HemangiosarcomaHemangiosarcoma
Brian Daubs, DVM, DACVS-SABrian Daubs, DVM, DACVS-SA
Animal Specialty and EmergencyAnimal Specialty and Emergency
Hospital, Rockledge Fl.Hospital, Rockledge Fl.
Prevalence of hemangiosarcomaPrevalence of hemangiosarcoma
 Dogs:Dogs:
 5-7 % of primary malignant neoplasms5-7 % of primary malignant neoplasms
 Cats:Cats:
 0.5 – 2% of primary malignant neoplasms0.5 – 2% of primary malignant neoplasms
 Breeds:Breeds:
 German Shepherd DogGerman Shepherd Dog
 Golden RetriverGolden Retriver
 English SetterEnglish Setter
 Bull MastiffBull Mastiff
 Great DaneGreat Dane
 BoxerBoxer
 No breed predisposition in catsNo breed predisposition in cats
Forms of hemangiosarcomaForms of hemangiosarcoma
 Common sites in dogsCommon sites in dogs
 SpleenSpleen
 Right atriumRight atrium
 LiverLiver
 Subcutaneous tissueSubcutaneous tissue
 KidneyKidney
 Common sites in catsCommon sites in cats
 Heart & blood vesselsHeart & blood vessels
 Cutaneous &Cutaneous &
subcutaneous tissuesubcutaneous tissue
 SpleenSpleen
 LiverLiver
 LungLung
Arises from vascular endothelial cellsArises from vascular endothelial cells
May arise from any tissue with blood vesselsMay arise from any tissue with blood vessels
In general, cats get hemangiosarcoma less commonly
than dogs but may have a higher rate of metastasis
 No known cause of hemangiosarcomaNo known cause of hemangiosarcoma
 Hemangiosarcoma is the diagnosis in 25-50% ofHemangiosarcoma is the diagnosis in 25-50% of
all splenic masses in dogsall splenic masses in dogs
 25% of hemangiosarcoma cases in dogs also25% of hemangiosarcoma cases in dogs also
have right atrium involvementhave right atrium involvement
Age of onsetAge of onset
 Dog:Dog:
 8 – 13 years8 – 13 years
 May be more common in male dogsMay be more common in male dogs
 Cat:Cat:
 8-10.5 years8-10.5 years
 No sex predilictionNo sex prediliction
Clinical signsClinical signs
 Weakness and acute collapse most common signWeakness and acute collapse most common sign
in the dogin the dog
 Result of tumor rupture and acute intra-abdominalResult of tumor rupture and acute intra-abdominal
hemorrhagehemorrhage
 Lethargy, anorexia, vomiting and abdominalLethargy, anorexia, vomiting and abdominal
distention most common in catsdistention most common in cats
 Ascities may also be seenAscities may also be seen
TreatmentTreatment
 CutaneousCutaneous
 Surgery plus radiationSurgery plus radiation
therapy preferredtherapy preferred
 Good prognosis with oneGood prognosis with one
discrete, easily resectablediscrete, easily resectable
massmass
 Dogs: 780 daysDogs: 780 days
 Cats: informationCats: information
unavailableunavailable
 Non-cutaneousNon-cutaneous
 Surgery (oftenSurgery (often
splenectomy)splenectomy)
 ChemotherapyChemotherapy
 Many protocols in useMany protocols in use
 VincristineVincristine
 AdriamycinAdriamycin
 CyclophosphamideCyclophosphamide
Survival timesSurvival times
 DogsDogs
 Surgery aloneSurgery alone
(splenectomy)(splenectomy)
 Survival times rangingSurvival times ranging
from 19 days to 86 daysfrom 19 days to 86 days
depending on studydepending on study
 Summarized medianSummarized median
survival time: 3 monthssurvival time: 3 months
 Splenectomy andSplenectomy and
chemotherpychemotherpy
 91-492 days depending on91-492 days depending on
studystudy
 Summarized medianSummarized median
survival time: 6 monthssurvival time: 6 months
 CatsCats
 Surgery aloneSurgery alone
(abdominal):(abdominal):
 20 weeks20 weeks
MatildaMatilda
 9 year old spayed female domestic short hair cat9 year old spayed female domestic short hair cat
 6 month history of weight loss6 month history of weight loss
 3 day history of lethargy and inappetance3 day history of lethargy and inappetance
 Bradycardic and hypothermic on presentationBradycardic and hypothermic on presentation
 Hemoabdomen and PCV of 12%Hemoabdomen and PCV of 12%
 Hemothorax and hemoabomenHemothorax and hemoabomen
 Lungs:Lungs:
 Multiple dark red, firm nodulesMultiple dark red, firm nodules
 1-3 mm in diameter1-3 mm in diameter
 Covered > 50% of the serosal surfaceCovered > 50% of the serosal surface
 Serosanguinous fluid and cream colored foam in theSerosanguinous fluid and cream colored foam in the
distal trachea and lungsdistal trachea and lungs
Lung HistopathologyLung Histopathology
 Focal area of hemorrhage in lung parenchymaFocal area of hemorrhage in lung parenchyma
 Some neutrophils and macrophages scatteredSome neutrophils and macrophages scattered
within the hemorrhagewithin the hemorrhage
 Some hemosiderophages around theSome hemosiderophages around the
hemorrhagic areahemorrhagic area
 Cardiovascular:Cardiovascular:
 Mediastinal hemorrhageMediastinal hemorrhage
 Spleen:Spleen:
 Dark red nodules ranging from 3-10 mm in diameterDark red nodules ranging from 3-10 mm in diameter
 Congested with blood on cut surfaceCongested with blood on cut surface
Splenic HistopathologySplenic Histopathology
 Pleomorphic spindle shaped cells line blood-Pleomorphic spindle shaped cells line blood-
filled cystic spaces throughout the parenchymafilled cystic spaces throughout the parenchyma
 Neoplastic cells with variable amounts ofNeoplastic cells with variable amounts of
eosinophilic cytoplasm, indistinct cellulareosinophilic cytoplasm, indistinct cellular
borders and large basophilic cytoplasmborders and large basophilic cytoplasm
 Typically one centrally located nucleolus withTypically one centrally located nucleolus with
small amounts of fine chromatinsmall amounts of fine chromatin
LiverLiver
 Left lateral liver lobe was covered with diffuse, darkLeft lateral liver lobe was covered with diffuse, dark
red nodules over > 80% of the serosal surface.red nodules over > 80% of the serosal surface.
 Pale pink area on the dorsal surface of the left lateralPale pink area on the dorsal surface of the left lateral
liver lobe measuring 6.4 x 3.0 cm.liver lobe measuring 6.4 x 3.0 cm.
 Large nodule on ventral surface of the left middleLarge nodule on ventral surface of the left middle
liver lobe measuring 1.4 cm in diameterliver lobe measuring 1.4 cm in diameter
 Multiple other small nodules throughout the liverMultiple other small nodules throughout the liver
Liver HistopathologyLiver Histopathology
 A large cystic structure consisting of manyA large cystic structure consisting of many
neutrophils, fibrin, edema fluid and extravasatedneutrophils, fibrin, edema fluid and extravasated
red blood cellsred blood cells
 Multifocal areas of mineral depositionMultifocal areas of mineral deposition
 Some spindle shaped neoplastic cells scatteredSome spindle shaped neoplastic cells scattered
throughoutthroughout
 Some neutrophils presentSome neutrophils present
PancreasPancreas
 Approximately 50% of the islets are replacedApproximately 50% of the islets are replaced
with amyloid, a pale, eosinophilic homogeneouswith amyloid, a pale, eosinophilic homogeneous
materialmaterial
Pelvic Fat PadPelvic Fat Pad
 Large, firm mass 9 x 5.2 x 5.0 cmLarge, firm mass 9 x 5.2 x 5.0 cm
 Dark redDark red
 Released 20 ml of bloody fluid when cutReleased 20 ml of bloody fluid when cut
Pelvic Fat Pad histopathologyPelvic Fat Pad histopathology
 Neoplastic cells as seen in the spleen –Neoplastic cells as seen in the spleen –
pleomorphic oval and irregular spindle shapedpleomorphic oval and irregular spindle shaped
cells. The neoplastic cells have variable amountscells. The neoplastic cells have variable amounts
of eosinophilic cytoplasm, indistinct cellularof eosinophilic cytoplasm, indistinct cellular
borders, a large basophilic nucleus and usuallyborders, a large basophilic nucleus and usually
one centrally located nucleolus with smallone centrally located nucleolus with small
amounts of fine chromatin.amounts of fine chromatin.
 The blood filled cyst contained manyThe blood filled cyst contained many
neutrophils.neutrophils.
References:References:
 1. Morrison, WB.1. Morrison, WB. Cancer in Dogs and Cats: MedicalCancer in Dogs and Cats: Medical
and Surgical Management.and Surgical Management. Second ed. TetonSecond ed. Teton
NewMedia, Jackson Wyoming 2002. pgs. 480-481, 679-NewMedia, Jackson Wyoming 2002. pgs. 480-481, 679-
685.685.
 2. Rosenthall, RC.2. Rosenthall, RC. Veterinary Oncology Secerts.Veterinary Oncology Secerts.
Hanley & Belfus Inc. Philadelphia, 2001. Pgs. 199-204.Hanley & Belfus Inc. Philadelphia, 2001. Pgs. 199-204.
 3. Smith AN.3. Smith AN. Veterinary Clinics of North America:Veterinary Clinics of North America:
Hemangiosarcoma in dogs and cats.Hemangiosarcoma in dogs and cats. Saunders, Philadelphia,Saunders, Philadelphia,
2003. pgs. 533-547.2003. pgs. 533-547.
 4. MacEwen EG.4. MacEwen EG. Small Animal Clinical Oncology:Small Animal Clinical Oncology:
Miscellaneous tumors.Miscellaneous tumors. Saunders, Philadelphia, 2001.Saunders, Philadelphia, 2001.
pgs. 639-644.pgs. 639-644.

Hemangiosarcoma daubs aseh

  • 1.
    HemangiosarcomaHemangiosarcoma Brian Daubs, DVM,DACVS-SABrian Daubs, DVM, DACVS-SA Animal Specialty and EmergencyAnimal Specialty and Emergency Hospital, Rockledge Fl.Hospital, Rockledge Fl.
  • 2.
    Prevalence of hemangiosarcomaPrevalenceof hemangiosarcoma  Dogs:Dogs:  5-7 % of primary malignant neoplasms5-7 % of primary malignant neoplasms  Cats:Cats:  0.5 – 2% of primary malignant neoplasms0.5 – 2% of primary malignant neoplasms  Breeds:Breeds:  German Shepherd DogGerman Shepherd Dog  Golden RetriverGolden Retriver  English SetterEnglish Setter  Bull MastiffBull Mastiff  Great DaneGreat Dane  BoxerBoxer  No breed predisposition in catsNo breed predisposition in cats
  • 3.
    Forms of hemangiosarcomaFormsof hemangiosarcoma  Common sites in dogsCommon sites in dogs  SpleenSpleen  Right atriumRight atrium  LiverLiver  Subcutaneous tissueSubcutaneous tissue  KidneyKidney  Common sites in catsCommon sites in cats  Heart & blood vesselsHeart & blood vessels  Cutaneous &Cutaneous & subcutaneous tissuesubcutaneous tissue  SpleenSpleen  LiverLiver  LungLung Arises from vascular endothelial cellsArises from vascular endothelial cells May arise from any tissue with blood vesselsMay arise from any tissue with blood vessels In general, cats get hemangiosarcoma less commonly than dogs but may have a higher rate of metastasis
  • 4.
     No knowncause of hemangiosarcomaNo known cause of hemangiosarcoma  Hemangiosarcoma is the diagnosis in 25-50% ofHemangiosarcoma is the diagnosis in 25-50% of all splenic masses in dogsall splenic masses in dogs  25% of hemangiosarcoma cases in dogs also25% of hemangiosarcoma cases in dogs also have right atrium involvementhave right atrium involvement
  • 5.
    Age of onsetAgeof onset  Dog:Dog:  8 – 13 years8 – 13 years  May be more common in male dogsMay be more common in male dogs  Cat:Cat:  8-10.5 years8-10.5 years  No sex predilictionNo sex prediliction
  • 6.
    Clinical signsClinical signs Weakness and acute collapse most common signWeakness and acute collapse most common sign in the dogin the dog  Result of tumor rupture and acute intra-abdominalResult of tumor rupture and acute intra-abdominal hemorrhagehemorrhage  Lethargy, anorexia, vomiting and abdominalLethargy, anorexia, vomiting and abdominal distention most common in catsdistention most common in cats  Ascities may also be seenAscities may also be seen
  • 7.
    TreatmentTreatment  CutaneousCutaneous  Surgeryplus radiationSurgery plus radiation therapy preferredtherapy preferred  Good prognosis with oneGood prognosis with one discrete, easily resectablediscrete, easily resectable massmass  Dogs: 780 daysDogs: 780 days  Cats: informationCats: information unavailableunavailable  Non-cutaneousNon-cutaneous  Surgery (oftenSurgery (often splenectomy)splenectomy)  ChemotherapyChemotherapy  Many protocols in useMany protocols in use  VincristineVincristine  AdriamycinAdriamycin  CyclophosphamideCyclophosphamide
  • 8.
    Survival timesSurvival times DogsDogs  Surgery aloneSurgery alone (splenectomy)(splenectomy)  Survival times rangingSurvival times ranging from 19 days to 86 daysfrom 19 days to 86 days depending on studydepending on study  Summarized medianSummarized median survival time: 3 monthssurvival time: 3 months  Splenectomy andSplenectomy and chemotherpychemotherpy  91-492 days depending on91-492 days depending on studystudy  Summarized medianSummarized median survival time: 6 monthssurvival time: 6 months  CatsCats  Surgery aloneSurgery alone (abdominal):(abdominal):  20 weeks20 weeks
  • 9.
    MatildaMatilda  9 yearold spayed female domestic short hair cat9 year old spayed female domestic short hair cat  6 month history of weight loss6 month history of weight loss  3 day history of lethargy and inappetance3 day history of lethargy and inappetance  Bradycardic and hypothermic on presentationBradycardic and hypothermic on presentation  Hemoabdomen and PCV of 12%Hemoabdomen and PCV of 12%
  • 10.
     Hemothorax andhemoabomenHemothorax and hemoabomen  Lungs:Lungs:  Multiple dark red, firm nodulesMultiple dark red, firm nodules  1-3 mm in diameter1-3 mm in diameter  Covered > 50% of the serosal surfaceCovered > 50% of the serosal surface  Serosanguinous fluid and cream colored foam in theSerosanguinous fluid and cream colored foam in the distal trachea and lungsdistal trachea and lungs
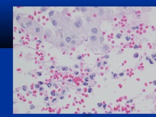
  • 12.
    Lung HistopathologyLung Histopathology Focal area of hemorrhage in lung parenchymaFocal area of hemorrhage in lung parenchyma  Some neutrophils and macrophages scatteredSome neutrophils and macrophages scattered within the hemorrhagewithin the hemorrhage  Some hemosiderophages around theSome hemosiderophages around the hemorrhagic areahemorrhagic area
  • 13.
  • 14.
     Spleen:Spleen:  Darkred nodules ranging from 3-10 mm in diameterDark red nodules ranging from 3-10 mm in diameter  Congested with blood on cut surfaceCongested with blood on cut surface
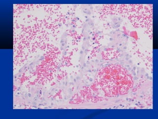
  • 16.
    Splenic HistopathologySplenic Histopathology Pleomorphic spindle shaped cells line blood-Pleomorphic spindle shaped cells line blood- filled cystic spaces throughout the parenchymafilled cystic spaces throughout the parenchyma  Neoplastic cells with variable amounts ofNeoplastic cells with variable amounts of eosinophilic cytoplasm, indistinct cellulareosinophilic cytoplasm, indistinct cellular borders and large basophilic cytoplasmborders and large basophilic cytoplasm  Typically one centrally located nucleolus withTypically one centrally located nucleolus with small amounts of fine chromatinsmall amounts of fine chromatin
  • 19.
    LiverLiver  Left lateralliver lobe was covered with diffuse, darkLeft lateral liver lobe was covered with diffuse, dark red nodules over > 80% of the serosal surface.red nodules over > 80% of the serosal surface.  Pale pink area on the dorsal surface of the left lateralPale pink area on the dorsal surface of the left lateral liver lobe measuring 6.4 x 3.0 cm.liver lobe measuring 6.4 x 3.0 cm.  Large nodule on ventral surface of the left middleLarge nodule on ventral surface of the left middle liver lobe measuring 1.4 cm in diameterliver lobe measuring 1.4 cm in diameter  Multiple other small nodules throughout the liverMultiple other small nodules throughout the liver
  • 20.
    Liver HistopathologyLiver Histopathology A large cystic structure consisting of manyA large cystic structure consisting of many neutrophils, fibrin, edema fluid and extravasatedneutrophils, fibrin, edema fluid and extravasated red blood cellsred blood cells  Multifocal areas of mineral depositionMultifocal areas of mineral deposition  Some spindle shaped neoplastic cells scatteredSome spindle shaped neoplastic cells scattered throughoutthroughout  Some neutrophils presentSome neutrophils present
  • 21.
    PancreasPancreas  Approximately 50%of the islets are replacedApproximately 50% of the islets are replaced with amyloid, a pale, eosinophilic homogeneouswith amyloid, a pale, eosinophilic homogeneous materialmaterial
  • 22.
    Pelvic Fat PadPelvicFat Pad  Large, firm mass 9 x 5.2 x 5.0 cmLarge, firm mass 9 x 5.2 x 5.0 cm  Dark redDark red  Released 20 ml of bloody fluid when cutReleased 20 ml of bloody fluid when cut
  • 23.
    Pelvic Fat PadhistopathologyPelvic Fat Pad histopathology  Neoplastic cells as seen in the spleen –Neoplastic cells as seen in the spleen – pleomorphic oval and irregular spindle shapedpleomorphic oval and irregular spindle shaped cells. The neoplastic cells have variable amountscells. The neoplastic cells have variable amounts of eosinophilic cytoplasm, indistinct cellularof eosinophilic cytoplasm, indistinct cellular borders, a large basophilic nucleus and usuallyborders, a large basophilic nucleus and usually one centrally located nucleolus with smallone centrally located nucleolus with small amounts of fine chromatin.amounts of fine chromatin.  The blood filled cyst contained manyThe blood filled cyst contained many neutrophils.neutrophils.
  • 25.
    References:References:  1. Morrison,WB.1. Morrison, WB. Cancer in Dogs and Cats: MedicalCancer in Dogs and Cats: Medical and Surgical Management.and Surgical Management. Second ed. TetonSecond ed. Teton NewMedia, Jackson Wyoming 2002. pgs. 480-481, 679-NewMedia, Jackson Wyoming 2002. pgs. 480-481, 679- 685.685.  2. Rosenthall, RC.2. Rosenthall, RC. Veterinary Oncology Secerts.Veterinary Oncology Secerts. Hanley & Belfus Inc. Philadelphia, 2001. Pgs. 199-204.Hanley & Belfus Inc. Philadelphia, 2001. Pgs. 199-204.  3. Smith AN.3. Smith AN. Veterinary Clinics of North America:Veterinary Clinics of North America: Hemangiosarcoma in dogs and cats.Hemangiosarcoma in dogs and cats. Saunders, Philadelphia,Saunders, Philadelphia, 2003. pgs. 533-547.2003. pgs. 533-547.  4. MacEwen EG.4. MacEwen EG. Small Animal Clinical Oncology:Small Animal Clinical Oncology: Miscellaneous tumors.Miscellaneous tumors. Saunders, Philadelphia, 2001.Saunders, Philadelphia, 2001. pgs. 639-644.pgs. 639-644.