effusions are only visible on supine radiographs
when they exceed 500 mL
 Manifestations include:
1. The diaphragmatic contour is obscured
2. Opacification of the lateral costophrenic angles
3. Generalized “haziness” of the hemithorax
 Lateral decubitus position:
 Fluid collects between the lateral chest wall and
the lung, producing a band of opacification
which may enter the minor fissure.
Atypical forms of pleural effusion
 Loculated effusion:
 Adhesions between the visceral and parietal
pleura result in development of loculated
collections along the inner aspect of the chest
wall.
 En face, they may appear as ill-defined round
opacities but tangentially they produce a
semicircular opacity whose margins form an
obtuse angle with the chest wall.
 This helps to distinguish them from peripheral
pulmonary tumors, which usually form an acute
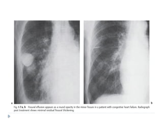
 Interlobar effusion
 This may develop in the minor or major fissures.
 Chest radiographs show a biconvex, spherical, or elliptical
homogeneous opacity.
 An effusion in the right minor fissure should be
distinguished from right middle lobe atelectasis
 The following features help in differentiation:
− The effusion is biconvex while lobar atelectasis is flat or
concave.
− Only atelectasis obliterates the right cardiac border
− Atelectasis obscures the interlobar fissure but an effusion
preserves the contour of the fissure as a linear structure in
its peripheral portion
 Posteromedial loculated effusion:
 The fluid column is higher and wider toward the mediastinum.
 This results from volume loss in the lower lobe and thus lower lobe
atelectasis is included in the differential diagnosis.
 Subpulmonic effusion.
 These are pleural effusions that can be seen only on a erect projection .
 The pleural fluid lies almost exclusively between the lung base and
diaphragm .
 Radiographs show elevation of the hemidiaphragm.
 What appears to be the diaphragm actually represents the visceral
pleura and the true diaphragm is obscured.
 When the Subpulmonic effusion is left-sided, the distance between the
inferior surface of the left lung and the gastric bubble measures more
than 2 cm.
 CT scanning is excellent at detecting small amounts of
fluid and is also often able to identify the underlying
intrathoracic causes (e.g. malignant pleural deposits or
primary lung neoplasms) as well as subdiaphragmatic
diseases (e.g. subdiaphragmatic abscess).
 CT is not able to differentiate between a transudative
or exudative pleural effusion with similar fluid densities
and non-differentiating rates of loculation and pleural
thickening
 However, CT can help distinguish between pleural
effusion and pleural empyema
 Empyemas usually:
 form an obtuse angle with the chest wall
 unilateral or markedly asymmetric whereas pleural effusions
usually bilateral and similar in size .
 Biconvex , whereas pleural effusions are concave in shape
towards the lung.
 Features suggestive of an empyema on CT include:
 Enhancing thickened pleura ( split pleura sign) whereas
pleural effusion has thin imperceptible pleural surfaces
 locules of gas absent unless recent thoracocentesis
 Obvious septations
 Associated consolidation
 Associated adjacent infection (e.g. subdiaphragmatic abscess)
PNEUMOTHORAX
 Pneumothorax is defined as a collection of air in the pleural
cavity
 is divided into spontaneous and traumatic types
 A pneumothorax occurring without an obvious precipitating
traumatic event or in a healthy individual is a primary
spontaneous pneumothorax.
 This type of pneumothorax is strongly associated with smoking
and tall asthenic men
 Most patients are between 20 and 40 years of age,
 the male-to-female ratio is approximately 5:1
 The cause is nearly always the rupture of an apical pleural bleb
 Without treatment, the likelihood of another pneumothorax is
about 40%,
 the chance of recurrence rises with each episode
 A pneumothorax developing without a
precipitating traumatic event in a patient with
predisposing lung disease is said to be a
spontaneous secondary pneumothorax .
 Chronic obstructive pulmonary disease is the most
common cause of secondary spontaneous
pneumothorax.
 pneumothoraces are associated with lung
metastases.( sarcomas most common) ,and some
cystic lung diseases.
 Catamenial pneumothorax is an uncommon
disorder that occurs in women, probably caused
by air entering the peritoneal cavity by way of the
genital tract during menses and proceeding to
the pleural cavity through diaphragmatic
fenestrations.
 Catamenial pneumothorax occurs only in relation
to the menses, appearing 1 day before or up to 3
days after menses.
 The pneumothorax is usually small and most
often right-sided
 Tension pneumothorax :
 Life threatening complication.
 Diagnosis is usually made clinically
 Tension pneumothorax is when there is a build-
up of positive pressure within the hemithorax,
to the extent that the lung is completely
collapsed, the diaphragm is flattened and the
mediastinum is distorted and, eventually, the
venous return to the heart is compromised.
 Any pleural breach is inherently valve-like
because air will find its way out through the
alveoli but cannot be drawn back in because the
lung tissue collapses around the hole in the
 Iatrogenic causes
 percutaneous biopsy
 barotrauma (e.g. divers), ventilator
 radiofrequency (RF) ablation of lung mass
 endoscopic perforation of the oesophagus
 central venous catheter insertion, nasogastric tube
placement
 Traumatic causes
 pulmonary laceration
 Stab wound
 Rib fracture
 tracheobronchial rupture
 oesophageal rupture
Radiologic features
 As with pleural effusion, the radiographic appearance of
pneumothorax depends on the radiographic projection, the
patient’s position, and the presence or absence of pleural
adhesion and subsequent loculation.
 Plain radiograph
 usually easily appreciated on erect chest radiographs.
 Typically they demonstrate:
 visible visceral pleural edge is seen as a very thin, sharp white
line
 no lung markings are seen peripheral to this line
 peripheral space is radiolucent compared to the adjacent lung
 lung may completely collapse
 mediastinum should not shift away from the pneumothorax
unless a tension pneumothorax is present
 CT
 Provided lung windows are examined, a
pneumothorax is very easily identified on CT, and
should pose essentially no diagnostic difficulty.
 pneumothorax is imaged as air in the pleural
space outside the lung and visceral pleura.
 Even a very small pneumothorax is visible in the
anterior pleural space.
 Its diagnosis is usually straightforward, although
differentiating a medial pneumothorax from
pneumomediastinun may be difficult in some
cases.
Bronchopleural fistula
⚫Differs from pneumothorax in that the
communication with pleural space is via airways
rather than distal air spaces.
⚫Two main causes :
 partial or complete lung resection
 In association with necrotizing infections
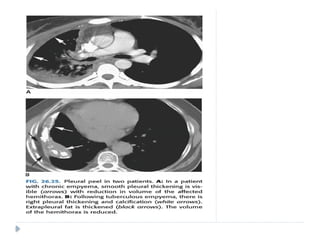
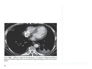
Pleural Thickening and
Fibrothorax
 Pleural thickening is common and is usually a sequel of
pleural inflammation.
 It may also be a delayed complication of hemothorax,
pleural empyema, and recurrent pneumothorax.
 Localized pleural thickening is frequently found at the
bases and results in blunting of the costophrenic angles
with tenting of the diaphragmatic pleura .
 Fibrous pleural thickening is also common in the apical
pleural cupola where it may be secondary to
tuberculosis or represent age-related change.
 These “apical pleural caps” sometimes have a scalloped
contour or may show slight tenting towards the lung
 Asbestos related diffuse pleural thickening is much less
common than discrete pleural plaques and involves the
visceral rather than the parietal pleura
 Evidence of underlying parenchymal disease is usually
seen in patients with prior tuberculosis or other
empyema.
 Hemorrhagic effusion, tuberculosis, and other causes of
empyema usually lead to unilateral pleural abnormalities
 benign asbestos pleurisy usually leads to bilateral pleural
 Involvement of the mediastinal pleura is more common
with mesothelioma or other malignancies .
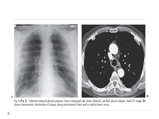
Pleural Plaques
 Pleural plaques are circumscribed collections of dense
collagenous connective tissue, which may or may not be
calcified,
 They represent the most common manifestation of and
serve as a biomarker of asbestos exposure
 The latency period between exposure to asbestos and
development of pleural plaques is approximately 15 years.
 The plaques involve mainly the posterior and
anterolateral aspects of the pleura, following the contours
of the posterolateral seventh to 10th ribs, and the domes
of the hemidiaphragms, and spare the lung apices and
costophrenic angles

 They almost always involve only the parietal
pleura but occasionally may be seen in the
visceral pleura in the interlobar fissures and
sometimes involve the pericardium
 On chest radiographs, pleural plaques are
unilateral in approximately 25% of cases
 more plaques are detected on CT than chest
radiography.
 Pleural plaques are not premalignant, but detection of
them is important for three main reasons:
(i) in patients with associated interstitial lung disease,
the presence of pleural plaques, in the proper clinical
and occupational setting, strongly suggests the
diagnosis of asbestosis;
(ii) they are virtually pathognomonic of asbestos
exposure and should prompt an occupational history
(iii) they may encourage a patient to stop smoking,
because there is a synergistic interaction between
asbestos exposure and smoking in the development
of lung cancer
 NB . Asbestos-related pleural disease has five
manifestations:
(i) pleural plaque with or without calcification,
(ii) asbestos-related pleural effusion,
(iii) diffuse pleural thickening,
(iv) rounded atelectasis,
(v) mesothelioma
⚫PLEURAL PLAQUES CAN BE CLASSIFI ED
ACCORDING TO THEIR CT APPEARANCE:
⚫Minimal pleural plaques: less than 1 mm thick, 1 to 3 cm
long, and few in number
⚫Moderate pleural plaques: 1 to 3 mm thick, 2 to 5 cm
long, and multiple
⚫Severe pleural plaques: thicker than 3 mm, clearly
indenting adjacent lung, up to 8 cm in craniocaudal
dimension, and extensive in width.
Pleural tumors / Masses
SOLITARY FIBROUS TUMOR OF PLEURA (SFTP)
 Also known as localized fibrous tumor or localized pleural
mesothelioma.
 45- 60 yrs
 Most of the tumors are benign; 20 % cases – malignant.
 Arises from visceral pleural in 80 %
 ON IMAGING :
 Soft tissue pleural-based neoplasm
 Areas of necrosis, hemorrhage, and cystic changes.
 Calcification may be seen in up to 26% of cases.
 Heterogeneous enhancement is seen post-contrast.
 On magnetic resonance imaging (MRI), hypointense solid mass is
seen on T1- and T2-weighted images. Necrosis and cystic
degeneration changes show high T2 signal intensity.
Benign pleural fibroma.
Enhanced CT reveals a soft tissue
intrafissural mass with coarse
calcifications, pathologically consistent
with a benign pleural fibroma.
Features of malignant fibrous tumor include : presence of
calcification, effusion, atelectasis, mediastinal shift , and chest wall
invasion.
MALIGNANT MESOTHELIOMA
⚫ Highly malignant and locally aggressive tumor
⚫ 6th or 7th decade of life
⚫ Associated with asbestos exposure, with an average latency of
35-40 years for its development.
⚫ Other predisposing factors :
⚫ Radiation therapy
⚫ Tuberculosis
⚫ Chronic empyema
On imaging :
⚫ Diffuse nodular pleural thickening – pleura along the
intercostal spaces, costophrenic angles and lung apices
are involved.
⚫ Pleural plaques (latent period of formation is 20yrs; strong
indicator of asbestos exposure): usually seen adjacent to ribs.
Involving sixth to ninth rib. These themselves are not
premalignant
⚫ Pleural effusion
⚫ Calcifications may be seen along diaphragmatic pleura.
Mesothelioma presenting as pleural collections:
Axial contrast-enhanced CT scan showing nodular
thickening of pleura involving right hemithorax
with small pleural collections (arrows)
Malignant mesothelioma:
Axial contrast-enhanced CT scan showing enhancing
nodular pleural thickening (arrows) involving the
costal and mediastinal pleura, extending into the
major fissure (arrowhead) with crowding of ribs
LYMPHOMA
⚫ Both hodgkin’s and non
hodgkins lymphoma can
involve the pleura.
⚫ IMAGING :
⚫ Pleural effusion
⚫ Pleural nodules
⚫ Focal or diffuse pleural
thickening
(circumferential
thickening is less
common).
⚫ Homogeneous contrast
enhancement
⚫ Associated with
Pleural lymphoma: Axial contrast-enhanced CT scan
showing heterogeneously enhancing lobulated mass
lesion involving the diaphragmatic pleura (arrow) and
invading the chest wall in a case of high-grade
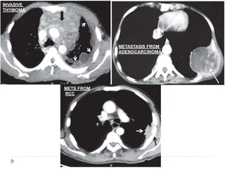
PLEURAL METASTASES
⚫ Adenocarcinomas are known to cause pleural
metastasis than any other histological types of
cancers.
⚫ Common primary sites are from : lung, lymphoma,
and ovary, invasive thymoma
⚫ Pleural effusion is the most common finding on
imaging .
INVASIVE
THYMOMA
METASTASIS FROM
ADENOCARCINOMA
METS FROM
RCC
ASKIN TUMOR
⚫ Aggressive malignant tumor of primitive
neuroectodermal origin.
⚫ Mostly arise from the soft tissues of the chest wall or
lung
periphery.
⚫ Children & adolescents.
⚫ IMAGING :
⚫ U/L involvement usually seen
⚫ Nodular pleural thickening
⚫ Infiltration into the chest wall, mediastinum and
sympathetic chain is pathognomic.
⚫ Pleural effusion and rib destruction may or may
not be seen.
Askin tumor:
(A)Chest radiograph showing inhomogeneous opacity (arrow) right
hemithorax obscuring right hemidiaphragm without mediastinal
shift; (B)axial contrast-enhanced CT scan showing heterogeneously
enhancing
nodular pleural-based lesions (arrows) involving the costal and
mediastinal pleura with characteristic involvement of the
RARE PATHOLOGIES OF PLEURA
1) PLEURAL LIPOMA (often an incidental finding; one of the
most common benign tumors of the pleura; fat density
tissue with no contrast enhancement)
2) PLEURAL SPLENOSIS (occurs following trauma on left side)
3) MESOTHELIAL CYSTS
4) EPITHELIOID HEMANGIOENDOTHELIOMA
5) CASTLEMAN DISEASE
6) SARCOMAS
7) MALIGNANTG FIBROUS HISTIOCYTOMA
8) LEUKEMIC INFILTRATION
9) EXTRASKELETAL OSTEOSARCOMA (RARE: but should be
considered in the differential diagnosis for a rapidly growing
calcified pleural mass in an elderly)
PLEURAL PSEUDOTUMOR
⚫ Is a fluid collection within the lung fissure.
⚫ Most common site : MINOR FISSURE
⚫ Common causes include :
 Congestive heart failure
 Cirrhosis
 Renal insufficiency
⚫ On chest radiographs:
⚫ Classical lenticular or biconvex opacity is seen in
the fissure.
⚫ Usually resolves after therapy with diuretic
agents
THANK YOU

PLEURAL Diseases.Pptx for master students

  • 1.
    PLEURAL DISEASES Presenter :Dr Joan Racheal Nahwera U/21030008/MMED
  • 2.
  • 4.
    • The pleurais a thin, smooth, glistening, delicate serous membrane which 1. Covers the lungs 2. Lines the wall of the thorax 3. This is a layer of mesothelial cells, supported by connective tissue.
  • 5.
    LAYERS OF THEPLEURA • Two layers that are contained by the pleura: • (a) Visceral pleura • (b) Parietal pleura. • Pleural Cavity is a potential space between the viscera and parietal pleura.
  • 6.
    Structure of thePleurae • Each pleura can be divided into two parts: • Parietal pleura – covers the internal surface of the thoracic cavity. • Visceral Pleura • Covers the lungs. • The visceral pleura covers the outer surface of the lungs, and extends into the interlobar fissures.
  • 7.
    Parietal Pleura • Theparietal pleura covers the internal surface of the thoracic cavity. • It is thicker than the visceral pleura • can be subdivided according to the part of the body that it is contact with:. 1. Costal pleura. 2. Diaphragmatic pleura. 3. Mediastinal pleura. 4. Cervical pleura.
  • 8.
    Parietal Pleura 1. Mediastinalpleura – Covers the lateral aspect of the mediastinum (the central component of the thoracic cavity, containing a number of organ). 2. Cervical pleura – Lines the extension of the pleural cavity into the neck. 3. Costal pleura – Covers the inner aspect of the ribs, costal cartilages, and intercostal muscles. 4. Diaphragmatic pleura – Covers the thoracic (superior) surface of the diaphragm.
  • 9.
    VISCERAL PLEURA (PULMONARY PLEURA) •The visceral pleura entirely covers the top layer of the lung with the exception of at the hilum and along the connection of the pulmonary ligament. • It also extends in the depths of the fissures of the lungs. • It is firmly adherent to the lung surface and can’t be divided from it.
  • 11.
    Pleural Cavity • Thepleural cavity is a potential space between the parietal and visceral pleura. It contains a small volume of serous fluid, which has two major functions. • It lubricates the surfaces of the pleurae, allowing them to slide over each other. • The serous fluid also produces a surface tension, pulling the parietal and visceral pleura together. • This ensures that when the thorax
  • 13.
    Pleural Recesses • Anteriorlyand posteroinferiorly, the pleural cavity is not completely filled by the lungs. This gives rise to recesses – where the opposing surfaces of the parietal pleura touch. • There are two recesses present in each pleural cavity: • Costodiaphragmatic – located between the costal pleurae and the diaphragmatic pleura. • Costomediastinal – located between the costal pleurae and the mediastinal pleurae, behind the sternum. – These recesses are of clinical importance, as they provide a location where fluid can collect (such as in a pleural effusion).
  • 15.
    Pleural fluid  Thepleural space contains a tiny amount of fluid  Pleural fluid is produced at parietal level ,mainly in less dependant regions of the cavity .  Reabsorption is accomplished by parietalpleural lymphatics in the most dependent part of the cavity on the diaphragmatic surface and mediatinalregions .  The flow rate in pleural lymphatics can increase in response to an increase in pleural fluid filtration . (negative feedback mechanism )  When filtration exceeds maximum pleural lypmhatic flow pleural effusions occur .
  • 17.
  • 18.
     A pleuraleffusion is a pathologic fluid collection within the pleural cavity.  Normally 10 15 mL of fluid is present and this serves as a − lubricant between the parietal and visceral pleural layers.  Pleural effusions may reach volumes of up to a few liters and these large effusions result in compression of the underlying lung, contralateral displacement of the mediastinum, and depression of the hemidiaphragm  Pleural effusions develop when there is excess pleural fluid produced, diminished resorption of fluid from the pleural space, or both.  The fluid can originate from the pleura or be extra pleural in origin  NOTE : The role of imaging asses the cause of the effusion .
  • 19.
    Causes of pleuraleffusion  Vascular 1. Pulmonary infarction 2. Heart failure 3. Constrictive pericarditis  Inflammatory 1. Tuberculosis 2. Parapneumonic effusion (viral, mycoplasma, bacterial, fungal) 3. Collagen diseases (SLE, rheumatoid arthritis) 4. Postinfarction Dressler’s syndrome 5. Whipple disease 6. Mediterranean fever 7. Recurrent familial polyserositis  Neoplastic 1. Bronchial carcinoma 2. Lymphoma 3. Metastatic pleural adenocarcinoma 4. Mesothelioma  Iatrogenic 1. Intrapleural infusion (e. g., due to faulty catheter placement) 2. Postthoracotomy 3. Radiotherapy
  • 20.
     Traumatic 1. Hemothorax 2.Esophageal rupture 3. Chylothorax  Mediastinal 1. Superior vena cava obstruction 2. Aortic rupture 3. Esophageal fistula (e. g., carcinoma) 4. Thoracic duct fistula (filariasis, carcinoma) 5. Ruptured dermoid cyst  Subphrenic Abdominal 1. Pancreatitis 2. Subphrenic abscess 3. Cirrhosis with ascites 4. Meigs’ syndrome (ascites associated with ovarian tumor)  Miscellaneous 1. Asbestosis 2. Nephrotic syndrome 3. Myxedema 4. Uremia 5. Spontaneous pleural hemorrhage due to coagulopathy 6. Congenital lymphedema (Milroy)
  • 21.
    Pathology  Pleural effusionsmay be classified according to their composition:  Pleural transudate:  Clear fluid with a specific gravity of less than 1.016 and a protein content of less than 3 g/dL.  The Pandy test is negative.  Left ventricular failure is the most common cause of a transudate.  Ascites in hepatic cirrhosis, nephrotic syndrome, and myxedema may also cause transudative effusions.
  • 22.
     Pleural exudate: An opaque fluid with a protein content of more than 3 g/dL, a specific gravity of greater than 1.016,  There is positive Pandy test.  The microscopic identification of cellular elements such as granulocytes, lymphocytes, erythrocytes, and malignant cells narrows the differential diagnosis.  Parapneumonic effusions are most common and are usually secondary to pulmonary infections.  Tuberculous exudate is distinguished by its high lymphocyte content.  Malignant pleural effusions are also exudates although malignant cells may not always be detected on cytologic evaluation.
  • 23.
     Empyema:  Ispus in the pleural cavity.  The diagnosis is made when the pleural fluid is obviously purulent  when organisms are identified in the fluid, or when the fluid has an elevated white blood cell count  is usually either parapneumonic or postpneumonic.  Less commonly it may result from transdiaphragmatic extension of a liver abscess.  Hemothorax:  Bleeding into the pleural space  may be secondary to trauma, aortic rupture, or pleural malignancy.  Occasionally, it is seen in thromboembolic disease when complicated by pulmonary infarction.
  • 27.
     Chylothorax:  Achylothorax contains fluid that is largely chyle (lymph of intestinal origin).  Because chyle usually contains suspended fat in the form of chylomicrons, chylothorax fluid may be milky.  Three main mechanisms account for chyle collections in the pleural space: (i) leakage from a discrete rupture of the thoracic duct or a large lymphatic vessel (ii) a general oozing from pleural lymphatics, (iii) passage of chylous ascites through the diaphragm  Approximately 50% of chylothoraces are of neoplastic origin  25% are traumatic,  15% are idiopathic  Lymphomas make up about 75% of the neoplastic lesions , and chylothorax can be the initial feature of lymphomas
  • 29.
     Bilious andcerebrospinal fluid (CSF) pleural effusions:  Both are extremely rare.  Bilious effusions are seen posthepatic and after diaphragmatic lacerations.  A traumatic fistula to the spinal subarachnoid space allows CSF to enter the pleural space
  • 31.
     Clinical Features; 1.Symptoms most often due to underlying disease process 2. Small pleural effusions – often asymptomatic 3. New effusion – often localized pain or referral to shoulder 4. Large effusion (> 500 ml) dyspnea on exertion or rest 5. Acute pleuritic pain – think pleurisy or pulmonary infarction
  • 32.
    Radiologic Findings  ChestRadiograph  Upright position:  The lateral chest radiograph shows homogeneous opacification of the posterior costophrenic angle with a superiorly concave meniscus.  The Posteroanterior (PA) chest radiograph shows obliteration of the costophrenic and cardiophrenic angles if the effusion is greater than approximately 175 mL The meniscus is concave toward the lung and becomes thinner superiorly.
  • 33.
     Supine position: Effusions are only visible on supine radiographs when they exceed 500 mL  Manifestations include: 1. The diaphragmatic contour is obscured 2. Opacification of the lateral costophrenic angles 3. Generalized “haziness” of the hemithorax  Lateral decubitus position:  Fluid collects between the lateral chest wall and the lung, producing a band of opacification which may enter the minor fissure.
  • 36.
    Atypical forms ofpleural effusion  Loculated effusion:  Adhesions between the visceral and parietal pleura result in development of loculated collections along the inner aspect of the chest wall.  En face, they may appear as ill-defined round opacities but tangentially they produce a semicircular opacity whose margins form an obtuse angle with the chest wall.  This helps to distinguish them from peripheral pulmonary tumors, which usually form an acute
  • 37.
     Interlobar effusion This may develop in the minor or major fissures.  Chest radiographs show a biconvex, spherical, or elliptical homogeneous opacity.  An effusion in the right minor fissure should be distinguished from right middle lobe atelectasis  The following features help in differentiation: − The effusion is biconvex while lobar atelectasis is flat or concave. − Only atelectasis obliterates the right cardiac border − Atelectasis obscures the interlobar fissure but an effusion preserves the contour of the fissure as a linear structure in its peripheral portion
  • 42.
     Posteromedial loculatedeffusion:  The fluid column is higher and wider toward the mediastinum.  This results from volume loss in the lower lobe and thus lower lobe atelectasis is included in the differential diagnosis.  Subpulmonic effusion.  These are pleural effusions that can be seen only on a erect projection .  The pleural fluid lies almost exclusively between the lung base and diaphragm .  Radiographs show elevation of the hemidiaphragm.  What appears to be the diaphragm actually represents the visceral pleura and the true diaphragm is obscured.  When the Subpulmonic effusion is left-sided, the distance between the inferior surface of the left lung and the gastric bubble measures more than 2 cm.
  • 44.
     CT scanningis excellent at detecting small amounts of fluid and is also often able to identify the underlying intrathoracic causes (e.g. malignant pleural deposits or primary lung neoplasms) as well as subdiaphragmatic diseases (e.g. subdiaphragmatic abscess).  CT is not able to differentiate between a transudative or exudative pleural effusion with similar fluid densities and non-differentiating rates of loculation and pleural thickening  However, CT can help distinguish between pleural effusion and pleural empyema
  • 45.
     Empyemas usually: form an obtuse angle with the chest wall  unilateral or markedly asymmetric whereas pleural effusions usually bilateral and similar in size .  Biconvex , whereas pleural effusions are concave in shape towards the lung.  Features suggestive of an empyema on CT include:  Enhancing thickened pleura ( split pleura sign) whereas pleural effusion has thin imperceptible pleural surfaces  locules of gas absent unless recent thoracocentesis  Obvious septations  Associated consolidation  Associated adjacent infection (e.g. subdiaphragmatic abscess)
  • 59.
  • 60.
     Pneumothorax isdefined as a collection of air in the pleural cavity  is divided into spontaneous and traumatic types  A pneumothorax occurring without an obvious precipitating traumatic event or in a healthy individual is a primary spontaneous pneumothorax.  This type of pneumothorax is strongly associated with smoking and tall asthenic men  Most patients are between 20 and 40 years of age,  the male-to-female ratio is approximately 5:1  The cause is nearly always the rupture of an apical pleural bleb  Without treatment, the likelihood of another pneumothorax is about 40%,  the chance of recurrence rises with each episode
  • 61.
     A pneumothoraxdeveloping without a precipitating traumatic event in a patient with predisposing lung disease is said to be a spontaneous secondary pneumothorax .  Chronic obstructive pulmonary disease is the most common cause of secondary spontaneous pneumothorax.  pneumothoraces are associated with lung metastases.( sarcomas most common) ,and some cystic lung diseases.
  • 62.
     Catamenial pneumothoraxis an uncommon disorder that occurs in women, probably caused by air entering the peritoneal cavity by way of the genital tract during menses and proceeding to the pleural cavity through diaphragmatic fenestrations.  Catamenial pneumothorax occurs only in relation to the menses, appearing 1 day before or up to 3 days after menses.  The pneumothorax is usually small and most often right-sided
  • 63.
     Tension pneumothorax:  Life threatening complication.  Diagnosis is usually made clinically  Tension pneumothorax is when there is a build- up of positive pressure within the hemithorax, to the extent that the lung is completely collapsed, the diaphragm is flattened and the mediastinum is distorted and, eventually, the venous return to the heart is compromised.  Any pleural breach is inherently valve-like because air will find its way out through the alveoli but cannot be drawn back in because the lung tissue collapses around the hole in the
  • 64.
     Iatrogenic causes percutaneous biopsy  barotrauma (e.g. divers), ventilator  radiofrequency (RF) ablation of lung mass  endoscopic perforation of the oesophagus  central venous catheter insertion, nasogastric tube placement  Traumatic causes  pulmonary laceration  Stab wound  Rib fracture  tracheobronchial rupture  oesophageal rupture
  • 65.
    Radiologic features  Aswith pleural effusion, the radiographic appearance of pneumothorax depends on the radiographic projection, the patient’s position, and the presence or absence of pleural adhesion and subsequent loculation.  Plain radiograph  usually easily appreciated on erect chest radiographs.  Typically they demonstrate:  visible visceral pleural edge is seen as a very thin, sharp white line  no lung markings are seen peripheral to this line  peripheral space is radiolucent compared to the adjacent lung  lung may completely collapse  mediastinum should not shift away from the pneumothorax unless a tension pneumothorax is present
  • 66.
     CT  Providedlung windows are examined, a pneumothorax is very easily identified on CT, and should pose essentially no diagnostic difficulty.  pneumothorax is imaged as air in the pleural space outside the lung and visceral pleura.  Even a very small pneumothorax is visible in the anterior pleural space.  Its diagnosis is usually straightforward, although differentiating a medial pneumothorax from pneumomediastinun may be difficult in some cases.
  • 71.
    Bronchopleural fistula ⚫Differs frompneumothorax in that the communication with pleural space is via airways rather than distal air spaces. ⚫Two main causes :  partial or complete lung resection  In association with necrotizing infections
  • 72.
  • 73.
     Pleural thickeningis common and is usually a sequel of pleural inflammation.  It may also be a delayed complication of hemothorax, pleural empyema, and recurrent pneumothorax.  Localized pleural thickening is frequently found at the bases and results in blunting of the costophrenic angles with tenting of the diaphragmatic pleura .  Fibrous pleural thickening is also common in the apical pleural cupola where it may be secondary to tuberculosis or represent age-related change.  These “apical pleural caps” sometimes have a scalloped contour or may show slight tenting towards the lung
  • 74.
     Asbestos relateddiffuse pleural thickening is much less common than discrete pleural plaques and involves the visceral rather than the parietal pleura  Evidence of underlying parenchymal disease is usually seen in patients with prior tuberculosis or other empyema.  Hemorrhagic effusion, tuberculosis, and other causes of empyema usually lead to unilateral pleural abnormalities  benign asbestos pleurisy usually leads to bilateral pleural  Involvement of the mediastinal pleura is more common with mesothelioma or other malignancies .
  • 79.
  • 80.
     Pleural plaquesare circumscribed collections of dense collagenous connective tissue, which may or may not be calcified,  They represent the most common manifestation of and serve as a biomarker of asbestos exposure  The latency period between exposure to asbestos and development of pleural plaques is approximately 15 years.  The plaques involve mainly the posterior and anterolateral aspects of the pleura, following the contours of the posterolateral seventh to 10th ribs, and the domes of the hemidiaphragms, and spare the lung apices and costophrenic angles 
  • 81.
     They almostalways involve only the parietal pleura but occasionally may be seen in the visceral pleura in the interlobar fissures and sometimes involve the pericardium  On chest radiographs, pleural plaques are unilateral in approximately 25% of cases  more plaques are detected on CT than chest radiography.
  • 82.
     Pleural plaquesare not premalignant, but detection of them is important for three main reasons: (i) in patients with associated interstitial lung disease, the presence of pleural plaques, in the proper clinical and occupational setting, strongly suggests the diagnosis of asbestosis; (ii) they are virtually pathognomonic of asbestos exposure and should prompt an occupational history (iii) they may encourage a patient to stop smoking, because there is a synergistic interaction between asbestos exposure and smoking in the development of lung cancer
  • 83.
     NB .Asbestos-related pleural disease has five manifestations: (i) pleural plaque with or without calcification, (ii) asbestos-related pleural effusion, (iii) diffuse pleural thickening, (iv) rounded atelectasis, (v) mesothelioma
  • 84.
    ⚫PLEURAL PLAQUES CANBE CLASSIFI ED ACCORDING TO THEIR CT APPEARANCE: ⚫Minimal pleural plaques: less than 1 mm thick, 1 to 3 cm long, and few in number ⚫Moderate pleural plaques: 1 to 3 mm thick, 2 to 5 cm long, and multiple ⚫Severe pleural plaques: thicker than 3 mm, clearly indenting adjacent lung, up to 8 cm in craniocaudal dimension, and extensive in width.
  • 90.
  • 92.
    SOLITARY FIBROUS TUMOROF PLEURA (SFTP)  Also known as localized fibrous tumor or localized pleural mesothelioma.  45- 60 yrs  Most of the tumors are benign; 20 % cases – malignant.  Arises from visceral pleural in 80 %  ON IMAGING :  Soft tissue pleural-based neoplasm  Areas of necrosis, hemorrhage, and cystic changes.  Calcification may be seen in up to 26% of cases.  Heterogeneous enhancement is seen post-contrast.  On magnetic resonance imaging (MRI), hypointense solid mass is seen on T1- and T2-weighted images. Necrosis and cystic degeneration changes show high T2 signal intensity.
  • 96.
    Benign pleural fibroma. EnhancedCT reveals a soft tissue intrafissural mass with coarse calcifications, pathologically consistent with a benign pleural fibroma.
  • 97.
    Features of malignantfibrous tumor include : presence of calcification, effusion, atelectasis, mediastinal shift , and chest wall invasion.
  • 98.
    MALIGNANT MESOTHELIOMA ⚫ Highlymalignant and locally aggressive tumor ⚫ 6th or 7th decade of life ⚫ Associated with asbestos exposure, with an average latency of 35-40 years for its development. ⚫ Other predisposing factors : ⚫ Radiation therapy ⚫ Tuberculosis ⚫ Chronic empyema On imaging : ⚫ Diffuse nodular pleural thickening – pleura along the intercostal spaces, costophrenic angles and lung apices are involved. ⚫ Pleural plaques (latent period of formation is 20yrs; strong indicator of asbestos exposure): usually seen adjacent to ribs. Involving sixth to ninth rib. These themselves are not premalignant ⚫ Pleural effusion ⚫ Calcifications may be seen along diaphragmatic pleura.
  • 100.
    Mesothelioma presenting aspleural collections: Axial contrast-enhanced CT scan showing nodular thickening of pleura involving right hemithorax with small pleural collections (arrows)
  • 104.
    Malignant mesothelioma: Axial contrast-enhancedCT scan showing enhancing nodular pleural thickening (arrows) involving the costal and mediastinal pleura, extending into the major fissure (arrowhead) with crowding of ribs
  • 108.
    LYMPHOMA ⚫ Both hodgkin’sand non hodgkins lymphoma can involve the pleura. ⚫ IMAGING : ⚫ Pleural effusion ⚫ Pleural nodules ⚫ Focal or diffuse pleural thickening (circumferential thickening is less common). ⚫ Homogeneous contrast enhancement ⚫ Associated with
  • 109.
    Pleural lymphoma: Axialcontrast-enhanced CT scan showing heterogeneously enhancing lobulated mass lesion involving the diaphragmatic pleura (arrow) and invading the chest wall in a case of high-grade
  • 110.
    PLEURAL METASTASES ⚫ Adenocarcinomasare known to cause pleural metastasis than any other histological types of cancers. ⚫ Common primary sites are from : lung, lymphoma, and ovary, invasive thymoma ⚫ Pleural effusion is the most common finding on imaging .
  • 113.
  • 115.
    ASKIN TUMOR ⚫ Aggressivemalignant tumor of primitive neuroectodermal origin. ⚫ Mostly arise from the soft tissues of the chest wall or lung periphery. ⚫ Children & adolescents. ⚫ IMAGING : ⚫ U/L involvement usually seen ⚫ Nodular pleural thickening ⚫ Infiltration into the chest wall, mediastinum and sympathetic chain is pathognomic. ⚫ Pleural effusion and rib destruction may or may not be seen.
  • 116.
    Askin tumor: (A)Chest radiographshowing inhomogeneous opacity (arrow) right hemithorax obscuring right hemidiaphragm without mediastinal shift; (B)axial contrast-enhanced CT scan showing heterogeneously enhancing nodular pleural-based lesions (arrows) involving the costal and mediastinal pleura with characteristic involvement of the
  • 117.
    RARE PATHOLOGIES OFPLEURA 1) PLEURAL LIPOMA (often an incidental finding; one of the most common benign tumors of the pleura; fat density tissue with no contrast enhancement) 2) PLEURAL SPLENOSIS (occurs following trauma on left side) 3) MESOTHELIAL CYSTS 4) EPITHELIOID HEMANGIOENDOTHELIOMA 5) CASTLEMAN DISEASE 6) SARCOMAS 7) MALIGNANTG FIBROUS HISTIOCYTOMA 8) LEUKEMIC INFILTRATION 9) EXTRASKELETAL OSTEOSARCOMA (RARE: but should be considered in the differential diagnosis for a rapidly growing calcified pleural mass in an elderly)
  • 120.
    PLEURAL PSEUDOTUMOR ⚫ Isa fluid collection within the lung fissure. ⚫ Most common site : MINOR FISSURE ⚫ Common causes include :  Congestive heart failure  Cirrhosis  Renal insufficiency ⚫ On chest radiographs: ⚫ Classical lenticular or biconvex opacity is seen in the fissure. ⚫ Usually resolves after therapy with diuretic agents
  • 122.