1
• Also known as Leri disease

2
• Is an uncommon mesenchymal dysplasia

3

• Regions of sclerosing bone with a
characteristic dripping wax appearance or
flowing candle wax appearance
changes in:
early childhood
age

Presentation:
often later

condition often
remains occult
until late
adolescence or
early adulthood

No recognised
familial
predisposition

In half of cases
:diagnosis
before the age
of 20
Clinical presentation
• The condition, especially in childhood, is usually
asymptomatic, with the condition diagnosed as an
incidental finding on radiographs obtained for
another purpose

• When melorheostosis does manifest clinically,
the most common presentation is of limb
stiffness (flexion contractures) or pain.
•This is more common in adults.
•One of a group of sclerosing bone disorders
•Rare

1

•Cause is unknown

•Produces thickening of the endosteum and periosteum

2

•Peak age of presentation is 5-20 years
•May be monostotic or polyostotic
•May involve one entire limb

•Usually does not involve multiple limbs

3

•Twice as common in lower extremities than elsewhere
About 50% affected
develop symptoms by
age 20

Pain

Adults
present with
Joint stiffness

Children may
present with

Joint contractures

Leg length
discrepancies

Deformity that may
progress over time
sclerodermic skin changes : thickening & fibrosis of overlying skin

vascular tumours and malformations
muscle atrophy
It has a predilection for long bones of the limbs ,it can be seen
almost anywhere
Hands and feet are not infrequently involved ,and involvement of the
axial skeleton is rare
Resembling osteoma(s)
Candle-wax appearance (classic)
Resembling myositis ossificans
Resembling osteopathia striata
Mixed
Sclerotic lesions of cortical bones, usually in the diaphysis,
that resemble “candle-wax-dripping”

Cortical hyperostosis with an undulating appearance usually
affecting one side of a bone

Soft tissue lesions that may calcify (Adjacent to involved bone)

May grow to compress nerves

Usually low signal on MRI (Enhance with Gadolinium)

Bone scan is markedly positive
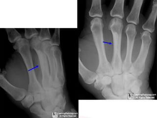
Case 3 : monostotic
melorheostosis
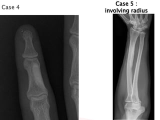
Case 5 :
involving radius
Case 6 :
involving ribs
Increase in radiotracer uptake is usually
present on late phase bone scans
• Osteopathia striata

1

• Longitudinal dense striations

• Osteopoikilosis

2

• Punctate, rounded bone islands
surrounding joints
• Osteosarcoma

3

• Bone destruction
Associated soft tissue lesions and cutaneous
lesions

Vascular malformations, Neurofibromatosis,
Tuberous sclerosis, Hemangioma

Muscle contractures

Scoliosis
The disease is of variable severity
• chronic progressive course in adults

faster course in children
• Resulting in substantial disability from
contractures or deformity.
Conservative
•Conservative
management is
often unrewarding

surgical
intervention
•including tendon
release, osteotomies
and even amputation
Melorheostosis

Melorheostosis

  • 2.
    1 • Also knownas Leri disease 2 • Is an uncommon mesenchymal dysplasia 3 • Regions of sclerosing bone with a characteristic dripping wax appearance or flowing candle wax appearance
  • 3.
    changes in: early childhood age Presentation: oftenlater condition often remains occult until late adolescence or early adulthood No recognised familial predisposition In half of cases :diagnosis before the age of 20
  • 4.
    Clinical presentation • Thecondition, especially in childhood, is usually asymptomatic, with the condition diagnosed as an incidental finding on radiographs obtained for another purpose • When melorheostosis does manifest clinically, the most common presentation is of limb stiffness (flexion contractures) or pain. •This is more common in adults.
  • 5.
    •One of agroup of sclerosing bone disorders •Rare 1 •Cause is unknown •Produces thickening of the endosteum and periosteum 2 •Peak age of presentation is 5-20 years •May be monostotic or polyostotic •May involve one entire limb •Usually does not involve multiple limbs 3 •Twice as common in lower extremities than elsewhere
  • 6.
    About 50% affected developsymptoms by age 20 Pain Adults present with Joint stiffness Children may present with Joint contractures Leg length discrepancies Deformity that may progress over time
  • 7.
    sclerodermic skin changes: thickening & fibrosis of overlying skin vascular tumours and malformations muscle atrophy It has a predilection for long bones of the limbs ,it can be seen almost anywhere Hands and feet are not infrequently involved ,and involvement of the axial skeleton is rare
  • 8.
    Resembling osteoma(s) Candle-wax appearance(classic) Resembling myositis ossificans Resembling osteopathia striata Mixed
  • 9.
    Sclerotic lesions ofcortical bones, usually in the diaphysis, that resemble “candle-wax-dripping” Cortical hyperostosis with an undulating appearance usually affecting one side of a bone Soft tissue lesions that may calcify (Adjacent to involved bone) May grow to compress nerves Usually low signal on MRI (Enhance with Gadolinium) Bone scan is markedly positive
  • 13.
    Case 3 :monostotic melorheostosis
  • 14.
  • 15.
  • 16.
    Increase in radiotraceruptake is usually present on late phase bone scans
  • 17.
    • Osteopathia striata 1 •Longitudinal dense striations • Osteopoikilosis 2 • Punctate, rounded bone islands surrounding joints • Osteosarcoma 3 • Bone destruction
  • 18.
    Associated soft tissuelesions and cutaneous lesions Vascular malformations, Neurofibromatosis, Tuberous sclerosis, Hemangioma Muscle contractures Scoliosis
  • 19.
    The disease isof variable severity • chronic progressive course in adults faster course in children • Resulting in substantial disability from contractures or deformity.
  • 20.