Embed presentation
Downloaded 42 times























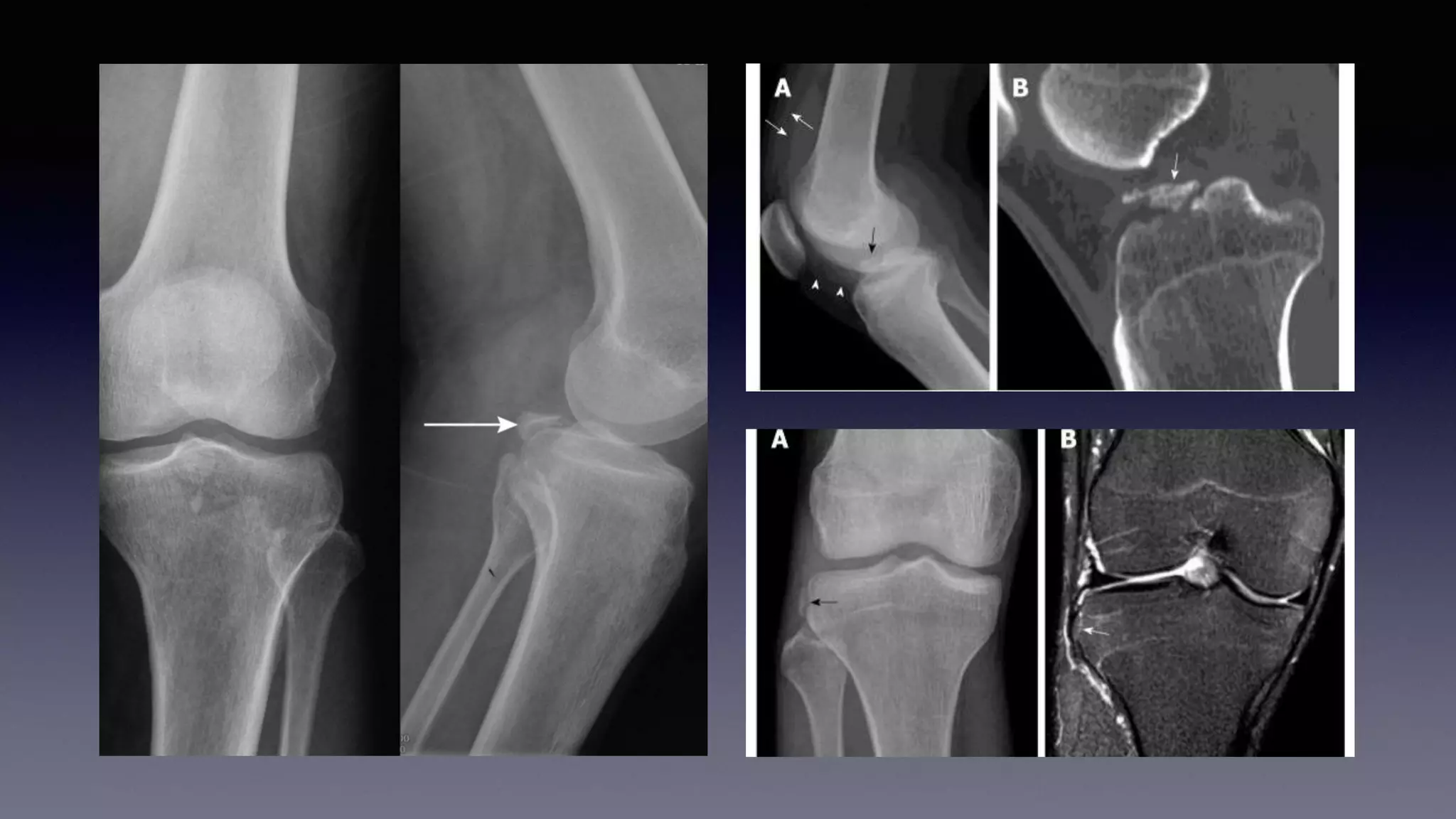
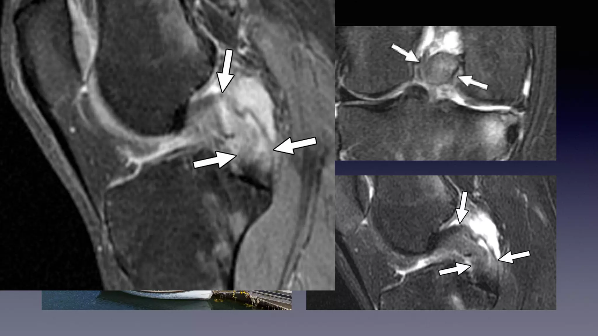
This document discusses using MRI to diagnose ligament injuries in the knee. It begins with an overview of MRI anatomy of the knee and expected pathology. It then discusses specific ligaments like the ACL, PCL, MCL and LCL. For the ACL, it shows images of acute tears, chronic tears and intrasubstance tears. It emphasizes knowing the knee anatomy well and correlating any abnormalities seen with clinical findings in order to apply the appropriate treatment.






















