By
Dr abdelaziz ragab sakr
Assitant.lecture
M.CH, MRCS
4 cardinal features of obstruction:
• Abdominal pain
• Vomiting
• Abdominal distension
• Constipation.
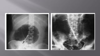
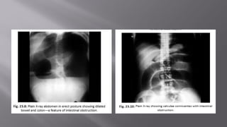
 Jejunum shows concertina effect due to valvulae conniventes
(Herring bone pattern)—by the valves of Kerckring.
 Ileum is smooth and characterless (by Wangensteen).
 Large bowel shows haustration.
 Distended caecum is shown as round gas shadow in the right
iliac fossa. Dilated caecum signifies large bowel obstruction.
 Broad spectrum antibiotics
 Correction of electrolyte
imbalance
 Surgery or nonoperative trial?
No question of nonoperative trial if:
1. suspected ischemia
2. Large bowel obstruction
3. Strangulated hernia
4. Suspected peritonitis.
Nonoperative to
operative, but when?
 Patient is developing symptoms
and signs of complication—
continuous abdominal pain,
localized tenderness, rebound
tenderness, fever,tachycardia
and leukocytosis.
 In X-ray abdomen, free gas or
signs of closed-loop obstruction.
 In CT abdomen, signs of
ischemia and strangulation.
Assess:
 Site of obstruction
 Nature of obstruction
 Viability of gut
Nonmechanical
obstruction
Mechanical
obstruction
Signs and symptoms of intestinal
obstruction
Physical exam and resuscitate as
necessary
Investigative studies
Classification of
obstruction
Immediate operation indicated
Immediate operation not
indicated
Urgent
operation
No operation
Elective
operation
mechanical
Indications include
peritonitis,incarcerated
hernia,
suspected or confirmed
strangulation,
pneumatosis cystoides
intestinalis, sigmoid
volvulus with systemic
toxicity or peritoneal
irritation, small bowel
volvulus, colonic volvulus
above sigmoid.
Urgent operation
Indications include
Lack of response to 24–48 hr of nonoperative therapy
NG aspirate changing from nonfeculent to feculent; ↑ proximal
small bowel distention with ↓ distal gas).
No operation
IBD, radiation enteritis, diverticulitis, acute Crohn disease
Elective operation
sigmoid volvulus with sigmoidoscopically managed
obstruction; recurrent adhesive or stricture-related small bowel
obstruction.
A A 45-year-old woman with a long history of intermittent right abdominal pain presents with acute onset of
severe abdominal pain and distension. Examination reveals a tense tympanic lump in the left upper
abdomen.
B A 62-year-old woman underwent a transperitoneal right nephrectomy for carcinoma through a transverse
incision 5 days ago. She has not had a bowel action since her operation Examination reveals a slightly tense
distended abdomen with no bowel sounds. Her serum potassium is 2.4 mEq/L.
C A 74-year-old woman with a BMI of 36 presents with a painful lump around her umbilicus. She has had it
for several years and it has increased in size recently. Examination reveals a large, tender, hard, lump over
the umbilicus with bluish discolouration and no cough impulse
1 Acute ileocolic intussusception
2 Caecal volvulus
3 Carcinoma of caecum with acute distal small bowel obstruction
4 Carcinoma of sigmoid colon with acute closed-loop obstruction
5 Colonic pseudo-obstruction
6 Faecal impaction
7 Paralytic ileus
8 Sigmoid volvulus
9 Strangulated femoral hernia
10 Strangulated umbilical hernia
D A 78-year-old man with chronic obstructive pulmonary disease (COPD) is an
inpatient
under the chest physicians. A surgical review has been requested, as he has not
opened his
bowels for 5 days. The abdomen is distended, which is making his chest problems
worse.
Examination reveals a massively distended abdomen, which is tympanic. Abdominal
CT
shows distended large bowel with no cut-off sign.
E A 65-year-old woman has been admitted through the Accident and Emergency
Department
(A&E) with abdominal pain, abdominal distension, faeculent vomiting and
constipation. She
has lost 20 kg in weight in 4 months. Examination reveals a patient with features of
acute
distal small bowel obstruction and Hb of 8 g/dL. She has never had an operation in
the past.
F A 90-year-old man from the local care home was referred to A&E with
abdominal pain and persistent diarrhoea. Abdominal examination reveals
multiple ‘masses’, and rectal examination revealed a loaded rectum.
G A 78-year-old man with history of chronic constipation is brought to the
A&E with a sudden onset of abdominal pain and distension. Examination
reveals a distended tympanic abdomen with a ‘mass’ arising from the pelvis.
H A 9-month-old baby boy has been admitted to the paediatric unit with
intermittent colicky abdominal with blood-stained stools and mucus in his
nappy. On examination he looks unwell.
Abdominal examination shows an empty right iliac fossa with a lump in the
epigastrium.
J An 84-year-old woman has been admitted with a 12-hour history of colicky
abdominal pain, distension, vomiting and constipation; the vomitus, bilious to
start with, became faeculent. Clinical examination shows a small erythematous
tender lump below the inguinal ligament and lateral to the pubic tubercle.
D A 78-year-old man with chronic obstructive pulmonary disease (COPD) is
an inpatient under the chest physicians. A surgical review has been requested,
as he has not opened his bowels for 5 days. The abdomen is distended, which
is making his chest problems worse. Examination reveals a massively
distended abdomen, which is tympanic. Abdominal CT shows distended large
bowel with no cut-off sign.
Diagnoses
1 Acute ileocolic intussusception
2 Caecal volvulus
3 Carcinoma of caecum with acute distal small bowel obstruction
4 Carcinoma of sigmoid colon with acute closed-loop obstruction
5 Colonic pseudo-obstruction
6 Faecal impaction
7 Paralytic ileus
8 Sigmoid volvulus
9 Strangulated femoral hernia
1. H Acute ileocolic intussusception
2. A Caecal volvulus
3. E Carcinoma of caecum with acute distal small bowel obstruction
4. I Carcinoma of sigmoid colon with acute closed-loop obstruction
5. D Colonic pseudo-obstruction
6. F Faecal impaction
7. B Paralytic ileus
8. G Sigmoid volvulus
9. J Strangulated femoral hernia
10. C Strangulated umbilical hernia
1. A women of 35-years, comes to emergency department with
symptoms of pain in abdomen and bilious vomiting but no
distension of bowel. Abdominal X-ray showed no air fluid
level. Diagnosis is: (Recent Question 2014; AIIMS June 2009)
a. CA rectum b. Duodenal obstruction
c. Adynamic ileus d. Pseudo-obstruction
2- A 12-months old male child suddenly draws up his legs and
screams with pain. This is repeated periodically throughout
the night interspersed with periods of quiet sleep. When
seen after 12 hours the child looks pale, has just vomited
and passed thin blood-stained stool; there is a mass around
umbilicus. What is the most likely diagnosis? (UPSC 97)
a. Appendicitis
b. Intussusception
c. Gastroenteritis
d. Roundworm obstruction
3- 65-years old Ramdeen presents with abdominal pain and
distension of abdomen. His stools were maroon colored and he
gives a past history of cerebrovascular accident and myocardial
infarction. What will be the probable diagnosis
a. Ulcerative colitis b. Acute mesenteric ischemia
c. Irritable bowel syndrome d. Crohn’s disease
 1- B
 2- B
 3- B
Intestinal obstruction

Intestinal obstruction

  • 1.
    By Dr abdelaziz ragabsakr Assitant.lecture M.CH, MRCS
  • 7.
    4 cardinal featuresof obstruction: • Abdominal pain • Vomiting • Abdominal distension • Constipation.
  • 15.
     Jejunum showsconcertina effect due to valvulae conniventes (Herring bone pattern)—by the valves of Kerckring.  Ileum is smooth and characterless (by Wangensteen).  Large bowel shows haustration.  Distended caecum is shown as round gas shadow in the right iliac fossa. Dilated caecum signifies large bowel obstruction.
  • 16.
     Broad spectrumantibiotics  Correction of electrolyte imbalance  Surgery or nonoperative trial? No question of nonoperative trial if: 1. suspected ischemia 2. Large bowel obstruction 3. Strangulated hernia 4. Suspected peritonitis.
  • 17.
    Nonoperative to operative, butwhen?  Patient is developing symptoms and signs of complication— continuous abdominal pain, localized tenderness, rebound tenderness, fever,tachycardia and leukocytosis.  In X-ray abdomen, free gas or signs of closed-loop obstruction.  In CT abdomen, signs of ischemia and strangulation.
  • 18.
    Assess:  Site ofobstruction  Nature of obstruction  Viability of gut
  • 19.
    Nonmechanical obstruction Mechanical obstruction Signs and symptomsof intestinal obstruction Physical exam and resuscitate as necessary Investigative studies Classification of obstruction
  • 20.
    Immediate operation indicated Immediateoperation not indicated Urgent operation No operation Elective operation mechanical Indications include peritonitis,incarcerated hernia, suspected or confirmed strangulation, pneumatosis cystoides intestinalis, sigmoid volvulus with systemic toxicity or peritoneal irritation, small bowel volvulus, colonic volvulus above sigmoid.
  • 21.
    Urgent operation Indications include Lackof response to 24–48 hr of nonoperative therapy NG aspirate changing from nonfeculent to feculent; ↑ proximal small bowel distention with ↓ distal gas). No operation IBD, radiation enteritis, diverticulitis, acute Crohn disease Elective operation sigmoid volvulus with sigmoidoscopically managed obstruction; recurrent adhesive or stricture-related small bowel obstruction.
  • 22.
    A A 45-year-oldwoman with a long history of intermittent right abdominal pain presents with acute onset of severe abdominal pain and distension. Examination reveals a tense tympanic lump in the left upper abdomen. B A 62-year-old woman underwent a transperitoneal right nephrectomy for carcinoma through a transverse incision 5 days ago. She has not had a bowel action since her operation Examination reveals a slightly tense distended abdomen with no bowel sounds. Her serum potassium is 2.4 mEq/L. C A 74-year-old woman with a BMI of 36 presents with a painful lump around her umbilicus. She has had it for several years and it has increased in size recently. Examination reveals a large, tender, hard, lump over the umbilicus with bluish discolouration and no cough impulse 1 Acute ileocolic intussusception 2 Caecal volvulus 3 Carcinoma of caecum with acute distal small bowel obstruction 4 Carcinoma of sigmoid colon with acute closed-loop obstruction 5 Colonic pseudo-obstruction 6 Faecal impaction 7 Paralytic ileus 8 Sigmoid volvulus 9 Strangulated femoral hernia 10 Strangulated umbilical hernia
  • 23.
    D A 78-year-oldman with chronic obstructive pulmonary disease (COPD) is an inpatient under the chest physicians. A surgical review has been requested, as he has not opened his bowels for 5 days. The abdomen is distended, which is making his chest problems worse. Examination reveals a massively distended abdomen, which is tympanic. Abdominal CT shows distended large bowel with no cut-off sign. E A 65-year-old woman has been admitted through the Accident and Emergency Department (A&E) with abdominal pain, abdominal distension, faeculent vomiting and constipation. She has lost 20 kg in weight in 4 months. Examination reveals a patient with features of acute distal small bowel obstruction and Hb of 8 g/dL. She has never had an operation in the past.
  • 24.
    F A 90-year-oldman from the local care home was referred to A&E with abdominal pain and persistent diarrhoea. Abdominal examination reveals multiple ‘masses’, and rectal examination revealed a loaded rectum. G A 78-year-old man with history of chronic constipation is brought to the A&E with a sudden onset of abdominal pain and distension. Examination reveals a distended tympanic abdomen with a ‘mass’ arising from the pelvis. H A 9-month-old baby boy has been admitted to the paediatric unit with intermittent colicky abdominal with blood-stained stools and mucus in his nappy. On examination he looks unwell. Abdominal examination shows an empty right iliac fossa with a lump in the epigastrium.
  • 25.
    J An 84-year-oldwoman has been admitted with a 12-hour history of colicky abdominal pain, distension, vomiting and constipation; the vomitus, bilious to start with, became faeculent. Clinical examination shows a small erythematous tender lump below the inguinal ligament and lateral to the pubic tubercle. D A 78-year-old man with chronic obstructive pulmonary disease (COPD) is an inpatient under the chest physicians. A surgical review has been requested, as he has not opened his bowels for 5 days. The abdomen is distended, which is making his chest problems worse. Examination reveals a massively distended abdomen, which is tympanic. Abdominal CT shows distended large bowel with no cut-off sign. Diagnoses 1 Acute ileocolic intussusception 2 Caecal volvulus 3 Carcinoma of caecum with acute distal small bowel obstruction 4 Carcinoma of sigmoid colon with acute closed-loop obstruction 5 Colonic pseudo-obstruction 6 Faecal impaction 7 Paralytic ileus 8 Sigmoid volvulus 9 Strangulated femoral hernia
  • 26.
    1. H Acuteileocolic intussusception 2. A Caecal volvulus 3. E Carcinoma of caecum with acute distal small bowel obstruction 4. I Carcinoma of sigmoid colon with acute closed-loop obstruction 5. D Colonic pseudo-obstruction 6. F Faecal impaction 7. B Paralytic ileus 8. G Sigmoid volvulus 9. J Strangulated femoral hernia 10. C Strangulated umbilical hernia
  • 27.
    1. A womenof 35-years, comes to emergency department with symptoms of pain in abdomen and bilious vomiting but no distension of bowel. Abdominal X-ray showed no air fluid level. Diagnosis is: (Recent Question 2014; AIIMS June 2009) a. CA rectum b. Duodenal obstruction c. Adynamic ileus d. Pseudo-obstruction
  • 28.
    2- A 12-monthsold male child suddenly draws up his legs and screams with pain. This is repeated periodically throughout the night interspersed with periods of quiet sleep. When seen after 12 hours the child looks pale, has just vomited and passed thin blood-stained stool; there is a mass around umbilicus. What is the most likely diagnosis? (UPSC 97) a. Appendicitis b. Intussusception c. Gastroenteritis d. Roundworm obstruction
  • 29.
    3- 65-years oldRamdeen presents with abdominal pain and distension of abdomen. His stools were maroon colored and he gives a past history of cerebrovascular accident and myocardial infarction. What will be the probable diagnosis a. Ulcerative colitis b. Acute mesenteric ischemia c. Irritable bowel syndrome d. Crohn’s disease
  • 30.
     1- B 2- B  3- B