PEMPHIGUS VULGARIS
BY DR KANWAL FATIMA
House officer at ORAL DIAGNOSIS
department ISRA DENTAL COLLEGE
DEFINITION
it is an autoimmune, inta-epithelial, blistering
disease affecting the skin and mucous
membrane.
Skin blisters Mucous membrane blisters
CLINICAL FEATURES
• Bullous eruption or patches of erythema.
• Bullae on skin, occasionally blood filled.
• Multiple bullae rupture to leave tissue tags
and painful eruptions.
• Intact bullae in mouth rare due to fragility.
• Mouth shows patchy erosions.
• Oral symptoms before cutaneous lesions.
• Blisters rupture and leave painful ulcers.
• Nickolsky’s sign is positive.
• Confluence of bullae increases size and
discomfort
PATHOGENESIS
• Intra-epithelial formation
• Loss of intra-cellular adhesion (acantholysis)
• Ig-G + Ig-G 4 atuo antibodies.
• Intra-cellular proteolytic enzyme activated.
• Complement system plays role as well.
• Severity propotional to titer antibody.
• Considered as a type 2 hypersentivity.
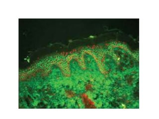
HISTOLOGICAL
IMMUNOLOGY
• Immunoflorenscene at periphery of prickel
cells. (para-basal and sub surface area)
• Positive on direct and indirect immuno-
florenscence.
• All three layers are affected except basal layer
but this disease will occur only in prickle cell
layer.
DIRECT
• patient specimen
•Ig G antibodies .
•Auto antibodies already
attached.
•Autoantibody attached to
patient’s tissue.
INDIRECT
•Control specimen
(skin or mucosa)
•No IgG on tissue + patient
serum.
•Autoantibody in patient’s
serum.
MANAGEMENT
• Corticosteroids--- high doses --- 40mg
• Prednisone--- (hydrocortisone) 5mg tablet
daily or alternate days.
• Start with high doses later off the doses after
relief.
• Maintain minimun dose in disease free state.
• Immunosuppressive drugs i:e Azathioprine
(imuran), Cyclosporin (cyclophosphamide).

Pemphigus vulgaris presentation

  • 1.
    PEMPHIGUS VULGARIS BY DRKANWAL FATIMA House officer at ORAL DIAGNOSIS department ISRA DENTAL COLLEGE
  • 2.
    DEFINITION it is anautoimmune, inta-epithelial, blistering disease affecting the skin and mucous membrane. Skin blisters Mucous membrane blisters
  • 3.
    CLINICAL FEATURES • Bullouseruption or patches of erythema. • Bullae on skin, occasionally blood filled. • Multiple bullae rupture to leave tissue tags and painful eruptions. • Intact bullae in mouth rare due to fragility. • Mouth shows patchy erosions. • Oral symptoms before cutaneous lesions.
  • 4.
    • Blisters ruptureand leave painful ulcers. • Nickolsky’s sign is positive. • Confluence of bullae increases size and discomfort
  • 6.
    PATHOGENESIS • Intra-epithelial formation •Loss of intra-cellular adhesion (acantholysis) • Ig-G + Ig-G 4 atuo antibodies. • Intra-cellular proteolytic enzyme activated. • Complement system plays role as well. • Severity propotional to titer antibody. • Considered as a type 2 hypersentivity.
  • 8.
  • 10.
    IMMUNOLOGY • Immunoflorenscene atperiphery of prickel cells. (para-basal and sub surface area) • Positive on direct and indirect immuno- florenscence. • All three layers are affected except basal layer but this disease will occur only in prickle cell layer.
  • 11.
    DIRECT • patient specimen •IgG antibodies . •Auto antibodies already attached. •Autoantibody attached to patient’s tissue. INDIRECT •Control specimen (skin or mucosa) •No IgG on tissue + patient serum. •Autoantibody in patient’s serum.
  • 12.
    MANAGEMENT • Corticosteroids--- highdoses --- 40mg • Prednisone--- (hydrocortisone) 5mg tablet daily or alternate days. • Start with high doses later off the doses after relief. • Maintain minimun dose in disease free state. • Immunosuppressive drugs i:e Azathioprine (imuran), Cyclosporin (cyclophosphamide).