When the Script Doesn’t Fit
J Gen Intern Med. 2017 Mar 23
Daniel J Wheeler, MD; Thomas Cascino, MD; Bradley A Sharpe, MD; Denise
M Connor, MD
DIAGNOSTIC SCHEMA
JGIM EXERCISES IN CLINICAL REASONING
Teaching Slides by: Rabih Geha, MD & Denise M. Connor, MD
Diagnostic Schema
• A diagnostic schema is a cognitive tool that provides a
structured approach to a complex clinical problem.
• Schemas convert lists (e.g. specific diagnoses) into mental
flowcharts organized by clinically meaningful variables.
Volume Overload
Causes of lower extremity edema include:
• Congestive heart failure
• Medications
• Chronic kidney disease
• Venous stasis
• Cirrhosis
• Hypothyroidism
Diagnostic Schema:
Volume Overload
Volume Overload
Urgent Non-urgent
• Congestive Heart Failure
• Liver Disease
• Renal Disease
• Venous Stasis
• Medications
• Lymphedema
• Hypothyroidism
Diagnostic Schema:
Volume Overload
Volume Overload
Urgent Non-urgent
• Congestive Heart
Failure
• Renal Disease
• Venous stasis
• Medications
JVP: elevated JVP: normal Pitting Non-pitting
• Liver disease • Lymphedema
• Hypothyroid
A Case
Chief Complaint: Pleuritic chest pain
HPI
A 31-year-old man presented to an urgent care clinic
with 1 day of left-sided pleuritic chest pain and non-
productive cough.
He had no fever, chills, night sweats, or dyspnea. There
was no recent travel or immobilization.
Outline your approach to chest pain
Pause
More HistoryMore History
Medications
• None
Social History
• Lives in California
• One female partner
• Works in office setting
• Modest alcohol use
• No tobacco or recreational
drugs
PMH
• None
PSH
• None
Family History
• No significant FH
Physical Exam
T 99F BP 117/90 HR 70 RR 19 Sat 96% RA
• Young man in no acute distress
• Chest: clear to ausculatation, normal percussion
• CV: regular rate and rhythm with no murmurs
• Abdomen: Soft, non-tender, non-distended
• Skin: No rashes
• Remainder of the exam is normal
Imaging
11
Pause
What is your problem representation at this point?
12
Pause
What is your schema for infiltrates on CXR?
Diagnostic Schema:
CXR infiltrates
CXR infiltrate
Blood Pus
• Alveolar hemorrhage
• Pulmonary embolism
Water
• Pulmonary edema
• ARDS
• Aspiration
• Pneumonia
14
Pause
What would your next steps be and why?
15
Case Continued
• The patient was diagnosed with community acquired
pneumonia and started on doxycycline.
• One week later he presented to the emergency
department with worsening cough, fatigue, fevers and
chills.
• He was taking the doxycycline as prescribed.
• Vials were unchanged.
16
Pause
What is your problem representation so far?
17
Pause
How do you approach the causes of CAP treatment failure?
Diagnostic Schema:
CAP treatment failure
CAP treatment failure
Wrong bug Wrong diagnosis
• Endemic
mycoses
Wrong host
• Immuno-
compromised
• Congestive
Heart
Failure
Wrong drug
• Doxycycline
resistant
S. Pneumo
Labs
132 102 22
0.9234.3
16
30412
102
50
Eosinophil: 600
(nl: < 500)
20
Pause
What do you think about these labs?
Imaging
Chest X-Ray
Unchanged
Imaging
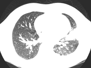
CT chest with contrast
1. Scattered centrilobular nodules in the left lung with
associated ground glass.
2. Consolidation in the lingula, left hilar adenopathy
and a small left-sided pleural effusion.
3. No pulmonary embolism.
24
Pause
How would you incorporate these findings into a updated
problem representation?
25
Pause
What is your schema for pulmonary disease with peripheral
eosinophilia?
Diagnostic Schema:
Pulmonary Infiltrates with Eosinophilia
Pulmonary Infiltrates + eosinophilia
Hypersensitivity Idiopathic
• Drug
reactions
Infection
• Parasites • Acute
eosinophilic
pneumonia
Autoimmune Dx
• Eosinophilic
granulomatosis
with polyangiitis
27
Case Continued
• The patient was diagnosed with a non-resolving
pneumonia and started on Levofloxacin.
• Four days later, he returned to the ED with worsening
pleuritic pain, cough, night sweats and multiple new,
painful, red lesions on his right lower extremity.
28
Physical Exam
29
Case Continued: Further History
• After additional history was asked, the patient mentioned
that two weeks prior to symptom onset, he had participated
in a 10-mile outdoor race near San Diego, California that
involved scrambling through an obstacle course of dust, dirt,
and mud.
30
Pause
What is your updated problem representation?
What is your prioritized differential diagnosis?
31
Case Continued
A diagnostic test was performed
32
Case Continued
• Coccidioides immunodiffusion was positive with a
complement fixation titer of 1:4
• The patient was started on Fluconazole with resolution
of his symptoms over the next month.
33
Coccidiomycosis
• Coccidiomycosis is caused by C. imminitis and C. posadasii,
dimorphic fungi endemic to the South Western United States.
• Broad spectrum of disease from self-limited flu-like illness to severe
disseminated disease in less than 1% of infections.
• Other manifestations include rash (erythema nodosum, erythema
multiforme) and peripheral eosinophilia.
• A travel history is important in making the diagnosis.
34
Diagnostic Schema: Recap
• Provides a systematic approach for expanding the DDx (helps to
avoid anchoring)
• Helps manage cognitive load and maximize problem-solving
abilities
• Unique to individual clinicians; enhanced by deliberate practice
35
Acknowledgements
• We thank Mark Henderson MD, Jeff Kohlwes MD, and Reza
Manesh MD for their critical review of this material
Additional Information: Approach to Erythema
Nodosum
Erythema Nodosum
Infection Autoimmune Malignant
Drug-
induced
Other
• OCPs • Pregnancy• Post-Strep
• Tuberculosis
• Endemic
myocoses
• IBD
• Sarcoidosis
• Lymphoma

Diagnostic Schema

  • 1.
    When the ScriptDoesn’t Fit J Gen Intern Med. 2017 Mar 23 Daniel J Wheeler, MD; Thomas Cascino, MD; Bradley A Sharpe, MD; Denise M Connor, MD DIAGNOSTIC SCHEMA JGIM EXERCISES IN CLINICAL REASONING Teaching Slides by: Rabih Geha, MD & Denise M. Connor, MD
  • 2.
    Diagnostic Schema • Adiagnostic schema is a cognitive tool that provides a structured approach to a complex clinical problem. • Schemas convert lists (e.g. specific diagnoses) into mental flowcharts organized by clinically meaningful variables.
  • 3.
    Volume Overload Causes oflower extremity edema include: • Congestive heart failure • Medications • Chronic kidney disease • Venous stasis • Cirrhosis • Hypothyroidism
  • 4.
    Diagnostic Schema: Volume Overload VolumeOverload Urgent Non-urgent • Congestive Heart Failure • Liver Disease • Renal Disease • Venous Stasis • Medications • Lymphedema • Hypothyroidism
  • 5.
    Diagnostic Schema: Volume Overload VolumeOverload Urgent Non-urgent • Congestive Heart Failure • Renal Disease • Venous stasis • Medications JVP: elevated JVP: normal Pitting Non-pitting • Liver disease • Lymphedema • Hypothyroid
  • 6.
    A Case Chief Complaint:Pleuritic chest pain HPI A 31-year-old man presented to an urgent care clinic with 1 day of left-sided pleuritic chest pain and non- productive cough. He had no fever, chills, night sweats, or dyspnea. There was no recent travel or immobilization.
  • 7.
    Outline your approachto chest pain Pause
  • 8.
    More HistoryMore History Medications •None Social History • Lives in California • One female partner • Works in office setting • Modest alcohol use • No tobacco or recreational drugs PMH • None PSH • None Family History • No significant FH
  • 9.
    Physical Exam T 99FBP 117/90 HR 70 RR 19 Sat 96% RA • Young man in no acute distress • Chest: clear to ausculatation, normal percussion • CV: regular rate and rhythm with no murmurs • Abdomen: Soft, non-tender, non-distended • Skin: No rashes • Remainder of the exam is normal
  • 10.
  • 11.
    11 Pause What is yourproblem representation at this point?
  • 12.
    12 Pause What is yourschema for infiltrates on CXR?
  • 13.
    Diagnostic Schema: CXR infiltrates CXRinfiltrate Blood Pus • Alveolar hemorrhage • Pulmonary embolism Water • Pulmonary edema • ARDS • Aspiration • Pneumonia
  • 14.
    14 Pause What would yournext steps be and why?
  • 15.
    15 Case Continued • Thepatient was diagnosed with community acquired pneumonia and started on doxycycline. • One week later he presented to the emergency department with worsening cough, fatigue, fevers and chills. • He was taking the doxycycline as prescribed. • Vials were unchanged.
  • 16.
    16 Pause What is yourproblem representation so far?
  • 17.
    17 Pause How do youapproach the causes of CAP treatment failure?
  • 18.
    Diagnostic Schema: CAP treatmentfailure CAP treatment failure Wrong bug Wrong diagnosis • Endemic mycoses Wrong host • Immuno- compromised • Congestive Heart Failure Wrong drug • Doxycycline resistant S. Pneumo
  • 19.
  • 20.
    20 Pause What do youthink about these labs?
  • 21.
  • 23.
    Imaging CT chest withcontrast 1. Scattered centrilobular nodules in the left lung with associated ground glass. 2. Consolidation in the lingula, left hilar adenopathy and a small left-sided pleural effusion. 3. No pulmonary embolism.
  • 24.
    24 Pause How would youincorporate these findings into a updated problem representation?
  • 25.
    25 Pause What is yourschema for pulmonary disease with peripheral eosinophilia?
  • 26.
    Diagnostic Schema: Pulmonary Infiltrateswith Eosinophilia Pulmonary Infiltrates + eosinophilia Hypersensitivity Idiopathic • Drug reactions Infection • Parasites • Acute eosinophilic pneumonia Autoimmune Dx • Eosinophilic granulomatosis with polyangiitis
  • 27.
    27 Case Continued • Thepatient was diagnosed with a non-resolving pneumonia and started on Levofloxacin. • Four days later, he returned to the ED with worsening pleuritic pain, cough, night sweats and multiple new, painful, red lesions on his right lower extremity.
  • 28.
  • 29.
    29 Case Continued: FurtherHistory • After additional history was asked, the patient mentioned that two weeks prior to symptom onset, he had participated in a 10-mile outdoor race near San Diego, California that involved scrambling through an obstacle course of dust, dirt, and mud.
  • 30.
    30 Pause What is yourupdated problem representation? What is your prioritized differential diagnosis?
  • 31.
  • 32.
    32 Case Continued • Coccidioidesimmunodiffusion was positive with a complement fixation titer of 1:4 • The patient was started on Fluconazole with resolution of his symptoms over the next month.
  • 33.
    33 Coccidiomycosis • Coccidiomycosis iscaused by C. imminitis and C. posadasii, dimorphic fungi endemic to the South Western United States. • Broad spectrum of disease from self-limited flu-like illness to severe disseminated disease in less than 1% of infections. • Other manifestations include rash (erythema nodosum, erythema multiforme) and peripheral eosinophilia. • A travel history is important in making the diagnosis.
  • 34.
    34 Diagnostic Schema: Recap •Provides a systematic approach for expanding the DDx (helps to avoid anchoring) • Helps manage cognitive load and maximize problem-solving abilities • Unique to individual clinicians; enhanced by deliberate practice
  • 35.
    35 Acknowledgements • We thankMark Henderson MD, Jeff Kohlwes MD, and Reza Manesh MD for their critical review of this material
  • 36.
    Additional Information: Approachto Erythema Nodosum Erythema Nodosum Infection Autoimmune Malignant Drug- induced Other • OCPs • Pregnancy• Post-Strep • Tuberculosis • Endemic myocoses • IBD • Sarcoidosis • Lymphoma

Editor's Notes

  • #3 Teacher’s Guide: 1. Before clicking on the slide, ask learners if they have heard of this concept before 2. If yes, explore what this term means to them and solicit examples 3. Click slide to reveal definition
  • #4 Teacher’s Guide: 1. Before clicking slide, ask learners if they have an approach to how they think about LE edema – i.e. you may hear organ system based approaches 2. Write learners’ examples/approaches on the board 3. Click slide to show a list of potential causes
  • #5 Teacher’s Guide: 1. Reveal example of a schema and discuss; if learners gave other examples previously, you can compare/contrast the different approaches 2. Key to make the point that there is no one gold standard diagnostic schema for a given problem, but rather that different clinicians, depending on their prior knowledge, experience and practice patterns develop schema that make sense to them and help them to organize their thinking around complex problems.
  • #6 Teacher’s guide Use this more elaborated schema as an example of the development of a provider’s schema over time. With experience, providers incorporate additional branch points to further refine their diagnostic schema In the urgent causes of volume overload, the jugular venous pressure to further divide the causes into JVP elevated (CHF, renal disease) and JVP negative (liver disease) Similarly the pitting versus non-pitting distinction can be used to further divide these non-urgent causes of edema.
  • #8 Teacher’s Guide Start by drawing out your learners’ schema to this problem and consider emphasizing the important of prioritizing urgent over non-urgent causes. Depending on the discussion, you can offer your own approach, or add nuance to what the learners discuss As an example: There are six causes of potentially lethal chest pain (CP). A schema for CP might have a branch point of urgent/non-urgent, with clinicians always considering the urgent/life-threatening potential causes first: Cardiac (3) Myocardial Infarction Tamponade Aortic Dissection Pulmonary (2) Pulmonary Embolism Pneumothorax Esophageal (1) Perforation  After considering the life-threatening causes, non-urgent causes may be considered using an anatomic approach: ***Note: You do not need to cover all of the possible causes, but rather, help your learners consider which organ systems to consider, with just 1 exemplar in each category to bring it to life:        Skin Herpes Zoster Muscle Muscle Strain   Bone (sternal, ribs) Fracture Pulmonary Pneumonia Cardiac Pericarditis Esophagus/stomach GERD Mediastinum Mediastinitis 
  • #9 Teacher’s Guide 1. Ask learners what they would want to focus on in the physical exam (and why) before revealing next slide
  • #11 Teacher’s guide Ask someone (or a team of learners) to interpret the chest-x-ray: For example: there is an consolidation in the left lower lobe. No cardiomegaly or pleural effusions.
  • #12 Teacher’s guide The problem representation is a one sentence summary that highlights the defining features of case (for more please see:: http://www.sgim.org/web-only/clinical-reasoning-exercises/problem-representation-overview) Compare/contrast a few different problem representations from your learners; a good challenging question is: Why would you include that detail, how does that detail change your thinking about this patient? An example would be: 31yo previously healthy man with acute pleuritic chest pain, cough, and a unilateral infiltrate on CXR.
  • #13 Teacher’s guide 1. Scribe learners’ answers on the board 2. Click on to the next slide to show as one helpful approach
  • #14 Teacher’s guide Compare and contrast approaches mentioned by learners vs. that shown on the slide. Make the point that splitting a long list of diagnoses (ARDS, PE, pneumonia, aspiration, etc.) into smaller, categories makes it easier to (1) remember and (2) incorporate new diagnoses into the schema over time. The categories chosen can vary by schema or provider. For example, an anatomic categorization is one way to approach chest pain (see prior example; but other providers may chose to use organ system based approach). In the schema of CXR infiltrates one set of categories is the nature of the fluid causing the infiltrate.
  • #15 Teacher’s guide At this point learners should come up with 1-3 competing diagnosis. Encourage learners to discuss the “for” and “against” categories for each diagnosis Consider using a table on the board to visually represent the discussion.
  • #17 Teacher’s guide The important piece to incorporate is the failure to improve with antibiotic therapy aimed at community acquired pneumonia. Example: 31 year-old previously healthy man with ongoing pleuritic chest pain and cough despite completing therapy for CAP. 2. Would gently guide learner’s in that direction before proceeding to the next slide.
  • #18 Teacher’s guide 1.Before clicking on animation to reveal the question, ask learners what the crux of the problem being solved is at this point (goal – to help students identify CAP treatment failure) 2. Similar to above, have the learners discuss, and write possible causes on the board. 3.Advance to the next slide to see one approach.
  • #19 Teacher’s guide: Examples Wrong “bug” CAP is the correct diagnosis, but the causative organism is unusual: gram-negative rod, virus, endemic fungus Wrong “drug” CAP is the correct diagnosis, but the causative organism is resistant to treatment: doxycycline-resistant S. pneumonia Wrong “host” CAP is the correct diagnosis, but the patient does not improve due to anatomic obstruction, immunocompromise, or disease severity. (e.g. malignancy, HIV) Wrong diagnosis- Patient has an alternative diagnosis, or a complication of CAP: interstitial lung disease, pulmonary abscess, recurrent aspiration, congestive heart failure
  • #21 Teacher’s guide 1. Ask a learner to walk you through the labs and how they impact their diagnostic thinking. 2. Consider emphasizing the mild leukocytosis and low grade eosinophilia. 3. Pending time, may ask learners to suggest next diagnostic steps (and why).
  • #23 Teacher’s guide 1. The read for the CT is on the next slide.
  • #25 Teacher’s guide The important features to include in an updated problem representation include: Eosinophilia CT with evidence of consolidation Example: 31yo previously healthy man with ongoing, subacute pleuritic chest pain despite CAP therapy, now with eosinophilia, lingular consolidation, pleural effusion and lymphadenopathy.
  • #26 Teacher’s guide As above, consider using the a board to list the diagnoses mentioned by the students and then use the following slide to illustrate an exemplar schema. As learner’s begin to outline a collective schema, would make the emphasize how their precise problem representation in the previous slide makes it easier to generate a schema.
  • #29 Teacher’s guide 1. The picture shows lesions characteristic of erythema nodosum: nodular lesions over the anterior shin that are exquisitely tender. 2. For the sake of time, we have not included a discussion of E.Nodosum in this section. However, if additional time is available, please refer to “additional information” slide (slide 36) for a discussion of E.Nodosum.
  • #31 Teacher’s guide At this point, important features of the problem representation include: Development of erythema nodosum Travel to the San Joaquin Valley Example: 31yo previously healthy man with pleuritic chest pain and cough after a trip to the San Joaquin Valley found to have eosinophilia and on-going symptoms despite CAP therapy.
  • #37 Teacher’s guide If there is time, please use this as a guide for the discussion on slide 28: E.Nodosum Erythema Nodosum Definition: A form of panniculitis that presents as an outcropping of painful, erythematous nodules, usually on ventral aspect of the lower extremities. Causes: In the majority of cases (55%), no clear cause is identified. However, the presence of E.Nodosum should prompt investigation for systemic causes. There can be categorized as: Infection (post-streptococcal infection,post-enteritis, tuberculosis and endemic mycoses including coccidiomycosis) Autoimmune disease (inflammatory bowel disease and sarcoidosis) Drug-induced (oral contraceptives, azathioprine) Malignancy (lymphoma) Other (pregnancy)