LAPAROSCOPIC HERNIA SURGERY
Dr. K. Sendhilkumar, Chief Surgical Gastroenterologist
Dr. Piyush Patwa, Consultant Laparoscopic Surgeon
Dr. Latif Bagwan, Consultant Laparoscopic Surgeon
Gateway Clinics, Coimbatore, India
HERNIA SURGERY
• OPEN
• LAPAROSCOPIC
TEP : TOTALLY EXTRAPERITONEAL
TAPP : TRANSABDOMINAL PREPERITONEAL
IPOM : INTRAPERITONEAL ONLAY MESH REPAIR
Difficult Adhesiolysis, Epigastric ,Parastomal,
RIF, Recurrent Hernia, Sliding, Hiatus Hernia
LAPAROSCOPY FOR INGUINAL HERNIAS
Ideal for
• Bilateral Hernias
• Recurrent Hernias (Previous open)
• Female Hernias
• ? Unilateral Hernias
• Combined with other procedure like Lap. Cholecystectomy
• Learning Curve – Laparoscopy v/s Open = 250 v/s 25 cases
TAPP – Tips, Tricks &
Technique
Definition
• Transabdominal Preperitoneal technique:
A laparoscopic repair procedure wherein the surgeon enters the peritoneal
cavity, incises the peritoneum,
enters the preperitoneal space, and
places the mesh over the hernia;
the peritoneum is then sutured or tacked.
Lets do it step by step
• STEP 1: Entering the Intra-abdominal Cavity
• STEP 2: Creating the Peritoneal Flap
• STEP 3: Identifying the Anatomical Landmarks
• STEP 4: Dissecting the Hernia Sac
• STEP 5: Deploying and Anchoring the Mesh
• STEP 6: Closing the Peritoneum
• STEP 7: Taking out Sutures & Port Closure
Preoperative Care
• It is recommended that the patient empty his/her bladder before the
operation.
• Restrictive per- and postoperative intravenous fluid administration
reduces the risk of postoperative urinary retention.
• If you expect technical difficulties (e.g., after prostatic surgery, Scrotal
hernia) or an extended operating time, consider using a urinary
catheter during the intervention.
Preoperative Care
• The patient with unilateral groin hernia should be asked to give
his/her consent to allow simultaneous repair if a contralateral occult
hernia is found.
Table – Patient Position
• Patient in Supine position
• Head-down position during the operation and slightly (approximately
15°) turned toward the surgeon.
• The operating surgeon & the camera assistant stay on opposite sides
of the hernia.
TAPP STEP 1: Entering the Intra-abdominal Cavity
Trocar placement
• Establishing the carbon dioxide pneumoperitoneum
using the Veress needle.
• The 10 mm Camera trocar – supraumbilical
• Under laparoscopic view - Two 5 mm operating trocars on the
midclavicular line 2 cm below the level of the horizontal line from the
optical trocar.
Tips
• The intra-abdominal cavity is visualized with the Telescope and intra-
abdominal findings are reported [intra-abdominal pathology and
inguinal hernia defects and sacs].
• If an asymptomatic hernia sac is identified on the contralateral side,
our protocol mandates its repair, even though at this time we are unsure of
its exact clinical significance.
Preperitoneal dissection
The aim of this step is to ensure the best positioning of the mesh. In this way
several anatomic landmarks have to be identified, as well as a complete dissection
of the hernia’s sac.
 Epigastric vessels
 Urinary bladder
 Pubis
 Cooper’s ligament
 Gimbernat’s ligament
 Medial part of ilio-pubic tract
 External iliac vessels
 Corona mortis
 Vas deferens in males and Round ligament in females
 Spermatic vessels
 Internal inguinal ring
STEP 2: Creating the Peritoneal Flap
Incision of the peritoneum
The peritoneal incision starts 2 cm above the iliac spine/ 5cm above defect using the monopolar
scissors/hook.
Incision of the peritoneum
Light House Sign
Crossing the Midline in RIH
Entering the Lateral Inguinal Space
STEP 3: Identifying the Anatomical Landmarks
• Exploration and anatomical landmarks
• The aim of the laparoscopic exploration is to identify the anatomical
landmarks, site and type of hernia
• In this way, the Trendelenburg tilt should be increased to 30-45°.
The two dangerous “triangles”,
• 1) vascular triangle- Triangle of Doom and
• 2) Triangle of Pain has to be well identified
And Corona Mortis
Death, Destruction,or some other terrible fate
“Triangle of doom" landmark does protect the surgeon from damaging
the external iliac vessels, a portion of these vessels lie outside of this
area.
Triangle of Pain
• The so-called "triangle of pain" & "triangle of doom“ are misnomers
• Not a triangle - has only two boundaries
• The "triangle of pain" is an inverted "V" shaped area with its apex at the internal
(deep) inguinal ring. It is bound anteriorly by the iliopubic tract / inguinal ligament and
by the Gonadal vessels posteromedially
Triangle of Pain
• Don’t place staples or sutures to anchor the mesh – as several nerves
which usually cannot be seen as they run just deep to the
Endoabdominopelvic fascia
• TIP – Don’t open this fascia to see nerves !
• These nerves can suffer damage with electrocautery or entrapment -
cause pain (hence the name of the area)
CORONA MORTIS
• Latin - [corona] meaning "crown' &
[mortis] meaning "death‘
the "crown or circle of death".
The corona mortis refers to an anatomical variation, a
vascular anastomosis between the obturator & the external iliac
vascular systems that passes over Pectineal (Cooper's) ligament and
posterior to the lacunar (Gimbernat's) ligament.
Corona Mortis on left side
• In some cases, the corona mortis is the actual obturator artery- arises
from the inferior epigastric artery instead of the internal iliac artery
• It can also arise from the external iliac artery. In both cases, it has
been called an "aberrant obturator artery"
• The Preperitoneal dissection ends when the anatomic landmarks
previous described are well exposed and the two dangerous triangles
(vascular and pain triangle) can be identified
STEP 4: Dissecting the Hernia Sac
• The indirect inguinal hernia sac should be dissected carefully from the Spermatic
Cord
• It is essential to expose and know at all times where the spermatic cord is
located. Direct hernia sacs are easily dissected
• Particular care should be taken not to dissect lateral and inferior to Cooper's
ligament, as the Iliac Artery and Vein will enter the femoral canal at this site
The hernia sac dissection is performed using traction contra-traction maneuvers and fine
coagulation. To avoid the injuries of the ductus deferens and spermatic vessels the
sac dissection always starts anteriorly
Pseudosac dissection in a Direct Hernia
• A large indirect sac may be ligated proximally and divided distally
without the risk of a higher postoperative pain & recurrence rate, but
with an increased postoperative seroma rate *
* Update of guidelines on laparoscopic (TAPP) and endoscopic (TEP) treatment of inguinal hernia (International
Endohernia Society) Surg Endosc (2015) 29:289–321
• When performing inguinal hernia repair in women, extra effort should
be undertaken to reveal and treat occult synchronous femoral hernia
STEP 5: Deploying and Anchoring the Mesh
• A large (15x12 cm) polypropylene mesh.
• The mesh is inserted from the Camera trocar. Then, the mesh is
placed in the appropriate position and fixed by 1 Polypropylene
sutures (or tacking staples, glue in some centres). The first suture is at
the level of pubis
• The mesh is fixed on the upper and internal edge
• The mesh shouldn’t be sutured/stapled at the level of dangerous
triangles and epigastric vessels
Mesh is inserted from
the Camera Trocar
The 15X12 cm Mesh is folded & inserted
The Mesh should cover Myopectineal orifice
When the mesh is smoothed out, it overlaps the pubic bone & crosses midline
TIP – wrinkles or folds should not be seen
•The mesh is fixed on the upper and internal edge
3 Point Fixation
STEP 6 - The peritoneal closure
• A thorough closure of peritoneal incision or bigger peritoneal tears
should be achieved
• The peritoneum is closed by a running suture using a 2-0 vicryl
• Look - Mesh is not exposed now to abdominal organs
The peritoneum is closed by a running 2-0 vicryl suture
TIP – Far to Near
• To improve postoperative pain control, trocar wounds can be
infiltrated by local anaesthetic drug
TEP REPAIR
Contraindications for TEP
• Multiple prior lower abdominal surgeries
• Large Irreducible Hernias
• Previous Pre-peritoneal Surgeries (prostate / inguinal hernia)
• Patient not fit for GA
INSTRUMENTS
• Trocar tip
• Retractor
Retractor
INCISION
INCISION
• Umbilicus
• Starting point – from the depth of the umbilicus
• Length
ANTERIOR RECTUS SHEATH
WHICH RECTUS SHEATH?
Right Hernia
Left Hernia
Bilateral Hernia
Level of exposure
POSTERIOR RECTUS SHEATH
PROBLEMS
• Air leak
• Trocar slippage
PREVENTION OF AIR LEAK
CREATING SPACE
• Telescopic dissection
• Balloon tipped trocars
Various Balloons
WHERE TO GO?
Loose Areolar Tissues - CORRECT PLANE
PREPARATION FOR
1st WORKING PORT
FIRST WORKING TROCAR
Midline vs lateral ports
Risk of injury to the inferior epigastric artery
Risk of injury to the peritoneum
1st WORKING TROCAR
1st WORKING TROCAR ENTRY
CROSSING THE MIDLINE
Entering into the opposite side
2nd WORKING PORT
IMPORTANT LANDMARK
PUBIC ARCH
PREPARATION TO GO TO
LATERAL INGUINAL SPACE
PREPARATION TO GO TO
LATERAL INGUINAL SPACE
PREPARATION TO GO TO
LATERAL INGUINAL SPACE
PREPARATION TO GO TO
LATERAL INGUINAL SPACE
PERITONEUM
EXPOSURE OF THE SAC
FASCIA TRANSVERSALIS SLING
SAC DISSECTION
SAC ISOLATION
SAC DIVISION
LIGATION OF THE SAC
MEDIAL DISSECTION
OBTURATOR NERVE
OBTURATOR NERVE
PERITONEAL INJURY
POSTERIOR MOBILISATION
OF THE PERITONEUM
VAS DEFERENS
TRIANGLE OF DOOM AND PAIN
THE HERNIA ANATOMY
MESH PLACEMENT
MESH FIXATION
MESH FIXATION
PROPERLY PLACED MESH
Other Ways Of Fixation
TACKERS
DEFLATION
PORT PLACEMENT
HIATUS HERNIA
TYPES OF HIATUS HERNIAS
FIRST LOOK
STOMACH
LEFT LOBE LIVER
EXPOSURE
LEFT LOBE LIVER
UNDER SURFACE OF DIAPHRAGM
STOMACH
HEPATIC BRANCH OF
VAGUS
ANATOMY OF THE HIATAL REGION
CAUDATE
LOBE
LEFT GASTRIC
PEDICLE
STOMACH
LEFT LOBE LIVER
HEPATIC BRANCH
OF VAGUS
ENTERING THE LESSER SAC
GASTRO HEPATIC
LIGAMENT
KUTZNER WINDOW
LEFT LOBE LIVER
UNDER SURFACE OF DIAPHRAGM
ANATOMY AFTER GHL DIVISION
LEFT LOBE
LIVER
CAUDATE
LOBE
LEFT GASTRIC
ARTERY
LEFT GASTRIC
VEIN
RT
CRUS
RIGHT CRUS
RT CRUS.
WHITE
LINE
CAUDATE
LOBE
ESOPHAGUS
ANTERIOR
VAGUS
STOMACH
ESOPHAGUS
RT
CRUS
LEFT LOBE
LIVER
GOING BEHIND THE ESOPHAGUS
PHRENO
ESOPHAGEAL
MEMBRANE
ESOPHAGUS
RT CRUS
DEFINING THE LEFT CRUS FROM ABOVE
BARE AREA OF
STOMACH
STOMACH
ESOPHAGUS
EXPOSURE OF THE LEFT CRUS FROM ABOVE
INFERIOR PHRENIC VESSEL
STOMACH
ESOPHAGUS
BARE AREA OF STOMACH
DIVISION OF SHORT GASTRIC VESSELS
SPLENIC ARTERY
GASTRO SPLENIC
LIGAMENTSTOMACH
RETRO ESOPHAGEAL WINDOW
RETRO
ESOPHAGEAL
WINDOW
RT
CRUS
POSTERIOR VAGUS
ESOPHAGUS
RT
CRUS
LEFT
CRUS
CRURAL REPAIR
AORTA
RT CRUS
LT
CRUS
ESOPHAGUS
CRURAL CLOSURE
FUNDAL
WRAP
CAUDATE
LOBE
ESOPHAGUS
FUNDUS
Large Hiatus Hernia.(Laparoscopic Nissen’s Fundoplication)
DISSECTING AND EXCISINS THE SAC
LARGE HIATAL OPENING
DIAPHRAGMATIC HERNIA
•Laparoscopic Repair of Incarcerated
Bochdalek Hernia in Elderly:
A rare emergency easily overlooked
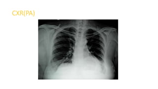
CXR(PA)
Upper GI Endoscopy
Barium Swallow
HRCT
Diagnosis
Left sided Bochdalek hernia with stomach herniating into left chest.
PLAN
Laparoscopic repair of Bochdalek hernia with reinforcement by dual mesh.
LEFT POSTERIOR LATERAL
DEFECT
CONTENTS ADHERANT TO THE SAC
EXPOSURE OF THE HIATUS
DEFECT CLOSURE
MESH PLACEMENT
MESH PLACEMENT
Left Posterolateral Defect In Adult
DEFECT CLOSURE AND MESH PLACEMENT
MANAGEMENT
• Misdiagnosis of BH is common, as reported in this case, and may be
fatal
• Clinician should take great care during the management of patients
with persistent pulmonary symptoms and abnormal chest findings
• CT Scan are the only way to direct visualize the focal defect of
diaphragm, and also helps in establishes a definitive diagnosis
MANAGEMENT
• Very few cases of Laparoscopic management of incarcerated BHs in
elderly have been reported
• The ideal technique is not yet determined because of lack of
randomized trials comparing the procedures
• Procedure of choice depends on the surgeons
Conclusion
• BHs are uncommon clinical findings in adult population and cases
presenting with incarceration are even less common
• CT is preferred diagnostic tool for BHs
• Laparoscopic repair of an incarcerated BH is an excellent option
because of the advantages of its unique, minimally invasive nature
VENTRAL HERNIA
Recurrent Incisional Hernia
Multiple Defect With Bowel Adhesion (Ventral Hernia)
Ventral Hernia With Bowel Adhesions
Parastomal Hernia Repair(Post APR)
Parastomal HerniaTechnique-Keyhole (direct)
1
5
1
Parastomal Hernia
Technique- Sugar-baker (indirect)
1
5
2
DEFECT CLOSURE AND MESH PLACEMENT
Hernia in Paediatric age Group
• Laparoscopic hernia repair also allows contralateral patent process
vaginalis (PPV) hernias to be defined and repaired in the same
operation
*F. Schier, P. Montupet, and C. Esposito, “Laparoscopic inguinal
herniorrhaphy in children: a three-center experience with 933
repairs,” Journal of Pediatric Surgery, vol. 37, no. 3, pp. 395–397,
2002.
Epigastric Hernia
Port Placement – Epigastric Hernia
Reducing the contents
Defect
Defect Closure
 Stomach
20x15 cms Elliptical Dual Mesh
Sliding Hernia
RIF region hernia after Bone graft Surgery
Position
Eventration of Diaphragm
MRI
Goal of Hernia Repair
• Minimal operative and post operative discomfort
• Effective repair
• Lowest possible recurrence rate
• Rapid return to normal activities
• Cost effective
• Reproducible among Hernia Specialists and General Surgeons
210
Ideal Prosthesis
• Chemically inert
• Minimal inflammatory or foreign body reaction
• Non-carcinogenic
• Does not induce a state of allergy or hypersensitivity
• Resists infection
• Minimal shrinkage
• Capable of resisting mechanical strains
• Strong enough to prevent recurrence
• Easy to handle and use
• Provides for appropriate tissue in-growth
211
Prosthetic Materials
• Meshes
• Anchor
• Tacker
212
Meshes
• Single Layered
• Double Layered
• Biological
213
What is the ideal mesh?
Covidien? Ethicon? Bard?
Gore? Atrium? Dynamesh?
GFE?...
Lightweight? Ultra-
light? Heavyweight?...
Polyester?
Polypropylene?
ePTFE?...
Weaved? Braided?
Knitted?...
Permanent?
Absorbable? Semi-
absorbable?
Monofilament?
Multifilament?
214
H+ or H- , Surface, absorbable,
Non absorbable, mixed
mesh, foil, knitted, braided, woven expanded
monofilament, Xfilament,
elasticity, weight
Macroporosity
Microporosity
Effective porosity
Construction
Material
Porosity
215
1mm 1.5mm
The porosity of a mesh influences capsule formation
and shrinkage of the mesh
Optimal porosity provide sufficient
space for tissue ingrowth
Poor porosity leads to capsule
formation and shrinkage
3
216
Currently used Prosthetic Meshes
• Polyester (Dacron)Mesh
• Polypropylene Mesh
• e PTFE mesh (Expanded Polytetra fluoroethylene)
• Composite Mesh
217
Polypropylene Mesh
• Thermoplast based on propane with MW of 100000
• Resists physical decay after years
• As strong as steel but 1/8 the density
• High bending stiffness is a disadvantage
• Causes sub-acute inflammatory reaction causes fibrosis
and stability
• Direct contact with bowel can lead to intestinal
adhesions and fistulas
218
Polypropylene Mesh
• Considerable shrinkage (20% in length to 40% in
area)
• Leads to early edema (2-7 days), so needs drains
• Intense fibrosis embedding the mesh into scar leads
to restriction of wall mobility
• In case of infections leave the mesh and give
antibiotics
• If not settled the mesh should be removed
219
Traditional Weight Mesh
• Used for over 30 years
• Secure repair
• BUT….
• Does it optimize wound healing?
• Patient complaints
• Loss of abdominal wall mobility
• Post-operative discomfort
• Ability to feel the edge of the mesh
220
Lightweight Mesh
The lightweight mesh hypothesis:
• Alter construction of the mesh in such a way as to
allow handling characteristics of a traditional mesh
while delivering:
• More natural abdominal wall compliance
• Improved patient comfort
• Less foreign body implanted over the lifetime of the patient
• A secure repair
221
• Traditional weight meshes allow for scar tissue to form a bridge from
filament to filament. This results in what is called bridging fibrosis and
consequently, a rigid scar plate.
• The lighter weight polypropylene encourages an orderly ingrowth of
tissue and allows for healthy, flexible collagen to form between the
filaments…resulting in a flexible, more compliant scar plate.
222
Abdominal Wall Compliance
0.8 mm Pore Size
4.0 mm Pore Size
Heavyweight, or traditional weight mesh
Lightweight, or “physiologic” weight mesh
Granuloma
Granuloma
223
In Favor of
Polypropylene Mesh:
• Extensive fibroblast in growth , incorporation by the
host and can be used in contaminated fields
Franklin ME et al. Lap ventral and incisional hernial repair. Surg Lap End
8(4):294-299 1998
285 lap ventral hernia and 520 lap inguinal hernia using IPOM with
polypropylene mesh. 1 fistula formation (0.14%), 4 mesh infections
(0.50%), and 6 reoperations for bowel obstruction secondary to mesh
adhesions (0.75%). Relaparoscopy 27 patients (19 incisional, 8 inguinal):
1/3 no adhesions, 1/3 mild adhesions, 1/3 severe.
Chowbey PK et al. Lap ventral hernia repair J La Adv Surg
Tech 2000; 10:79-84
Bingener J et al. Adhesion formation after laparoscopic ventral
incisional hernia repair with polypropylene mesh: a study using
abdominal ultrasound, JSLS (2004)8:127-131 224
Against polypropylene mesh:
• It is extremely difficult to lyse adhesions to
polypropylene without causing enterotomies*
• Major complications with polypropylene not evident
until years later
• 9 cases of mesh erosion fistula stainless steel (1)
tantalum (1) mersilene (1) dexon (1) ppm (5).
The time to the development of these fistulas
ranged from 3 months to 14 years
*Losanoff JE et al. Entero-colocutaneous fistula: a late consequence of polypropylene mesh
abdominal wall repair: case report and review of the literature, Hernia 2002; 6: 144-147
225
In Favor of ePTFE
• Microporous, smooth texture minimizes tissue
in-growth and limits adhesion formation and
bowel injury
• Combined with a large pore second layer it
can adhere well to the abdominal wall
226
Against ePTFE
• Microporous construction limits ability of
macrophages to destroy bacteria
• Mesh infection is not well treated by antibiotics
and requires mesh removal
• Does not integrate well into host tissue when
not combined with a large pore mesh
227
Polyester Dual Mesh
• Parietex (polyester and atelocollagen type 1, polyethylene glycol, glycerol) Covidien, Hamilton,
Bermuda
• Polyester mesh incorporates well into the abdominal wall
• Collagen covering on the visceral surface protects bowel and dissolves as the polyester is
incorporated
228
Composite Meshes
• Combination of 2 materials
• Surface facing the peritoneal aspect
• Promotes tissue ingrowth
• Increases adhesion between mesh & parietal wall
• Eg. Polyproplene/Polyester
• Surface facing the abdominal contents
• Inert
• Prevents adhesion between mesh & bowel
• Absorbable or nonabsorbable
229
Composite Meshes
• Composix
• Peritoneal surface : Polyester
• Abdominal surface : ePTFE (nonabsorbable)
• Parietex
• Peritoneal surface : Polyester
• Abdominal surface : Hydrophilic collagen
coating
• Gore Tex
• Both surface : ePTFE
230
Composite Meshes
• Proceed
• Polypropylene
• Oxidised Reinforced Collegen
• Atrium
• Polypropylene
• Omega 3 Fatty Acid
231
Proceed mesh
232
Parietex mesh
233
Composix mesh
234
Goretex Dual Mesh
235
Atrium mesh
236
DR. LATIF BAGWAN. GATEWAY CLINICS 237
Biosynthetic mesh
• Surgisis gold 8ply mesh - Processed porcine small
intestinal submucosa
• Alloderm – Processed cadaveric human acellular
dermis
238
Surgisis mesh
239
Advantages
• Resists infection well
• Conforms well to the abdominal wall
• Physiological collagen deposition
• Can be used in infected fields
240
Disadvantages
Occasional severe host reaction
Seroma common with surgisis mesh
High incidence of post op diastasis and recurrence with
alloderm
Cost
241
Take Home message
Material nature is important for cells attachment
Porosity is more important than the weight of the mesh
For ventral hernia, the elasticity of the mesh is key
Not all materials behave the same way on long term
242
COMPLICATIONS
Mesh Infection And Removal
REMOVAL OF MESH AND TACKS
TACK
EXTRACTION OF THE MESH
MESH REMOVAL IN
ENDOBAG
Entero-Cutaneous fistula
Previous Open Ventral Hernia and Lap IPOM Repair for Umbilical Hernia
CECT- abdomen
Latest in Laparoscopic Hernia surgery
Latest in Laparoscopic Hernia surgery
Latest in Laparoscopic Hernia surgery
Latest in Laparoscopic Hernia surgery
Latest in Laparoscopic Hernia surgery
Latest in Laparoscopic Hernia surgery
Latest in Laparoscopic Hernia surgery
Latest in Laparoscopic Hernia surgery
Latest in Laparoscopic Hernia surgery
Latest in Laparoscopic Hernia surgery
Latest in Laparoscopic Hernia surgery
Latest in Laparoscopic Hernia surgery
Latest in Laparoscopic Hernia surgery

Latest in Laparoscopic Hernia surgery

  • 1.
    LAPAROSCOPIC HERNIA SURGERY Dr.K. Sendhilkumar, Chief Surgical Gastroenterologist Dr. Piyush Patwa, Consultant Laparoscopic Surgeon Dr. Latif Bagwan, Consultant Laparoscopic Surgeon Gateway Clinics, Coimbatore, India
  • 2.
    HERNIA SURGERY • OPEN •LAPAROSCOPIC TEP : TOTALLY EXTRAPERITONEAL TAPP : TRANSABDOMINAL PREPERITONEAL IPOM : INTRAPERITONEAL ONLAY MESH REPAIR Difficult Adhesiolysis, Epigastric ,Parastomal, RIF, Recurrent Hernia, Sliding, Hiatus Hernia
  • 3.
    LAPAROSCOPY FOR INGUINALHERNIAS Ideal for • Bilateral Hernias • Recurrent Hernias (Previous open) • Female Hernias • ? Unilateral Hernias • Combined with other procedure like Lap. Cholecystectomy • Learning Curve – Laparoscopy v/s Open = 250 v/s 25 cases
  • 4.
    TAPP – Tips,Tricks & Technique
  • 5.
    Definition • Transabdominal Preperitonealtechnique: A laparoscopic repair procedure wherein the surgeon enters the peritoneal cavity, incises the peritoneum, enters the preperitoneal space, and places the mesh over the hernia; the peritoneum is then sutured or tacked.
  • 6.
    Lets do itstep by step • STEP 1: Entering the Intra-abdominal Cavity • STEP 2: Creating the Peritoneal Flap • STEP 3: Identifying the Anatomical Landmarks • STEP 4: Dissecting the Hernia Sac • STEP 5: Deploying and Anchoring the Mesh • STEP 6: Closing the Peritoneum • STEP 7: Taking out Sutures & Port Closure
  • 7.
    Preoperative Care • Itis recommended that the patient empty his/her bladder before the operation. • Restrictive per- and postoperative intravenous fluid administration reduces the risk of postoperative urinary retention. • If you expect technical difficulties (e.g., after prostatic surgery, Scrotal hernia) or an extended operating time, consider using a urinary catheter during the intervention.
  • 8.
    Preoperative Care • Thepatient with unilateral groin hernia should be asked to give his/her consent to allow simultaneous repair if a contralateral occult hernia is found.
  • 9.
    Table – PatientPosition • Patient in Supine position • Head-down position during the operation and slightly (approximately 15°) turned toward the surgeon. • The operating surgeon & the camera assistant stay on opposite sides of the hernia.
  • 10.
    TAPP STEP 1:Entering the Intra-abdominal Cavity Trocar placement • Establishing the carbon dioxide pneumoperitoneum using the Veress needle. • The 10 mm Camera trocar – supraumbilical • Under laparoscopic view - Two 5 mm operating trocars on the midclavicular line 2 cm below the level of the horizontal line from the optical trocar.
  • 11.
    Tips • The intra-abdominalcavity is visualized with the Telescope and intra- abdominal findings are reported [intra-abdominal pathology and inguinal hernia defects and sacs]. • If an asymptomatic hernia sac is identified on the contralateral side, our protocol mandates its repair, even though at this time we are unsure of its exact clinical significance.
  • 12.
    Preperitoneal dissection The aimof this step is to ensure the best positioning of the mesh. In this way several anatomic landmarks have to be identified, as well as a complete dissection of the hernia’s sac.  Epigastric vessels  Urinary bladder  Pubis  Cooper’s ligament  Gimbernat’s ligament  Medial part of ilio-pubic tract  External iliac vessels  Corona mortis  Vas deferens in males and Round ligament in females  Spermatic vessels  Internal inguinal ring
  • 13.
    STEP 2: Creatingthe Peritoneal Flap
  • 14.
    Incision of theperitoneum The peritoneal incision starts 2 cm above the iliac spine/ 5cm above defect using the monopolar scissors/hook.
  • 15.
    Incision of theperitoneum
  • 16.
  • 17.
  • 18.
    Entering the LateralInguinal Space
  • 19.
    STEP 3: Identifyingthe Anatomical Landmarks • Exploration and anatomical landmarks • The aim of the laparoscopic exploration is to identify the anatomical landmarks, site and type of hernia • In this way, the Trendelenburg tilt should be increased to 30-45°. The two dangerous “triangles”, • 1) vascular triangle- Triangle of Doom and • 2) Triangle of Pain has to be well identified And Corona Mortis
  • 21.
    Death, Destruction,or someother terrible fate
  • 22.
    “Triangle of doom"landmark does protect the surgeon from damaging the external iliac vessels, a portion of these vessels lie outside of this area.
  • 24.
    Triangle of Pain •The so-called "triangle of pain" & "triangle of doom“ are misnomers • Not a triangle - has only two boundaries • The "triangle of pain" is an inverted "V" shaped area with its apex at the internal (deep) inguinal ring. It is bound anteriorly by the iliopubic tract / inguinal ligament and by the Gonadal vessels posteromedially
  • 25.
    Triangle of Pain •Don’t place staples or sutures to anchor the mesh – as several nerves which usually cannot be seen as they run just deep to the Endoabdominopelvic fascia • TIP – Don’t open this fascia to see nerves ! • These nerves can suffer damage with electrocautery or entrapment - cause pain (hence the name of the area)
  • 27.
    CORONA MORTIS • Latin- [corona] meaning "crown' & [mortis] meaning "death‘ the "crown or circle of death". The corona mortis refers to an anatomical variation, a vascular anastomosis between the obturator & the external iliac vascular systems that passes over Pectineal (Cooper's) ligament and posterior to the lacunar (Gimbernat's) ligament.
  • 28.
  • 29.
    • In somecases, the corona mortis is the actual obturator artery- arises from the inferior epigastric artery instead of the internal iliac artery • It can also arise from the external iliac artery. In both cases, it has been called an "aberrant obturator artery"
  • 30.
    • The Preperitonealdissection ends when the anatomic landmarks previous described are well exposed and the two dangerous triangles (vascular and pain triangle) can be identified
  • 31.
    STEP 4: Dissectingthe Hernia Sac • The indirect inguinal hernia sac should be dissected carefully from the Spermatic Cord • It is essential to expose and know at all times where the spermatic cord is located. Direct hernia sacs are easily dissected • Particular care should be taken not to dissect lateral and inferior to Cooper's ligament, as the Iliac Artery and Vein will enter the femoral canal at this site
  • 32.
    The hernia sacdissection is performed using traction contra-traction maneuvers and fine coagulation. To avoid the injuries of the ductus deferens and spermatic vessels the sac dissection always starts anteriorly
  • 33.
    Pseudosac dissection ina Direct Hernia
  • 34.
    • A largeindirect sac may be ligated proximally and divided distally without the risk of a higher postoperative pain & recurrence rate, but with an increased postoperative seroma rate * * Update of guidelines on laparoscopic (TAPP) and endoscopic (TEP) treatment of inguinal hernia (International Endohernia Society) Surg Endosc (2015) 29:289–321
  • 35.
    • When performinginguinal hernia repair in women, extra effort should be undertaken to reveal and treat occult synchronous femoral hernia
  • 36.
    STEP 5: Deployingand Anchoring the Mesh • A large (15x12 cm) polypropylene mesh. • The mesh is inserted from the Camera trocar. Then, the mesh is placed in the appropriate position and fixed by 1 Polypropylene sutures (or tacking staples, glue in some centres). The first suture is at the level of pubis • The mesh is fixed on the upper and internal edge • The mesh shouldn’t be sutured/stapled at the level of dangerous triangles and epigastric vessels
  • 37.
    Mesh is insertedfrom the Camera Trocar
  • 38.
    The 15X12 cmMesh is folded & inserted
  • 39.
    The Mesh shouldcover Myopectineal orifice When the mesh is smoothed out, it overlaps the pubic bone & crosses midline TIP – wrinkles or folds should not be seen
  • 41.
    •The mesh isfixed on the upper and internal edge
  • 42.
  • 43.
    STEP 6 -The peritoneal closure • A thorough closure of peritoneal incision or bigger peritoneal tears should be achieved • The peritoneum is closed by a running suture using a 2-0 vicryl • Look - Mesh is not exposed now to abdominal organs
  • 44.
    The peritoneum isclosed by a running 2-0 vicryl suture TIP – Far to Near
  • 45.
    • To improvepostoperative pain control, trocar wounds can be infiltrated by local anaesthetic drug
  • 46.
  • 47.
    Contraindications for TEP •Multiple prior lower abdominal surgeries • Large Irreducible Hernias • Previous Pre-peritoneal Surgeries (prostate / inguinal hernia) • Patient not fit for GA
  • 48.
  • 49.
  • 50.
  • 51.
    INCISION • Umbilicus • Startingpoint – from the depth of the umbilicus • Length
  • 53.
  • 54.
    WHICH RECTUS SHEATH? RightHernia Left Hernia Bilateral Hernia Level of exposure
  • 55.
  • 56.
  • 57.
  • 58.
    CREATING SPACE • Telescopicdissection • Balloon tipped trocars
  • 59.
  • 60.
  • 61.
    Loose Areolar Tissues- CORRECT PLANE
  • 62.
  • 63.
    FIRST WORKING TROCAR Midlinevs lateral ports Risk of injury to the inferior epigastric artery Risk of injury to the peritoneum
  • 64.
  • 65.
  • 66.
  • 67.
    Entering into theopposite side
  • 68.
  • 69.
  • 70.
  • 71.
    PREPARATION TO GOTO LATERAL INGUINAL SPACE
  • 72.
    PREPARATION TO GOTO LATERAL INGUINAL SPACE
  • 73.
    PREPARATION TO GOTO LATERAL INGUINAL SPACE
  • 74.
    PREPARATION TO GOTO LATERAL INGUINAL SPACE
  • 75.
  • 76.
  • 77.
  • 78.
  • 79.
  • 80.
  • 81.
  • 82.
  • 83.
  • 84.
  • 85.
  • 86.
  • 87.
  • 88.
  • 89.
  • 90.
  • 91.
  • 92.
  • 93.
    Other Ways OfFixation TACKERS
  • 94.
  • 95.
  • 97.
  • 98.
  • 99.
  • 100.
    EXPOSURE LEFT LOBE LIVER UNDERSURFACE OF DIAPHRAGM STOMACH HEPATIC BRANCH OF VAGUS
  • 101.
    ANATOMY OF THEHIATAL REGION CAUDATE LOBE LEFT GASTRIC PEDICLE STOMACH LEFT LOBE LIVER HEPATIC BRANCH OF VAGUS
  • 102.
    ENTERING THE LESSERSAC GASTRO HEPATIC LIGAMENT KUTZNER WINDOW LEFT LOBE LIVER UNDER SURFACE OF DIAPHRAGM
  • 103.
    ANATOMY AFTER GHLDIVISION LEFT LOBE LIVER CAUDATE LOBE LEFT GASTRIC ARTERY LEFT GASTRIC VEIN RT CRUS
  • 104.
  • 105.
  • 106.
    GOING BEHIND THEESOPHAGUS PHRENO ESOPHAGEAL MEMBRANE ESOPHAGUS RT CRUS
  • 107.
    DEFINING THE LEFTCRUS FROM ABOVE BARE AREA OF STOMACH STOMACH ESOPHAGUS
  • 108.
    EXPOSURE OF THELEFT CRUS FROM ABOVE INFERIOR PHRENIC VESSEL STOMACH ESOPHAGUS BARE AREA OF STOMACH
  • 109.
    DIVISION OF SHORTGASTRIC VESSELS SPLENIC ARTERY GASTRO SPLENIC LIGAMENTSTOMACH
  • 110.
  • 111.
  • 112.
  • 113.
  • 114.
  • 115.
    Large Hiatus Hernia.(LaparoscopicNissen’s Fundoplication)
  • 116.
  • 117.
  • 118.
  • 119.
    •Laparoscopic Repair ofIncarcerated Bochdalek Hernia in Elderly: A rare emergency easily overlooked
  • 120.
  • 121.
  • 122.
  • 123.
  • 124.
    Diagnosis Left sided Bochdalekhernia with stomach herniating into left chest. PLAN Laparoscopic repair of Bochdalek hernia with reinforcement by dual mesh.
  • 125.
  • 126.
  • 127.
  • 128.
  • 129.
  • 130.
  • 131.
  • 132.
    DEFECT CLOSURE ANDMESH PLACEMENT
  • 134.
    MANAGEMENT • Misdiagnosis ofBH is common, as reported in this case, and may be fatal • Clinician should take great care during the management of patients with persistent pulmonary symptoms and abnormal chest findings • CT Scan are the only way to direct visualize the focal defect of diaphragm, and also helps in establishes a definitive diagnosis
  • 135.
    MANAGEMENT • Very fewcases of Laparoscopic management of incarcerated BHs in elderly have been reported • The ideal technique is not yet determined because of lack of randomized trials comparing the procedures • Procedure of choice depends on the surgeons
  • 136.
    Conclusion • BHs areuncommon clinical findings in adult population and cases presenting with incarceration are even less common • CT is preferred diagnostic tool for BHs • Laparoscopic repair of an incarcerated BH is an excellent option because of the advantages of its unique, minimally invasive nature
  • 137.
  • 146.
  • 148.
    Multiple Defect WithBowel Adhesion (Ventral Hernia)
  • 149.
    Ventral Hernia WithBowel Adhesions
  • 150.
  • 151.
  • 152.
  • 153.
    DEFECT CLOSURE ANDMESH PLACEMENT
  • 155.
  • 163.
    • Laparoscopic herniarepair also allows contralateral patent process vaginalis (PPV) hernias to be defined and repaired in the same operation *F. Schier, P. Montupet, and C. Esposito, “Laparoscopic inguinal herniorrhaphy in children: a three-center experience with 933 repairs,” Journal of Pediatric Surgery, vol. 37, no. 3, pp. 395–397, 2002.
  • 164.
  • 165.
    Port Placement –Epigastric Hernia
  • 167.
  • 168.
  • 169.
  • 171.
  • 172.
  • 184.
    RIF region herniaafter Bone graft Surgery
  • 186.
  • 198.
  • 199.
  • 210.
    Goal of HerniaRepair • Minimal operative and post operative discomfort • Effective repair • Lowest possible recurrence rate • Rapid return to normal activities • Cost effective • Reproducible among Hernia Specialists and General Surgeons 210
  • 211.
    Ideal Prosthesis • Chemicallyinert • Minimal inflammatory or foreign body reaction • Non-carcinogenic • Does not induce a state of allergy or hypersensitivity • Resists infection • Minimal shrinkage • Capable of resisting mechanical strains • Strong enough to prevent recurrence • Easy to handle and use • Provides for appropriate tissue in-growth 211
  • 212.
  • 213.
    Meshes • Single Layered •Double Layered • Biological 213
  • 214.
    What is theideal mesh? Covidien? Ethicon? Bard? Gore? Atrium? Dynamesh? GFE?... Lightweight? Ultra- light? Heavyweight?... Polyester? Polypropylene? ePTFE?... Weaved? Braided? Knitted?... Permanent? Absorbable? Semi- absorbable? Monofilament? Multifilament? 214
  • 215.
    H+ or H-, Surface, absorbable, Non absorbable, mixed mesh, foil, knitted, braided, woven expanded monofilament, Xfilament, elasticity, weight Macroporosity Microporosity Effective porosity Construction Material Porosity 215
  • 216.
    1mm 1.5mm The porosityof a mesh influences capsule formation and shrinkage of the mesh Optimal porosity provide sufficient space for tissue ingrowth Poor porosity leads to capsule formation and shrinkage 3 216
  • 217.
    Currently used ProstheticMeshes • Polyester (Dacron)Mesh • Polypropylene Mesh • e PTFE mesh (Expanded Polytetra fluoroethylene) • Composite Mesh 217
  • 218.
    Polypropylene Mesh • Thermoplastbased on propane with MW of 100000 • Resists physical decay after years • As strong as steel but 1/8 the density • High bending stiffness is a disadvantage • Causes sub-acute inflammatory reaction causes fibrosis and stability • Direct contact with bowel can lead to intestinal adhesions and fistulas 218
  • 219.
    Polypropylene Mesh • Considerableshrinkage (20% in length to 40% in area) • Leads to early edema (2-7 days), so needs drains • Intense fibrosis embedding the mesh into scar leads to restriction of wall mobility • In case of infections leave the mesh and give antibiotics • If not settled the mesh should be removed 219
  • 220.
    Traditional Weight Mesh •Used for over 30 years • Secure repair • BUT…. • Does it optimize wound healing? • Patient complaints • Loss of abdominal wall mobility • Post-operative discomfort • Ability to feel the edge of the mesh 220
  • 221.
    Lightweight Mesh The lightweightmesh hypothesis: • Alter construction of the mesh in such a way as to allow handling characteristics of a traditional mesh while delivering: • More natural abdominal wall compliance • Improved patient comfort • Less foreign body implanted over the lifetime of the patient • A secure repair 221
  • 222.
    • Traditional weightmeshes allow for scar tissue to form a bridge from filament to filament. This results in what is called bridging fibrosis and consequently, a rigid scar plate. • The lighter weight polypropylene encourages an orderly ingrowth of tissue and allows for healthy, flexible collagen to form between the filaments…resulting in a flexible, more compliant scar plate. 222
  • 223.
    Abdominal Wall Compliance 0.8mm Pore Size 4.0 mm Pore Size Heavyweight, or traditional weight mesh Lightweight, or “physiologic” weight mesh Granuloma Granuloma 223
  • 224.
    In Favor of PolypropyleneMesh: • Extensive fibroblast in growth , incorporation by the host and can be used in contaminated fields Franklin ME et al. Lap ventral and incisional hernial repair. Surg Lap End 8(4):294-299 1998 285 lap ventral hernia and 520 lap inguinal hernia using IPOM with polypropylene mesh. 1 fistula formation (0.14%), 4 mesh infections (0.50%), and 6 reoperations for bowel obstruction secondary to mesh adhesions (0.75%). Relaparoscopy 27 patients (19 incisional, 8 inguinal): 1/3 no adhesions, 1/3 mild adhesions, 1/3 severe. Chowbey PK et al. Lap ventral hernia repair J La Adv Surg Tech 2000; 10:79-84 Bingener J et al. Adhesion formation after laparoscopic ventral incisional hernia repair with polypropylene mesh: a study using abdominal ultrasound, JSLS (2004)8:127-131 224
  • 225.
    Against polypropylene mesh: •It is extremely difficult to lyse adhesions to polypropylene without causing enterotomies* • Major complications with polypropylene not evident until years later • 9 cases of mesh erosion fistula stainless steel (1) tantalum (1) mersilene (1) dexon (1) ppm (5). The time to the development of these fistulas ranged from 3 months to 14 years *Losanoff JE et al. Entero-colocutaneous fistula: a late consequence of polypropylene mesh abdominal wall repair: case report and review of the literature, Hernia 2002; 6: 144-147 225
  • 226.
    In Favor ofePTFE • Microporous, smooth texture minimizes tissue in-growth and limits adhesion formation and bowel injury • Combined with a large pore second layer it can adhere well to the abdominal wall 226
  • 227.
    Against ePTFE • Microporousconstruction limits ability of macrophages to destroy bacteria • Mesh infection is not well treated by antibiotics and requires mesh removal • Does not integrate well into host tissue when not combined with a large pore mesh 227
  • 228.
    Polyester Dual Mesh •Parietex (polyester and atelocollagen type 1, polyethylene glycol, glycerol) Covidien, Hamilton, Bermuda • Polyester mesh incorporates well into the abdominal wall • Collagen covering on the visceral surface protects bowel and dissolves as the polyester is incorporated 228
  • 229.
    Composite Meshes • Combinationof 2 materials • Surface facing the peritoneal aspect • Promotes tissue ingrowth • Increases adhesion between mesh & parietal wall • Eg. Polyproplene/Polyester • Surface facing the abdominal contents • Inert • Prevents adhesion between mesh & bowel • Absorbable or nonabsorbable 229
  • 230.
    Composite Meshes • Composix •Peritoneal surface : Polyester • Abdominal surface : ePTFE (nonabsorbable) • Parietex • Peritoneal surface : Polyester • Abdominal surface : Hydrophilic collagen coating • Gore Tex • Both surface : ePTFE 230
  • 231.
    Composite Meshes • Proceed •Polypropylene • Oxidised Reinforced Collegen • Atrium • Polypropylene • Omega 3 Fatty Acid 231
  • 232.
  • 233.
  • 234.
  • 235.
  • 236.
  • 237.
    DR. LATIF BAGWAN.GATEWAY CLINICS 237
  • 238.
    Biosynthetic mesh • Surgisisgold 8ply mesh - Processed porcine small intestinal submucosa • Alloderm – Processed cadaveric human acellular dermis 238
  • 239.
  • 240.
    Advantages • Resists infectionwell • Conforms well to the abdominal wall • Physiological collagen deposition • Can be used in infected fields 240
  • 241.
    Disadvantages Occasional severe hostreaction Seroma common with surgisis mesh High incidence of post op diastasis and recurrence with alloderm Cost 241
  • 242.
    Take Home message Materialnature is important for cells attachment Porosity is more important than the weight of the mesh For ventral hernia, the elasticity of the mesh is key Not all materials behave the same way on long term 242
  • 243.
  • 244.
  • 245.
    REMOVAL OF MESHAND TACKS TACK
  • 246.
    EXTRACTION OF THEMESH MESH REMOVAL IN ENDOBAG
  • 247.
    Entero-Cutaneous fistula Previous OpenVentral Hernia and Lap IPOM Repair for Umbilical Hernia
  • 248.