Fat embolism
MODERATOR: DR. SAGAR
ASSOCIATE PROFESSOR
DEPT OF ORTHOPAEDICS
RLJALAPPA HOSPITAL KOLAR
PRESENTED BY: DR. ABHI SHARMA
JUNIOR RESIDENT
History
• First case: 1861 by Zenker, who reported the
presence of fat droplets in lung capillaries.
• In 1865 Wagner described the correlation of fat
embolism(FE) with fractures and attributed the
origin of fat in the lungs to bone marrow.
• Von Bergmann was the first to describe the
symptoms of FES in 1873, in a patient with
comminuted distal femur fracture.
• Sixty hours after the injury, he developed
confusion, dyspnea, and petechiae and died
after 19 hours.
• A massive pulmonary FE was found at
autopsy.
Introduction
• Fat Emboli: Fat particles or droplets that travel
through the circulation.
• Fat Embolism: A process by which fat emboli
passes into the bloodstream and lodges within
a blood vessel.
• Fat Embolism Syndrome (FES): serious
manifestation of fat embolism.
• occasionally causes multi system dysfunction.
• The lungs are almost always involved followed
by brain manifestations.
Epidemiology
• Fat embolization and FES are not synonymus.
• pulmonary FE has been found in 68% to 82% of
blunt trauma patients.
• The clinical entity of FES is much less common.
• Among all patients with fractures, the incidence
of FES is 0.17%.
• Of isolated fractures, femur fractures were the
most common with a rate of 0.54%.
• Multiple fractures that included the femur had
the highest incidence of 1.29%.
• The incidence is more common in male
patients.
• Patients with Duchenne muscular dystrophy
develops FES at a relatively high rate of 1%to
20% after minor trauma and fractures.
Pathophysiology
• Two pathophysiologic mechanisms were
proposed for the clinical manifestations of FES:
1. The mechanical theory: by Gauss in 1924.
2. Biochemical theory: by Lehman and Moore in
1927.
The mechanical theory
• Trauma and fractures of long
bones disrupts fat in the
marrow and also tears
intraosseous blood vessels.
• arthroplasty and
intramedullary
instrumentation increases
intramedullary pressure
forcing fat into the veins.
• These droplets then enter
into the pulmonary
capillary beds and travel
to the brain through
arterio-venous shunts .
• concomitant release of inflammatory mediators
as a reaction to both ischemia and ongoing
inflammation
• platelet aggregation
• Ischemia(facilitated by release of vasoactive
amines)
Biochemical theory
• After an insult or trauma, fat was mobilized from
body stores and embolized into the tissues,
initiating an inflammatory response.
• Bone marrow fat embolized to the lungs causes
the local releases of lipase which breaks fat
down into free fatty acids and glycerol.
• Free fatty acids are toxic to endothelial cells
and cause vasogenic edema and hemorrhage
• These conditions release proinflammatory
cytokines, such as tumor necrosis factor-alpha,
interleukin (IL)-1 and IL-6, which can cause
acute respiratory distress syndrome (ARDS).
• Elevated acute phase reactants, such as C-
reactive protein cause lipids in the blood to
agglutinate into larger molecules, which
occludes vessels.
• Bone marrow fat is prothrombotic.
• In the circulation, it is quickly covered in
platelets and fibrin setting off the coagulation
cascade, leading to thrombocytopenia.
• In extreme cases, it will lead to disseminated
intravascular coagulation.
Risk factors
Causes
• Traumatic causes:
Fractures of long bones.
Major orthopedic surgery
Extensive soft tissue injury
Higher degree burns injury
Bone marrow biopsy
• Non-traumatic causes:
Removal of large volume of adipose tissue in
liposuction
Hemo-globinopathy
Collagen vascular disease
Diabetes mellitus
Severe infection
Neoplasm
Blood transfusion
Cardiopulmonary bypass
Hepatic steatosis (fatty liver)
Long duration corticosteroid therapy
Acute pancreatitis
Osteomyelitis
 Medical conditions causing bone infarcts,
especially sickle cell disease
Clinical features
• The classic triad of symptoms of
FES:
• generally develops 24–72 hours
after trauma.
Respiratory distress
• Seen in 75% of patients.
• tachypnea, dyspnea and
hypoxemia are the earliest to
manifest.
• Early persistent tachycardia.
• Progress to respiratory failure
in 10% of the cases.
• Patients have high grade
fever.
Dermatologic
• petechial rash
develops in about 20–
60% of cases.
• Mostly seen in
mucous membrane
(oral), the conjunctiva,
and skin folds of the
neck and axilla.
• Resolves in 5-7 days.
Neurologic
• They result from cerebral
embolism and seen in up to
86% of cases.
• Common presentation:-
acute confusional state.
• Transient and reversible in
most cases.
• Fundoscopic examination
reveals retinal hemorrhages
with intra-arterial fat
globules.
• Focal neurological signs, such as aphasia,
apraxia, hemiplegia, visual field disturbances,
anisocoria, seizures and decorticate posturing,
are also sometimes seen.
Other miscellaneous findings
• Right heart failure pattern is common on an
ECG.
• Macular edema causing scotomata associated
with soft fluffy retinal exudates (Purtscher’s
retinopathy)
• Coagulation abnormalities similar to
disseminated intravascular coagulation
• Renal symptom presenting as oliguria, lipiduria,
proteinuria or hematuria.
Diagnosis
• It is mainly a clinical diagnosis whereby other
causes are systematically excluded
Gurd’s and Wilson’s criteria
Schonfeld’s criteria
Lindeque’s criteria
Gurd’s and Wilson’s criteria
• One major, four minor criteria, and the presence
of macroglobulinemia are required for the
diagnosis
• Major:
Symptoms and radiologic evidence of
respiratory insufficiency
Cerebral sequelae unrelated to head injury or
other conditions
Petechial rash
Minor criteria
• Clinical findings:
Tachycardia (heart rate > 110 beats/min)
Pyrexia (temperature > 38.5°C)
Retinal changes of fat or petechiae
Renal dysfunction(anuria, oliguria)
Jaundice
• Laboratory features:
Acute drop in hemoglobin level(>20%)
Sudden thrombocytopenia(> 50%)
Elevated erythrocyte sedimentation rate(>
71mm/hr.)
Fat microglobulinemia.
Schonfeld’s criteria
• Cumulative score more than five required for
diagnosis
symptoms Score
Petechiae 5
Chest X-ray changes (diffuse alveolar
infiltrates
4
Hypoxemia (PaO2 < 9.3 kPa) 3
Fever (> 38°C) 1
Tachycardia (> 120 bpm) 1
Tachypnea (> 30 bpm) 1
Lindeque’s criteria
• FES can be diagnosed on the basis of
respiratory system involvement alone.
Sustained pO2 < 8 kpa
Sustained pCO2 > 7.3 kpa
Sustained respiratory rate > 35/min, in spite of
sedation
Increased work of breathing, dyspnea,
tachycardia, anxiety
LABORATORY STUDIES
• Arterial blood gas:
Reveal hypoxia, with a PaO2 of less than 60
mm Hg along with hypocapnia(paCO2) less
than 30 mm Hg.
Unexplained increase in pulmonary shunt
fraction difference is strongly suggestive of the
syndrome.
• Urine and sputum examination:
• staining of urine, blood and sputum with Sudan
or Oil Red O may show fat globules.
• May be free or located within macrophage.
• Sensitivity and negative predictive value of this
test is very low
• Bronchoalveolar lavage:
• In FES, it has been
shown that bronchial
lavages had 30% of
alveolar macrophages
filled with lipid inclusions
as compared with 13% to
15% in ARDS.
• Hematocrit, platelet count, and fibrinogen:
Fall in hematocrit occurs within 24–48 hours
It is due to intra-alveolar hemorrhage.
Coagulation abnormalities, thrombocytopenia
and hypofibrogenemia are often seen.
Imaging studies
• Plain chest radiographs:
findings appear within 24–48
hours of onset of clinical findings-
Diffusely distributed bilateral
pulmonary infiltrates
Snow storm appearance
Prominent pulmonary bronchiolar
markings
Enlargement of the right side of
the heart
• High-resolution CT thorax:
Shows patchy ground glass opacities and
consolidation with interlobular thickening called
the “crazy paving” pattern.
The extent of these findings has correlated with
disease severity.
• Noncontrast head CT:-
Usually it is normal.
show diffuse edema with scattered
hemorrhage.
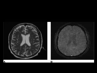
• MRI brain:
More sensitive
T2-weighted images typically demonstrate a
“starfield pattern” with multiple, small,
nonconfluent, hyperintense lesions.
The lesions occur in the periventricular,
subcortical, and deep white matter.
Treatment
• Prevention
Immobilization and early
internal fixation of
fracture.
Fixation within 24 hours
has been shown to yield a
5 fold reduction in the
incidence of ARDS.
• Continuous pulse oximeter monitoring in high
risk patients
• It will help in detecting desaturation early,
allowing early oxygen and possibly steroid
therapy
• No specific treatment is available for FES.
• Supportive treatment goals:
• Maintenance of adequate tissue oxygenation
and pulmonary ventilation
• Adequate fluid balance
• prophylaxis for DVT
• Maintain nutrition
• Fracture stabilization
• Maintenance of adequate tissue oxygenation
and pulmonary ventilation:
High flow rate oxygen is given to maintain the
arterial oxygen tension in the normal range.
Mechanical ventilation and PEEP may be
required to maintain arterial oxygenation.
• Adequate fluid balance:
Restrict only excess fluid.
Maintenance of intravascular volume is
necessary as shock can further exacerbate lung
injury caused by FES.
Blood products should be only instituted as
clinically indicated and not irrationally.
Medication
• Role of albumin:
• Recommended for volume resuscitation in
addition to balanced electrolyte solution
• Because it not only restores blood volume but
also binds with the fatty acids and decrease
extent of lung injury
• Role of steroids:
• Steroid prophylaxis is controversial to prevent
FES.
Decrease inflammatory reaction in lungs
caused by free fatty acids
Decrease capillary leakage by stabilizing
lysosomal and capillary membrane
Prophylactic dose of methyl prednisolone: 1.5
mg/kg IV can be administered every 8 hours for
six doses.
Prognosis
• Mortality from FES is uncommon (< 5–15%).
• Most cases that fail to recoup result from
associated damage to other organs.
• Neurological complications like deficit and coma
are often transient and may last for days or
sometimes up to weeks.
• Pulmonary complications usually resolve
completely within a year and are clinically
inconsequential despite deficits persistence in
residual diffusion capacity.
Applications
• In trauma:
• Timing to Surgery:
• Studies conducted by Riska et al concluded
that the number of fractures treated with early
surgical intervention decreased the number of
cases of FES.
• FES rates are higher in the nonsurgical group
versus in the surgical group.
Riska EB, von Bonsdorff H, Hakkinen S, Jaroma H, Kiviluoto O, Paavilainen T: Prevention of fat embolism by
early internal fixation of fractures in patients with multiple injuries. Injury 1976;8:110-116.
• Further studies during 1989 concluded that
more pulmonary complications were found with
late stabilization, both in the cases with isolated
femur fractures and the multiply injured group.
Bone LB, Johnson KD, Weigelt J Scheinberg R: Early versus delaye stabilization of femoral
fractures: prospective randomized study. J Bone Join Surg Am 1989;71:336-340.
• However, FES and pulmonary complications
are just one of a multitude of factors to consider
in the optimal timing of fracture stabilizationin
polytrauma patients
• there is a subset of patients for whom damage
control orthopaedics followed by definitive
treatment at a later date may increase the
chance of survival
• Fixation Method:
• Intramedullary reaming increases canal
pressures and stimulates an inflammatory
response
• this situation leads to an increased the
incidence of FES compared with other fixation
methods
• Bosse et al compared reamed intramedullary
nails with plating in 453 patients.
• No significant differences in pulmonary
complications or mortality were observed
Bosse MJ, MacKenzie EJ, Riemer BL, et al: Adult respiratory distress syndrome, pneumonia, and mortality
following thoracic injury and a femoral fracture treated either with intramedullary nailing with reaming or
with a plate: A comparative study. J Bone Joint Surg Am 1997;79:799-809.
• Study conducted by Pape et al in multiply
injured patients in the borderline stable group to
intramedullary nail versus external fixation
concluded
Six times greater incidence in acute lung injury
with the intramedullary nail group, but no
difference was found in ARDS or mortality.
Pape HC, Rixen D, Morley J, et al: Impact of the method of initial stabilization for femoral shaft fractures in
patients with multiple injuries at risk for complications (borderline patients). Ann Surg 2007;246: 491-501
• The amount of embolized fat and intramedullary
pressure was significantly lower with slower
advancement and faster revolutions.
• Bilateral Femur Fractures:
• Bilateral femur fractures treated with
intramedullary nail have up to a 7.5% incidence
of FES.
• mortality rates of 5% to6% which is about 5 to
6 times higher than isolated femoral shaft
fractures.
• Applications in
Arthroplasty:
• Cause intramedullary
pressurization, particularly
with cementing.
• The use of an
intramedullary bone
vacuum during
cementation significantly
decrease embolization of
marrow contents.
THANK YOU

Fat embolism

  • 1.
    Fat embolism MODERATOR: DR.SAGAR ASSOCIATE PROFESSOR DEPT OF ORTHOPAEDICS RLJALAPPA HOSPITAL KOLAR PRESENTED BY: DR. ABHI SHARMA JUNIOR RESIDENT
  • 2.
    History • First case:1861 by Zenker, who reported the presence of fat droplets in lung capillaries. • In 1865 Wagner described the correlation of fat embolism(FE) with fractures and attributed the origin of fat in the lungs to bone marrow.
  • 3.
    • Von Bergmannwas the first to describe the symptoms of FES in 1873, in a patient with comminuted distal femur fracture. • Sixty hours after the injury, he developed confusion, dyspnea, and petechiae and died after 19 hours. • A massive pulmonary FE was found at autopsy.
  • 4.
    Introduction • Fat Emboli:Fat particles or droplets that travel through the circulation. • Fat Embolism: A process by which fat emboli passes into the bloodstream and lodges within a blood vessel.
  • 5.
    • Fat EmbolismSyndrome (FES): serious manifestation of fat embolism. • occasionally causes multi system dysfunction. • The lungs are almost always involved followed by brain manifestations.
  • 6.
    Epidemiology • Fat embolizationand FES are not synonymus. • pulmonary FE has been found in 68% to 82% of blunt trauma patients. • The clinical entity of FES is much less common. • Among all patients with fractures, the incidence of FES is 0.17%.
  • 7.
    • Of isolatedfractures, femur fractures were the most common with a rate of 0.54%. • Multiple fractures that included the femur had the highest incidence of 1.29%.
  • 8.
    • The incidenceis more common in male patients. • Patients with Duchenne muscular dystrophy develops FES at a relatively high rate of 1%to 20% after minor trauma and fractures.
  • 9.
    Pathophysiology • Two pathophysiologicmechanisms were proposed for the clinical manifestations of FES: 1. The mechanical theory: by Gauss in 1924. 2. Biochemical theory: by Lehman and Moore in 1927.
  • 10.
    The mechanical theory •Trauma and fractures of long bones disrupts fat in the marrow and also tears intraosseous blood vessels.
  • 11.
    • arthroplasty and intramedullary instrumentationincreases intramedullary pressure forcing fat into the veins. • These droplets then enter into the pulmonary capillary beds and travel to the brain through arterio-venous shunts .
  • 12.
    • concomitant releaseof inflammatory mediators as a reaction to both ischemia and ongoing inflammation • platelet aggregation • Ischemia(facilitated by release of vasoactive amines)
  • 13.
    Biochemical theory • Afteran insult or trauma, fat was mobilized from body stores and embolized into the tissues, initiating an inflammatory response. • Bone marrow fat embolized to the lungs causes the local releases of lipase which breaks fat down into free fatty acids and glycerol. • Free fatty acids are toxic to endothelial cells and cause vasogenic edema and hemorrhage
  • 14.
    • These conditionsrelease proinflammatory cytokines, such as tumor necrosis factor-alpha, interleukin (IL)-1 and IL-6, which can cause acute respiratory distress syndrome (ARDS). • Elevated acute phase reactants, such as C- reactive protein cause lipids in the blood to agglutinate into larger molecules, which occludes vessels.
  • 15.
    • Bone marrowfat is prothrombotic. • In the circulation, it is quickly covered in platelets and fibrin setting off the coagulation cascade, leading to thrombocytopenia. • In extreme cases, it will lead to disseminated intravascular coagulation.
  • 17.
  • 18.
    Causes • Traumatic causes: Fracturesof long bones. Major orthopedic surgery Extensive soft tissue injury Higher degree burns injury Bone marrow biopsy
  • 19.
    • Non-traumatic causes: Removalof large volume of adipose tissue in liposuction Hemo-globinopathy Collagen vascular disease Diabetes mellitus Severe infection Neoplasm Blood transfusion
  • 20.
    Cardiopulmonary bypass Hepatic steatosis(fatty liver) Long duration corticosteroid therapy Acute pancreatitis Osteomyelitis  Medical conditions causing bone infarcts, especially sickle cell disease
  • 21.
    Clinical features • Theclassic triad of symptoms of FES: • generally develops 24–72 hours after trauma.
  • 23.
    Respiratory distress • Seenin 75% of patients. • tachypnea, dyspnea and hypoxemia are the earliest to manifest. • Early persistent tachycardia. • Progress to respiratory failure in 10% of the cases. • Patients have high grade fever.
  • 24.
    Dermatologic • petechial rash developsin about 20– 60% of cases. • Mostly seen in mucous membrane (oral), the conjunctiva, and skin folds of the neck and axilla. • Resolves in 5-7 days.
  • 25.
    Neurologic • They resultfrom cerebral embolism and seen in up to 86% of cases. • Common presentation:- acute confusional state. • Transient and reversible in most cases. • Fundoscopic examination reveals retinal hemorrhages with intra-arterial fat globules.
  • 26.
    • Focal neurologicalsigns, such as aphasia, apraxia, hemiplegia, visual field disturbances, anisocoria, seizures and decorticate posturing, are also sometimes seen.
  • 27.
    Other miscellaneous findings •Right heart failure pattern is common on an ECG. • Macular edema causing scotomata associated with soft fluffy retinal exudates (Purtscher’s retinopathy)
  • 28.
    • Coagulation abnormalitiessimilar to disseminated intravascular coagulation • Renal symptom presenting as oliguria, lipiduria, proteinuria or hematuria.
  • 29.
    Diagnosis • It ismainly a clinical diagnosis whereby other causes are systematically excluded Gurd’s and Wilson’s criteria Schonfeld’s criteria Lindeque’s criteria
  • 30.
    Gurd’s and Wilson’scriteria • One major, four minor criteria, and the presence of macroglobulinemia are required for the diagnosis • Major: Symptoms and radiologic evidence of respiratory insufficiency Cerebral sequelae unrelated to head injury or other conditions Petechial rash
  • 31.
    Minor criteria • Clinicalfindings: Tachycardia (heart rate > 110 beats/min) Pyrexia (temperature > 38.5°C) Retinal changes of fat or petechiae Renal dysfunction(anuria, oliguria) Jaundice
  • 32.
    • Laboratory features: Acutedrop in hemoglobin level(>20%) Sudden thrombocytopenia(> 50%) Elevated erythrocyte sedimentation rate(> 71mm/hr.) Fat microglobulinemia.
  • 33.
    Schonfeld’s criteria • Cumulativescore more than five required for diagnosis symptoms Score Petechiae 5 Chest X-ray changes (diffuse alveolar infiltrates 4 Hypoxemia (PaO2 < 9.3 kPa) 3 Fever (> 38°C) 1 Tachycardia (> 120 bpm) 1 Tachypnea (> 30 bpm) 1
  • 34.
    Lindeque’s criteria • FEScan be diagnosed on the basis of respiratory system involvement alone. Sustained pO2 < 8 kpa Sustained pCO2 > 7.3 kpa Sustained respiratory rate > 35/min, in spite of sedation Increased work of breathing, dyspnea, tachycardia, anxiety
  • 35.
    LABORATORY STUDIES • Arterialblood gas: Reveal hypoxia, with a PaO2 of less than 60 mm Hg along with hypocapnia(paCO2) less than 30 mm Hg. Unexplained increase in pulmonary shunt fraction difference is strongly suggestive of the syndrome.
  • 36.
    • Urine andsputum examination: • staining of urine, blood and sputum with Sudan or Oil Red O may show fat globules. • May be free or located within macrophage. • Sensitivity and negative predictive value of this test is very low
  • 37.
    • Bronchoalveolar lavage: •In FES, it has been shown that bronchial lavages had 30% of alveolar macrophages filled with lipid inclusions as compared with 13% to 15% in ARDS.
  • 38.
    • Hematocrit, plateletcount, and fibrinogen: Fall in hematocrit occurs within 24–48 hours It is due to intra-alveolar hemorrhage. Coagulation abnormalities, thrombocytopenia and hypofibrogenemia are often seen.
  • 39.
    Imaging studies • Plainchest radiographs: findings appear within 24–48 hours of onset of clinical findings- Diffusely distributed bilateral pulmonary infiltrates Snow storm appearance Prominent pulmonary bronchiolar markings Enlargement of the right side of the heart
  • 40.
    • High-resolution CTthorax: Shows patchy ground glass opacities and consolidation with interlobular thickening called the “crazy paving” pattern. The extent of these findings has correlated with disease severity.
  • 41.
    • Noncontrast headCT:- Usually it is normal. show diffuse edema with scattered hemorrhage.
  • 42.
    • MRI brain: Moresensitive T2-weighted images typically demonstrate a “starfield pattern” with multiple, small, nonconfluent, hyperintense lesions. The lesions occur in the periventricular, subcortical, and deep white matter.
  • 44.
    Treatment • Prevention Immobilization andearly internal fixation of fracture. Fixation within 24 hours has been shown to yield a 5 fold reduction in the incidence of ARDS.
  • 45.
    • Continuous pulseoximeter monitoring in high risk patients • It will help in detecting desaturation early, allowing early oxygen and possibly steroid therapy
  • 46.
    • No specifictreatment is available for FES. • Supportive treatment goals: • Maintenance of adequate tissue oxygenation and pulmonary ventilation • Adequate fluid balance • prophylaxis for DVT • Maintain nutrition • Fracture stabilization
  • 47.
    • Maintenance ofadequate tissue oxygenation and pulmonary ventilation: High flow rate oxygen is given to maintain the arterial oxygen tension in the normal range. Mechanical ventilation and PEEP may be required to maintain arterial oxygenation.
  • 48.
    • Adequate fluidbalance: Restrict only excess fluid. Maintenance of intravascular volume is necessary as shock can further exacerbate lung injury caused by FES. Blood products should be only instituted as clinically indicated and not irrationally.
  • 49.
    Medication • Role ofalbumin: • Recommended for volume resuscitation in addition to balanced electrolyte solution • Because it not only restores blood volume but also binds with the fatty acids and decrease extent of lung injury
  • 50.
    • Role ofsteroids: • Steroid prophylaxis is controversial to prevent FES. Decrease inflammatory reaction in lungs caused by free fatty acids Decrease capillary leakage by stabilizing lysosomal and capillary membrane Prophylactic dose of methyl prednisolone: 1.5 mg/kg IV can be administered every 8 hours for six doses.
  • 51.
    Prognosis • Mortality fromFES is uncommon (< 5–15%). • Most cases that fail to recoup result from associated damage to other organs. • Neurological complications like deficit and coma are often transient and may last for days or sometimes up to weeks. • Pulmonary complications usually resolve completely within a year and are clinically inconsequential despite deficits persistence in residual diffusion capacity.
  • 52.
    Applications • In trauma: •Timing to Surgery: • Studies conducted by Riska et al concluded that the number of fractures treated with early surgical intervention decreased the number of cases of FES. • FES rates are higher in the nonsurgical group versus in the surgical group. Riska EB, von Bonsdorff H, Hakkinen S, Jaroma H, Kiviluoto O, Paavilainen T: Prevention of fat embolism by early internal fixation of fractures in patients with multiple injuries. Injury 1976;8:110-116.
  • 53.
    • Further studiesduring 1989 concluded that more pulmonary complications were found with late stabilization, both in the cases with isolated femur fractures and the multiply injured group. Bone LB, Johnson KD, Weigelt J Scheinberg R: Early versus delaye stabilization of femoral fractures: prospective randomized study. J Bone Join Surg Am 1989;71:336-340.
  • 54.
    • However, FESand pulmonary complications are just one of a multitude of factors to consider in the optimal timing of fracture stabilizationin polytrauma patients • there is a subset of patients for whom damage control orthopaedics followed by definitive treatment at a later date may increase the chance of survival
  • 55.
    • Fixation Method: •Intramedullary reaming increases canal pressures and stimulates an inflammatory response • this situation leads to an increased the incidence of FES compared with other fixation methods
  • 56.
    • Bosse etal compared reamed intramedullary nails with plating in 453 patients. • No significant differences in pulmonary complications or mortality were observed Bosse MJ, MacKenzie EJ, Riemer BL, et al: Adult respiratory distress syndrome, pneumonia, and mortality following thoracic injury and a femoral fracture treated either with intramedullary nailing with reaming or with a plate: A comparative study. J Bone Joint Surg Am 1997;79:799-809.
  • 57.
    • Study conductedby Pape et al in multiply injured patients in the borderline stable group to intramedullary nail versus external fixation concluded Six times greater incidence in acute lung injury with the intramedullary nail group, but no difference was found in ARDS or mortality. Pape HC, Rixen D, Morley J, et al: Impact of the method of initial stabilization for femoral shaft fractures in patients with multiple injuries at risk for complications (borderline patients). Ann Surg 2007;246: 491-501
  • 58.
    • The amountof embolized fat and intramedullary pressure was significantly lower with slower advancement and faster revolutions.
  • 59.
    • Bilateral FemurFractures: • Bilateral femur fractures treated with intramedullary nail have up to a 7.5% incidence of FES. • mortality rates of 5% to6% which is about 5 to 6 times higher than isolated femoral shaft fractures.
  • 60.
    • Applications in Arthroplasty: •Cause intramedullary pressurization, particularly with cementing. • The use of an intramedullary bone vacuum during cementation significantly decrease embolization of marrow contents.
  • 62.