Trisomy 13
PatauSyndrome
ARIANNE GAY G. AYAD
History
• Was first identified and
observed by Danish
Physician named Thomas
Bartholin.
• Dr. Claus Patau made
asserting information
and data about the
disease which is why the
condition is named after
his name.
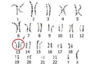
Whatis Patau Syndrome?
• a rare, serious genetic disorder caused by
having an additional copy of
chromosome 13 in some or all of the
body’s cells.
Whatcauses Patau Syndrome?
• Extra DNA from chromosome 13 appearing
in some or all of the body's cells.
• the presence of an extra chromosome 13 in
all of the cells.
 mosaicism- the presence of an extra
chromosome 13 in some of the cells.
 Partial trisomy- the presence of a part of an
extra chromosome 13 in the cells.
Patau Syndrome
• Severely disrupts normal development and in many
cases, results in miscarriage, stillbirth, or the baby
dying shortly after birth.
• Babies with Patau syndrome grow slowly in the
womb and have a low birth weight, along with a
number of other serious medical problems.
Facts
Patau Syndrome
• Patau syndome affects more than 9 out of 10
children (over 90%) born with Patau syndrome die
during the first year.
• About 5- 10% of babies with less severe forms of
the syndrome , such as partial or mosaictrisonomy
13, live for more than a year.
Facts
Whatare the Symptoms
Cleft lip or palate Polydactyl
microcephaly Rocker-bottom’ feet
Symptoms
Close-set eyes Small eyes/ No eyes
Symptoms
Kidney problems
Symptoms
Other symptoms
•Heart failure
•No abdomen wall
•Malformed ears
•Umbilical hernia
Testicles that have not
descended
•Seizures
•Intellectual ability or
mental retardation
•Hands are clenched or
folded
•Defects In the scalp
•Abnormalities of the
skeleton
•Sleep apnea
•Hypertension
Treatment & Management
• There is no cure for Patau syndrome.
However, following measures maybe taken to fix
the sympotoms:
• Surgeries
• Tube fed
• Occupational, physical and speech therapy
Prognosis
• More than 80% of patients do not survive
beyond the first month of their lifes. Over 80%
of sufferers do not live for more than the first
year of their life.
• On April 27th, 2012, born early at 33 weeks,
Delainey was born.
• Unilateral cleft lip and
palate.
• Left eye was under
developed.
• Heart had many defects,
such as a large ASD and
VSD and her left aorta
was severely deformed
and tapered off.
• Large cystic kidneys and
they were functioning at
about 30% after birth.
• Large bellybutton hernia
and mild club foot.
She had her cleft lip repaired at 7 months old. At
about a year and some she had her palate repaired
She never required any
heart surgery. Her
heart abnormalities
resolved on their own
She started in home physio therapy and in home
occupational therapy.
THANK YOU

Patau Syndrome

  • 1.
  • 2.
    History • Was firstidentified and observed by Danish Physician named Thomas Bartholin. • Dr. Claus Patau made asserting information and data about the disease which is why the condition is named after his name.
  • 3.
    Whatis Patau Syndrome? •a rare, serious genetic disorder caused by having an additional copy of chromosome 13 in some or all of the body’s cells.
  • 4.
    Whatcauses Patau Syndrome? •Extra DNA from chromosome 13 appearing in some or all of the body's cells. • the presence of an extra chromosome 13 in all of the cells.  mosaicism- the presence of an extra chromosome 13 in some of the cells.  Partial trisomy- the presence of a part of an extra chromosome 13 in the cells.
  • 9.
    Patau Syndrome • Severelydisrupts normal development and in many cases, results in miscarriage, stillbirth, or the baby dying shortly after birth. • Babies with Patau syndrome grow slowly in the womb and have a low birth weight, along with a number of other serious medical problems. Facts
  • 10.
    Patau Syndrome • Patausyndome affects more than 9 out of 10 children (over 90%) born with Patau syndrome die during the first year. • About 5- 10% of babies with less severe forms of the syndrome , such as partial or mosaictrisonomy 13, live for more than a year. Facts
  • 11.
    Whatare the Symptoms Cleftlip or palate Polydactyl
  • 12.
  • 13.
    Close-set eyes Smalleyes/ No eyes Symptoms
  • 14.
  • 15.
    Other symptoms •Heart failure •Noabdomen wall •Malformed ears •Umbilical hernia Testicles that have not descended •Seizures •Intellectual ability or mental retardation •Hands are clenched or folded •Defects In the scalp •Abnormalities of the skeleton •Sleep apnea •Hypertension
  • 19.
    Treatment & Management •There is no cure for Patau syndrome. However, following measures maybe taken to fix the sympotoms: • Surgeries • Tube fed • Occupational, physical and speech therapy
  • 20.
    Prognosis • More than80% of patients do not survive beyond the first month of their lifes. Over 80% of sufferers do not live for more than the first year of their life.
  • 22.
    • On April27th, 2012, born early at 33 weeks, Delainey was born.
  • 23.
    • Unilateral cleftlip and palate. • Left eye was under developed. • Heart had many defects, such as a large ASD and VSD and her left aorta was severely deformed and tapered off. • Large cystic kidneys and they were functioning at about 30% after birth. • Large bellybutton hernia and mild club foot.
  • 24.
    She had hercleft lip repaired at 7 months old. At about a year and some she had her palate repaired
  • 25.
    She never requiredany heart surgery. Her heart abnormalities resolved on their own
  • 26.
    She started inhome physio therapy and in home occupational therapy.
  • 37.

Editor's Notes

  • #5 The extra material interferes with normal development
  • #10 The extra material interferes with normal development
  • #11 The extra material interferes with normal development
  • #24 She was born with a …. She was born with ate that had been undetected in ultrasounds. 
  • #30 focused on getting her head up and neck strength as well as transferring objects from hand to the other