Traumatic  Head Injury Toh C J
No patient  want to be this ........ No Neurosurgeon  like to plant .......
 
Classification Severity  Anatomic  findings
Classification Severity  Minimal : GCS 15, no LOC or amnesia Mild : GCS 14, or 15 + LOC or amnesia  impaired alertness or memory Moderate : 9-13 or LOC  ≥ 5 min or  focal neurological deficit Severe : GCS 5 - 8  Critical : GCS 3 - 4
Classification Anatomic  findings Focal  Diffuse Contusion Coup Countrecoup Gliding Fracture Hematoma Epidural  Subdural  Intraparenchymal Intermediary Concussion DAI
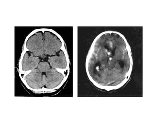
Marshall CT Grading of Brain Trauma Diffuse Injury Grade CT appearance Mortality I Normal CT scan 9.6% II Cisterns present. Shift < 5mm 13.5% III Cisterns compressed/absent. Shift < 5mm.  34% IV Shift > 5mm 56.2%
Classification Primary Secondary Injury sustained by the brain at the time of impact Examples: Brain laceration Brain contusion Injury sustained by the  brain after the impact Causes:  Hypoxia, Hypoperfusion Examples: cerebral edema,  herniation
Prehospital management How to transfer head injury patient: Stabilize patient at trauma scene Do not move patient unnecessarily Maintain ABC, ABC, ABC, ABC Protect cervical spine Stop active bleeding Relay information to receiving doctors ABC status GCS & pupil size Suspected injuries Transfer patient only if it is SAFE
Head injury management in A&E room General aims Stabilization Prevention of secondary brain injury Specific aims Protect the airway & oxygenate  Ventilate to normocapnia  Correct hypovolaemia and hypotension  CT Scan when appropriate  Neurosurgery if indicated  Intensive Care for further monitoring and management
Head injury management in A&E room Means of stabilization –  RESUSCITATION Primary Survey & Resuscitation (ABC) To detect and treat immediately life-threatening conditions Idea: to keep the patient alive Secondary surgery To detect injury that can kill patient in few hours Idea: to keep the patient alive longer Definitive treatment Managing above injury urgently
A B C D  E
Secondary survey in trauma patients To detect life-threatening injury  can kill in few hours if not treated Head-to-toe examination Injuries Intracranial hematomas Pneumo- or hemo-thorax Intra-abdominal organ injury Pelvic fracture Actively bleeding wound In head trauma Basically – to detect increased ICP
Secondary survey for head trauma GCS Pupillary  size Active   bleeding scalp wound
GCS EYE Response: 1 = no response 2 = to pain 3 = to call 4 = spontaneous Verbal response: 1 = no response 2 = incomprehensive  sound 3 = inappropriate words 4 = confuse 5 = alert Motor response: 1 = no response 2 = extension (decerebrate) 3 = flexion (decorticate) 4 = withdrawal 5 = localizing pain 6 = obey command
GCS EYE Response: 1 = no response 2 = to pain 3 = to call 4 = spontaneous Verbal response: 1 = no response 2 = cries  3 = vocal sounds  4 = words 5 = orientated to face Motor response: 1 = no response 2 = extension (decerebrate) 3 = flexion (decorticate) 4 = withdrawal 5 = localizing pain 6 = obey command Pediatric age 1- 5 yrs
GCS EYE Response: 1 = no response 2 = to pain 3 = to call 4 = spontaneous Verbal response: 1 = no response 2 = cries  3 = vocal sounds  4 = words Motor response: 1 = no response 2 = extension (decerebrate) 3 = flexion (decorticate) 4 = withdrawal 5 = localizing pain Pediatric age upto 6  months
Pupillary response : Pupillary response can determine the level of nervous system dysfunction in a comatose patient.
Other NeuroExam Full exam Visual acuity in an alert patient  Pupillary light reflexes, both direct and consensual  Retinal detachment or hemorrhages or papilledema  Spinal tenderness and, if the patient is cooperative, limb movements  Motor weaknesses, if possible, and gross sensory deficits  Reflexes, plantar response
Other NeuroExam Signs of Skull Base fracture Raccoon eyes  Battle sign (after 8-12 h)  CSF rhinorrhea or otorrhea  Hemotympanum
Imaging of head injury Modalities Skull X-ray CT scan MRI Areas Skull, brain Cervical spine Chest Pelvis
Skull Fracture Types Depressed / non-depressed Importance Non-depressed per se: minimal Depressed A/w low GCS Compound fractures Foreign body
Acute ExtraDural Hemorrhage Young patient Between skull & dura No direct injury to brain Blood clot – from torn blood vessel of dura (artery) Trauma – okay – slowly deteriorating – coma – death EDH patient should NOT die If patient die … we better die too
Acute SubDural Hemorrhage Young patient Clot – between dura & brain surface From damaged brain surface Brain laceration (otak koyak) Burst lobe (otak pecah) DIRECT brain injury Hematoma – usually thin Major problem – damaged brain Outcome – worse than EDH Usually need surgery, to remove Hematoma Skull bone (open the box)
Brain contusion (LEBAM) Young Direct brain injury Size: small    large If multiple – means severe diffuse brain injury Surgery if Large Easily accessible (senang buang) Prognosis: moderate
Diffuse brain injury Young CT scan ‘normal’ Very small ‘white dots’ Acceleration – decerelation Shearing force “ Poor GCS with ‘normal’ CT scan” Treatment – based on GCS, ICP & CPP Important to repeat CT after 24-48 hours Edema Delayed hematoma
 
Management of TBI
Monro-Kellie hypothesis The sum of the intracranial volumes of blood, brain, CSF is constant, and that an increase in any one of these must be offset by an equal decrease in another, or else pressure will rise.
 
Management of  TBI Detection  & Monitor Treatment
Detection  & Monitor GCS Pupillary reflex ICP Monitor Symptoms & sign of herniation
Methods of monitoring intracranial pressure . Fiberoptic sensors (Camino),  Microchips (internal strain-gauge devices)(Codman)  Air pouch technologies (Spiegelberg)
Methods of monitoring intracranial pressure .
EVD, External Ventricular Drain
Primary  injury Secondary injury Herniation  Mass  lesion ICP   ICP   ICP   ICP  
Secondary injury Hypoxia Hypovolemia Cerebral  edema
How  to manage  raise ICP?
Cerebral  Protection ≠ Sedation
Managing raise  ICP General  measure Medical  management Surgical  intervention
General  measure Head elevation Maintain normal temperature Neck vein compression? ? Chest Physio Hyperventilation Fluid management Glucose monitor Maintain normal Blod pressure
Head elevation Head is raised 30 to 45 degrees above the level of the heart. This will enhance the venous drainage and thus reducing the intracranial blood volume and ICP.
Neck vein compression? Neck in neutral position Collar is fixed properly Arm sling is not compressing the neck vein
Maintain  normal temperature Keep patient’s  body temperature  within normal limit
? Chest Physio To give sedation during chest physiotherapy
Hyperventilation NO HYPERVENTILATION  !!!! Keep patient at the lower limit of normocapnia (32mmHg) Optimal Oxygenation  !!! Increased CO2 = Vasoconstriction and Decreased ICP Decreased CO2 = Vasodilatation and Increased ICP
Fluid management Fluid management should aim primarily at preventing hypotension while optimizing cerebral perfusion pressure.
Glucose monitor Patient with injuries to the brain are often hyperglycaemic. High level of serum glucose levels may aggravate cerebral edema through an osmotic mechanism and may be responsible for increased anaerobic glycolysis leading to lactic acidosis.
Medical  management Sedation  Muscle relaxant   Barbiturate & Propofol analgesic antipyretic Mannitol & Frusemide   Hypertonic saline antiepileptics Neuroprotective  agent BP control
Sedation  analgesic Midazolam + Morphine
Barbiturate & Propofol Barbiturates appear to exert their ICP-lowering effects through vasoconstriction, which results in a reduction in CBF and CBV secondary to the suppression of cerebral metabolism
Muscle relaxant   Increase incidence of  aspiration pneumonia
Mannitol & Frusemide   The administration of mannitol has become the first choice for pharmacological ICP reduction , Mannitol has an immediate plasma-expanding effect that reduces haematocrit and blood viscosity and increases CBF and cerebral oxygenation delivery. Hyperosmotic agents remove more water from the brain than from other organs because the blood–brain barrier impedes the penetration of the osmotic agent into the brain maintaining an osmotic diffusion gradient.  This osmotic effect of mannitol is delayed for 15–30 min. Mannitol consistently decreases ICP for 1–6 h.
Mannitol & Frusemide   An ultra-early single-shot administration of high-dose mannitol (1.4 g/kg) in the emergency room significantly improves the 6-month clinical outcome after head injury One risk of hyperosmotic agents is the rebound effect, which might increase ICP. To reduce this risk it is recommended that mannitol should be administrated as repeated boluses rather than continuously, only in patients with increased ICP and not longer than 3–4 days As mannitol is entirely excreted in the urine there is a risk of acute tubular necrosis, particularly if serum osmolarity exceeds 320 mOsmol/l
Mannitol & Frusemide   Although furosemide itself has only a minimal effect on ICP, in combination with mannitol it enhances the effects of mannitol on plasma osmolality, resulting in a greater reduction of brain water content
Hypertonic saline Several studies have shown that hypertonic saline is equal or even superior to mannitol in reducing ICP. Vialet et al. suggested that hypertonic saline (2 ml/kg, 7.5%) is an effective and safe initial treatment for intracranial hypertension episodes in head trauma patients when osmotherapy is indicated. Even very high concentrated hypertonic saline solutions (23.5%) can be used and can reduce ICP in poor grade patients with subarachnoid haemorrhage.
antipyretic antiepileptics Neuroprotective  agent it is evident that hyperthermia should be avoided Is not for reduce ICP. But to prevent fit which  will cause raise ICP Still under experimental stage
Surgical  intervention Removal of the  pathological lesion CSF diversion procedure Open the cranium  “ craniectomy” Remove part of the non-eloquent brain “ Lobectomy”
Removal of the  pathological lesion CSF diversion procedure Open the cranium  “ craniectomy”  Remove part of the non-eloquent brain “ Lobectomy”
Summary of TBI management Steps Rationale Respiratory support (intubation & ventilation) Comatose, unable to protect airways Elevate head 30-45° Facilitate venous drainage Straighten neck, no tape encircling the neck Facilitate venous drainage Avoid hypotension (SBP<90mmHg) Prevent hypoxia – edema Control hypertension Avoid transmission of pressure to ICP Avoid hypoxia (PaCO2 < 60mmHg) Prevent vasodilatation Control ventilation, aims PaCO2 35-40 mmHg Avoid  vasoconstriction / -dilatation Adequate sedation To reduce brain metabolism Do CT brain Ascertain intracranial pathology rapidly
Brain swelling
Bleeding
 
 
 
 
 
 
 
 
 
Take Home Message: CPP =  MAP - ICP ICP keep < 20 mmHg CPP keep 60 to 70 mmHg “ Biar lambat asalkan selamat”
 
Summary: Classification of TBI: Management: Prehospital. In Hospital:  Primary survey & secondary survey. Imaging Monitor  “ cerebral protection” Surgical intervention.

head injury

  • 1.
    Traumatic HeadInjury Toh C J
  • 2.
    No patient want to be this ........ No Neurosurgeon like to plant .......
  • 3.
  • 4.
    Classification Severity Anatomic findings
  • 5.
    Classification Severity Minimal : GCS 15, no LOC or amnesia Mild : GCS 14, or 15 + LOC or amnesia impaired alertness or memory Moderate : 9-13 or LOC ≥ 5 min or focal neurological deficit Severe : GCS 5 - 8 Critical : GCS 3 - 4
  • 6.
    Classification Anatomic findings Focal Diffuse Contusion Coup Countrecoup Gliding Fracture Hematoma Epidural Subdural Intraparenchymal Intermediary Concussion DAI
  • 7.
    Marshall CT Gradingof Brain Trauma Diffuse Injury Grade CT appearance Mortality I Normal CT scan 9.6% II Cisterns present. Shift < 5mm 13.5% III Cisterns compressed/absent. Shift < 5mm. 34% IV Shift > 5mm 56.2%
  • 8.
    Classification Primary SecondaryInjury sustained by the brain at the time of impact Examples: Brain laceration Brain contusion Injury sustained by the brain after the impact Causes: Hypoxia, Hypoperfusion Examples: cerebral edema, herniation
  • 9.
    Prehospital management Howto transfer head injury patient: Stabilize patient at trauma scene Do not move patient unnecessarily Maintain ABC, ABC, ABC, ABC Protect cervical spine Stop active bleeding Relay information to receiving doctors ABC status GCS & pupil size Suspected injuries Transfer patient only if it is SAFE
  • 10.
    Head injury managementin A&E room General aims Stabilization Prevention of secondary brain injury Specific aims Protect the airway & oxygenate Ventilate to normocapnia Correct hypovolaemia and hypotension CT Scan when appropriate Neurosurgery if indicated Intensive Care for further monitoring and management
  • 11.
    Head injury managementin A&E room Means of stabilization – RESUSCITATION Primary Survey & Resuscitation (ABC) To detect and treat immediately life-threatening conditions Idea: to keep the patient alive Secondary surgery To detect injury that can kill patient in few hours Idea: to keep the patient alive longer Definitive treatment Managing above injury urgently
  • 12.
    A B CD E
  • 13.
    Secondary survey intrauma patients To detect life-threatening injury can kill in few hours if not treated Head-to-toe examination Injuries Intracranial hematomas Pneumo- or hemo-thorax Intra-abdominal organ injury Pelvic fracture Actively bleeding wound In head trauma Basically – to detect increased ICP
  • 14.
    Secondary survey forhead trauma GCS Pupillary size Active bleeding scalp wound
  • 15.
    GCS EYE Response:1 = no response 2 = to pain 3 = to call 4 = spontaneous Verbal response: 1 = no response 2 = incomprehensive sound 3 = inappropriate words 4 = confuse 5 = alert Motor response: 1 = no response 2 = extension (decerebrate) 3 = flexion (decorticate) 4 = withdrawal 5 = localizing pain 6 = obey command
  • 16.
    GCS EYE Response:1 = no response 2 = to pain 3 = to call 4 = spontaneous Verbal response: 1 = no response 2 = cries 3 = vocal sounds 4 = words 5 = orientated to face Motor response: 1 = no response 2 = extension (decerebrate) 3 = flexion (decorticate) 4 = withdrawal 5 = localizing pain 6 = obey command Pediatric age 1- 5 yrs
  • 17.
    GCS EYE Response:1 = no response 2 = to pain 3 = to call 4 = spontaneous Verbal response: 1 = no response 2 = cries 3 = vocal sounds 4 = words Motor response: 1 = no response 2 = extension (decerebrate) 3 = flexion (decorticate) 4 = withdrawal 5 = localizing pain Pediatric age upto 6 months
  • 18.
    Pupillary response :Pupillary response can determine the level of nervous system dysfunction in a comatose patient.
  • 19.
    Other NeuroExam Fullexam Visual acuity in an alert patient Pupillary light reflexes, both direct and consensual Retinal detachment or hemorrhages or papilledema Spinal tenderness and, if the patient is cooperative, limb movements Motor weaknesses, if possible, and gross sensory deficits Reflexes, plantar response
  • 20.
    Other NeuroExam Signsof Skull Base fracture Raccoon eyes Battle sign (after 8-12 h) CSF rhinorrhea or otorrhea Hemotympanum
  • 21.
    Imaging of headinjury Modalities Skull X-ray CT scan MRI Areas Skull, brain Cervical spine Chest Pelvis
  • 22.
    Skull Fracture TypesDepressed / non-depressed Importance Non-depressed per se: minimal Depressed A/w low GCS Compound fractures Foreign body
  • 23.
    Acute ExtraDural HemorrhageYoung patient Between skull & dura No direct injury to brain Blood clot – from torn blood vessel of dura (artery) Trauma – okay – slowly deteriorating – coma – death EDH patient should NOT die If patient die … we better die too
  • 24.
    Acute SubDural HemorrhageYoung patient Clot – between dura & brain surface From damaged brain surface Brain laceration (otak koyak) Burst lobe (otak pecah) DIRECT brain injury Hematoma – usually thin Major problem – damaged brain Outcome – worse than EDH Usually need surgery, to remove Hematoma Skull bone (open the box)
  • 25.
    Brain contusion (LEBAM)Young Direct brain injury Size: small  large If multiple – means severe diffuse brain injury Surgery if Large Easily accessible (senang buang) Prognosis: moderate
  • 26.
    Diffuse brain injuryYoung CT scan ‘normal’ Very small ‘white dots’ Acceleration – decerelation Shearing force “ Poor GCS with ‘normal’ CT scan” Treatment – based on GCS, ICP & CPP Important to repeat CT after 24-48 hours Edema Delayed hematoma
  • 27.
  • 28.
  • 29.
    Monro-Kellie hypothesis Thesum of the intracranial volumes of blood, brain, CSF is constant, and that an increase in any one of these must be offset by an equal decrease in another, or else pressure will rise.
  • 30.
  • 31.
    Management of TBI Detection & Monitor Treatment
  • 32.
    Detection &Monitor GCS Pupillary reflex ICP Monitor Symptoms & sign of herniation
  • 33.
    Methods of monitoringintracranial pressure . Fiberoptic sensors (Camino), Microchips (internal strain-gauge devices)(Codman) Air pouch technologies (Spiegelberg)
  • 34.
    Methods of monitoringintracranial pressure .
  • 35.
  • 36.
    Primary injurySecondary injury Herniation Mass lesion ICP  ICP  ICP  ICP 
  • 37.
    Secondary injury HypoxiaHypovolemia Cerebral edema
  • 38.
    How tomanage raise ICP?
  • 39.
    Cerebral Protection≠ Sedation
  • 40.
    Managing raise ICP General measure Medical management Surgical intervention
  • 41.
    General measureHead elevation Maintain normal temperature Neck vein compression? ? Chest Physio Hyperventilation Fluid management Glucose monitor Maintain normal Blod pressure
  • 42.
    Head elevation Headis raised 30 to 45 degrees above the level of the heart. This will enhance the venous drainage and thus reducing the intracranial blood volume and ICP.
  • 43.
    Neck vein compression?Neck in neutral position Collar is fixed properly Arm sling is not compressing the neck vein
  • 44.
    Maintain normaltemperature Keep patient’s body temperature within normal limit
  • 45.
    ? Chest PhysioTo give sedation during chest physiotherapy
  • 46.
    Hyperventilation NO HYPERVENTILATION !!!! Keep patient at the lower limit of normocapnia (32mmHg) Optimal Oxygenation !!! Increased CO2 = Vasoconstriction and Decreased ICP Decreased CO2 = Vasodilatation and Increased ICP
  • 47.
    Fluid management Fluidmanagement should aim primarily at preventing hypotension while optimizing cerebral perfusion pressure.
  • 48.
    Glucose monitor Patientwith injuries to the brain are often hyperglycaemic. High level of serum glucose levels may aggravate cerebral edema through an osmotic mechanism and may be responsible for increased anaerobic glycolysis leading to lactic acidosis.
  • 49.
    Medical managementSedation Muscle relaxant Barbiturate & Propofol analgesic antipyretic Mannitol & Frusemide Hypertonic saline antiepileptics Neuroprotective agent BP control
  • 50.
    Sedation analgesicMidazolam + Morphine
  • 51.
    Barbiturate & PropofolBarbiturates appear to exert their ICP-lowering effects through vasoconstriction, which results in a reduction in CBF and CBV secondary to the suppression of cerebral metabolism
  • 52.
    Muscle relaxant Increase incidence of aspiration pneumonia
  • 53.
    Mannitol & Frusemide The administration of mannitol has become the first choice for pharmacological ICP reduction , Mannitol has an immediate plasma-expanding effect that reduces haematocrit and blood viscosity and increases CBF and cerebral oxygenation delivery. Hyperosmotic agents remove more water from the brain than from other organs because the blood–brain barrier impedes the penetration of the osmotic agent into the brain maintaining an osmotic diffusion gradient. This osmotic effect of mannitol is delayed for 15–30 min. Mannitol consistently decreases ICP for 1–6 h.
  • 54.
    Mannitol & Frusemide An ultra-early single-shot administration of high-dose mannitol (1.4 g/kg) in the emergency room significantly improves the 6-month clinical outcome after head injury One risk of hyperosmotic agents is the rebound effect, which might increase ICP. To reduce this risk it is recommended that mannitol should be administrated as repeated boluses rather than continuously, only in patients with increased ICP and not longer than 3–4 days As mannitol is entirely excreted in the urine there is a risk of acute tubular necrosis, particularly if serum osmolarity exceeds 320 mOsmol/l
  • 55.
    Mannitol & Frusemide Although furosemide itself has only a minimal effect on ICP, in combination with mannitol it enhances the effects of mannitol on plasma osmolality, resulting in a greater reduction of brain water content
  • 56.
    Hypertonic saline Severalstudies have shown that hypertonic saline is equal or even superior to mannitol in reducing ICP. Vialet et al. suggested that hypertonic saline (2 ml/kg, 7.5%) is an effective and safe initial treatment for intracranial hypertension episodes in head trauma patients when osmotherapy is indicated. Even very high concentrated hypertonic saline solutions (23.5%) can be used and can reduce ICP in poor grade patients with subarachnoid haemorrhage.
  • 57.
    antipyretic antiepileptics Neuroprotective agent it is evident that hyperthermia should be avoided Is not for reduce ICP. But to prevent fit which will cause raise ICP Still under experimental stage
  • 58.
    Surgical interventionRemoval of the pathological lesion CSF diversion procedure Open the cranium “ craniectomy” Remove part of the non-eloquent brain “ Lobectomy”
  • 59.
    Removal of the pathological lesion CSF diversion procedure Open the cranium “ craniectomy” Remove part of the non-eloquent brain “ Lobectomy”
  • 60.
    Summary of TBImanagement Steps Rationale Respiratory support (intubation & ventilation) Comatose, unable to protect airways Elevate head 30-45° Facilitate venous drainage Straighten neck, no tape encircling the neck Facilitate venous drainage Avoid hypotension (SBP<90mmHg) Prevent hypoxia – edema Control hypertension Avoid transmission of pressure to ICP Avoid hypoxia (PaCO2 < 60mmHg) Prevent vasodilatation Control ventilation, aims PaCO2 35-40 mmHg Avoid vasoconstriction / -dilatation Adequate sedation To reduce brain metabolism Do CT brain Ascertain intracranial pathology rapidly
  • 61.
  • 62.
  • 63.
  • 64.
  • 65.
  • 66.
  • 67.
  • 68.
  • 69.
  • 70.
  • 71.
  • 72.
    Take Home Message:CPP = MAP - ICP ICP keep < 20 mmHg CPP keep 60 to 70 mmHg “ Biar lambat asalkan selamat”
  • 73.
  • 74.
    Summary: Classification ofTBI: Management: Prehospital. In Hospital: Primary survey & secondary survey. Imaging Monitor “ cerebral protection” Surgical intervention.