Immune
response to
tuberculosis
DONE BY
MANOVINA.M
Tuberculosis
 Principal causative agent:
 Mycobacterium tuberculosis
 Organism spreads easily and causes
pulmonary infection that results in
inhalation of small droplets containing few
bacilli
 The organism able to survive and multiply
intercellularly by inhibiting formation of
phagolisosomes.
 The infected macrophages lyses and releases large
number of bacilli.
 A cell mediated response involving CD4+T cells are
required for immunity .
Mode of action
 CD4+T cells are activated within 2-4 days
of infection they secrete cytokines that
Leads to infiltration of large number of
activated macrophages.
 These cell wall of the organism inside a
granuloma called Tubercle.
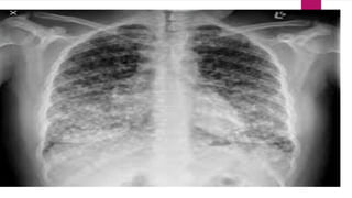
Tubercle formed in pulmonary
tuberculosis
 The localized concentrations of lysosomal enzymes in
these granulomas Can cause extensive necrosis.
 Massive activation of macrophages releases
concentrated lysosomal enzymes that are Released to
destroy healthy tissues nearby leading to formation on
circular region by necrosis that may develop into a
caseous lession ( cheesy consistency ).
 As these lesions heal they become calcified and
leave a scar that becomes visible on the x-ray of the
lungs as the defined shadow they are called as
Ghon complexes.
 Much of the tissue damage is due to the cell
mediated immune response because the activated
macrophages suppress the phagocytosed bacilli that
leads to infection.
 Cytokines produced by CD4+Tcells (TH1subset)
activates Macrophages so that they are able to kill the
bacilli or inhibit their growth.
 The role of INF alpha in immune response has been
demonstrated with knockout mice lacking INF alpha
these mice died when infected with attenuated strain
of mycobacteria.
 The INFalpha+ normal mice survived .
 The CD4+ T cell mediated immune response
mounted by majority of the people Gets controlled
to the infection and also reinfection.
 About 10% disease progress and leads to activation
of CD4+T cell and macrophages leads to granule
formation.
 Eventually the lesions rupture And the bacilli
dessiminate in the lungs And spread through blood and
lymphatic vessels To the plueral cavity ,bone, urogenetal
systems, meninges and peritoneum or skin.
 Tuberculosis has been traditionally treated by different
antibiotics for long period.
Treatment
 Drugs includes,
 Isoniazid
 Rifampicin
 Streptomycin
 Pyrazinamide
 Ethambutol
Vaccine
 Michael badtrains of mycobacterium bovis Called BCG
(bacillus calmetteguerin).
 Effective against extra pulmonary tuberculosis but less
against Common pulmonary tuberculosis.
 But after this vaccine the skin detection test cannot be
done so this vaccine is not widely used.
 The emergence of antibiotic resistant strain has been
developed for tuberculosis.
Immune Resopnse to Tuberculosis

Immune Resopnse to Tuberculosis

  • 1.
  • 2.
    Tuberculosis  Principal causativeagent:  Mycobacterium tuberculosis  Organism spreads easily and causes pulmonary infection that results in inhalation of small droplets containing few bacilli
  • 3.
     The organismable to survive and multiply intercellularly by inhibiting formation of phagolisosomes.  The infected macrophages lyses and releases large number of bacilli.  A cell mediated response involving CD4+T cells are required for immunity .
  • 4.
    Mode of action CD4+T cells are activated within 2-4 days of infection they secrete cytokines that Leads to infiltration of large number of activated macrophages.  These cell wall of the organism inside a granuloma called Tubercle.
  • 5.
    Tubercle formed inpulmonary tuberculosis
  • 6.
     The localizedconcentrations of lysosomal enzymes in these granulomas Can cause extensive necrosis.  Massive activation of macrophages releases concentrated lysosomal enzymes that are Released to destroy healthy tissues nearby leading to formation on circular region by necrosis that may develop into a caseous lession ( cheesy consistency ).
  • 7.
     As theselesions heal they become calcified and leave a scar that becomes visible on the x-ray of the lungs as the defined shadow they are called as Ghon complexes.  Much of the tissue damage is due to the cell mediated immune response because the activated macrophages suppress the phagocytosed bacilli that leads to infection.
  • 9.
     Cytokines producedby CD4+Tcells (TH1subset) activates Macrophages so that they are able to kill the bacilli or inhibit their growth.  The role of INF alpha in immune response has been demonstrated with knockout mice lacking INF alpha these mice died when infected with attenuated strain of mycobacteria.
  • 10.
     The INFalpha+normal mice survived .  The CD4+ T cell mediated immune response mounted by majority of the people Gets controlled to the infection and also reinfection.  About 10% disease progress and leads to activation of CD4+T cell and macrophages leads to granule formation.
  • 11.
     Eventually thelesions rupture And the bacilli dessiminate in the lungs And spread through blood and lymphatic vessels To the plueral cavity ,bone, urogenetal systems, meninges and peritoneum or skin.  Tuberculosis has been traditionally treated by different antibiotics for long period.
  • 12.
    Treatment  Drugs includes, Isoniazid  Rifampicin  Streptomycin  Pyrazinamide  Ethambutol
  • 13.
    Vaccine  Michael badtrainsof mycobacterium bovis Called BCG (bacillus calmetteguerin).  Effective against extra pulmonary tuberculosis but less against Common pulmonary tuberculosis.  But after this vaccine the skin detection test cannot be done so this vaccine is not widely used.  The emergence of antibiotic resistant strain has been developed for tuberculosis.