Phaeochromocytoma.....
a case
Dr Rekha Khare
MD Radiology
Case history
• A young boy of about 14 year came in the department of
Radiology for ultrasound examination
• The patient gave history of while doing some domestic
work, suddenly he became dizzy and unconscious.
• His father took him to near by hospital
• On examination his blood pressure was recorded very
high 220/120 mm of Hg.
• There was no neurological deficit.
• He was given some antihypertensive medicine,
provisionally treated for hypertensive crises
Ultrasound exam..
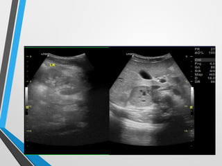
• A well outlined solid hypoechoic mass lesion with
few tiny cystic degeneration in right suprarenal region
• Mass measuring about 3.5x 5.0 cm
• Two small about 1x1.25 cm hypoechoic lesion is noted at
renal hilum displacing right renal vein
• Ill defined hypoechoic mass like lesion left anterior
paranephric region
• No dilatation of pelvicalyceal system on any side
well outlined solid hypoechoic right suprarenal mass lesion
Two small hypoechoic mass lesion at right
renal hilum displacing RRV
• On the basis of ultrasound finding,
case is provisionally diagnosed as a case of
Phaeochromocytoma
• So asked for urinary catecholamine and
contrast CT scan
CECT scan as next imaging modality
• A well outlined about 4.5x4.5cm heterogeneously
enhanced mass at right suprarenal region
• Two small nodular lesion about 2.5x2.o cm ,0.5x0.5 cm
in right renal hilum minimally compressing and
displacing right renal vein
• Another hyperdense markedly enhanced about 4.5x2.5
cm mass lesion at left suprarenal region
• Wash out effect in delayed film
• Normal functioning both kidneys, ureter and bladder
•
hyperdense markedly enhanced about 4.5x2.5
cm mass lesion at left suprarenal region
Provisional diagnosis
• Bilateral suprarenal mass
• In correlation with strong clinical history of attack
of severe hypertension in young boy,
radiological findings are suggestive of
Phaeochromocytoma
• Patient was treated temporarily on conservative
treatment and then referred to higher center for urinary
catecholamine and further management
Phaeochromocytoma
• Pheochromocytoma—Greek term
phaios ..dark, chroma..color, kytos..cell,
oma..tumor
• It is the tumour of the adrenal gland with strong clinical
history and to lesser degree of imaging features
• 90% tumour arise from adrenals, others can be found
anywhere in the sympathetic system
Site & size … Phaeochromocytoma
• Adrenal… approximately 80% of pheochromocytomas are unilateral and
solitary, 10% are bilateral
• Extra-adrenal …. about 10%. Most are located within the abdomen in
association with the celiac, superior mesenteric, and inferior mesenteric
ganglia
• Approximately 10% are in the thorax, 1% are within the urinary bladder,
and less than 3% are in the neck, usually in association with the
sympathetic ganglia or the extracranial branches of the ninth cranial
nerves
• Pheochromocytomas usually weigh 20 to 40 g and are <5 cm in diameter
but may grow to large size up to 100gm
• Pheochromocytomas are highly vascular..
Phaeochromocytoma
• Pheochromocytoma is a neuroendocrine tumour arising
from the chromaffin cells of adrenal medulla
• or from extra-adrenal chromaffin tissue that failed to
involute after birth, that secretes high amounts of
catecholamine
• Extra-adrenal paraganglioma are closely related, though
less common, tumors that originate in the ganglion of the
sympathetic nervous system and are named based upon
the primary anatomical site of origin.
Phaeochromocytoma
• Phaeochromocytoma arising from adrenals can secrete
catecholamine
• Phaeochromocytoma arising from others sites
may also secrete other hormone which can give rise to
confusing endocrine symptoms
Phaeochromocytoma---10% rule
Meaning 10% could be
---Familial
---Bilateral
---Children
---Multiple/ extra adrenal
---Malignant
---May not be associated with hypertension
**some 5% cases could be associated with neurofibromatosis but reverse is less
common
Less commonly well recognized association with von Hippel-Lindau syndrome and with
medullary Ca thyroid and hyperparathyroidism
Classic clinical presentation
• Sign and symptoms are due to hyperactivity of sympathetic
nervous system
attacks of paroxysmal hypertension accompanied by
headache, sweating, palpitation, anxiety and tremor
• Uncontrolled secondary hypertension with hypertensive crises
• Patient may present with myocardial infarction or pulmonary
edema or severe headache or visual disturbance or
hemorrhagic stroke
How to investigate ?
• The first investigation in suspected cases of
pheochromocytoma is usually urinary catecholamine
• When those results are positive, then imaging is
performed to confirm the site texture and to localize
the tumour
• Imaging modalities:
…Ultrasound
... CT rather than MRI is recommended as the
first line imaging
Other imaging
• Rotinely CECT
• T2 weighted MRI of head,neck chest and abdomen to
localize the tumour
• Tumors can also be located using Isotope scan
MIBG using iodine 123- marked meta iodobenzyleguanidine
• Even finer localization can be obtained in certain PET- CT
centre with 18F fluorodopamine or FDOPA
PPGL:
Phaeochromocytoma and paraganglioma
• Suspected cases of both phaeochromocytoma or
paraganglioma should be investigated by urinary
fractionated and plasma free metanephrine
• Patients with a known germ-line mutation that predisposes
to PPGL should undergo periodic biochemical testing.
• Patients with PPGLs should participate in shared decision
making for genetic testing
Catecholamine
• Catecholamine produced by pheochromocytomas are
metabolized within chromaffin cells.
• Norepinephrine is metabolized to normetanephrine
• Epinephrine is metabolized to metanephrine.
• This process occurs within the tumor, independently of
catecholamine release
• So phaeochromocytomas are best diagnosed by
measurement of these metabolites rather than by
measurement of the parent catecholamine
Basal urinary catecholamine
Normal value ----urine collected for 12 hours during night
• Epinephrine---0 to 20 mg/day
• Norepinephrine ----0 to 100 mg/day
• Metanephrine ---0 to 300 mg/day
• Normetanephrine ---50 to 800 mg/day
• VMA--- 0 to 7 mg/day
• Patient with phaeochromocytoma have high urinary
catecholamine ( 3-4 times more )
Pathological features
• Phaeochromocytomas type of paraganglioma –
catecholamine secreting tumour
• Histologically they show nesting( Zellballen) pattern.
• Besides of well-defined clusters of tumour cells it may
contain eosinophilic cytoplasm, cystic or fat
degeneration, necrosis, calcification and fibrosis
separated by fibro vascular stroma
•  These pathological features have strong correlation with 
radiological picture
Phaeochromocytoma-- characteristic nature
• Varied and changeable appearance on radio-pathology
merits the “chameleon” epithet given to this tumor.
• A chameleon derives its name from the Greek word
     khamailen, meaning “lion on the ground,” and is a reptile
characterized by the ability to change color.
Phaeochromocytoma
on ultrasound
• Phaeochromocytoma have a variable appearance ranging
from solid to cystic or mixed echo pattern
• As a rule Pheochromocytoma are tend to be large more than 3cm in
adrenal gland fossa
• Small extra adrenal tumour is a challenge
• About 98% are in the abdomen and 90% are confined to gland
Pheochromocytoma on CT scan
•CT is the first imaging modality to be used, with an overall sensitivity of
89%
•Usually large, heterogeneous masses with areas of necrosis and cystic
change
•Few may demonstrate areas of calcification or evidence of fat
•They typically enhance avidly ---characteristic enhancement & washout
• may wash out similar to an adrenal adenoma but
• tend to enhance more on the portal venous phase than the arterial
phase
• 110 HU of enhancement on the arterial phase is compatible with
pheochromocytoma
• hyper vascular metastases could be considered as differential
diagnosis in an appropriate setting
• Before imaging----clinical suspicion is almost always
present: secondary hypertension and positive urinary
catecholamine
• On imaging ----usually large and heterogeneous adrenal
masses, with cystic and necrotic components
• vivid enhancement of arterial/portal venous phase: > 110-
120 HU
• The diagnosis of pheochromocytoma is dependent on the imaging
identification of an appropriately located mass with accompanying
clinical and biochemical confirmation.
Practical points
• When an adrenal mass is found, it is important to determine
whether the mass represents a functioning tumor.
• Functioning adrenal mass---- produce endocrine disorders
(e.g., Conn syndrome, Cushing syndrome, virilizing adrenal
cortical carcinoma, pheochromocytoma)
• Nonfunctioning adrenal mass ---- adenomas
References
• Pheochromocytoma https://radiopaedia.org/articles/pheochromocytoma-2dr
Craig Hacking and A Prof Frank Gaillard
• Pheochromocytoma Medscape Michael A Blake,; GeorgeT Griffing, Updated: Oct
10, 2017
• Pheochromocytoma:The Range of Appearances on Ultrasound, CT, MRI, and
Functional Imaging AJR Katherine Leung1
, Michael Stamm1
, Asim Raja1
, and Gavin
Low February 2013,Volume 200, Number 2
• The adrenal glandsText book of radiology and imaging volume 1 page 825-847 by
David Sutton
• Adrenals Pheochromocytoma: An Imaging Chameleon October 2004 Michael A.
Blake, Mannudeep K. Kalra Michael M. Maher, DushyantV. Sahani, , AnnT.
Sweeney, , Peter R. Mueller, Peter F. Hahn, and Giles W. Boland,
RSNA RadiographicsVolume 24, Issue suppl_1Special Issue

Phaeochromocytoma a case

  • 1.
  • 2.
    Case history • Ayoung boy of about 14 year came in the department of Radiology for ultrasound examination • The patient gave history of while doing some domestic work, suddenly he became dizzy and unconscious. • His father took him to near by hospital • On examination his blood pressure was recorded very high 220/120 mm of Hg. • There was no neurological deficit. • He was given some antihypertensive medicine, provisionally treated for hypertensive crises
  • 3.
    Ultrasound exam.. • Awell outlined solid hypoechoic mass lesion with few tiny cystic degeneration in right suprarenal region • Mass measuring about 3.5x 5.0 cm • Two small about 1x1.25 cm hypoechoic lesion is noted at renal hilum displacing right renal vein • Ill defined hypoechoic mass like lesion left anterior paranephric region • No dilatation of pelvicalyceal system on any side
  • 4.
    well outlined solidhypoechoic right suprarenal mass lesion
  • 6.
    Two small hypoechoicmass lesion at right renal hilum displacing RRV
  • 10.
    • On thebasis of ultrasound finding, case is provisionally diagnosed as a case of Phaeochromocytoma • So asked for urinary catecholamine and contrast CT scan
  • 11.
    CECT scan asnext imaging modality • A well outlined about 4.5x4.5cm heterogeneously enhanced mass at right suprarenal region • Two small nodular lesion about 2.5x2.o cm ,0.5x0.5 cm in right renal hilum minimally compressing and displacing right renal vein • Another hyperdense markedly enhanced about 4.5x2.5 cm mass lesion at left suprarenal region • Wash out effect in delayed film • Normal functioning both kidneys, ureter and bladder •
  • 16.
    hyperdense markedly enhancedabout 4.5x2.5 cm mass lesion at left suprarenal region
  • 22.
    Provisional diagnosis • Bilateralsuprarenal mass • In correlation with strong clinical history of attack of severe hypertension in young boy, radiological findings are suggestive of Phaeochromocytoma • Patient was treated temporarily on conservative treatment and then referred to higher center for urinary catecholamine and further management
  • 23.
    Phaeochromocytoma • Pheochromocytoma—Greek term phaios..dark, chroma..color, kytos..cell, oma..tumor • It is the tumour of the adrenal gland with strong clinical history and to lesser degree of imaging features • 90% tumour arise from adrenals, others can be found anywhere in the sympathetic system
  • 24.
    Site & size… Phaeochromocytoma • Adrenal… approximately 80% of pheochromocytomas are unilateral and solitary, 10% are bilateral • Extra-adrenal …. about 10%. Most are located within the abdomen in association with the celiac, superior mesenteric, and inferior mesenteric ganglia • Approximately 10% are in the thorax, 1% are within the urinary bladder, and less than 3% are in the neck, usually in association with the sympathetic ganglia or the extracranial branches of the ninth cranial nerves • Pheochromocytomas usually weigh 20 to 40 g and are <5 cm in diameter but may grow to large size up to 100gm • Pheochromocytomas are highly vascular..
  • 25.
    Phaeochromocytoma • Pheochromocytoma isa neuroendocrine tumour arising from the chromaffin cells of adrenal medulla • or from extra-adrenal chromaffin tissue that failed to involute after birth, that secretes high amounts of catecholamine • Extra-adrenal paraganglioma are closely related, though less common, tumors that originate in the ganglion of the sympathetic nervous system and are named based upon the primary anatomical site of origin.
  • 26.
    Phaeochromocytoma • Phaeochromocytoma arisingfrom adrenals can secrete catecholamine • Phaeochromocytoma arising from others sites may also secrete other hormone which can give rise to confusing endocrine symptoms
  • 27.
    Phaeochromocytoma---10% rule Meaning 10%could be ---Familial ---Bilateral ---Children ---Multiple/ extra adrenal ---Malignant ---May not be associated with hypertension **some 5% cases could be associated with neurofibromatosis but reverse is less common Less commonly well recognized association with von Hippel-Lindau syndrome and with medullary Ca thyroid and hyperparathyroidism
  • 28.
    Classic clinical presentation •Sign and symptoms are due to hyperactivity of sympathetic nervous system attacks of paroxysmal hypertension accompanied by headache, sweating, palpitation, anxiety and tremor • Uncontrolled secondary hypertension with hypertensive crises • Patient may present with myocardial infarction or pulmonary edema or severe headache or visual disturbance or hemorrhagic stroke
  • 29.
    How to investigate? • The first investigation in suspected cases of pheochromocytoma is usually urinary catecholamine • When those results are positive, then imaging is performed to confirm the site texture and to localize the tumour • Imaging modalities: …Ultrasound ... CT rather than MRI is recommended as the first line imaging
  • 30.
    Other imaging • RotinelyCECT • T2 weighted MRI of head,neck chest and abdomen to localize the tumour • Tumors can also be located using Isotope scan MIBG using iodine 123- marked meta iodobenzyleguanidine • Even finer localization can be obtained in certain PET- CT centre with 18F fluorodopamine or FDOPA
  • 31.
    PPGL: Phaeochromocytoma and paraganglioma •Suspected cases of both phaeochromocytoma or paraganglioma should be investigated by urinary fractionated and plasma free metanephrine • Patients with a known germ-line mutation that predisposes to PPGL should undergo periodic biochemical testing. • Patients with PPGLs should participate in shared decision making for genetic testing
  • 32.
  • 33.
    • Catecholamine producedby pheochromocytomas are metabolized within chromaffin cells. • Norepinephrine is metabolized to normetanephrine • Epinephrine is metabolized to metanephrine. • This process occurs within the tumor, independently of catecholamine release • So phaeochromocytomas are best diagnosed by measurement of these metabolites rather than by measurement of the parent catecholamine
  • 34.
    Basal urinary catecholamine Normalvalue ----urine collected for 12 hours during night • Epinephrine---0 to 20 mg/day • Norepinephrine ----0 to 100 mg/day • Metanephrine ---0 to 300 mg/day • Normetanephrine ---50 to 800 mg/day • VMA--- 0 to 7 mg/day • Patient with phaeochromocytoma have high urinary catecholamine ( 3-4 times more )
  • 35.
    Pathological features • Phaeochromocytomastype of paraganglioma – catecholamine secreting tumour • Histologically they show nesting( Zellballen) pattern. • Besides of well-defined clusters of tumour cells it may contain eosinophilic cytoplasm, cystic or fat degeneration, necrosis, calcification and fibrosis separated by fibro vascular stroma •  These pathological features have strong correlation with  radiological picture
  • 36.
    Phaeochromocytoma-- characteristic nature •Varied and changeable appearance on radio-pathology merits the “chameleon” epithet given to this tumor. • A chameleon derives its name from the Greek word      khamailen, meaning “lion on the ground,” and is a reptile characterized by the ability to change color.
  • 37.
    Phaeochromocytoma on ultrasound • Phaeochromocytomahave a variable appearance ranging from solid to cystic or mixed echo pattern • As a rule Pheochromocytoma are tend to be large more than 3cm in adrenal gland fossa • Small extra adrenal tumour is a challenge • About 98% are in the abdomen and 90% are confined to gland
  • 38.
    Pheochromocytoma on CTscan •CT is the first imaging modality to be used, with an overall sensitivity of 89% •Usually large, heterogeneous masses with areas of necrosis and cystic change •Few may demonstrate areas of calcification or evidence of fat •They typically enhance avidly ---characteristic enhancement & washout • may wash out similar to an adrenal adenoma but • tend to enhance more on the portal venous phase than the arterial phase • 110 HU of enhancement on the arterial phase is compatible with pheochromocytoma • hyper vascular metastases could be considered as differential diagnosis in an appropriate setting
  • 39.
    • Before imaging----clinicalsuspicion is almost always present: secondary hypertension and positive urinary catecholamine • On imaging ----usually large and heterogeneous adrenal masses, with cystic and necrotic components • vivid enhancement of arterial/portal venous phase: > 110- 120 HU • The diagnosis of pheochromocytoma is dependent on the imaging identification of an appropriately located mass with accompanying clinical and biochemical confirmation.
  • 40.
    Practical points • Whenan adrenal mass is found, it is important to determine whether the mass represents a functioning tumor. • Functioning adrenal mass---- produce endocrine disorders (e.g., Conn syndrome, Cushing syndrome, virilizing adrenal cortical carcinoma, pheochromocytoma) • Nonfunctioning adrenal mass ---- adenomas
  • 41.
    References • Pheochromocytoma https://radiopaedia.org/articles/pheochromocytoma-2dr CraigHacking and A Prof Frank Gaillard • Pheochromocytoma Medscape Michael A Blake,; GeorgeT Griffing, Updated: Oct 10, 2017 • Pheochromocytoma:The Range of Appearances on Ultrasound, CT, MRI, and Functional Imaging AJR Katherine Leung1 , Michael Stamm1 , Asim Raja1 , and Gavin Low February 2013,Volume 200, Number 2 • The adrenal glandsText book of radiology and imaging volume 1 page 825-847 by David Sutton • Adrenals Pheochromocytoma: An Imaging Chameleon October 2004 Michael A. Blake, Mannudeep K. Kalra Michael M. Maher, DushyantV. Sahani, , AnnT. Sweeney, , Peter R. Mueller, Peter F. Hahn, and Giles W. Boland, RSNA RadiographicsVolume 24, Issue suppl_1Special Issue