Justin McWilliams, MD
     Assistant Professor
Interventional Radiology
                  UCLA
Justin McWilliams, MD
     Assistant Professor
Interventional Radiology
                  UCLA
Demographics
Carcinogenesis
Diagnosis
Staging
 4th
    leading cause of
 global cancer death

 Incidence has tripled in
 the last 3 decades, and
 continues to increase
 in the Western world


  Parkin DM, Bray F, Ferlay J, et al. Global cancer statistics, 2002. CA Cancer J Clin. 2005;55:74–108.
    In western world, cirrhosis precedes HCC
     in 95% of cases

    Chronic liver injury -> regeneration ->
     dysplasia -> malignancy
       • Hepatitis C cirrhosis (3%/year)
       • Hepatitis B cirrhosis (2.5%/year)
       • Alcoholism (1.6%/year)
       • Hemochromatosis (1.5%/year)
       • Autoimmune hepatitis (1.1%/year)
       • Hepatitis B infection (0.5%/year)
       • Nonalcoholic steatohepatitis (unknown)
       • Less commonly in Wilson’s disease, PBC, PSC


    Bruno S, Silini E, Crosignani A, et al. Hepatitis C virus genotypes and risk of hepatocellular carcinoma in cirrhosis: a prospective study. Hepatology.
    1997;25:754–75.
    Fattovich G, Giustina G, Schalm SW, et al. Occurrence of hepatocellular carcinoma and decompensation in western European patients with cirrhosis
    type B. The EUROHEP Study Group on Hepatitis B Virus and Cirrhosis. Hepatology. 1995;21:77–8
    Screening at-risk patients saves lives
       • HCC detected after onset of symptoms has
         dismal prognosis (0-10% 5-year survival)
       • Screening reduces HCC-related mortality by
         37%, despite <60% adherence

    Ultrasound +/- AFP q6 months in
     patients with cirrhosis and/or Hepatitis
     B infection
       • Ultrasound sensitivity for HCC is 65-80%
       • AFP >20 is 60% sensitive, 40% specific for
           HCC

    Ultrasound sensitivity is reduced
     (<50%) in severely cirrhotic livers
       • Multiphase CT or MRI should be considered
           for screening
Kemp W, et al. Survival in hepatocellular carcinoma: impact of screening and etiology of liver disease. J Gastroenterol Hepatol 2005;20:873-881.
    Imaging has made biopsy unnecessary in
     the vast majority of lesions

    Subcentimeter lesions, particularly if non-
     enhancing, are unlikely to be HCC
       •    Q3 month surveillance for 2 years

    1-2 cm enhancing lesions in cirrhotic liver
     have a high risk of HCC
       •    But if venous washout absent, ~25% are not HCC


    HCC biopsy carries ~2% risk of needle tract
     seeding




    Lencioni R. Evolving strategies in the diagnosis of hepatocellular carcinoma. J Hepatol 2011;54:184-186.
    Shimizu A,, et al. Cirrhosis or chronic hepatitis: evaluation of small (<or= 2-cm) early-enhancing hepatic lesions. Radiology 2003;226(2):550–5.
    Bartolozzi C, et al. HCC diagnosis with liver-specific MRI – close to histopathology. Dig Dis 2009;27:125-130.
   HCC patients are difficult to
    stage prognostically
    • These patients have two deadly
      diseases

   Survival depends on
    • Tumor stage
    • Underlying liver function
    • Physical condition of the patient

   An effective staging system
    should consider all 3 variables
   TNM classification
    • Does not consider
      underlying liver function
    • Recently revised,
      requires validation

   Okuda and CLIP
    • Consider tumor features
      and hepatic function
    • Rather inaccurate for
      prognosis, especially in
      patients with early HCC
   Barcelona Clinic Liver Cancer
    (BCLC)
     •   Includes
         ď‚– Tumor-related parameters (size, number,
           vascular invasion)
          Patient’s clinical condition (ECOG)
         ď‚– Liver function (Child class)


     •   Links stage of disease to treatment
         strategy

     •   Greatest predictive power for survival
         rates

   Most comprehensive and widely
    accepted staging system for HCC
Liver transplantation
Surgical resection
Percutaneous ablation
Transarterial chemoembolization
Yttrium-90 radioembolization
Systemic chemotherapy
Liver transplantation
   Indications and outcomes
   MELD
   Downstaging
   Bridging
Surgical resection
Percutaneous ablation
Transarterial chemoembolization
Yttrium-90 radioembolization
Systemic chemotherapy
 OLT is the best available curative treatment
 for HCC in cirrhotic livers
  • Cures the cancer
  • Cures the underlying cause

 Limited   by disease extent, organ availability
 Originally,
            OLT was reserved for
 patients with contraindications
 to resection
  • Tumor too large
  • Too many tumors
  • Insufficient hepatic reserve

 5-year   survival was 15-40%
  • Much worse than OLT for benign
    disease
   Transplant for early HCC yielded 4-
    year survival of 85%
      • Single lesion up to 5 cm
      • 3 lesions up to 3 cm
      • No vascular invasion / mets


   “Milan criteria”
      • Similar to outcome of OLT in cirrhotics
        without HCC
      • Tumor recurrence rate ~10%
      • Adopted by UNOS as selection criteria


Mazzaferro V. et al. Liver transplantation for the treatment of small hepatocellular carcinoma in patients with cirrhosis. N
Engl J Med 1996.
 Transplant
           for slightly larger
 HCC yielded similar survival
  • Single lesion up to 6.5 cm
  • 3 lesions up to 4.5 cm (max total
    tumor size up to 8 cm)
  • 5-year survival 75%

 “UCSF                    criteria”
  • Prospectively validated
  Yao FY, Ferrell L, Bass NM, et al. Liver transplantation for hepatocellular carcinoma: expansion of the tumor size limits does not adversely impact
  survival. Hepatology. 2001;33:1394–1403.
  Yao FY, Xiao L, Bass NM, et al. Liver transplantation for hepatocellular carcinoma: validation of the UCSF-expanded criteria based on preoperative
  imaging. Am J Transplant. 2007;7:2587–2596
 Largest                  experience has been at
  UCLA
  • 22 years, 467 patients

 5-year survival after OLT
   • Within Milan criteria: 86%
   • Exceeds Milan, within UCSF: 81%
   • Beyond UCSF: 32%

 Supports                      expansion of criteria

  Duffy JP, Vardanian A, Benjamin E, et al. Liver transplantation criteria for hepatocellular carcinoma should be expanded: a 22-year experience with
  467 patients at UCLA. Ann Surg. 2007;246:502–509.
   Imaging-based selection of patients for OLT has
    limitations
     • Poor reproducibility of tumor measurements
     • Weak correlation between tumor size/number and biologic
       behavior
     • High frequency of under- or over-staging (20-25%)


   Toronto criteria
     • Any tumor size/number
     • No systemic symptoms or vascular invasion
     • Not poorly differentiated on biopsy


   189 patients within Milan: 5-year survival 72%

   105 patients beyond Milan: 5-year survival 70%
     •   Biopsy and aggressive bridging therapy improved survival (79%
         vs 61% 5-year survival)

    Dubay D, Sandroussi C, Sandhu L, et al. Liver transplantation for advanced hepatocellular carcinoma using poor tumor differentiation on biopsy as an
    exclusion criterion. Ann Surg 2011;253:166-172.
   Model for End-Stage Liver Disease
     •   Primary determinant of when you get a liver              MELD =
                                                                  3.78 [Ln T bili] + 11.2 [Ln INR] +
   Patients with HCC need to be prioritized for                  9.57 [Ln creatinine] + 6.43
    transplant (MELD exception points)

   T1 patients (single lesion <2 cm) get no                    MELD    Typical observed        3-month
                                                                score   condition               mortality
    bonus
     •   May be a benign lesion                                 <10     Lead normal life        4%
                                                                10-19   Variable, normal to     27%
                                                                        mildly disabled
   T2 patients (single lesion 2-5 cm, or 3 lesions
                                                                20-29   Unable to work,         76%
    up to 3 cm) get a MELD score of 22                                  frequent medical care
     • Score boosted by 10% q3 months                           30-39   Variable, sick          83%
     • This continues until patient is transplanted, dies, or   >39     LOC, intubated, ICU     100%
       drops out due to tumor progression
     • Patients in most regions will get a transplant by ~1
       year (or not…)
   Treatment with TACE or RFA can downstage
    tumors into Milan criteria

   UCSF criteria for downstaging
     • One lesion 5-8 cm
     • 2-3 lesions up to 5 cm, total tumor diameter up to 8 cm
     • 4-5 lesions up to 3 cm, total tumor diameter up to 8 cm


   3 months after tumor is downstaged, exception
    points for OLT are granted
     • “Ablate and wait” crudely assesses tumor biology




    Yao FY, Kerlan RK, Jr, Hirose R, et al. Excellent outcome following down-staging of hepatocellular carcinoma prior to liver transplantation: an
    intention-to-treat analysis Hepatology 2008
   Patients with tumors exceeding Milan do well with
    transplant after downstaging
     • Success of downstaging 24-90%
     • If downstaging is successful, post-transplant 5-year survival
       55-94%

   Successful downstaging selects less aggressive
    tumors
     • Able to be downstaged
     • Remains downstaged over a waiting period of 3-6 months
     • Infiltrative tumors and high AFP predict downstage failure


   Eligibility for downstaging is unclear
     • Only tumors slightly beyond Milan?
     • Any tumor without major vessel invasion or extrahepatic
       disease?


    Barakat O, et al. Morphological features of advanced hepatocellular carcinoma as a predictor of downstaging and liver transplantation: an intention-to-
    treat analysis. Liver Transplantation 2010;16:289-299.
   Systematic review of downstaging
    for HCC beyond Milan criteria

   8 studies, 720 patients

   Successful downstaging 24-69%

   3-year survival 79-100%

   5-year survival




    Barakat O, et al. Morphological features of advanced hepatocellular carcinoma as a predictor of downstaging and liver transplantation: an intention-to-
    treat analysis. Liver Transplantation 2010;16:289-299.
 “Downstaging with a subsequent interval
 of observation to assess biologic
 aggressiveness should be considered for
 patients beyond Milan criteria.
 Downstaged patients should be
 considered for MELD exception points.”



 Jarnagin W, et al. Surgical treatment of hepatocellular carcinoma: expert consensus statement. HPB 2010;12:302-310.
   Natural history of patients with
    HCC within Milan criteria, at 1
    year
    • 70% will have tumor growth
    • 20% will develop vascular invasion
    • 9% will develop metastases


   Risk of drop-out is up to:
    • 11% at 6 months
    • 57% at 12 months
    • 75% at 18 months


    Jarnagin W, et al. Surgical treatment of hepatocellular carcinoma: expert consensus statement. HPB 2010;12:302-310.
   87 patients listed for OLT              52 patients listed for OLT
     • 43 non-TACE and 22 TACE                • Bridged with RFA
       patients were comparable               • Complete tumor necrosis in 85%
     • TACE group had drop-off rate of        • Drop-off rate of 6% at 1 year
       3%
                                              • Post-OLT survival of 76% at 3
     • Non-TACE group had drop-off              years, no HCC recurrence
       rate of 15%
 “Bridgingtherapy with TACE and RFA
 have low morbidity, favorable HCC
 response, and probably reduce drop-out
 for patients with wait times >6 months”




  Jarnagin W, et al. Surgical treatment of hepatocellular carcinoma: expert consensus statement. HPB 2010;12:302-310.
 “OLT  is the preferred treatment for patients
 with cirrhosis and HCC meeting Milan
 criteria”

 “OLTshould be considered on a highly
 selective basis for patients beyond Milan
 but within UCSF criteria”


 Jarnagin W, et al. Surgical treatment of hepatocellular carcinoma: expert consensus statement. HPB 2010;12:302-310.
Liver transplantation
Surgical resection
   Indications and outcomes
   Portal vein embolization
Percutaneous ablation
Transarterial chemoembolization
Yttrium-90 radioembolization
Systemic chemotherapy
 Standard treatment for resectable HCC in
 patients without cirrhosis

 Only~5% of HCC patients in the Western
 world qualify

 Perioperative mortality                                                      rates
  • Cirrhotic liver: 7-25%
  • Non-cirrhotic liver: <3%


  Jarnagin W, et al. Surgical treatment of hepatocellular carcinoma: expert consensus statement. HPB 2010;12:302-310.
   Advantages
    • No restrictions on tumor size or number (within a lobe)
    • Macrovascular invasion acceptable
    • No obligatory waiting time
    • Allows complete pathologic evaluation


   Disadvantages
    • Only feasible in non-cirrhotic or mildly cirrhotic livers without portal
      hypertension
    • Precancerous cirrhotic liver remains
    • Perioperative mortality about 5%
    • Significant post-operative morbidity



    Jarnagin W, et al. Surgical treatment of hepatocellular carcinoma: expert consensus statement. HPB 2010;12:302-310.
   Overall 5-year survival for hepatic resection in HCC is 25-50%
     • If solitary tumor and non-cirrhotic liver, 5-year survival is 41-74%
     • If HCC is multifocal or has vascular invasion, 5-year survival is <25%


   Liver function and portal hypertension are important predictors of
    post-operative liver failure and 5-year survival
     • Normal serum bilirubin and no portal HTN: 70%
     • Normal serum bilirubin and portal HTN: 50%
     • Elevated serum bilirubin and portal HTN: 30%


   Post-resection recurrence rates are high
     • 70% at 5 years
     • >80% intrahepatic; usually due to dissemination from primary tumor
     • Associated with high AFP, larger/more numerous tumors, and vascular invasion


    Bruix J, Castells A, Bosch J, et al. Surgical resection of hepatocellular carcinoma in cirrhotic patients: prognostic value of preoperative portal pressure.
    Gastroenterology 1996;111(4):1018–22..
   Liver resection is often limited due to inadequate
    volume of the future liver remnant
     • Normal patients can survive if 20% of liver volume
       remains
     • Post-chemotherapy patients need 30% of liver
     • Patients with fibrosis/early cirrhosis need 40% of liver


   Portal vein embolization can pre-operatively
    enlarge the future liver remnant
     • Redirection of nutrient-rich portal vein blood enlarges the
       FLR
     • May enable resection in patients who would otherwise not
       be candidates




    De Baere T, et al. Preoperative portal vein embolization: indications and technical considerations. Tech Vasc Interv Radiol 2007;10:67-78.
    Memorial Sloan-Kettering Cancer Center. “Portal vein embolization.” Patient brochure, 2005.
     Technical considerations
           •   Access ipsilateral (into tumor bearing lobe)
           •   5F sheath and pigtail portogram; consider pressures
           •   Kumpe catheter and microcatheter for segment IV (if needed)
           •   Simmons-2 or Sos-2 catheter for right portal branches
           •   100-700 micron Embospheres followed by coils; or NBCA
           •   Final portogram
           •   Embolize access tract with coils or gelfoam

       Results at 4 weeks post-PVE
           •   53-90% hypertrophy of FLR in normal liver
           •   28-42% hypertrophy of FLR in cirrhotic liver

       Complications
           •   Well-tolerated
           •   Occasional transient liver insufficiency in cirrhotics
           •   Poor technique can occlude entire PV
           •   If tumor is present in FLR, its growth may be more rapid

Madoff D, et al. Portal vein embolization with polyvinyl alcohol particles and coils in preparation for major liver resection for
hepatobiliary malignancy: safety and effectiveness- study in 26 patients. Radiology 2003;227:251-260.
De Baere T, et al. Preoperative portal vein embolization: indications and technical considerations. Tech Vasc Interv Radiol
2007;10:67-78.
   “Resection with wide margins is the treatment of
    choice for HCC in patients without cirrhosis”

   “Resection is acceptable for cirrhotic patients
    (Childs A without portal hypertension) with single
    HCC, regardless of size.”

   “Highly selected patients with multifocal HCC or
    major vascular invasion may be resected, but
    recurrence rates are high.”

    Jarnagin W, et al. Surgical treatment of hepatocellular carcinoma: expert consensus statement. HPB 2010;12:302-310.
Liver transplantation
Surgical resection
Percutaneous ablation
   PEI
   Radiofrequency ablation
   Microwave ablation
Transarterial chemoembolization
Yttrum-90 radioembolization
Systemic chemotherapy
   Ethanol injection causes vessel
    thrombosis and protein denaturation
     • Complete necrosis of small (<2 cm) HCC
       can be achieved
     • Tumors near sensitive organs can be
       treated; no heat sink effect

   5-year survival of 32-38%

   Disadvantages
     • Multiple treatment sessions needed
     • Uncertain ablation zone
     • High local recurrence rate (17-38%)
   RF current induces thermal
    coagulation necrosis around an
    electrode
     • Complete ablation rates >80% for small
       to medium HCC
     • Local recurrence uncommon (1-12%)


   5-year survival of 40-58%

   Disadvantages
     • Relies on thermal conduction (limited
       ablation size)
     • Heat sink effect
     • Slow




    McWilliams J, et al. Percutaneous ablation of hepatocellular carcinoma: current status. J Vasc Interv Radiol 2010;21:S204-S213.
    Hinshaw J. The role of image-guided tumor ablation in the management of liver cancer. Cancer News review article.
     Three RCTs and two meta-
        analyses confirm superiority of
        RFA over PEI for small HCC
           • 5-year survival about 15% better for                                                                 PEI: 5-year              RFA: 5-year
             RFA versus PEI                                                                                      survival 35%              survival 50%

           • Less local tumor recurrence for RFA
           • 3x fewer treatment sessions for RFA


       PEI still useful for tumors in
        sensitive locations


Shiina S, Teratani T, Obi S, et al. A randomized controlled trial of radiofrequency ablation with ethanol injection for small hepatocellular carcinoma.
Gastroenterology 2005; 129:122–130.
Lin SM, Lin CJ, Lin CC, Hsu CW, Chen YC. Radiofrequency ablation improves prognosis compared with ethanol injection for hepatocellular
carcinoma or 4 cm. Gastroenterology 2004; 127:1714–1723.
Lencioni RA, Allgaler HP, Cloni D, et al. Small hepatocellular carcinoma in cirrhosis: randomized comparison of radio-frequency thermal ablation
versus percutaneous ethanol injection. Radiology 2003; 228:235–240.
   Next-generation RF ablation
    electrodes are available
    • Internal cooling
    • Saline injection
    • Expandable tines


   Ablation zones of 4-7 cm are
    achievable




    McWilliams J, et al. Percutaneous ablation of hepatocellular carcinoma: current
    status. J Vasc Interv Radiol 2010;21:S204-S213.
   Next-generation ethanol injection
    needles now available
    • Expandable tines
    • Multiple sideholes


   Tumors up to 5 cm can be
    ablated
    • 88% complete ablation rate
    • 12% local recurrence rate (56% in
      tumors 3-5 cm)
    • 2% major complication rate




    Kuang M, et al. Ethanol ablation of hepatocellular carcinoma up to 5.0 cm by using a
    multipronged injectino needle with high-dose strategy. Radiology 2009;253:552-561.
   Microwave creates a field of electromagnetic
    energy and thermal coagulation around an
    antenna
     •    Active heating not reliant on conduction (faster, larger
          ablation zones)
     •    Less heat-sink effect
     •    Multiple antennae can be activated simultaneously

   5-year survival of ????

   Next-generation 2450 MHz MW ablation devices
    now available
     •    17-gauge antennae
     •    CO2 based internal cooling
     •    High power (140 watts)
     •    Large ablation zones (3.5 x 5 cm)




     McWilliams J, et al. Percutaneous ablation of hepatocellular carcinoma: current status. J Vasc Interv Radiol 2010;21:S204-S213.
 “Local ablation is safe and effective therapy
 for patients who cannot undergo resection,
 or as a bridge to transplantation.”




 American Association for Study of Liver Diseases (AASLD) and European Association for the Study of the Liver
 (EASL).
Liver transplantation
Surgical resection
Percutaneous ablation
Transarterial chemoembolization
   Conventional TACE (cTACE)
   Drug-eluting beads (DEB-TACE)
   Pushing the envelope
Yttrium-90 radioembolization
Systemic chemotherapy
   HCC takes its blood supply almost
    exclusively from the hepatic artery

   Surrounding normal liver has dual
    blood supply (with portal vein)

   Chemotherapy + embolic agent
    administered into hepatic artery
    should selectively kill tumor while
    sparing normal liver
1. Celiac and SMA arteriography with late-phase
   portal vein imaging
   • Determine arterial supply to tumor
   • Detect hepatic arterial variations
   • Identify non-target arteries (right gastric, etc)
   • Determine patency of portal vein and hepatopetal flow


2. Subselection of tumor-bearing artery

3. Embolize to near-stasis or stasis
   • Chemotherapy (doxorubicin, cisplatin, mitomycin C)
   • Lipiodol vehicle; selectively retained by HCC
     ď‚– Causes ischemia
     ď‚– Extends contact of chemotherapy with tumor
   • Finish embolization with gelfoam or particles
   6 randomized trials in 1990s showed no
    benefit of TACE for unresectable HCC

    • Selection criteria not stringent
      ď‚– Prognosis related to functional status of underlying
        liver


    • Many patients not aggressively re-treated
      ď‚– Objective responses to TACE are not maintained
        with time


    • Nonselective embolization often used
   RCT of TACE vs. symptomatic
    treatment for unresectable HCC

   112 patients
    • Mostly Hepatitis C
    • 75% had multinodular tumor
    • Mean diameter of main nodule was ~5
      cm
    • About 75% Child A, 25% Child B
    • ~80% ECOG 0, max ECOG 2
   Exclusion criteria:
                                                                         Treatment schedule:
     •   Age >75
                                                                          • Baseline, 2 months, 6
     •   Child class C                                                      months, then q6 months
     •   Active GI bleeding, encephalopathy, refractory ascites             thereafter
     •   Vascular invasion (including segmental portal obstruction)       • Mean treatment sessions ~3
     •   Extrahepatic spread

     •   Portosystemic shunt
                                                                         Doxorubicin used
                                                                          • 25-75 mg depending on liver
     •   Hepatofugal blood flow
                                                                            function
     •   Platelets <50                 Only 38% of                        • All received 10 cc Ethiodol
                                       patients with
     •   PT activity <50%
                                       intermediate
     •   Renal failure                 HCC (target                       Embolization completed
     •   Severe atheromatosis
                                       population) were                   with gelfoam
                                       enrolled!
     •   Bilirubin >5.0

     •   WBC <3.0

     •   EF <50%

     •   End-stage tumor
 Survival at 3   years:
  • TACE: 29%

  • Symptomatic: 17%

 TACE improves survival!
   • Selective recruitment needed to obtain survival
    advantage
 RCT of TACE vs. symptomatic
 treatment for unresectable HCC

 80   patients
  • Mostly Hepatitis B
  • 60% had multifocal tumor
  • Mean diameter of main nodule was ~7 cm
  • ~25% had right or left PV obstruction
  • ~50% ECOG 0, max ECOG 3
   Exclusion criteria:                          Embolization performed at
                                                  baseline, and every 2-3 months
     •   Active or recent GI bleeding,            thereafter
         encephalopathy, refractory ascites
                                                   •   Median treatment sessions ~4.5

     •   Serum bilirubin >2.9
                                                 Relatively nonselective
                                                   •   Right or left hepatic artery injection for unilobar
     •   Albumin <2.8 mg/dL                            tumors
                                                   •   Proper hepatic artery injection for bilobar
     •   PT >4 seconds over control                    tumors


     •   Creatinine >2.0                         Cisplatin was chemotherapeutic
                                                   •   Median 10 mg, depending on tumor size
     •   Extrahepatic metastasis                   •   Median 10 cc Ethiodol


     •   Main PV thrombosis                      Embolization completed with
                                                  gelfoam
     •   Arteriovenous shunting


     •   ECOG grade 4
 Survival at 3   years:
  • TACE: 26%

  • Symptomatic: 3%

 TACE improves survival!
   • Even in less selected patient population
   Meta analysis of cTACE
    • Meta-analysis of 5 RCTs of TACE versus symptomatic treatment;
      and 13 RCTs of different transarterial modes of therapy

   TACE reduced 2-year mortality (OR 0.54) compared to
    symptomatic treatment

   TACE does not appear superior to TAE




                           Camma C, et al. Transarterial chemoembolization for unresectable
                           hepatocellular carcinoma: meta-analysis of randomized controlled trials.
                           Radiology 2002.
 Cohort   study of 8510 patients having cTACE
  • Initial treatment


  • Unresectable HCC


  • No extrahepatic disease


  • 5-year survival 26%



                        Takayasu K, et al. Prospective Cohort Study of Transarterial
                        Chemoembolization for Unresectable Hepatocellular Carcinoma in 8510
                        Patients. Gastroenterology 2006.
   AFP                      Child class                        Max tumor size
    • <20 = 34%               • A = 33%                             • <=2 cm = 39%
    • 21-200 = 27%            • B = 21%                             • 2.1-3 cm = 28%
    • 201-1000 = 19%          • C = 8%                              • 3.1 – 5 cm = 23%
    • >1000 = 15%                                                   • >5 cm = 16%



        # of lesions                        PV invasion
          • 1 = 33%                             • None = 28%
          • 2-3 = 24%                           • Peripheral branch = 12%
          • 4 or more = 16%                     • Left or right = 11%
                                                • Main = 0%

                               Takayasu K, et al. Prospective Cohort Study of Transarterial
                               Chemoembolization for Unresectable Hepatocellular Carcinoma in 8510
                               Patients. Gastroenterology 2006.
 “TACE   is first-line non-
 curative therapy for non-
 surgical patients with large
 or multifocal HCC who do
 not have vascular invasion
 or extrahepatic spread
 (level I evidence).”

 American Association for Study of Liver Diseases (AASLD) and European Association for the Study of the Liver
 (EASL).
   Chemotherapy in lipiodol washes out
    of tumor quickly
    • Less effective tumor kill
    • More systemic side effects


   Chemotherapy loaded onto a particle
    can be eluted slowly
    • LC beads: Size-calibrated spherical hydrogel
      particle which can be loaded with doxorubicin


    • Chemotherapeutic elutes gradually over
      weeks, though tumor necrosis greatest at 7-
      14 days
   RCT vs. bland embo
                                                          Mid-term survival data
     •   41 DEB-TACE vs. 43 bland embo                      •   71 patients

     •   Child A and B, ECOG 0 or 1                         •   Child A and B, ECOG 0 or 1

     •   Procedures q2 months up to 3; 100-300 and          •   Exclusion criteria: Creatinine >2, Portosystemic
         300-500 micron LC beads                                shunt, Hepatofugal blood flow, Main portal vein
                                                                thrombus, extrahepatic disease

   DEB-TACE:                                               •   1-4 procedures, q3 months as needed. 100-
     •   Higher complete response rate at 6 months              300 and 300-500 micron LC beads with 150
         (27 vs 18%)                                            mg doxorubicin per treatment.
     •   Lower recurrence rate at 12 months (46% vs
         78%)                                             88% survival at 30 months (better
     •   Longer time to progression (42 vs 36 weeks)       than historical cTACE)
   212 patients randomized to DEB-TACE with LC beads
    vs. cTACE with doxorubicin
     •   Child A and B, ECOG 0 or 1


     •   Exclusion criteria: Bili >3, Vascular invasion, >50% tumor, extrahepatic
         spread, AST or ALT >5x normal


     •   1 vial 300-500, 1 vial 500-700 micron LC beads, 75 mg doxo/vial
         vs. 150 mg doxo in Ethiodol with operator choice embolic


     •   Treatments q2 months up to 3 treatments; tumor response
         evaluated at 6 months


   Tendency toward better response with DEB-TACE (52
    vs. 44%)

   Significant reduction in liver toxicity and side effects with
    DEB-TACE

   Survival was not an endpoint (too short f/u)
   Expandable microspheres made of
    sodium acrylate/vinyl alcohol
    copolymer

   Ionically binds doxorubicin

   Arrive dehydrated; when placed in
    saline or contrast, they increase in
    volume (50-100 micron goes to
    150-300 micron)

   Soft and deformable, conform to
    vessel wall
   Single-arm trial of 50 patients
     • Child A

     • Exclusion criteria
       ď‚– Tumor size >10 cm, Portal vein invasion, Extrahepatic
         disease


     • 50 mg doxo or epirubicin per treatment,
       repeated “on demand”                                      ? Survival ?

     • 6-month results:                                          ? Durable effect ?
       ď‚–   CR in 52%
       ď‚–   PR in 26%
       ď‚–   PD in 23%                                             ? Comparison to LC
       ď‚–   Only 31/50 followed up                                beads or cTACE ?

   “Safe, well-tolerated and efficient
    agent to produce tumor necrosis”
   164 patients with segmental or              125 patients with main PV
   281 consecutive patients          major PV invasion                            invasion
    with PV invasion studied           •   84 treated with TACE vs. 80 with         •   83 treated with superselective
    retrospectively                        supportive care                              TACE vs. 42 with supportive
                                       •   1-year survival 31% vs. 4%                   care
                                                                                    •   Repeated TACE showed
                                       •   2-year survival 9% vs. 0%
   Aggressive repeated TACE                                                            survival benefit (5.6 vs. 2.2
                                       •   Significant advantage for TACE in            months)
    was well tolerated and                 both segmental and major PV
                                                                                    •   29% morbidity rate (similar to
    showed significant survival            invasion
                                                                                        supportive care), no mortality
    benefits (median survival          •   No procedure-related mortality
                                                                                    •   Selection bias?
    10 vs 2 months)
   Retrospective study of >1000
    patients
     • 843 patients <70 compared to 197
       patients >70

     • Elderly patients had more comorbid
       disease (64 vs 33%) but had earlier
       stage of HCC

     • Overall survival better for the old people
       ď‚– 14 vs. 8 months
       ď‚– TACE tolerated equally well


   TACE is good for young and old
    alike
   114 patients who underwent
    TACE for post-surgical
    recurrence
     • 50% of recurrences were single
       nodular

     • Mean size of recurrent tumor = 2.1
       cm

     • Overall survival was 32% at 5
       years

   TACE is safe and effective for
    HCC recurrence after surgery
Liver transplantation
Surgical resection
Percutaneous ablation
Transarterial chemoembolization
Yttrium-90 radioembolization
Systemic chemotherapy
   Transarterial administration of radioactive
    microspheres (Yttrium-90)
     • Half-life 64 hours; decays into stable zirconium-90
     • Beta-emitter with path length of 2.5 mm
     • Particles lodge in the tumor, producing very high local
       radiation dose (100-1000 Gy or more)
     • Not dependent on flow occlusion


   TheraSpheres
     • FDA approved under Humanitarian Device Exemption
       for use in treatment of HCC
     • Glass particle, 15-35 micron diameter
     • 1.2-8 million spheres per vial (3GBq)
     • Minimally embolic


   Two scenarios must be avoided with Y90
     • Shunting into lung (radiation pneumonitis)
     • Nontarget embolization of GI tract (ulceration)
   Liver-only or liver-dominant tumor, not suitable
    for radical therapy
     • Resection
     • Liver transplantation
     • Ablation


   Preserved functional status
     •   ECOG 0-2


   Preserved hepatic function
     • Total bili <= 2.0
     • Albumin >= 3.0
     • No ascites or other clinical signs of liver failure


   Low risk of pulmonary effects
     • <20% hepatopulmonary shunt
     • <30 Gy expected dose delivery to lungs (<50 Gy for
       multiple infusions)
1. Superior mesenteric angiogram
    •   Detect hepatic arterial variations
    •   Determine patency of portal vein and hepatopetal flow

2. Complete celiac angiography
    •   Map arterial anatomy
    •   Detect extrahepatic supply to tumor
    •   Det

3. Prophylactic embolization of any vessel in the
    treatment zone which does not lead to liver
    •   GDA
    •   Right gastric
    •   Accessory left gastric
    •   Falciform
    •   Supraduodenal
    •   Cystic

4. Place microcatheter at site of expected Y90 treatment
and administer 4 mCi Tc-99m MAA
    •   Similar size particles to TheraSpheres
    •   Perform MAA scan to see distribution of particles
    •   Measure lung-shunt fraction (must be <20%)
    •   Detect any mesenteric flow
1. 2 weeks after mesenteric mapping,
   patient returns for Y90 administration

2. Repeat celiac/hepatic angiography
    • Ensure continued occlusion of embolized
      vessels


3. Position microcatheter in lobar artery
   supplying the most tumor and infuse Y90

4. If bilobar disease, patient will return in 1
month for Y90 treatment of opposite lobe
   108 patients with unresectable                   291 patients with unresectable intermediate
    intermediate or advanced HCC                      or advanced HCC
     •   No extrahepatic disease                       •   PVT and limited extrahepatic disease allowed
                                                       •   17% BCLC A; 28% B; 52% C; 3% D
   159 sessions of TheraSphere Y-90
     •   40% response rate (almost all partial)      526 sessions of TheraSphere Y-90
     •   Time to progression 10 months                 •   42% response rate
     •   Overall median survival 16 months             •   Time to progression 8 months
     •   Transient fatigue syndrome and                •   Survival: 17 months Child A; 8 months Child B
         abldominal pain                               •   Fatigue, pain, nausea, elevated LFTs (all 20-50%)
   8-center study of 325 patients with
    unresectable intermediate or advanced
    HCC
     •   82% Child A, 18% Child B
     •   24% solitary, 76% multifocal
     •   9% extrahepatic metastases
     •   14% branch PV occlusion, 10% main

   Overall median survival 12.8 months

   Predictors of poor survival:
     •   ECOG status
     •   >5 nodules
     •   INR >1.2
     •   Extrahepatic disease
   Y90 expected to be better tolerated than TACE
    in patients with PV invasion

     •   Y-90 is less embolic; therefore less risk of hepatic
         infarction

     •   Median overall survival 7-10 months
         ď‚– 4 months in main PV invasion


     •   Mostly grade 1 and 2 toxicities
         ď‚– Abdominal pain (38%)
         ď‚– Nausea (28%)
         ď‚– Fatigue (22%)
         ď‚– Ascites (13%)
         ď‚– Encephalopathy (13%)


   Y90 is safe and shows tumor response in
    patients with branch or lobar PV invasion.
   Minimal data on use of Y90 as
    bridging or downstaging therapy

   One retrospective study, cohorts not
    very well matched, included tumors
    >8 cm (especially in TACE group)
     • 43 patients with conventional TACE, 43
       patients with Y90
     • Downstaging achieved in 31% of TACE vs.
       58% of Y90 patients
     • Overall median survival favored Y90 (19
       vs. 36 months), perhaps because more
       Y90 patients got transplant

   Y90 seems effective as a
    bridging/downstaging therapy
   Parasitized extrahepatic arteries
     •   Usually R phrenic or R intercostal arteries supplying
         tumor
     •   Contraindicated to deliver Y90 to these arteries
     •   Instead, occlude them with large particles (500-700 or
         700-900 micron Embospheres) followed by coils
     •   There should be immediate redistribution of flow from
         the hepatic circulation (96%)
     •   This redistribution can be confirmed by DSA or C-arm
         CT of the hepatic artery
   Accessory hepatic arteries
    • Presence of accessory/replaced hepatic
      arteries may increase the number of
      injection points and could increase risk
      (especially with embolic SIR-spheres)
    • Instead of treating these
      accessory/replaced arteries, consider coil-
      embolizing them proximally
    • There is rapid redistribution of arterial
      supply from the non-embolized hepatic
      artery branches
    • Tumor response in the redistributed
      segments was similar in 96% of patients
      and worse in 4% (but excluded those who
      had diffuse progression…)
Liver transplantation
Surgical resection
Percutaneous ablation
Transarterial chemoembolization
Yttrium-90 radioembolization
Systemic chemotherapy
   Traditional chemotherapy regimens
    had high toxicity and low efficacy

   Targeted agents show promise
    •   Sorafenib
    •   Sunitinib
    •   Brivanib
    •   Avastin
    •   mTOR inhibitors (sirolimus, everolimus)
    •   Others
   SHARP trial
     •   Phase III, double-blind, placebo-controlled trial

     •   602 patients
         •   Not eligible for, or had progression with locoregional therapies
         •   ECOG 2 or less; Child A; adequate hematologic, liver and renal
             function
         •   36% with vascular invasion; 53% with extrahepatic spread

     •   Median survival extended 3 months with sorafenib (10.7
         vs 7.9 months)
     •   0% CR; 2% PR; 71% SD; 18% PD

     •   Major adverse events: 8% diarrhea, 8% hand-foot skin
         reaction

•   Asian SHARP trial
     •   Similar study design, 271 patients

     •   Median survival extended 2 months with sorafenib (6.5
         vs 4.2 months)

     •   Major adverse events: 11% HFSR, 6% diarrhea, 3%
         fatigue
Resection vs. TACE
Resection vs. ablation
   Ablation vs. TACE
       TACE vs. Y90
   185 patients with resectable early-      419 patients with resectable HCC
    stage HCC and Child A cirrhosis            • 46 had TACE
     •   73 had superselective TACE            • 311 had resection
     •   112 had resection                     • 62 refused treatment (supportive
                                                 care)
   5-year survival
                                             5-year survival
     •   TACE: 52% (ns)
                                               • TACE: 34% (ns)
     •   Resection: 57% (ns)
                                               • Resection: 43% (ns)
                                               • Supportive care: 7% (p = 0.0001)
   3225 patients with HCC                    87 patients with resectable HCC
    retrospectively grouped by clinical         • 20 had TACE
    prognosis and tumor burden                  • 67 had resection


   Compensated patients with 3 or fewer      5-year survival
    tumors, any size                            • TACE: 18%
     •   Surgery: 45-55% 5-year survival        • Resection: 55% (p<0.05)
     •   TACE: 17-20% 5-year survival
   115 RFA vs. 115 surgery                      180 patients with solitary HCC <5 cm
     •   HCC within Milan criteria                  •   Half had HCC <3 cm, half had HCC 3-5 cm


   Survival at 5 years:                         Survival at 4 years:
     •   RFA 55%                                    •   RFA 68%
     •   Surgery 76% (p<0.05)                       •   Surgery 64%


                                                 DFS at 4 years:
   DFS at 5 years:
                                                    •   RFA 46%
     •   RFA 29%
                                                    •   Surgery 52%
     •   Surgery 51% (p<0.05)
                                                 RFA had fewer adverse events (55% vs 4%)
   RFA had fewer adverse events (32 vs. 5)
   5317 American patients with HCC
   7185 patients with HCC (3 tumors up to 3          •   Median tumor size 6 cm
    cm) and Child A/B liver function                  •   52% solitary; 28% multiple; 20% extrahepatic
                                                      •   30-day mortality was 8% resection; 3% OLT; 3%
   3022 RFA patients                                     ablation; 31% no or incomplete local therapy
     •   55% tumor recurrence in 2 years              •   5-year survival 67% OLT; 35% resection; 20% ablation;
     •   1.6% death rate at median 10 months              3% no or incomplete local therapy


   2857 resection patients                         Prognostic factors
     •   35% tumor recurrence in 2 years              •   Disease extent
     •   1.9% death rate at median 10 months          •   Tumor grade
                                                      •   Tumor size
   Relative risk or recurrence was 0.62 in           •   Vascular invasion
    resection group; no difference in survival        •   Age


                                                    Selection bias is likely
   91 patients with unresectable HCC (up to 3 nodules, each up to
    5 cm)
                                                                        258 patients with hypervascular HCC (1 nodule
   40 TACE patients
                                                                         <5 cm or up to 3 nodules <3 cm)
      •   Mean 6 sessions
      •   58% survival at 2 years                                         •   Mean tumor size 1.7 cm in both groups
                                                                          •   TACE group had more multifocal tumors, more
   51 RFA patients                                                           peripheral tumors, more previously treated tumors
      •   Mean 1 session
      •   72% survival at 2 years (ns)
                                                                        133 TACE patients
   Morbidity higher for RFA (28% vs. 10%)                                •   Local recurrence 51% at 2 years

   No treatment-related mortality
                                                                        105 RFA patients
   Similar time to progression                                           •   Local recurrence 40% at 2 years (p<0.05)
   790 patients with unresectable
                                                        intermediate-stage HCC +/- PVT
   245 comparable patients with
    unresectable intermediate-stage
                                                       99 had TheraSphere Y-90 vs. 691 had
    HCC and no PVT
                                                        repetitive cTACE
                                                         •   Overall median survival 11.5 vs. 8.5 months
   123 underwent TheraSphere Y-90                           (p<0.05)
    vs. 122 had TACE                                     •   But, TACE group had more severe liver disease
     •   72% vs. 69% response rate (ns)                  •   No difference in survival after controlling for
     •   Time to progression 13 vs. 8 months                 underlying disease
         (p=.046)                                        •   Y-90 (outpatient, 1 or 2 treatments) is compelling
     •   Overall median survival 20 vs. 17 months            as a palliative treatment option compared to
         (ns)                                                TACE (inpatient stay, multiple treatments)
     •   Less abdominal pain and LFT increase
         with Y90
   73 comparable patients with unresectable HCC,
    ~35% with vascular invasion
      •   Segmental PV occlusion could have TACE or Y90
      •   Extensive PV occlusion favored Y90


   38 underwent TheraSphere Y-90 vs. 35 had
    TACE
      •   7 Y90 patients and 2 TACE patients crossed over
      •   Median survival 8.0 vs. 10.3 months (ns)
      •   Mean total hospitalization (initial + re-hospitalization)
          days 0.5 vs. 3.5 (p<0.001)
      •   Complication rate higher for TACE, mostly due to
          more severe PES
TACE + ablation
TACE + sorafenib
   83 patients treated with
    TACE/RFA compared with 231
    patients treated with RFA alone

     •   Small HCC (2-3 cm)

     •   Median follow-up 37 months

     •   5-year survival 63% vs 53% (ns)

     •   Local tumor progression 16% vs.
         41% (p<0.001)

     •   Rate of major complications ~1% for
         both groups
   37 patients with solitary HCC 3.1-5.0
    cm
                                                          89 patients with 93 HCC <3 cm
     •   TACE-RFA same day vs. RFA alone
                                                            •   TACE then RFA 1 week later vs. RFA
     •   Slightly larger ablation size with TACE-RFA
                                                                alone
         (5.0 vs. 4.1 cm)
                                                            •   Local tumor progression 18% vs. 14% at 4
     •   Local tumor progression 6% vs. 39% at 3
                                                                years (ns)
         years (p=.012)
                                                            •   Overall survival 73% vs. 74% at 4 years
     •   Overall survival 93% vs. 80% (ns)                      (ns)
     •   Rate of major complications ~1% for both
                                                            •   Rate of major complications ~2% in both
         groups
                                                                groups
   14 patients
     • Sorafenib 200-400 mg daily starting 7 days prior to TACE
     • cTACE with doxorubicin (median 2 per patient)
     • Sorafenib continued median 8 months


   Adverse effects were comparable to sorafenib monotherapy

   No increases in circulating VEGF levels after TACE while
    patients were on sorafenib

   Phase II/III trials pending
What have we learned?
   Interventional radiology plays a key role (maybe the
    key role!) in liver cancer treatment
    • Percutaneous ablation
                                           •   Early HCC
    • TACE                                      •
                                                •
                                                    Preserved liver function: Resection or ablation
                                                    Compromised liver function: Transplantation
                                                    •   Bridge to transplant with ablation or TACE
    • Y-90
                                           •   Intermediate HCC:
                                                •   Preserved liver function: TACE, Y90 and/or ablation
    • Portal vein embolization                      •   Downstage to transplant if possible
                                                •   Compromised liver function: Supportive care
                                                    •   Consider extended criteria OLT or LDLT
    • Downstaging to transplant
                                           •   Advanced HCC:
    • Bridging to transplant                    •
                                                •
                                                    Preserved liver function: Sorafenib or Y90
                                                    Compromised liver function: Supportive care


    • Percutaneous biopsy
    • Transjugular pressure measurements
    • Salvaging operative mishaps
TS


                65 y/o female

             Hepatitis B cirrhosis

 Routine screening US and CT demonstrated
          two adjacent 4-cm HCCs

           Not a surgical candidate              TACE 1/26/2010: 75 mg
                                                 doxorubicin on LC beads
        Outside Milan criteria for OLT

Referred for locoregional therapy and possible
                 down-staging
MRI 2/25/2010: No residual tumor.
Patient downstaged, exception points
          awarded for OLT




                                       TACE #2 6/8/2010



                                                          22.5 mg doxorubicin on
                                                           LC beads to R hepatic
            Awaiting OLT                                          artery




           CT 4/24/2010:
      Intrahepatic recurrence
TACE #3 11/18/2010




                                               75 mg doxorubicin on
                                               LC beads to R phrenic
                                               and R hepatic arteries




    MRI 10/25/2010:
Intrahepatic recurrence
MRI 12/20/2010: Minimal residual tumor

Successful OLT 1/22/2011 (1 year after first
               intervention)

  Now almost 1 year s/p OLT, doing well
          without recurrence
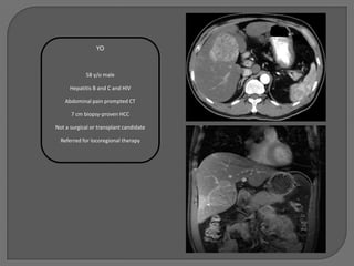
YO


            58 y/o male

      Hepatitis B and C and HIV

    Abdominal pain prompted CT

      7 cm biopsy-proven HCC

Not a surgical or transplant candidate

  Referred for locoregional therapy
MRI 1 month later –
100 mg doxorubicin on      mass mostly
      LC beads           devascularized
Follow-up MRI –
  Percutaneous       complete necrosis, no
microwave ablation    recurrence at 4 mos
TG


               39 y/o female

    Fibrolamellar HCC diagnosed in 2001

Left lobe resection of 9 x 11 cm mass in 2001

  Recurrence 2007 with partial right lobe
               resection
                                                CT 4/9/2010: At least
Presents with multifocal recurrence 2/2010      10 hypervascular liver
                                                       masses
   Not a surgical or transplant candidate

 Presented at tumor board and referred for
           locoregional therapy
TACE 5/3/2010   100 mg doxorubicin on
                      LC beads




                                        2 weeks later, returns
                                        with fevers, RUQ pain
CT 5/19/2010: near- complete
       tumor necrosis




                               Prolonged     CT 8/6/2010: Biloma
    Percutaneous biloma         catheter         resolved, but
          drainage              drainage   intrahepatic recurrence
                                            and new lung nodule.
                                                To study drug
August 2009 –
present                                                100 patients with HCC referred for
                                                             locoregional treatment
                                                                                                                                      3 contraindicated for treatment
                                                                                                                                      (bilirubin too high, extrehepatic
                                                                                                                                      disease, hepatofugal flow)
                                                                                                                                      3 insurance denials
                                                                                                       13 did not receive             2 decided against treatment
                                                                                                                                      1 awaiting treatment
                                                                                                       locoregional treatment         1 direct to OLT
                                                                87      patients treated                                              1 referred for surgery
                                                                                                                                      1 referred for Y-90
                                                             152 total procedures, mean 10 mo                                         1 died prior to treatment
                                                                          follow-up




                     19 patients treated                                                             66 patients treated                               2 patients had
                       initially with RFA                                                             initially with TACE                          combo TACE/RFA


                                                                                                                                                         2 free of disease


12             2            2               3                  8                  15             7               10              18                8
Alive,         Alive,       Alive, with     Dead               Alive,             Down-          Alive,          Alive,          Progressive       Awaiting
disease-free   bridged to   recurrence                         disease-           staged         under           bridged to      disease           follow up
               OLT                                             free                              treatment       OLT

                            1 TACE         1 ALL
                            1 trial drug   1 asp PNA
                                           1 OLT                    2              13                             4              6                   8
                                           rejection
                                                                    Surgery        RFA                            Extrahepatic   Intrahepatic        Dead
                                                                                                                  progression    progression


                                                                   1 awaiting     7 alive,                        1 Nexavar      3 Y-90              7 liver cancer
                                                                   surgery        disease-free                    3 Unknown      3 Nexavar           1 unknown
                                                                   1 alive,       1 alive, OLT                                                       cause
                                                                   disease-free   2 dead
                                                                                  3 alive with
                                                                                  recurrence
Liver cancer final3
Liver cancer final3

Liver cancer final3

  • 1.
    Justin McWilliams, MD Assistant Professor Interventional Radiology UCLA
  • 2.
    Justin McWilliams, MD Assistant Professor Interventional Radiology UCLA
  • 3.
  • 4.
     4th leading cause of global cancer death  Incidence has tripled in the last 3 decades, and continues to increase in the Western world Parkin DM, Bray F, Ferlay J, et al. Global cancer statistics, 2002. CA Cancer J Clin. 2005;55:74–108.
  • 5.
     In western world, cirrhosis precedes HCC in 95% of cases  Chronic liver injury -> regeneration -> dysplasia -> malignancy • Hepatitis C cirrhosis (3%/year) • Hepatitis B cirrhosis (2.5%/year) • Alcoholism (1.6%/year) • Hemochromatosis (1.5%/year) • Autoimmune hepatitis (1.1%/year) • Hepatitis B infection (0.5%/year) • Nonalcoholic steatohepatitis (unknown) • Less commonly in Wilson’s disease, PBC, PSC Bruno S, Silini E, Crosignani A, et al. Hepatitis C virus genotypes and risk of hepatocellular carcinoma in cirrhosis: a prospective study. Hepatology. 1997;25:754–75. Fattovich G, Giustina G, Schalm SW, et al. Occurrence of hepatocellular carcinoma and decompensation in western European patients with cirrhosis type B. The EUROHEP Study Group on Hepatitis B Virus and Cirrhosis. Hepatology. 1995;21:77–8
  • 6.
     Screening at-risk patients saves lives • HCC detected after onset of symptoms has dismal prognosis (0-10% 5-year survival) • Screening reduces HCC-related mortality by 37%, despite <60% adherence  Ultrasound +/- AFP q6 months in patients with cirrhosis and/or Hepatitis B infection • Ultrasound sensitivity for HCC is 65-80% • AFP >20 is 60% sensitive, 40% specific for HCC  Ultrasound sensitivity is reduced (<50%) in severely cirrhotic livers • Multiphase CT or MRI should be considered for screening Kemp W, et al. Survival in hepatocellular carcinoma: impact of screening and etiology of liver disease. J Gastroenterol Hepatol 2005;20:873-881.
  • 7.
     Imaging has made biopsy unnecessary in the vast majority of lesions  Subcentimeter lesions, particularly if non- enhancing, are unlikely to be HCC • Q3 month surveillance for 2 years  1-2 cm enhancing lesions in cirrhotic liver have a high risk of HCC • But if venous washout absent, ~25% are not HCC  HCC biopsy carries ~2% risk of needle tract seeding Lencioni R. Evolving strategies in the diagnosis of hepatocellular carcinoma. J Hepatol 2011;54:184-186. Shimizu A,, et al. Cirrhosis or chronic hepatitis: evaluation of small (<or= 2-cm) early-enhancing hepatic lesions. Radiology 2003;226(2):550–5. Bartolozzi C, et al. HCC diagnosis with liver-specific MRI – close to histopathology. Dig Dis 2009;27:125-130.
  • 8.
     HCC patients are difficult to stage prognostically • These patients have two deadly diseases  Survival depends on • Tumor stage • Underlying liver function • Physical condition of the patient  An effective staging system should consider all 3 variables
  • 9.
     TNM classification • Does not consider underlying liver function • Recently revised, requires validation  Okuda and CLIP • Consider tumor features and hepatic function • Rather inaccurate for prognosis, especially in patients with early HCC
  • 10.
     Barcelona Clinic Liver Cancer (BCLC) • Includes  Tumor-related parameters (size, number, vascular invasion)  Patient’s clinical condition (ECOG)  Liver function (Child class) • Links stage of disease to treatment strategy • Greatest predictive power for survival rates  Most comprehensive and widely accepted staging system for HCC
  • 11.
    Liver transplantation Surgical resection Percutaneousablation Transarterial chemoembolization Yttrium-90 radioembolization Systemic chemotherapy
  • 12.
    Liver transplantation Indications and outcomes MELD Downstaging Bridging Surgical resection Percutaneous ablation Transarterial chemoembolization Yttrium-90 radioembolization Systemic chemotherapy
  • 13.
     OLT isthe best available curative treatment for HCC in cirrhotic livers • Cures the cancer • Cures the underlying cause  Limited by disease extent, organ availability
  • 14.
     Originally, OLT was reserved for patients with contraindications to resection • Tumor too large • Too many tumors • Insufficient hepatic reserve  5-year survival was 15-40% • Much worse than OLT for benign disease
  • 15.
     Transplant for early HCC yielded 4- year survival of 85% • Single lesion up to 5 cm • 3 lesions up to 3 cm • No vascular invasion / mets  “Milan criteria” • Similar to outcome of OLT in cirrhotics without HCC • Tumor recurrence rate ~10% • Adopted by UNOS as selection criteria Mazzaferro V. et al. Liver transplantation for the treatment of small hepatocellular carcinoma in patients with cirrhosis. N Engl J Med 1996.
  • 16.
     Transplant for slightly larger HCC yielded similar survival • Single lesion up to 6.5 cm • 3 lesions up to 4.5 cm (max total tumor size up to 8 cm) • 5-year survival 75%  “UCSF criteria” • Prospectively validated Yao FY, Ferrell L, Bass NM, et al. Liver transplantation for hepatocellular carcinoma: expansion of the tumor size limits does not adversely impact survival. Hepatology. 2001;33:1394–1403. Yao FY, Xiao L, Bass NM, et al. Liver transplantation for hepatocellular carcinoma: validation of the UCSF-expanded criteria based on preoperative imaging. Am J Transplant. 2007;7:2587–2596
  • 17.
     Largest experience has been at UCLA • 22 years, 467 patients  5-year survival after OLT • Within Milan criteria: 86% • Exceeds Milan, within UCSF: 81% • Beyond UCSF: 32%  Supports expansion of criteria Duffy JP, Vardanian A, Benjamin E, et al. Liver transplantation criteria for hepatocellular carcinoma should be expanded: a 22-year experience with 467 patients at UCLA. Ann Surg. 2007;246:502–509.
  • 18.
     Imaging-based selection of patients for OLT has limitations • Poor reproducibility of tumor measurements • Weak correlation between tumor size/number and biologic behavior • High frequency of under- or over-staging (20-25%)  Toronto criteria • Any tumor size/number • No systemic symptoms or vascular invasion • Not poorly differentiated on biopsy  189 patients within Milan: 5-year survival 72%  105 patients beyond Milan: 5-year survival 70% • Biopsy and aggressive bridging therapy improved survival (79% vs 61% 5-year survival) Dubay D, Sandroussi C, Sandhu L, et al. Liver transplantation for advanced hepatocellular carcinoma using poor tumor differentiation on biopsy as an exclusion criterion. Ann Surg 2011;253:166-172.
  • 19.
     Model for End-Stage Liver Disease • Primary determinant of when you get a liver MELD = 3.78 [Ln T bili] + 11.2 [Ln INR] +  Patients with HCC need to be prioritized for 9.57 [Ln creatinine] + 6.43 transplant (MELD exception points)  T1 patients (single lesion <2 cm) get no MELD Typical observed 3-month score condition mortality bonus • May be a benign lesion <10 Lead normal life 4% 10-19 Variable, normal to 27% mildly disabled  T2 patients (single lesion 2-5 cm, or 3 lesions 20-29 Unable to work, 76% up to 3 cm) get a MELD score of 22 frequent medical care • Score boosted by 10% q3 months 30-39 Variable, sick 83% • This continues until patient is transplanted, dies, or >39 LOC, intubated, ICU 100% drops out due to tumor progression • Patients in most regions will get a transplant by ~1 year (or not…)
  • 20.
     Treatment with TACE or RFA can downstage tumors into Milan criteria  UCSF criteria for downstaging • One lesion 5-8 cm • 2-3 lesions up to 5 cm, total tumor diameter up to 8 cm • 4-5 lesions up to 3 cm, total tumor diameter up to 8 cm  3 months after tumor is downstaged, exception points for OLT are granted • “Ablate and wait” crudely assesses tumor biology Yao FY, Kerlan RK, Jr, Hirose R, et al. Excellent outcome following down-staging of hepatocellular carcinoma prior to liver transplantation: an intention-to-treat analysis Hepatology 2008
  • 21.
     Patients with tumors exceeding Milan do well with transplant after downstaging • Success of downstaging 24-90% • If downstaging is successful, post-transplant 5-year survival 55-94%  Successful downstaging selects less aggressive tumors • Able to be downstaged • Remains downstaged over a waiting period of 3-6 months • Infiltrative tumors and high AFP predict downstage failure  Eligibility for downstaging is unclear • Only tumors slightly beyond Milan? • Any tumor without major vessel invasion or extrahepatic disease? Barakat O, et al. Morphological features of advanced hepatocellular carcinoma as a predictor of downstaging and liver transplantation: an intention-to- treat analysis. Liver Transplantation 2010;16:289-299.
  • 22.
     Systematic review of downstaging for HCC beyond Milan criteria  8 studies, 720 patients  Successful downstaging 24-69%  3-year survival 79-100%  5-year survival Barakat O, et al. Morphological features of advanced hepatocellular carcinoma as a predictor of downstaging and liver transplantation: an intention-to- treat analysis. Liver Transplantation 2010;16:289-299.
  • 23.
     “Downstaging witha subsequent interval of observation to assess biologic aggressiveness should be considered for patients beyond Milan criteria. Downstaged patients should be considered for MELD exception points.” Jarnagin W, et al. Surgical treatment of hepatocellular carcinoma: expert consensus statement. HPB 2010;12:302-310.
  • 24.
     Natural history of patients with HCC within Milan criteria, at 1 year • 70% will have tumor growth • 20% will develop vascular invasion • 9% will develop metastases  Risk of drop-out is up to: • 11% at 6 months • 57% at 12 months • 75% at 18 months Jarnagin W, et al. Surgical treatment of hepatocellular carcinoma: expert consensus statement. HPB 2010;12:302-310.
  • 25.
     87 patients listed for OLT  52 patients listed for OLT • 43 non-TACE and 22 TACE • Bridged with RFA patients were comparable • Complete tumor necrosis in 85% • TACE group had drop-off rate of • Drop-off rate of 6% at 1 year 3% • Post-OLT survival of 76% at 3 • Non-TACE group had drop-off years, no HCC recurrence rate of 15%
  • 26.
     “Bridgingtherapy withTACE and RFA have low morbidity, favorable HCC response, and probably reduce drop-out for patients with wait times >6 months” Jarnagin W, et al. Surgical treatment of hepatocellular carcinoma: expert consensus statement. HPB 2010;12:302-310.
  • 27.
     “OLT is the preferred treatment for patients with cirrhosis and HCC meeting Milan criteria”  “OLTshould be considered on a highly selective basis for patients beyond Milan but within UCSF criteria” Jarnagin W, et al. Surgical treatment of hepatocellular carcinoma: expert consensus statement. HPB 2010;12:302-310.
  • 28.
    Liver transplantation Surgical resection Indications and outcomes Portal vein embolization Percutaneous ablation Transarterial chemoembolization Yttrium-90 radioembolization Systemic chemotherapy
  • 29.
     Standard treatmentfor resectable HCC in patients without cirrhosis  Only~5% of HCC patients in the Western world qualify  Perioperative mortality rates • Cirrhotic liver: 7-25% • Non-cirrhotic liver: <3% Jarnagin W, et al. Surgical treatment of hepatocellular carcinoma: expert consensus statement. HPB 2010;12:302-310.
  • 30.
     Advantages • No restrictions on tumor size or number (within a lobe) • Macrovascular invasion acceptable • No obligatory waiting time • Allows complete pathologic evaluation  Disadvantages • Only feasible in non-cirrhotic or mildly cirrhotic livers without portal hypertension • Precancerous cirrhotic liver remains • Perioperative mortality about 5% • Significant post-operative morbidity Jarnagin W, et al. Surgical treatment of hepatocellular carcinoma: expert consensus statement. HPB 2010;12:302-310.
  • 31.
     Overall 5-year survival for hepatic resection in HCC is 25-50% • If solitary tumor and non-cirrhotic liver, 5-year survival is 41-74% • If HCC is multifocal or has vascular invasion, 5-year survival is <25%  Liver function and portal hypertension are important predictors of post-operative liver failure and 5-year survival • Normal serum bilirubin and no portal HTN: 70% • Normal serum bilirubin and portal HTN: 50% • Elevated serum bilirubin and portal HTN: 30%  Post-resection recurrence rates are high • 70% at 5 years • >80% intrahepatic; usually due to dissemination from primary tumor • Associated with high AFP, larger/more numerous tumors, and vascular invasion Bruix J, Castells A, Bosch J, et al. Surgical resection of hepatocellular carcinoma in cirrhotic patients: prognostic value of preoperative portal pressure. Gastroenterology 1996;111(4):1018–22..
  • 32.
     Liver resection is often limited due to inadequate volume of the future liver remnant • Normal patients can survive if 20% of liver volume remains • Post-chemotherapy patients need 30% of liver • Patients with fibrosis/early cirrhosis need 40% of liver  Portal vein embolization can pre-operatively enlarge the future liver remnant • Redirection of nutrient-rich portal vein blood enlarges the FLR • May enable resection in patients who would otherwise not be candidates De Baere T, et al. Preoperative portal vein embolization: indications and technical considerations. Tech Vasc Interv Radiol 2007;10:67-78. Memorial Sloan-Kettering Cancer Center. “Portal vein embolization.” Patient brochure, 2005.
  • 33.
     Technical considerations • Access ipsilateral (into tumor bearing lobe) • 5F sheath and pigtail portogram; consider pressures • Kumpe catheter and microcatheter for segment IV (if needed) • Simmons-2 or Sos-2 catheter for right portal branches • 100-700 micron Embospheres followed by coils; or NBCA • Final portogram • Embolize access tract with coils or gelfoam  Results at 4 weeks post-PVE • 53-90% hypertrophy of FLR in normal liver • 28-42% hypertrophy of FLR in cirrhotic liver  Complications • Well-tolerated • Occasional transient liver insufficiency in cirrhotics • Poor technique can occlude entire PV • If tumor is present in FLR, its growth may be more rapid Madoff D, et al. Portal vein embolization with polyvinyl alcohol particles and coils in preparation for major liver resection for hepatobiliary malignancy: safety and effectiveness- study in 26 patients. Radiology 2003;227:251-260. De Baere T, et al. Preoperative portal vein embolization: indications and technical considerations. Tech Vasc Interv Radiol 2007;10:67-78.
  • 34.
     “Resection with wide margins is the treatment of choice for HCC in patients without cirrhosis”  “Resection is acceptable for cirrhotic patients (Childs A without portal hypertension) with single HCC, regardless of size.”  “Highly selected patients with multifocal HCC or major vascular invasion may be resected, but recurrence rates are high.” Jarnagin W, et al. Surgical treatment of hepatocellular carcinoma: expert consensus statement. HPB 2010;12:302-310.
  • 35.
    Liver transplantation Surgical resection Percutaneousablation PEI Radiofrequency ablation Microwave ablation Transarterial chemoembolization Yttrum-90 radioembolization Systemic chemotherapy
  • 36.
     Ethanol injection causes vessel thrombosis and protein denaturation • Complete necrosis of small (<2 cm) HCC can be achieved • Tumors near sensitive organs can be treated; no heat sink effect  5-year survival of 32-38%  Disadvantages • Multiple treatment sessions needed • Uncertain ablation zone • High local recurrence rate (17-38%)
  • 37.
     RF current induces thermal coagulation necrosis around an electrode • Complete ablation rates >80% for small to medium HCC • Local recurrence uncommon (1-12%)  5-year survival of 40-58%  Disadvantages • Relies on thermal conduction (limited ablation size) • Heat sink effect • Slow McWilliams J, et al. Percutaneous ablation of hepatocellular carcinoma: current status. J Vasc Interv Radiol 2010;21:S204-S213. Hinshaw J. The role of image-guided tumor ablation in the management of liver cancer. Cancer News review article.
  • 38.
     Three RCTs and two meta- analyses confirm superiority of RFA over PEI for small HCC • 5-year survival about 15% better for PEI: 5-year RFA: 5-year RFA versus PEI survival 35% survival 50% • Less local tumor recurrence for RFA • 3x fewer treatment sessions for RFA  PEI still useful for tumors in sensitive locations Shiina S, Teratani T, Obi S, et al. A randomized controlled trial of radiofrequency ablation with ethanol injection for small hepatocellular carcinoma. Gastroenterology 2005; 129:122–130. Lin SM, Lin CJ, Lin CC, Hsu CW, Chen YC. Radiofrequency ablation improves prognosis compared with ethanol injection for hepatocellular carcinoma or 4 cm. Gastroenterology 2004; 127:1714–1723. Lencioni RA, Allgaler HP, Cloni D, et al. Small hepatocellular carcinoma in cirrhosis: randomized comparison of radio-frequency thermal ablation versus percutaneous ethanol injection. Radiology 2003; 228:235–240.
  • 39.
     Next-generation RF ablation electrodes are available • Internal cooling • Saline injection • Expandable tines  Ablation zones of 4-7 cm are achievable McWilliams J, et al. Percutaneous ablation of hepatocellular carcinoma: current status. J Vasc Interv Radiol 2010;21:S204-S213.
  • 40.
     Next-generation ethanol injection needles now available • Expandable tines • Multiple sideholes  Tumors up to 5 cm can be ablated • 88% complete ablation rate • 12% local recurrence rate (56% in tumors 3-5 cm) • 2% major complication rate Kuang M, et al. Ethanol ablation of hepatocellular carcinoma up to 5.0 cm by using a multipronged injectino needle with high-dose strategy. Radiology 2009;253:552-561.
  • 41.
     Microwave creates a field of electromagnetic energy and thermal coagulation around an antenna • Active heating not reliant on conduction (faster, larger ablation zones) • Less heat-sink effect • Multiple antennae can be activated simultaneously  5-year survival of ????  Next-generation 2450 MHz MW ablation devices now available • 17-gauge antennae • CO2 based internal cooling • High power (140 watts) • Large ablation zones (3.5 x 5 cm) McWilliams J, et al. Percutaneous ablation of hepatocellular carcinoma: current status. J Vasc Interv Radiol 2010;21:S204-S213.
  • 42.
     “Local ablationis safe and effective therapy for patients who cannot undergo resection, or as a bridge to transplantation.” American Association for Study of Liver Diseases (AASLD) and European Association for the Study of the Liver (EASL).
  • 43.
    Liver transplantation Surgical resection Percutaneousablation Transarterial chemoembolization Conventional TACE (cTACE) Drug-eluting beads (DEB-TACE) Pushing the envelope Yttrium-90 radioembolization Systemic chemotherapy
  • 44.
     HCC takes its blood supply almost exclusively from the hepatic artery  Surrounding normal liver has dual blood supply (with portal vein)  Chemotherapy + embolic agent administered into hepatic artery should selectively kill tumor while sparing normal liver
  • 45.
    1. Celiac andSMA arteriography with late-phase portal vein imaging • Determine arterial supply to tumor • Detect hepatic arterial variations • Identify non-target arteries (right gastric, etc) • Determine patency of portal vein and hepatopetal flow 2. Subselection of tumor-bearing artery 3. Embolize to near-stasis or stasis • Chemotherapy (doxorubicin, cisplatin, mitomycin C) • Lipiodol vehicle; selectively retained by HCC  Causes ischemia  Extends contact of chemotherapy with tumor • Finish embolization with gelfoam or particles
  • 46.
     6 randomized trials in 1990s showed no benefit of TACE for unresectable HCC • Selection criteria not stringent  Prognosis related to functional status of underlying liver • Many patients not aggressively re-treated  Objective responses to TACE are not maintained with time • Nonselective embolization often used
  • 47.
     RCT of TACE vs. symptomatic treatment for unresectable HCC  112 patients • Mostly Hepatitis C • 75% had multinodular tumor • Mean diameter of main nodule was ~5 cm • About 75% Child A, 25% Child B • ~80% ECOG 0, max ECOG 2
  • 48.
     Exclusion criteria:  Treatment schedule: • Age >75 • Baseline, 2 months, 6 • Child class C months, then q6 months • Active GI bleeding, encephalopathy, refractory ascites thereafter • Vascular invasion (including segmental portal obstruction) • Mean treatment sessions ~3 • Extrahepatic spread • Portosystemic shunt  Doxorubicin used • 25-75 mg depending on liver • Hepatofugal blood flow function • Platelets <50 Only 38% of • All received 10 cc Ethiodol patients with • PT activity <50% intermediate • Renal failure HCC (target  Embolization completed • Severe atheromatosis population) were with gelfoam enrolled! • Bilirubin >5.0 • WBC <3.0 • EF <50% • End-stage tumor
  • 49.
     Survival at3 years: • TACE: 29% • Symptomatic: 17%  TACE improves survival! • Selective recruitment needed to obtain survival advantage
  • 50.
     RCT ofTACE vs. symptomatic treatment for unresectable HCC  80 patients • Mostly Hepatitis B • 60% had multifocal tumor • Mean diameter of main nodule was ~7 cm • ~25% had right or left PV obstruction • ~50% ECOG 0, max ECOG 3
  • 51.
     Exclusion criteria:  Embolization performed at baseline, and every 2-3 months • Active or recent GI bleeding, thereafter encephalopathy, refractory ascites • Median treatment sessions ~4.5 • Serum bilirubin >2.9  Relatively nonselective • Right or left hepatic artery injection for unilobar • Albumin <2.8 mg/dL tumors • Proper hepatic artery injection for bilobar • PT >4 seconds over control tumors • Creatinine >2.0  Cisplatin was chemotherapeutic • Median 10 mg, depending on tumor size • Extrahepatic metastasis • Median 10 cc Ethiodol • Main PV thrombosis  Embolization completed with gelfoam • Arteriovenous shunting • ECOG grade 4
  • 52.
     Survival at3 years: • TACE: 26% • Symptomatic: 3%  TACE improves survival! • Even in less selected patient population
  • 53.
     Meta analysis of cTACE • Meta-analysis of 5 RCTs of TACE versus symptomatic treatment; and 13 RCTs of different transarterial modes of therapy  TACE reduced 2-year mortality (OR 0.54) compared to symptomatic treatment  TACE does not appear superior to TAE Camma C, et al. Transarterial chemoembolization for unresectable hepatocellular carcinoma: meta-analysis of randomized controlled trials. Radiology 2002.
  • 54.
     Cohort study of 8510 patients having cTACE • Initial treatment • Unresectable HCC • No extrahepatic disease • 5-year survival 26% Takayasu K, et al. Prospective Cohort Study of Transarterial Chemoembolization for Unresectable Hepatocellular Carcinoma in 8510 Patients. Gastroenterology 2006.
  • 55.
     AFP  Child class  Max tumor size • <20 = 34% • A = 33% • <=2 cm = 39% • 21-200 = 27% • B = 21% • 2.1-3 cm = 28% • 201-1000 = 19% • C = 8% • 3.1 – 5 cm = 23% • >1000 = 15% • >5 cm = 16%  # of lesions  PV invasion • 1 = 33% • None = 28% • 2-3 = 24% • Peripheral branch = 12% • 4 or more = 16% • Left or right = 11% • Main = 0% Takayasu K, et al. Prospective Cohort Study of Transarterial Chemoembolization for Unresectable Hepatocellular Carcinoma in 8510 Patients. Gastroenterology 2006.
  • 56.
     “TACE is first-line non- curative therapy for non- surgical patients with large or multifocal HCC who do not have vascular invasion or extrahepatic spread (level I evidence).” American Association for Study of Liver Diseases (AASLD) and European Association for the Study of the Liver (EASL).
  • 57.
     Chemotherapy in lipiodol washes out of tumor quickly • Less effective tumor kill • More systemic side effects  Chemotherapy loaded onto a particle can be eluted slowly • LC beads: Size-calibrated spherical hydrogel particle which can be loaded with doxorubicin • Chemotherapeutic elutes gradually over weeks, though tumor necrosis greatest at 7- 14 days
  • 58.
     RCT vs. bland embo  Mid-term survival data • 41 DEB-TACE vs. 43 bland embo • 71 patients • Child A and B, ECOG 0 or 1 • Child A and B, ECOG 0 or 1 • Procedures q2 months up to 3; 100-300 and • Exclusion criteria: Creatinine >2, Portosystemic 300-500 micron LC beads shunt, Hepatofugal blood flow, Main portal vein thrombus, extrahepatic disease  DEB-TACE: • 1-4 procedures, q3 months as needed. 100- • Higher complete response rate at 6 months 300 and 300-500 micron LC beads with 150 (27 vs 18%) mg doxorubicin per treatment. • Lower recurrence rate at 12 months (46% vs 78%)  88% survival at 30 months (better • Longer time to progression (42 vs 36 weeks) than historical cTACE)
  • 59.
     212 patients randomized to DEB-TACE with LC beads vs. cTACE with doxorubicin • Child A and B, ECOG 0 or 1 • Exclusion criteria: Bili >3, Vascular invasion, >50% tumor, extrahepatic spread, AST or ALT >5x normal • 1 vial 300-500, 1 vial 500-700 micron LC beads, 75 mg doxo/vial vs. 150 mg doxo in Ethiodol with operator choice embolic • Treatments q2 months up to 3 treatments; tumor response evaluated at 6 months  Tendency toward better response with DEB-TACE (52 vs. 44%)  Significant reduction in liver toxicity and side effects with DEB-TACE  Survival was not an endpoint (too short f/u)
  • 60.
     Expandable microspheres made of sodium acrylate/vinyl alcohol copolymer  Ionically binds doxorubicin  Arrive dehydrated; when placed in saline or contrast, they increase in volume (50-100 micron goes to 150-300 micron)  Soft and deformable, conform to vessel wall
  • 61.
     Single-arm trial of 50 patients • Child A • Exclusion criteria  Tumor size >10 cm, Portal vein invasion, Extrahepatic disease • 50 mg doxo or epirubicin per treatment, repeated “on demand” ? Survival ? • 6-month results: ? Durable effect ?  CR in 52%  PR in 26%  PD in 23% ? Comparison to LC  Only 31/50 followed up beads or cTACE ?  “Safe, well-tolerated and efficient agent to produce tumor necrosis”
  • 62.
     164 patients with segmental or  125 patients with main PV  281 consecutive patients major PV invasion invasion with PV invasion studied • 84 treated with TACE vs. 80 with • 83 treated with superselective retrospectively supportive care TACE vs. 42 with supportive • 1-year survival 31% vs. 4% care • Repeated TACE showed • 2-year survival 9% vs. 0%  Aggressive repeated TACE survival benefit (5.6 vs. 2.2 • Significant advantage for TACE in months) was well tolerated and both segmental and major PV • 29% morbidity rate (similar to showed significant survival invasion supportive care), no mortality benefits (median survival • No procedure-related mortality • Selection bias? 10 vs 2 months)
  • 63.
     Retrospective study of >1000 patients • 843 patients <70 compared to 197 patients >70 • Elderly patients had more comorbid disease (64 vs 33%) but had earlier stage of HCC • Overall survival better for the old people  14 vs. 8 months  TACE tolerated equally well  TACE is good for young and old alike
  • 64.
     114 patients who underwent TACE for post-surgical recurrence • 50% of recurrences were single nodular • Mean size of recurrent tumor = 2.1 cm • Overall survival was 32% at 5 years  TACE is safe and effective for HCC recurrence after surgery
  • 65.
    Liver transplantation Surgical resection Percutaneousablation Transarterial chemoembolization Yttrium-90 radioembolization Systemic chemotherapy
  • 66.
     Transarterial administration of radioactive microspheres (Yttrium-90) • Half-life 64 hours; decays into stable zirconium-90 • Beta-emitter with path length of 2.5 mm • Particles lodge in the tumor, producing very high local radiation dose (100-1000 Gy or more) • Not dependent on flow occlusion  TheraSpheres • FDA approved under Humanitarian Device Exemption for use in treatment of HCC • Glass particle, 15-35 micron diameter • 1.2-8 million spheres per vial (3GBq) • Minimally embolic  Two scenarios must be avoided with Y90 • Shunting into lung (radiation pneumonitis) • Nontarget embolization of GI tract (ulceration)
  • 67.
     Liver-only or liver-dominant tumor, not suitable for radical therapy • Resection • Liver transplantation • Ablation  Preserved functional status • ECOG 0-2  Preserved hepatic function • Total bili <= 2.0 • Albumin >= 3.0 • No ascites or other clinical signs of liver failure  Low risk of pulmonary effects • <20% hepatopulmonary shunt • <30 Gy expected dose delivery to lungs (<50 Gy for multiple infusions)
  • 68.
    1. Superior mesentericangiogram • Detect hepatic arterial variations • Determine patency of portal vein and hepatopetal flow 2. Complete celiac angiography • Map arterial anatomy • Detect extrahepatic supply to tumor • Det 3. Prophylactic embolization of any vessel in the treatment zone which does not lead to liver • GDA • Right gastric • Accessory left gastric • Falciform • Supraduodenal • Cystic 4. Place microcatheter at site of expected Y90 treatment and administer 4 mCi Tc-99m MAA • Similar size particles to TheraSpheres • Perform MAA scan to see distribution of particles • Measure lung-shunt fraction (must be <20%) • Detect any mesenteric flow
  • 69.
    1. 2 weeksafter mesenteric mapping, patient returns for Y90 administration 2. Repeat celiac/hepatic angiography • Ensure continued occlusion of embolized vessels 3. Position microcatheter in lobar artery supplying the most tumor and infuse Y90 4. If bilobar disease, patient will return in 1 month for Y90 treatment of opposite lobe
  • 71.
     108 patients with unresectable  291 patients with unresectable intermediate intermediate or advanced HCC or advanced HCC • No extrahepatic disease • PVT and limited extrahepatic disease allowed • 17% BCLC A; 28% B; 52% C; 3% D  159 sessions of TheraSphere Y-90 • 40% response rate (almost all partial)  526 sessions of TheraSphere Y-90 • Time to progression 10 months • 42% response rate • Overall median survival 16 months • Time to progression 8 months • Transient fatigue syndrome and • Survival: 17 months Child A; 8 months Child B abldominal pain • Fatigue, pain, nausea, elevated LFTs (all 20-50%)
  • 72.
     8-center study of 325 patients with unresectable intermediate or advanced HCC • 82% Child A, 18% Child B • 24% solitary, 76% multifocal • 9% extrahepatic metastases • 14% branch PV occlusion, 10% main  Overall median survival 12.8 months  Predictors of poor survival: • ECOG status • >5 nodules • INR >1.2 • Extrahepatic disease
  • 73.
     Y90 expected to be better tolerated than TACE in patients with PV invasion • Y-90 is less embolic; therefore less risk of hepatic infarction • Median overall survival 7-10 months  4 months in main PV invasion • Mostly grade 1 and 2 toxicities  Abdominal pain (38%)  Nausea (28%)  Fatigue (22%)  Ascites (13%)  Encephalopathy (13%)  Y90 is safe and shows tumor response in patients with branch or lobar PV invasion.
  • 74.
     Minimal data on use of Y90 as bridging or downstaging therapy  One retrospective study, cohorts not very well matched, included tumors >8 cm (especially in TACE group) • 43 patients with conventional TACE, 43 patients with Y90 • Downstaging achieved in 31% of TACE vs. 58% of Y90 patients • Overall median survival favored Y90 (19 vs. 36 months), perhaps because more Y90 patients got transplant  Y90 seems effective as a bridging/downstaging therapy
  • 75.
     Parasitized extrahepatic arteries • Usually R phrenic or R intercostal arteries supplying tumor • Contraindicated to deliver Y90 to these arteries • Instead, occlude them with large particles (500-700 or 700-900 micron Embospheres) followed by coils • There should be immediate redistribution of flow from the hepatic circulation (96%) • This redistribution can be confirmed by DSA or C-arm CT of the hepatic artery
  • 76.
     Accessory hepatic arteries • Presence of accessory/replaced hepatic arteries may increase the number of injection points and could increase risk (especially with embolic SIR-spheres) • Instead of treating these accessory/replaced arteries, consider coil- embolizing them proximally • There is rapid redistribution of arterial supply from the non-embolized hepatic artery branches • Tumor response in the redistributed segments was similar in 96% of patients and worse in 4% (but excluded those who had diffuse progression…)
  • 77.
    Liver transplantation Surgical resection Percutaneousablation Transarterial chemoembolization Yttrium-90 radioembolization Systemic chemotherapy
  • 78.
     Traditional chemotherapy regimens had high toxicity and low efficacy  Targeted agents show promise • Sorafenib • Sunitinib • Brivanib • Avastin • mTOR inhibitors (sirolimus, everolimus) • Others
  • 79.
     SHARP trial • Phase III, double-blind, placebo-controlled trial • 602 patients • Not eligible for, or had progression with locoregional therapies • ECOG 2 or less; Child A; adequate hematologic, liver and renal function • 36% with vascular invasion; 53% with extrahepatic spread • Median survival extended 3 months with sorafenib (10.7 vs 7.9 months) • 0% CR; 2% PR; 71% SD; 18% PD • Major adverse events: 8% diarrhea, 8% hand-foot skin reaction • Asian SHARP trial • Similar study design, 271 patients • Median survival extended 2 months with sorafenib (6.5 vs 4.2 months) • Major adverse events: 11% HFSR, 6% diarrhea, 3% fatigue
  • 80.
    Resection vs. TACE Resectionvs. ablation Ablation vs. TACE TACE vs. Y90
  • 81.
     185 patients with resectable early-  419 patients with resectable HCC stage HCC and Child A cirrhosis • 46 had TACE • 73 had superselective TACE • 311 had resection • 112 had resection • 62 refused treatment (supportive care)  5-year survival  5-year survival • TACE: 52% (ns) • TACE: 34% (ns) • Resection: 57% (ns) • Resection: 43% (ns) • Supportive care: 7% (p = 0.0001)
  • 82.
     3225 patients with HCC  87 patients with resectable HCC retrospectively grouped by clinical • 20 had TACE prognosis and tumor burden • 67 had resection  Compensated patients with 3 or fewer  5-year survival tumors, any size • TACE: 18% • Surgery: 45-55% 5-year survival • Resection: 55% (p<0.05) • TACE: 17-20% 5-year survival
  • 83.
     115 RFA vs. 115 surgery  180 patients with solitary HCC <5 cm • HCC within Milan criteria • Half had HCC <3 cm, half had HCC 3-5 cm  Survival at 5 years:  Survival at 4 years: • RFA 55% • RFA 68% • Surgery 76% (p<0.05) • Surgery 64%  DFS at 4 years:  DFS at 5 years: • RFA 46% • RFA 29% • Surgery 52% • Surgery 51% (p<0.05)  RFA had fewer adverse events (55% vs 4%)  RFA had fewer adverse events (32 vs. 5)
  • 84.
     5317 American patients with HCC  7185 patients with HCC (3 tumors up to 3 • Median tumor size 6 cm cm) and Child A/B liver function • 52% solitary; 28% multiple; 20% extrahepatic • 30-day mortality was 8% resection; 3% OLT; 3%  3022 RFA patients ablation; 31% no or incomplete local therapy • 55% tumor recurrence in 2 years • 5-year survival 67% OLT; 35% resection; 20% ablation; • 1.6% death rate at median 10 months 3% no or incomplete local therapy  2857 resection patients  Prognostic factors • 35% tumor recurrence in 2 years • Disease extent • 1.9% death rate at median 10 months • Tumor grade • Tumor size  Relative risk or recurrence was 0.62 in • Vascular invasion resection group; no difference in survival • Age  Selection bias is likely
  • 85.
     91 patients with unresectable HCC (up to 3 nodules, each up to 5 cm)  258 patients with hypervascular HCC (1 nodule  40 TACE patients <5 cm or up to 3 nodules <3 cm) • Mean 6 sessions • 58% survival at 2 years • Mean tumor size 1.7 cm in both groups • TACE group had more multifocal tumors, more  51 RFA patients peripheral tumors, more previously treated tumors • Mean 1 session • 72% survival at 2 years (ns)  133 TACE patients  Morbidity higher for RFA (28% vs. 10%) • Local recurrence 51% at 2 years  No treatment-related mortality  105 RFA patients  Similar time to progression • Local recurrence 40% at 2 years (p<0.05)
  • 86.
     790 patients with unresectable intermediate-stage HCC +/- PVT  245 comparable patients with unresectable intermediate-stage  99 had TheraSphere Y-90 vs. 691 had HCC and no PVT repetitive cTACE • Overall median survival 11.5 vs. 8.5 months  123 underwent TheraSphere Y-90 (p<0.05) vs. 122 had TACE • But, TACE group had more severe liver disease • 72% vs. 69% response rate (ns) • No difference in survival after controlling for • Time to progression 13 vs. 8 months underlying disease (p=.046) • Y-90 (outpatient, 1 or 2 treatments) is compelling • Overall median survival 20 vs. 17 months as a palliative treatment option compared to (ns) TACE (inpatient stay, multiple treatments) • Less abdominal pain and LFT increase with Y90
  • 87.
     73 comparable patients with unresectable HCC, ~35% with vascular invasion • Segmental PV occlusion could have TACE or Y90 • Extensive PV occlusion favored Y90  38 underwent TheraSphere Y-90 vs. 35 had TACE • 7 Y90 patients and 2 TACE patients crossed over • Median survival 8.0 vs. 10.3 months (ns) • Mean total hospitalization (initial + re-hospitalization) days 0.5 vs. 3.5 (p<0.001) • Complication rate higher for TACE, mostly due to more severe PES
  • 88.
  • 89.
     83 patients treated with TACE/RFA compared with 231 patients treated with RFA alone • Small HCC (2-3 cm) • Median follow-up 37 months • 5-year survival 63% vs 53% (ns) • Local tumor progression 16% vs. 41% (p<0.001) • Rate of major complications ~1% for both groups
  • 90.
     37 patients with solitary HCC 3.1-5.0 cm  89 patients with 93 HCC <3 cm • TACE-RFA same day vs. RFA alone • TACE then RFA 1 week later vs. RFA • Slightly larger ablation size with TACE-RFA alone (5.0 vs. 4.1 cm) • Local tumor progression 18% vs. 14% at 4 • Local tumor progression 6% vs. 39% at 3 years (ns) years (p=.012) • Overall survival 73% vs. 74% at 4 years • Overall survival 93% vs. 80% (ns) (ns) • Rate of major complications ~1% for both • Rate of major complications ~2% in both groups groups
  • 91.
     14 patients • Sorafenib 200-400 mg daily starting 7 days prior to TACE • cTACE with doxorubicin (median 2 per patient) • Sorafenib continued median 8 months  Adverse effects were comparable to sorafenib monotherapy  No increases in circulating VEGF levels after TACE while patients were on sorafenib  Phase II/III trials pending
  • 92.
    What have welearned?
  • 93.
     Interventional radiology plays a key role (maybe the key role!) in liver cancer treatment • Percutaneous ablation • Early HCC • TACE • • Preserved liver function: Resection or ablation Compromised liver function: Transplantation • Bridge to transplant with ablation or TACE • Y-90 • Intermediate HCC: • Preserved liver function: TACE, Y90 and/or ablation • Portal vein embolization • Downstage to transplant if possible • Compromised liver function: Supportive care • Consider extended criteria OLT or LDLT • Downstaging to transplant • Advanced HCC: • Bridging to transplant • • Preserved liver function: Sorafenib or Y90 Compromised liver function: Supportive care • Percutaneous biopsy • Transjugular pressure measurements • Salvaging operative mishaps
  • 95.
    TS 65 y/o female Hepatitis B cirrhosis Routine screening US and CT demonstrated two adjacent 4-cm HCCs Not a surgical candidate TACE 1/26/2010: 75 mg doxorubicin on LC beads Outside Milan criteria for OLT Referred for locoregional therapy and possible down-staging
  • 96.
    MRI 2/25/2010: Noresidual tumor. Patient downstaged, exception points awarded for OLT TACE #2 6/8/2010 22.5 mg doxorubicin on LC beads to R hepatic Awaiting OLT artery CT 4/24/2010: Intrahepatic recurrence
  • 97.
    TACE #3 11/18/2010 75 mg doxorubicin on LC beads to R phrenic and R hepatic arteries MRI 10/25/2010: Intrahepatic recurrence
  • 98.
    MRI 12/20/2010: Minimalresidual tumor Successful OLT 1/22/2011 (1 year after first intervention) Now almost 1 year s/p OLT, doing well without recurrence
  • 99.
    YO 58 y/o male Hepatitis B and C and HIV Abdominal pain prompted CT 7 cm biopsy-proven HCC Not a surgical or transplant candidate Referred for locoregional therapy
  • 100.
    MRI 1 monthlater – 100 mg doxorubicin on mass mostly LC beads devascularized
  • 101.
    Follow-up MRI – Percutaneous complete necrosis, no microwave ablation recurrence at 4 mos
  • 102.
    TG 39 y/o female Fibrolamellar HCC diagnosed in 2001 Left lobe resection of 9 x 11 cm mass in 2001 Recurrence 2007 with partial right lobe resection CT 4/9/2010: At least Presents with multifocal recurrence 2/2010 10 hypervascular liver masses Not a surgical or transplant candidate Presented at tumor board and referred for locoregional therapy
  • 103.
    TACE 5/3/2010 100 mg doxorubicin on LC beads 2 weeks later, returns with fevers, RUQ pain
  • 104.
    CT 5/19/2010: near-complete tumor necrosis Prolonged CT 8/6/2010: Biloma Percutaneous biloma catheter resolved, but drainage drainage intrahepatic recurrence and new lung nodule. To study drug
  • 105.
    August 2009 – present 100 patients with HCC referred for locoregional treatment 3 contraindicated for treatment (bilirubin too high, extrehepatic disease, hepatofugal flow) 3 insurance denials 13 did not receive 2 decided against treatment 1 awaiting treatment locoregional treatment 1 direct to OLT 87 patients treated 1 referred for surgery 1 referred for Y-90 152 total procedures, mean 10 mo 1 died prior to treatment follow-up 19 patients treated 66 patients treated 2 patients had initially with RFA initially with TACE combo TACE/RFA 2 free of disease 12 2 2 3 8 15 7 10 18 8 Alive, Alive, Alive, with Dead Alive, Down- Alive, Alive, Progressive Awaiting disease-free bridged to recurrence disease- staged under bridged to disease follow up OLT free treatment OLT 1 TACE 1 ALL 1 trial drug 1 asp PNA 1 OLT 2 13 4 6 8 rejection Surgery RFA Extrahepatic Intrahepatic Dead progression progression 1 awaiting 7 alive, 1 Nexavar 3 Y-90 7 liver cancer surgery disease-free 3 Unknown 3 Nexavar 1 unknown 1 alive, 1 alive, OLT cause disease-free 2 dead 3 alive with recurrence